Effect of Carbamylated Erythropoietin in a Chronic Model of TNBS-Induced Colitis
Abstract
1. Introduction
2. Materials and Methods
2.1. Material
2.2. Animals
2.3. Trinitrobenzene Sulfonic Acid-Induced Colitis
2.4. Carbamylated Erythropoietin Synthesis
2.5. Determination of Carbamylation Rate
2.6. Experimental Groups
2.7. Monitoring of Clinical Signs
2.8. Macroscopic Evaluation
2.9. Biochemical Markers and Cytokines
2.10. Histopathological Analysis
2.11. Statistical Analysis
3. Results
3.1. Carbamylation of Erythropoietin
3.2. Monitoring of Clinical Signs
3.3. Fecal Hemoglobin
3.4. Alkaline Phosphatase
3.5. Measurement of Cytokines
3.6. Renal and Hepatic Function
3.7. Macroscopical Evaluation
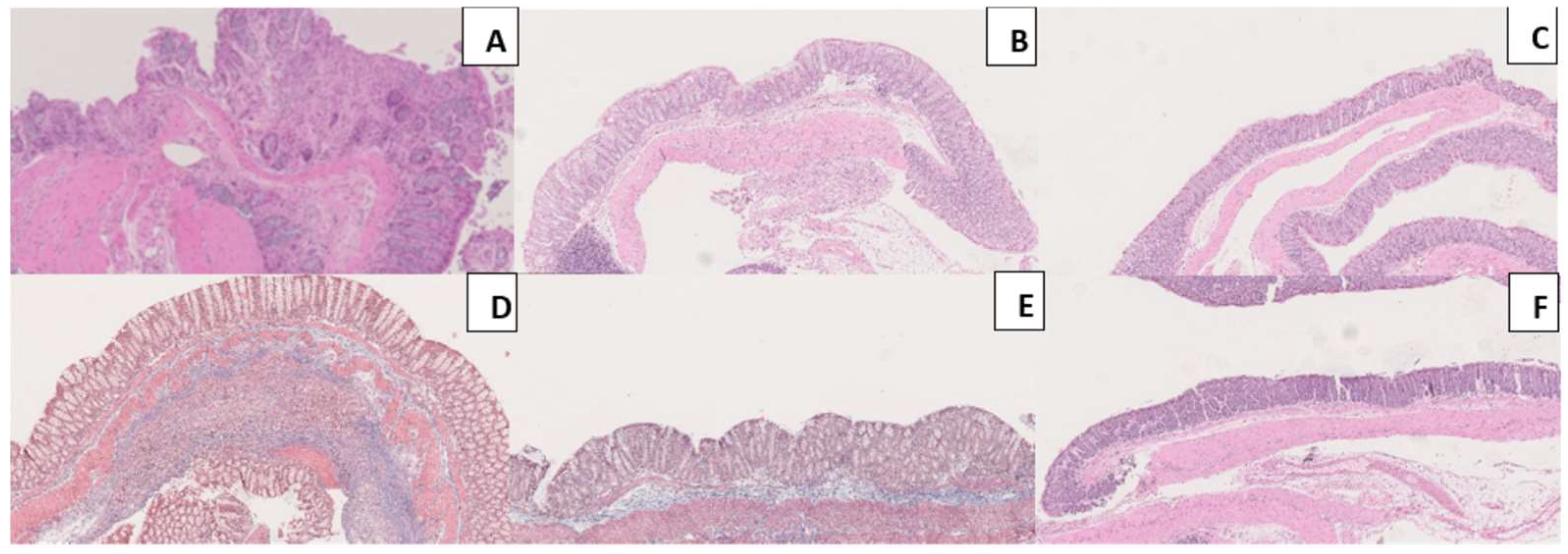
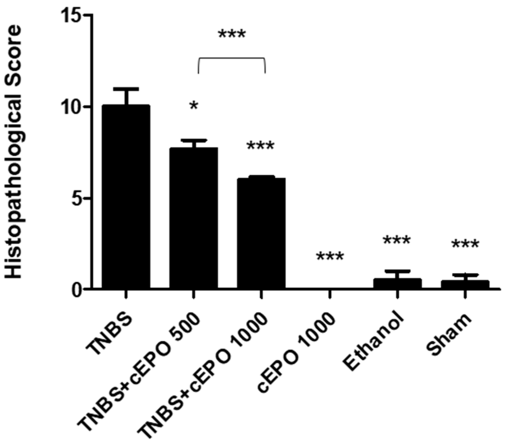
3.8. Microscopical Assessment of Colitis Severity
3.9. Safety Assessment of Colitis Severity
Cardiovascular Function
4. Discussion
5. Conclusions
Author Contributions
Funding
Institutional Review Board Statement
Informed Consent Statement
Data Availability Statement
Acknowledgments
Conflicts of Interest
References
- Ng, S.C.; Shi, H.Y.; Hamidi, N.; Underwood, F.E.; Tang, W.; Benchimol, E.I.; Panaccione, R.; Ghosh, S.; Wu, J.C.Y.; Chan, F.K.L.; et al. Worldwide incidence and prevalence of inflammatory bowel disease in the 21st century: A systematic review of population-based studies. Lancet 2017, 390, 2769–2778, Erratum in Lancet 2020, 396, e56. [Google Scholar] [CrossRef]
- Ananthakrishnan, A.N.; Kaplan, G.G.; Ng, S.C. Changing Global Epidemiology of Inflammatory Bowel Diseases: Sustaining Health Care Delivery Into the 21st Century. Clin. Gastroenterol. Hepatol. 2020, 18, 1252–1260. [Google Scholar] [CrossRef]
- Motavallian-Naeini, A.; Andalib, S.; Rabbani, M.; Mahzouni, P.; Afsharipour, M.; Minaiyan, M. Validation and optimization of experimental colitis induction in rats using 2, 4, 6-trinitrobenzene sulfonic acid. Res. Pharm. Sci. 2012, 7, 159–169. [Google Scholar] [PubMed]
- Ananthakrishnan, A.N.; Long, M.D.; Martin, C.F.; Sandler, R.S.; Kappelman, M.D. Sleep disturbance and risk of active disease in patients with crohn’s disease and ulcerative colitis. Clin. Gastroenterol. Hepatol. 2013, 11, 965–971. [Google Scholar] [CrossRef] [PubMed]
- Gionchetti, P.; Rizzello, F.; Annese, V.; Armuzzi, A.; Biancone, L.; Castiglione, F.; Comberlato, M.; Cottone, M.; Danese, S.; Daperno, M.; et al. Use of corticosteroids and immunosuppressive drugs in inflammatory bowel disease: Clinical practice guidelines of the italian group for the study of inflammatory bowel disease. Dig. Liver Dis. 2017, 49, 604–617. [Google Scholar] [CrossRef] [PubMed]
- Argollo, M.; Fiorino, G.; Hindryckx, P.; Peyrin-Biroulet, L.; Danese, S. Novel therapeutic targets for inflammatory bowel disease. J. Autoimmun. 2017, 85, 103–116. [Google Scholar] [CrossRef] [PubMed]
- Guarner, F.; Khan, A.G.; Garisch, J.; Eliakim, R.; Gangl, A.; Thomson, A.; Krabshuis, J.; Lemair, T.; Kaufmann, P.; de Paula, J.A.; et al. World Gastroenterology Organisation Global Guidelines. J. Clin. Gastroenterol. 2012, 46, 468–481. [Google Scholar] [CrossRef]
- D’Amico, F.; Parigi, T.L.; Fiorino, G.; Peyrin-Biroulet, L.; Danese, S. Tofacitinib in the treatment of ulcerative colitis: Efficacy and safety from clinical trials to real-world experience. Therap. Adv. Gastroenterol. 2019, 12, 1756284819848631. [Google Scholar] [CrossRef]
- Conn, P.M. Sourcebook of Models for Biomedical Research; Humana Press: Totowa, NJ, USA, 2008. [Google Scholar]
- Neurath, M.F. Antibodies to interleukin 12 abrogate established experimental colitis in mice. J. Exp. Med. 1995, 182, 1281–1290. [Google Scholar] [CrossRef]
- Cuzzocrea, S.; Mazzon, E.; Paola, R.; Patel, N.; Genovese, T.; Muia, C.; De Sarro, A.; Thiemermann, C. Erythropoietin reduces the development of experimental inflammatory bowel disease. J. Pharm. Exp. Therapeut. 2004, 311, 1272–1280. [Google Scholar] [CrossRef] [PubMed]
- Goyal, N.; Rana, A.; Ahlawat, A.; Bijjem, K.R.V.; Kumar, P. Animal models of inflammatory bowel disease: A review. Inflammopharmacology 2014, 22, 219–233. [Google Scholar] [CrossRef]
- Rocha, J.; Eduardo-Figueira, M.; Barateiro, A.; Fernandes, A.; Brites, D.; Bronze, R.; Duarte, C.M.M.; Serra, A.T.; Pinto, R.; Freitas, M.; et al. Anti-Inflammatory effect of rosmarinic acid and an extract of Rosmarinus officinalis in rat models of local and systemic inflammation. Basic Clin. Pharmacol. Toxicol. 2015, 116, 398–413. [Google Scholar] [CrossRef]
- Borm, M.E.A.; Bouma, G. Animal models of inflammatory bowel disease. Drug Discov. Today Dis. Models 2004, 1, 437–443. [Google Scholar] [CrossRef]
- Yarur, A.J.; Czul, F.; Levy, C. Hepatobiliary manifestations of inflammatory bowel disease. Inflamm. Bowel Dis. 2014, 20, 1655–1667. [Google Scholar] [CrossRef] [PubMed]
- Zheng, L.; Gao, Z.Q.; Wang, S.X. A chronic ulcerative colitis model in rats. World J. Gastroenterol. 2000, 6, 150–152. [Google Scholar] [CrossRef] [PubMed]
- Bang, B.; Lichtenberger, L.M. Methods of inducing inflammatory bowel disease in mice. Curr. Protoc. Pharmacol. 2016, 72, 5–58. [Google Scholar] [CrossRef]
- Scheiffele, F.; Fuss, I.J. Induction of TNBS colitis in mice. Curr. Protoc. Immunol. 2000, 49, 15–19. [Google Scholar] [CrossRef] [PubMed]
- Union, E. Directive 2010/63/EU of the European parliament and of the Council of 22 September 2010 on the protection of animals used for scientific purposes. Off. J. Eur. Union 2010, 276, 33–77. [Google Scholar]
- Wilhelm, S.M.; Love, B.L. Management of patients with inflammatory bowel disease: Current and future treatments. Clin. Pharm. 2017, 9. [Google Scholar] [CrossRef]
- Morris, G.P.; Beck, P.L.; Herridge, M.S.; Depew, W.T.; Szewczuk, M.R.; Wallace, J.L. Hapten-induced model of chronic inflammation and ulceration in the rat colon. Gastroenterology 1989, 96, 795–803. [Google Scholar] [CrossRef]
- Hirata, I.; Hoshimoto, M.; Saito, O.; Kayazawa, M.; Nishikawa, T.; Murano, M.; Toshina, K.; Wang, F.Y.; Matsuse, R. Usefulness of fecal lactoferrin and hemoglobin in diagnosis of colorectal diseases. World J. Gastroenterol. 2007, 13, 1569–1574. [Google Scholar] [CrossRef]
- Seamons, A.; Treuting, P.M.; Brabb, T.; Maggio-Price, L. Characterization of Dextran Sodium Sulfate-Induced Inflammation and Colonic Tumorigenesis in Smad3−/− Mice with Dysregulated TGFβ. PLoS ONE 2013, 8, e79182. [Google Scholar] [CrossRef]
- Hörkkö, S.; Savolainen, M.J.; Kervinen, K.; Kesäniemi, Y.A. Carbamylation-induced alterations in low-density lipoprotein metabolism. Kidney Int. 1992, 41, 1175–1181. [Google Scholar] [CrossRef]
- Mak, M.J.; Dhawan, A.; Saeed, S.A. Inflammatory Bowel Disease in Children and Adolescents. JAMA Pediatr. 2015, 169, 1053. [Google Scholar]
- de Lange, K.M.; Barrett, J.C. Understanding inflammatory bowel disease via immunogenetics. J. Autoimmun. 2015, 64, 91–100. [Google Scholar] [CrossRef] [PubMed]
- Mak, W.Y.; Zhao, M.; Ng, S.C.; Burisch, J. The epidemiology of inflammatory bowel disease: East meets west. J. Gastroenterol. Hepatol. 2020, 35, 380–389. [Google Scholar] [CrossRef] [PubMed]
- Mateus, V.; Rocha, J.; Alves, P.; Mota-Filipe, H.; Sepodes, B.; Pinto, R.M.A. Anti-Inflammatory Effect of Erythropoietin in the TNBS-induced Colitis. Basic Clin. Pharmacol. Toxicol. 2017, 120, 138–145. [Google Scholar] [CrossRef] [PubMed]
- Hyams, J.S. Extraintestinal Manifestations of Inflammatory Bowel Disease in Children. J. Pediatr. Gastroenterol. Nutr. 1994, 19, 7–21. [Google Scholar] [CrossRef]
- Randhawa, P.K.; Singh, K.; Singh, N.; Jaggi, A.S. A Review on Chemical-Induced Inflammatory Bowel Disease Models in Rodents. Korean J. Physiol. Pharmacol. 2014, 18, 279. [Google Scholar] [CrossRef]
- Sairenji, T.; Collins, K.L.; Evans, D.V. An Update on Inflammatory Bowel Disease. Prim. Care Clin. Off. Pract. 2017, 44, 673–692. [Google Scholar] [CrossRef]
- Mateus, V.; Rocha, J.; Mota-Filipe, H.; Sepodes, B.; Pinto, R. Hemin reduces inflammation associated with TNBS-induced colitis. Clin. Exp. Gastroenterol. 2018, 11, 325–334. [Google Scholar] [CrossRef]
- Direito, R.; Rocha, J.; Lima, A.; Gonçalves, M.M.; Duarte, M.P.; Mateus, V.; Sousa, C.; Fernandes, A.; Pinto, R.; Boavida Ferreira, R.; et al. Reduction of Inflammation and Colon Injury by a Spearmint Phenolic Extract in Experimental Bowel Disease in Mice. Medicines 2019, 6, 65. [Google Scholar] [CrossRef]
- Jaisson, S.; Pietrement, C.; Gillery, P. Carbamylation-derived products: Bioactive compounds and potential biomarkers in chronic renal failure and atherosclerosis. Clin. Chem. 2011, 57, 1499–1505. [Google Scholar] [CrossRef]
- Liang, F.; Guan, H.; Li, W.; Zhang, X.; Liu, T.; Liu, Y.; Mei, J.; Jiang, C.; Zhang, F.; Luo, B.; et al. Erythropoietin promotes infection resolution and lowers antibiotic requirements in e. coli- and s. aureus-initiated infections. Front. Immunol. 2021, 12, 658715. [Google Scholar] [CrossRef]
- Sun, J.; Martin, J.M.; Vanderpoel, V.; Sumbria, R.K.; Sciences, H.; Grove, E. The promises and challenges of erythropoietin for treatment of alzheimer’s disease. Neuromolecular Med. 2020, 21, 12–24. [Google Scholar] [CrossRef]
- Lakhani, C.M.; Benjamin, M.D.; Glen, F.; Rall, M.J.S. Intestinal alkaline phosphatase: A summary of its role in clinical disease. Physiol. Behav. 2017, 176, 139–148. [Google Scholar]
- Friedrich, M.; Pohin, M.; Powrie, F. Cytokine networks in the pathophysiology of inflammatory bowel disease. Immunity 2019, 50, 992–1006. [Google Scholar] [CrossRef] [PubMed]
- El-Zahar, H.; Abd El-Rahman, Z.; El-Naggar, A. Ultrasound, hematological and biochemical analysis in canine with inflammatory bowel disease. Zagazig Vet. J. 2021, 49, 479–491. [Google Scholar] [CrossRef]
- Heilmann, R.M.; Berghoff, N.; Mansell, J.; Grützner, N.; Parnell, N.K.; Gurtner, C.; Suchodolski, J.S.; Steiner, J.M. Association of fecal calprotectin concentrations with disease severity, response to treatment, and other biomarkers in dogs with chronic inflammatory enteropathies. J. Vet. Intern. Med. 2018, 32, 679–692. [Google Scholar] [CrossRef] [PubMed]
- Barendregt, J.; de Jong, M.; Haans, J.J.; van Hoek, B.; Hardwick, J.; Veenendaal, R.; van der Meulen, A.; Srivastava, N.; Stuyt, R.; Maljaars, J. Liver test abnormalities predict complicated disease behaviour in patients with newly diagnosed crohn’s disease. Int. J. Color. Dis. 2017, 32, 459–467. [Google Scholar] [CrossRef][Green Version]
- Andrade, A.; Pinto, S.C.; Oliveira, R.S.D. Animais de Laboratório: Criação e Experimentação; Editora Fiocruz: Rio de Janeiro, Brasil, 2002; pp. 1–388. [Google Scholar]
- Kishimoto, S.; Maruhashi, T.; Kajikawa, M.; Matsui, S.; Hashimoto, H.; Takaeko, Y.; Han, Y.; Kihara, Y.; Chayama, K.; Goto, C.; et al. Hematocrit, hemoglobin and red blood cells are associated with vascular function and vascular structure in men. Sci. Rep. 2020, 10, 11467. [Google Scholar] [CrossRef] [PubMed]
- Panjeta, M.; Tahirovic, I.; Karamehic, J.; Sofic, E.; Ridic, O.; Coric, J. The relation of erythropoietin towards hemoglobin and hematocrit in varying degrees of renal insufficiency. Mater. Socio Medica 2015, 27, 144. [Google Scholar] [CrossRef] [PubMed]
- Prefontaine, A.; Copeman, C.; Huard, L.; Lourdel, D.; Petitclerc, K.; Poitout, F. Reducing blood volume for hematology and clinical chemistry analysis in mice. Toxicologist 2013, 132, Abstract# 762. [Google Scholar]












Disclaimer/Publisher’s Note: The statements, opinions and data contained in all publications are solely those of the individual author(s) and contributor(s) and not of MDPI and/or the editor(s). MDPI and/or the editor(s) disclaim responsibility for any injury to people or property resulting from any ideas, methods, instructions or products referred to in the content. |
© 2023 by the authors. Licensee MDPI, Basel, Switzerland. This article is an open access article distributed under the terms and conditions of the Creative Commons Attribution (CC BY) license (https://creativecommons.org/licenses/by/4.0/).
Share and Cite
Silva, I.; Gomes, M.; Alípio, C.; Vitoriano, J.; Estarreja, J.; Mendes, P.; Pinto, R.; Mateus, V. Effect of Carbamylated Erythropoietin in a Chronic Model of TNBS-Induced Colitis. Biomedicines 2023, 11, 2497. https://doi.org/10.3390/biomedicines11092497
Silva I, Gomes M, Alípio C, Vitoriano J, Estarreja J, Mendes P, Pinto R, Mateus V. Effect of Carbamylated Erythropoietin in a Chronic Model of TNBS-Induced Colitis. Biomedicines. 2023; 11(9):2497. https://doi.org/10.3390/biomedicines11092497
Chicago/Turabian StyleSilva, Inês, Mário Gomes, Carolina Alípio, Jéssica Vitoriano, João Estarreja, Priscila Mendes, Rui Pinto, and Vanessa Mateus. 2023. "Effect of Carbamylated Erythropoietin in a Chronic Model of TNBS-Induced Colitis" Biomedicines 11, no. 9: 2497. https://doi.org/10.3390/biomedicines11092497
APA StyleSilva, I., Gomes, M., Alípio, C., Vitoriano, J., Estarreja, J., Mendes, P., Pinto, R., & Mateus, V. (2023). Effect of Carbamylated Erythropoietin in a Chronic Model of TNBS-Induced Colitis. Biomedicines, 11(9), 2497. https://doi.org/10.3390/biomedicines11092497

