Investigation of the Relationship of Impacted Maxillary Canines with Orthodontic Malocclusion: A Retrospective Study
Abstract
1. Introduction
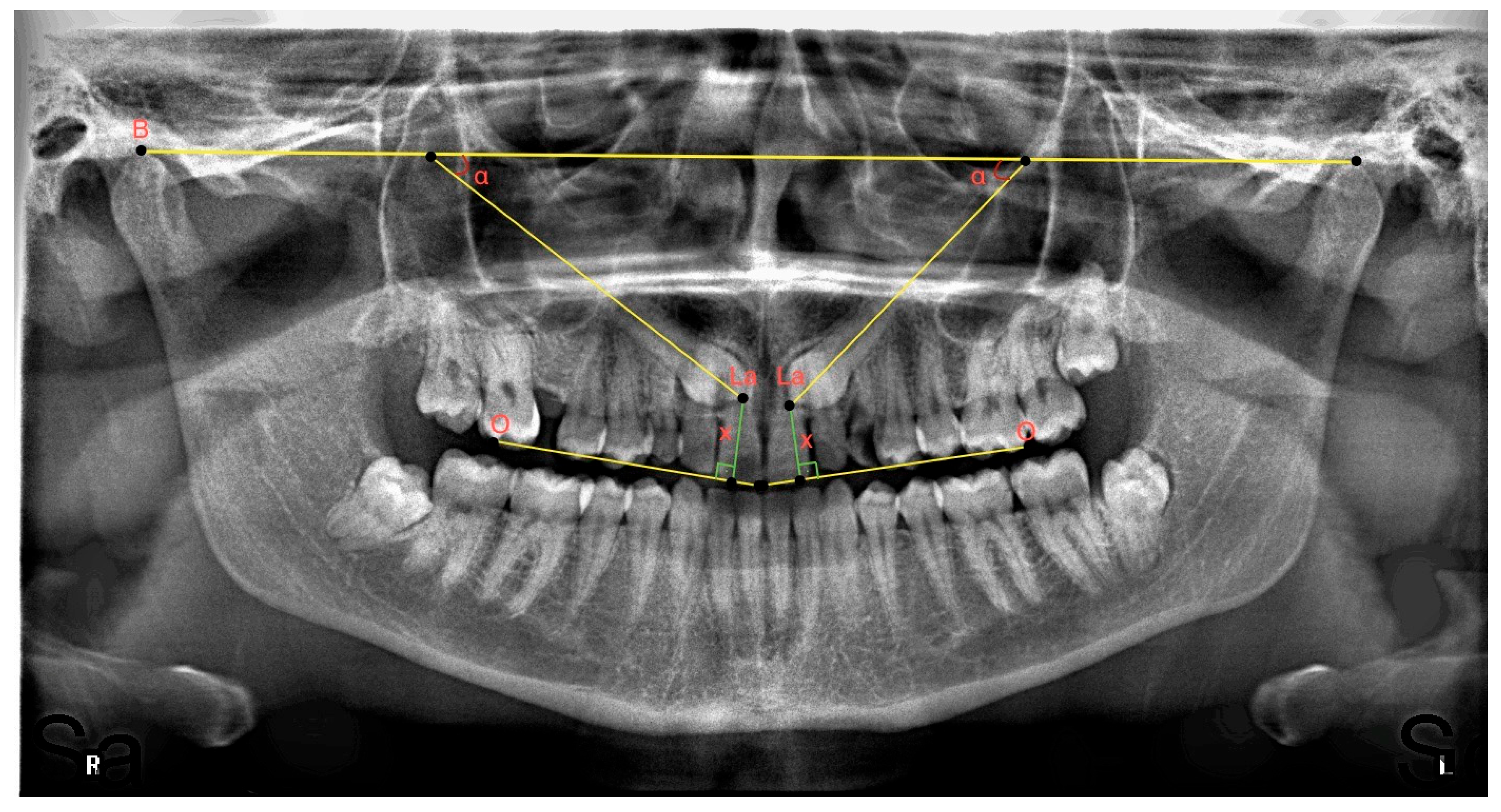
2. Materials and Methods
- Skeletal Class I: ANB angle between 0 and 4.
- Skeletal Class II: ANB angle above 4.
- Skeletal Class III: ANB angle less than 0 [19].
- Angle Class I: neutral bite in which the mesiobuccal tubercle of the maxillary first molar fits into the buccal sulcus of the mandibular first molar.
- Angle Class II: a bite in which the mandibular first molar is more distal than in angle Class I.
- Angle Class III: a bite in which the mandibular first molar is more mesial than angle Class I [20].
Statistical Analysis
3. Results
4. Discussion
5. Conclusions
- ✓
- Maxillary canine impaction is approximately two times more common in females than in males.
- ✓
- Unilateral impaction is more common than bilateral impaction.
- ✓
- Bilateral maxillary canine impactions are more common in skeletal Class III patients than unilateral impactions.
- ✓
- As the relationship of the impacted maxillary canine to the adjacent lateral tooth increases (going from sector 1 to 4), the angle decreases, the distance to the occlusal plane increases, the tooth transitions to a more horizontal impacted position, and the probability of the tooth remaining impacted increases.
- ✓
- The canine angle is lower in females and dental Class II patients.
- ✓
- Evaluation of skeletal and dental status with early orthodontic examination provides important prediction of impaction of maxillary canines.
Author Contributions
Funding
Institutional Review Board Statement
Informed Consent Statement
Data Availability Statement
Acknowledgments
Conflicts of Interest
References
- Cruz, R.M. Orthodontic traction of impacted canines: Concepts and clinical application. Dent. Press J. Orthod. 2019, 24, 74–87. [Google Scholar] [CrossRef] [PubMed]
- Khalid, M.; Aslam, M.; Aminwala, M.S.; Shaikh, W.G.; Azfar, M.; Khawar, N. Pattern and Prevalence of Maxillary Canine, A CBCT Based Study. Pak. J. Med. Health Sci. 2022, 16, 437. [Google Scholar]
- Abutayyem, H.; Fouly, F.; Awny, N.; El-Marsafawy, T.; Ghanem, R. Prevalence of impacted maxillary canines and its associated anomalies among a dental college patients. EC Dent. Sci. 2019, 18, 2048–2058. [Google Scholar]
- Alyami, B.; Braimah, R.; Alharieth, S. Prevalence and pattern of impacted canines in Najran, South Western Saudi Arabian population. Saudi Dent. J. 2020, 32, 300–305. [Google Scholar] [CrossRef]
- Brook, A.H. Multilevel complex interactions between genetic, epigenetic and environmental factors in the aetiology of anomalies of dental development. Arch. Oral Biol. 2009, 54, 3–17. [Google Scholar] [CrossRef] [PubMed]
- Mohammad, R.J. Orthodontic Evaluation of Impacted Maxillary Canine by Panoramic Radiograph–A Literature Review. J. Med. Dent. 2021, 9, 220–227. [Google Scholar]
- Pop, S.I.; Contac, L.R.; Ghiman, A.; Moldovan, D.; Suciu, V.; Kantor, J.; Bratu, D.C.; Buduru, S.D. Evaluation of the correlation between impacted canine and malocclusions. Acta Stomatol. Marisiensis J. 2020, 3, 275–281. [Google Scholar] [CrossRef]
- Aljabri, M.; Aljameel, S.S.; Min-Allah, N.; Alhuthayfi, J.; Alghamdi, L.; Alduhailan, N.; Alfehaid, R.; Alqarawi, R.; Alhareky, M.; Shahin, S.Y.; et al. Canine impaction classification from panoramic dental radiographic images using deep learning models. Inform. Med. Unlocked 2022, 30, 100918. [Google Scholar] [CrossRef]
- Naoumova, J.; Kurol, J.; Kjellberg, H. Extraction of the deciduous canine as an interceptive treatment in children with palatal displaced canines—Part I: Shall we extract the deciduous canine or not? Eur. J. Orthod. 2015, 37, 209–218. [Google Scholar] [CrossRef] [PubMed]
- Abu-Hussein, M.; Watted, N.; Azzaldeen, A.; Yehia, M.; Awadi, O.; Abu-Hussein, Y. Prevalence of Malocclusion and Impacted Canine in Arab Israelian Population (Arab48). Int. J. Public Health Res. 2015, 3, 180–191. [Google Scholar]
- Ajami, S.; Shahidi, S.; Azadeh, N.; Jalali, H.N.; Zare, M. Difficulty of palatal impacted canine treatment in different sagittal and vertical skeletal malocclusions: A retrospective 3D evaluation. Int. Orthod. 2020, 18, 89–95. [Google Scholar] [CrossRef] [PubMed]
- Nieri, M.; Crescini, A.; Rotundo, R.; Baccetti, T.; Cortellini, P.; Prato, G.P.P. Factors affecting the clinical approach to impacted maxillary canines: A Bayesian network analysis. Am. J. Orthod. Dentofac. Orthop. 2010, 137, 755–762. [Google Scholar] [CrossRef] [PubMed]
- Zuccati, G.; Ghobadlu, J.; Nieri, M.; Clauser, C. Factors associated with the duration of forced eruption of impacted maxillary canines: A retrospective study. Am. J. Orthod. Dentofac. Orthop. 2006, 130, 349–356. [Google Scholar] [CrossRef] [PubMed]
- Stewart, J.A.; Heo, G.; Glover, K.E.; Williamson, P.C.; Lam, E.W.; Major, P.W. Factors that relate to treatment duration for patients with palatally impacted maxillary canines. Am. J. Orthod. Dentofac. Orthop. 2001, 119, 216–225. [Google Scholar] [CrossRef] [PubMed]
- Grisar, K.; Luyten, J.; Preda, F.; Martin, C.; Hoppenreijs, T.; Politis, C.; Jacobs, R. Interventions for impacted maxillary canines: A systematic review of the relationship between initial canine position and treatment outcome. Orthod. Craniofac. Res. 2021, 2, 180–193. [Google Scholar] [CrossRef]
- Hong, W.H.; Radfar, R.; Chung, C.H. Relationship between the maxillary transverse dimension and palatally displaced canines: A cone-beam computed tomographic study. Angle Orthod. 2015, 85, 440–445. [Google Scholar] [CrossRef]
- Larsen, H.J.; Sørensen, H.B.; Artmann, L.; Christensen, I.J.; Kjaer, I. Sagittal, vertical and transversal dimensions of the maxillary complex in patients with ectopic maxillary canines. Orthod. Craniofac. Res. 2010, 13, 34–39. [Google Scholar] [CrossRef]
- Jankowska, A.; Janiszewska-Olszowska, J.; Grocholewicz, K. Nasal morphology and its correlation to craniofacial morphology in lateral cephalometric analysis. Int. J. Environ. Res. Public Health 2021, 18, 3064. [Google Scholar] [CrossRef]
- Kalabalık, F.; Şahin, O. Evaluation of stylohyoid complex in subjects with different types of malocclusions using cone-beam computed tomography: A retrospective study in a Turkish subpopulation. Surg. Radiol. Anat. 2020, 42, 1095–1100. [Google Scholar] [CrossRef]
- Tafala, I.; Bourzgui, F.; Othmani, M.B.; Azmi, M. Automatic Classification of Malocclusion. Procedia Comput. Sci. 2022, 210, 301–304. [Google Scholar] [CrossRef]
- Lindauer, S.J.; Rubenstein, L.K.; Hang, W.M.; Andersen, W.C.; Isaacson, R.J. Canine impaction identified early with panoramic radiographs. J. Am. Dent. Assoc. 1992, 123, 91–97. [Google Scholar] [CrossRef] [PubMed]
- Ismail, A.F.; Sharuddin, N.F.A.; Asha’ari, N.H.; Ali, M.A.M.; Zainol, I.Z.; Alotaibi, L.H.; Mallineni, S.K. Risk Prediction of Maxillary Canine Impaction among 9-10-Year-Old Malaysian Children: A Radiographic Study. BioMed Res. Int. 2022, 2022, 5579243. [Google Scholar] [CrossRef] [PubMed]
- Malik, D.E.S.; Fida, M.; Sukhia, R.H. Correlation between radiographic parameters for the prediction of palatally impacted maxillary canines. J. Orthod. 2019, 46, 6–13. [Google Scholar] [CrossRef] [PubMed]
- Eslami, E.; Barkhordar, H.; Abramovitch, K.; Kim, J.; Masoud, M.I. Cone-beam computed tomography vs conventional radiography in visualization of maxillary impacted-canine localization: A systematic review of comparative studies. Am. J. Orthod. Dentofac. Orthop. 2017, 151, 248–258. [Google Scholar] [CrossRef] [PubMed]
- Oberoi, S.; Knueppel, S. Three-dimensional assessment of impacted canines and root resorption using cone beam computed tomography. Oral Surg. Oral Med. Oral Pathol. Oral Radiol. 2012, 113, 260–267. [Google Scholar] [CrossRef] [PubMed]
- Arandi, N.; Rabi, T.; Mustafa, S. The prevalence of impacted maxillary canines in a Palestinian population: A retrospective study. Open J. Stomatol. 2017, 7, 283–290. [Google Scholar] [CrossRef]
- Jameel, K.; Tanveer Hussain, B.; Ali, A.; Dila Baz, K. Prevalence and patterns of impacted maxillary canine in a Peshawar sample. J. Pak. Dent. Assoc. 2015, 35, 57–60. [Google Scholar]
- Razeghinejad, M.H.; Bardal, R.; Shahi, S.; Mortezapoor, E.; Mostafavi, M. Volumetric Evaluation of Maxillary Lateral Incisor Root Resorption due to Positional Variations of Impacted Canine. Int. J. Dent. 2022, 2022, 2626222. [Google Scholar] [CrossRef]
- Guarnieri, R.; Cavallini, C.; Vernucci, R.; Vichi, M.; Leonardi, R.; Barbato, E. Impacted maxillary canines and root resorption of adjacent teeth: A retrospective observational study. Med. Oral Patol. Oral Cir. Bucal. 2016, 21, 743–750. [Google Scholar] [CrossRef]
- Dağsuyu, İ.M.; Kahraman, F.; Okşayan, R. Three-dimensional evaluation of angular, linear, and resorption features of maxillary impacted canines on cone-beam computed tomography. Oral Radiol. 2018, 34, 66–72. [Google Scholar] [CrossRef]
- Hamada, Y.; Timothius, C.J.C.; Shin, D.; John, V. Canine impaction–A review of the prevalence, etiology, diagnosis and treatment. Semin. Orthod. 2019, 25, 117–123. [Google Scholar] [CrossRef]
- Tetay-Salgado, S.; Arriola-Guillén, L.-E.; Ruíz-Mora, G.-A.; Aliaga-Del Castillo, A.; Rodríguez-Cárdenas, Y.-A. Prevalence of impacted teeth and supernumerary teeth by radiographic evaluation in three Latin American countries: A cross-sectional study. J. Clin. Exp. Dent. 2021, 13, 363–368. [Google Scholar] [CrossRef] [PubMed]
- Bekiroglu, N.; Mete, S.; Ozbay, G.; Yalcinkaya, S.; Kargul, B. Evaluation of panoramic radiographs taken from 1,056 Turkish children. Niger. J. Clin. Pract. 2015, 18, 8–12. [Google Scholar] [PubMed]
- Sudhakar, S.; Patil, K.; Mahima, V. Localization of impacted permanent maxillary canine using single panoramic radiograph. Indian J. Dent. Res. 2009, 20, 340–345. [Google Scholar]
- Becker, A.; Chaushu, S. Etiology of maxillary canine impaction: A review. Am. J. Orthod. Dentofac. Orthop. 2015, 148, 557–567. [Google Scholar] [CrossRef]


| Females | Males | Total | |
|---|---|---|---|
| Gender | 101 (67%) | 50 (33%) | 151 (100%) |
| Age (mean ± SD) | 17.06 ± 3.9 | 15.5 ± 2.6 | 16.56 ± 3.6 |
| Right maxillary canine impacted patient | 45 (30%) | 9 (6%) | 54 (36%) |
| Left maxillary canine impacted patient | 31 (20%) | 24 (16%) | 55 (36%) |
| Bilateral canine impacted patient | 25 (17%) | 17 (11%) | 42 (28%) |
| Total canine impacted patient | 101 (67%) | 50 (33%) | 151 (100%) |
| Groups | Impacted Canine #13 | Impacted Canine #23 | Bilateral Impacted Canines #13, 23 | Total | X2 | df | p | |
|---|---|---|---|---|---|---|---|---|
| Gender | Female Male | 45 a 9 a | 31 b 24 b | 25 b 17 b | 101 50 | 10.373 | 2 | 0.006 * |
| Angle molar classification | Class I Class II Class III | 18 a 27 a,b 9 a | 17 a 34 b 4 a | 22 a 12 a 8 a | 57 73 21 | 11.670 | 4 | 0.02 * |
| Age | 13–16 years 17–20 years Over 21 years | 29 a 16 a 9 a | 33 a 13 a 9 a | 32 a 5 a 5 a | 94 34 23 | 5.758 | 4 | 0.218 |
| Skeletal classification | Class I Class II Class III | 36 a 11 a 7 a | 37 a 13 a 5 a | 23 a 5 a 14 b | 96 29 26 | 11.491 | 4 | 0.02 * |
| Total | 54 | 55 | 42 | 151 |
| Groups | N | Mean ± SD | Canine Angle (Mean Ranks) | p | |
|---|---|---|---|---|---|
| Gender | Female 1 | 126 | 61.78 ± 19.17 | 86.29 2 | <0.001 * K |
| Male 2 | 67 | 71.01 ± 16.07 | 117.14 1 | ||
| Dual differences | p | 0.000 * m | |||
| Age | 13–16 years 1 17–20 years 2 Over 21 years 3 | 123 43 27 | 68.88 ± 17.98 59.38 ± 17.40 56.18 ± 18.84 | 108.96 2,3 79.03 1 71.15 1 | <0.001 * K |
| Dual differences | p | 0.002 * m | |||
| Angle molar classification | Class I 1 Class II 2 Class III 3 | 80 85 28 | 68.58 ± 16.99 59.63 ± 19.31 70.98 ± 17.31 | 106.33 2 81.68 1,3 116.86 2 | 0.002 * K |
| Dual differences | p | 0.005 * m | |||
| Skeletal classification | Class I 1 Class II 2 Class III 3 | 120 34 39 | 63.37 ± 18.93 64.68 ± 18.54 70.23 ± 17.26 | 92.40 94.15 113.63 | 0.113 K |
| Dual differences | p | 0.127 m | |||
| Sector classification | Sector 1 1 Sector 2 2 Sector 3 3 Sector 4 4 | 64 38 15 76 | 78.74 ± 14.61 69.90 ± 13.05 61.96 ± 9.56 51.54 ± 15.82 | 142.87 2,3,4 109.49 1,3,4 79.87 1,2,4 55.51 1,2,3 | <0.001 * K |
| Dual differences | p | 0.000 * m | |||
| Impaction | Impacted canine #13 1 | 96 | 64.61 ± 18.37 | 95.40 | 0.691 K |
| Impacted canine #23 2 | 97 | 65.36 ± 18.98 | 98.59 | ||
| Dual differences | p | 0.691 m |
| Groups | N | Mean ± SD | Canine Distance (Mean Ranks) | p | |
|---|---|---|---|---|---|
| Gender | Female 1 | 126 | 9.89 ± 3.75 | 97.38 | 0.897 K |
| Male 2 | 67 | 9.89 ± 3.71 | 96.28 | ||
| Dual differences | p | 0.897 m | |||
| Age | 13–16 years 1 17–20 years 2 Over 21 years 3 | 123 43 27 | 9.69 ± 3.87 10.40 ± 3.43 10.01 ± 3.51 | 93.04 106.08 100.57 | 0.393 K |
| Dual differences | p | 0.534 m | |||
| Angle molar classification | Class I 1 Class II 2 Class III 3 | 80 85 28 | 9.21 ± 3.48 10.76 ± 3.89 9.25 ± 3.42 | 86.89 2 109.11 1 89.13 | 0.028 * K |
| Dual differences | p | 0.013 * m | |||
| Skeletal classification | Class I 1 Class II 2 Class III 3 | 120 34 39 | 9.90 ± 3.94 9.75 ± 3.82 10.06 ± 2.95 | 95.67 95.76 102.18 | 0.810 K |
| Dual differences | p | 0.527 m | |||
| Sector classification | Sector 1 1 Sector 2 2 Sector 3 3 Sector 4 4 | 64 38 15 76 | 8.74 ± 4.14 9.19 ± 2.72 9.65 ± 2.81 11.26 ± 3.56 | 76.40 4 86.97 4 97.60 119.24 1,2 | <0.001 * K |
| Dual differences | p | 0.001 * m | |||
| Impaction | Impacted canine #13 1 | 96 | 9.43 ± 3.56 | 91.20 | 0.151 K |
| Impacted canine #23 2 | 97 | 10.35 ± 3.84 | 102.74 | ||
| Dual differences | p | 0.151 m |
Disclaimer/Publisher’s Note: The statements, opinions and data contained in all publications are solely those of the individual author(s) and contributor(s) and not of MDPI and/or the editor(s). MDPI and/or the editor(s) disclaim responsibility for any injury to people or property resulting from any ideas, methods, instructions or products referred to in the content. |
© 2023 by the authors. Licensee MDPI, Basel, Switzerland. This article is an open access article distributed under the terms and conditions of the Creative Commons Attribution (CC BY) license (https://creativecommons.org/licenses/by/4.0/).
Share and Cite
Cicek, O.; Gurel, T.; Demir Cicek, B. Investigation of the Relationship of Impacted Maxillary Canines with Orthodontic Malocclusion: A Retrospective Study. Children 2023, 10, 950. https://doi.org/10.3390/children10060950
Cicek O, Gurel T, Demir Cicek B. Investigation of the Relationship of Impacted Maxillary Canines with Orthodontic Malocclusion: A Retrospective Study. Children. 2023; 10(6):950. https://doi.org/10.3390/children10060950
Chicago/Turabian StyleCicek, Orhan, Turhan Gurel, and Busra Demir Cicek. 2023. "Investigation of the Relationship of Impacted Maxillary Canines with Orthodontic Malocclusion: A Retrospective Study" Children 10, no. 6: 950. https://doi.org/10.3390/children10060950
APA StyleCicek, O., Gurel, T., & Demir Cicek, B. (2023). Investigation of the Relationship of Impacted Maxillary Canines with Orthodontic Malocclusion: A Retrospective Study. Children, 10(6), 950. https://doi.org/10.3390/children10060950

