Experimental Insights on the Use of Secukinumab and Magnolol in Acute Respiratory Diseases in Mice
Abstract
1. Introduction
2. Materials and Methods
2.1. Chemicals, Reagents, and Antibodies
2.2. Preparation Protocol: 2% CMC-Na Mucilage and Magnolol Suspension
2.3. Animal Experimental Design
- OVA + LPS group (positive disease control group)—exposed to ovalbumin inhalation and LPS instillation;
- OVA + LPS + SECU group—exposed to ovalbumin inhalation, LPS instillation, and treatment with secukinumab subcutaneously;
- OVA + LPS + MAGN group—exposed to ovalbumin inhalation, LPS instillation, and pre-/treatment with MAGN by oral gavage;
- OVA + LPS + MAGN + SECU group—exposed to ovalbumin inhalation, LPS instillation, pre-/treatment with MAGN by oral gavage, and secukinumab subcutaneously.
2.3.1. Sensitization Protocol
2.3.2. ALI Induction and SECU Treatment
2.3.3. Drug Administration
2.3.4. Sample Collection of Blood for OVA-Specific IgE
2.3.5. Sample Collection of BALF for Cytokines
2.3.6. Analysis of Cytokines in Lung Homogenate
2.3.7. Histological Analysis of Lung Tissue
2.4. Statistical Analysis
3. Results
3.1. Effects of SECU, MAGN, and MAGN + SECU Combined Treatment, Respectively, on the Level of Ovalbumin (OVA)-Specific IgE in Serum
3.2. Effects of SECU, MAGN, and MAGN + SECU Combined Treatment, Respectively, on Bronchoalveolar Lavage Fluid (BALF)
3.2.1. Cell Count in BALF
3.2.2. Cytokines in BALF
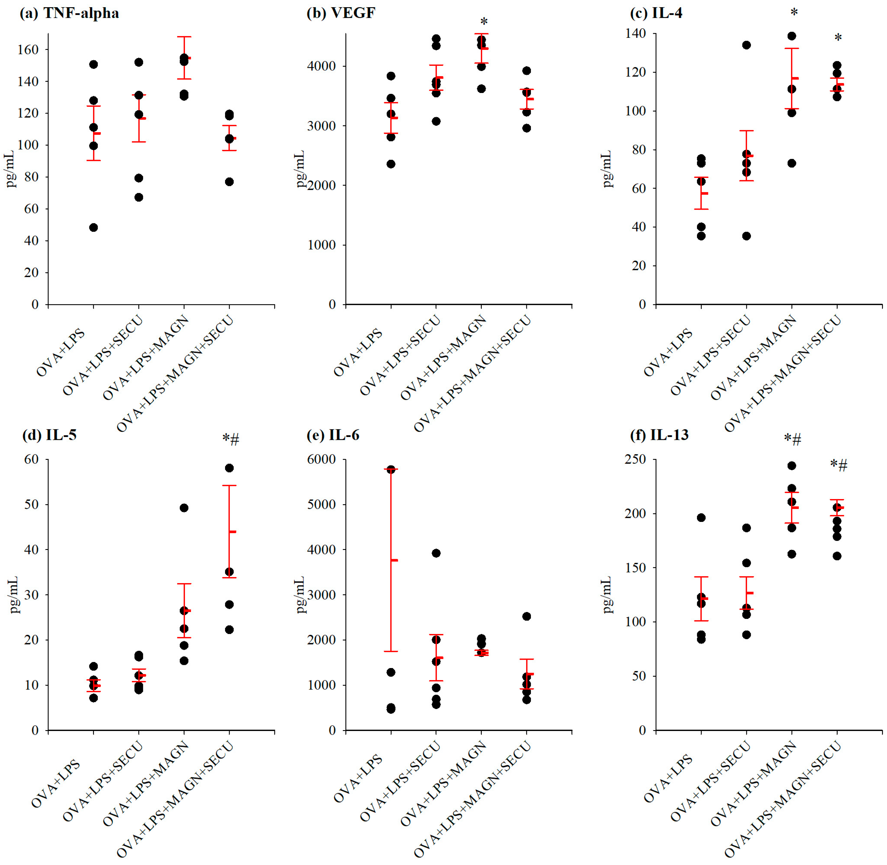
3.2.3. Cytokines in Lung Tissue Homogenate (LTH)
3.2.4. Histological Analysis
4. Discussion
- Histological modifications for MGN-treated groups are consistent with those of Ni et al., who found minor histopathological changes in lungs from mice with LPS-induced ALI under MAGN treatment, especially in inflammatory cell infiltration [28].
- Finally, it should be taken into account that biologic therapies targeting IL-17 axis administration in atopic patients may require more frequent switching among biologics to control their active disease compared to non-atopic patients [60].
- Study limitations:
- The resulting values for cytokines in BALF and LTH represent only a status quo at the sampling moment. This restrains our view to a “moment picture” without any information regarding the dynamic evolution;
- Results from murine models can present challenges in translation of findings to the intricate and distinct human disease of asthma. Additionally, utilizing exclusively female animals may prompt inquiries regarding the potential impact on male mice;
- MGN has downsides like reduced bioavailability in rodents—less than 10% for oral administration [61]—or the potential inhibition of UDP-glucuronosyltransferase (UGT) enzyme activity isoforms 1A7 and 1A9 in humans and rodents [62,63]. Inhibition of UGTs by magnolol may be a potential mechanism that enhances the toxicity of drugs or other active compounds contained in the herbal preparation. Because of these disadvantages, future research should consider natural sources for drugs with a higher variability and abundance, like marine drugs [64].
5. Conclusions
Author Contributions
Funding
Institutional Review Board Statement
Informed Consent Statement
Data Availability Statement
Acknowledgments
Conflicts of Interest
References
- Bellani, G.; Laffey, J.G.; Pham, T.; Fan, E.; Brochard, L.; Esteban, A.; Gattinoni, L.; van Haren, F.; Larsson, A.; McAuley, D.F.; et al. Epidemiology, Patterns of Care, and Mortality for Patients with Acute Respiratory Distress Syndrome in Intensive Care Units in 50 Countries. JAMA 2016, 315, 788–800. [Google Scholar] [CrossRef] [PubMed]
- Rubenfeld, G.D.; Caldwell, E.; Peabody, E.; Weaver, J.; Martin, D.P.; Neff, M.; Stern, E.J.; Hudson, L.D. Incidence and outcomes of acute lung injury. N. Engl. J. Med. 2005, 353, 1685–1693. [Google Scholar] [CrossRef] [PubMed]
- Matthay, M.A.; Zemans, R.L.; Zimmerman, G.A.; Arabi, Y.M.; Beitler, J.R.; Mercat, A.; Herridge, M.; Randolph, A.G.; Calfee, C.S. Acute respiratory distress syndrome. Nat. Rev. Dis. Primers 2019, 5, 18. Available online: https://www.ncbi.nlm.nih.gov/pmc/articles/PMC6709677/ (accessed on 21 March 2024). [PubMed]
- Fan, E.; Del Sorbo, L.; Goligher, E.C.; Hodgson, C.L.; Munshi, L.; Walkey, A.J.; Adhikari, N.K.J.; Amato, M.B.P.; Branson, R.; Brower, R.G.; et al. An Official American Thoracic Society/European Society of Intensive Care Medicine/Society of Critical Care Medicine Clinical Practice Guideline: Mechanical Ventilation in Adult Patients with Acute Respiratory Distress Syndrome. Am. J. Respir. Crit. Care Med. 2017, 195, 1253–1263. [Google Scholar] [CrossRef] [PubMed]
- Butt, Y.; Kurdowska, A.; Allen, T.C. Acute Lung Injury: A Clinical and Molecular Review. Arch. Pathol. Lab. Med. 2016, 140, 345–350. [Google Scholar] [CrossRef] [PubMed]
- Mowery, N.T.; Terzian, W.T.H.; Nelson, A.C. Acute lung injury. Curr. Probl. Surg. 2020, 57, 100777. Available online: https://www.sciencedirect.com/science/article/pii/S0011384020300472 (accessed on 21 March 2024). [CrossRef] [PubMed]
- Long, M.E.; Mallampalli, R.K.; Horowitz, J.C. Pathogenesis of pneumonia and acute lung injury. Clin. Sci. 2022, 136, 747–769. Available online: https://portlandpress.com/clinsci/article/136/10/747/231357/Pathogenesis-of-pneumonia-and-acute-lung-injury (accessed on 29 January 2024). [CrossRef]
- Xie, M.; Cheng, B.; Ding, Y.; Wang, C.; Chen, J. Correlations of IL-17 and NF-κB gene polymorphisms with susceptibility and prognosis in acute respiratory distress syndrome in a chinese population. Biosci. Rep. 2019, 39, BSR20181987. [Google Scholar] [CrossRef] [PubMed]
- Mikacenic, C.; Hansen, E.E.; Radella, F.; Gharib, S.A.; Stapleton, R.D.; Wurfel, M.M. Interleukin-17A Is Associated with Alveolar Inflammation and Poor Outcomes in Acute Respiratory Distress Syndrome. Crit. Care Med. 2016, 44, 496. Available online: https://journals.lww.com/ccmjournal/fulltext/2016/03000/interleukin_17a_is_associated_with_alveolar.6.aspx (accessed on 27 March 2024). [CrossRef]
- Yu, Z.X.; Ji, M.S.; Yan, J.; Cai, Y.; Liu, J.; Yang, H.F.; Li, Y.; Jin, Z.; Zheng, J.-X. The ratio of Th17/Treg cells as a risk indicator in early acute respiratory distress syndrome. Crit. Care 2015, 19, 82. [Google Scholar] [CrossRef]
- Li, M.; Zhao, Y.; He, J.; Deng, W.; Cheng, L.; Jiang, Z.; Wang, D. Protein Kinase C Theta Inhibition Attenuates Lipopolysaccharide-Induced Acute Lung Injury through Notch Signaling Pathway via Suppressing Th17 Cell Response in Mice. Inflammation 2019, 42, 1980–1989. [Google Scholar] [CrossRef] [PubMed]
- Li, J.T.; Melton, A.C.; Su, G.; Hamm, D.E.; LaFemina, M.; Howard, J.; Fang, X.; Bhat, S.; Huynh, K.-M.; O’Kane, C.M.; et al. Unexpected Role for Adaptive αβTh17 Cells in Acute Respiratory Distress Syndrome. J. Immunol. 2015, 195, 87–95. [Google Scholar] [CrossRef] [PubMed]
- Liu, S.P.; Huang, L.; Flores, J.; Ding, Y.; Li, P.; Peng, J.; Zuo, G.; Zhang, J.H.; Lu, J.; Tang, J.-P. Secukinumab attenuates reactive astrogliosis via IL-17RA/(C/EBPβ)/SIRT1 pathway in a rat model of germinal matrix hemorrhage. CNS Neurosci. Ther. 2019, 25, 1151–1161. [Google Scholar] [CrossRef] [PubMed]
- Mohamad, H.E.; Asker, M.E.; Shaheen, M.A.; Baraka, N.M.; Fantoukh, O.I.; Alqahtani, A.; Salama, A.E.; Mahmoud, Y.K. Secukinumab and Black Garlic Downregulate OPG/RANK/RANKL Axis and Devitalize Myocardial Interstitial Fibrosis Induced by Sunitinib in Experimental Rats. Life 2023, 13, 308. Available online: https://www.mdpi.com/2075-1729/13/2/308 (accessed on 20 February 2024). [CrossRef] [PubMed]
- Liu, S.; Deng, S.; Ding, Y.; Flores, J.J.; Zhang, X.; Jia, X.; Hu, X.; Peng, J.; Zuo, G.; Zhang, J.H.; et al. Secukinumab attenuates neuroinflammation and neurobehavior defect via PKCβ/ERK/NF-κB pathway in a rat model of GMH. Exp. Neurol. 2023, 360, 114276. Available online: https://www.sciencedirect.com/science/article/pii/S0014488622003016 (accessed on 20 February 2024). [CrossRef] [PubMed]
- Oztanir, M.N.; Dogan, M.F.; Turkmen, N.B.; Taslidere, A.; Sahin, Y.; Ciftci, O. Secukinumab Ameliorates Oxidative Damage Induced by Cerebral Ischemia-Reperfusion in Rats. Turk. Neurosurg. 2022, 32, 732–739. [Google Scholar] [CrossRef] [PubMed]
- Karatas, A.; Celik, C.; Oz, B.; Akar, Z.A.; Etem, E.O.; Dagli, A.F.; Koca, S.S. Secukinumab and metformin ameliorate dermal fibrosis by decreasing tissue interleukin-17 levels in bleomycin-induced dermal fibrosis. Int. J. Rheum. Dis. 2021, 24, 795–802. Available online: https://onlinelibrary.wiley.com/doi/10.1111/1756-185X.14114 (accessed on 29 January 2024). [CrossRef]
- Vicovan, A.G.; Petrescu, D.C.; Cretu, A.; Ghiciuc, C.M.; Constantinescu, D.; Iftimi, E.; Strugariu, G.; Ancuta, C.M.; Caratașu, C.-C.; Solcan, C.; et al. Targeting Common Inflammatory Mediators in Experimental Severe Asthma and Acute Lung Injury. Pharmaceuticals 2024, 17, 338. [Google Scholar] [CrossRef] [PubMed]
- Wang, X.; Zhang, X.; Sun, L.; Gao, G.; Li, Y. Protective effect of Secukinumab on severe sepsis model rats by neutralizing IL-17A to inhibit IKBα/NFκB inflammatory signal pathway. Eur. J. Med. Res. 2022, 27, 206. [Google Scholar] [CrossRef]
- Wang, L.; Wang, X.; Tong, L.; Wang, J.; Dou, M.; Ji, S.; Bi, J.; Chen, C.; Yang, D.; He, H.; et al. Recovery from acute lung injury can be regulated via modulation of regulatory T cells and Th17 cells. Scand. J. Immunol. 2018, 88, e12715. [Google Scholar] [CrossRef]
- Righetti, R.F.; Santos TMd Camargo, L.d.N.; Aristóteles, L.R.C.R.B.; Fukuzaki, S.; Souza, F.C.R.d.; Santana, F.P.R.; de Agrela, M.V.R.; Cruz, M.M.; Alonso-Vale, M.I.C.; Tiberio, I.D.F.L.C.; et al. Protective Effects of Anti-IL17 on Acute Lung Injury Induced by LPS in Mice. Front. Pharmacol. 2018, 9, 1021. Available online: https://www.frontiersin.org/articles/10.3389/fphar.2018.01021 (accessed on 28 January 2024). [CrossRef] [PubMed]
- Camargo, L.D.N.; Righetti, R.F.; Aristóteles, L.R.D.C.R.B.; Dos Santos, T.M.; De Souza, F.C.R.; Fukuzaki, S.; Cruz, M.M.; Alonso-Vale, M.I.C.; Saraiva-Romanholo, B.M.; Prado, C.M.; et al. Effects of Anti-IL-17 on Inflammation, Remodeling, and Oxidative Stress in an Experimental Model of Asthma Exacerbated by LPS. Front. Immunol. 2018, 8, 1835. Available online: http://journal.frontiersin.org/article/10.3389/fimmu.2017.01835/full (accessed on 22 January 2021). [CrossRef] [PubMed]
- Camargo, L.D.N.; Santos, T.M.D.; Andrade, F.C.P.D.; Fukuzaki, S.; Dos Santos Lopes, F.D.T.Q.; De Arruda Martins, M.; Prado, C.M.; Leick, E.A.; Righetti, R.F.; Tibério, I.D.F.L.C. Bronchial Vascular Remodeling Is Attenuated by Anti-IL-17 in Asthmatic Responses Exacerbated by LPS. Front. Pharmacol. 2020, 11, 1269. Available online: https://www.frontiersin.org/article/10.3389/fphar.2020.01269/full (accessed on 22 January 2024). [CrossRef] [PubMed]
- Dos Santos, T.M.; Righetti, R.F.; Rezende, B.G.; Campos, E.C.; Camargo, L.D.N.; Saraiva-Romanholo, B.M.; Fukuzaki, S.; Prado, C.M.; Leick, E.A.; Martins, M.A.; et al. Effect of anti-IL17 and/or Rho-kinase inhibitor treatments on vascular remodeling induced by chronic allergic pulmonary inflammation. Ther. Adv. Respir. Dis. 2020, 14, 175346662096266. Available online: http://journals.sagepub.com/doi/10.1177/1753466620962665 (accessed on 22 January 2024). [CrossRef] [PubMed]
- Santos, T.M.D.; Righetti, R.F.; Camargo, L.D.N.; Saraiva-Romanholo, B.M.; Aristoteles, L.R.C.R.B.; De Souza, F.C.R.; Fukuzaki, S.; Alonso-Vale, M.I.C.; Cruz, M.M.; Prado, C.M.; et al. Effect of Anti-IL17 Antibody Treatment Alone and in Combination With Rho-Kinase Inhibitor in a Murine Model of Asthma. Front. Physiol. 2018, 9, 1183. Available online: https://www.frontiersin.org/article/10.3389/fphys.2018.01183/full (accessed on 22 January 2024). [CrossRef] [PubMed]
- Tsai, Y.C.; Cheng, P.Y.; Kung, C.W.; Peng, Y.J.; Ke, T.H.; Wang, J.J.; Yen, M.-H. Beneficial effects of magnolol in a rodent model of endotoxin shock. Eur. J. Pharmacol. 2010, 641, 67–73. Available online: https://www.sciencedirect.com/science/article/pii/S0014299910004279 (accessed on 19 March 2024). [CrossRef] [PubMed]
- Lee, Y.J.; Lee, Y.M.; Lee, C.K.; Jung, J.K.; Han, S.B.; Hong, J.T. Therapeutic applications of compounds in the Magnolia family. Pharmacol. Ther. 2011, 130, 157–176. Available online: https://www.sciencedirect.com/science/article/pii/S0163725811000349 (accessed on 19 March 2024). [CrossRef] [PubMed]
- Ni, Y.F.; Jiang, T.; Cheng, Q.S.; Gu, Z.P.; Zhu, Y.F.; Zhang, Z.P.; Wang, J.; Yan, X.L.; Wang, W.P.; Ke, C.K.; et al. Protective effect of magnolol on lipopolysaccharide-induced acute lung injury in mice. Inflammation 2012, 35, 1860–1866. [Google Scholar] [CrossRef] [PubMed]
- Fu, Y.; Liu, B.; Feng, X.; Li, F.; Liang, D.; Liu, Z.; Li, D.; Cao, Y.; Zhang, X.; Zhang, N.; et al. The effect of magnolol on the toll-like receptor 4/nuclear factor kappa B signaling pathway in lipopolysaccharide-induced acute lung injury in mice. Eur. J. Pharmacol. 2012, 689, 255–261. Available online: https://www.sciencedirect.com/science/article/pii/S0014299912004979 (accessed on 19 March 2024).
- Lin, M.H.; Chen, M.C.; Chen, T.H.; Chang, H.Y.; Chou, T.C. Magnolol ameliorates lipopolysaccharide-induced acute lung injury in rats through PPAR-γ-dependent inhibition of NF-kB activation. Int. Immunopharmacol. 2015, 28, 270–278. [Google Scholar] [CrossRef]
- Tsai, T.; Kao, C.Y.; Chou, C.L.; Liu, L.C.; Chou, T.C. Protective effect of magnolol-loaded polyketal microparticles on lipopolysaccharide-induced acute lung injury in rats. J. Microencapsul. 2016, 33, 401–411. [Google Scholar] [CrossRef] [PubMed]
- Worthen, G.S.; Haslett, C.; Rees, A.J.; Gumbay, R.S.; Henson, J.E.; Henson, P.M. Neutrophil-mediated pulmonary vascular injury. Synergistic effect of trace amounts of lipopolysaccharide and neutrophil stimuli on vascular permeability and neu-trophil sequestration in the lung. Am. Rev. Respir. Dis. 1987, 136, 19–28. [Google Scholar] [CrossRef] [PubMed]
- Zhu, C.; Weng, Q.Y.; Zhou, L.R.; Cao, C.; Li, F.; Wu, Y.F.; Wu, Y.-P.; Li, M.; Hu, Y.; Shen, J.-X.; et al. Homeostatic and early-recruited CD101− eosinophils suppress endotoxin-induced acute lung injury. Eur. Respir. J. 2020, 56, 1902354. Available online: https://erj.ersjournals.com/content/56/5/1902354 (accessed on 21 March 2024). [CrossRef] [PubMed]
- Melgert, B.N.; Postma, D.S.; Kuipers, I.; Geerlings, M.; Luinge, M.A.; van der Strate, B.W.A.; Kerstjens, H.A.M.; Timens, W.; Hylkema, M.N. Female mice are more susceptible to the development of allergic airway inflammation than male mice. Clin. Exp. Allergy 2005, 35, 1496–1503. [Google Scholar] [CrossRef]
- Debeuf, N.; Haspeslagh, E.; Van Helden, M.; Hammad, H.; Lambrecht, B.N. Mouse Models of Asthma. CP Mouse Biol. 2016, 6, 169–184. Available online: https://currentprotocols.onlinelibrary.wiley.com/doi/10.1002/cpmo.4 (accessed on 29 January 2024). [CrossRef] [PubMed]
- Ehrentraut, H.; Weisheit, C.K.; Frede, S.; Hilbert, T. Inducing Acute Lung Injury in Mice by Direct Intratracheal Lipopolysaccharide Instillation. JoVE 2019, 59999. Available online: https://www.jove.com/t/59999/inducing-acute-lung-injury-mice-direct-intratracheal (accessed on 29 January 2024).
- Huang, Q.; Han, L.; Lv, R.; Ling, L. Magnolol exerts anti-asthmatic effects by regulating Janus kinase-signal transduction and activation of transcription and Notch signaling pathways and modulating Th1/Th2/Th17 cytokines in ovalbumin-sensitized asthmatic mice. Korean J. Physiol. Pharmacol. 2019, 23, 251. Available online: https://synapse.koreamed.org/DOIx.php?id=10.4196/kjpp.2019.23.4.251 (accessed on 11 January 2024). [CrossRef]
- Gottlieb, A.B.; Deodhar, A.; Mcinnes, I.B.; Baraliakos, X.; Reich, K.; Schreiber, S.; Bao, W.; Marfo, K.; Richards, H.B.; Pricop, L.; et al. Long-term Safety of Secukinumab Over Five Years in Patients with Moderate-to-severe Plaque Psoriasis, Psoriatic Arthritis and Ankylosing Spondylitis: Update on Integrated Pooled Clinical Trial and Post-marketing Surveillance Data. Acta Derm. Venereol. 2022, 102, adv00698. [Google Scholar] [CrossRef] [PubMed]
- Percopo, C.M.; Brenner, T.A.; Ma, M.; Kraemer, L.S.; Hakeem, R.M.A.; Lee, J.J.; Rosenberg, H.F. SiglecF+Gr1hi eosinophils are a distinct subpopulation within the lungs of allergen-challenged mice. J. Leukoc. Biol. 2017, 101, 321–328. [Google Scholar] [CrossRef] [PubMed]
- Athari, S.; Nasab, E.; Athari, S. Study effect of Ocimum basilicum seeds on mucus production and cytokine gene expression in allergic asthma mice model. Revue Française D’Allergologie 2018, 58, 489–493. [Google Scholar] [CrossRef]
- Tiotiu, A.; Badi, Y.; Kermani, N.Z.; Sanak, M.; Kolmert, J.; Wheelock, C.E.; Hansbro, P.M.; Dahlén, S.-E.; Sterk, P.J.; Djukanovic, R.; et al. Association of Differential Mast Cell Activation with Granulocytic Inflammation in Severe Asthma. Am. J. Respir. Crit. Care Med. 2022, 205, 397–411. [Google Scholar] [CrossRef]
- Wu, L.C.; Scheerens, H. Targeting IgE production in mice and humans. Curr. Opin. Immunol. 2014, 31, 8–15. [Google Scholar] [CrossRef] [PubMed]
- Van Der Pouw Kraan, T.C.T.M.; Van Der Zee, J.S.; Boeije, L.C.M.; DEGroot, E.R.; Stapel, S.O.; Aarden, L.A. The role of IL-13 in IgE synthesis by allergic asthma patients. Clin. Exp. Immunol. 1998, 111, 129–135. Available online: https://www.ncbi.nlm.nih.gov/pmc/articles/PMC1904850/ (accessed on 18 June 2024).
- Ho, J.H.C.; Hong, C.Y. Cardiovascular protection of magnolol: Cell-type specificity and dose-related effects. J. Biomed. Sci. 2012, 19, 70. [Google Scholar] [CrossRef] [PubMed]
- Wang, J.P.; Hsu, E.F.; Raung, S.L.; Chang, L.C.; Tsao, L.T.; Lin, P.L.; Chen, C.C. Inhibition by Magnolol of Formylmethionyl-leucyl-phenyl alanine-induced Respiratory Burst in Rat Neutrophils. J. Pharm. Pharmacol. 1999, 51, 285–294. [Google Scholar] [CrossRef]
- Scozzi, D.; Liao, F.; Krupnick, A.S.; Kreisel, D.; Gelman, A.E. The role of neutrophil extracellular traps in acute lung injury. Front. Immunol. 2022, 13, 953195. Available online: https://www.frontiersin.org/journals/immunology/articles/10.3389/fimmu.2022.953195/full (accessed on 20 May 2024). [CrossRef]
- Li, Y.; Shen, Y.; Lin, D.; Zhang, H.; Wang, T.; Liu, H.; Wang, Y. Neutrophils and IL17A mediate flagellar hook protein FlgE-induced mouse acute lung inflammation. Cell. Microbiol. 2019, 21, e12975. Available online: https://onlinelibrary.wiley.com/doi/abs/10.1111/cmi.12975 (accessed on 20 May 2024). [CrossRef] [PubMed]
- Mosser, D.M.; Zhang, X. Activation of murine macrophages. Curr. Protoc. Immunol. 2008, 83, 14.2.1–14.2.8. [Google Scholar] [CrossRef] [PubMed]
- Abdelaziz, M.H.; Abdelwahab, S.F.; Wan, J.; Cai, W.; Huixuan, W.; Jianjun, C.; Kumar, K.D.; Vasudevan, A.; Sadek, A.; Su, Z.; et al. Alternatively activated macrophages; a double-edged sword in allergic asthma. J. Transl. Med. 2020, 18, 58. [Google Scholar] [CrossRef] [PubMed]
- Wang, L.; Wang, D.; Zhang, T.; Ma, Y.; Tong, X.; Fan, H. The role of immunometabolism in macrophage polarization and its impact on acute lung injury/acute respiratory distress syndrome. Front. Immunol. 2023, 14, 1117548. Available online: https://www.frontiersin.org/journals/immunology/articles/10.3389/fimmu.2023.1117548/full (accessed on 19 May 2024). [CrossRef]
- Martín-Vicente, P.; López-Martínez, C.; Albaiceta, G.M. The last-minute redemption of inflammatory cells in lung repair. Eur. Respir. J. 2022, 59, 2103000. Available online: https://erj.ersjournals.com/content/59/4/2103000 (accessed on 20 May 2024). [CrossRef]
- Bouchery, T.; Harris, N. The ins and outs of macrophages in tissue repair. Immunol. Cell Biol. 2019, 97, 244–245. Available online: https://onlinelibrary.wiley.com/doi/abs/10.1111/imcb.12242 (accessed on 20 May 2024). [CrossRef] [PubMed]
- Nguyen, Q.T.; Jang, E.; Le, H.T.; Kim, S.; Kim, D.; Dvorina, N.; Aronica, M.A.; Baldwin, W.M.; Asosingh, K.; Comhair, S.; et al. IL-27 targets Foxp3+ Tregs to mediate antiinflammatory functions during experimental allergic airway inflammation. JCI Insight 2019, 4, 123216. Available online: https://insight.jci.org/articles/view/123216 (accessed on 20 May 2024). [CrossRef] [PubMed]
- Lu, D.; Lu, J.; Ji, X.; Ji, Y.; Zhang, Z.; Peng, H.; Sun, F.; Zhang, C. IL-27 suppresses airway inflammation, hyperresponsiveness and remodeling via the STAT1 and STAT3 pathways in mice with allergic asthma. Int. J. Mol. Med. 2020, 46, 641–652. Available online: https://www.spandidos-publications.com/10.3892/ijmm.2020.4622 (accessed on 20 May 2024). [CrossRef] [PubMed]
- Kleinschek, M.A.; Owyang, A.M.; Joyce-Shaikh, B.; Langrish, C.L.; Chen, Y.; Gorman, D.M.; Blumenschein, W.M.; McClanahan, T.; Brombacher, F.; Hurst, S.D.; et al. IL-25 regulates Th17 function in autoimmune inflammation. J. Exp. Med. 2007, 204, 161–170. [Google Scholar] [CrossRef] [PubMed]
- Agrawal, A.; Zhuo, H.; Brady, S.; Levitt, J.; Steingrub, J.; Siegel, M.D.; Soto, G.; Peterson, M.W.; Chesnutt, M.S.; Matthay, M.A.; et al. Pathogenetic and predictive value of biomarkers in patients with ALI and lower severity of illness: Results from two clinical trials. Am. J. Physiol.-Lung Cell. Mol. Physiol. 2012, 303, L634–L639. Available online: https://journals.physiology.org/doi/full/10.1152/ajplung.00195.2012 (accessed on 19 May 2024). [CrossRef] [PubMed]
- Kong, C.W.; Tsai, K.; Chin, J.H.; Chan, W.L.; Hong, C.Y. Magnolol attenuates peroxidative damage and improves survival of rats with sepsis. Shock. 2000, 13, 24–28. [Google Scholar] [CrossRef] [PubMed]
- Wang, W.; Liang, D.; Song, X.; Wang, T.; Cao, Y.; Yang, Z.; Zhang, N. Magnolol inhibits the inflammatory response in mouse mammary epithelial cells and a mouse mastitis model. Inflammation 2015, 38, 16–26. [Google Scholar]
- Sun, Y.; Hu, B.; Stanley, G.; Harris, Z.M.; Gautam, S.; Homer, R.; Koff, J.L.; Rajagopalan, G. IFN-γ Is Protective in Cytokine Release Syndrome-associated Extrapulmonary Acute Lung Injury. Am. J. Respir. Cell Mol. Biol. 2023, 68, 75–89. Available online: https://www.atsjournals.org/doi/10.1165/rcmb.2022-0117OC (accessed on 21 May 2024). [CrossRef] [PubMed]
- Strugariu, G.; Pomîrleanu, C.; Bran, C.; Costea, A.; Vicovan, A.; Tatarciuc, D.; Eșanu, I.; Ancuța, E.; Chirieac, R.; Ancuța, C. The Prevalence of Atopy in Biologically Treated Spondyloarthropathies: A Retrospective Study of 200 Patients. J. Clin. Med. 2022, 11, 55. Available online: https://www.mdpi.com/2077-0383/11/1/55 (accessed on 21 May 2024). [CrossRef]
- Lin, S.P.; Tsai, S.Y.; Lee Chao, P.D.; Chen, Y.C.; Hou, Y.C. Pharmacokinetics, bioavailability, and tissue distribution of magnolol following single and repeated dosing of magnolol to rats. Planta Med. 2011, 77, 1800–1805. [Google Scholar] [CrossRef]
- Jeong, H.U.; Kim, J.H.; Kong, T.Y.; Choi, W.G.; Lee, H.S. Comparative metabolism of honokiol in mouse, rat, dog, monkey, and human hepatocytes. Arch. Pharm. Res. 2016, 39, 516–530. [Google Scholar] [CrossRef] [PubMed]
- Zhu, L.; Ge, G.; Liu, Y.; He, G.; Liang, S.; Fang, Z.; Dong, P.; Cao, Y.; Yang, L. Potent and selective inhibition of magnolol on catalytic activities of UGT1A7 and 1A9. Xenobiotica 2012, 42, 1001–1008. [Google Scholar] [CrossRef] [PubMed]
- Ghiciuc, C.M.; Vicovan, A.G.; Stafie, C.S.; Antoniu, S.A.; Postolache, P. Marine-Derived Compounds for the Potential Treatment of Glucocorticoid Resistance in Severe Asthma. Mar. Drugs 2021, 19, 586. Available online: https://www.mdpi.com/1660-3397/19/11/586 (accessed on 21 May 2024). [CrossRef] [PubMed]








| Group | OVA + LPS | OVA + LPS + SECU | OVA + LPS + MAGN | OVA + LPS + MAGN + SECU |
|---|---|---|---|---|
| CCH Score | 4 | 2 | 2 | 1 |
| ICI Score | 4 | 3 | 2 | 1 |
Disclaimer/Publisher’s Note: The statements, opinions and data contained in all publications are solely those of the individual author(s) and contributor(s) and not of MDPI and/or the editor(s). MDPI and/or the editor(s) disclaim responsibility for any injury to people or property resulting from any ideas, methods, instructions or products referred to in the content. |
© 2024 by the authors. Licensee MDPI, Basel, Switzerland. This article is an open access article distributed under the terms and conditions of the Creative Commons Attribution (CC BY) license (https://creativecommons.org/licenses/by/4.0/).
Share and Cite
Vicovan, A.G.; Petrescu, D.C.; Constantinescu, D.; Iftimi, E.; Cernescu, I.T.; Ancuta, C.M.; Caratașu, C.-C.; Șorodoc, L.; Ceasovschih, A.; Solcan, C.; et al. Experimental Insights on the Use of Secukinumab and Magnolol in Acute Respiratory Diseases in Mice. Biomedicines 2024, 12, 1538. https://doi.org/10.3390/biomedicines12071538
Vicovan AG, Petrescu DC, Constantinescu D, Iftimi E, Cernescu IT, Ancuta CM, Caratașu C-C, Șorodoc L, Ceasovschih A, Solcan C, et al. Experimental Insights on the Use of Secukinumab and Magnolol in Acute Respiratory Diseases in Mice. Biomedicines. 2024; 12(7):1538. https://doi.org/10.3390/biomedicines12071538
Chicago/Turabian StyleVicovan, Andrei Gheorghe, Diana Cezarina Petrescu, Daniela Constantinescu, Elena Iftimi, Irina Teodora Cernescu, Codrina Mihaela Ancuta, Cezar-Cătălin Caratașu, Laurențiu Șorodoc, Alexandr Ceasovschih, Carmen Solcan, and et al. 2024. "Experimental Insights on the Use of Secukinumab and Magnolol in Acute Respiratory Diseases in Mice" Biomedicines 12, no. 7: 1538. https://doi.org/10.3390/biomedicines12071538
APA StyleVicovan, A. G., Petrescu, D. C., Constantinescu, D., Iftimi, E., Cernescu, I. T., Ancuta, C. M., Caratașu, C.-C., Șorodoc, L., Ceasovschih, A., Solcan, C., & Ghiciuc, C. M. (2024). Experimental Insights on the Use of Secukinumab and Magnolol in Acute Respiratory Diseases in Mice. Biomedicines, 12(7), 1538. https://doi.org/10.3390/biomedicines12071538

