Guided Autotransplantation of Impacted Canines Using a CAD/CAM Surgical Template
Abstract
1. Introduction
2. Fabrication of Surgical Template
3. Case Presentation
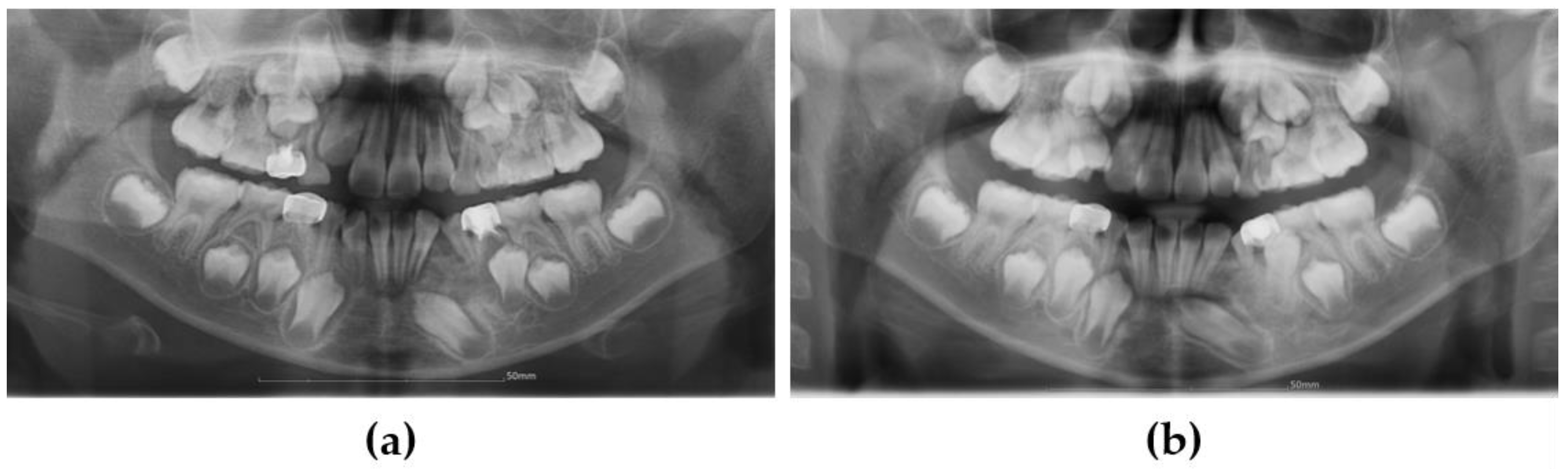
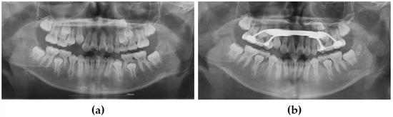
3.1. Case 1
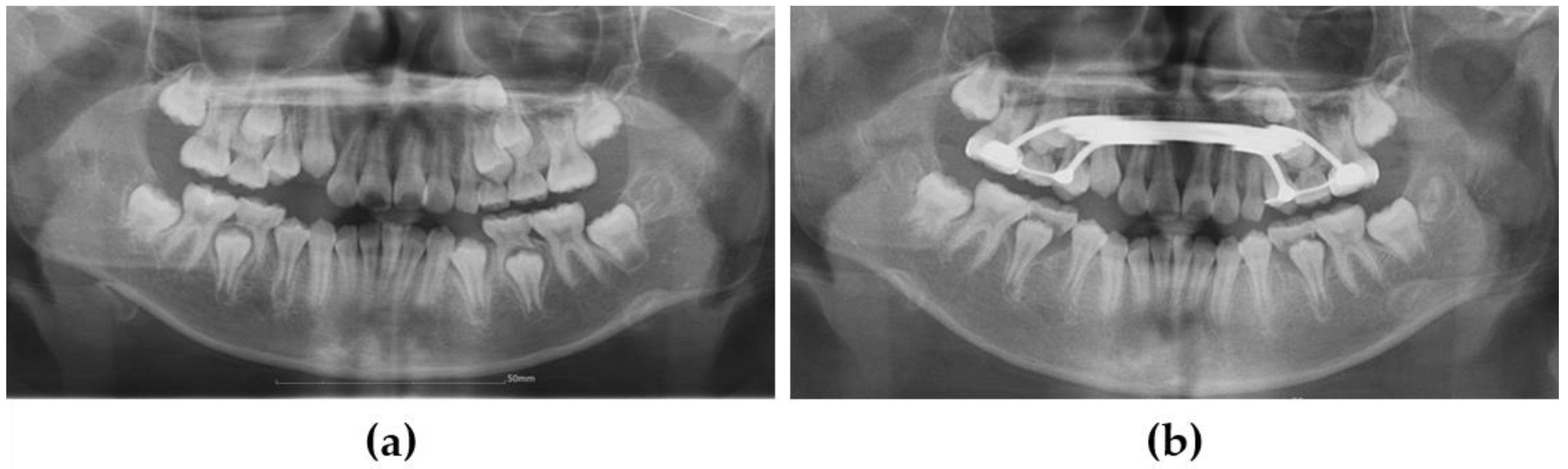
3.2. Case 2
4. Discussion
5. Conclusions
Author Contributions
Funding
Institutional Review Board Statement
Informed Consent Statement
Conflicts of Interest
References
- Ericson, S.; Kurol, J. Early treatment of palatally erupting maxillary canines by extraction of the primary canines. Eur. J. Orthod. 1988, 10, 283–295. [Google Scholar] [CrossRef] [PubMed]
- Hamada, Y.; Timothius, C.J.C.; Shin, D.; John, V. Canine impaction—A review of the prevalence, etiology, diagnosis and treatment. Semin. Orthod. 2019, 25, 117–123. [Google Scholar] [CrossRef]
- Tsukiboshi, M. Autotransplantation of teeth: Requirements for predictable success. Dent. Traumatol. 2002, 18, 157–180. [Google Scholar] [CrossRef] [PubMed]
- Korean Academy of Pediatric Dentistry. Textbook of Pediatric Dentistry, 5th ed.; Yenang Inc.: Seoul, Republic of Korea, 2014; pp. 552–556. [Google Scholar]
- Kim, M.; Lee, H.; Nam, O.; Choi, S. Autotransplantation: A Reliable Treatment Modality for Severely Malpositioned Teeth. J. Clin. Pediatr. Dent. 2017, 41, 388–391. [Google Scholar] [CrossRef] [PubMed]
- Henprasert, P.; Dawson, D.V.; El-Kerdani, T.; Song, X.; Couso-Queiruga, E.; Holloway, J.A. Comparison of the Accuracy of Implant Position Using Surgical Guides Fabricated by Additive and Subtractive Techniques. J. Prosthodont. 2020, 29, 534–541. [Google Scholar] [CrossRef] [PubMed]
- Kim, D.; Hyun, H.; Kim, Y.; Jang, K. Prognostic Factors Influencing Survival and Success Rates of Autotransplanted Maxillary Canine. J. Korean Acad. Pediatr. Dent. 2017, 44, 317–326. [Google Scholar] [CrossRef]
- Fedorov, A.; Beichel, R.; Kalpathy-Cramer, J.; Finet, J.; Fillion-Robin, J.C.; Pujol, S.; Bauer, C.; Jennings, D.; Fennessy, F.; Sonka, M.; et al. 3D Slicer as an image computing platform for the Quantitative Imaging Network. Magn. Reson. Imaging 2012, 30, 1323–1341. [Google Scholar] [CrossRef] [PubMed]
- Andreasen, J.O.; Paulsen, H.U.; Yu, Z.; Bayer, T.; Schwartz, O. A long-term study of 370 autotransplanted premolars. Part II. Tooth survival and pulp healing subsequent to transplantation. Eur. J. Orthod. 1990, 12, 14–24. [Google Scholar] [CrossRef] [PubMed]
- Andreasen, J.O.; Paulsen, H.U.; Yu, Z.; Schwartz, O. A long-term study of 370 autotransplanted premolars. Part III. Periodontal healing subsequent to transplantation. Eur. J. Orthod. 1990, 12, 25–37. [Google Scholar] [CrossRef] [PubMed]
- Kallu, R.; Vinckier, F.; Politis, C.; Mwalili, S.; Willems, G. Tooth transplantations: A descriptive retrospective study. Int. J. Oral Maxillofac. Surg. 2005, 34, 745–755. [Google Scholar] [CrossRef] [PubMed]
- Nolla, C. The development of the permanent teeth. J. Dent. Child 1960, 27, 254–266. [Google Scholar]
- Fouad, A.F.; Abbott, P.V.; Tsilingaridis, G.; Cohenca, N.; Lauridsen, E.; Bourguignon, C.; O’Connell, A.; Flores, M.T.; Day, P.F.; Hicks, L.; et al. International Association of Dental Traumatology guidelines for the management of traumatic dental injuries: 2. Avulsion of permanent teeth. Dent. Traumatol. 2020, 36, 331–342. [Google Scholar] [CrossRef] [PubMed]
- Strbac, G.D.; Schnappauf, A.; Giannis, K.; Bertl, M.H.; Moritz, A.; Ulm, C. Guided Autotransplantation of Teeth: A Novel Method Using Virtually Planned 3-dimensional Templates. J. Endod. 2016, 42, 1844–1850. [Google Scholar] [CrossRef] [PubMed]
- Jung, J.; Park, H.; Lee, J.; Seo, H. Autotransplantation of Tooth with Immature Root Formation. J. Korean Acad. Pediatr. Dent. 2012, 39, 66–72. [Google Scholar] [CrossRef]
- Vitale, M.C.; Nardi, M.G.; Pellegrini, M.; Spadari, F.; Pulicari, F.; Alcozer, R.; Minardi, M.; Sfondrini, M.F.; Bertino, K.; Scribante, A. Impacted Palatal Canines and Diode Laser Surgery: A Case Report. Case Rep. Dent. 2022, 2022, 3973382. [Google Scholar] [CrossRef] [PubMed]
- Grisar, K.; Luyten, J.; Preda, F.; Martin, C.; Hoppenreijs, T.; Politis, C.; Jacobs, R. Interventions for impacted maxillary canines: A systematic review of the relationship between initial canine position and treatment outcome. Orthod. Craniofac. Res. 2020, 24, 180–193. [Google Scholar] [CrossRef] [PubMed]








Disclaimer/Publisher’s Note: The statements, opinions and data contained in all publications are solely those of the individual author(s) and contributor(s) and not of MDPI and/or the editor(s). MDPI and/or the editor(s) disclaim responsibility for any injury to people or property resulting from any ideas, methods, instructions or products referred to in the content. |
© 2023 by the authors. Licensee MDPI, Basel, Switzerland. This article is an open access article distributed under the terms and conditions of the Creative Commons Attribution (CC BY) license (https://creativecommons.org/licenses/by/4.0/).
Share and Cite
Park, S.; Lee, H.; Lee, E.; Jeong, T.; Lee, H.; Shin, J. Guided Autotransplantation of Impacted Canines Using a CAD/CAM Surgical Template. Children 2023, 10, 708. https://doi.org/10.3390/children10040708
Park S, Lee H, Lee E, Jeong T, Lee H, Shin J. Guided Autotransplantation of Impacted Canines Using a CAD/CAM Surgical Template. Children. 2023; 10(4):708. https://doi.org/10.3390/children10040708
Chicago/Turabian StylePark, Soyoung, Haena Lee, Eungyung Lee, Taesung Jeong, Hyeonjong Lee, and Jonghyun Shin. 2023. "Guided Autotransplantation of Impacted Canines Using a CAD/CAM Surgical Template" Children 10, no. 4: 708. https://doi.org/10.3390/children10040708
APA StylePark, S., Lee, H., Lee, E., Jeong, T., Lee, H., & Shin, J. (2023). Guided Autotransplantation of Impacted Canines Using a CAD/CAM Surgical Template. Children, 10(4), 708. https://doi.org/10.3390/children10040708

