Factors for Prolonged Pain and Restriction of Movement Following Hemiepiphysiodesis Plating for the Correction of Lower Limb Malalignment in the Frontal Plane: An Explorative Analysis
Abstract
1. Introduction
2. Materials and Methods
2.1. Patients
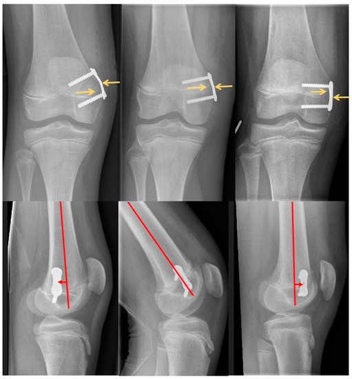
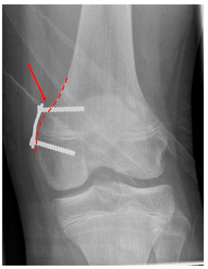
2.2. Radiographic Measurements
2.3. Statistical Analysis
3. Results
4. Discussion
5. Conclusions
Author Contributions
Funding
Institutional Review Board Statement
Informed Consent Statement
Data Availability Statement
Conflicts of Interest
References
- Danino, B.; Rödl, R.; Herzenberg, J.E.; Shabtai, L.; Grill, F.; Narayanan, U.; Segev, E.; Wientroub, S. Guided growth: Preliminary results of a multinational study of 967 physes in 537 patients. J. Child. Orthop. 2018, 12, 91–96. [Google Scholar] [CrossRef] [PubMed]
- Shabtai, L.; Herzenberg, J.E. Limits of Growth Modulation Using Tension Band Plates in the Lower Extremities. J. Am. Acad. Orthop. Surg. 2016, 24, 691–701. [Google Scholar] [CrossRef] [PubMed]
- Coppa, V.; Marinelli, M.; Procaccini, R.; Falcioni, D.; Farinelli, L.; Gigante, A. Coronal plane deformity around the knee in the skeletally immature population: A review of principles of evaluation and treatment. World J. Orthop. 2022, 13, 427–443. [Google Scholar] [CrossRef]
- Goyeneche, R.A.; Primomo, C.E.; Lambert, N.; Miscione, H. Correction of bone angular deformities: Experimental analysis of staples versus 8-plate. J. Pediatr. Orthop. 2009, 29, 736–740. [Google Scholar] [CrossRef] [PubMed]
- Stevens, P.M. Guided growth for angular correction: A preliminary series using a tension band plate. J. Pediatr. Orthop. 2007, 27, 253–259. [Google Scholar] [CrossRef] [PubMed]
- Jelinek, E.M.; Bittersohl, B.; Martiny, F.; Scharfstädt, A.; Krauspe, R.; Westhoff, B. The 8-plate versus physeal stapling for temporary hemiepiphyseodesis correcting genu valgum and genu varum: A retrospective analysis of thirty five patients. Int. Orthop. 2012, 36, 599–605. [Google Scholar] [CrossRef] [PubMed]
- Saran, N.; Rathjen, K.E. Guided growth for the correction of pediatric lower limb angular deformity. J. Am. Acad. Orthop. Surg. 2010, 18, 528–536. [Google Scholar] [CrossRef]
- Grégoire, V.; Skaggs, D.L.; Jalloh, H.; Stevens, P.M.; Anesi, T.; Holmes, S.; Heagy, V.; Andras, L.M. Prospective Study on Tension Band Plating: Most Patients are Not Returning to Normal Activities 1 Month Following Surgery. J. Pediatr. Orthop. 2021, 41, e417–e421. [Google Scholar] [CrossRef]
- Fillingham, Y.A.; Kroin, E.; Frank, R.M.; Erickson, B.; Hellman, M.; Kogan, M. Post-operative delay in return of function following guided growth tension plating and use of corrective physical therapy. J. Child. Orthop. 2014, 8, 265–271. [Google Scholar] [CrossRef]
- Stief, F.; Holder, J.; Böhm, H.; Meurer, A. Prevalence and predictors of rebound deformity in the frontal plane: A literature review. Orthopade 2021, 50, 548–558. [Google Scholar] [CrossRef]
- Radtke, K.; Goede, F.; Schweidtmann, K.; Schwamberger, T.; Calliess, T.; Fregien, B.; Stukenborg-Colsman, C.; Ettinger, M. Temporary hemiepiphysiodesis for correcting idiopathic and pathologic deformities of the knee: A retrospective analysis of 355 cases. Knee 2020, 27, 723–730. [Google Scholar] [CrossRef] [PubMed]
- Vogt, B.; Schiedel, F.; Rödl, R. Guided growth in children and adolescents. Correction of leg length discrepancies and leg axis deformities. Orthopade 2014, 43, 267–284. [Google Scholar] [CrossRef] [PubMed]
- Paley, D. Normal Lower Limb Alignment and Joint Orientation. In Principles of Deformity Correction; Springer: Berlin/Heidelberg, Germany, 2002. [Google Scholar]
- Bylski-Austrow, D.I.; Wall, E.J.; Rupert, M.P.; Roy, D.R.; Crawford, A.H. Growth plate forces in the adolescent human knee: A radiographic and mechanical study of epiphyseal staples. J. Pediatr. Orthop. 2001, 21, 817–823. [Google Scholar] [CrossRef]
- Burghardt, R.D.; Kanellopoulos, A.D.; Herzenberg, J.E. Hemiepiphyseal arrest in a porcine model. J. Pediatr. Orthop. 2011, 31, e25–e29. [Google Scholar] [CrossRef] [PubMed]
- Schoenleber, S.J.; Iobst, C.A.; Baitner, A.; Standard, S.C. The biomechanics of guided growth: Does screw size, plate size, or screw configuration matter? J. Pediatr. Orthop. Part B 2014, 23, 122–125. [Google Scholar] [CrossRef]
- Eltayeby, H.H.; Iobst, C.A.; Herzenberg, J.E. Hemiepiphysiodesis using tension band plates: Does the initial screw angle influence the rate of correction? J. Child. Orthop. 2019, 13, 62–66. [Google Scholar] [CrossRef]
- Kamel, I.; Ahmed, M.F.; Sethi, A. Regional anesthesia for orthopedic procedures: What orthopedic surgeons need to know. World J. Orthop. 2022, 13, 11–35. [Google Scholar] [CrossRef]
- Ecoffey, C. Safety in pediatric regional anesthesia. Paediatr Anaesth 2012, 22, 25–30. [Google Scholar] [CrossRef]
- Polaner, D.M.; Drescher, J. Pediatric regional anesthesia: What is the current safety record? Paediatr Anaesth 2011, 21, 737–742. [Google Scholar] [CrossRef]
- Steinfeldt, T.; Wiesmann, T.; Döffert, J. Regional anaesthesia in patients with lower limb injury. Anasthesiol Intensiv. Notf. Schmerzther 2015, 50, 260–267. [Google Scholar] [CrossRef]
- Hanna, R.B.; Nies, M.; Lang, P.J.; Halanski, M. Effects of tourniquet use in paediatric lower leg surgery. J. Child. Orthop. 2020, 14, 466–472. [Google Scholar] [CrossRef] [PubMed]
- Kamath, K.; Kamath, S.U.; Tejaswi, P. Incidence and factors influencing tourniquet pain. Chin. J. Traumatol. 2021, 24, 291–294. [Google Scholar] [CrossRef] [PubMed]
- Sharma, J.P.; Salhotra, R. Tourniquets in orthopedic surgery. Indian J. Orthop. 2012, 46, 377–383. [Google Scholar] [CrossRef]
- Lieberman, J.R.; Staheli, L.T.; Dales, M.C. Tourniquet pressures on pediatric patients: A clinical study. Orthopedics 1997, 20, 1143–1147. [Google Scholar] [CrossRef] [PubMed]
- Vescio, A.; Testa, G.; Culmone, A.; Sapienza, M.; Valenti, F.; Di Maria, F.; Pavone, V. Treatment of Complex Regional Pain Syndrome in Children and Adolescents: A Structured Literature Scoping Review. Children 2020, 7, 245. [Google Scholar] [CrossRef] [PubMed]
- Rabin, J.; Brown, M.; Alexander, S. Update in the Treatment of Chronic Pain within Pediatric Patients. Curr. Probl. Pediatr. Adolesc. Health Care 2017, 47, 167–172. [Google Scholar] [CrossRef]
- Roberts, S.L.; Stout, A.; Dreyfuss, P. Review of Knee Joint Innervation: Implications for Diagnostic Blocks and Radiofrequency Ablation. Pain. Med. 2020, 21, 922–938. [Google Scholar] [CrossRef] [PubMed]
- Paley, D. (Paley Orthopedic & Spine Institute, St. Mary’s Medical Center, West Palm Beach, FL, USA). Personal communication, 24 March 2023.




| Patients (n = 34) | |||
|---|---|---|---|
| Parameter | Group 1 No Complications | Group 2 Complications | p-Value |
| Patient characteristics | |||
| Number of subjects | 22 (65%) | 12 (35%) | |
| Sex (female/male) | 12 (55%)/10 (45%) | 3 (25%)/9 (75%) | 0.09 |
| Age at surgery (years, months) | 12.5 (1.1) | 13.2 (1.0) | 0.11 |
| Height (m) | 1.61 (0.10) | 1.68 (0.13) | 0.06 |
| Body mass index (kg/m2) | 22.1 (3.8) | 22.5 (3.6) | 0.78 |
| Extent of deformity (X-ray) | |||
| Mechanical axis deviation (MAD) (mm) | −19.4 (5.7) | −19.2 (7.9) | 0.90 |
| Mechanical femorotibial angle (MFA) (°) | −5.7 (1.8) | −5.3 (2.1) | 0.45 |
| Joint-line conversion angle (°) * | 1.0 (1.0–2.0) | 1.0 (1.0–2.0) | 0.32 |
| Duration of guided growth (weeks) * | 40.1 (34.3–51.7) | 41.4 (41.0–46.9) | 0.61 |
| Parameter | Group 1 No Complications | Group 2 Complications | p-Value |
|---|---|---|---|
| Plate position in relation to the physis | 0.049 | ||
| centered | 28 (77.7%) | 14 (77.8%) | |
| epiphyseal | 6 (16.7%) | 0 (0.0%) | |
| metaphyseal | 2 (5.6%) | 4 (22.2%) | |
| Plate position in relation to the shaft axis of femur/tibia (°) | 2.1 (11.2) | 5.9 (13.5) | 0.31 |
| Plate position in relation to the center of the shaft axis of femur/tibia | 0.39 | ||
| centered | 18 (50.0%) | 10 (71.4%) | |
| posterior | 12 (33.3%) | 2 (14.3%) | |
| anterior | 6 (16.7%) | 2 (14.3%) | |
| Angulation of the two screws (°) | 0.9 (5.3) | 2.8 (6.3) | 0.26 |
| Epiphyseal width/diameter (cm) | 8.2 (1.0) | 8.4 (0.9) | 0.44 |
| Length of the screw (cm) | 2.7 (0.4) | 2.8 (0.4) | 0.60 |
| Ratio screw length/epiphyseal width | 0.34 (0.03) | 0.33 (0.03) | 0.80 |
| Parameter | Group 1 Complications | Group 2 Complications | p-Value |
|---|---|---|---|
| Procedures/Types of implant | |||
| Unilateral surgery (number of patients) | 4 (18%) | 2 (17%) | |
| Bilateral surgery (number of patients) | 18 (82%) | 10 (83%) | |
| Number of implants | 41 | 26 | |
| Pedi-Plate (number) | 37 (90%) | 26 (100%) | |
| Eight-Plate™ (number) | 4 (10%) | 0 (0%) | |
| Implant localization | 0.016 | ||
| Medial distal femur | 37 (90.2%) | 18 (69.2%) | |
| Medial proximal tibia | 2 (4.9%) | 0 (0.0%) | |
| Medial distal femur and medial proximal tibia | 2 (4.9%) | 8 (30.8%) |
| Parameter | Group 1 Complications | Group 2 Complications | p-Value |
|---|---|---|---|
| Type of anesthesia | 0.06 | ||
| Adductor canal block + general anesthesia | 27 (69.3%) | 17 (77.3%) | |
| Femoralis block + general anesthesia | 8 (20.5%) | 0 (0.0%) | |
| Psoas compartment block + general anesthesia | 2 (5.1%) | 3 (13.6%) | |
| General anesthesia | 2 (5.1%) | 2 (9.1%) | |
| Surgery characteristics | |||
| Tourniquet pressure (mmHg) * | 250 (250–265) | 270 (250–280) | 0.019 |
| Tourniquet inflation (minutes) | 34 (9) | 37 (15) | 0.16 |
| Duration surgery (minutes) | 32 (10) | 38 (13) | 0.032 |
Disclaimer/Publisher’s Note: The statements, opinions and data contained in all publications are solely those of the individual author(s) and contributor(s) and not of MDPI and/or the editor(s). MDPI and/or the editor(s) disclaim responsibility for any injury to people or property resulting from any ideas, methods, instructions or products referred to in the content. |
© 2023 by the authors. Licensee MDPI, Basel, Switzerland. This article is an open access article distributed under the terms and conditions of the Creative Commons Attribution (CC BY) license (https://creativecommons.org/licenses/by/4.0/).
Share and Cite
Braun, S.; Brenneis, M.; Meurer, A.; Holder, J.; Stief, F. Factors for Prolonged Pain and Restriction of Movement Following Hemiepiphysiodesis Plating for the Correction of Lower Limb Malalignment in the Frontal Plane: An Explorative Analysis. Children 2023, 10, 686. https://doi.org/10.3390/children10040686
Braun S, Brenneis M, Meurer A, Holder J, Stief F. Factors for Prolonged Pain and Restriction of Movement Following Hemiepiphysiodesis Plating for the Correction of Lower Limb Malalignment in the Frontal Plane: An Explorative Analysis. Children. 2023; 10(4):686. https://doi.org/10.3390/children10040686
Chicago/Turabian StyleBraun, Sebastian, Marco Brenneis, Andrea Meurer, Jana Holder, and Felix Stief. 2023. "Factors for Prolonged Pain and Restriction of Movement Following Hemiepiphysiodesis Plating for the Correction of Lower Limb Malalignment in the Frontal Plane: An Explorative Analysis" Children 10, no. 4: 686. https://doi.org/10.3390/children10040686
APA StyleBraun, S., Brenneis, M., Meurer, A., Holder, J., & Stief, F. (2023). Factors for Prolonged Pain and Restriction of Movement Following Hemiepiphysiodesis Plating for the Correction of Lower Limb Malalignment in the Frontal Plane: An Explorative Analysis. Children, 10(4), 686. https://doi.org/10.3390/children10040686

