Comparison of Autologous Blood Clots with Fibrin Sealant as Scaffolds for Promoting Human Muscle-Derived Stem Cell-Mediated Bone Regeneration
Abstract
:1. Introduction
2. Materials and Methods
2.1. Cell Isolation and Lenti-BMP2/GFP Construction
2.2. In Vitro Osteogenesis Using 3D Pellet Culture
2.3. Cell Survival in Blood Clot
2.4. Optimization of the Volume of Whole Blood and Cells for Clot Formation
- (1)
- 40 µL blood + 20 µL PBS;
- (2)
- 45 µL blood + 15 µL PBS;
- (3)
- 50 µL blood + 10 µL PBS;
- (4)
- 50 µL blood only.
- (1)
- Add blood 50 µL to 10 µL PBS
- (2)
- Add blood 50 µL to 20 µL PBS;
- (3)
- Add 50 µL blood to the defect.
2.5. Creation of a 5-mm Critical-Sized Calvarial Defect
2.6. Application of Lenti-BMP2/GFP-Transduced hMDSCs Plus Scaffold
2.7. MicroCT Scanning and Analysis
2.8. Histology
2.9. Immunohistochemistry of GFP and Osterix (OSX)
2.10. Statistical Analysis
3. Results
3.1. hMDSCs Transduction Efficiency and BMP2 Secretion Levels
3.2. Lenti-BMP2/GFP-Transduced hMDSCs Demonstrated Significantly Enhanced In Vitro Osteogenic Differentiation
3.3. hMDSC Can Migrate out from Cultured Blood Clot and Undergo Osteogenic Differentiation
3.4. Blood Clot Formed in the Skull Defect Injury Area Faster Than in the Plastic Tubes
3.5. hMDSCs Regenerated Significantly Less Bone Using an Autologous Blood Clot Scaffold When Compared to a FS Scaffold
3.6. Histological Analyses of the Regenerated Bone
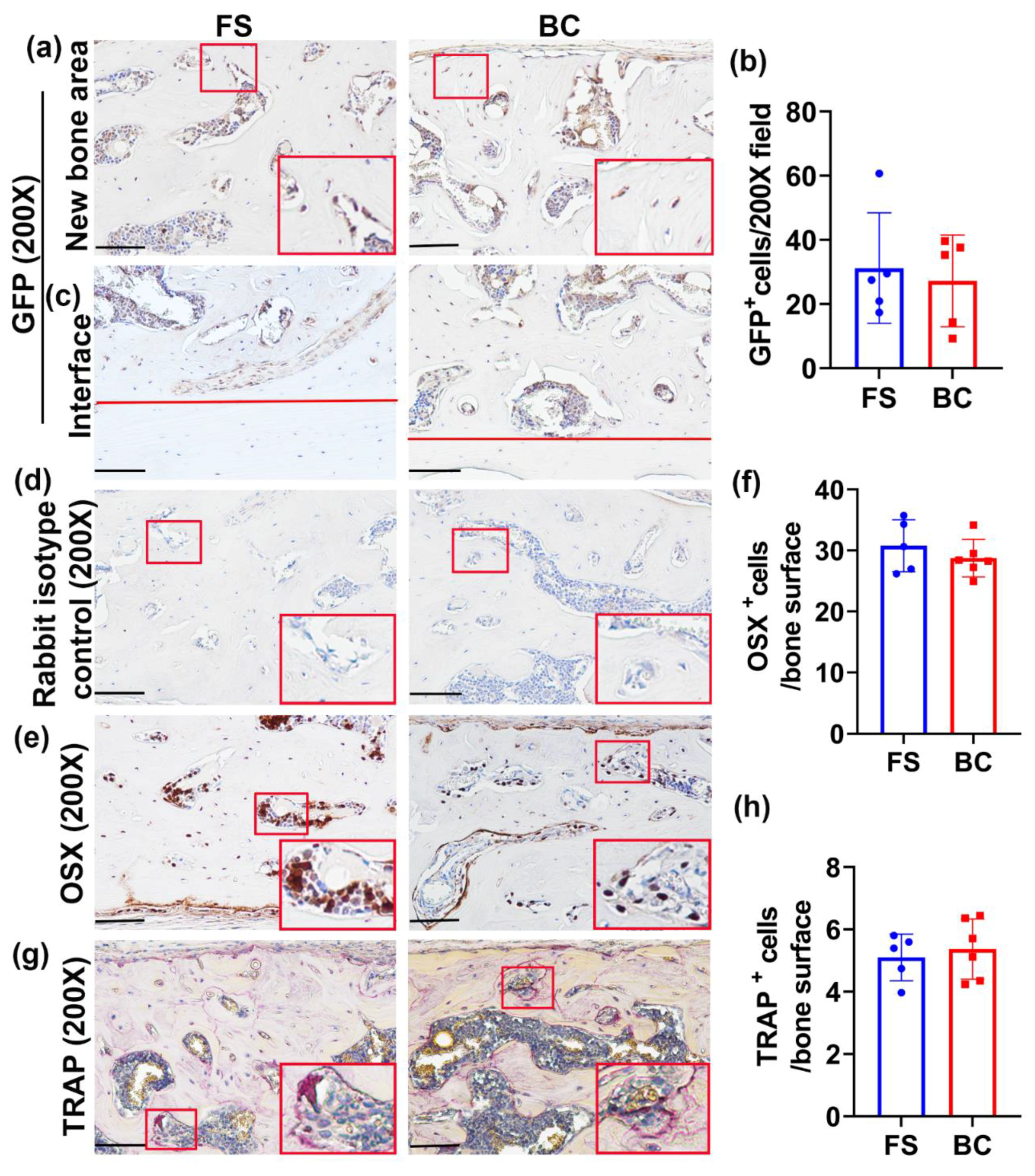
3.7. Participation of GFP-Positive Donor Cells and the Formation of Bone Cells in the Regenerated Bone Are Equivalent in the BC Group Compared to the FS Group
4. Discussion
5. Conclusions
Supplementary Materials
Author Contributions
Funding
Institutional Review Board Statement
Informed Consent Statement
Data Availability Statement
Acknowledgments
Conflicts of Interest
References
- Jing, L.; Rota, S.; Olivier, F.; Momier, D.; Guigonis, J.M.; Schaub, S.; Samson, M.; Bouler, J.M.; Scimeca, J.C.; Rochet, N.; et al. Proteomic analysis identified LBP and CD14 as key proteins in blood/biphasic calcium phosphate microparticle interactions. Acta Biomater. 2021, 127, 298–312. [Google Scholar] [CrossRef] [PubMed]
- Balaguer, T.; Fellah, B.H.; Boukhechba, F.; Traverson, M.; Mouska, X.; Ambrosetti, D.; Dadone, B.; Michiels, J.F.; Amri, E.Z.; Trojani, C.; et al. Combination of blood and biphasic calcium phosphate microparticles for the reconstruction of large bone defects in dog: A pilot study. J. Biomed. Mater. Res. A 2018, 106, 1842–1850. [Google Scholar] [CrossRef] [PubMed]
- Paul, A.J.; Momier, D.; Boukhechba, F.; Michiels, J.F.; Lagadec, P.; Rochet, N. Effect of G-CSF on the osteoinductive property of a BCP/blood clot composite. J. Biomed. Mater. Res. A 2015, 103, 2830–2838. [Google Scholar] [CrossRef] [PubMed]
- Kim, B.S.; Lee, J. Enhanced bone healing by improved fibrin-clot formation via fibrinogen adsorption on biphasic calcium phosphate granules. Clin. Oral. Implants Res. 2015, 26, 1203–1210. [Google Scholar] [CrossRef] [PubMed]
- Lomelino Rde, O.; Castro, S., II; Linhares, A.B.; Alves, G.G.; Santos, S.R.; Gameiro, V.S.; Rossi, A.M.; Granjeiro, J.M. The association of human primary bone cells with biphasic calcium phosphate (betaTCP/HA 70:30) granules increases bone repair. J. Mater. Sci. Mater. Med. 2012, 23, 781–788. [Google Scholar] [CrossRef] [PubMed]
- Jin, F.; Cai, Q.; Wang, W.; Fan, X.; Lu, X.; He, N.; Ding, J. The Effect of Stromal-Derived Factor 1alpha on Osteoinduction Properties of Porous beta-Tricalcium Phosphate Bioceramics. Biomed. Res. Int. 2021, 2021, 8882355. [Google Scholar] [CrossRef]
- Choy, C.S.; Lee, W.F.; Lin, P.Y.; Wu, Y.F.; Huang, H.M.; Teng, N.C.; Pan, Y.H.; Salamanca, E.; Chang, W.J. Surface Modified beta-Tricalcium phosphate enhanced stem cell osteogenic differentiation in vitro and bone regeneration in vivo. Sci. Rep. 2021, 11, 9234. [Google Scholar] [CrossRef]
- Oliveira, H.L.; Da Rosa, W.L.O.; Cuevas-Suarez, C.E.; Carreno, N.L.V.; da Silva, A.F.; Guim, T.N.; Dellagostin, O.A.; Piva, E. Histological Evaluation of Bone Repair with Hydroxyapatite: A Systematic Review. Calcif. Tissue Int. 2017, 101, 341–354. [Google Scholar] [CrossRef] [PubMed]
- Watanabe, J.; Yamada, M.; Niibe, K.; Zhang, M.; Kondo, T.; Ishibashi, M.; Egusa, H. Preconditioning of bone marrow-derived mesenchymal stem cells with N-acetyl-L-cysteine enhances bone regeneration via reinforced resistance to oxidative stress. Biomaterials 2018, 185, 25–38. [Google Scholar] [CrossRef]
- Peng, H.; Wright, V.; Usas, A.; Gearhart, B.; Shen, H.C.; Cummins, J.; Huard, J. Synergistic enhancement of bone formation and healing by stem cell-expressed VEGF and bone morphogenetic protein-4. J. Clin. Investig. 2002, 110, 751–759. [Google Scholar] [CrossRef] [PubMed]
- Usas, A.; Ho, A.M.; Cooper, G.M.; Olshanski, A.; Peng, H.; Huard, J. Bone regeneration mediated by BMP4-expressing muscle-derived stem cells is affected by delivery system. Tissue Eng. Part A 2009, 15, 285–293. [Google Scholar] [CrossRef] [Green Version]
- Meszaros, L.B.; Usas, A.; Cooper, G.M.; Huard, J. Effect of host sex and sex hormones on muscle-derived stem cell-mediated bone formation and defect healing. Tissue Eng. Part A 2012, 18, 1751–1759. [Google Scholar] [CrossRef] [PubMed] [Green Version]
- Gao, X.; Usas, A.; Lu, A.; Tang, Y.; Wang, B.; Chen, C.W.; Li, H.; Tebbets, J.C.; Cummins, J.H.; Huard, J. BMP2 is superior to BMP4 for promoting human muscle-derived stem cell-mediated bone regeneration in a critical-sized calvarial defect model. Cell Transplant. 2013, 22, 2393–2408. [Google Scholar] [CrossRef] [PubMed] [Green Version]
- Gao, X.; Usas, A.; Proto, J.D.; Lu, A.; Cummins, J.H.; Proctor, A.; Chen, C.W.; Huard, J. Role of donor and host cells in muscle-derived stem cell-mediated bone repair: Differentiation vs. paracrine effects. FASEB J. 2014, 28, 3792–3809. [Google Scholar] [CrossRef] [PubMed] [Green Version]
- Gao, X.; Usas, A.; Tang, Y.; Lu, A.; Tan, J.; Schneppendahl, J.; Kozemchak, A.M.; Wang, B.; Cummins, J.H.; Tuan, R.S.; et al. A comparison of bone regeneration with human mesenchymal stem cells and muscle-derived stem cells and the critical role of BMP. Biomaterials 2014, 35, 6859–6870. [Google Scholar] [CrossRef] [PubMed] [Green Version]
- Gao, X.; Usas, A.; Lu, A.; Kozemchak, A.; Tang, Y.; Poddar, M.; Sun, X.; Cummins, J.H.; Huard, J. Cyclooxygenase-2 deficiency impairs muscle-derived stem cell-mediated bone regeneration via cellular autonomous and non-autonomous mechanisms. Hum. Mol. Genet. 2016, 25, 3216–3231. [Google Scholar] [CrossRef] [PubMed] [Green Version]
- Gao, X.; Lu, A.; Tang, Y.; Schneppendahl, J.; Liebowitz, A.B.; Scibetta, A.C.; Morris, E.R.; Cheng, H.; Huard, C.; Amra, S.; et al. Influences of donor and host age on human muscle-derived stem cell-mediated bone regeneration. Stem Cell Res. Ther. 2018, 9, 316. [Google Scholar] [CrossRef] [PubMed]
- Scibetta, A.C.; Morris, E.R.; Liebowitz, A.B.; Gao, X.; Lu, A.; Philippon, M.J.; Huard, J. Characterization of the chondrogenic and osteogenic potential of male and female human muscle-derived stem cells: Implication for stem cell therapy. J. Orthop. Res. 2019, 37, 1339–1349. [Google Scholar] [CrossRef] [PubMed]
- Shiu, H.T.; Leung, P.C.; Ko, C.H. The roles of cellular and molecular components of a hematoma at early stage of bone healing. J. Tissue Eng. Regen Med. 2018, 12, e1911–e1925. [Google Scholar] [CrossRef] [PubMed]
- Arnoczky, S.P.; Warren, R.F.; Spivak, J.M. Meniscal repair using an exogenous fibrin clot. An experimental study in dogs. J. Bone Joint Surg. Am. 1988, 70, 1209–1217. [Google Scholar] [CrossRef]
- Warth, R.J.; Shupe, P.G.; Gao, X.; Syed, M.; Lowe, W.R.; Huard, J.; Harner, C.D. Fibrin Clots Maintain the Viability and Proliferative Capacity of Human Mesenchymal Stem Cells: An In Vitro Study. Clin. Orthop. Relat. Res. 2020, 478, 653–664. [Google Scholar] [CrossRef]
- Preininger, B.; Gerigk, H.; Bruckner, J.; Perka, C.; Schell, H.; Ellinghaus, A.; Schmidt-Bleek, K.; Duda, G. An experimental setup to evaluate innovative therapy options for the enhancement of bone healing using BMP as a benchmark—A pilot study. Eur. Cell Mater. 2012, 23, 262–271; discussion 271–272. [Google Scholar] [CrossRef]
- Balaguer, T.; Boukhechba, F.; Clave, A.; Bouvet-Gerbettaz, S.; Trojani, C.; Michiels, J.F.; Laugier, J.P.; Bouler, J.M.; Carle, G.F.; Scimeca, J.C.; et al. Biphasic calcium phosphate microparticles for bone formation: Benefits of combination with blood clot. Tissue Eng. Part A 2010, 16, 3495–3505. [Google Scholar] [CrossRef] [PubMed]
- Vukicevic, S.; Oppermann, H.; Verbanac, D.; Jankolija, M.; Popek, I.; Curak, J.; Brkljacic, J.; Pauk, M.; Erjavec, I.; Francetic, I.; et al. The clinical use of bone morphogenetic proteins revisited: A novel biocompatible carrier device OSTEOGROW for bone healing. Int. Orthop. 2014, 38, 635–647. [Google Scholar] [CrossRef] [Green Version]
- Gharaibeh, B.; Lu, A.; Tebbets, J.; Zheng, B.; Feduska, J.; Crisan, M.; Peault, B.; Cummins, J.; Huard, J. Isolation of a slowly adhering cell fraction containing stem cells from murine skeletal muscle by the preplate technique. Nat. Protoc. 2008, 3, 1501–1509. [Google Scholar] [CrossRef] [PubMed]
- Turner, N.J.; Pezzone, M.A.; Brown, B.N.; Badylak, S.F. Quantitative multispectral imaging of Herovici’s polychrome for the assessment of collagen content and tissue remodelling. J. Tissue Eng. Regen Med. 2013, 7, 139–148. [Google Scholar] [CrossRef] [PubMed]
- Armstrong, J.K.; Han, B.; Kuwahara, K.; Yang, Z.; Magyar, C.E.; Dry, S.M.; Atti, E.; Tetradis, S.; Fisher, T.C. The effect of three hemostatic agents on early bone healing in an animal model. BMC Surg. 2010, 10, 37. [Google Scholar] [CrossRef] [Green Version]
- Stokovic, N.; Ivanjko, N.; Milesevic, M.; Matic Jelic, I.; Bakic, K.; Rumenovic, V.; Oppermann, H.; Shimp, L.; Sampath, T.K.; Pecina, M.; et al. Synthetic ceramic macroporous blocks as a scaffold in ectopic bone formation induced by recombinant human bone morphogenetic protein 6 within autologous blood coagulum in rats. Int. Orthop. 2021, 45, 1097–1107. [Google Scholar] [CrossRef] [PubMed]
- Pecin, M.; Stokovic, N.; Ivanjko, N.; Smajlovic, A.; Kreszinger, M.; Capak, H.; Vrbanac, Z.; Oppermann, H.; Maticic, D.; Vukicevic, S. A novel autologous bone graft substitute containing rhBMP6 in autologous blood coagulum with synthetic ceramics for reconstruction of a large humerus segmental gunshot defect in a dog: The first veterinary patient to receive a novel osteoinductive therapy. Bone Rep. 2021, 14, 100759. [Google Scholar] [CrossRef]
- Fan, Q.; Bai, J.; Shan, H.; Fei, Z.; Chen, H.; Xu, J.; Ma, Q.; Zhou, X.; Wang, C. Implantable blood clot loaded with BMP-2 for regulation of osteoimmunology and enhancement of bone repair. Bioact Mater. 2021, 6, 4014–4026. [Google Scholar] [CrossRef] [PubMed]
- Okamoto, T.; Okamoto, R.; Alves Rezende, M.C.; Gabrielli, M.F. Interference of the blood clot on granulation tissue formation after tooth extraction. Histomorphological study in rats. Braz Dent. J. 1994, 5, 85–92. [Google Scholar] [PubMed]
- Ferreira, C.L.; Abreu, F.A.; Silva, G.A.; Silveira, F.F.; Barreto, L.B.; Paulino Tde, P.; Miziara, M.N.; Alves, J.B. TGF-beta1 and BMP-4 carried by liposomes enhance the healing process in alveolar bone. Arch. Oral. Biol. 2013, 58, 646–656. [Google Scholar] [CrossRef] [PubMed]
- Torabinejad, M.; Milan, M.; Shabahang, S.; Wright, K.R.; Faras, H. Histologic examination of teeth with necrotic pulps and periapical lesions treated with 2 scaffolds: An animal investigation. J. Endod. 2015, 41, 846–852. [Google Scholar] [CrossRef] [PubMed]
- Aravena, P.C.; Sandoval, S.P.; Pizarro, F.E.; Simpson, M.I.; Castro-Adams, N.; Serandour, G.; Rosas, C. Leukocyte and Platelet-Rich Fibrin Have Same Effect as Blood Clot in the 3-Dimensional Alveolar Ridge Preservation. A Split-Mouth Randomized Clinical Trial. J. Oral Maxillofac. Surg. 2021, 79, 575–584. [Google Scholar] [CrossRef] [PubMed]
- Lambert, F.; Leonard, A.; Drion, P.; Sourice, S.; Layrolle, P.; Rompen, E. Influence of space-filling materials in subantral bone augmentation: Blood clot vs. autogenous bone chips vs. bovine hydroxyapatite. Clin. Oral Implant. Res. 2011, 22, 538–545. [Google Scholar] [CrossRef] [PubMed]
- Kim, H.R.; Choi, B.H.; Xuan, F.; Jeong, S.M. The use of autologous venous blood for maxillary sinus floor augmentation in conjunction with sinus membrane elevation: An experimental study. Clin. Oral Implant. Res. 2010, 21, 346–349. [Google Scholar] [CrossRef] [PubMed]
- Koolen, M.; Longoni, A.; van der Stok, J.; Van der Jagt, O.; Gawlitta, D.; Weinans, H. Complete regeneration of large bone defects in rats with commercially available fibrin loaded with BMP-2. Eur. Cell Mater. 2019, 38, 94–105. [Google Scholar] [CrossRef] [PubMed]
- Cassaro, C.V.; Justulin, L.A.; de Lima, P.R.; Golim, M.A.; Biscola, N.P.; de Castro, M.V.; de Oliveira, A.L.R.; Doiche, D.P.; Pereira, E.J.; Ferreira, R.S.; et al. Fibrin biopolymer as scaffold candidate to treat bone defects in rats. J. Venom. Anim. Toxins Incl. Trop. Dis. 2019, 25, e20190027. [Google Scholar] [CrossRef] [PubMed] [Green Version]
- Muller-Mai, C.; Voigt, C.; Knarse, W.; Sela, J.; Gross, U.M. The early host and material response of bone-bonding and non-bonding glass-ceramic implants as revealed by scanning electron microscopy and histochemistry. Biomaterials 1991, 12, 865–871. [Google Scholar] [CrossRef]
- Kanczler, J.M.; Oreffo, R.O. Osteogenesis and angiogenesis: The potential for engineering bone. Eur. Cell Mater. 2008, 15, 100–114. [Google Scholar] [CrossRef]





| Test Conditions | Test Sites | Blood Draw Method | Whole Blood Volume (µL) | PBS Volume (µL) | Clot Formation Time (Formed Gel) in Minutes |
|---|---|---|---|---|---|
| 1 | 1.5 mL Eppendorf tube | Heart puncture | 40 | 20 | Not formed clot in 20 min |
| 2 | 1.5 mL Eppendorf tube | Heart puncture | 45 | 15 | Not formed clot in 20 min |
| 3 | 1.5 mL Eppendorf tube | Heart puncture | 50 | 20 | Not formed clot in 20 min |
| 4 | 1.5 mL Eppendorf tube | Heart puncture | 50 | 0 | Not formed clot in 20 min |
| 5 | Calvarial bone defect | Retro-orbital capillary | 50 | 10 | Formed clot in 5 min |
| 6 | Calvarial bone defect | Retro-orbital capillary | 50 | 20 | Formed clot in 5 min |
| 7 | Calvarial bone defect | Retro-orbital capillary | 50 | 0 | Formed clot in 5 min |
Publisher’s Note: MDPI stays neutral with regard to jurisdictional claims in published maps and institutional affiliations. |
© 2021 by the authors. Licensee MDPI, Basel, Switzerland. This article is an open access article distributed under the terms and conditions of the Creative Commons Attribution (CC BY) license (https://creativecommons.org/licenses/by/4.0/).
Share and Cite
Gao, X.; Cheng, H.; Sun, X.; Lu, A.; Ruzbarsky, J.J.; Wang, B.; Huard, J. Comparison of Autologous Blood Clots with Fibrin Sealant as Scaffolds for Promoting Human Muscle-Derived Stem Cell-Mediated Bone Regeneration. Biomedicines 2021, 9, 983. https://doi.org/10.3390/biomedicines9080983
Gao X, Cheng H, Sun X, Lu A, Ruzbarsky JJ, Wang B, Huard J. Comparison of Autologous Blood Clots with Fibrin Sealant as Scaffolds for Promoting Human Muscle-Derived Stem Cell-Mediated Bone Regeneration. Biomedicines. 2021; 9(8):983. https://doi.org/10.3390/biomedicines9080983
Chicago/Turabian StyleGao, Xueqin, Haizi Cheng, Xuying Sun, Aiping Lu, Joseph J. Ruzbarsky, Bing Wang, and Johnny Huard. 2021. "Comparison of Autologous Blood Clots with Fibrin Sealant as Scaffolds for Promoting Human Muscle-Derived Stem Cell-Mediated Bone Regeneration" Biomedicines 9, no. 8: 983. https://doi.org/10.3390/biomedicines9080983
APA StyleGao, X., Cheng, H., Sun, X., Lu, A., Ruzbarsky, J. J., Wang, B., & Huard, J. (2021). Comparison of Autologous Blood Clots with Fibrin Sealant as Scaffolds for Promoting Human Muscle-Derived Stem Cell-Mediated Bone Regeneration. Biomedicines, 9(8), 983. https://doi.org/10.3390/biomedicines9080983

