Emergency MRI in Spine Trauma of Children and Adolescents—A Pictorial Review
Highlights
- Severe spinal trauma is uncommon in children and adolescents, but the consequences of missed injury can be fatal.
- Diagnostic imaging is necessary to assess the extent of injury, especially regarding ligamentous structures.
- MRI is a safe and effective option for imaging the spine in pediatric patients, as it depicts the whole extent of the injury at once.
Abstract
1. Introduction
2. Suggested Imaging Protocols and Practical Considerations
3. Fractures
3.1. Compression Fractures
3.2. Chance Fractures
3.3. Avulsion Fractures
3.4. Other Fractures
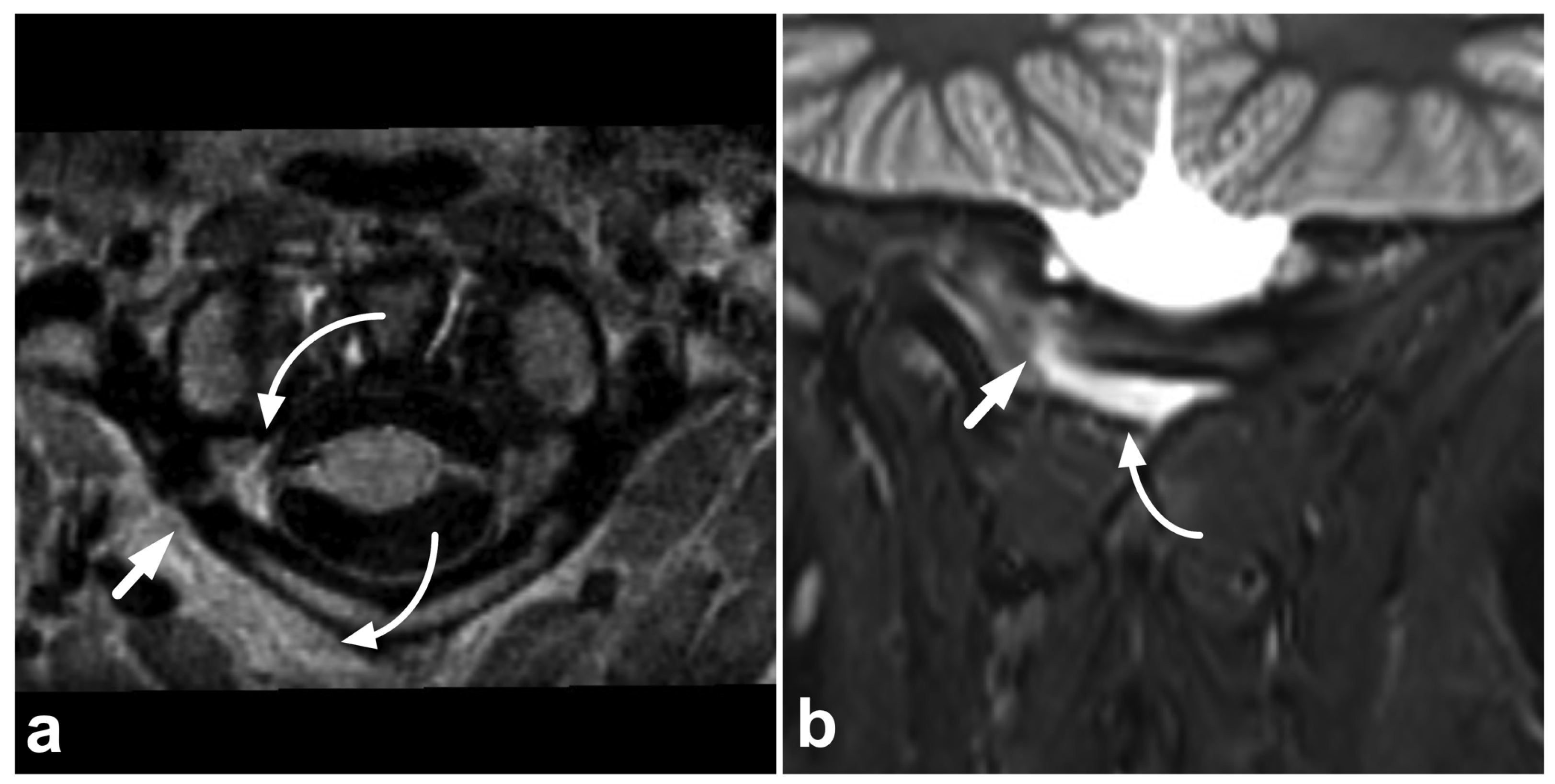
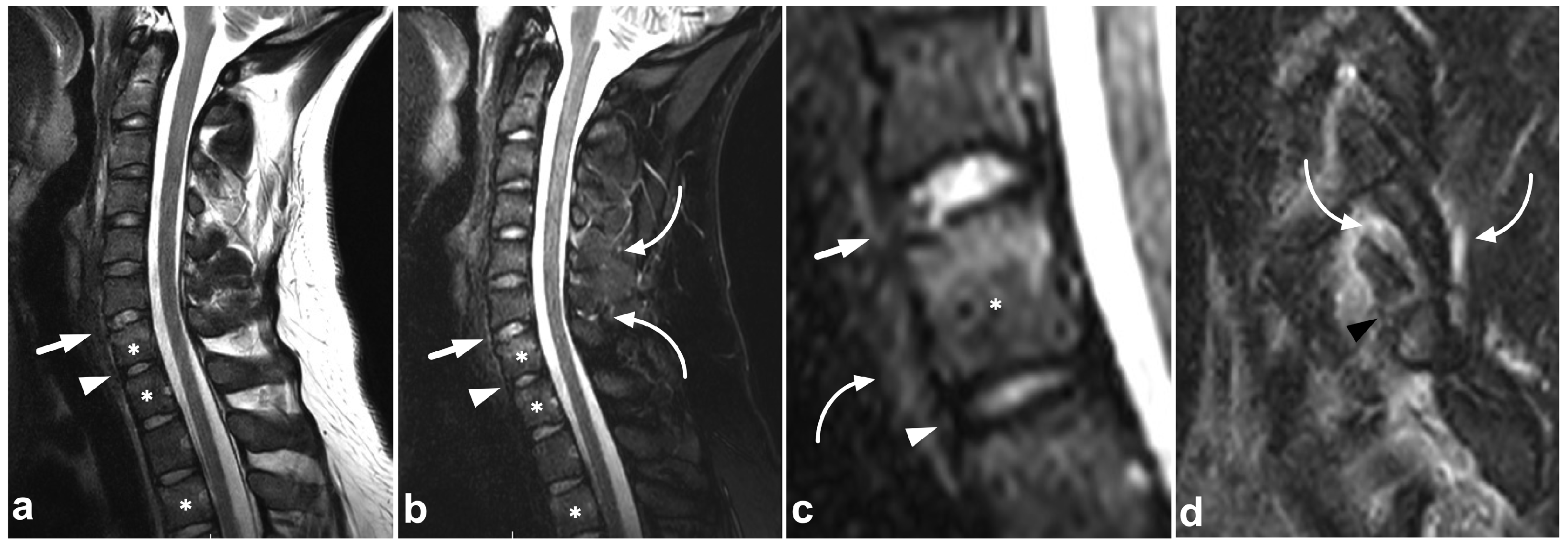
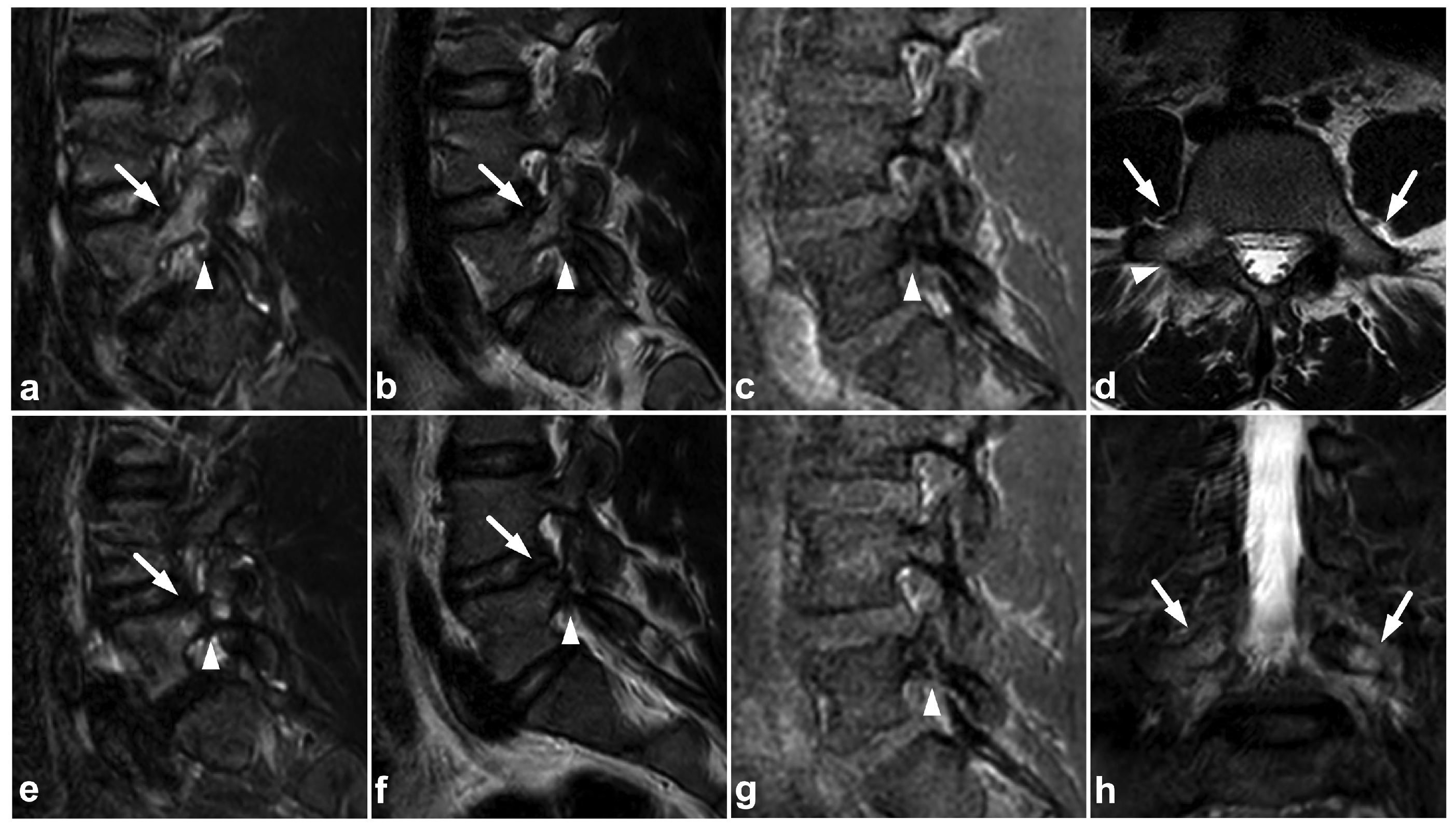
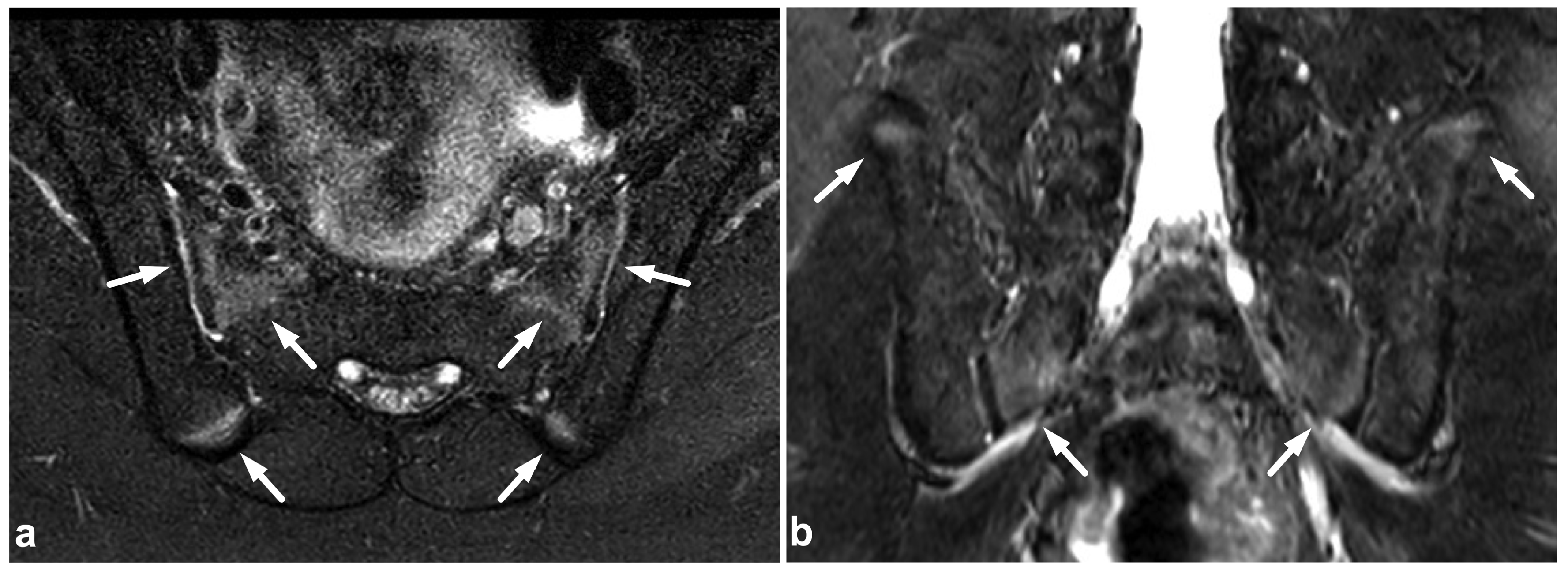
4. Ligamentous Injuries
4.1. Occipitocervical and Atlantoaxial Ligaments
4.2. Posterior Ligament Complex
4.3. Anterior and Posterior Longitudinal Ligaments
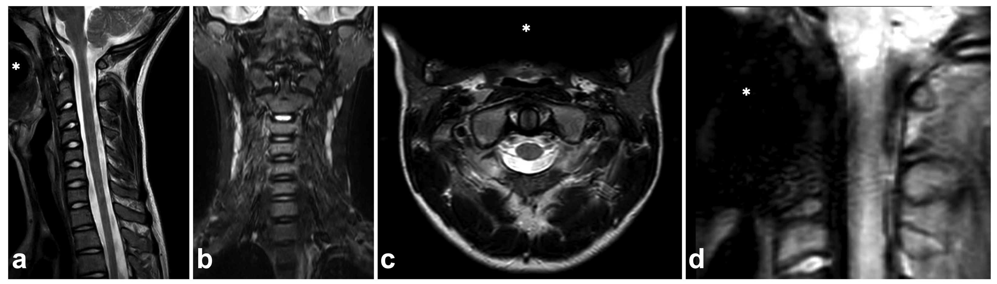
5. Other Soft Tissue Injuries
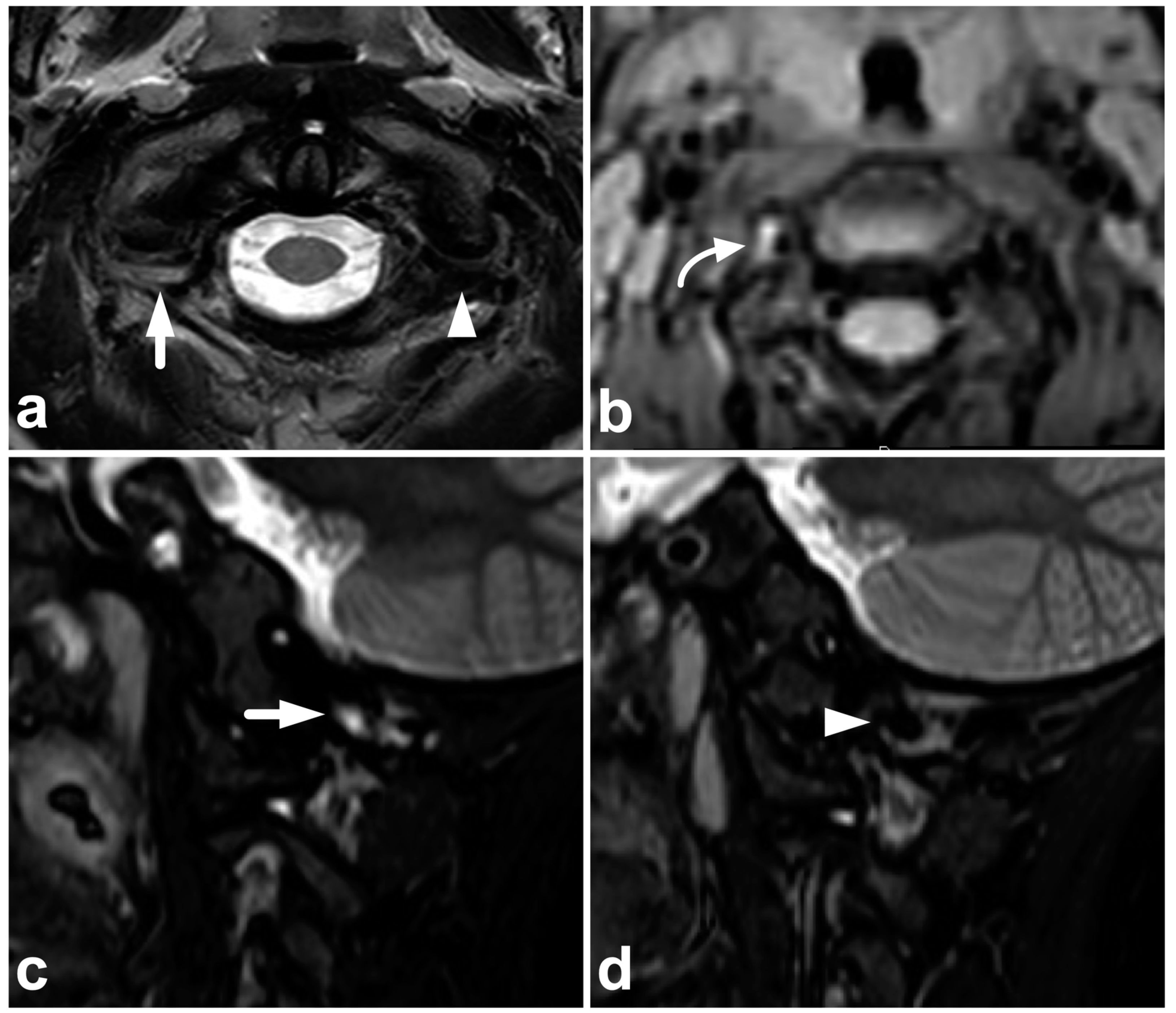
5.1. Intervertebral Disc Injuries
5.2. Muscle Injuries
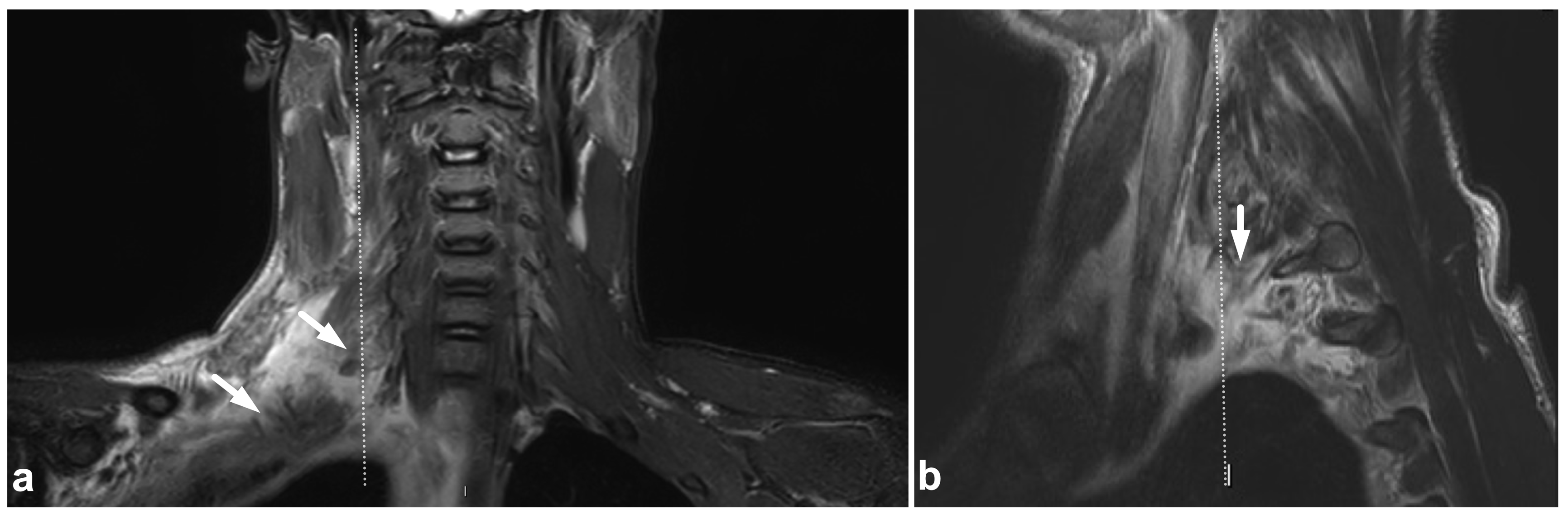
5.3. Nerve Plexus Injuries
5.4. Vascular Injuries
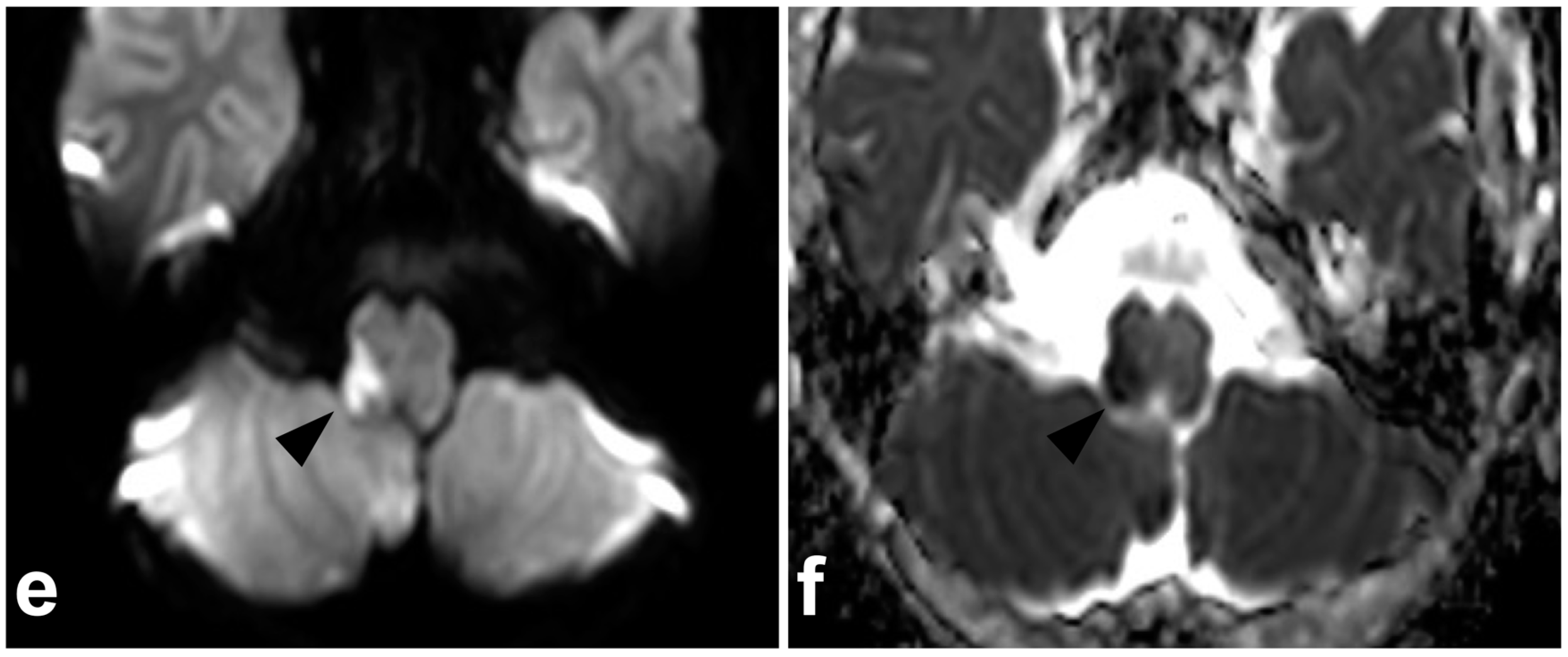
6. Spinal Cord Injuries
7. Physiological Findings and Pitfalls
7.1. Pseudosubluxation of the Cervical Spine
7.2. Vertebral Wedging
7.3. Juvenile Spondylolysis
7.4. Imaging Appearances of Normal Skeletal Maturation
7.5. Cerebrospinal Fluid Pulsation Artifacts
7.6. Motion Artifacts
7.7. Metal-Induced Artifacts
8. Conclusions
Supplementary Materials
Author Contributions
Funding
Institutional Review Board Statement
Informed Consent Statement
Data Availability Statement
Conflicts of Interest
References
- Kadom, N.; Palasis, S.; Pruthi, S.; Biffl, W.L.; Booth, T.N.; Desai, N.K.; Falcone, R.A.; Jones, J.Y.; Joseph, M.M.; Kulkarni, A.V.; et al. ACR Appropriateness Criteria® Suspected Spine Trauma-Child. J. Am. Coll. Radiol. 2019, 16, S286–S299. [Google Scholar] [CrossRef] [PubMed]
- Slaar, A.; Fockens, M.M.; Wang, J.; Maas, M.; Wilson, D.J.; Goslings, J.C.; Schep, N.W.; van Rijn, R.R. Triage Tools for Detecting Cervical Spine Injury in Pediatric Trauma Patients. Cochrane Database Syst. Rev. 2017, 2017, CD011686. [Google Scholar] [CrossRef] [PubMed]
- McAllister, A.S.; Nagaraj, U.; Radhakrishnan, R. Emergent Imaging of Pediatric Cervical Spine Trauma. RadioGraphics 2019, 39, 1126–1142. [Google Scholar] [CrossRef]
- Schoenfeld, A.J.; Bono, C.M.; McGuire, K.J.; Warholic, N.; Harris, M.B. Computed Tomography Alone Versus Computed Tomography and Magnetic Resonance Imaging in the Identification of Occult Injuries to the Cervical Spine: A Meta-Analysis. J. Trauma Inj. Infect. Crit. Care 2010, 68, 109–114. [Google Scholar] [CrossRef] [PubMed]
- Moore, J.M.; Hall, J.; Ditchfield, M.; Xenos, C.; Danks, A. Utility of Plain Radiographs and MRI in Cervical Spine Clearance in Symptomatic Non-Obtunded Pediatric Patients without High-Impact Trauma. Childs Nerv. Syst. 2017, 33, 249–258. [Google Scholar] [CrossRef]
- Kaiser, M.L.; Whealon, M.D.; Barrios, C.; Kong, A.P.; Lekawa, M.E.; Dolich, M.O. The Current Role of Magnetic Resonance Imaging for Diagnosing Cervical Spine Injury in Blunt Trauma Patients with Negative Computed Tomography Scan. Am. Surg. 2012, 78, 1156–1160. [Google Scholar] [CrossRef]
- Al-Sarheed, S.; Alwatban, J.; Alkhaibary, A.; Babgi, Y.; Al-Mohamadi, W.; Masuadi, E.M.; Al Babtain, I.; Azzubi, M. Cervical Spine Clearance in Unconscious Pediatric Trauma Patients: A Level l Trauma Center Experience. Childs Nerv. Syst. 2020, 36, 811–817. [Google Scholar] [CrossRef]
- Henry, M.; Riesenburger, R.I.; Kryzanski, J.; Jea, A.; Hwang, S.W. A Retrospective Comparison of CT and MRI in Detecting Pediatric Cervical Spine Injury. Childs Nerv. Syst. 2013, 29, 1333–1338. [Google Scholar] [CrossRef]
- Lee, R.P.; Zhou, N.J.; Hidalgo, J.; Titsworth, W.L.; Uribe-Cardenas, R.; Chowdhury, R.; Chun, Y.; Nasr, I.; Stewart, F.D.; Sponseller, P.; et al. Weighing the Risk Profile of Cervical Spine MRI in Evaluating Pediatric Cervical Spine Injuries. Pediatr. Neurosurg. 2022, 57, 314–322. [Google Scholar] [CrossRef]
- Mohseni, S.; Talving, P.; Branco, B.C.; Chan, L.S.; Lustenberger, T.; Inaba, K.; Bass, M.; Demetriades, D. Effect of Age on Cervical Spine Injury in Pediatric Population: A National Trauma Data Bank Review. J. Pediatr. Surg. 2011, 46, 1771–1776. [Google Scholar] [CrossRef]
- Pang, D. Spinal Cord Injury without Radiographic Abnormalities in Children. J. Neurosurg. 1982, 57, 114–129. [Google Scholar] [CrossRef] [PubMed]
- Pang, D. Spinal Cord Injury without Radiographic Abnormality in Children, 2 Decades Later. Neurosurgery 2004, 55, 1325–1343. [Google Scholar] [CrossRef] [PubMed]
- Farrell, C.A.; Hannon, M.; Lee, L.K. Pediatric Spinal Cord Injury without Radiographic Abnormality in the Era of Advanced Imaging. Curr. Opin. Pediatr. 2017, 29, 286–290. [Google Scholar] [CrossRef] [PubMed]
- Frank, J.B.; Lim, C.K.; Flynn, J.M.; Dormans, J.P. The Efficacy of Magnetic Resonance Imaging in Pediatric Cervical Spine Clearance. Spine 2002, 27, 1176–1179. [Google Scholar] [CrossRef]
- Runge, S.B.; Christensen, N.L.; Jensen, K.; Jensen, I.E. Children Centered Care: Minimizing the Need for Anesthesia with a Multi-Faceted Concept for MRI in Children Aged 4–6. Eur. J. Radiol. 2018, 107, 183–187. [Google Scholar] [CrossRef]
- Lerwick, J.L. Minimizing Pediatric Healthcare-Induced Anxiety and Trauma. World J. Clin. Pediatr. 2016, 5, 143–150. [Google Scholar] [CrossRef]
- Callahan, M.; Cravero, J. Should I irradiate With Computed Tomography or Sedate for Magnetic Resonance Imaging? Pediatr. Radiol. 2022, 52, 340–344. [Google Scholar] [CrossRef]
- The Royal College of Radiologists. Paediatr. Trauma Protoc.; The Royal College of Radiologists: London, UK, 2014. [Google Scholar]
- Wiesinger, F.; Ho, M.-L. Zero-TE MRI: Principles and Applications in the Head and Neck. Br. J. Radiol. 2022, 95, 20220059. [Google Scholar] [CrossRef]
- Aydıngöz, Ü.; Yıldız, A.E.; Ergen, F.B. Zero Echo Time Musculoskeletal MRI: Technique, Optimization, Applications, and Pitfalls. RadioGraphics 2022, 42, 1398–1414. [Google Scholar] [CrossRef]
- Eisenmenger, L.B.; Peret, A.; Roberts, G.S.; Spahic, A.; Tang, C.; Kuner, A.D.; Grayev, A.M.; Field, A.S.; Rowley, H.A.; Kennedy, T.A. Focused Abbreviated Survey MRI Protocols for Brain and Spine Imaging. RadioGraphics 2023, 43, e220147. [Google Scholar] [CrossRef]
- Henry, M.; Scarlata, K.; Riesenburger, R.I.; Kryzanski, J.; Rideout, L.; Samdani, A.; Jea, A.; Hwang, S.W. Utility of STIR MRI in Pediatric Cervical Spine Clearance after Trauma: Clinical Article. J. Neurosurg. Pediatr. 2013, 12, 30–36. [Google Scholar] [CrossRef] [PubMed]
- Kumar, Y.; Hayashi, D. Role of Magnetic Resonance Imaging in Acute Spinal Trauma: A Pictorial Review. BMC Musculoskelet. Disord. 2016, 17, 310. [Google Scholar] [CrossRef] [PubMed]
- Saul, D.; Dresing, K. Epidemiology of Vertebral Fractures in Pediatric and Adolescent Patients. Pediatr. Rep. 2018, 10, 7232. [Google Scholar] [CrossRef]
- Compagnon, R.; Ferrero, E.; Leroux, J.; Lefevre, Y.; Journeau, P.; Vialle, R.; Glorion, C.; Violas, P.; Chalopin, A.; Odent, T.; et al. Epidemiology of Spinal Fractures in Children: Cross-Sectional Study. Orthop. Traumatol. Surg. Res. 2020, 106, 1245–1249. [Google Scholar] [CrossRef]
- Franklin, D.B.; Hardaway, A.T.; Sheffer, B.W.; Spence, D.D.; Kelly, D.M.; Muhlbauer, M.S.; Warner, W.C.; Sawyer, J.R. The Role of Computed Tomography and Magnetic Resonance Imaging in the Diagnosis of Pediatric Thoracolumbar Compression Fractures. J. Pediatr. Orthop. 2019, 39, e520–e523. [Google Scholar] [CrossRef] [PubMed]
- Junewick, J.J.; Borders, H.L.; Davis, A.T. Pediatric Thoracic Spine Injuries: A Single-Institution Experience. Am. J. Roentgenol. 2014, 203, 649–655. [Google Scholar] [CrossRef] [PubMed]
- Arkader, A.; Warner, W.C.; Tolo, V.T.; Sponseller, P.D.; Skaggs, D.L. Pediatric Chance Fractures: A Multicenter Perspective. J. Pediatr. Orthop. 2011, 31, 741–744. [Google Scholar] [CrossRef]
- Le, T.V.; Baaj, A.A.; Deukmedjian, A.; Uribe, J.S.; Vale, F.L. Chance Fractures in the Pediatric Population: A Review. J. Neurosurg. Pediatr. 2011, 8, 189–197. [Google Scholar] [CrossRef]
- de Gauzy, J.S.; Jouve, J.-L.; Violas, P.; Guillaume, J.-M.; Coutié, A.-S.; Chaumoitre, K.; Launay, F.; Bollini, G.; Cahuzac, J.-P.; Accadbled, F. Classification of Chance Fracture in Children Using Magnetic Resonance Imaging. Spine 2007, 32, E89–E92. [Google Scholar] [CrossRef]
- Groves, C.J.; Cassar-Pullicino, V.N.; Tins, B.J.; Tyrrell, P.N.M.; McCall, I.W. Chance-Type Flexion-Distraction Injuries in the Thoracolumbar Spine: MR Imaging Characteristics. Radiology 2005, 236, 601–608. [Google Scholar] [CrossRef]
- Beckmann, N.M.; Chinapuvvula, N.R.; Zhang, X.; West, O.C. Epidemiology and Imaging Classification of Pediatric Cervical Spine Injuries: 12-Year Experience at a Level 1 Trauma Center. Am. J. Roentgenol. 2020, 214, 1359–1368. [Google Scholar] [CrossRef] [PubMed]
- Riascos, R.; Bonfante, E.; Cotes, C.; Guirguis, M.; Hakimelahi, R.; West, C. Imaging of Atlanto-Occipital and Atlantoaxial Traumatic Injuries: What the Radiologist Needs to Know. RadioGraphics 2015, 35, 2121–2134. [Google Scholar] [CrossRef] [PubMed]
- Fiester, P.; Rao, D.; Soule, E.; Rahmathulla, G. Occipital Condylar Avulsion Fractures in the Acute Trauma Setting: Stable or Unstable Injury? Eur. Spine J. 2021, 30, 3128–3134. [Google Scholar] [CrossRef]
- Yamaguchi, K.T.; Myung, K.S.; Alonso, M.A.; Skaggs, D.L. Clay-Shoveler’s Fracture Equivalent in Children. Spine 2012, 37, E1672–E1675. [Google Scholar] [CrossRef] [PubMed]
- Schmitt, W.G.; Rücker, H.C. Long-term follow-up of stress injuries to the metaphyses and apophyses of the spinous processes of juvenile thoracic spines (Schmitt’s disease) (author’s transl). Rofo Fortschr. Geb. Rontgenstr. Nuklearmed. 1979, 131, 623–631. [Google Scholar] [CrossRef] [PubMed]
- Dellestable, F.; Gaucher, A. Clay-Shoveler’s Fracture. Stress Fracture of the Lower Cervical and Upper Thoracic Spinous Processes. Rev. Rhum. Engl. Ed. 1998, 65, 575–582. [Google Scholar]
- Cattrysse, E.; Barbero, M.; Kool, P.; Gagey, O.; Clarys, J.P.; Van Roy, P. 3D Morphometry of the Transverse and Alar Ligaments in the Occipito–Atlanto–Axial Complex: An in Vitro Analysis. Clin. Anat. 2007, 20, 892–898. [Google Scholar] [CrossRef]
- Dickman, C.A.; Mamourian, A.; Sonntag, V.K.H.; Drayer, B.P. Magnetic Resonance Imaging of the Transverse Atlantal Ligament for the Evaluation of Atlantoaxial Instability. J. Neurosurg. 1991, 75, 221–227. [Google Scholar] [CrossRef]
- Steinmetz, M.P.; Mroz, T.E.; Benzel, E.C. Craniovertebral Junction: Biomechanical Considerations. Neurosurgery 2010, 66, A7–A12. [Google Scholar] [CrossRef]
- Nidecker, A.; Shen, P. Magnetic Resonance Imaging of the Craniovertebral Junction Ligaments: Normal Anatomy and Traumatic Injury. J. Neurol. Surg. Part B Skull Base 2016, 77, 388–395. [Google Scholar] [CrossRef]
- Sethi, M.K.; Schoenfeld, A.J.; Bono, C.M.; Harris, M.B. The Evolution of Thoracolumbar Injury Classification Systems. Spine J. 2009, 9, 780–788. [Google Scholar] [CrossRef]
- Vaccaro, A.R.; Lehman, R.A.; Hurlbert, R.J.; Anderson, P.A.; Harris, M.; Hedlund, R.; Harrop, J.; Dvorak, M.; Wood, K.; Fehlings, M.G.; et al. A New Classification of Thoracolumbar Injuries. Spine 2005, 30, 2325–2333. [Google Scholar] [CrossRef] [PubMed]
- Dawkins, R.L.; Miller, J.H.; Ramadan, O.I.; Lysek, M.C.; Kuhn, E.N.; Rocque, B.G.; Conklin, M.J.; Tubbs, R.S.; Walters, B.C.; Agee, B.S.; et al. Thoracolumbar Injury Classification and Severity Score in Children: A Reliability Study. J. Neurosurg. Pediatr. 2018, 21, 284–291. [Google Scholar] [CrossRef] [PubMed]
- Sellin, J.N.; Steele, W.J.; Simpson, L.; Huff, W.X.; Lane, B.C.; Chern, J.J.; Fulkerson, D.H.; Sayama, C.M.; Jea, A. Multicenter Retrospective Evaluation of the Validity of the Thoracolumbar Injury Classification and Severity Score System in Children. J. Neurosurg. Pediatr. 2016, 18, 164–170. [Google Scholar] [CrossRef] [PubMed]
- Vaccaro, A.R.; Koerner, J.D.; Radcliff, K.E.; Oner, F.C.; Reinhold, M.; Schnake, K.J.; Kandziora, F.; Fehlings, M.G.; Dvorak, M.F.; Aarabi, B.; et al. AOSpine Subaxial Cervical Spine Injury Classification System. Eur. Spine J. 2016, 25, 2173–2184. [Google Scholar] [CrossRef]
- Mo, A.Z.; Miller, P.E.; Troy, M.J.; Rademacher, E.S.; Hedequist, D.J. The AOSpine Thoracolumbar Spine Injury Classification System: A Comparative Study with the Thoracolumbar Injury Classification System and Severity Score in Children. OTA Int. Open Access J. Orthop. Trauma 2019, 2, e036. [Google Scholar] [CrossRef]
- Mo, A.Z.; Miller, P.E.; Pizones, J.; Helenius, I.; Ruf, M.; El-Hawary, R.; de Oliveira, R.G.; Ovadia, D.; Kawakami, N.; Crawford, H.; et al. The Reliability of the AOSpine Thoracolumbar Spine Injury Classification System in Children: An International Validation Study. J. Child. Orthop. 2021, 15, 472–478. [Google Scholar] [CrossRef]
- Jacob, R.; Cox, M.; Koral, K.; Greenwell, C.; Xi, Y.; Vinson, L.; Reeder, K.; Weprin, B.; Huang, R.; Booth, T.N. MR Imaging of the Cervical Spine in Nonaccidental Trauma: A Tertiary Institution Experience. Am. J. Neuroradiol. 2016, 37, 1944–1950. [Google Scholar] [CrossRef]
- Ghanem, N.; Uhl, M.; Müller, C.; Elgeti, F.; Pache, G.; Kotter, E.; Markmiller, M.; Langer, M. MRI and Discography in Traumatic Intervertebral Disc Lesions. Eur. Radiol. 2006, 16, 2533–2541. [Google Scholar] [CrossRef]
- Kjaer, P.; Leboeuf-Yde, C.; Sorensen, J.S.; Bendix, T. An Epidemiologic Study of MRI and Low Back Pain in 13-Year-Old Children. Spine 2005, 30, 798–806. [Google Scholar] [CrossRef]
- Lund, T.; Schlenzka, D.; Lohman, M.; Ristolainen, L.; Kautiainen, H.; Klemetti, E.; Österman, K. The Intervertebral Disc during Growth: Signal Intensity Changes on Magnetic Resonance Imaging and Their Relevance to Low Back Pain. PLoS ONE 2022, 17, e0275315. [Google Scholar] [CrossRef]
- Paajanen, H.; Erkintalo, M.; Parkkola, R.; Salminen, J.; Kormano, M. Age-Dependent Correlation of Low-Back Pain and Lumbar Disc Degeneration. Arch. Orthop. Trauma Surg. 1997, 116, 106–107. [Google Scholar] [CrossRef]
- Flores, D.V.; Mejía Gómez, C.; Estrada-Castrillón, M.; Smitaman, E.; Pathria, M.N. MR Imaging of Muscle Trauma: Anatomy, Biomechanics, Pathophysiology, and Imaging Appearance. RadioGraphics 2018, 38, 124–148. [Google Scholar] [CrossRef] [PubMed]
- Soldatos, T.; Andreisek, G.; Thawait, G.K.; Guggenberger, R.; Williams, E.H.; Carrino, J.A.; Chhabra, A. High-Resolution 3-T MR Neurography of the Lumbosacral Plexus. RadioGraphics 2013, 33, 967–987. [Google Scholar] [CrossRef]
- Gilcrease-Garcia, B.M.; Deshmukh, S.D.; Parsons, M.S. Anatomy, Imaging, and Pathologic Conditions of the Brachial Plexus. RadioGraphics 2020, 40, 1686–1714. [Google Scholar] [CrossRef] [PubMed]
- Rutman, A.M.; Vranic, J.E.; Mossa-Basha, M. Imaging and Management of Blunt Cerebrovascular Injury. RadioGraphics 2018, 38, 542–563. [Google Scholar] [CrossRef] [PubMed]
- Nagpal, P.; Policeni, B.A.; Bathla, G.; Khandelwal, A.; Derdeyn, C.; Skeete, D. Blunt Cerebrovascular Injuries: Advances in Screening, Imaging, and Management Trends. Am. J. Neuroradiol. 2018, 39, 406–414. [Google Scholar] [CrossRef] [PubMed]
- Vranic, J.E.; Huynh, T.J.; Fata, P.; Barber, J.; Bonow, R.H.; Levitt, M.R.; Temkin, N.; Morton, R.; Kelly, C.; Shibata, D.K.; et al. The Ability of Magnetic Resonance Black Blood Vessel Wall Imaging to Evaluate Blunt Cerebrovascular Injury Following Acute Trauma. J. Neuroradiol. 2020, 47, 210–215. [Google Scholar] [CrossRef]
- Modic, M.T.; Weinstein, M.A.; Pavlicek, W.; Starnes, D.L.; Duchesneau, P.M.; Boumphrey, F.; Hardy, R.J. Nuclear Magnetic Resonance Imaging of the Spine. Radiology 1983, 148, 757–762. [Google Scholar] [CrossRef]
- Modic, M.; Weinstein, M.; Pavlicek, W.; Boumphrey, F.; Starnes, D.; Duchesneau, P. Magnetic Resonance Imaging of the Cervical Spine: Technical and Clinical Observations. Am. J. Roentgenol. 1983, 141, 1129–1136. [Google Scholar] [CrossRef]
- Shen, H.; Tang, Y.; Huang, L.; Yang, R.; Wu, Y.; Wang, P.; Shi, Y.; He, X.; Liu, H.; Ye, J. Applications of Diffusion-Weighted MRI in Thoracic Spinal Cord Injury without Radiographic Abnormality. Int. Orthop. 2007, 31, 375–383. [Google Scholar] [CrossRef] [PubMed]
- Yin, B.; Tang, Y.; Ye, J.; Wu, Y.; Wang, P.; Huang, L.; Yang, R.; Shen, H. Sensitivity and Specificity of in Vivo Diffusion-Weighted MRI in Acute Spinal Cord Injury. J. Clin. Neurosci. 2010, 17, 1173–1179. [Google Scholar] [CrossRef]
- Pouw, M.H.; Van Der Vliet, A.M.; Van Kampen, A.; Thurnher, M.M.; Van De Meent, H.; Hosman, A.J.F. Diffusion-Weighted MR Imaging within 24 h Post-Injury after Traumatic Spinal Cord Injury: A Qualitative Meta-Analysis between T2-Weighted Imaging and Diffusion-Weighted MR Imaging in 18 Patients. Spinal Cord 2012, 50, 426–431. [Google Scholar] [CrossRef] [PubMed]
- Shanmuganathan, K.; Zhuo, J.; Bodanapally, U.K.; Kuladeep, S.; Aarabi, B.; Adams, J.; Miller, C.; Gullapallie, R.P.; Menakar, J. Comparison of Acute Diffusion Tensor Imaging and Conventional Magnetic Resonance Parameters in Predicting Long-Term Outcome after Blunt Cervical Spinal Cord Injury. J. Neurotrauma 2020, 37, 458–465. [Google Scholar] [CrossRef]
- Talbott, J.F.; Huie, J.R.; Ferguson, A.R.; Bresnahan, J.C.; Beattie, M.S.; Dhall, S.S. MR Imaging for Assessing Injury Severity and Prognosis in Acute Traumatic Spinal Cord Injury. Radiol. Clin. N. Am. 2019, 57, 319–339. [Google Scholar] [CrossRef]
- Wang, M.; Dai, Y.; Han, Y.; Haacke, E.M.; Dai, J.; Shi, D. Susceptibility Weighted Imaging in Detecting Hemorrhage in Acute Cervical Spinal Cord Injury. Magn. Reson. Imaging 2011, 29, 365–373. [Google Scholar] [CrossRef]
- Haller, S.; Haacke, E.M.; Thurnher, M.M.; Barkhof, F. Susceptibility-Weighted Imaging: Technical Essentials and Clinical Neurologic Applications. Radiology 2021, 299, 3–26. [Google Scholar] [CrossRef]
- Audic, B.; Maury, M. Secondary Vertebral Deformities in Childhood and Adolescence: Abstract. Spinal Cord 1969, 7, 10–16. [Google Scholar] [CrossRef] [PubMed]
- Dreizin, D.; Kim, W.; Kim, J.S.; Boscak, A.R.; Bodanapally, U.K.; Munera, F.; Stein, D.M. Will the Real SCIWORA Please Stand Up? Exploring Clinicoradiologic Mismatch in Closed Spinal Cord Injuries. Am. J. Roentgenol. 2015, 205, 853–860. [Google Scholar] [CrossRef]
- Gargas, J.; Yaszay, B.; Kruk, P.; Bastrom, T.; Shellington, D.; Khanna, S. An Analysis of Cervical Spine Magnetic Resonance Imaging Findings after Normal Computed Tomographic Imaging Findings in Pediatric Trauma Patients: Ten-Year Experience of a Level I Pediatric Trauma Center. J. Trauma Acute Care Surg. 2013, 74, 1102–1107. [Google Scholar] [CrossRef] [PubMed]
- Zou, Z.; Teng, A.; Huang, L.; Luo, X.; Wu, X.; Zhang, H.; Chen, K. Pediatric Spinal Cord Injury without Radiographic Abnormality: The Beijing Experience. Spine 2021, 46, E1083–E1088. [Google Scholar] [CrossRef] [PubMed]
- Cattell, H.S.; Filtzer, D.L. Pseudosubluxation and Other Normal Variations in the Cervical Spine in Children. A Study of One Hundred and Sixty Children. J. Bone Jt. Surg. Am. 1965, 47, 1295–1309. [Google Scholar] [CrossRef]
- Swischuk, L.E. Anterior Displacement of C2 in Children: Physiologic or Pathologic? Radiology 1977, 122, 759–763. [Google Scholar] [CrossRef]
- Shaw, M.; Burnett, H.; Wilson, A.; Chan, O. Pseudosubluxation of C2 on C3 in Polytraumatized Children—Prevalence and Significance. Clin. Radiol. 1999, 54, 377–380. [Google Scholar] [CrossRef] [PubMed]
- O’Neill, C.; Wenzel, A.; Walterscheid, Z.; Carmouche, J. Distinguishing Pseudosubluxation from True Injury: A Case of C2-3 and C3-4 Subluxation in a Pediatric Patient. JAAOS Glob. Res. Rev. 2021, 5, e20.00238. [Google Scholar] [CrossRef]
- Swischuk, L.E.; Swischuk, P.N.; John, S.D. Wedging of C-3 in Infants and Children: Usually a Normal Finding and Not a Fracture. Radiology 1993, 188, 523–526. [Google Scholar] [CrossRef]
- Gaca, A.M.; Barnhart, H.X.; Bisset, G.S. Evaluation of Wedging of Lower Thoracic and Upper Lumbar Vertebral Bodies in the Pediatric Population. Am. J. Roentgenol. 2010, 194, 516–520. [Google Scholar] [CrossRef]
- Canadian STOPP Consortium National Pediatric Bone Health Working Group; Jaremko, J.L.; Siminoski, K.; Firth, G.B.; Matzinger, M.A.; Shenouda, N.; Konji, V.N.; Roth, J.; Sbrocchi, A.M.; Reed, M.H.; et al. Common Normal Variants of Pediatric Vertebral Development That Mimic Fractures: A Pictorial Review from a National Longitudinal Bone Health Study. Pediatr. Radiol. 2015, 45, 593–605. [Google Scholar] [CrossRef]
- Campbell, R.S.D.; Grainger, A.J.; Hide, I.G.; Papastefanou, S.; Greenough, C.G. Juvenile Spondylolysis: A Comparative Analysis of CT, SPECT and MRI. Skelet. Radiol. 2005, 34, 63–73. [Google Scholar] [CrossRef]
- Yamaguchi, K.T.; Skaggs, D.L.; Acevedo, D.C.; Myung, K.S.; Choi, P.; Andras, L. Spondylolysis Is Frequently Missed by MRI in Adolescents with Back Pain. J. Child. Orthop. 2012, 6, 237–240. [Google Scholar] [CrossRef]
- Ang, E.C.; Robertson, A.F.; Malara, F.A.; O’Shea, T.; Roebert, J.K.; Schneider, M.E.; Rotstein, A.H. Diagnostic Accuracy of 3-T Magnetic Resonance Imaging with 3D T1 VIBE versus Computer Tomography in Pars Stress Fracture of the Lumbar Spine. Skelet. Radiol. 2016, 45, 1533–1540. [Google Scholar] [CrossRef]
- Finkenstaedt, T.; Siriwanarangsun, P.; Achar, S.; Carl, M.; Finkenstaedt, S.; Abeydeera, N.; Chung, C.B.; Bae, W.C. Ultrashort Time-to-Echo Magnetic Resonance Imaging at 3 T for the Detection of Spondylolysis in Cadaveric Spines: Comparison with CT. Investig. Radiol. 2019, 54, 32–38. [Google Scholar] [CrossRef]
- Fujii, K.; Katoh, S.; Sairyo, K.; Ikata, T.; Yasui, N. Union of Defects in the Pars Interarticularis of the Lumbar Spine in Children and Adolescents: The Radiological Outcome after Conservative Treatment. J. Bone Jt. Surg. Br. 2004, 86-B, 225–231. [Google Scholar] [CrossRef] [PubMed]
- Hollenberg, G.M.; Beattie, P.F.; Meyers, S.P.; Weinberg, E.P.; Adams, M.J. Stress Reactions of the Lumbar Pars Interarticularis: The Development of a New MRI Classification System. Spine 2002, 27, 181–186. [Google Scholar] [CrossRef] [PubMed]
- Virkki, E.; Holstila, M.; Mattila, K.; Pajulo, O.; Helenius, I. Radiographic Outcomes of Immobilization Using Boston Brace for Pediatric Spondylolysis. Scand. J. Surg. 2021, 110, 271–275. [Google Scholar] [CrossRef]
- Augusto, A.C.D.L.; Goes, P.C.K.; Flores, D.V.; Costa, M.A.F.; Takahashi, M.S.; Rodrigues, A.C.O.; Padula, L.C.; Gasparetto, T.D.; Nogueira-Barbosa, M.H.; Aihara, A.Y. Imaging Review of Normal and Abnormal Skeletal Maturation. RadioGraphics 2022, 42, 861–879. [Google Scholar] [CrossRef]
- Jaimes, C.; Chauvin, N.A.; Delgado, J.; Jaramillo, D. MR Imaging of Normal Epiphyseal Development and Common Epiphyseal Disorders. RadioGraphics 2014, 34, 449–471. [Google Scholar] [CrossRef]
- Woo, T.D.; Tony, G.; Charran, A.; Lalam, R.; Singh, J.; Tyrrell, P.N.M.; Cassar-Pullicino, V.N. Radiographic Morphology of Normal Ring Apophyses in the Immature Cervical Spine. Skelet. Radiol. 2018, 47, 1221–1228. [Google Scholar] [CrossRef] [PubMed]
- Costa, L.; De Reuver, S.; Kan, L.; Seevinck, P.; Kruyt, M.C.; Schlosser, T.P.C.; Castelein, R.M. Ossification and Fusion of the Vertebral Ring Apophysis as an Important Part of Spinal Maturation. J. Clin. Med. 2021, 10, 3217. [Google Scholar] [CrossRef]
- Lawson, J.P.; Ogden, J.A.; Bucholz, R.W.; Hughes, S.A. Physeal Injuries of the Cervical Spine. J. Pediatr. Orthop. 1987, 7, 428–435. [Google Scholar] [CrossRef]
- Enzmann, D.R.; Rubin, J.B.; DeLaPaz, R.; Wright, A. Cerebrospinal Fluid Pulsation: Benefits and Pitfalls in MR Imaging. Radiology 1986, 161, 773–778. [Google Scholar] [CrossRef] [PubMed]
- Lisanti, C.; Carlin, C.; Banks, K.P.; Wang, D. Normal MRI Appearance and Motion-Related Phenomena of CSF. Am. J. Roentgenol. 2007, 188, 716–725. [Google Scholar] [CrossRef] [PubMed]
- Peschke, E.; Ulloa, P.; Jansen, O.; Hoevener, J.-B. Metallic Implants in MRI—Hazards and Imaging Artifacts. RöFo-Fortschr. Auf. Dem Geb. Röntgenstrahlen Bildgeb. Verfahr. 2021, 193, 1285–1293. [Google Scholar] [CrossRef] [PubMed]
- ACR Committee on MR Safety. ACR Manual on MR Safety Version 1.0. 2020. Available online: https://www.acr.org/-/media/ACR/Files/Radiology-Safety/MR-Safety/Manual-on-MR-Safety.pdf (accessed on 29 May 2023).


























| Bony Injuries | Ligamentous Injuries | Spinal Cord Injuries | Miscellaneous Injuries | Pitfalls |
|---|---|---|---|---|
| Bone bruises Simple compressions Burst fractures Chance fractures Avulsion fractures Posterior arch fractures | Craniocervical ligaments Posterior ligamentous complex Anterior and posterior longitudinal ligaments | Spinal cord transection Spinal cord contusion SCIWORA | Intervertebral disc injury Muscle injury Nerve plexus injury Vascular injury | Cervical pseudosubluxation Vertebral wedging Juvenile spondylosis Normal appearance of skeletal maturation Pulsation artifacts Motion artifacts Metal-induced artifacts |
Disclaimer/Publisher’s Note: The statements, opinions and data contained in all publications are solely those of the individual author(s) and contributor(s) and not of MDPI and/or the editor(s). MDPI and/or the editor(s) disclaim responsibility for any injury to people or property resulting from any ideas, methods, instructions or products referred to in the content. |
© 2023 by the authors. Licensee MDPI, Basel, Switzerland. This article is an open access article distributed under the terms and conditions of the Creative Commons Attribution (CC BY) license (https://creativecommons.org/licenses/by/4.0/).
Share and Cite
Sirén, A.; Nyman, M.; Syvänen, J.; Mattila, K.; Hirvonen, J. Emergency MRI in Spine Trauma of Children and Adolescents—A Pictorial Review. Children 2023, 10, 1094. https://doi.org/10.3390/children10071094
Sirén A, Nyman M, Syvänen J, Mattila K, Hirvonen J. Emergency MRI in Spine Trauma of Children and Adolescents—A Pictorial Review. Children. 2023; 10(7):1094. https://doi.org/10.3390/children10071094
Chicago/Turabian StyleSirén, Aapo, Mikko Nyman, Johanna Syvänen, Kimmo Mattila, and Jussi Hirvonen. 2023. "Emergency MRI in Spine Trauma of Children and Adolescents—A Pictorial Review" Children 10, no. 7: 1094. https://doi.org/10.3390/children10071094
APA StyleSirén, A., Nyman, M., Syvänen, J., Mattila, K., & Hirvonen, J. (2023). Emergency MRI in Spine Trauma of Children and Adolescents—A Pictorial Review. Children, 10(7), 1094. https://doi.org/10.3390/children10071094

