Arterial Thrombosis in Severe Ulcerative Colitis: A Case-Based Narrative Review of Current Evidence
Abstract
1. Introduction
2. Case Presentation
2.1. History and Presentation
2.2. Examination and Initial Workup
2.3. Initial Treatment
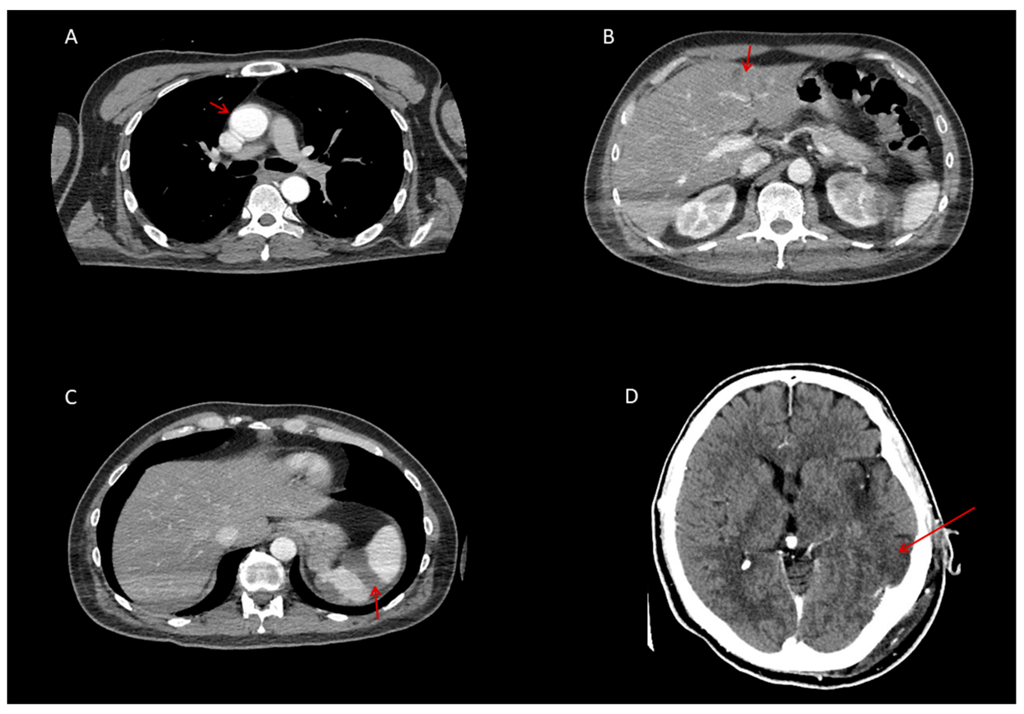
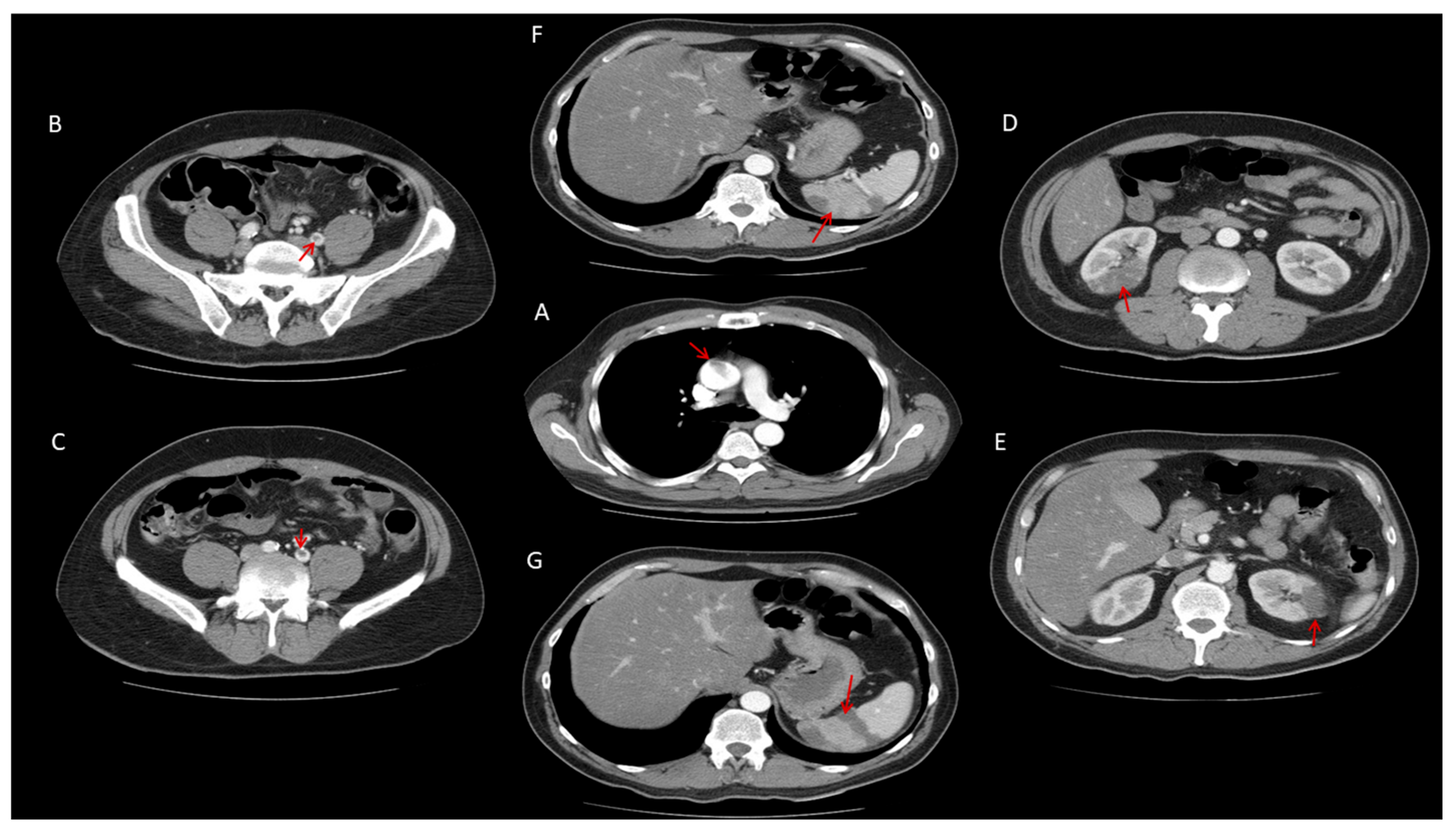
2.4. Neurological and Thrombotic Complications
2.5. Hematological, Immunological, and Infectious Workup
2.6. Outcome
3. Discussion
3.1. Arterial Thrombosis in IBD: Epidemiology and Clinical Phenotypes
3.1.1. Ischemic Stroke
3.1.2. Acute Coronary Syndrome
3.1.3. Peripheral Artery Thrombosis and Mesenteric Ischemia
| Study/Year | Design & Population | Arterial Outcomes | Key Findings |
|---|---|---|---|
| Sun J. et al., 2023 [13] | Swedish nationwide cohort; 85,006 IBD pts; matched population and sibling controls; 1969–2019 | Overall, ischemic, and hemorrhagic stroke | Overall stroke aHR 1.13; ischemic stroke aHR 1.14; persistent > 25 yrs |
| Luo C. et al., 2025 [14] | Systematic review and meta-analysis; 13 studies; 2.8 M participants | Stroke | HR 1.30; CD HR 1.35; UC HR 1.15 |
| Tanislav C. et al., 2021 [15] | German cohort; 11,947 IBD vs. 11,947 controls | Stroke, TIA | Stroke HR 1.30; CD-specific excess |
| Schneiderman J.H., 1979 [18] | Case series; 5 IBD pts | Retinal & cerebral thrombosis | Hypercoagulability; severe events |
| Singh S. et al., 2014 [5] | Meta-analysis; 9 studies | CVA, IHD | CVA OR 1.18; IHD OR 1.19 |
| Eriksson C. et al., 2024 [19] | Swedish cohort; 76,517 IBD vs. 757,141 controls | ACS | HR 1.30; highest in elderly-onset, EIM |
| Tsai M.S. et al., 2014 [20] | Taiwanese cohort; 11,822 IBD vs. 47,288 controls | ACS | aHR 1.72; highest in age 20–39; severity-dependent |
| Aniwan S. et al., 2018 [21] | Population-based cohort; 736 IBD vs. 1472 controls | AMI, heart failure | AMI aHR 2.82; HF aHR 2.03; steroid users at highest risk |
| D’Ascenzo F. et al., 2023 [22] | Systematic review & meta-analysis; 77,140 IBD vs. 515,455 controls | MI, stroke, mortality | MI HR 1.36 (CD), 1.24 (UC); stroke HR 1.22 (CD), 1.09 (UC) |
| Pemmasani G. et al., 2021 [24] | U.S. NIS; 24,220 IBD-ACS vs. 6.9 M non-IBD ACS | ACS outcomes | Lower in-hospital mortality (OR 0.81); IBD complications predict death |
| Lin T.Y. et al., 2015 [25] | Taiwanese nationwide cohort; 11,067 IBD vs. 43,765 controls | PAD | PAD HR 1.29; severe IBD → ~27.5 × risk |
| Bernstein C.N. et al., 2008 [26] | Canadian cohort; 8060 IBD vs. 80,489 controls | IHD, cerebrovascular disease, ATED | IHD IRR 1.26; cerebrovascular IRR 1.32 in CD |
| Ha C. et al., 2009 [27] | U.S. claims cohort; 17,487 IBD vs. 69,948 controls | Mesenteric, cerebral, cardiac arterial events | Acute mesenteric ischemia HR 11.2; ↑ MI in women > 40; ↑ stroke in women < 40 |
3.2. Pathophysiological Mechanisms Linking IBD and Thrombosis
3.3. Triggers and Modifiers of Arterial Thrombotic Risk in IBD
3.3.1. Disease Activity
3.3.2. Traditional Cardiovascular Risk Factors
3.3.3. Conventional Systemic Therapies
3.3.4. Biologic and Targeted Small-Molecule Therapies
3.3.5. Inherited and Acquired Thrombophillia
3.4. Case-Specific Clinical Commentary
3.4.1. Diagnostic Evaluation
3.4.2. Acute Phase Management
3.4.3. Remission Maintenance Strategy
3.4.4. Secondary Thrombosis Prevention
3.4.5. Adjunctive and Supportive Therapy
4. Future Directions
5. Conclusions
Author Contributions
Funding
Institutional Review Board Statement
Informed Consent Statement
Data Availability Statement
Conflicts of Interest
Abbreviations
| ACS | Acute Coronary Syndrome |
| ACA | Anti-cardiolipin antibodies |
| aHR | Adjusted Hazard Ratio |
| AFP | Alpha-fetoprotein |
| ANA | Antinuclear Antibodies |
| ANCA | Antineutrophil Cytoplasmic Antibodies |
| anti-β2 GLP Ab | Anti-glycoprotein antibodies |
| anti-CCP | Anti-cyclic citrullinated peptide |
| anti-GBM Ab | Anti-glomerular basement membrane antibodies |
| AMI | Acute Myocardial Infarction |
| ATIII | Antithrombin III |
| ATED | Arterial Thromboembolic Disease |
| CA 19-9 | Carbohydrate antigen 19-9 |
| CA 72-4 | Cancer antigen 72-4 |
| CD | Crohn’s Disease |
| CD40 | Cluster of Differentiation 40 |
| CD40L | Cluster of Differentiation 40 Ligand |
| CEA | Carcinoembryonic antigen |
| CI | Confidence Interval |
| cANCA | Cytoplasmatic anti-neutrophil cytoplasmic antibodies |
| CRP | C-Reactive Protein |
| CVA | Cerebrovascular Accident |
| EIM | Extra-Intestinal Manifestations |
| ESC | European Society of Cardiology |
| F1+2 | Prothrombin fragment 1+2 |
| FV | Coagulation factor V |
| FVII | Coagulation factor VII |
| FVIII | Coagulation factor VIII |
| FXI | Coagulation factor XI |
| FXIII | Coagulation factor XIII |
| HBsAg | Hepatitis B surface antigen |
| HBV | Hepatitis B Virus |
| HCV | Hepatitis C Virus |
| HF | Heart Failure |
| HIV | Human Immunodeficiency Virus |
| HR | Hazard Ratio |
| IBD | Inflammatory Bowel Disease |
| IBD-U | Inflammatory Bowel Disease–Unclassified |
| ICAM-1 | Intercellular Adhesion Molecule-1 |
| IFN-γ | Interferon Gamma |
| IHD | Ischemic Heart Disease |
| IL-6 | Interleukin-6 |
| IRR | Incidence Rate Ratio |
| LAC | Lupus anticoagulant |
| LPS | Lipopolysaccharide |
| MCV | Mean corpuscular volume |
| MI | Myocardial Infarction |
| MPV | Mean Platelet Volume |
| MTHFR | Methylenetetrahydrofolate reductase |
| NIS | National Inpatient Sample |
| NSE | Neuron-specific enolase |
| OR | Odds Ratio |
| PAD | Peripheral Arterial Disease |
| PAI-1 | Plasminogen Activator Inhibitor-1 |
| pANCA | Perinuclear anti-neutrophil cytoplasmic antibodies |
| PSA | Prostate-specific antigen |
| RF | Rheumatoid factor |
| SARS-CoV-2 | Severe acute respiratory syndrome Coronavirus 2 |
| TAFI | Thrombin-Activatable Fibrinolysis Inhibitor |
| TAT | Thrombin–Antithrombin Complex |
| TFPI | Tissue Factor Pathway Inhibitor |
| TIA | Transient Ischemic Attack |
| TLR | Toll-like receptor |
| TNF-α | Tumor Necrosis Factor Alpha |
| t-PA | Tissue Plasminogen Activator |
| TSAT | Transferrin saturation |
| UC | Ulcerative Colitis |
| VCAM-1 | Vascular Cell Adhesion Molecule-1 |
| VEGF | Vascular endothelial growth factor |
| vWF | Von Willebrand factor |
| VTE | Venous Thromboembolism |
References
- Zezos, P.; Kouklakis, G.; Saibil, F. Inflammatory bowel disease and thromboembolism. World J. Gastroenterol. 2014, 20, 13863–13878. [Google Scholar] [CrossRef] [PubMed]
- Gala, D.; Newsome, T.; Roberson, N.; Lee, S.M.; Thekkanal, M.; Shah, M.; Kumar, V.; Bandaru, P.; Gayam, V. Thromboembolic Events in Patients with Inflammatory Bowel Disease: A Comprehensive Overview. Diseases 2022, 10, 73. [Google Scholar] [CrossRef] [PubMed]
- Stadnicki, A.; Stadnicka, I. Venous and arterial thromboembolism in patients with inflammatory bowel diseases. World J. Gastroenterol. 2021, 27, 6757–6774. [Google Scholar] [CrossRef] [PubMed]
- Zaka, A.; Mridha, N.; Subhaharan, D.; Jones, M.; Niranjan, S.; Mohsen, W.; Ramaswamy, P.K. Inflammatory bowel disease patients have an increased risk of acute coronary syndrome: A systematic review and meta-analysis. Open Heart 2023, 10, e002483. [Google Scholar] [CrossRef] [PubMed]
- Singh, S.; Singh, H.; Loftus, E.V., Jr.; Pardi, D.S. Risk of cerebrovascular accidents and ischemic heart disease in patients with inflammatory bowel disease: A systematic review and meta-analysis. Clin. Gastroenterol. Hepatol. 2014, 12, 382–393.e1. [Google Scholar] [CrossRef] [PubMed]
- Kuy, S.; Dua, A.; Chappidi, R.; Seabrook, G.; Brown, K.R.; Lewis, B.; Rossi, P.J.; Lee, C.J. The increasing incidence of thromboembolic events among hospitalized patients with inflammatory bowel disease. Vascular 2015, 23, 260–264. [Google Scholar] [CrossRef] [PubMed]
- Schellenberg, C.; Lagrange, J.; Ahmed, M.U.; Arnone, D.; Campoli, P.; Louis, H.; Touly, N.; Caron, B.; Plénat, F.; Perrin, J.; et al. The Role of Platelets and von Willebrand Factor in the Procoagulant Phenotype of Inflammatory Bowel Disease. J. Crohns Colitis 2024, 18, 751–761. [Google Scholar] [CrossRef] [PubMed]
- Peric, S.; Todorovic, Z.; Zdravkovic, N.; Gogic, A.; Simovic, S.; Grbovic, V.; Maksic, M.; Jakovljevic, S.; Milovanovic, O.; Zdravkovic, N. Treatment of Ulcerative Colitis: Impact on Platelet Aggregation. Medicina 2023, 59, 1615. [Google Scholar] [CrossRef] [PubMed]
- Tufano, A.; Testa, A.; Patturelli, M.; Rispo, A.; Fotticchia, V.; Rufolo, P.; Strano, F.; Guarino, A.D.; Vitale, A.; Nardone, O.M.; et al. Venous and arterial thromboembolism in out-patients with inflammatory bowel disease: A single center study. Thromb. Update 2025, 20, 100212. [Google Scholar] [CrossRef]
- Yuhara, H.; Steinmaus, C.; Corley, D.; Koike, J.; Igarashi, M.; Suzuki, T.; Mine, T. Meta-analysis: The risk of venous thromboembolism in patients with inflammatory bowel disease. Aliment. Pharmacol. Ther. 2013, 37, 953–962. [Google Scholar] [CrossRef] [PubMed]
- Fumery, M.; Xiaocang, C.; Dauchet, L.; Gower-Rousseau, C.; Peyrin-Biroulet, L.; Colombel, J.F. Thromboembolic events and cardiovascular mortality in inflammatory bowel diseases: A meta-analysis of observational studies. J. Crohns Colitis 2014, 8, 469–479. [Google Scholar] [CrossRef] [PubMed]
- Kappelman, M.D.; Horvath-Puho, E.; Sandler, R.S.; Rubin, D.T.; Ullman, T.A.; Pedersen, L.; Baron, J.A.; Sørensen, H.T. Thromboembolic risk among Danish children and adults with inflammatory bowel diseases: A population-based nationwide study. Gut 2011, 60, 937–943. [Google Scholar] [CrossRef] [PubMed]
- Sun, J.; Halfvarson, J.; Appelros, P.; Bergman, D.; Ebrahimi, F.; Roelstraete, B.; Olén, O.; Ludvigsson, J.F. Long-term Risk of Stroke in Patients With Inflammatory Bowel Disease: A Population-Based, Sibling-Controlled Cohort Study, 1969–2019. Neurology 2023, 101, e653–e664. [Google Scholar] [CrossRef] [PubMed]
- Luo, C.; Liu, L.; Zhu, D.; Ge, Z.; Chen, Y.; Chen, F. Risk of stroke in patients with inflammatory bowel disease: A systematic review and meta-analysis. BMC Gastroenterol. 2025, 25, 114. [Google Scholar] [CrossRef] [PubMed]
- Tanislav, C.; Trommer, K.; Labenz, C.; Kostev, K. Inflammatory Bowel Disease as a Precondition for Stroke or TIA: A Matter of Crohn’s Disease Rather than Ulcerative Colitis. J. Stroke Cerebrovasc. Dis. 2021, 30, 105787. [Google Scholar] [CrossRef] [PubMed]
- Puca, P.; Coppola, G.; Parello, S.; Capobianco, I.; Colantuono, S.; Scaldaferri, F.; Papa, A. Atherosclerotic cardiovascular disease and inflammatory bowel disease: Epidemiology, pathogenesis and risk assessment. Best. Pract. Res. Clin. Gastroenterol. 2025, 78, 102056. [Google Scholar] [CrossRef] [PubMed]
- Katsanos, A.H.; Kosmidou, M.; Giannopoulos, S.; Katsanos, K.H.; Tsivgoulis, G.; Kyritsis, A.P.; Tsianos, E.V. Cerebral arterial infarction in inflammatory bowel diseases. Eur. J. Intern. Med. 2014, 25, 37–44. [Google Scholar] [CrossRef] [PubMed]
- Schneiderman, J.H.; Sharpe, J.A.; Sutton, D.M. Cerebral and retinal vascular complications of inflammatory bowel disease. Ann. Neurol. 1979, 5, 331–337. [Google Scholar] [CrossRef] [PubMed]
- Eriksson, C.; Sun, J.; Bryder, M.; Bröms, G.; Everhov, Å.H.; Forss, A.; Jernberg, T.; Ludvigsson, J.F.; Olén, O. Impact of inflammatory bowel disease on the risk of acute coronary syndrome: A Swedish Nationwide Cohort Study. Aliment. Pharmacol. Ther. 2024, 59, 1122–1133. [Google Scholar] [CrossRef] [PubMed]
- Tsai, M.S.; Lin, C.L.; Chen, H.P.; Lee, P.H.; Sung, F.C.; Kao, C.H. Long-term risk of acute coronary syndrome in patients with inflammatory bowel disease: A 13-year nationwide cohort study in an Asian population. Inflamm. Bowel Dis. 2014, 20, 502–507. [Google Scholar] [CrossRef] [PubMed]
- Aniwan, S.; Pardi, D.S.; Tremaine, W.J.; Loftus, E.V., Jr. Increased Risk of Acute Myocardial Infarction and Heart Failure in Patients With Inflammatory Bowel Diseases. Clin. Gastroenterol. Hepatol. 2018, 16, 1607–1615.e1. [Google Scholar] [CrossRef] [PubMed]
- D’Ascenzo, F.; Bruno, F.; Iannaccone, M.; Testa, G.; De Filippo, O.; Giannino, G.; Caviglia, G.P.; Bernstein, C.N.; De Ferrari, G.M.; Bugianesi, E.; et al. Patients with inflammatory bowel disease are at increased risk of atherothrombotic disease: A systematic review with meta-analysis. Int. J. Cardiol. 2023, 378, 96–104. [Google Scholar] [CrossRef] [PubMed]
- Jaaouani, A.; Ismaiel, A.; Popa, S.L.; Dumitrascu, D.L. Acute Coronary Syndromes and Inflammatory Bowel Disease: The Gut-Heart Connection. J. Clin. Med. 2021, 10, 4710. [Google Scholar] [CrossRef] [PubMed]
- Pemmasani, G.; Elgendy, I.; Mamas, M.A.; Leighton, J.A.; Aronow, W.S.; Tremaine, W.J. Epidemiology and Clinical Outcomes of Patients with Inflammatory Bowel Disease Presenting With Acute Coronary Syndrome. Inflamm. Bowel Dis. 2021, 27, 1017–1025. [Google Scholar] [CrossRef] [PubMed]
- Lin, T.Y.; Chen, Y.G.; Lin, C.L.; Huang, W.S.; Kao, C.H. Inflammatory Bowel Disease Increases the Risk of Peripheral Arterial Disease: A Nationwide Cohort Study. Medicine 2015, 94, e2381. [Google Scholar] [CrossRef] [PubMed]
- Bernstein, C.N.; Wajda, A.; Blanchard, J.F. The incidence of arterial thromboembolic diseases in inflammatory bowel disease: A population-based study. Clin. Gastroenterol. Hepatol. 2008, 6, 41–45. [Google Scholar] [CrossRef] [PubMed]
- Ha, C.; Magowan, S.; Accortt, N.A.; Chen, J.; Stone, C.D. Risk of arterial thrombotic events in inflammatory bowel disease. Am. J. Gastroenterol. 2009, 104, 1445–1451. [Google Scholar] [CrossRef] [PubMed]
- Cainzos-Achirica, M.; Glassner, K.; Zawahir, H.S.; Dey, A.K.; Agrawal, T.; Quigley, E.M.M.; Abraham, B.P.; Acquah, I.; Yahya, T.; Mehta, N.N.; et al. Inflammatory Bowel Disease and Atherosclerotic Cardiovascular Disease: JACC Review Topic of the Week. J. Am. Coll. Cardiol. 2020, 76, 2895–2905. [Google Scholar] [CrossRef] [PubMed]
- Saez, A.; Herrero-Fernandez, B.; Gomez-Bris, R.; Sánchez-Martinez, H.; Gonzalez-Granado, J.M. Pathophysiology of Inflammatory Bowel Disease: Innate Immune System. Int. J. Mol. Sci. 2023, 24, 1526. [Google Scholar] [CrossRef] [PubMed]
- Chauhan, G.; Rieder, F. The Pathogenesis of Inflammatory Bowel Diseases. Surg. Clin. N. Am. 2025, 105, 201–215. [Google Scholar] [CrossRef] [PubMed]
- Chang, J.T. Pathophysiology of Inflammatory Bowel Diseases. N. Engl. J. Med. 2020, 383, 2652–2664. [Google Scholar] [CrossRef] [PubMed]
- Lv, J.; Ibrahim, Y.S.; Yumashev, A.; Hjazi, A.; Faraz, A.; Alnajar, M.J.; Qasim, M.T.; Ghildiyal, P.; Hussein Zwamel, A.; Fakri Mustafa, Y. A comprehensive immunobiology review of IBD: With a specific glance to Th22 lymphocytes development, biology, function, and role in IBD. Int. Immunopharmacol. 2024, 137, 112486. [Google Scholar] [CrossRef] [PubMed]
- Ryan, T.A.J.; O’Neill, L.A.J. Innate immune signaling and immunothrombosis: New insights and therapeutic opportunities. Eur. J. Immunol. 2022, 52, 1024–1034. [Google Scholar] [CrossRef] [PubMed]
- Gando, S.; Levi, M.; Toh, C.H. Trauma-induced innate immune activation and disseminated intravascular coagulation. J. Thromb. Haemost. 2024, 22, 337–351. [Google Scholar] [CrossRef] [PubMed]
- Wilhelm, G.; Mertowska, P.; Mertowski, S.; Przysucha, A.; Strużyna, J.; Grywalska, E.; Torres, K. The Crossroads of the Coagulation System and the Immune System: Interactions and Connections. Int. J. Mol. Sci. 2023, 24, 12563. [Google Scholar] [CrossRef] [PubMed]
- Swystun, L.L.; Liaw, P.C. The role of leukocytes in thrombosis. Blood 2016, 128, 753–762. [Google Scholar] [CrossRef] [PubMed]
- Yong, J.; Toh, C.H. Damage-associated molecular patterns and coagulation. Br. J. Haematol. 2026, 208, 54–57. [Google Scholar] [CrossRef] [PubMed]
- Leberzammer, J.; von Hundelshausen, P. Chemokines, molecular drivers of thromboinflammation and immunothrombosis. Front. Immunol. 2023, 14, 1276353. [Google Scholar] [CrossRef] [PubMed]
- Iba, T.; Levi, M.; Levy, J.H. Intracellular communication and immunothrombosis in sepsis. J. Thromb. Haemost. 2022, 20, 2475–2484. [Google Scholar] [CrossRef] [PubMed]
- Mueller, T.T.; Pilartz, M.; Thakur, M.; LangHeinrich, T.; Luo, J.; Block, R.; Hoeflinger, J.K.L.; Meister, S.; Karaj, F.; Perez, L.G.; et al. Mutual regulation of CD4+ T cells and intravascular fibrin in infections. Haematologica 2024, 109, 2487–2499. [Google Scholar] [CrossRef] [PubMed]
- Owczarek, D.; Cibor, D.; Głowacki, M.K.; Rodacki, T.; Mach, T. Inflammatory bowel disease: Epidemiology, pathology and risk factors for hypercoagulability. World J. Gastroenterol. 2014, 20, 53–63. [Google Scholar] [CrossRef] [PubMed]
- Giannotta, M.; Tapete, G.; Emmi, G.; Silvestri, E.; Milla, M. Thrombosis in inflammatory bowel diseases: What’s the link? Thromb. J. 2015, 13, 14. [Google Scholar] [CrossRef] [PubMed]
- Thapa, S.D.; Hadid, H.; Imam, W.; Hassan, A.; Usman, M.; Jafri, S.M.; Schairer, J. Persistent Reactive Thrombocytosis May Increase the Risk of Coronary Artery Disease Among Inflammatory Bowel Disease Patients. Dig. Dis. Sci. 2015, 60, 3062–3068. [Google Scholar] [CrossRef] [PubMed]
- Xu, C.; Song, Z.; Hu, L.T.; Tong, Y.H.; Hu, J.Y.; Shen, H. Abnormal platelet parameters in inflammatory bowel disease: A systematic review and meta-analysis. BMC Gastroenterol. 2024, 24, 214. [Google Scholar] [CrossRef] [PubMed]
- Gabbiadini, R.; Dal Buono, A.; Mastrorocco, E.; Solitano, V.; Repici, A.; Spinelli, A.; Condorelli, G.; Armuzzi, A. Atherosclerotic cardiovascular diseases in inflammatory bowel diseases: To the heart of the issue. Front. Cardiovasc. Med. 2023, 10, 1143293. [Google Scholar] [CrossRef] [PubMed]
- Kristensen, S.L.; Ahlehoff, O.; Lindhardsen, J.; Erichsen, R.; Jensen, G.V.; Torp-Pedersen, C.; Nielsen, O.H.; Gislason, G.H.; Hansen, P.R. Disease activity in inflammatory bowel disease is associated with increased risk of myocardial infarction, stroke and cardiovascular death—A Danish nationwide cohort study. PLoS ONE 2013, 8, e56944. [Google Scholar] [CrossRef] [PubMed]
- Card, T.R.; Zittan, E.; Nguyen, G.C.; Grainge, M.J. Disease Activity in Inflammatory Bowel Disease Is Associated With Arterial Vascular Disease. Inflamm. Bowel Dis. 2021, 27, 629–638. [Google Scholar] [CrossRef] [PubMed]
- Le Gall, G.; Kirchgesner, J.; Bejaoui, M.; Landman, C.; Nion-Larmurier, I.; Bourrier, A.; Sokol, H.; Seksik, P.; Beaugerie, L. Clinical activity is an independent risk factor of ischemic heart and cerebrovascular arterial disease in patients with inflammatory bowel disease. PLoS ONE 2018, 13, e0201991. [Google Scholar] [CrossRef] [PubMed]
- Sun, J.; Mårild, K.; Sundström, J.; Bergman, D.; SWIBREG Study Group; Ebrahimi, F.; Halfvarson, J.; Olén, O.; Ludvigsson, J.F. Association of histologic and clinical activity with major adverse cardiovascular events in patients with inflammatory bowel disease: A cohort study. J. Intern. Med. 2025, 298, 697–710. [Google Scholar] [CrossRef] [PubMed]
- Kirchgesner, J.; Beaugerie, L.; Carrat, F.; Andersen, N.N.; Jess, T.; Schwarzinger, M.; BERENICE Study Group. Increased risk of acute arterial events in young patients and severely active IBD: A nationwide French cohort study. Gut 2018, 67, 1261–1268. [Google Scholar] [CrossRef] [PubMed]
- Singh, S.; Kullo, I.J.; Pardi, D.S.; Loftus, E.V., Jr. Epidemiology risk factors management of cardiovascular diseases in, I.B.D. Nat. Rev. Gastroenterol. Hepatol. 2015, 12, 26–35. [Google Scholar] [CrossRef] [PubMed]
- Martinelli, I.; Bucciarelli, P.; Mannucci, P.M. Thrombotic risk factors: Basic pathophysiology. Crit. Care Med. 2010, 38, S3–S9. [Google Scholar] [CrossRef] [PubMed]
- Fuster, V.; Moreno, P.R.; Fayad, Z.A.; Corti, R.; Badimon, J.J. Atherothrombosis and high-risk plaque: Part I: Evolving concepts. J. Am. Coll. Cardiol. 2005, 46, 937–954. [Google Scholar] [CrossRef] [PubMed]
- Powell-Wiley, T.M.; Poirier, P.; Burke, L.E.; Després, J.P.; Gordon-Larsen, P.; Lavie, C.J.; Lear, S.A.; Ndumele, C.E.; Neeland, I.J.; Sanders, P.; et al. American Heart Association Council on Lifestyle and Cardiometabolic Health; Council on Cardiovascular and Stroke Nursing; Council on Clinical Cardiology; Council on Epidemiology and Prevention; and Stroke Council. Obesity and Cardiovascular Disease: A Scientific Statement From the American Heart Association. Circulation 2021, 143, e984–e1010. [Google Scholar] [CrossRef] [PubMed]
- Lee, H.; Huang, X.; Khan, S.S.; Son, D.; Lee, H.H.; Kim, E.J.; Lloyd-Jones, D.M.; Kim, H.C.; Greenland, P. Very High Prevalence of Nonoptimally Controlled Traditional Risk Factors at the Onset of Cardiovascular Disease. J. Am. Coll. Cardiol. 2025, 86, 1017–1029. [Google Scholar] [CrossRef] [PubMed]
- Kim, E.S.H.; Arya, S.; Bryce, Y.; Gornik, H.L.; Long, C.A.; McDermott, M.M.; West Pollak, A.; Rowe, V.L.; Sullivan, A.E.; Whipple, M.O. American Heart Association Council on Peripheral Vascular Disease; Council on Cardiovascular and Stroke Nursing; Council on Clinical Cardiology; Council on Genomic and Precision Medicine; Council on Quality of Care and Outcomes Research; and Stroke Council. Sex Differences in Peripheral Vascular Disease: A Scientific Statement From the American Heart Association. Circulation 2025, 151, e877–e904. [Google Scholar] [CrossRef] [PubMed]
- Brækkan, S.K.; Hald, E.M.; Mathiesen, E.B.; Njølstad, I.; Wilsgaard, T.; Rosendaal, F.R.; Hansen, J.B. Competing risk of atherosclerotic risk factors for arterial and venous thrombosis in a general population: The Tromso study. Arterioscler. Thromb. Vasc. Biol. 2012, 32, 487–491. [Google Scholar] [CrossRef] [PubMed]
- Yarur, A.J.; Deshpande, A.R.; Pechman, D.M.; Tamariz, L.; Abreu, M.T.; Sussman, D.A. Inflammatory bowel disease is associated with an increased incidence of cardiovascular events. Am. J. Gastroenterol. 2011, 106, 741–747. [Google Scholar] [CrossRef] [PubMed]
- Bigeh, A.; Sanchez, A.; Maestas, C.; Gulati, M. Inflammatory bowel disease and the risk for cardiovascular disease: Does all inflammation lead to heart disease? Trends Cardiovasc. Med. 2020, 30, 463–469. [Google Scholar] [CrossRef] [PubMed]
- Lichtenstein, G.R.; Loftus, E.V.; Afzali, A.; Long, M.D.; Barnes, E.L.; Isaacs, K.L.; Ha, C.Y. ACG Clinical Guideline: Management of Crohn’s Disease in Adults. Am. J. Gastroenterol. 2025, 120, 1225–1264. [Google Scholar] [CrossRef] [PubMed]
- Lewis, J.D.; Scott, F.I.; Brensinger, C.M.; Roy, J.A.; Osterman, M.T.; Mamtani, R.; Bewtra, M.; Chen, L.; Yun, H.; Xie, F.; et al. Increased Mortality Rates With Prolonged Corticosteroid Therapy When Compared With Antitumor Necrosis Factor-α-Directed Therapy for Inflammatory Bowel Disease. Am. J. Gastroenterol. 2018, 113, 405–417. [Google Scholar] [CrossRef] [PubMed]
- Kochar, B.; Katz, S.; Faye, A.S. Practical Advice for the Management of Older Adults With Inflammatory Bowel Disease. Am. J. Gastroenterol. 2025, 120, S17–S26. [Google Scholar] [CrossRef] [PubMed]
- Ananthakrishnan, A.N.; Nguyen, G.C.; Bernstein, C.N. AGA Clinical Practice Update on Management of Inflammatory Bowel Disease in Elderly Patients: Expert Review. Gastroenterology 2021, 160, 445–451. [Google Scholar] [CrossRef] [PubMed]
- Ford, A.C.; Kane, S.V.; Khan, K.J.; Achkar, J.P.; Talley, N.J.; Marshall, J.K.; Moayyedi, P. Efficacy of 5-aminosalicylates in Crohn’s disease: Systematic review and meta-analysis. Am. J. Gastroenterol. 2011, 106, 617–629. [Google Scholar] [CrossRef] [PubMed]
- Talley, N.J.; Abreu, M.T.; Achkar, J.P.; Bernstein, C.N.; Dubinsky, M.C.; Hanauer, S.B.; Kane, S.V.; Sandborn, W.J.; Ullman, T.A.; Moayyedi, P. American College of Gastroenterology IBD Task Force. An evidence-based systematic review on medical therapies for inflammatory bowel disease. Am. J. Gastroenterol. 2011, 106, S2–S25. [Google Scholar] [CrossRef] [PubMed]
- Carty, E.; MacEy, M.; Rampton, D.S. Inhibition of platelet activation by 5-aminosalicylic acid in inflammatory bowel disease. Aliment. Pharmacol. Ther. 2000, 14, 1169–1179. [Google Scholar] [CrossRef] [PubMed]
- Singh, S.; Loftus, E.V., Jr.; Limketkai, B.N.; Haydek, J.P.; Agrawal, M.; Scott, F.I.; Ananthakrishnan, A.N.; AGA Clinical Guidelines Committee. AGA Living Clinical Practice Guideline on Pharmacological Management of Moderate-to-Severe Ulcerative Colitis. Gastroenterology 2024, 167, 1307–1343. [Google Scholar] [CrossRef] [PubMed]
- Kirchgesner, J.; Nyboe Andersen, N.; Carrat, F.; Jess, T.; Beaugerie, L.; BERENICE Study Group. Risk of acute arterial events associated with treatment of inflammatory bowel diseases: Nationwide French cohort study. Gut 2020, 69, 852–858. [Google Scholar] [CrossRef] [PubMed]
- Dheyriat, L.; Ward, D.; Beaugerie, L.; Jess, T.; Kirchgesner, J. Risk of Recurrent Acute Arterial Events Associated With Thiopurines and Anti-Tumor Necrosis Factor in Inflammatory Bowel Diseases. Clin. Gastroenterol. Hepatol. 2023, 21, 164–172.e11. [Google Scholar] [CrossRef] [PubMed]
- Miele, E.; Benninga, M.A.; Broekaert, I.; Dolinsek, J.; Mas, E.; Orel, R.; Pienar, C.; Ribes-Koninckx, C.; Thomassen, R.A.; Thomson, M.; et al. Safety of Thiopurine Use in Paediatric Gastrointestinal Disease. J. Pediatr. Gastroenterol. Nutr. 2020, 71, 156–162. [Google Scholar] [CrossRef] [PubMed]
- Farraye, F.A.; Melmed, G.Y.; Lichtenstein, G.R.; Kane, S.V. Corrigendum: ACG Clinical Guideline: Preventive Care in Inflammatory Bowel Disease. Am. J. Gastroenterol. 2017, 112, 1208. [Google Scholar] [CrossRef] [PubMed]
- Lemaitre, M.; Kirchgesner, J.; Rudnichi, A.; Carrat, F.; Zureik, M.; Carbonnel, F.; Dray-Spira, R. Association Between Use of Thiopurines or Tumor Necrosis Factor Antagonists Alone or in Combination and Risk of Lymphoma in Patients With Inflammatory Bowel Disease. JAMA 2017, 318, 1679–1686. [Google Scholar] [CrossRef] [PubMed]
- Rezazadeh Ardabili, A.; Jeuring, S.; Mujagic, Z.; Oostenbrug, L.; Romberg-Camps, M.; Jonkers, D.; van Bodegraven, A.; Pierik, M. Classic drugs in the time of new drugs: Real-world, long-term outcomes of thiopurine monotherapy in 1016 patients with inflammatory bowel disease. Aliment. Pharmacol. Ther. 2022, 56, 1030–1043. [Google Scholar] [CrossRef] [PubMed]
- Scott, F.I.; Ananthakrishnan, A.N.; Click, B.; Agrawal, M.; Syal, G.; Haydek, J.P.; Yuan, Y.; Kappelman, M.D.; Lewis, J.D.; Singh, S. AGA Living Clinical Practice Guideline on the Pharmacologic Management of Moderate-to-Severe Crohn’s Disease. Gastroenterology 2025, 169, 1397–1448. [Google Scholar] [CrossRef] [PubMed]
- Temido, M.J.; Honap, S.; Jairath, V.; Vermeire, S.; Danese, S.; Portela, F.; Peyrin-Biroulet, L. Overcoming the challenges of overtreating and undertreating inflammatory bowel disease. Lancet Gastroenterol. Hepatol. 2025, 10, 462–474. [Google Scholar] [CrossRef] [PubMed]
- Sequier, L.; Caron, B.; Loeuille, D.; Honap, S.; Jairath, V.; Netter, P.; Danese, S.; Sibilia, J.; Peyrin-Biroulet, L. Systematic review: Methotrexate-A poorly understood and underused medication in inflammatory bowel disease. Aliment. Pharmacol. Ther. 2024, 60, 686–700. [Google Scholar] [CrossRef] [PubMed]
- Micha, R.; Imamura, F.; Wyler von Ballmoos, M.; Solomon, D.H.; Hernán, M.A.; Ridker, P.M.; Mozaffarian, D. Systematic review and meta-analysis of methotrexate use and risk of cardiovascular disease. Am. J. Cardiol. 2011, 108, 1362–1370. [Google Scholar] [CrossRef] [PubMed]
- Ridker, P.M.; Everett, B.M.; Pradhan, A.; MacFadyen, J.G.; Solomon, D.H.; Zaharris, E.; Mam, V.; Hasan, A.; Rosenberg, Y.; Iturriaga, E.; et al. Low-Dose Methotrexate for the Prevention of Atherosclerotic Events. N. Engl. J. Med. 2019, 380, 752–762. [Google Scholar] [CrossRef] [PubMed]
- Galajda, N.Á.; Meznerics, F.A.; Mátrai, P.; Fehérvári, P.; Lengyel, A.S.; Kolonics, M.V.; Sipos, Z.; Kemény, L.V.; Csupor, D.; Hegyi, P.; et al. Reducing cardiovascular risk in immune-mediated inflammatory diseases: Tumour necrosis factor inhibitors compared to conventional therapies-A systematic review and meta-analysis. J. Eur. Acad. Dermatol. Venereol. 2024, 38, 1070–1088. [Google Scholar] [CrossRef] [PubMed]
- Baumgart, D.C.; Le Berre, C. Newer Biologic and Small-Molecule Therapies for Inflammatory Bowel Disease. N. Engl. J. Med. 2021, 385, 1302–1315. [Google Scholar] [CrossRef] [PubMed]
- Colombel, J.F.; Sands, B.E.; Rutgeerts, P.; Sandborn, W.; Danese, S.; D’Haens, G.; Panaccione, R.; Loftus EVJr Sankoh, S.; Fox, I.; Parikh, A.; et al. The safety of vedolizumab for ulcerative colitis and Crohn’s disease. Gut 2017, 66, 839–851. [Google Scholar] [CrossRef] [PubMed]
- Honap, S.; Netter, P.; Danese, S.; Peyrin-Biroulet, L. An update on the safety of long-term vedolizumab use in inflammatory bowel disease. Expert. Opin. Drug Saf. 2023, 22, 767–776. [Google Scholar] [CrossRef] [PubMed]
- Louis, E.; Sebastian, S.; Siegmund, B.; Bossuyt, P.; Danese, S.; de Boer, N.; Loftus EVJr Moum, B.; Peyrin-Biroulet, L.; Schreiber, S.; Zhou, J.; et al. Long-Term Safety of Vedolizumab in Patients with Ulcerative Colitis/Crohn’s Disease: A Prospective Observational Study. Clin. Gastroenterol. Hepatol. 2025, in press. [CrossRef] [PubMed]
- Cross, R.K.; Chiorean, M.; Vekeman, F.; Xiao, Y.; Wu, E.; Chao, J.; Wang, A.W. Assessment of the real-world safety profile of vedolizumab using the United States Food and Drug Administration adverse event reporting system. PLoS ONE 2019, 14, e0225572. [Google Scholar] [CrossRef] [PubMed]
- Banefelt, J.; Skröder, H.; Azzabi, A.; Sheahan, A.; Suruki, R.; Geldhof, A. Long-term cardiovascular safety of ustekinumab in psoriasis and psoriatic arthritis: Results from an observational postauthorization safety study based on Swedish national registers. J. Am. Acad. Dermatol. 2025, 93, 104–114. [Google Scholar] [CrossRef] [PubMed]
- Lee, M.P.; Desai, R.J.; Jin, Y.; Brill, G.; Ogdie, A.; Kim, S.C. Association of Ustekinumab vs. TNF Inhibitor Therapy With Risk of Atrial Fibrillation and Cardiovascular Events in Patients With Psoriasis or Psoriatic Arthritis. JAMA Dermatol. 2019, 155, 700–707. [Google Scholar] [CrossRef] [PubMed]
- Reich, K.; Langley, R.G.; Lebwohl, M.; Szapary, P.; Guzzo, C.; Yeilding, N.; Li, S.; Hsu, M.C.; Griffiths, C.E. Cardiovascular safety of ustekinumab in patients with moderate to severe psoriasis: Results of integrated analyses of data from phase II and III clinical studies. Br. J. Dermatol. 2011, 164, 862–872. [Google Scholar] [CrossRef] [PubMed]
- Hugh, J.; Van Voorhees, A.S.; Nijhawan, R.I.; Bagel, J.; Lebwohl, M.; Blauvelt, A.; Hsu, S.; Weinberg, J.M. From the Medical Board of the National Psoriasis Foundation: The risk of cardiovascular disease in individuals with psoriasis and the potential impact of current therapies. J. Am. Acad. Dermatol. 2014, 70, 168–177. [Google Scholar] [CrossRef] [PubMed]
- Poizeau, F.; Nowak, E.; Kerbrat, S.; Le Nautout, B.; Droitcourt, C.; Drici, M.D.; Sbidian, E.; Guillot, B.; Bachelez, H.; Ait-Oufella, H.; et al. Association Between Early Severe Cardiovascular Events and the Initiation of Treatment With the Anti-Interleukin 12/23p40 Antibody Ustekinumab. JAMA Dermatol. 2020, 156, 1208–1215. [Google Scholar] [CrossRef] [PubMed]
- Elmets, C.A.; Leonardi, C.L.; Davis, D.M.R.; Gelfand, J.M.; Lichten, J.; Mehta, N.N.; Armstrong, A.W.; Connor, C.; Cordoro, K.M.; Elewski, B.E.; et al. Joint AAD-NPF guidelines of care for the management and treatment of psoriasis with awareness and attention to comorbidities. J. Am. Acad. Dermatol. 2019, 80, 1073–1113. [Google Scholar] [CrossRef] [PubMed]
- Núñez, P.; Quera, R.; Yarur, A.J. Safety of Janus Kinase Inhibitors in Inflammatory Bowel Diseases. Drugs 2023, 83, 299–314. [Google Scholar] [CrossRef] [PubMed]
- Campanaro, F.; Zaffaroni, A.; Cacioppo, E.; Cappelli, A.; Bertù, L.; Donadini, M.P.; Squizzato, A.; Batticciotto, A. Venous and arterial thromboembolic risk of Janus kinase inhibitors: A systematic review with meta-analysis. Rheumatology 2023, 62, 3245–3255. [Google Scholar] [CrossRef] [PubMed]
- Yang, H.; An, T.; Zhao, Y.; Shi, X.; Wang, B.; Zhang, Q. Cardiovascular safety of Janus kinase inhibitors in inflammatory bowel disease: A systematic review and network meta-analysis. Ann. Med. 2025, 57, 2455536. [Google Scholar] [CrossRef] [PubMed]
- Ahuja, D.; Yeh, K.H.; Patel, S.B.; Lee, H.H.; Goodwin, S.W.; Solitano, V.; Ma, C.; Ananthakrishnan, A.N.; Singh, N.; Jairath, V.; et al. Comparative Safety of Janus Kinase Inhibitors vs. Tumor Necrosis Factor Antagonists in Patients with Inflammatory Bowel Diseases. Clin. Gastroenterol. Hepatol. 2025, in press. [CrossRef] [PubMed]
- Tanriverdi, L.H.; Aksan, F.; Aroniadis, O.; Monzur, F. S1P Receptor Modulators Improve Clinical Outcomes in Ulcerative Colitis: A Stratified Meta-Analysis By Prior Biological Use, Corticosteroid Exposure, and Disease Characteristics. J. Clin. Gastroenterol. 2025. [Google Scholar] [CrossRef] [PubMed]
- Olivera, P.A.; Lasa, J.S.; Peretto, G.; Zuily, S.; Danese, S.; Peyrin-Biroulet, L. Review article: Risk of cardiovascular events in patients with inflammatory bowel disease receiving small molecule drugs. Aliment. Pharmacol. Ther. 2023, 57, 1231–1248. [Google Scholar] [CrossRef] [PubMed]
- Olivera, P.A.; Dignass, A.; Dubinsky, M.C.; Peretto, G.; Kotze, P.G.; Dotan, I.; Kobayashi, T.; Ghosh, S.; Magro, F.; Faria-Neto, J.R.; et al. Preventing and managing cardiovascular events in patients with inflammatory bowel diseases treated with small-molecule drugs, an international Delphi consensus. Dig. Liver Dis. 2024, 56, 1270–1280. [Google Scholar] [CrossRef] [PubMed]
- Lasa, J.S.; Olivera, P.A.; Bonovas, S.; Danese, S.; Peyrin-Biroulet, L. Safety of S1P Modulators in Patients with Immune-Mediated Diseases: A Systematic Review and Meta-Analysis. Drug Saf. 2021, 44, 645–660. [Google Scholar] [CrossRef] [PubMed]
- Naito, T.; Botwin, G.J.; Haritunians, T.; Li, D.; Yang, S.; Khrom, M.; Braun, J.; NIDDK IBD Genetics Consortium; Abbou, L.; Mengesha, E.; et al. Prevalence and Effect of Genetic Risk of Thromboembolic Disease in Inflammatory Bowel Disease. Gastroenterology 2021, 160, 771–780.e4. [Google Scholar] [CrossRef] [PubMed]
- Tsiolakidou, G.; Koutroubakis, I.E. Thrombosis and inflammatory bowel disease-the role of genetic risk factors. World J. Gastroenterol. 2008, 14, 4440–4444. [Google Scholar] [CrossRef] [PubMed]
- Cappello, M.; Grimaudo, S.; Bravatá, I.; Randazzo, C.; Pipitone, R.M.; Licata, A.; Cammá, C.; Craxì, A. Genetic predisposition to thrombophilia in inflammatory bowel disease. J. Clin. Gastroenterol. 2011, 45, e25–e29. [Google Scholar] [CrossRef] [PubMed]
- Rifkin, A.S.; Shi, Z.; Wei, J.; Zheng, S.L.; Helfand, B.T.; Cordova, J.S.; Biank, V.F.; Tafur, A.J.; Khan, O.; Xu, J. Risk assessment of venous thromboembolism in inflammatory bowel disease by inherited risk in a population-based incident cohort. World J. Gastroenterol. 2023, 29, 5494–5502. [Google Scholar] [CrossRef] [PubMed]
- Spina, L.; Saibeni, S.; Battaglioli, T.; Peyvandi, F.; de Franchis, R.; Vecchi, M. Thrombosis in inflammatory bowel diseases: Role of inherited thrombophilia. Am. J. Gastroenterol. 2005, 100, 2036–2041. [Google Scholar] [CrossRef] [PubMed]
- Valeriani, E.; Pastori, D.; Astorri, G.; Porfidia, A.; Menichelli, D.; Pignatelli, P. Factor V Leiden, prothrombin, MTHFR, and PAI-1 gene polymorphisms in patients with arterial disease: A comprehensive systematic-review and meta-analysis. Thromb. Res. 2023, 230, 74–83. [Google Scholar] [CrossRef] [PubMed]
- Deloughery, T.G.; Hunt, B.J.; Barnes, G.D.; Connors, J.M.; WTD Steering Committee. A call to action: MTHFR polymorphisms should not be a part of inherited thrombophilia testing. Res. Pract. Thromb. Haemost. 2022, 6, e12739. [Google Scholar] [CrossRef] [PubMed]
- Franchini, M.; Martinelli, I.; Mannucci, P.M. Uncertain thrombophilia markers. Thromb. Haemost. 2016, 115, 25–30. [Google Scholar] [CrossRef] [PubMed]
- Graydon, J.S.; Claudio, K.; Baker, S.; Kocherla, M.; Ferreira, M.; Roche-Lima, A.; Rodríguez-Maldonado, J.; Duconge, J.; Ruaño, G. Ethnogeographic prevalence and implications of the 677C>T and 1298A>C MTHFR polymorphisms in US primary care populations. Biomark Med. 2019, 13, 649–661. [Google Scholar] [CrossRef] [PubMed]
- Shammaa, D.M.; Sabbagh, A.S.; Taher, A.T.; Zaatari, G.S.; Mahfouz, R.A. Plasminogen Activator Inhibitor-1 (PAI-1) gene 4G/5G alleles frequency distribution in the Lebanese population. Mol. Biol. Rep. 2008, 35, 453–457. [Google Scholar] [CrossRef] [PubMed]
- Tang, Z.; Shi, H.; Liu, H.; Cheng, X.; Su, Y.; Ye, J.; Sun, Y.; Hu, Q.; Chi, H.; Zhou, Z.; et al. Methylenetetrahydrofolate Reductase 677T Allele Is a Risk Factor for Arterial Thrombosis in Chinese Han Patients with Antiphospholipid Syndrome. Biomedicines 2022, 11, 55. [Google Scholar] [CrossRef] [PubMed]
- Tàssies, D.; Espinosa, G.; Muñoz-Rodríguez, F.J.; Freire, C.; Cervera, R.; Monteagudo, J.; Maragall, S.; Escolar, G.; Ingelmo, M.; Ordinas, A.; et al. The 4G/5G polymorphism of the type 1 plasminogen activator inhibitor gene and thrombosis in patients with antiphospholipid syndrome. Arthritis Rheum. 2000, 43, 2349–2358. [Google Scholar] [CrossRef] [PubMed]
- American College of Obstetricians and Gynecologists’ Committee on Practice Bulletins–Obstetrics. ACOG Practice Bulletin No. 197: Inherited Thrombophilias in Pregnancy. Obstet. Gynecol. 2018, 132, e18–e34. [CrossRef] [PubMed]
- Kang, B.E.; Zhang, S.; Lesmana, H.; Dungan, J.; Reynolds, K.; Guha, S.; Best, H.; ACMG Laboratory Quality Assurance Committee. Venous thromboembolism laboratory testing (factor V Leiden and factor II c.∗97G>A), 2025 revision: A technical standard of the American College of Medical Genetics and Genomics (ACMG). Genet. Med. 2025, 27, 101466. [Google Scholar] [CrossRef] [PubMed]
- Forastiero, R.; Martinuzzo, M.; Adamczuk, Y.; Varela, M.L.; Pombo, G.; Carreras, L.O. The combination of thrombophilic genotypes is associated with definite antiphospholipid syndrome. Haematologica 2001, 86, 735–741. [Google Scholar] [PubMed]
- Koutroubakis, I.E. Role of thrombotic vascular risk factors in inflammatory bowel disease. Dig. Dis. 2000, 18, 161–167. [Google Scholar] [CrossRef] [PubMed]
- Zitomersky, N.L.; Levine, A.E.; Atkinson, B.J.; Harney, K.M.; Verhave, M.; Bousvaros, A.; Lightdale, J.R.; Trenor, C.C., III. Risk factors, morbidity, and treatment of thrombosis in children and young adults with active inflammatory bowel disease. J. Pediatr. Gastroenterol. Nutr. 2013, 57, 343–347. [Google Scholar] [CrossRef] [PubMed]
- Hudson, M.; Chitolie, A.; Hutton, R.A.; Smith, M.S.; Pounder, R.E.; Wakefield, A.J. Thrombotic vascular risk factors in inflammatory bowel disease. Gut 1996, 38, 733–737. [Google Scholar] [CrossRef] [PubMed]
- Moretti, R.; Caruso, P. The Controversial Role of Homocysteine in Neurology: From Labs to Clinical Practice. Int. J. Mol. Sci. 2019, 20, 231. [Google Scholar] [CrossRef] [PubMed]
- Guéant, J.L.; Guéant-Rodriguez, R.M.; Oussalah, A.; Zuily, S.; Rosenberg, I. Hyperhomocysteinemia in Cardiovascular Diseases: Revisiting Observational Studies and Clinical Trials. Thromb. Haemost. 2023, 123, 270–282. [Google Scholar] [CrossRef] [PubMed]
- Figtree, G.A.; Vernon, S.T.; Harmer, J.A.; Gray, M.P.; Arnott, C.; Bachour, E.; Barsha, G.; Brieger, D.; Brown, A.; Celermajer, D.S.; et al. Clinical Pathway for Coronary Atherosclerosis in Patients Without Conventional Modifiable Risk Factors: JACC State-of-the-Art Review. J. Am. Coll. Cardiol. 2023, 82, 1343–1359. [Google Scholar] [CrossRef] [PubMed]
- Hwang, C.; Ross, V.; Mahadevan, U. Micronutrient deficiencies in inflammatory bowel disease: From A to zinc. Inflamm. Bowel Dis. 2012, 18, 1961–1981. [Google Scholar] [CrossRef] [PubMed]
- Jakubowski, H.; Witucki, Ł. Homocysteine Metabolites, Endothelial Dysfunction, and Cardiovascular Disease. Int. J. Mol. Sci. 2025, 26, 746. [Google Scholar] [CrossRef] [PubMed]
- Hurjui, L.L.; Tarniceriu, C.C.; Serban, D.N.; Lozneanu, L.; Bordeianu, G.; Nedelcu, A.H.; Panzariu, A.C.; Jipu, R.; Hurjui, R.M.; Tanase, D.M.; et al. Homocysteine Attack on Vascular Endothelium-Old and New Features. Int. J. Mol. Sci. 2025, 26, 6298. [Google Scholar] [CrossRef] [PubMed]
- Brott, T.G.; Halperin, J.L.; Abbara, S.; Bacharach, J.M.; Barr, J.D.; Bush, R.L.; Cates, C.U.; Creager, M.A.; Fowler, S.B.; Friday, G.; et al. 2011 ASA/ACCF/AHA/AANN/AANS/ACR/ASNR/CNS/SAIP/SCAI/SIR/SNIS/SVM/SVS guideline on the management of patients with extracranial carotid and vertebral artery disease: A report of the American College of Cardiology Foundation/American Heart Association Task Force on Practice Guidelines, and the American Stroke Association, American Association of Neuroscience Nurses, American Association of Neurological Surgeons, American College of Radiology, American Society of Neuroradiology, Congress of Neurological Surgeons, Society of Atherosclerosis Imaging and Prevention, Society for Cardiovascular Angiography and Interventions, Society of Interventional Radiology, Society of NeuroInterventional Surgery, Society for Vascular Medicine, and Society for Vascular Surgery. J. Am. Coll. Cardiol. 2011, 57, e16–e94. [Google Scholar] [CrossRef] [PubMed]
- Jakubowski, H. Homocysteine Modification in Protein Structure/Function and Human Disease. Physiol. Rev. 2019, 99, 555–604. [Google Scholar] [CrossRef] [PubMed]
- Giurranna, E.; Nencini, F.; Borghi, S.; Barbaro, I.; Taddei, N.; Fiorillo, C.; Becatti, M. Homocysteinylation of Fibrinogen: A Post-Translational Link to Thrombosis. Int. J. Mol. Sci. 2025, 26, 5471. [Google Scholar] [CrossRef] [PubMed]
- May, J.E.; Moll, S. Unexplained arterial thrombosis: Approach to diagnosis and treatment. Hematol. Am. Soc. Hematol. Educ. Program. 2021, 2021, 76–84. [Google Scholar] [CrossRef] [PubMed]
- Nasser, N.J.; Fox, J.; Agbarya, A. Potential Mechanisms of Cancer-Related Hypercoagulability. Cancers 2020, 12, 566. [Google Scholar] [CrossRef] [PubMed]
- Marto, J.P.; Strambo, D.; Livio, F.; Michel, P. Drugs Associated With Ischemic Stroke: A Review for Clinicians. Stroke 2021, 52, e646–e659. [Google Scholar] [CrossRef] [PubMed]
- Raine, T.; Bonovas, S.; Burisch, J.; Kucharzik, T.; Adamina, M.; Annese, V.; Bachmann, O.; Bettenworth, D.; Chaparro, M.; Czuber-Dochan, W.; et al. ECCO Guidelines on Therapeutics in Ulcerative Colitis: Medical Treatment. J. Crohn’s Colitis 2022, 16, 2–17. [Google Scholar] [CrossRef]
- Hiratzka, L.F.; Bakris, G.L.; Beckman, J.A.; Bersin, R.M.; Carr, V.F.; Casey, D.E., Jr.; Eagle, K.A.; Hermann, L.K.; Isselbacher, E.M.; Kazerooni, E.A.; et al. 2010 ACCF/AHA/AATS/ACR/ASA/SCA/SCAI/SIR/STS/SVM Guidelines for the diagnosis and management of patients with thoracic aortic disease. A Report of the American College of Cardiology Foundation/American Heart Association Task Force on Practice Guidelines, American Association for Thoracic Surgery, American College of Radiology, American Stroke Association, Society of Cardiovascular Anesthesiologists, Society for Cardiovascular Angiography and Interventions, Society of Interventional Radiology, Society of Thoracic Surgeons, and Society for Vascular Medicine. J. Am. Coll. Cardiol. 2010, 55, e27–e129. [Google Scholar] [CrossRef] [PubMed]
- Isselbacher, E.M.; Preventza, O.; Hamilton Black, J., III; Augoustides, J.G.; Beck, A.W.; Bolen, M.A.; Braverman, A.C.; Bray, B.E.; Brown-Zimmerman, M.M.; Chen, E.P.; et al. Peer Review Committee Members. 2022 ACC/AHA Guideline for the Diagnosis and Management of Aortic Disease: A Report of the American Heart Association/American College of Cardiology Joint Committee on Clinical Practice Guidelines. Circulation 2022, 146, e334–e482. [Google Scholar] [CrossRef] [PubMed]
- Eikelboom, J.W.; Anand, S.S.; Malmberg, K.; Weitz, J.I.; Ginsberg, J.S.; Yusuf, S. Unfractionated heparin and low-molecular-weight heparin in acute coronary syndrome without ST elevation: A meta-analysis. Lancet 2000, 355, 1936–1942. [Google Scholar] [CrossRef] [PubMed]
- Anderson, J.L.; Adams, C.D.; Antman, E.M.; Bridges, C.R.; Califf, R.M.; Casey, D.E., Jr.; Chavey, W.E., II; Fesmire, F.M.; Hochman, J.S.; Levin, T.N.; et al. ACCF/AHA Focused Update Incorporated Into the ACC/AHA 2007 Guidelines for the Management of Patients With Unstable Angina/Non-ST-Elevation Myocardial Infarction: A report of the American College of Cardiology Foundation/American Heart Association Task Force on Practice Guidelines. Circulation 2011, 123, e426–e579. [Google Scholar] [CrossRef] [PubMed]
- Derbalah, A.; Duffull, S.; Newall, F.; Moynihan, K.; Al-Sallami, H. Revisiting the Pharmacology of Unfractionated Heparin. Clin. Pharmacokinet. 2019, 58, 1015–1028. [Google Scholar] [CrossRef] [PubMed]
- Hirsh, J.; Anand, S.S.; Halperin, J.L.; Fuster, V.; American Heart Association. Guide to anticoagulant therapy: Heparin: A statement for healthcare professionals from the American Heart Association. Circulation 2001, 103, 2994–3018. [Google Scholar] [CrossRef] [PubMed]
- Francis, J.L.; Groce, J.B., III; Heparin Consensus Group. Challenges in variation and responsiveness of unfractionated heparin. Pharmacotherapy 2004, 24, 108S–119S. [Google Scholar] [CrossRef] [PubMed]
- Hirsh, J.; Anand, S.S.; Halperin, J.L.; Fuster, V.; American Heart Association. AHA Scientific Statement: Guide to anticoagulant therapy: Heparin: A statement for healthcare professionals from the American Heart Association. Arterioscler. Thromb. Vasc. Biol. 2001, 21, E9. [Google Scholar] [CrossRef] [PubMed]
- Liu, M.; Wu, X.; Huang, Y.; Li, X.; Lun, Y.; Zhang, J. Primary Aortic Mural Thrombus: Early Aggressive Aortic Intervention Leads to a Better Clinical Outcome: A Systematic Review. Ann. Vasc. Surg. 2026, 122, 151–161. [Google Scholar] [CrossRef] [PubMed]
- Saadi, E.K.; Tagliari, A.P.; Almeida, R.M.S. Endovascular Treatment of the Ascending Aorta: Is this the Last Frontier in Aortic Surgery? Braz. J. Cardiovasc. Surg. 2019, 34, 759–764. [Google Scholar] [CrossRef] [PubMed]
- Poredos, P.; Komadina, R. Inflammation and Perioperative Cardiovascular Events. Cells 2025, 14, 1362. [Google Scholar] [CrossRef] [PubMed]
- Boufi, M.; Mameli, A.; Compes, P.; Hartung, O.; Alimi, Y.S. Elective stent-graft treatment for the management of thoracic aorta mural thrombus. Eur. J. Vasc. Endovasc. Surg. 2014, 47, 335–341. [Google Scholar] [CrossRef] [PubMed]
- Verma, H.; Meda, N.; Vora, S.; George, R.K.; Tripathi, R.K. Contemporary management of symptomatic primary aortic mural thrombus. J. Vasc. Surg. 2014, 60, 1524–1534. [Google Scholar] [CrossRef] [PubMed]
- Meyermann, K.; Trani, J.; Caputo, F.J.; Lombardi, J.V. Descending thoracic aortic mural thrombus presentation and treatment strategies. J. Vasc. Surg. 2017, 66, 931–936. [Google Scholar] [CrossRef] [PubMed]
- Fayad, Z.Y.; Semaan, E.; Fahoum, B.; Briggs, M.; Tortolani, A.; D’Ayala, M. Aortic mural thrombus in the normal or minimally atherosclerotic aorta. Ann. Vasc. Surg. 2013, 27, 282–290. [Google Scholar] [CrossRef] [PubMed]
- Gaudino, M.; Benesch, C.; Bakaeen, F.; DeAnda, A.; Fremes, S.E.; Glance, L.; Messé, S.R.; Pandey, A.; Rong, L.Q. American Heart Association Council on Cardiovascular Surgery and Anesthesia; Stroke Council; Council on Cardiovascular and Stroke Nursing. Considerations for Reduction of Risk of Perioperative Stroke in Adult Patients Undergoing Cardiac and Thoracic Aortic Operations: A Scientific Statement From the American Heart Association. Circulation 2020, 142, e193–e209. [Google Scholar] [CrossRef] [PubMed]
- Mallant-Hent, R.C.; van Bodegraven, A.A.; Meuwissen, S.G.; Manoliu, R.A. Alternative approach to massive gastrointestinal bleeding in ulcerative colitis: Highly selective transcatheter embolization. Eur. J. Gastroenterol. Hepatol. 2003, 15, 189–193. [Google Scholar] [CrossRef] [PubMed]
- Leonor, P.; Sahakian, A.B. Gastrointestinal Hemorrhage in Patients with Acute Ischemic Stroke: Should Endoscopy Be Within the Scope of Practice? Dig. Dis. Sci. 2019, 64, 1395–1396. [Google Scholar] [CrossRef] [PubMed]
- Moran, G.W.; Gordon, M.; Sinopolou, V.; Radford, S.J.; Darie, A.M.; Vuyyuru, S.K.; Alrubaiy, L.; Arebi, N.; Blackwell, J.; Butler, T.D.; et al. British Society of Gastroenterology guidelines on inflammatory bowel disease in adults: 2025. Gut 2025, 74, s1–s101. [Google Scholar] [CrossRef] [PubMed]
- Rubin, D.T.; Ananthakrishnan, A.N.; Siegel, C.A.; Barnes, E.L.; Long, M.D. ACG Clinical Guideline Update: Ulcerative Colitis in Adults. Am. J. Gastroenterol. 2025, 120, 1187–1224. [Google Scholar] [CrossRef] [PubMed]
- Lukin, D.; Faleck, D.; Xu, R.; Zhang, Y.; Weiss, A.; Aniwan, S.; Kadire, S.; Tran, G.; Rahal, M.; Winters, A.; et al. Comparative Safety and Effectiveness of Vedolizumab to Tumor Necrosis Factor Antagonist Therapy for Ulcerative Colitis. Clin. Gastroenterol. Hepatol. 2022, 20, 126–135. [Google Scholar] [CrossRef] [PubMed]
- Sablich, R.; Urbano, M.T.; Scarpa, M.; Scognamiglio, F.; Paviotti, A.; Savarino, E. Vedolizumab is superior to infliximab in biologic naïve patients with ulcerative colitis. Sci. Rep. 2023, 13, 1816. [Google Scholar] [CrossRef] [PubMed]
- Bressler, B.; Yarur, A.; Silverberg, M.S.; Bassel, M.; Bellaguarda, E.; Fourment, C.; Gatopoulou, A.; Karatzas, P.; Kopylov, U.; Michalopoulos, G.; et al. Vedolizumab and Anti-Tumour Necrosis Factor α Real-World Outcomes in Biologic-Naïve Inflammatory Bowel Disease Patients: Results from the EVOLVE Study. J. Crohns Colitis 2021, 15, 1694–1706. [Google Scholar] [CrossRef] [PubMed]
- Papa, A.; Tursi, A.; Danese, S.; Rapaccini, G.; Gasbarrini, A.; Papa, V. Venous Thromboembolism in Patients with Inflammatory Bowel Disease: The Role of Pharmacological Therapy and Surgery. J. Clin. Med. 2020, 9, 2115. [Google Scholar] [CrossRef] [PubMed]
- Wyant, T.; Fedyk, E.; Abhyankar, B. An Overview of the Mechanism of Action of the Monoclonal Antibody Vedolizumab. J. Crohns Colitis 2016, 10, 1437–1444. [Google Scholar] [CrossRef] [PubMed]
- Dignass, A.U.; Siegmund, B.; Goertz, R.; Schneidewind, G.; Fanter, L. Indirect comparison of vedolizumab and adalimumab for biologic-naive patients with ulcerative colitis. Scand. J. Gastroenterol. 2019, 54, 178–187. [Google Scholar] [CrossRef] [PubMed]
- Valgimigli, M.; Choi, K.H.; Giacoppo, D.; Gragnano, F.; Kimura, T.; Watanabe, H.; Kim, H.S.; Kang, J.; Park, K.W.; Pettersen, A.Å.; et al. Clopidogrel versus aspirin for secondary prevention of coronary artery disease: A systematic review and individual patient data meta-analysis. Lancet 2025, 406, 1091–1102. [Google Scholar] [CrossRef] [PubMed]
- Paciaroni, M.; Ince, B.; Hu, B.; Jeng, J.S.; Kutluk, K.; Liu, L.; Lou, M.; Parfenov, V.; Wong, K.S.L.; Zamani, B.; et al. Benefits and Risks of Clopidogrel vs. Aspirin Monotherapy after Recent Ischemic Stroke: A Systematic Review and Meta-Analysis. Cardiovasc. Ther. 2019, 2019, 1607181. [Google Scholar] [CrossRef] [PubMed]
- CAPRIE Steering Committee. A randomised, blinded, trial of clopidogrel versus aspirin in patients at risk of ischaemic events (CAPRIE). CAPRIE Steering Committee. Lancet 1996, 348, 1329–1339. [Google Scholar] [CrossRef] [PubMed]
- Aboyans, V.; Ricco, J.B.; Bartelink, M.E.L.; Björck, M.; Brodmann, M.; Cohnert, T.; Collet, J.P.; Czerny, M.; De Carlo, M.; Debus, S.; et al. 2017 ESC Guidelines on the Diagnosis and Treatment of Peripheral Arterial Diseases, in collaboration with the European Society for Vascular Surgery (ESVS): Document covering atherosclerotic disease of extracranial carotid and vertebral, mesenteric, renal, upper and lower extremity arteriesEndorsed by: The European Stroke Organization (ESO) the Task Force for the Diagnosis and Treatment of Peripheral Arterial Diseases of the European Society of Cardiology (ESC) and of the European Society for Vascular Surgery (ESVS). Eur. Heart J. 2018, 39, 763–816. [Google Scholar] [CrossRef] [PubMed]
- Almadi, M.A.; Barkun, A.; Brophy, J. Antiplatelet and anticoagulant therapy in patients with gastrointestinal bleeding: An 86-year-old woman with peptic ulcer disease. JAMA 2011, 306, 2367–2374. [Google Scholar] [CrossRef] [PubMed]
- Sengupta, N.; Feuerstein, J.D.; Jairath, V.; Shergill, A.K.; Strate, L.L.; Wong, R.J.; Wan, D. Management of Patients With Acute Lower Gastrointestinal Bleeding: An Updated ACG Guideline. Am. J. Gastroenterol. 2023, 118, 208–231. [Google Scholar] [CrossRef] [PubMed]
- Bhatt, D.L.; Scheiman, J.; Abraham, N.S.; Antman, E.M.; Chan, F.K.; Furberg, C.D.; Johnson, D.A.; Mahaffey, K.W.; Quigley, E.M. American College of Cardiology Foundation Task Force on Clinical Expert Consensus Documents. ACCF/ACG/AHA 2008 expert consensus document on reducing the gastrointestinal risks of antiplatelet therapy and NSAID use: A report of the American College of Cardiology Foundation Task Force on Clinical Expert Consensus Documents. Circulation 2008, 118, 1894–1909. [Google Scholar] [CrossRef] [PubMed]
- Hilkens, N.A.; Casolla, B.; Leung, T.W.; de Leeuw, F.E. Stroke. Lancet 2024, 403, 2820–2836. [Google Scholar] [CrossRef] [PubMed]
- Hankey, G.J. Secondary stroke prevention. Lancet Neurol. 2014, 13, 178–194. [Google Scholar] [CrossRef] [PubMed]
- Kleindorfer, D.O.; Towfighi, A.; Chaturvedi, S.; Cockroft, K.M.; Gutierrez, J.; Lombardi-Hill, D.; Kamel, H.; Kernan, W.N.; Kittner, S.J.; Leira, E.C.; et al. 2021 Guideline for the Prevention of Stroke in Patients With Stroke and Transient Ischemic Attack: A Guideline From the American Heart Association/American Stroke Association. Stroke 2021, 52, e364–e467. [Google Scholar] [CrossRef] [PubMed]
- Ford, B.; Peela, S.; Roberts, C. Secondary Prevention of Ischemic Stroke: Updated Guidelines from AHA/ASA. Am. Fam. Physician 2022, 105, 99–102. [Google Scholar] [PubMed]



| Variable | Initial (Day 0) | Day 4 | Day 12 | After Six Months | Reference Range, Adults |
|---|---|---|---|---|---|
| Leukocytes | 17.3 × 109/L | 13.7 × 109/L | 7.2 × 109/L | 7.8 × 109/L | 4–10 × 109/L |
| Hemoglobin | 107 g/L | 105 g/L | 115 g/L | 144 g/L | 138–175 g/L |
| MCV | 72 fL | 75 fL | 75 fL | 92 fL | 83.0–100.0 fL |
| Platelets | 576 × 109/L | 530 × 109/L | 380 × 109/L | 327 × 109/L | 150–450 × 109/L |
| Ferittin | 40 ng/mL | / | / | 310 ng/mL | 30–400 ng/mL |
| TSAT | 13% | / | / | 31% | 20–50% |
| CRP | 73.6 mg/L | 36.7 mg/L | 8.4 mg/L | 4.4 mg/L | <5.0 mg/L |
| D-dimer | 3.9 mg/L | 4.29 mg/L | 2.8 mg/L | / | <5.0 mg/L FEU |
| Fibrinogen | 6.4 g/L | 5.5 g/L | 4.1 g/L | / | 2.0–4.0 g/L |
| Homocystein | 21.4 µmol/L | / | / | 9.8 µmol/L | 5–15 µmol/L |
| CEA, CA 19-9, NSE, CA 72-4, AFP, PSA free, PSA total, | / | Negative | / | / | Negative |
| HbsAg, HCV, HIV, SARS-CoV-2 | / | Negative | / | / | Negative |
| RF, anti-CCP, ANA | / | Negative | / | / | Negative |
| cANCA, pANCA, anti-GBM | / | Negative | / | / | Negative |
| LAC ACA IgM/IgG Anti-β2 GLP IgM IgG Ab | / | Negative | / | / | Negative |
| Protein C | / | 90% | / | / | 60–130% |
| Protein S | / | 93% | / | / | 60–130% |
| Antithrombin | / | 97% | / | / | 80–120% |
| factor V Leiden prothrombin G20210A | / | Negative | / | / | Negative |
| MTHFR C677T | / | Positive | / | / | Negative |
| PAI-1 4G/5G | / | Positive | / | / | Negative |
| Therapy Class | Effect on Arterial Thrombosis | Key Evidence | Clinical Interpretation |
|---|---|---|---|
| Systemic corticosteroids | Increased risk | Population-based cohorts; HR > 5 for ACS | Major prothrombotic signal; restrict to short-term induction |
| 5-ASA | Neutral/possibly protective | No increased risk; platelet inhibition in mechanistic studies | Arterially safe; no proven clinical CV protection |
| Thiopurines | Neutral (primary)/reduced recurrence | Nationwide cohorts; HR 0.76 for recurrent events | Possible secondary prevention benefit |
| Methotrexate | Neutral; context-dependent benefit | Observational benefit; CIRT trial neutral | No arterial harm; benefit likely limited to high inflammatory burden |
| Anti-TNF agents | Reduced risk | Large cohorts and meta-analyses; HR ~0.75–0.80 | Most consistent arterial protective signal |
| Integrin antagonist | Neutral | Integrated safety analyses; no MI or stroke signal | Favorable CV safety; gut-selective |
| Anti-IL-12/23 agents | Neutral overall; early risk in high-risk patients | Cohorts and trials; case-time-control signal | Use caution early in patients with high CV risk |
| JAK inhibitors | Neutral in IBD | RCT meta-analyses; RA signal in ORAL Surveillance | Risk stratify; avoid high doses in high-risk patients |
| S1P receptor modulators | Neutral | RCTs and meta-analyses; no MACE signal | Monitor bradycardia and BP; low thrombotic risk |
Disclaimer/Publisher’s Note: The statements, opinions and data contained in all publications are solely those of the individual author(s) and contributor(s) and not of MDPI and/or the editor(s). MDPI and/or the editor(s) disclaim responsibility for any injury to people or property resulting from any ideas, methods, instructions or products referred to in the content. |
© 2026 by the authors. Licensee MDPI, Basel, Switzerland. This article is an open access article distributed under the terms and conditions of the Creative Commons Attribution (CC BY) license.
Share and Cite
Kralj, D.; Maksic, M.; Ivanovski, T.K.; Odanovic, O.; Maksic, T.; Gmizic, T.; Ivosevic, Z.; Radojevic, D.; Suljic, L.; Todorovic, N.; et al. Arterial Thrombosis in Severe Ulcerative Colitis: A Case-Based Narrative Review of Current Evidence. Biomedicines 2026, 14, 559. https://doi.org/10.3390/biomedicines14030559
Kralj D, Maksic M, Ivanovski TK, Odanovic O, Maksic T, Gmizic T, Ivosevic Z, Radojevic D, Suljic L, Todorovic N, et al. Arterial Thrombosis in Severe Ulcerative Colitis: A Case-Based Narrative Review of Current Evidence. Biomedicines. 2026; 14(3):559. https://doi.org/10.3390/biomedicines14030559
Chicago/Turabian StyleKralj, Djordje, Mladen Maksic, Tamara Knezevic Ivanovski, Olga Odanovic, Tijana Maksic, Tijana Gmizic, Zeljko Ivosevic, Dusan Radojevic, Lejla Suljic, Nevena Todorovic, and et al. 2026. "Arterial Thrombosis in Severe Ulcerative Colitis: A Case-Based Narrative Review of Current Evidence" Biomedicines 14, no. 3: 559. https://doi.org/10.3390/biomedicines14030559
APA StyleKralj, D., Maksic, M., Ivanovski, T. K., Odanovic, O., Maksic, T., Gmizic, T., Ivosevic, Z., Radojevic, D., Suljic, L., Todorovic, N., Zdravkovic, N., Corovic, I., & Markovic, S. (2026). Arterial Thrombosis in Severe Ulcerative Colitis: A Case-Based Narrative Review of Current Evidence. Biomedicines, 14(3), 559. https://doi.org/10.3390/biomedicines14030559

