Induction of Collagenolytic MMP-8 and -9 Tissue Destruction Cascade in Mouth by Head and Neck Cancer Radiotherapy: A Cohort Study
Abstract
:1. Introduction
2. Materials and Methods
2.1. Patient Selection and Study Design
2.2. The Collection of Oral Rinse and aMMP-8 Analysis
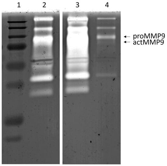
2.3. ELISA Analysis, Western Immunoblot and Gelatine-Substrate Zymography
2.4. Statistics
3. Results
4. Discussion
Author Contributions
Funding
Institutional Review Board Statement
Informed Consent Statement
Data Availability Statement
Acknowledgments
Conflicts of Interest
References
- Lo Nigro, C.; Denaro, N.; Merlotti, A.; Merlano, M. Head and Neck Cancer: Improving Outcomes with a Multidisciplinary Approach. Cancer Manag. Res. 2017, 9, 363–371. [Google Scholar] [CrossRef] [PubMed]
- Brook, I. Late Side Effects of Radiation Treatment for Head and Neck Cancer. Radiat. Oncol. J. 2020, 38, 84–92. [Google Scholar] [CrossRef] [PubMed]
- Sroussi, H.Y.; Epstein, J.B.; Bensadoun, R.-J.; Saunders, D.P.; Lalla, R.V.; Migliorati, C.A.; Heaivilin, N.; Zumsteg, Z.S. Common Oral Complications of Head and Neck Cancer Radiation Therapy: Mucositis, Infections, Saliva Change, Fibrosis, Sensory Dysfunctions, Dental Caries, Periodontal Disease, and Osteoradionecrosis. Cancer Med. 2017, 6, 2918–2931. [Google Scholar] [CrossRef] [PubMed]
- Epstein, J.B.; Lunn, R.; Le, N.; Stevenson-Moore, P. Periodontal Attachment Loss in Patients after Head and Neck Radiation Therapy. Oral Surg. Oral Med. Oral Pathol. Oral Radiol. Endod. 1998, 86, 673–677. [Google Scholar] [CrossRef] [PubMed]
- Marques, M.A.C.; Dib, L.L. Periodontal Changes in Patients Undergoing Radiotherapy. J. Periodontol. 2004, 75, 1178–1187. [Google Scholar] [CrossRef] [PubMed]
- Tonetti, M.S.; Jepsen, S.; Jin, L.; Otomo-Corgel, J. Impact of the Global Burden of Periodontal Diseases on Health, Nutrition and Wellbeing of Mankind: A Call for Global Action. J. Clin. Periodontol. 2017, 44, 456–462. [Google Scholar] [CrossRef] [PubMed]
- Heikkilä, P.; But, A.; Sorsa, T.; Haukka, J. Periodontitis and Cancer Mortality: Register-Based Cohort Study of 68,273 Adults in 10-Year Follow-Up. Int. J. Cancer 2018, 142, 2244–2253. [Google Scholar] [CrossRef] [PubMed]
- Michaud, D.S.; Fu, Z.; Shi, J.; Chung, M. Periodontal Disease, Tooth Loss, and Cancer Risk. Epidemiol. Rev. 2017, 39, 49–58. [Google Scholar] [CrossRef]
- Nwizu, N.; Wactawski-Wende, J.; Genco, R.J. Periodontal Disease and Cancer: Epidemiologic Studies and Possible Mechanisms. Periodontology 2000 2020, 83, 213–233. [Google Scholar] [CrossRef]
- Sarhadi, V.K.; Armengol, G. Molecular Biomarkers in Cancer. Biomolecules 2022, 12, 1021. [Google Scholar] [CrossRef]
- Khurshid, Z.; Zafar, M.S.; Khan, R.S.; Najeeb, S.; Slowey, P.D.; Rehman, I.U. Role of Salivary Biomarkers in Oral Cancer Detection. Adv. Clin. Chem. 2018, 86, 23–70. [Google Scholar] [CrossRef] [PubMed]
- Patel, A.; Patel, S.; Patel, P.; Tanavde, V. Saliva Based Liquid Biopsies in Head and Neck Cancer: How Far Are We from the Clinic? Front. Oncol. 2022, 12, 828434. [Google Scholar] [CrossRef] [PubMed]
- Page-McCaw, A.; Ewald, A.J.; Werb, Z. Matrix Metalloproteinases and the Regulation of Tissue Remodelling. Nat. Rev. Mol. Cell Biol. 2007, 8, 221–233. [Google Scholar] [CrossRef] [PubMed]
- Luchian, I.; Goriuc, A.; Sandu, D.; Covasa, M. The Role of Matrix Metalloproteinases (MMP-8, MMP-9, MMP-13) in Periodontal and Peri-Implant Pathological Processes. Int. J. Mol. Sci. 2022, 23, 1806. [Google Scholar] [CrossRef] [PubMed]
- Räisänen, I.T.; Aji, N.R.A.S.; Sakellari, D.; Grigoriadis, A.; Rantala, I.; Pätilä, T.; Heikkilä, P.; Gupta, S.; Sorsa, T. Active Matrix Metalloproteinase-8 (aMMP-8) Versus Total MMP-8 in Periodontal and Peri-Implant Disease Point-of-Care Diagnostics. Biomedicines 2023, 11, 2885. [Google Scholar] [CrossRef] [PubMed]
- Deng, K.; Pelekos, G.; Jin, L.; Tonetti, M.S. Diagnostic Accuracy of a Point-of-Care aMMP-8 Test in the Discrimination of Periodontal Health and Disease. J. Clin. Periodontol. 2021, 48, 1051–1065. [Google Scholar] [CrossRef] [PubMed]
- Tonetti, M.S.; Greenwell, H.; Kornman, K.S. Staging and Grading of Periodontitis: Framework and Proposal of a New Classification and Case Definition. J. Periodontol. 2018, 89 (Suppl. 1), S159–S172. [Google Scholar] [CrossRef]
- Romero-Castro, N.S.; Vázquez-Villamar, M.; Muñoz-Valle, J.F.; Reyes-Fernández, S.; Serna-Radilla, V.O.; García-Arellano, S.; Castro-Alarcón, N. Relationship between TNF-α, MMP-8, and MMP-9 Levels in Gingival Crevicular Fluid and the Subgingival Microbiota in Periodontal Disease. Odontology 2020, 108, 25–33. [Google Scholar] [CrossRef]
- Verhulst, M.J.L.; Teeuw, W.J.; Bizzarro, S.; Muris, J.; Su, N.; Nicu, E.A.; Nazmi, K.; Bikker, F.J.; Loos, B.G. A Rapid, Non-Invasive Tool for Periodontitis Screening in a Medical Care Setting. BMC Oral Health 2019, 19, 87. [Google Scholar] [CrossRef]
- Syndergaard, B.; Al-Sabbagh, M.; Kryscio, R.J.; Xi, J.; Ding, X.; Ebersole, J.L.; Miller, C.S. Salivary Biomarkers Associated with Gingivitis and Response to Therapy. J. Periodontol. 2014, 85, e295–e303. [Google Scholar] [CrossRef]
- Nędzi-Góra, M.; Górska, R.; Górski, B. The Utility of Gingival Crevicular Fluid Matrix Metalloproteinase-8 Provides Site-Specific Diagnostic Value for Periodontal Grading. Cent. Eur. J. Immunol. 2021, 46, 236–243. [Google Scholar] [CrossRef] [PubMed]
- Graves, D. Cytokines That Promote Periodontal Tissue Destruction. J. Periodontol. 2008, 79, 1585–1591. [Google Scholar] [CrossRef] [PubMed]
- van der Veen, B.S.; de Winther, M.P.J.; Heeringa, P. Myeloperoxidase: Molecular Mechanisms of Action and Their Relevance to Human Health and Disease. Antioxid. Redox Signal. 2009, 11, 2899–2937. [Google Scholar] [CrossRef] [PubMed]
- Pfister, D.G.; Spencer, S.; Adelstein, D.; Adkins, D.; Anzai, Y.; Brizel, D.M.; Bruce, J.Y.; Busse, P.M.; Caudell, J.J.; Cmelak, A.J.; et al. Head and Neck Cancers, Version 2.2020, NCCN Clinical Practice Guidelines in Oncology. J. Natl. Compr. Cancer Netw. 2020, 18, 873–898. [Google Scholar] [CrossRef] [PubMed]
- von Elm, E.; Altman, D.G.; Egger, M.; Pocock, S.J.; Gøtzsche, P.C.; Vandenbroucke, J.P.; STROBE Initiative. The Strengthening the Reporting of Observational Studies in Epidemiology (STROBE) Statement: Guidelines for Reporting Observational Studies. J. Clin. Epidemiol. 2008, 61, 344–349. [Google Scholar] [CrossRef] [PubMed]
- Brandt, E.; Keskin, M.; Tervahartiala, T.; Yılmaz, M.; Harmankaya, İ.; Karaçetin, D.; İpek, T.; Gürsoy, U.K.; Rautava, J.; Gupta, S.; et al. Radiotherapy Increases aMMP-8-Levels and Neutrophil/Lymphocyte Ratio Rapidly in Head and Neck Cancer Patients: A Pilot Study. Cancer Control 2023, 30, 10732748231163653. [Google Scholar] [CrossRef] [PubMed]
- Sorsa, T.; Salo, T.; Koivunen, E.; Tyynelä, J.; Konttinen, Y.T.; Bergmann, U.; Tuuttila, A.; Niemi, E.; Teronen, O.; Heikkilä, P.; et al. Activation of Type IV Procollagenases by Human Tumor-Associated Trypsin-2. J. Biol. Chem. 1997, 272, 21067–21074. [Google Scholar] [CrossRef] [PubMed]
- Keskin, M.; Lähteenmäki, H.; Rathnayake, N.; Räisänen, I.T.; Tervahartiala, T.; Pärnänen, P.; Şenışık, A.M.; Karaçetin, D.; Yentek Balkanay, A.; Heikkilä, P.; et al. Active Matrix Metalloproteinase-8 and Interleukin-6 Detect Periodontal Degeneration Caused by Radiotherapy of Head and Neck Cancer: A Pilot Study. Expert. Rev. Proteom. 2020, 17, 777–784. [Google Scholar] [CrossRef]
- Hynne, H.; Aqrawi, L.A.; Jensen, J.L.; Thiede, B.; Palm, Ø.; Amdal, C.D.; Westgaard, K.L.; Herlofson, B.B.; Utheim, T.P.; Galtung, H.K. Proteomic Profiling of Saliva and Tears in Radiated Head and Neck Cancer Patients as Compared to Primary Sjögren’s Syndrome Patients. Int. J. Mol. Sci. 2022, 23, 3714. [Google Scholar] [CrossRef]
- Ammajan, R.R.; Joseph, R.; Rajeev, R.; Choudhary, K.; Vidhyadharan, K. Assessment of Periodontal Changes in Patients Undergoing Radiotherapy for Head and Neck Malignancy: A Hospital-Based Study. J. Cancer Res. Ther. 2013, 9, 630–637. [Google Scholar] [CrossRef]
- Bui, F.Q.; Almeida-da-Silva, C.L.C.; Huynh, B.; Trinh, A.; Liu, J.; Woodward, J.; Asadi, H.; Ojcius, D.M. Association between Periodontal Pathogens and Systemic Disease. Biomed. J. 2019, 42, 27–35. [Google Scholar] [CrossRef] [PubMed]
- Katsura, K.; Sasai, K.; Sato, K.; Saito, M.; Hoshina, H.; Hayashi, T. Relationship between Oral Health Status and Development of Osteoradionecrosis of the Mandible: A Retrospective Longitudinal Study. Oral Surg. Oral Med. Oral Pathol. Oral Radiol. Endod. 2008, 105, 731–738. [Google Scholar] [CrossRef] [PubMed]
- Kessenbrock, K.; Plaks, V.; Werb, Z. Matrix Metalloproteinases: Regulators of the Tumor Microenvironment. Cell 2010, 141, 52–67. [Google Scholar] [CrossRef] [PubMed]
- Niland, S.; Riscanevo, A.X.; Eble, J.A. Matrix Metalloproteinases Shape the Tumor Microenvironment in Cancer Progression. Int. J. Mol. Sci. 2021, 23, 146. [Google Scholar] [CrossRef] [PubMed]
- Klein, T.; Bischoff, R. Physiology and Pathophysiology of Matrix Metalloproteases. Amino Acids 2011, 41, 271–290. [Google Scholar] [CrossRef] [PubMed]
- Stetler-Stevenson, W.G.; Aznavoorian, S.; Liotta, L.A. Tumor Cell Interactions with the Extracellular Matrix during Invasion and Metastasis. Annu. Rev. Cell Biol. 1993, 9, 541–573. [Google Scholar] [CrossRef] [PubMed]
- Juurikka, K.; Butler, G.S.; Salo, T.; Nyberg, P.; Åström, P. The Role of MMP8 in Cancer: A Systematic Review. Int. J. Mol. Sci. 2019, 20, 4506. [Google Scholar] [CrossRef]
- Mughees, M.; Sengupta, A.; Khowal, S.; Wajid, S. Mechanism of Tumour Microenvironment in the Progression and Development of Oral Cancer. Mol. Biol. Rep. 2021, 48, 1773–1786. [Google Scholar] [CrossRef]
- Principe, S.; Dikova, V.; Bagán, J. Salivary Cytokines in Patients with Head and Neck Cancer (HNC) Treated with Radiotherapy. J. Clin. Exp. Dent. 2019, 11, e1072–e1077. [Google Scholar] [CrossRef]
- Chiamulera, M.M.A.; Zancan, C.B.; Remor, A.P.; Cordeiro, M.F.; Gleber-Netto, F.O.; Baptistella, A.R. Salivary Cytokines as Biomarkers of Oral Cancer: A Systematic Review and Meta-Analysis. BMC Cancer 2021, 21, 205. [Google Scholar] [CrossRef]
- Bossi, P.; Bergamini, C.; Miceli, R.; Cova, A.; Orlandi, E.; Resteghini, C.; Locati, L.; Alfieri, S.; Imbimbo, M.; Granata, R.; et al. Salivary Cytokine Levels and Oral Mucositis in Head and Neck Cancer Patients Treated with Chemotherapy and Radiation Therapy. Int. J. Radiat. Oncol. Biol. Phys. 2016, 96, 959–966. [Google Scholar] [CrossRef]
- Pulito, C.; Cristaudo, A.; Porta, C.L.; Zapperi, S.; Blandino, G.; Morrone, A.; Strano, S. Oral Mucositis: The Hidden Side of Cancer Therapy. J. Exp. Clin. Cancer Res. 2020, 39, 210. [Google Scholar] [CrossRef]
- Weiss, S.J. Tissue Destruction by Neutrophils. N. Engl. J. Med. 1989, 320, 365–376. [Google Scholar] [CrossRef]
- Zhang, N.; Aiyasiding, X.; Li, W.; Liao, H.; Tang, Q. Neutrophil Degranulation and Myocardial Infarction. Cell Commun. Signal. 2022, 20, 50. [Google Scholar] [CrossRef]
- Brew, K.; Nagase, H. The Tissue Inhibitors of Metalloproteinases (TIMPs): An Ancient Family with Structural and Functional Diversity. Biochim. Biophys. Acta 2010, 1803, 55–71. [Google Scholar] [CrossRef]
- Takeuchi, Y.; Umeda, M.; Sakamoto, M.; Benno, Y.; Huang, Y.; Ishikawa, I. Treponema socranskii, Treponema denticola, and Porphyromonas gingivalis Are Associated with Severity of Periodontal Tissue Destruction. J. Periodontol. 2001, 72, 1354–1363. [Google Scholar] [CrossRef]
- Nieminen, M.T.; Listyarifah, D.; Hagström, J.; Haglund, C.; Grenier, D.; Nordström, D.; Uitto, V.-J.; Hernandez, M.; Yucel-Lindberg, T.; Tervahartiala, T.; et al. Treponema denticola Chymotrypsin-like Proteinase May Contribute to Orodigestive Carcinogenesis through Immunomodulation. Br. J. Cancer 2018, 118, 428–434. [Google Scholar] [CrossRef]




| n (%) | ||
|---|---|---|
| Gender | ||
| Male | 16 (76) | |
| Female | 5 (24) | |
| Comorbidities | ||
| No additional diseases | 9 (43) | |
| Diabetes type II | 5 (24) | |
| Hypothyroidism | 4 (19) | |
| Chronic obstructive pulmonary disease | 3 (14) | |
| Cardiovascular disease | 3 (14) | |
| Hypertension | 1 (5) | |
| Medication | ||
| Metformin | 5 (24) | |
| Levoythroxine sodium | 4 (19) | |
| Ipratropium bromide | 3 (14) | |
| Acetylsalicylic acid | 2 (10) | |
| Atorvastatin | 1 (5) | |
| Metoprolol | 1 (5) | |
| Smoking | ||
| Yes | 21 (100) | |
| No | 0 (0) | |
| Stage of periodontitis [17] | ||
| Stage I | 1 (4) | |
| Stage II | 8 (38) | |
| Stage III | 7 (33) | |
| Stage IV | 5 (24) | |
| Grade of periodontitis [17] | ||
| Grade A | 0 (0) | |
| Grade B | 0 (0) | |
| Grade C | 21 (100) |
| n (%) | ||
|---|---|---|
| Histopathological diagnosis | Squamous cell carcinoma | 15 (71) |
| Nonkeratinizing undifferentiated nasopharyngeal carcinoma | 3 (14) | |
| Keratinizing nasopharyngeal carcinoma | 1 (5) | |
| Mucoepidermoid carcinoma | 1 (5) | |
| Adenoid cystic carcinoma | 1 (5) | |
| Tumor location | Nasopharynx | 6 (29) |
| Larynx | 4 (19) | |
| Oropharynx | 3 (14) | |
| Hypopharynx | 2 (10) | |
| Parotis | 2 (10) | |
| Mobile tongue | 2 (10) | |
| Another site of oral cavity | 1 (5) | |
| Lip | 1 (5) | |
| Treatment Type | Radiotherapy + surgery | 8 (38) |
| Chemoradiotherapy | 8 (38) | |
| Chemoradiotherapy + surgery | 3 (14) | |
| Radiotherapy | 2 (9) |
| Variable | Pre-RT (Mean ± SD) | Pre-RT (95% Confidence Interval for Mean) | One Month after RT (Mean ± SD) | One Month after RT (95% Confidence Interval for Mean) | p-Value | Effect Size: Cohen’s d (95% Conficence Interval) |
|---|---|---|---|---|---|---|
| Clinical attachment loss (mm) (mean) Probing depth (mm) (mean) Bleeding on probing (%) | 2.04 ± 1.25 | 1.47–2.60 | 2.16 ± 1.29 | 1.58–2.75 | <0.001 | 0.96 (−1.47–−0.43) |
| 3.24 ± 1.04 | 2.77–3.72 | 3.33 ± 1.08 | 2.84–3.82 | 0.025 | −0.53 (−0.98–−0.07) | |
| 51.92 ± 23.79 | 0.41–0.63 | 60.84 ± 25.95 | 0.49–0.73 | <0.001 | −0.87 (−1.37–−0.36) | |
| Visual plaque index (mean) Mobility (Involved teeth count) | 1.24 ± 0.50 | 1.01–1.47 | 1.23 ± 0.52 | 1.00–1.47 | 0.892 | 0.03 (−0.40–0.46) |
| 4.43 ± 5.69 | 1.84–7.02 | 4.81 ± 5.93 | 2.11–7.51 | 0.134 | −0.34 (−0.78–0.10) | |
| Furcation (Involved teeth count) | 1.38 ± 2.01 | 0.47–2.30 | 1.29 ± 1.82 | 0.46–2.11 | 0.329 | 0.22 (−0.22–0.65) |
Disclaimer/Publisher’s Note: The statements, opinions and data contained in all publications are solely those of the individual author(s) and contributor(s) and not of MDPI and/or the editor(s). MDPI and/or the editor(s) disclaim responsibility for any injury to people or property resulting from any ideas, methods, instructions or products referred to in the content. |
© 2023 by the authors. Licensee MDPI, Basel, Switzerland. This article is an open access article distributed under the terms and conditions of the Creative Commons Attribution (CC BY) license (https://creativecommons.org/licenses/by/4.0/).
Share and Cite
Brandt, E.; Keskin, M.; Räisänen, I.T.; Tervahartiala, T.; Mäkitie, A.; Harmankaya, İ.; Karaçetin, D.; Hagström, J.; Rautava, J.; Sorsa, T. Induction of Collagenolytic MMP-8 and -9 Tissue Destruction Cascade in Mouth by Head and Neck Cancer Radiotherapy: A Cohort Study. Biomedicines 2024, 12, 27. https://doi.org/10.3390/biomedicines12010027
Brandt E, Keskin M, Räisänen IT, Tervahartiala T, Mäkitie A, Harmankaya İ, Karaçetin D, Hagström J, Rautava J, Sorsa T. Induction of Collagenolytic MMP-8 and -9 Tissue Destruction Cascade in Mouth by Head and Neck Cancer Radiotherapy: A Cohort Study. Biomedicines. 2024; 12(1):27. https://doi.org/10.3390/biomedicines12010027
Chicago/Turabian StyleBrandt, Ella, Mutlu Keskin, Ismo T. Räisänen, Taina Tervahartiala, Antti Mäkitie, İlknur Harmankaya, Didem Karaçetin, Jaana Hagström, Jaana Rautava, and Timo Sorsa. 2024. "Induction of Collagenolytic MMP-8 and -9 Tissue Destruction Cascade in Mouth by Head and Neck Cancer Radiotherapy: A Cohort Study" Biomedicines 12, no. 1: 27. https://doi.org/10.3390/biomedicines12010027
APA StyleBrandt, E., Keskin, M., Räisänen, I. T., Tervahartiala, T., Mäkitie, A., Harmankaya, İ., Karaçetin, D., Hagström, J., Rautava, J., & Sorsa, T. (2024). Induction of Collagenolytic MMP-8 and -9 Tissue Destruction Cascade in Mouth by Head and Neck Cancer Radiotherapy: A Cohort Study. Biomedicines, 12(1), 27. https://doi.org/10.3390/biomedicines12010027

