The Importance of Genetic Testing in the Differential Diagnosis of Atypical TSC2-PKD1 Contiguous Gene Syndrome—Case Series
Abstract
1. Introduction
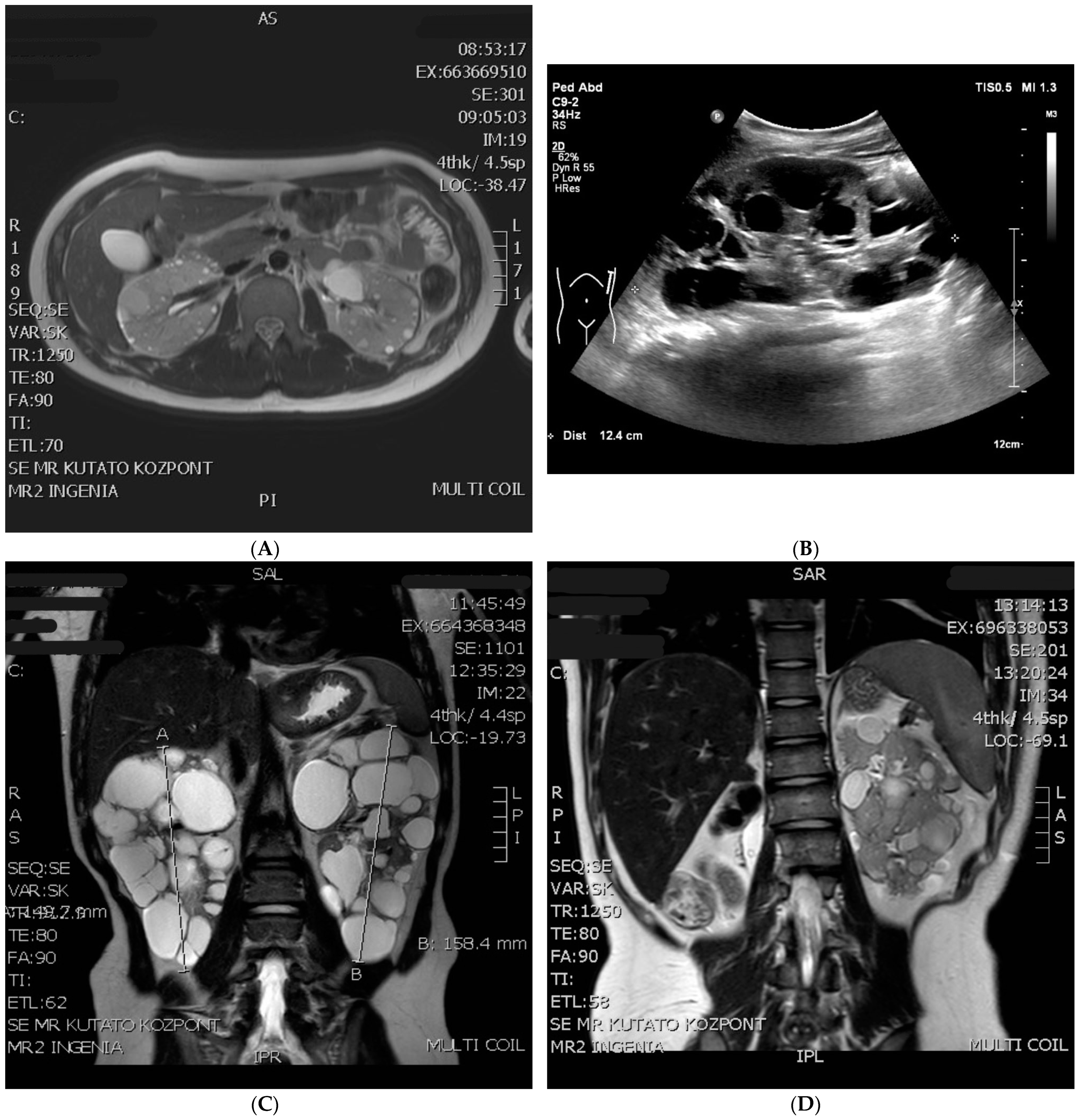
2. Case Reports
3. Discussion
4. Conclusions
Supplementary Materials
Author Contributions
Funding
Institutional Review Board Statement
Informed Consent Statement
Data Availability Statement
Conflicts of Interest
References
- Rakowski, S.K.; Winterkorn, E.B.; Paul, E.; Steele, D.J.R.; Halpern, E.F.; Thiele, E.A. Renal Manifestations of Tuberous Sclerosis Complex. J. Kidney Cancer 2020, 7, 5–19. [Google Scholar]
- Yang, P.; Cornejo, K.M.; Sadow, P.M.; Cheng, L.; Wang, M.; Xiao, Y.; Jiang, Z.; Oliva, E.; Jozwiak, S.; Nussbaum, R.L.; et al. Renal Cell Carcinoma in Tuberous Sclerosis Complex. Am. J. Surg. Pathol. 2014, 38, 895–909. [Google Scholar] [CrossRef]
- Gimpel, C.; Avni, E.F.; Breysem, L.; Burgmaier, K.; Caroli, A.; Cetiner, M.; Haffner, D.; Hartung, E.; Franke, D.; König, J.; et al. Imaging of Kidney Cysts and Cystic Kidney Diseases in Children: An International Working Group Consensus Statement. Radiology 2019, 290, 769–782. [Google Scholar] [CrossRef]
- Dhakal, M.; Dhakal, O.P.; Bhandari, D. Polycystic kidney disease and chronic renal failure in tuberous sclerosis. BMJ Case Rep. 2013, 2013, bcr2013200711. [Google Scholar] [CrossRef]
- Rijal, J.P.; Dhakal, P.; Giri, S.; Dahal, K.V. Tuberous sclerosis complex with autosomal dominant polycystic kidney disease: A rare duo. BMJ Case Rep. 2014, 2014, bcr2014207471. [Google Scholar] [CrossRef]
- Osumi, K.; Suga, K.; Ono, A.; Goji, A.; Mori, T.; Kinoshita, Y.; Kagami, S. Molecular diagnosis of an infant with TSC2/PKD1 contiguous gene syndrome. Hum. Genome Var. 2020, 7, 21. [Google Scholar] [CrossRef]
- Brook-Carter, P.T.; Peral, B.; Ward, C.J.; Thompson, P.; Hughes, J.; Maheshwar, M.M.; Sampson, J.R. Deletion of the TSC2 and PKD1 genes associated with severe infantile polycystic kidney disease—A contiguous gene syndrome. Nat. Genet. 1994, 8, 328–332. [Google Scholar] [CrossRef]
- Portocarrero, L.K.L.; Quental, K.N.; Samorano, L.P.; De Oliveira, Z.N.P.; Rivitti-Machado, M.C.D.M. Tuberous sclerosis complex: Review based on new diagnostic criteria. An. Bras. Dermatol. 2018, 93, 323–331. [Google Scholar] [CrossRef]
- Northrup, H.; Aronow, M.E.; Bebin, E.M.; Bissler, J.; Darling, T.N.; de Vries, P.J.; Frost, M.D.; Fuchs, Z.; Gosnell, E.S.; Gupta, N.; et al. Updated International Tuberous Sclerosis Complex Diagnostic Criteria and Surveillance and Management Recommendations. Pediatr. Neurol. 2021, 123, 50–66. [Google Scholar] [CrossRef]
- Back, S.J.; Andronikou, S.; Kilborn, T.; Kaplan, B.S.; Darge, K. Imaging features of tuberous sclerosis complex with autosomal-dominant polycystic kidney disease: A contiguous gene syndrome. Pediatr. Radiol. 2015, 45, 386–395. [Google Scholar] [CrossRef]
- Cai, Y.; Li, H.; Zhang, Y. Assessment of Tuberous Sclerosis Complex Associated with Renal Lesions by Targeted Next-generation Sequencing in Mainland China. Urology 2017, 101, 170.e1–170.e7. [Google Scholar] [CrossRef] [PubMed]
- Cadnapaphornchai, M.A.; McFann, K.; Strain, J.D.; Masoumi, A.; Schrier, R.W. Increased left ventricular mass in children with autosomal dominant polycystic kidney disease and borderline hypertension. Kidney Int. 2008, 74, 1192–1196. [Google Scholar] [CrossRef] [PubMed]
- Seeman, T.; Dusek, J.; Vondrichová, H.; Kyncl, M.; John, U.; Misselwitz, J.; Janda, J. Ambulatory blood pressure correlates with renal volume and number of renal cysts in children with autosomal dominant polycystic kidney disease. Blood Press. Monit. 2003, 8, 107–110. [Google Scholar] [CrossRef] [PubMed]
- Massella, L.; Mekahli, D.; Paripović, D.; Prikhodina, L.; Godefroid, N.; Niemirska, A.; Ağbaş, A.; Kalicka, K.; Jankauskiene, A.; Mizerska-Wasiak, M.; et al. Prevalence of Hypertension in Children with Early-Stage ADPKD. Clin. J. Am. Soc. Nephrol. 2018, 13, 874–883. [Google Scholar] [CrossRef]
- Al-Saleem, T.; Wessner, L.L.; Scheithauer, B.W.; Patterson, K.; Roach, E.S.; Dreyer, S.J.; Fujikawa, K.; Bjornsson, J.; Bernstein, J.; Henske, E.P. Malignant tumors of the kidney, brain, and soft tissues in children and young adults with the tuberous sclerosis complex. Cancer 1998, 83, 2208–2216. [Google Scholar] [CrossRef]
- Subbiah, V.; Brown, R.E.; Jiang, Y.; Buryanek, J.; Hayes-Jordan, A.; Kurzrock, R.; Anderson, P.M. Morphoproteomic Profiling of the Mammalian Target of Rapamycin (mTOR) Signaling Pathway in Desmoplastic Small Round Cell Tumor (EWS/WT1), Ewing’s Sarcoma (EWS/FLI1) and Wilms’ Tumor(WT1). PLoS ONE 2013, 8, e68985. [Google Scholar] [CrossRef]
- Na, K.Y.; Kim, H.-S.; Park, Y.-K.; Chang, S.-G.; Kim, Y.W. Multifocal Renal Cell Carcinoma of Different Histological Subtypes in Autosomal Dominant Polycystic Kidney Disease. Korean J. Pathol. 2012, 46, 382–386. [Google Scholar] [CrossRef]
- Das, L.; Quintana, V.G.; Sweasy, J.B. NTHL1 in genomic integrity, aging and cancer. DNA Repair 2020, 93, 102920. [Google Scholar] [CrossRef]
- Meguro, S.; Koguchi, T.; Hakozaki, Y.; Onagi, A.; Matsuoka, K.; Hoshi, S.; Kojima, Y. Concurrent Reduced Expression of Contiguous PKD1, TSC2 and NTHL1 Leading to Kidney Diseases and Multiple Diverse Renal Cancers. Cancer Genom. Proteom. 2023, 20, 40–50. [Google Scholar] [CrossRef]
- Bissler, J.J.; Kingswood, J.C.; Radzikowska, E.; Zonnenberg, B.A.; Frost, M.; Belousova, E.D.; Sauter, M.; Nonomura, N.; Brakemeier, S.; de Vries, P.J.; et al. Everolimus for angiomyolipoma associated with tuberous sclerosis complex or sporadic lymphangioleiomyomatosis (EXIST-2): A multicentre, randomised, double-blind, placebo-controlled trial. Lancet 2013, 381, 817–824. [Google Scholar] [CrossRef]
- Walz, G.; Budde, K.; Mannaa, M.; Nürnberger, J.; Wanner, C.; Sommerer, C.; Kunzendorf, U.; Banas, B.; Hörl, W.H.; Obermüller, N.; et al. Everolimus in Patients with Autosomal Dominant Polycystic Kidney Disease. N. Engl. J. Med. 2010, 363, 830–840. [Google Scholar] [CrossRef]
- Peron, A.; Au, K.S.; Northrup, H. Genetics, genomics, and genotype-phenotype correlations of TSC: Insights for clinical practice. Am. J. Med. Genet. C Semin. Med. Genet. 2018, 178, 281–290. [Google Scholar] [CrossRef] [PubMed]
- Au, K.S.; Williams, A.T.; Roach, E.S.; Batchelor, L.; Sparagana, S.P.; Delgado, M.R.; Wheless, J.W.; Baumgartner, J.E.; Roa, B.B.; Wilson, C.M.; et al. Genotype/phenotype correlation in 325 individuals referred for a diagnosis of tuberous sclerosis complex in the United States. Anesth. Analg. 2007, 9, 88–100. [Google Scholar] [CrossRef]
- Shang, S.; Mei, Y.; Wang, T.; Zheng, X.; Chen, K.; Xiong, S.; Li, Q. Diagnosis and genotype-phenotype correlation in patients with PKD1/TSC2 contiguous gene deletion syndrome. Clin. Nephrol. 2022, 97, 328–338. [Google Scholar] [CrossRef] [PubMed]


| Age at Examination | Kidney Size Right/Left (mm) | Largest Cyst Diameter in the Right/Left Kidney (mm) | Angiomyolipoma Size (mm) |
|---|---|---|---|
| 3 years | 70/70 | 13/13 | 0 |
| 5 years | 80/80 | ND | 0 |
| 10 years | 100/100 | 25/20 | 0 |
| 15 years | 138/136 | 39/35 | 3 |
| Age at Examination | Kidney Size Right/Left (mm) | Largest Cyst Diameter in the Right/Left Kidney (mm) | Angiomyolipoma Size (mm) |
|---|---|---|---|
| 2 weeks | ND | 12/14 | 0 |
| 4 months | 72/77 | 18/32 | 0 |
| 9 months | 74/74 | 23/34 | 0 |
| 23 months | 86/91 | 15/26 | 0 |
| 27 months | 95/96 | 18.5/26.5 | 2–3 |
| 34 months | 99/103 | 18/27 | 2–3 |
| 4 years | 105/113 | 18/41 | 3–6 |
| 5 years | 113/124 | 29/25 | 3–6 |
| Age at Examination | Kidney Size Right/Left (mm) | Largest Cyst Diameter in the Right/Left Kidney (mm) | Angiomyolipoma Size (mm) |
|---|---|---|---|
| 1 month | ND | 7/0 | 0 |
| 6 months | ND | 15/35 | 0 |
| 4 years | 112/113 | 33/52 | 0 |
| 6 years | ND | 40/50 | 0 |
| 9 years | ND | 38/37 | 0 |
| 11 years | 152/154 | 39/47 | 0 |
| 12 years | 150/160 | 50/52 | 0 |
| Age at Examination | Kidney Size Right/Left (mm) | Largest Cyst Diameter in the Right/Left Kidney (mm) | Angiomyolipoma Size (mm) |
|---|---|---|---|
| 5 months | 120/120 | ND | 0 |
| 2 years | 130/130 | 48/15 | 0 |
| 4 years | 130/130 | 20/20 | 0 |
| 6 years | 140/140 | 41/30 | 0 |
| 8 years | 140/140 | 42/33 | 0 |
| 9 years | -/145 | -/28 | 0 |
| 11 years | -/148 | -/31 | 0 |
| 13 years | -/170 | -/35 | 0 |
| 15 years | -/170 | -/47 | 2–3 |
| 16 years | -/175 | -/50 | 2–3 |
| 17 years | -/180 | -/50 | 2–3 |
Disclaimer/Publisher’s Note: The statements, opinions and data contained in all publications are solely those of the individual author(s) and contributor(s) and not of MDPI and/or the editor(s). MDPI and/or the editor(s) disclaim responsibility for any injury to people or property resulting from any ideas, methods, instructions or products referred to in the content. |
© 2023 by the authors. Licensee MDPI, Basel, Switzerland. This article is an open access article distributed under the terms and conditions of the Creative Commons Attribution (CC BY) license (https://creativecommons.org/licenses/by/4.0/).
Share and Cite
Orosz, P.; Kollák, Z.; Pethő, Á.; Fogarasi, A.; Reusz, G.; Hadzsiev, K.; Szabó, T. The Importance of Genetic Testing in the Differential Diagnosis of Atypical TSC2-PKD1 Contiguous Gene Syndrome—Case Series. Children 2023, 10, 420. https://doi.org/10.3390/children10030420
Orosz P, Kollák Z, Pethő Á, Fogarasi A, Reusz G, Hadzsiev K, Szabó T. The Importance of Genetic Testing in the Differential Diagnosis of Atypical TSC2-PKD1 Contiguous Gene Syndrome—Case Series. Children. 2023; 10(3):420. https://doi.org/10.3390/children10030420
Chicago/Turabian StyleOrosz, Petronella, Zita Kollák, Ákos Pethő, András Fogarasi, György Reusz, Kinga Hadzsiev, and Tamás Szabó. 2023. "The Importance of Genetic Testing in the Differential Diagnosis of Atypical TSC2-PKD1 Contiguous Gene Syndrome—Case Series" Children 10, no. 3: 420. https://doi.org/10.3390/children10030420
APA StyleOrosz, P., Kollák, Z., Pethő, Á., Fogarasi, A., Reusz, G., Hadzsiev, K., & Szabó, T. (2023). The Importance of Genetic Testing in the Differential Diagnosis of Atypical TSC2-PKD1 Contiguous Gene Syndrome—Case Series. Children, 10(3), 420. https://doi.org/10.3390/children10030420

