Multimodality Imaging Assessment of Tetralogy of Fallot: From Diagnosis to Long-Term Follow-Up
Abstract
1. Introduction
2. Transthoracic Echocardiography in Tetralogy of Fallot
2.1. Pre-Operative Evaluation
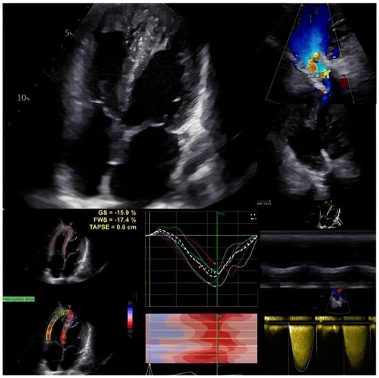
2.2. Post-Operative and Long-Term Evaluation
2.3. Advanced Echocardiography in Tetralogy of Fallot
2.4. New Perspectives in the Echocardiographic Assessment in Tetralogy of Fallot
3. Cardiovascular Magnetic Resonance in Tetralogy of Fallot
3.1. Introduction
3.2. CMR Sequences in Tetralogy of Fallot
3.2.1. Initial Localisers
3.2.2. Balanced Steady-State Free Precession (bSSFP) Cine Sequence
3.2.3. Phase-Contrast (PC) Flow Sequence
3.2.4. Four-Dimensional (4D) Flow Sequences
3.2.5. Three-Dimensional (3D) Whole Heart SSFP
3.2.6. Tissue Characterisation Sequences
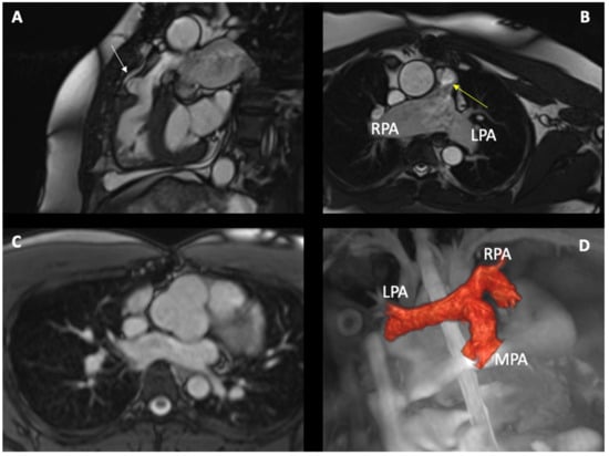
3.3. CMR Findings in Tetralogy of Fallot
3.4. Pitfalls in CMR
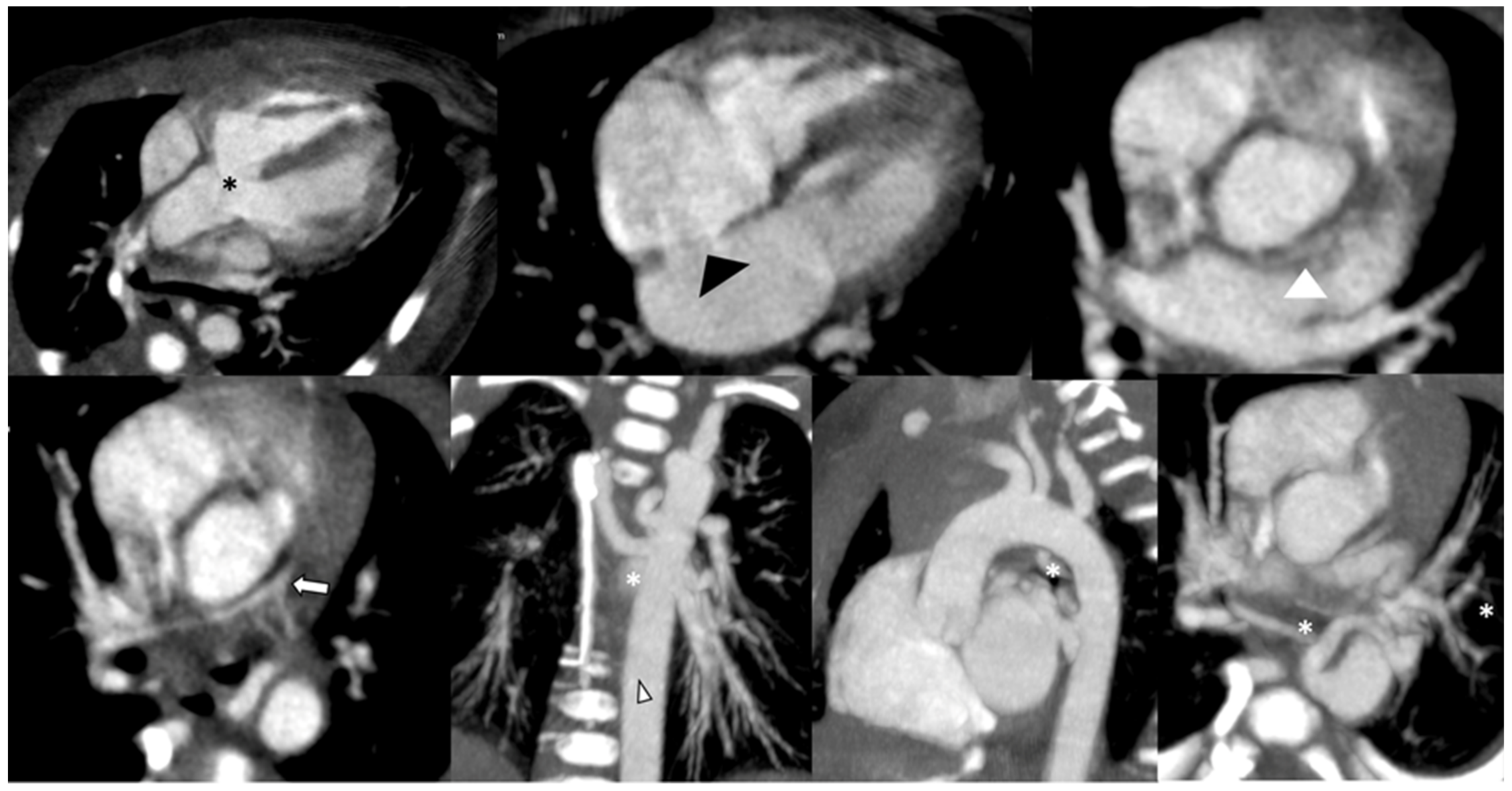
4. Cardiac Computed Tomography in Tetralogy of Fallot
4.1. Protocols
4.2. Pre- and Post-Operative Evaluation
5. Cardiopulmonary Exercise Testing
6. Conclusions
Author Contributions
Funding
Institutional Review Board Statement
Informed Consent Statement
Data Availability Statement
Conflicts of Interest
Abbreviations
| BNP | brain natriuretic peptide |
| bSSFP | balanced steady-state free precession |
| CHD | congenital heart disease |
| CCT | cardiac computed tomograph |
| CMR | cardiovascular magnetic resonance |
| CPET | cardiopulmonary exercise testing |
| D | dimension |
References
- Valente, A.M.; Geva, T. How to Image Repaired Tetralogy of Fallot. Circ. Cardiovasc. Imaging 2017, 10, e004270. [Google Scholar] [CrossRef]
- Apitz, C.; Webb, G.D.; Redington, A.N. Tetralogy of Fallot. Lancet 2009, 374, 1462–1471. [Google Scholar] [CrossRef]
- Mercer-Rosa, L.; Paridon, S.M.; Fogel, M.A.; Rychik, J.; Tanel, R.E.; Zhao, H.; Zhang, X.; Yang, W.; Shults, J.; Goldmuntz, E. 22q11.2 deletion status and disease burden in children and adolescents with tetralogy of Fallot. Circ. Cardiovasc. Genet. 2015, 8, 74–81. [Google Scholar] [CrossRef]
- Baumgartner, H.; De Backer, J.; Babu-Narayan, S.V.; Budts, W.; Chessa, M.; Diller, G.-P.; Lung, B.; Kluin, J.; Lang, I.M.; Meijboom, F.; et al. 2020 ESC Guidelines for the management of adult congenital heart disease. Eur. Heart J. 2021, 42, 563–645. [Google Scholar] [CrossRef]
- Valente, A.M.; Cook, S.; Festa, P.; Ko, H.H.; Krishnamurthy, R.; Taylor, A.M.; Warnes, C.A.; Kreutzer, J.; Geva, T. Multimodality imaging guidelines for patients with repaired tetralogy of Fallot: A report from the AmericanSsociety of Echocardiography: Developed in collaboration with the Society for Cardiovascular Magnetic Resonance and the Society for Pediatric Radiology. J. Am. Soc. Echocardiogr. 2014, 27, 111–141. [Google Scholar] [CrossRef]
- Bailliard, F.; Anderson, R.H. Tetralogy of Fallot. Orphanet J. Rare Dis. 2009, 4, 2. [Google Scholar] [CrossRef]
- Lai, W.W.; Mertens, L.; Cohen, M.; Geva, T. (Eds.) Echocardiography in Pediatric and Congenital Heart Disease: From Fetus to Adult, 2nd ed.; John Wiley & Sons Inc.: Hoboken, NJ, USA; Chichester, UK, 2015. [Google Scholar]
- Van Melle, J.P.; Roos-Hesselink, J.W.; Bansal, M.; Kamp, O.; Meshaal, M.; Pudich, J.; Luksic, V.R.; Rodriguez-Alvarez, R.; Sadeghpour, A.; Hanzevacki, J.S.; et al. Infective endocarditis in adult patients with congenital heart disease. Int. J. Cardiol. 2022, 370, 178–185. [Google Scholar] [CrossRef]
- Fusco, F.; Borrelli, N.; Palma, M.; Sarubbi, B.; Scognamiglio, G. Imaging of ventricular septal defect: Native and post-repair. Int. J. Cardiol. Congenit. Heart Dis. 2022, 7, 100335. [Google Scholar] [CrossRef]
- Apostolopoulou, S.C.; Manginas, A.; Kelekis, N.L.; Noutsias, M. Cardiovascular imaging approach in pre and postoperative tetralogy of Fallot. BMC Cardiovasc Disord. 2019, 19, 7. [Google Scholar] [CrossRef]
- Lancellotti, P.; Tribouilloy, C.; Hagendorff, A.; Moura, L.; Popescu, B.A.; Agricola, E.; Monin, J.-L.; Pierard, L.A.; Badano, L.; Zamorano, J.L.; et al. European Association of Echocardiography recommendations for the assessment of valvular regurgitation. Part 1: Aortic and pulmonary regurgitation (native valve disease). Eur. J. Echocardiogr. 2010, 11, 223–244. [Google Scholar] [CrossRef]
- Di Salvo, G.; Miller, O.; Narayan, S.B.; Li, W.; Budts, W.; Buechel, E.R.V.; Frigiola, A.; Bosch, A.E.V.D.; Bonello, B.; Mertens, L.; et al. Imaging the adult with congenital heart disease: A multimodality imaging approach—Position paper from the EACVI. Eur. Heart J. Cardiovasc. Imaging 2018, 19, 1077–1098. [Google Scholar] [CrossRef]
- Dragulescu, A.; Grosse-Wortmann, L.; Fackoury, C.; Mertens, L. Echocardiographic assessment of right ventricular volumes: A comparison of different techniques in children after surgical repair of tetralogy of Fallot. Eur. Heart J. Cardiovasc. Imaging 2011, 13, 596–604. [Google Scholar] [CrossRef]
- Friedberg, M.K.; Su, X.; Tworetzky, W.; Soriano, B.D.; Powell, A.J.; Marx, G.R. Validation of 3D echocardiographic assessment of left ventricular volumes, mass, and ejection fraction in neonates and infants with congenital heart disease: A comparison study with cardiac MRI. Circ. Cardiovasc. Imaging 2010, 3, 735–742. [Google Scholar] [CrossRef]
- Simpson, J.; Lopez, L.; Acar, P.; Friedberg, M.; Khoo, N.; Ko, H.; Marek, J.; Marx, G.; McGhie, J.; Meijboom, F.; et al. Three-dimensional echocardiography in congenital heart disease: An expert consensus document from the European Association of Cardiovascular Imaging and the American Society of Echocardiography. Eur. Heart J. Cardiovasc. Imaging 2016, 17, 1071–1097. [Google Scholar] [CrossRef]
- Avesani, M.; Borrelli, N.; Krupickova, S.; Sabatino, J.; Donne, G.D.; Ibrahim, A.; Piccinelli, E.; Josen, M.; Michielon, G.; Fraisse, A.; et al. Echocardiography and cardiac magnetic resonance in children with repaired tetralogy of Fallot: New insights in cardiac mechanics and exercise capacity. Int. J. Cardiol. 2020, 321, 144–149. [Google Scholar] [CrossRef]
- Sabatino, J.; Di Salvo, G.; Krupickova, S.; Fraisse, A.; Prota, C.; Bucciarelli, V.; Josen, M.; Paredes, J.; Sirico, D.; Voges, I.; et al. Left Ventricular Twist Mechanics to Identify Left Ventricular Noncompaction in Childhood. Circ. Cardiovasc. Imaging 2019, 12, e007805. [Google Scholar] [CrossRef]
- Geva, T.; Sandweiss, B.M.; Gauvreau, K.; E Lock, J.; Powell, A.J. Factors associated with impaired clinical status in long-term survivors of tetralogy of Fallot repair evaluated by magnetic resonance imaging. J. Am. Coll. Cardiol. 2004, 43, 1068–1074. [Google Scholar] [CrossRef]
- Menting, M.E.; van den Bosch, A.E.; McGhie, J.S.; Eindhoven, J.A.; Cuypers, J.A.; Witsenburg, M.; Geleijnse, M.L.; Helbing, W.A.; Roos-Hesselink, J.W. Assessment of ventricular function in adults with repaired Tetralogy of Fallot using myocardial deformation imaging. Eur. Heart J. Cardiovasc. Imaging 2015, 16, 1347–1357. [Google Scholar] [CrossRef]
- Van Grootel, R.W.; Bosch, A.E.v.D.; Baggen, V.J.; Menting, M.E.; Baart, S.J.; Cuypers, J.A.; Witsenburg, M.; Roos-Hesselink, J.W. The Prognostic Value of Myocardial Deformation in Adult Patients with Corrected Tetralogy of Fallot. J. Am. Soc. Echocardiogr. 2019, 32, 866–875.e2. [Google Scholar] [CrossRef]
- Hou, J.; Yu, H.; Wong, S.J.; Cheung, Y. Atrial mechanics after surgical repair of tetralogy of Fallot. Echocardiography 2015, 32, 126–134. [Google Scholar] [CrossRef]
- Egbe, A.C.; Miranda, W.R.; Madhavan, M.; Abozied, O.; Younis, A.K.; Ahmed, M.H.; Connolly, H.M.; Deshmukh, A.J. Right atrial dysfunction is associated with atrial arrhythmias in adults with repaired tetralogy of Fallot. Am. Heart J. 2023, 263, 141–150. [Google Scholar] [CrossRef]
- Vautier, M.; Mulet, B.; Macquaire, C.; Cousergue, C.; André, C.-O.; Maragnes, P.; Ollitrault, P.; Labombarda, F. Abnormal left atrial compliance is associated with a history of life-threatening arrhythmia in corrected Tetralogy of Fallot. Front. Cardiovasc. Med. 2023, 10, 1161017. [Google Scholar] [CrossRef]
- Fortuni, F.; Bax, J.J.; Delgado, V. Changing the Paradigm in the Management of Valvular Heart Disease: In Addition to Left Ventricular Ejection Fraction, Focus on the Myocardium. Circulation 2021, 143, 209–211. [Google Scholar] [CrossRef]
- Donal, E.; Bergerot, C.; Thibault, H.; Ernande, L.; Loufoua, J.; Augeul, L.; Ovize, M.; Derumeaux, G. Influence of afterload on left ventricular radial and longitudinal systolic functions: A two-dimensional strain imaging study. Eur. J. Echocardiogr. 2009, 10, 914–921. [Google Scholar] [CrossRef] [PubMed]
- Smiseth, O.A.; Donal, E.; Penicka, M.; Sletten, O.J. How to measure left ventricular myocardial work by pressure–strain loops. Eur. Heart J. Cardiovasc. Imaging 2021, 22, 259–261. [Google Scholar] [CrossRef] [PubMed]
- Butcher, S.C.; Fortuni, F.; Montero-Cabezas, J.M.; Abou, R.; El Mahdiui, M.; Van Der Bijl, P.; Van Der Velde, E.T.; Marsan, N.A.; Bax, J.J.; Delgado, V. Right ventricular myocardial work: Proof-of-concept for non-invasive assessment of right ventricular function. Eur. Heart J. Cardiovasc. Imaging 2021, 22, 142–152. [Google Scholar] [CrossRef] [PubMed]
- Russell, K.; Eriksen, M.; Aaberge, L.; Wilhelmsen, N.; Skulstad, H.; Remme, E.W.; Haugaa, K.H.; Opdahl, A.; Fjeld, J.G.; Gjesdal, O.; et al. A novel clinical method for quantification of regional left ventricular pressure–strain loop area: A non-invasive index of myocardial work. Eur. Heart J. 2012, 33, 724–733. [Google Scholar] [CrossRef]
- Jain, R.; Bajwa, T.; Roemer, S.; Huisheree, H.; Allaqaband, S.Q.; Kroboth, S.; Moreno, A.C.P.; Tajik, A.J.; Khandheria, B.K. Myocardial work assessment in severe aortic stenosis undergoing transcatheter aortic valve replacement. Eur. Heart J. Cardiovasc. Imaging 2021, 22, 715–721. [Google Scholar] [CrossRef]
- Yedidya, I.; Lustosa, R.P.; Fortuni, F.; van der Bijl, P.; Namazi, F.; Vo, N.M.; Meucci, M.C.; Marsan, N.A.; Bax, J.J.; Delgado, V. Prognostic Implications of Left Ventricular Myocardial Work Indices in Patients with Secondary Mitral Regurgitation. Circ. Cardiovasc. Imaging 2021, 14, e012142. [Google Scholar] [CrossRef] [PubMed]
- Marzlin, N.; Hays, A.G.; Peters, M.; Kaminski, A.; Roemer, S.; O’leary, P.; Kroboth, S.; Harland, D.R.; Khandheria, B.K.; Tajik, A.J.; et al. Myocardial Work in Echocardiography. Circ. Cardiovasc. Imaging 2023, 16, 198–214. [Google Scholar] [CrossRef]
- Butcher, S.C.; Feloukidis, C.; Kamperidis, V.; Yedidya, I.; Stassen, J.; Fortuni, F.; Vrana, E.; Mouratoglou, S.A.; Boutou, A.; Giannakoulas, G.; et al. Right Ventricular Myocardial Work Characterization in Patients with Pulmonary Hypertension and Relation to Invasive Hemodynamic Parameters and Outcomes. Am. J. Cardiol. 2022, 177, 151–161. [Google Scholar] [CrossRef]
- Moscatelli, S.; Borrelli, N.; Sabatino, J.; Leo, I.; Avesani, M.; Montanaro, C.; Di Salvo, G. Role of Cardiovascular Imaging in the Follow-Up of Patients with Fontan Circulation. Children 2022, 9, 1875. [Google Scholar] [CrossRef] [PubMed]
- Valsangiacomo Buechel, E.; Grosse-Wortmann, L.; Fratz, S.; Eichhorn, J.; Sarikouch, S.; Greil, G.; Beerbaum, P.; Bucciarelli-Ducci, C.; Bonello, B.; Sieverding, L.; et al. Indications for cardiovascular magnetic resonance in children with congenital and acquired heart disease: An expert consensus paper of the Imaging Working Group of the AEPC and the Cardiovascular Magnetic Resonance Section of the EACVI. Eur. Heart J. Cardiovasc. Imaging 2015, 16, 281–297. [Google Scholar] [CrossRef]
- Moscatelli, S.; Leo, I.; Lisignoli, V.; Boyle, S.; Bucciarelli-Ducci, C.; Secinaro, A.; Montanaro, C. Cardiovascular Magnetic Resonance from Fetal to Adult Life—Indications and Challenges: A State-of-the-Art Review. Children 2023, 10, 763. [Google Scholar] [CrossRef] [PubMed]
- Geva, T. Repaired tetralogy of Fallot: The roles of cardiovascular magnetic resonance in evaluating pathophysiology and for pulmonary valve replacement decision support. J. Cardiovasc. Magn. Reson. 2011, 13, 9. [Google Scholar] [CrossRef] [PubMed]
- Gatehouse, P.D.; Rolf, M.P.; Graves, M.J.; Hofman, M.B.; Totman, J.; Werner, B.; A Quest, R.; Liu, Y.; von Spiczak, J.; Dieringer, M.; et al. Flow measurement by cardiovascular magnetic resonance: A multi-centre multi-vendor study of background phase offset errors that can compromise the accuracy of derived regurgitant or shunt flow measurements. J. Cardiovasc. Magn. Reson. 2010, 12, 5. [Google Scholar] [CrossRef]
- Hudani, A.; Ali, S.I.; Patton, D.; Myers, K.A.; Fine, N.M.; White, J.A.; Greenway, S.; Garcia, J. 4D-Flow MRI Characterization of Pulmonary Flow in Repaired Tetralogy of Fallot. Appl. Sci. 2023, 13, 2810. [Google Scholar] [CrossRef]
- Greil, G.; Tandon, A.A.; Silva Vieira, M.; Hussain, T. 3D Whole Heart Imaging for Congenital Heart Disease. Front. Pediatr. 2017, 5, 36. [Google Scholar] [CrossRef]
- Moscatelli, S.; Leo, I.; Bianco, F.; Borrelli, N.; Beltrami, M.; Garofalo, M.; Milano, E.G.; Bisaccia, G.; Iellamo, F.; Bassareo, P.P.; et al. The Role of Multimodality Imaging in Pediatric Cardiomyopathies. J. Clin. Med. 2023, 12, 4866. [Google Scholar] [CrossRef] [PubMed]
- Stirrat, J.; White, J.A. The Prognostic Role of Late Gadolinium Enhancement Magnetic Resonance Imaging in Patients with Cardiomyopathy. Can. J. Cardiol. 2013, 29, 329–336. [Google Scholar] [CrossRef]
- Ojha, V.; Pandey, N.N.; Sharma, A.; Ganga, K.P. Spectrum of changes on cardiac magnetic resonance in repaired tetralogy of Fallot: Imaging according to surgical considerations. Clin. Imaging 2021, 69, 102–114. [Google Scholar] [CrossRef]
- Berdat, P.A.; Immer, F.; Pfammatter, J.-P.; Carrel, T. Reoperations in adults with congenital heart disease: Analysis of early outcome. Int. J. Cardiol. 2004, 93, 239–245. [Google Scholar] [CrossRef]
- Karl, T.R. Tetralogy of Fallot: Current surgical perspective. Ann. Pediatr. Cardiol. 2008, 1, 93–100. [Google Scholar] [CrossRef]
- Sarwar, A.; Shapiro, M.D.; Abbara, S.; Cury, R.C. Cardiac Magnetic Resonance Imaging for the Evaluation of Ventricular Function. Semin. Roentgenol. 2008, 43, 183–192. [Google Scholar] [CrossRef]
- Norton, K.I.; Tong, C.; Glass, R.B.; Nielsen, J.C. Cardiac MR imaging assessment following tetralogy of Fallot repair. Radiographics 2006, 26, 197–211. [Google Scholar] [CrossRef]
- Ordovas, K.G.; Muzzarelli, S.; Hope, M.D.; Naeger, D.M.; Karl, T.; Reddy, G.P.; Marchiori, E.; Higgins, C.B. Cardiovascular MR imaging after sur gical correction of tetralogy of Fallot: Ap-proach based on understanding of surgical procedures. Radiographics 2013, 33, 1037–1052. [Google Scholar] [CrossRef] [PubMed]
- Razzouk, A.J.; Williams, W.G.; Cleveland, D.C.; Coles, J.G.; Rebeyka, I.M.; Trusler, G.A.; Freedom, R.M. Surgical connections from ventricle to pulmonary artery. Comparison of four types of valved implants. Circulation 1992, 86 (Suppl. 5), II154–II158. [Google Scholar] [PubMed]
- Van den Eynde, J.; Derdeyn, E.; Schuermans, A.; Shivaram, P.; Budts, W.; Danford, D.A.; Kutty, S. End-Diastolic Forward Flow and Restrictive Physiology in Repaired Tetralogy of Fallot: A Systematic Review and Meta-Analysis. J. Am. Heart Assoc. 2022, 11, e024036. [Google Scholar] [CrossRef]
- Dearani, J.A.; Burkhart, H.M.; Stulak, J.M.; Sundt, T.M.; Schaff, H.V. Management of the aortic root in adult patients with conotruncal anomalies. Semin. Thorac. Cardiovasc. Surgery Pediatr. Card. Surg. Annu. 2009, 12, 122–129. [Google Scholar] [CrossRef]
- Ghonim, S.; Gatzoulis, M.A.; Ernst, S.; Li, W.; Moon, J.C.; Smith, G.C.; Heng, E.L.; Keegan, J.; Ho, S.Y.; McCarthy, K.P.; et al. Predicting Survival in Repaired Tetralogy of Fallot: A Lesion-Specific and Personalized Approach. JACC Cardiovasc. Imaging 2022, 15, 257–268. [Google Scholar] [CrossRef] [PubMed]
- Ghonim, S.; Ernst, S.; Keegan, J.; Giannakidis, A.; Spadotto, V.; Voges, I.; Smith, G.C.; Boutsikou, M.; Montanaro, C.; Wong, T.; et al. 3D late gadolinium enhancement cardiovascular magnetic resonance predicts inducibility of ventricular tachycardia in adults with repaired te-tralogy of Fallot. Circ. Arrhythmia Electrophysiol. 2020, 3, e008321. [Google Scholar] [CrossRef]
- Shellock, F.G.; Woods, T.O.; Crues, J.V., 3rd. MR Labeling Information for Implants and Devices: Explanation of Terminology. Radiology 2009, 253, 26–30. [Google Scholar] [CrossRef]
- Nazarian, S.; Hansford, R.; Roguin, A.; Goldsher, D.; Zviman, M.M.; Lardo, A.C.; Caffo, B.S.; Frick, K.D.; Kraut, M.A.; Kamel, I.R.; et al. A Prospective Evaluation of a Protocol for Magnetic Resonance Imaging of Patients with Implanted Cardiac Devices. Ann. Intern. Med. 2011, 155, 415–424. [Google Scholar] [CrossRef] [PubMed]
- Dillman, J.R.; Ellis, J.H.; Cohan, R.H.; Strouse, P.J.; Jan, S.C. Frequency and severity of acute allergic-like reactions to gadolin-ium-containing i.v. contrast media in children and adults. AJR Am. J. Roentgenol. 2007, 189, 1533–1538. [Google Scholar] [CrossRef] [PubMed]
- Do, C.; DeAguero, J.; Brearley, A.; Trejo, X.; Howard, T.; Escobar, G.P.; Wagner, B. Gadolinium-Based Contrast Agent Use, Their Safety, and Practice Evolution. Kidney360 2020, 1, 561–568. [Google Scholar] [CrossRef]
- Yamasaki, Y.; Nagao, M.; Yamamura, K.; Yonezawa, M.; Matsuo, Y.; Kawanami, S.; Kamitani, T.; Higuchi, K.; Sakamoto, I.; Shiokawa, Y.; et al. Quantitative assessment of right ventricular function and pulmonary regurgitation in surgically repaired tetralogy of Fallot using 256-slice CT: Comparison with 3-Tesla MRI. Eur. Radiol. 2014, 24, 3289–3299. [Google Scholar] [CrossRef] [PubMed]
- Padiyath, A.; Gribben, P.; Abraham, J.R.; Li, L.; Rangamani, S.; Schuster, A.; Danford, D.A.; Pedrizzetti, G.; Kutty, S. Echocardiography and Cardiac Magnetic Resonance-Based Feature Tracking in the Assessment of Myocardial Mechanics in Tetralogy of Fallot: An Intermodality Comparison. Echocardiography 2013, 30, 203–210. [Google Scholar] [CrossRef] [PubMed]
- Lin, M.-T.; Wang, J.-K.; Chen, Y.-S.; Lee, W.-J.; Chiu, H.-H.; Chen, C.-A.; Chiu, S.-N.; Wu, E.-T.; Lu, C.-W.; Huang, S.-C.; et al. Detection of pulmonary arterial morphology in tetralogy of Fallot with pulmonary atresia by computed tomography: 12 years of experience. Eur. J. Pediatr. 2012, 171, 579–586. [Google Scholar] [CrossRef] [PubMed]
- Mortensen, K.H.; Tann, O. Computed tomography in paediatric heart disease. Br. J. Radiol. 2018, 91, 20180201. [Google Scholar] [CrossRef]
- Han, B.K.; Rigsby, C.K.; Hlavacek, A.; Leipsic, J.; Nicol, E.D.; Siegel, M.J.; Bardo, D.; Abbara, S.; Ghoshhajra, B.; Lesser, J.R.; et al. Computed Tomography Imaging in Patients with Congenital Heart Disease Part I: Rationale and Utility. An Expert Consensus Document of the Society of Cardiovascular Computed Tomography (SCCT): Endorsed by the Society of Pediatric Radiology (SPR) and the North American Society of Cardiac Imaging (NASCI). J. Cardiovasc. Comput. Tomogr. 2015, 9, 475–492. [Google Scholar] [CrossRef]
- De Oliveira Nunes, M.; Witt, D.R.; Casey, S.A.; Rigsby, C.K.; Hlavacek, A.M.; Chowdhury, S.M.; Nicol, E.D.; Semple, T.; Lesser, J.R.; Storey, K.M.; et al. Multi-institution assessment of the use and risk of cardiovascular computed tomography in pediatric patients with congenital heart disease. J. Cardiovasc. Comput. Tomogr. 2021, 15, 441–448. [Google Scholar] [CrossRef]
- Francone, M.; Gimelli, A.; Budde, R.P.J.; Caro-Dominguez, P.; Einstein, A.J.; Gutberlet, M.; Maurovich-Horvat, P.; Miller, O.; Nagy, E.; Natale, L.; et al. Radiation safety for cardiovascular computed tomography imaging in paediatric cardiology: A joint expert consensus document of the EACVI, ESCR, AEPC, and ESPR. Eur. Heart J. Cardiovasc. Imaging 2022, 23, e279–e289. [Google Scholar] [CrossRef]
- Zucker, E.J. Computed tomography in tetralogy of Fallot: Pre- and postoperative imaging evaluation. Pediatr. Radiol. 2022, 52, 2485–2497. [Google Scholar] [CrossRef]
- Saleh, M.; Gendy, D.; Voges, I.; Nyktari, E.; Arzanauskaite, M. Complex adult congenital heart disease on cross-sectional imaging: An introductory overview. Insights Imaging 2022, 13, 78. [Google Scholar] [CrossRef]
- Kumar, P.; Bhatia, M. Role of CT in the Pre- and Postoperative Assessment of Conotruncal Anomalies. Radiol. Cardiothorac. Imaging 2022, 4, e210089. [Google Scholar] [CrossRef]
- Young, C.; Taylor, A.M.; Owens, C.M. Paediatric cardiac computed tomography: A review of imaging techniques and radiation dose consideration. Eur. Radiol. 2011, 21, 518–529. [Google Scholar] [CrossRef]
- Goo, H.W. Four-Dimensional Thoracic CT in Free-Breathing Children. Korean J. Radiol. 2019, 20, 50–57. [Google Scholar] [CrossRef]
- Chelliah, A.; Nicol, E.D. Quality improvement in pediatric and congenital cardiac CT: A call to action. J. Cardiovasc. Comput. Tomogr. 2023, 17, 220–221. [Google Scholar] [CrossRef]
- Ghosh, R.M.; Jolley, M.A.; Mascio, C.E.; Chen, J.M.; Fuller, S.; Rome, J.J.; Silvestro, E.; Whitehead, K.K. Clinical 3D modeling to guide pediatric cardiothoracic surgery and intervention using 3D printed anatomic models, computer aided design and virtual reality. 3D Print. Med. 2022, 8, 11. [Google Scholar] [CrossRef]
- Sánchez Ramírez, C.J.; Pérez de Isla, L. Tetralogy of Fallot: Cardiac Imaging Evaluation. Ann. Transl. Med. 2020, 8, 966. [Google Scholar] [CrossRef]
- Massarella, D.; Alonso-Gonzalez, R. Updates in the management of congenital heart disease in adult patients. Expert Rev. Cardiovasc. Ther. 2022, 20, 719–732. [Google Scholar] [CrossRef]
- Koppel, C.J.; Jongbloed, M.R.; Kiès, P.; Hazekamp, M.G.; Mertens, B.J.; Schalij, M.J.; Vliegen, H.W. Coronary anomalies in tetralogy of Fallot—A meta-analysis. Int. J. Cardiol. 2020, 306, 78–85. [Google Scholar] [CrossRef]
- Sachdeva, R.; Valente, A.M.; Armstrong, A.K.; Cook, S.C.; Han, B.K.; Lopez, L.; Lui, G.K.; Pickard, S.S.; Powell, A.J.; Bhave, N.M.; et al. ACC/AHA/ASE/HRS/ISACHD/SCAI/SCCT/SCMR/SOPE 2020 Appropriate Use Criteria for Multimodality Imaging During the Follow-Up Care of Patients with Congenital Heart Disease: A Report of the American College of Cardiology Solution Set Oversight Committee and Appropriate Use Criteria Task Force, American Heart Association, American Society of Echocardiography, Heart Rhythm Society, International Society for Adult Congenital Heart Disease, Society for Cardiovascular Angiography and Interventions, Society of Cardiovascular Computed Tomography, Society for Cardiovascular Magnetic Resonance, and Society of Pediatric Echocardiography. J. Am. Coll. Cardiol. 2020, 75, 657–703. [Google Scholar] [CrossRef]
- Han, B.K.; Rigsby, C.K.; Leipsic, J.; Bardo, D.; Abbara, S.; Ghoshhajra, B.; Lesser, J.R.; Raman, S.V.; Crean, A.M.; Nicol, E.D.; et al. Computed Tomography Imaging in Patients with Congenital Heart Disease, Part 2: Technical Recommendations. An Expert Consensus Document of the Society of Cardiovascular Computed Tomography (SCCT): Endorsed by the Society of Pediatric Radiology (SPR) and the North American Society of Cardiac Imaging (NASCI). J. Cardiovasc. Comput. Tomogr. 2015, 9, 493–513. [Google Scholar] [CrossRef]
- Costantini, P.; Perone, F.; Siani, A.; Groenhoff, L.; Muscogiuri, G.; Sironi, S.; Marra, P.; Carriero, S.; Pavon, A.G.; Guglielmo, M. Multimodality Imaging of the Neglected Valve: Role of Echocardiography, Cardiac Magnetic Resonance and Cardiac Computed Tomography in Pulmonary Stenosis and Regurgitation. J. Imaging 2022, 8, 278. [Google Scholar] [CrossRef]
- Kipps, A.K.; Graham, D.A.; Harrild, D.M.; Lewis, E.; Powell, A.J.; Rhodes, J. Longitudinal exercise capacity of patients with repaired tetralogy of Fallot. Am. J. Cardiol. 2011, 108, 99–105. [Google Scholar] [CrossRef]
- Gavotto, A.; Ladeveze, M.; Avesani, M.; Huguet, H.; Guillaumont, S.; Picot, M.-C.; Requirand, A.; Matecki, S.; Amedro, P. Aerobic fitness change with time in children with congenital heart disease: A retrospective controlled cohort study. Int. J. Cardiol. 2023, 371, 140–146. [Google Scholar] [CrossRef]
- Carvalho, J.S.; A Shinebourne, E.; Busst, C.; Rigby, M.L.; Redington, A.N. Exercise capacity after complete repair of tetralogy of Fallot: Deleterious effects of residual pulmonary regurgitation. Heart 1992, 67, 470–473. [Google Scholar] [CrossRef]
- Giardini, A.; Specchia, S.; Coutsoumbas, G.; Donti, A.; Formigari, R.; Fattori, R.; Oppido, G.; Gargiulo, G.; Picchio, F.M. Impact of pulmonary regurgitation and right ventricular dysfunction on oxygen uptake recovery kinetics in repaired tetralogy of Fallot. Eur. J. Heart Fail. 2006, 8, 736–743. [Google Scholar] [CrossRef]
- Çetin, I.; Tokel, K.; Varan, B.; Örün, U.A.; Gökdemir, M.; Cındık, N.; Eyüboğlu, F.; Ulubay, G.; Aşlamacı, S. Evaluation of right ventricular functions and b-type natriuretic peptide levels by cardiopulmonary exercise test in patients with pulmonary regurgitation after repair of tetralogy of Fallot. J. Card. Surg. 2008, 23, 493–498. [Google Scholar] [CrossRef]
- Steinmetz, M.; Stümpfig, T.; Seehase, M.; Schuster, A.; Kowallick, J.; Müller, M.; Unterberg-Buchwald, C.; Kutty, S.; Lotz, J.; Uecker, M.; et al. Impaired Exercise Tolerance in Repaired Tetralogy of Fallot Is Associated with Impaired Biventricular Contractile Reserve: An Exercise-Stress Real-Time Cardiovascular Magnetic Resonance Study. Circ. Cardiovasc. Imaging 2021, 14, e011823. [Google Scholar] [CrossRef] [PubMed]
- Yap, J.; Tan, R.S.; Gao, F.; Le, T.T.; Zhong, L.; Go, Y.Y.; Liew, R.; Tan, J.L.; Tan, S.Y. Exercise capacity correlates with ventricle size in adult operated tetralogy of Fallot. Eur. Heart J. 2013, 34 (Suppl. 1), 126. [Google Scholar] [CrossRef]
- Meierhofer, C.; Tavakkoli, T.; Kühn, A.; Ulm, K.; Hager, A.; Müller, J.; Martinoff, S.; Ewert, P.; Stern, H. Importance of Non-invasive Right and Left Ventricular Variables on Exercise Capacity in Patients with Tetralogy of Fallot Hemodynamics. Pediatr. Cardiol. 2017, 38, 1569–1574. [Google Scholar] [CrossRef] [PubMed]
- Diller, G.-P.; Dimopoulos, K.; Okonko, D.; Li, W.; Babu-Narayan, S.V.; Broberg, C.S.; Johansson, B.; Bouzas, B.; Mullen, M.J.; Poole-Wilson, P.A.; et al. Exercise intolerance in adult congenital heart disease: Comparative severity, correlates, and prognostic implication. Circulation 2005, 112, 828–835. [Google Scholar] [CrossRef]
- Powell, A.W.; Mays, W.A.; Knecht, S.K.; Chin, C. Pulmonary effects on exercise testing in tetralogy of Fallot patients repaired with a transannular patch. Cardiol. Young 2018, 29, 133–139. [Google Scholar] [CrossRef]
- Longmuir, P.E.; Brothers, J.A.; De Ferranti, S.D.; Hayman, L.L.; Van Hare, G.F.; Matherne, G.P.; Davis, C.K.; Joy, E.A.; McCrindle, B.W.; American Heart Association Atherosclerosis, Hypertension and Obesity in Youth Committee of the Council on Cardiovascular Disease in the Young. Promotion of physical activity for children and adults with congenital heart disease: A scientific statement from the American Heart Association. Circulation 2013, 127, 2147–2159. [Google Scholar] [CrossRef]
- Assenza, G.E.; Krieger, E.V.; Baumgartner, H.; Cupido, B.; Dimopoulos, K.; Louis, C.; Lubert, A.M.; Stout, K.K.; Valente, A.M.; Zeppenfeld, K.; et al. AHA/ACC vs ESC Guidelines for Management of Adults with Congenital Heart Disease: JACC Guideline Comparison. J. Am. Coll. Cardiol. 2021, 78, 1904–1918. [Google Scholar] [CrossRef] [PubMed]
- Stout, K.K.; Daniels, C.J.; Aboulhosn, J.A.; Bozkurt, B.; Broberg, C.S.; Colman, J.M.; Crumb, S.R.; Dearani, J.A.; Fuller, S.; Gurvitz, M.; et al. 2018 AHA/ACC Guideline for the Management of Adults with Congenital Heart Disease: A Report of the American College of Cardiology/American Heart Association Task Force on Clinical Practice Guidelines. Circulation 2019, 139, e698–e800, Erratum in Circulation 2019, 139, e833–e834. [Google Scholar] [CrossRef]
- Mezzani, A.; Agostoni, P.; Cohen-Solal, A.; Corrà, U.; Jegier, A.; Kouidi, E.; Mazic, S.; Meurin, P.; Piepoli, M.; Simon, A.; et al. Standards for the use of cardiopulmonary exercise testing for the functional evaluation of cardiac patients: A report from the Exercise Physiology Section of the European Association for Cardiovascular Prevention and Rehabilitation. Eur. J. Prev. Cardiol. 2009, 16, 249–267. [Google Scholar] [CrossRef]
- Kempny, A.; Dimopoulos, K.; Uebing, A.; Moceri, P.; Swan, L.; Gatzoulis, M.A.; Diller, G.-P. Reference values for exercise limitations among adults with congenital heart disease. Relation to activities of daily life—Single centre experience and review of published data. Eur. Heart J. 2012, 33, 1386–1396. [Google Scholar] [CrossRef]
- Amedro, P.; Gavotto, A.; Guillaumont, S.; Bertet, H.; Vincenti, M.; De La Villeon, G.; Bredy, C.; Acar, P.; Ovaert, C.; Picot, M.-C.; et al. Cardiopulmonary fitness in children with congenital heart diseases versus healthy children. Heart 2018, 104, 1026–1036. [Google Scholar] [CrossRef]
- Alborikan, S.; Pandya, B.; Von Klemperer, K.; Walker, F.; Cullen, S.; Badiani, S.; Bhattacharyya, S.; Lloyd, G. Cardiopulmonary Exercise Test (CPET) in patients with repaired Tetralogy of Fallot (rTOF); A systematic review. Int. J. Cardiol. Congenit. Heart Dis. 2020, 1, 100050. [Google Scholar] [CrossRef]
- Garcia Bras, P.; Sousa, L.; Mano, T.; Monteiro, A.; Rito, T.; Ilhao Moreira, R.; Rio, P.; Silva, S.; Martins, C.; Coito, S.; et al. Cardiopulmonary exercise testing in repaired tetralogy of Fallot: A valuable tool for pulmonary regurgitation severity assessment. Eur. J. Prev. Cardiol. 2021, 28, zwab061-122. [Google Scholar] [CrossRef]
- Müller, J.; Hager, A.; Diller, G.-P.; Derrick, G.; Buys, R.; Dubowy, K.-O.; Takken, T.; Orwat, S.; Inuzuka, R.; Vanhees, L.; et al. Peak oxygen uptake, ventilatory efficiency and QRS-duration predict event free survival in patients late after surgical repair of tetralogy of Fallot. Int. J. Cardiol. 2015, 196, 158–164. [Google Scholar] [CrossRef] [PubMed]
- Fredriksen, P.M.; Therrien, J.; Veldtman, G.; Ali Warsi, M.; Liu, P.; Thaulow, E.; Webb, G. Aerobic capacity in adults with tetralogy of Fallot. Cardiol. Young 2002, 12, 554–559. [Google Scholar] [CrossRef]
- Fernandes, F.P.; Manlhiot, C.; Roche, S.L.; Grosse-Wortmann, L.; Slorach, C.; McCrindle, B.W.; Mertens, L.; Kantor, P.F.; Friedberg, M.K. Impaired left ventricular myocardial mechanics and their relation to pulmonary regurgitation, right ventricular enlargement and exercise capacity in asymptomatic children after repair of tetralogy of Fallot. J. Am. Soc. Echocardiogr. 2012, 25, 494–503. [Google Scholar] [CrossRef]
- Hock, J.; Häcker, A.-L.; Reiner, B.; Oberhoffer, R.; Hager, A.; Ewert, P.; Müller, J. Functional outcome in contemporary children and young adults with tetralogy of Fallot after repair. Arch. Dis. Child. 2019, 104, 129–133. [Google Scholar] [CrossRef]
- Leonardi, B.; Gentili, F.; Perrone, M.A.; Sollazzo, F.; Cocomello, L.; Silva Kikina, S.; Wald, R.M.; Palmieri, V.; Secinaro, A.; Gagliardi, M.G.; et al. Cardiopulmonary Exercise Testing in Repaired Tetralogy of Fallot: Multiparametric Overview and Correlation with Cardiac Magnetic Resonance and Physical Activity Level. J. Cardiovasc. Dev. Dis. 2022, 9, 26. [Google Scholar] [CrossRef]
- A Wadey, C.; E Weston, M.; Dorobantu, D.M.; E Pieles, G.; Stuart, G.; Barker, A.R.; Taylor, R.S.; A Williams, C. The role of cardiopulmonary exercise testing in predicting mortality and morbidity in people with congenital heart disease: A systematic review and meta-analysis. Eur. J. Prev. Cardiol. 2021, 29, 513–533. [Google Scholar] [CrossRef]
- Giardini, A.; Specchia, S.; Tacy, T.A.; Coutsoumbas, G.; Gargiulo, G.; Donti, A.; Formigari, R.; Bonvicini, M.; Picchio, F.M. Usefulness of cardiopulmonary exercise to predict long-term prognosis in adults with repaired tetralogy of Fallot. Am. J. Cardiol. 2007, 99, 1462–1467. [Google Scholar] [CrossRef]
- Tsai, Y.-J.; Li, M.-H.; Tsai, W.-J.; Tuan, S.-H.; Liao, T.-Y.; Lin, K.-L. Oxygen uptake efficiency slope and peak oxygen consumption predict prognosis in children with tetralogy of Fallot. Eur. J. Prev. Cardiol. 2016, 23, 1045–1050. [Google Scholar] [CrossRef]
- Buys, R.; Van De Bruaene, A.; De Meester, P.; Budts, W.; Vanhees, L. Predictors of mid-term event-free survival in adults with corrected tetralogy of Fallot. Acta Cardiol. 2012, 67, 415–421. [Google Scholar] [CrossRef] [PubMed][Green Version]
- Dallaire, F.; Wald, R.M.; Marelli, A. The Role of Cardiopulmonary Exercise Testing for Decision Making in Patients with Repaired Tetralogy of Fallot. Pediatr. Cardiol. 2017, 38, 1097–1105. [Google Scholar] [CrossRef] [PubMed]
- Ferraz Cavalcanti, P.E.; Sá, M.P.; Santos, C.A.; Esmeraldo, I.M.; de Escobar, R.R.; de Menezes, A.M.; de Azevedo, O.M., Jr.; de Vasconcelos Silva, F.P.; Lins, R.F.; Lima Rde, C. Pulmonary valve replacement after operative repair of tetralogy of Fallot: Meta-analysis and meta-regression of 3,118 patients from 48 studies. J. Am. Coll. Cardiol. 2013, 62, 2227–2243. [Google Scholar] [CrossRef]
- Eynde, J.V.D.; Sá, M.P.B.; Vervoort, D.; Roever, L.; Meyns, B.; Budts, W.; Gewillig, M.; Ruhparwar, A.; Zhigalov, K.; Weymann, A. Pulmonary Valve Replacement in Tetralogy of Fallot: An Updated Meta-Analysis. Ann. Thorac. Surg. 2020, 113, 1036–1046. [Google Scholar] [CrossRef] [PubMed]



Disclaimer/Publisher’s Note: The statements, opinions and data contained in all publications are solely those of the individual author(s) and contributor(s) and not of MDPI and/or the editor(s). MDPI and/or the editor(s) disclaim responsibility for any injury to people or property resulting from any ideas, methods, instructions or products referred to in the content. |
© 2023 by the authors. Licensee MDPI, Basel, Switzerland. This article is an open access article distributed under the terms and conditions of the Creative Commons Attribution (CC BY) license (https://creativecommons.org/licenses/by/4.0/).
Share and Cite
Moscatelli, S.; Pergola, V.; Motta, R.; Fortuni, F.; Borrelli, N.; Sabatino, J.; Leo, I.; Avesani, M.; Montanaro, C.; Surkova, E.; et al. Multimodality Imaging Assessment of Tetralogy of Fallot: From Diagnosis to Long-Term Follow-Up. Children 2023, 10, 1747. https://doi.org/10.3390/children10111747
Moscatelli S, Pergola V, Motta R, Fortuni F, Borrelli N, Sabatino J, Leo I, Avesani M, Montanaro C, Surkova E, et al. Multimodality Imaging Assessment of Tetralogy of Fallot: From Diagnosis to Long-Term Follow-Up. Children. 2023; 10(11):1747. https://doi.org/10.3390/children10111747
Chicago/Turabian StyleMoscatelli, Sara, Valeria Pergola, Raffaella Motta, Federico Fortuni, Nunzia Borrelli, Jolanda Sabatino, Isabella Leo, Martina Avesani, Claudia Montanaro, Elena Surkova, and et al. 2023. "Multimodality Imaging Assessment of Tetralogy of Fallot: From Diagnosis to Long-Term Follow-Up" Children 10, no. 11: 1747. https://doi.org/10.3390/children10111747
APA StyleMoscatelli, S., Pergola, V., Motta, R., Fortuni, F., Borrelli, N., Sabatino, J., Leo, I., Avesani, M., Montanaro, C., Surkova, E., Mapelli, M., Perrone, M. A., & di Salvo, G., on behalf of the Working Group on Congenital Heart Disease, Cardiovascular Prevention in Paediatric Age of the Italian Society of Cardiology (SIC). (2023). Multimodality Imaging Assessment of Tetralogy of Fallot: From Diagnosis to Long-Term Follow-Up. Children, 10(11), 1747. https://doi.org/10.3390/children10111747

