Changing Treatment Philosophy of Slipped Capital Femoral Epiphysis (SCFE) after Introduction of the Modified Dunn Procedure (MDP): Our Experience with MDP and Its Complications
Abstract
1. Introduction
2. Materials and Methods
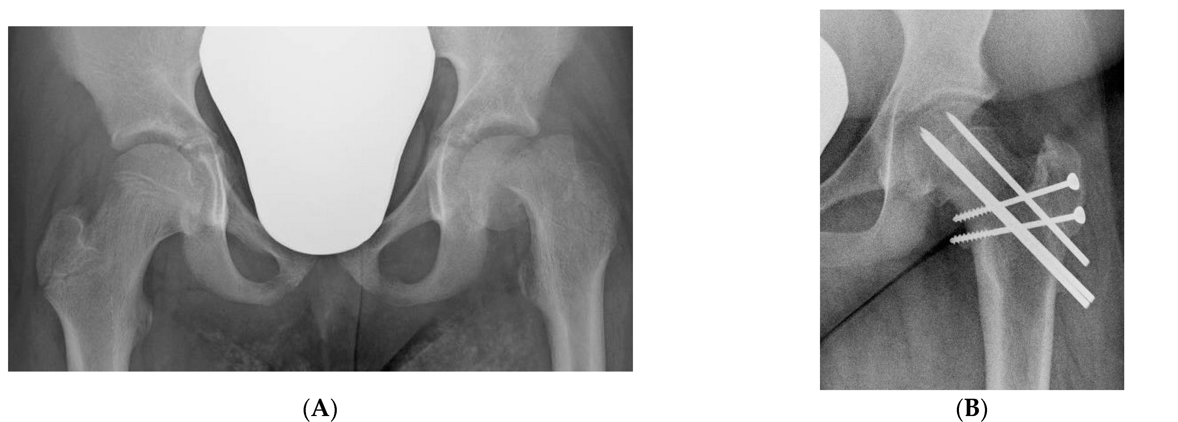
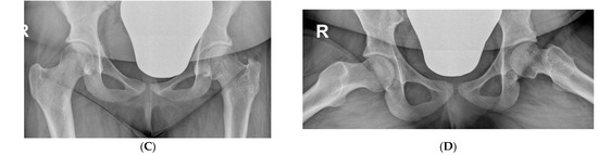
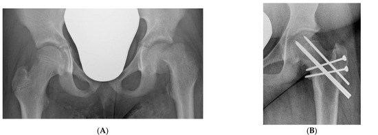
3. Results
4. Discussion
Author Contributions
Funding
Institutional Review Board Statement
Informed Consent Statement
Data Availability Statement
Conflicts of Interest
References
- Novais, E.N.; Millis, M.B. Slipped capital femoral epiphysis: Prevalence, pathogenesis, and natural history. Clin. Orthop. Relat. Res. 2012, 470, 3432–3438. [Google Scholar] [CrossRef] [PubMed]
- Ippolito, E.; Mickelson, M.R.; Ponseti, I.V. A Histochemical Study of Slipped Femoral Capital Epiphysis. J. Bone Jt. Surg. Am. 1981, 63, 1109–1113. [Google Scholar] [CrossRef]
- Ippolito, E.; Bellocci, M.; Farsetti, P.; Tudisco, C.; Perugia, D. An Ultrastructural Study of Slipped Femoral Capital Epiphysis: Pathogenetic Considerations. J. Orthop. Res. 1989, 7, 252–259. [Google Scholar] [CrossRef] [PubMed]
- Southwick, W.O. Osteotomy through the Lesser Trochanter for Slipped Femoral Capital Epiphysis. J. Bone Jt. Surg. Am. 1967, 49, 807–835. [Google Scholar] [CrossRef]
- Nectoux, E.; Décaudin, J.; Accadbled, F.; Hamel, A.; Bouin, N.; Gicquel, P. Evolution of slipped capital femoral epiphysis after in situ screw fixation at a mean 11 years’ follow-up: A 222 case series. Orthop. Traumatol. Surg. Res. 2015, 101, 51–54. [Google Scholar] [CrossRef]
- De Porter, J.J.; Beunder, T.J.; Gareb, B.; Oostenbroek, H.J.; Bessems, J.H.J.M.; van der Lugt, J.C.T.; Maathuis, P.G.M.; van der Sande, M.A.J. Long-term Outcomes of Slipped Capital Femoral Epiphysis treated with in situ pinning. J. Child. Orthop. 2016, 10, 371–379. [Google Scholar] [CrossRef] [PubMed]
- Reinhart, M.; Stauner, K.; Schrami, A. Slipped Capital Femoral Epiphysis: Long-Term Outcome and Remodeling after In Situ Fixation. Hip Int. 2016, 26, 25–30. [Google Scholar] [CrossRef]
- Loder, R.T.; Richards, B.S.; Shapiro, P.S.; Reznick, L.R.; Aronson, D.D. Acute Slipped Capital Femoral Epiphysis: The Importance of Physeal Stability. J. Bone Jt. Surg. Am. 1993, 75, 1134–1140. [Google Scholar] [CrossRef]
- Zatz, I.; Baca, G.; Clohisy, J.C. Unstable SCFE: Review of Treatment Modalities and Prevalence of Osteonecrosis. Clin. Orthop. Relat. Res. 2013, 471, 2192–2198. [Google Scholar] [CrossRef]
- Dunn, D.M. The Treatment of Adolescent Slipping of the Upper Femoral Epiphysis. J. Bone Jt. Surg. Br. 1964, 46, 621–629. [Google Scholar] [CrossRef]
- Ganz, R.; Gill, T.J.; Gautier, E.; Ganz, K.; Krugel, N.; Berlemann, U. Surgical Dislocation of the Adult Hip a Technique with Full Access to the Femoral Head and Acetabulum without the Risk of Avascular Necrosis. J. Bone Jt. Surg. Br. 2001, 83, 1119–1124. [Google Scholar] [CrossRef]
- Leunig, M.; Slongo, T.; Kleinschmidt, M.; Ganz, R. Subcapital correction osteotomy in slipped capital femoral epiphysis by means of surgical hip dislocation. Oper. Orthop. Traumatol. 2007, 19, 389–410. [Google Scholar] [CrossRef]
- Gorgolini, G.; Caterini, A.; Efremov, K.; Petrungaro, L.; De Maio, F.; Ippolito, E.; Farsetti, P. Surgical treatment of slipped capital femoral epiphysis (SCFE) by Dunn procedure modified by Ganz: A systematic review. BMC Musculoskelet. Disord. 2021, 22, 1064–1076. [Google Scholar] [CrossRef]
- Jauregui, J.J.; Shaw, N.M.; Weir, T.B.; Barvarz, S.A.; McClure, P.K. Risk of Avascular Necrosis with the Modified Dunn Procedure in SCFE Patients: A meta-Analysis. Children 2022, 9, 1680–1687. [Google Scholar] [CrossRef] [PubMed]
- Ziebarth, K.; Milosevic, M.; Lerch, T.D.; Steppacher, S.D.; Slongo, T.; Siebenrock, K.A. High survivorship and little osteoarthritis at 10-year follow-up in SCFE patients treated with a modified Dunn procedure. Clin. Orthop. Relat. Res. 2017, 475, 1212–1228. [Google Scholar] [CrossRef]
- Lerch, T.D.; Vuilleumier, S.; Schmaranzer, F.; Ziebarth, K.; Steppacher, S.D.; Tannast, M.; Siebenrock, K.A. Patients with severe slipped capital femoral epiphysis treated by the modified Dunn procedure have low rates of avascular necrosis, good outcomes, and little osteoarthritis at long-term follow-up. Bone Jt. J. 2019, 101, 403–414. [Google Scholar] [CrossRef]
- Passaplan, C.; Gautier, L.; Gautier, E. Long-term follow-up of patients undergoing the modified Dunn procedure for slipped capital femoral epiphysis. Bone Jt. Open 2020, 1, 80–87. [Google Scholar] [CrossRef] [PubMed]
- Wang, G.; Yu, H.; De Man, B. An outlook on x-ray CT research and development. Med. Phys. 2008, 35, 1051–1064. [Google Scholar] [CrossRef] [PubMed]
- Van Klij, P.; Reiman, M.P.; Waarsing, J.H.; Reijman, M.; Bramer, W.M.; Verhaar, J.A.N.; Agricola, R. Classifying Cam Morphology by the Alpha Angle: A Systematic Review on Threshold Values. Orthop. J. Sports Med. 2020, 8, 2325967120938312. [Google Scholar] [CrossRef] [PubMed]
- Harris, W.H. Traumatic Arthritis of the Hip after Dislocation and Acetabular Fractures: Treatment by Mold Arthroplasty. An End-Result Study Using a New Method of Result Evaluation. J. Bone Jt. Surg. Am. 1969, 51, 737–755. [Google Scholar] [CrossRef]
- Dunn, D.M.; Angel, J.C. Replacement of the Femoral Head by Open Operation in Severe Adolescent Slipping of the Upper Femoral Epiphysis. J. Bone Jt. Surg. Br. 1978, 60, 394–403. [Google Scholar] [CrossRef] [PubMed]
- Jerre, R.; Hansson, G.; Wallin, J.; Karlsson, J. Long-term results after realignment operations for slipped upper femoral epiphysis. J. Bone Jt. Surg. Br. 1996, 78, 745–750. [Google Scholar] [CrossRef]
- Velasco, R.; Schai, P.A.; Exner, G.U. Slipped Capital Femoral Epiphysis: A Long-term Follow-up Study after Open Reduction of the Femoral Head Combined with Subcapital Wedge Resection. J. Pediatr. Orthop. B 1998, 7, 43–52. [Google Scholar] [CrossRef]
- Fron, D.; Forgues, D.; Mayrargue, E.; Halimi, P.; Herbaux, B. Follow-up Study of Severe Slipped Capital Femoral Epiphysis Treated with Dunn’s Osteotomy. J. Pediatr. Orthop. 2000, 20, 320–325. [Google Scholar] [CrossRef] [PubMed]
- Ibrahim, T.; Mahmoud, S.; Riaz, M.; Hegazy, A.; Little, D.G. Hip decompression of unstable slipped capital femoral epiphysis: A systematic review and meta-analysis. J Child Orthop. 2015, 9, 113–120. [Google Scholar] [CrossRef]
- Veramuthu, V.; Munajat, I.; Islam, M.A.; Mohd, E.F.; Sulaiman, A.R. Prevalence of Avascular Necrosis Following Surgical Treatment in Unstable Slipped Capital Femoral Epiphysis (SCFE):A Systematic Review and Meta-Analysis. Children 2022, 9, 1374–1393. [Google Scholar] [CrossRef]
- Ziebarth, K.; Zilkens, C.; Spencer, S.; Leunig, M.; Ganz, R.; Kim, Y.J. Capital realignment for moderate and severe SCFE using a modified Dunn procedure. Clin. Orthop. Relat. Res. 2009, 467, 704–716. [Google Scholar] [CrossRef]
- Slongo, T.; Kakaty, D.; Krause, F.; Ziebarth, K. Treatment of slipped capital femoral epiphysis with a modified Dunn procedure. J. Bone Jt. Surg. Am. 2010, 92, 2898–2908. [Google Scholar] [CrossRef]
- Madan, S.S.; Cooper, A.P.; Davies, A.G.; Fernandes, J.A. The treatment of severe slipped capital femoral epiphysis via the Ganz surgical dislocation and anatomical reduction: A prospective study. Bone Jt. J. 2013, 95-b, 424–429. [Google Scholar] [CrossRef]
- Sankar, W.N.; Vanderhave, K.L.; Matheney, T.; Herrera-Soto, J.A.; Karlen, J.W. The modified Dunn procedure for unstable slipped capital femoral epiphysis: A multicenter perspective. J. Bone Jt. Surg. Am. 2013, 95, 585–591. [Google Scholar] [CrossRef]
- Souder, C.D.; Bomar, J.D.; Wenger, D.R. The role of capital realignment versus in situ stabilization for the treatment of slipped capital femoral epiphysis. J. Pediatr. Orthop. 2014, 34, 791–798. [Google Scholar] [CrossRef]
- Upasani, V.V.; Matheney, T.H.; Spencer, S.A.; Kim, Y.J.; Millis, M.B.; Kasser, J.R. Complications after modified Dunn osteotomy for the treatment of adolescent slipped capital femoral epiphysis. J. Pediatr. Orthop. 2014, 34, 661–667. [Google Scholar] [CrossRef] [PubMed]
- Abdelazeem, A.H.; Beder, F.K.; Abdel Karim, M.M.; Abdelazeem, H.; Abdel-Ghani, H. The anatomical reduction of a moderate or severe stable slipped capital femoral epiphysis by modified Dunn subcapital osteotomy using the Ganz approach: Functional and radiological outcomes. Bone Jt. J. 2016, 98-b, 1283–1288. [Google Scholar] [CrossRef]
- Elmarghany, M.; El-Ghaffar, T.A.; Seddik, M.; Akar, A.; Gad, Y.; Ragheb, E.; Aprato, A.; Massè, A. Surgical hip dislocation in treatment of slipped capital femoral epiphysis. SICOT-J 2017, 3, 10. [Google Scholar] [CrossRef] [PubMed]
- Trisolino, G.; Stilli, S.; Gallone, G.; Santos Leite, P.; Pignatti, G. Comparison between modified Dunn procedure and in situ fixation for severe stable slipped capital femoral epiphysis. Acta Orthop. 2018, 89, 211–216. [Google Scholar] [CrossRef] [PubMed]
- Persinger, F.; Davis, R.L., 2nd; Samora, W.P.; Klingele, K.E. Treatment of unstable slipped capital epiphysis via the modified Dunn procedure. J. Pediatr. Orthop. 2018, 38, 3–8. [Google Scholar] [CrossRef] [PubMed]
- Masquijo, J.J.; Allende, V.; D’Elia, M.; Miranda, G.; Fernández, C.A. Treatment of slipped capital femoral epiphysis with the modified Dunn procedure: A multicenter study. J. Pediatr. Orthop. 2019, 39, 71–75. [Google Scholar] [CrossRef] [PubMed]
- Novais, E.N.; Maranho, D.A.; Heare, T.; Sink, E.; Carry, P.M.; O’Donnel, C. The modified Dunn procedure provides superior short-term outcomes in the treatment of the unstable slipped capital femoral epiphysis as compared to the inadvertent closed reduction and percutaneous pinning: A comparative clinical study. Int. Orthop. 2019, 43, 669–675. [Google Scholar] [CrossRef]
- Sikora-Klak, J.; Bomar, J.D.; Paik, C.N.; Wenger, D.R.; Upasani, V. Comparison of surgical outcomes between a Triplane proximal femoral osteotomy and the modified Dunn procedure for stable, moderate to severe slipped capital femoral epiphysis. J. Pediatr. Orthop. 2019, 39, 339–346. [Google Scholar] [CrossRef]
- Davis, R.L., 2nd; Samora, W.P., 3rd; Persinger, F.; Klingele, K.E. Treatment of unstable versus stable slipped capital femoral epiphysis using the modified Dunn procedure. J. Pediatr. Orthop. 2019, 39, 411–415. [Google Scholar] [CrossRef]
- Ebert, N.; Rupprecht, M.; Stuecker, R.; Breyer, S.; Stiel, N.; Priemel, M.H.; Spiro, A.S. Outcome of the modified Dunn procedure in severe chronic or acute on chronic slipped capital femoral epiphysis. J. Orthop. Surg. Res. 2019, 14, 349. [Google Scholar] [CrossRef] [PubMed]
- Zuo, B.; Zhu, J.F.; Wang, X.Y.; Wang, C.L.; Ma, F.; Chen, X.D. Outcome of the modified Dunn procedure in severe slipped capital femoral epiphysis. J. Orthop. Surg. Res. 2020, 15, 506. [Google Scholar] [CrossRef] [PubMed]
- Agashe, M.V.; Pinto, D.A.; Vaidya, S. Modified Dunn osteotomy for moderate and severe slipped capital femoral epiphysis—A retrospective study of thirty hips. Indian J. Orthop. 2021, 55, 100–108. [Google Scholar] [CrossRef]
- Valenza, W.; Soni, J.; Przysiada, L.; Faggion, H. Avascular Necrosis After Modified Dunn Surgery for the Treatment of Slipped Capital Femoral Epiphysis. Rev. Bras. Ortop. 2022, 57, 807–814. [Google Scholar] [CrossRef]
- Huber, H.; Dora, C.; Ramseier, L.E.; Buck, F.; Dierauer, S. Adolescent slipped capital femoral epiphysis treated by a modified Dunn osteotomy with surgical hip dislocation. J Bone Jt. Surg. Br. 2011, 93, 833–838. [Google Scholar] [CrossRef]
- Massè, A.; Aprato, A.; Grappiolo, G.; Turchetto, L.; Campacci, A.; Ganz, R. Surgical hip dislocation for anatomic reorientation of slipped capital femoral epiphysis: Preliminary results. Hip Int. 2012, 22, 137–144. [Google Scholar] [CrossRef]
- Novais, E.N.; Hill, M.K.; Carry, P.M.; Heare, T.C.; Sink, E.L. Modified Dunn procedure is superior to in situ pinning for short-term clinical and radiographic improvement in severe stable SCFE. Clin. Orthop. Relat. Res. 2015, 473, 2108–2117. [Google Scholar] [CrossRef]
- Boyer, D.W.; Mickelson, M.R.; Ponseti, I.V. Slipped Capital Femoral Epiphysis. Long-term Follow-up Study of One Hundred and Twenty-one Patients. J. Bone Jt. Surg. Am. 1981, 63, 85–95. [Google Scholar] [CrossRef]
- Sailhan, F.; Courvoisier, A.; Brunet, O.; Chotel, F.; Bérard, J. Continued growth of the hip after fixation of slipped capital femoral epiphysis using a single cannulated screw with a proximal threading. J. Child. Orthop. 2011, 5, 83–88. [Google Scholar] [CrossRef]
- Terjesen, T.; Wensaas, A. Prognostic factors for long-term outcome of chronic slipped capital femoral epiphysis treated by fixation in situ. J. Child. Orthop. 2017, 11, 114–119. [Google Scholar] [CrossRef] [PubMed]
- Ordenberg, G.; Hansson, L.I.; Sandstrom, S. Slipped Capital Femoral Epiphysis in Southern Sweden. Long-term Result with No Treatment or Symptomatic Primary Treatment. Clin. Orthop. Relat. Res. 1984, 191, 95–104. [Google Scholar]
- Carney, B.T.; Weinstein, S.L. Natural History of Untreated Chronic Slipped Capital Femoral Epiphysis. Clin. Orthop. Relat. Res. 1996, 322, 43–47. [Google Scholar] [CrossRef]
- Ganz, R.; Parvizi, J.; Beck, M.; Leunig, M.; Notzli, H.; Siebenrock, K.A. Femoroacetabular impingement: A cause for osteoarthritis of the hip. Clin. Orthop. Relat. Res. 2003, 417, 112–120. [Google Scholar] [CrossRef] [PubMed]
- Jones, R.J.; Paterson, D.C.; Hillier, T.M.; Foster, B.K. Remodeling after pinning for slipped capital femoral epiphysis. J. Bone Jt. Surg. Br. 1990, 72, 568–573. [Google Scholar] [CrossRef] [PubMed]
- Dukas, A.G.; Gupta, A.S.; Peters, C.L.; Aoki, S.K. Surgical treatment for FAI: Arthroscopic and open techniques for osteoplasty. Curr. Rev. Musculoskelet. Med. 2019, 12, 281–290. [Google Scholar] [CrossRef]
- Zhu, Y.; Su, P.; Xu, T.; Zhang, L.; Fu, W. Conservative therapy versus arthroscopic surgery of femoroacetabular impingement syndrome (FAIS): A systematic review and meta-analysis. J. Orthop. Surg. Res. 2022, 17, 1626. [Google Scholar] [CrossRef]
- Imhauser, G. Pathogenesis and therapy of hip dislocation in youth. Z. Für Orthopädie Und Ihre Grenzgeb. 1956, 88, 3–41. [Google Scholar]
- Kartenbender, K.; Cordier, W.; Katthagen, B.D. Long-term follow-up study after corrective Imhauser osteotomy for severe slipped capital femoral epiphysis. J. Pediatr. Orthop. 2000, 20, 749–756. [Google Scholar] [CrossRef]
- Trisolino, G.; Pagliazzi, G.; Di Gennaro, G.; Stilli, S. Long-term Results of Combined Epiphysiodesis and Imhauser Intertrochanteric Osteotomy in SCFE: A Retrospective Study on 53 Hips. J. Pediatr. Orthop. 2017, 37, 409–415. [Google Scholar] [CrossRef]
- Trueta, J. The normal vascular anatomy of the human femoral head during growth. J. Bone Jt. Surg. Br. 1957, 39, 358–394. [Google Scholar] [CrossRef]
- Upasani, V.V.; Birke, O.; Klingele, K.E.; Millis, M.B. Iatrogenic hip instability is a devastating complication after the modified Dunn procedure for severe slipped capital femoral epiphysis. Clin. Orthop. Relat. Res. 2017, 475, 1229–1235. [Google Scholar] [CrossRef] [PubMed]
- Aprato, A.; Leunig, M.; Massé, A.; Slongo, T.; Ganz, R. Instability of the hip after anatomical re-alignment in patients with a slipped capital femoral epiphysis. Bone Jt. J. 2017, 99, 16–21. [Google Scholar] [CrossRef]
- Maranho, D.A.; Davila-Parrilla, A.; Miller, P.E.; Kim, Y.J.; Novais, E.N.; Millis, M.B. Acetabular morphology in slipped capital femoral epiphysis: Comparison at treatment onset and skeletal maturity. J. Child. Orthop. 2018, 12, 444–453. [Google Scholar] [CrossRef] [PubMed]
- Herngren, B.; Lindell, M.; Hagglund, G. Good inter- and intra-observer reliability for assessment of the slip angle in 77 hip radiographs of children with slipped capital femoral epiphysis. Acta Orthop. 2018, 89, 217–221. [Google Scholar] [CrossRef] [PubMed]
- Rahm, S.; Hoch, A.; Tondelli, T.; Fuchs, J.; Zingg, P.O. Revision rate of THA in patients younger than 40 years depends on primary diagnosis. A retrospective analysis with a minimum follow-up of 10 years. Europ. J. Orthop. Surg. Traumatol. 2021, 31, 1335–1344. [Google Scholar] [CrossRef]








| Patient Number | Age (Years) (Mean ± SD) | Gender | Hip Number and Side | Southwick Angle (Mean ± SD) | Length of Follow Up (Years) (Mean ± SD) | Age at Follow Up (Years) (Mean ± SD) | Alfa Angle (Mean ± SD) | Results (Harris Hip Score) | Complications |
|---|---|---|---|---|---|---|---|---|---|
| 28 | 11.7 (±1.7) (range: 9.6 to 14.2) | Male (16) Female (12) | Right (10) Left (11) Bilateral (7) Total (35) | 27.3° (±7.1°) (range: 16° to 40°) | 5.3 (±1.9) (range: 3 to 8) | 16.1 (±1.8) (range: 12.6 to 22.2) | 52.7° (±7.9°) (range: 40° to 66°) | Exellent (19 hips) Good (11 hips) Fair (3 hips) Poor (2 hips) | Chondrolysis (2 hips) Femoro-acetabular Impingement (3 hips) |
| Patient Number | Age at Surgery (Years) (Mean ± SD) | Gender | Hip Number and Side | Classification | SOUTHWICK Angle (Mean ± SD) | Length of Follow Up (Years) (Mean ± SD) | Age at Follow Up (Years) (Mean ± SD) | Alfa Angle (Mean ± SD) | Results (Harris Hip Score) | Complications |
|---|---|---|---|---|---|---|---|---|---|---|
| 13 | 12.9 (±0.8) (range: 11.5 to 14.2) | Male (11) Female (2) | Right (4) Left (8) Bilateral (1) Total (14) | Chronic (7 hips) Acute/chronic (3 hips) Acute (4 hips) | 72.7° (±12.2°) (range: 42° to 85°) | 5.5 (±1.6) (range: 3 to 8) | 18.2 (±2.4) (range: 14.5 to 22.2) | 44.7° (±5.6°) (range: 38° to 52°) | Exellent (6 hips) Good (5 hips) Fair (1 hip) Poor (2 hips) | AvascularNecrosis (1 hip) Instability (2 hips) Heterotopic Ossifications (3 hips) |
Disclaimer/Publisher’s Note: The statements, opinions and data contained in all publications are solely those of the individual author(s) and contributor(s) and not of MDPI and/or the editor(s). MDPI and/or the editor(s) disclaim responsibility for any injury to people or property resulting from any ideas, methods, instructions or products referred to in the content. |
© 2023 by the authors. Licensee MDPI, Basel, Switzerland. This article is an open access article distributed under the terms and conditions of the Creative Commons Attribution (CC BY) license (https://creativecommons.org/licenses/by/4.0/).
Share and Cite
Micciulli, E.; Ruzzini, L.; Gorgolini, G.; Costici, P.F.; De Maio, F.; Ippolito, E. Changing Treatment Philosophy of Slipped Capital Femoral Epiphysis (SCFE) after Introduction of the Modified Dunn Procedure (MDP): Our Experience with MDP and Its Complications. Children 2023, 10, 1163. https://doi.org/10.3390/children10071163
Micciulli E, Ruzzini L, Gorgolini G, Costici PF, De Maio F, Ippolito E. Changing Treatment Philosophy of Slipped Capital Femoral Epiphysis (SCFE) after Introduction of the Modified Dunn Procedure (MDP): Our Experience with MDP and Its Complications. Children. 2023; 10(7):1163. https://doi.org/10.3390/children10071163
Chicago/Turabian StyleMicciulli, Enrico, Laura Ruzzini, Giulio Gorgolini, Pier Francesco Costici, Fernando De Maio, and Ernesto Ippolito. 2023. "Changing Treatment Philosophy of Slipped Capital Femoral Epiphysis (SCFE) after Introduction of the Modified Dunn Procedure (MDP): Our Experience with MDP and Its Complications" Children 10, no. 7: 1163. https://doi.org/10.3390/children10071163
APA StyleMicciulli, E., Ruzzini, L., Gorgolini, G., Costici, P. F., De Maio, F., & Ippolito, E. (2023). Changing Treatment Philosophy of Slipped Capital Femoral Epiphysis (SCFE) after Introduction of the Modified Dunn Procedure (MDP): Our Experience with MDP and Its Complications. Children, 10(7), 1163. https://doi.org/10.3390/children10071163

