“Anti-Bios”: Can Local Antibiotics Affect Bone Union in Infected Bone Defects Treated with Degradable Bone Substitutes
Abstract
1. Introduction
2. Materials and Methods
2.1. Study Design
2.2. Ethics Statement
2.3. Animal Model
2.4. Preparation of Bone Substitutes
2.5. Surgical Procedures
2.6. Radiographic Evaluations
2.7. Sacrifice and Explant
2.8. Hematological and Microbiological Examinations
2.9. Tissue Processing and Slide Preparation
- Fixation in 4% buffered formaldehyde solution for 24 h.
- The orientation of the sample and the marking of the proximal end with India ink.
- The longitudinal cutting of the specimen using a diamond band saw (EXAKT302, EXAKT Advanced Technologies, Norderstedt, Germany).
- Photographing the specimen.
- Additional fixation (post-cutting) in 4% buffered formaldehyde (formalin) solution for 24 h.
- Decalcification in an 8% HCl and 10% CH₂O₂ solution in ddH₂O for no more than 12 h, with overnight formalin before the subsequent cycle. Decalcification was complete when the specimen was rubbery and the tip of the scalpel smoothly penetrated the cortical bone.
- Further fixation (post-decalcification) in formalin solution for 12 h.
- Standard histological preparation:
- ○
- Tissue processing.
- ○
- Embedding in paraffin using macro-cassettes.
- ○
- Cutting into macro-sections with a thickness of 2.5 μm.
- ○
- Staining with hematoxylin and eosin.
2.10. Histological Examination
- Proximal cortical;
- Proximal intramedullary;
- Distal cortical;
- Distal intramedullary.
2.11. Statistical Analysis
3. Results
3.1. Mechanical Complications
3.2. Bone Union
3.3. Microbiological Analysis
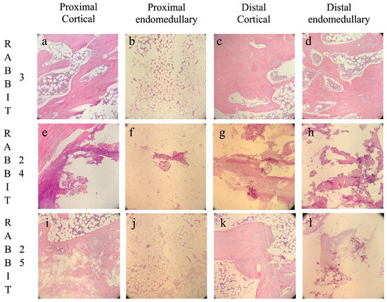
3.4. Histological Examination for Infection Evaluation
3.5. Histological Examination for Bone Maturation Grading
4. Discussion
5. Conclusions
Author Contributions
Funding
Institutional Review Board Statement
Data Availability Statement
Acknowledgments
Conflicts of Interest
Abbreviations
| OM | Osteomyelitis |
| AbGB | Antibiotic-loaded GreenBone |
| GB | GreenBone |
| AG | Allograft |
| SBDs | Segmental bone defects |
| CFU | Colony forming unit |
| HOES | Histopathological Osteomyelitis Evaluation Score |
References
- Mauffrey, C.; Barlow, B.T.; Smith, W. Management of Segmental Bone Defects. J. Am. Acad. Orthop. Surg. 2015, 23, 143–153. [Google Scholar] [CrossRef] [PubMed]
- Giannoudis, P.V.; Dinopoulos, H.; Tsiridis, E. Bone substitutes: An update. Injury 2005, 36 (Suppl. S3), S20–S27. [Google Scholar] [CrossRef] [PubMed]
- Campana, V.; Milano, G.; Pagano, E.; Barba, M.; Cicione, C.; Salonna, G.; Lattanzi, W.; Logroscino, G. Bone substitutes in orthopaedic surgery: From basic science to clinical practice. J. Mater. Sci. Mater. Med. 2014, 25, 2445–2461. [Google Scholar] [CrossRef]
- Nauth, A.; McKee, M.D.; Einhorn, T.A.; Watson, J.T.; Li, R.; Schemitsch, E.H. Managing Bone Defects. J. Orthop. Trauma 2011, 25, 462–466. [Google Scholar] [CrossRef]
- Nauth, A.; Crist, B.D.; Morshed, S.; Watson, J.T.; Pape, H.-C. Management of aseptic nonunions and severe bone defects: Let us get this thing healed! OTA Int. Open Access J. Orthop. Trauma 2023, 6, e258. [Google Scholar] [CrossRef]
- Calori, G.; Mazza, E.; Colombo, M.; Ripamonti, C. The use of bone-graft substitutes in large bone defects: Any specific needs? Injury 2011, 42, S56–S63. [Google Scholar] [CrossRef]
- Yang, Y.P.; Labus, K.M.; Gadomski, B.C.; Bruyas, A.; Easley, J.; Nelson, B.; Palmer, R.H.; McGilvray, K.; Regan, D.; Puttlitz, C.M.; et al. Osteoinductive 3D printed scaffold healed 5 cm segmental bone defects in the ovine metatarsus. Sci. Rep. 2021, 11, 6704. [Google Scholar] [CrossRef]
- Henkel, J.; Savi, F.M.; Berner, A.; Fountain, S.; Saifzadeh, S.; Steck, R.; Epari, D.R.; Woodruff, M.A.; Knackstedt, M.; Schuetz, M.A.; et al. Scaffold-guided bone regeneration in large volume tibial segmental defects. Bone 2021, 153, 116163. [Google Scholar] [CrossRef]
- Filardo, G.; Kon, E.; Tampieri, A.; Cabezas-Rodríguez, R.; Di Martino, A.; Fini, M.; Giavaresi, G.; Lelli, M.; Martínez-Fernández, J.; Martini, L.; et al. New Bio-ceramization process applied to vegetable hierarchical structures for bone regeneration: An experimental model in sheep. Tissue Eng. Part A 2013, 20, 763–773. [Google Scholar] [CrossRef]
- Minardi, S.; Corradetti, B.; Taraballi, F.; Sandri, M.; Van Eps, J.; Cabrera, F.J.; Weiner, B.K.; Tampieri, A.; Tasciotti, E. Evaluation of the osteoinductive potential of a bio-inspired scaffold mimicking the osteogenic niche for bone augmentation. Biomaterials 2015, 62, 128–137. [Google Scholar] [CrossRef]
- Metsemakers, W.-J.; Fragomen, A.T.; Moriarty, T.F.; Morgenstern, M.; Egol, K.A.; Zalavras, C.; Obremskey, W.T.; Raschke, M.; McNally, M.A.; Fracture-Related Infection (FRI) consensus group. Evidence-Based Recommendations for Local Antimicrobial Strategies and Dead Space Management in Fracture-Related Infection. J. Orthop. Trauma 2020, 34, 18–29. [Google Scholar] [CrossRef] [PubMed]
- Vandenbulcke, F.; Anzillotti, G.; Ravasio, G.; Malagoli, E.; Conte, P.; Balzarini, B.; Kirienko, A.; Kon, E. External fixator-assisted plating osteosynthesis in a rabbit model of femoral bone defects appears to be a feasible and reproducible surgical technique: Preliminary insights from a bone substitute study. J. Exp. Orthop. 2023, 10, 77. [Google Scholar] [CrossRef] [PubMed]
- Tiemann, A.; Hofmann, G.O.; Krukemeyer, M.G.; Krenn, V.; Langwald, S. Histopathological Osteomyelitis Evaluation Score (HOES)—An Innovative Approach to Histopathological Diagnostics and Scoring of Osteomyelitis. GMS Interdiscip. Plast. Reconstr. Surg. DGPW 2014, 3, Doc08. [Google Scholar] [CrossRef]
- Shapiro, F.; Maguire, K.; Swami, S.; Zhu, H.; Flynn, E.; Wang, J.; Wu, J.Y. Histopathology of osteogenesis imperfecta bone. Supramolecular assessment of cells and matrices in the context of woven and lamellar bone formation using light, polarization and ultrastructural microscopy. Bone Rep. 2021, 14, 100734. [Google Scholar] [CrossRef]
- Salamanna, F.; De Luca, A.; Vandenbulcke, F.; Di Matteo, B.; Kon, E.; Grassi, A.; Ballardini, A.; Morozzi, G.; Raimondi, L.; Bellavia, D.; et al. Preliminary osteogenic and antibacterial investigations of wood derived antibiotic-loaded bone substitute for the treatment of infected bone defects. Front. Bioeng. Biotechnol. 2024, 12, 1412584. [Google Scholar] [CrossRef]
- Kallala, R.; Graham, S.M.; Nikkhah, D.; Kyrkos, M.; Heliotis, M.; Mantalaris, A.; Tsiridis, E. In vitro and in vivo effects of antibiotics on bone cell metabolism and fracture healing. Expert Opin. Drug Saf. 2011, 11, 15–32. [Google Scholar] [CrossRef]
- Beuttel, E.; Bormann, N.; Pobloth, A.-M.; Duda, G.N.; Wildemann, B. Impact of Gentamicin-Loaded Bone Graft on Defect Healing in a Sheep Model. Materials 2019, 12, 1116. [Google Scholar] [CrossRef]
- Freischmidt, H.; Armbruster, J.; Rothhaas, C.; Titze, N.; Guehring, T.; Nurjadi, D.; Kretzer, J.P.; Schmidmaier, G.; Grützner, P.A.; Helbig, L. Efficacy of an Antibiotic Loaded Ceramic-Based Bone Graft Substitute for the Treatment of Infected Non-Unions. Biomedicines 2022, 10, 2513. [Google Scholar] [CrossRef]
- Ferguson, J.Y.; Dudareva, M.; Riley, N.D.; Stubbs, D.; Atkins, B.L.; McNally, M.A. The use of a biodegradable antibiotic-loaded calcium sulphate carrier containing tobramycin for the treatment of chronic osteomyelitis: A series of 195 cases. Bone Jt. J. 2014, 96-B, 829–836. [Google Scholar] [CrossRef]
- Rupp, M.; Klute, L.; Baertl, S.; Walter, N.; Mannala, G.; Frank, L.; Pfeifer, C.; Alt, V.; Kerschbaum, M. The clinical use of bone graft substitutes in orthopedic surgery in Germany—A 10-years survey from 2008 to 2018 of 1,090,167 surgical interventions. J. Biomed. Mater. Res. Part B Appl. Biomater. 2021, 110, 350–357. [Google Scholar] [CrossRef]
- Metsemakers, W.; Morgenstern, M.; McNally, M.; Moriarty, T.; McFadyen, I.; Scarborough, M.; Athanasou, N.; Ochsner, P.; Kuehl, R.; Raschke, M.; et al. Fracture-related infection: A consensus on definition from an international expert group. Injury 2018, 49, 505–510. [Google Scholar] [CrossRef] [PubMed]
- Santolini, E.; Giordano, V.; Giannoudis, P.V. Effect of mechanical stability of osteosynthesis on infection rates: Timing of temporary and definitive fixation. Injury 2024, 55 (Suppl. S6), 111845. [Google Scholar] [CrossRef] [PubMed]
- Foster, A.L.; Moriarty, T.F.; Zalavras, C.; Morgenstern, M.; Jaiprakash, A.; Crawford, R.; Burch, M.-A.; Boot, W.; Tetsworth, K.; Miclau, T.; et al. The influence of biomechanical stability on bone healing and fracture-related infection: The legacy of Stephan Perren. Injury 2021, 52, 43–52. [Google Scholar] [CrossRef] [PubMed]





| Non-existent = 0 | Mild = 1 | Moderate = 2 | Severe = 3 | |
|---|---|---|---|---|
| evaluation in a three-part step | ⅓ of the section area | ⅔ of the section area | the entire section area | |
| A1: Osteonecrosis | ||||
| A2: Soft tissue necrosis | ||||
| A3: Granulocytic infiltration | ||||
| Sum of A1 to A3 | ≥ 4 → signs of acute osteomyelitis; | |||
| C1: Bone neoformation/fibrosis | ||||
| C2: Lymphocytic–macrophagic infiltration | ||||
| Sum of C1 to C2 | ≤1 → no signs of osteomyelitis; ≤4 → signs of subsided (calmed) osteomyelitis; ≥4 → signs of chronic osteomyelitis; | |||
| Sum of A1 to A3 and C1 to C2 | ≥6 signs of active chronic osteomyelitis. | |||
| Cortical | Intramedullary |
|---|---|
| 0. Absence of newly formed bone.* | |
| 1. Presence of discontinuous spicules of woven bone. | |
| 2. Presence of both woven bone and lamellar bone: | |
| 2a. Woven bone predominant over lamellar bone; | |
| 2b. Woven bone and lamellar bone present in equal proportions; | |
| 2c. Lamellar bone predominant over woven bone. | |
| 3. Presence of lamellar bone only: | |
| 3a. Partially compact Haversian systems with significant intracortical space between osteons; | 3a. Trabecular bone; * |
| 3b. Fully compact mature osteons with lamellar bone between osteons and little to no intracortical space. | 3b. Trabecular bone with islands of bone marrow. * |
| Ab-GB (n = 7) | GB (n = 6) | AG (n = 9) | ||
|---|---|---|---|---|
| Bone union | Non-union | 5 | 0 | 2 |
| Union | 2 | 6 | 7 | |
| Infection | Chronic OM | 6 | 1 | 4 |
| Subsided OM | 1 | 1 | 1 | |
| Chronically florid OM | 0 | 2 | 0 | |
| No signs of OM | 0 | 2 | 4 | |
| Bone maturation * | 0 | 7 | 1 | 1 |
| 1 | 6 | 0 | 0 | |
| 2a | 3 | 0 | 0 | |
| 2b | 1 | 1 | 1 | |
| 2c | 4 | 9 | 5 | |
| 3a | 0 | 3 | 0 | |
| 3b | 6 | 9 | 29 | |
| N/A | 1 | 1 | 0 |
| Ab-GB (n = 7) | GB+AG (n = 15) | ||
|---|---|---|---|
| Bone union p = 0.006 | Non-union, n = 7 (31.8%) | 5 (71.4%) | 2 (13.3%) |
| Union, n = 15 (68.2%) | 2 (28.6%) | 13 (86.7%) | |
| Infection p < 0.05 | Chronic OM—n = 16 (72.7%) | 7 (100%) | 9 (60%) |
| No signs of OM—n = 6 (27.3%) | 0 | 6 (40%) | |
| Bone maturation * p < 0.001 | 0–1 | 13 | 2 |
| 2 | 8 | 16 | |
| 3 | 6 | 41 |
Disclaimer/Publisher’s Note: The statements, opinions and data contained in all publications are solely those of the individual author(s) and contributor(s) and not of MDPI and/or the editor(s). MDPI and/or the editor(s) disclaim responsibility for any injury to people or property resulting from any ideas, methods, instructions or products referred to in the content. |
© 2025 by the authors. Licensee MDPI, Basel, Switzerland. This article is an open access article distributed under the terms and conditions of the Creative Commons Attribution (CC BY) license (https://creativecommons.org/licenses/by/4.0/).
Share and Cite
Vandenbulcke, F.; Renne, S.L.; Anzillotti, G.; Conte, P.; Ravasio, G.; Meroni, G.; Riva, F.; Kon, E. “Anti-Bios”: Can Local Antibiotics Affect Bone Union in Infected Bone Defects Treated with Degradable Bone Substitutes. Biomedicines 2025, 13, 1070. https://doi.org/10.3390/biomedicines13051070
Vandenbulcke F, Renne SL, Anzillotti G, Conte P, Ravasio G, Meroni G, Riva F, Kon E. “Anti-Bios”: Can Local Antibiotics Affect Bone Union in Infected Bone Defects Treated with Degradable Bone Substitutes. Biomedicines. 2025; 13(5):1070. https://doi.org/10.3390/biomedicines13051070
Chicago/Turabian StyleVandenbulcke, Filippo, Salvatore Lorenzo Renne, Giuseppe Anzillotti, Pietro Conte, Giuliano Ravasio, Gabriele Meroni, Federica Riva, and Elizaveta Kon. 2025. "“Anti-Bios”: Can Local Antibiotics Affect Bone Union in Infected Bone Defects Treated with Degradable Bone Substitutes" Biomedicines 13, no. 5: 1070. https://doi.org/10.3390/biomedicines13051070
APA StyleVandenbulcke, F., Renne, S. L., Anzillotti, G., Conte, P., Ravasio, G., Meroni, G., Riva, F., & Kon, E. (2025). “Anti-Bios”: Can Local Antibiotics Affect Bone Union in Infected Bone Defects Treated with Degradable Bone Substitutes. Biomedicines, 13(5), 1070. https://doi.org/10.3390/biomedicines13051070

