Usefulness of COL11A1 as a Prognostic Marker of Tumor Infiltration
Abstract
1. Introduction
2. Materials and Methods
2.1. Breast Cancer
2.2. Colorectal Cancer
2.3. Bladder Cancer
2.4. Ovarian Cancer
2.5. COL11A1 IHQ Protocol
2.6. Statistics Analysis
3. Results
3.1. Breast Cancer
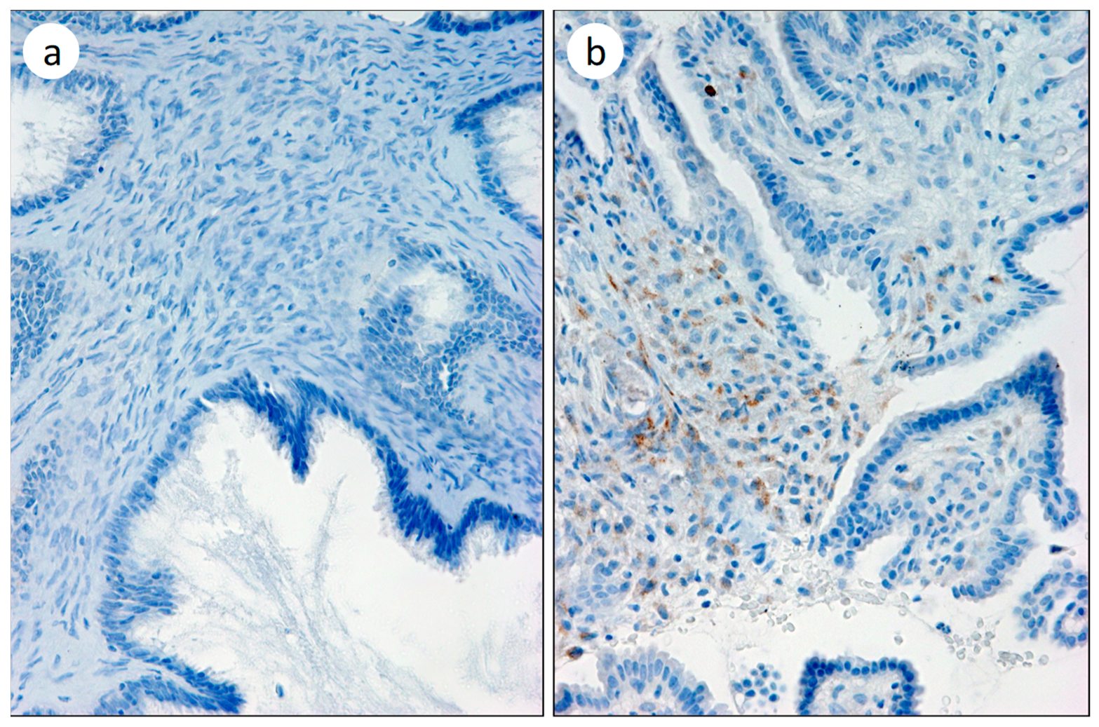
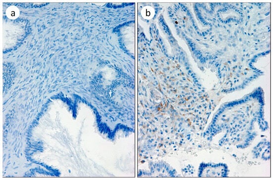
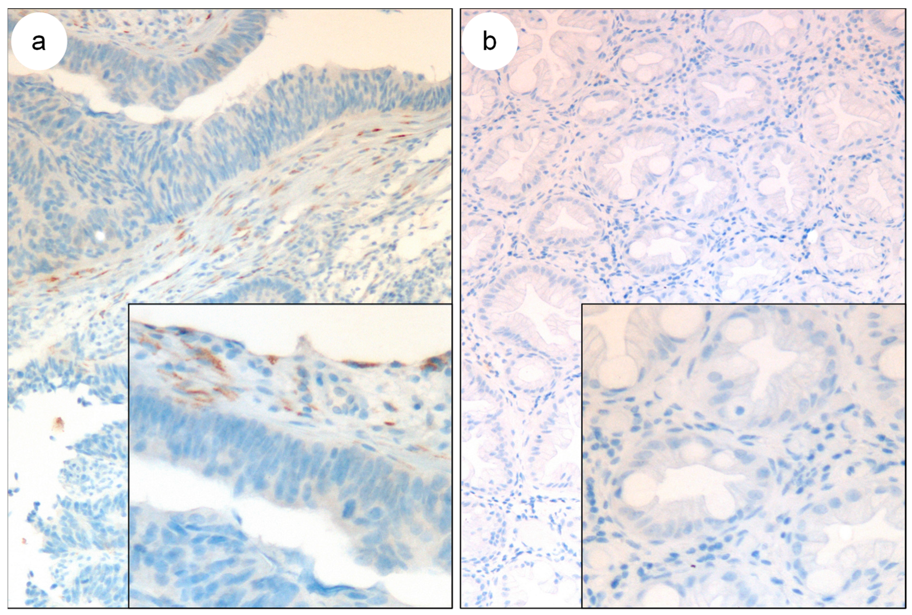
3.2. Colorectal Cancer
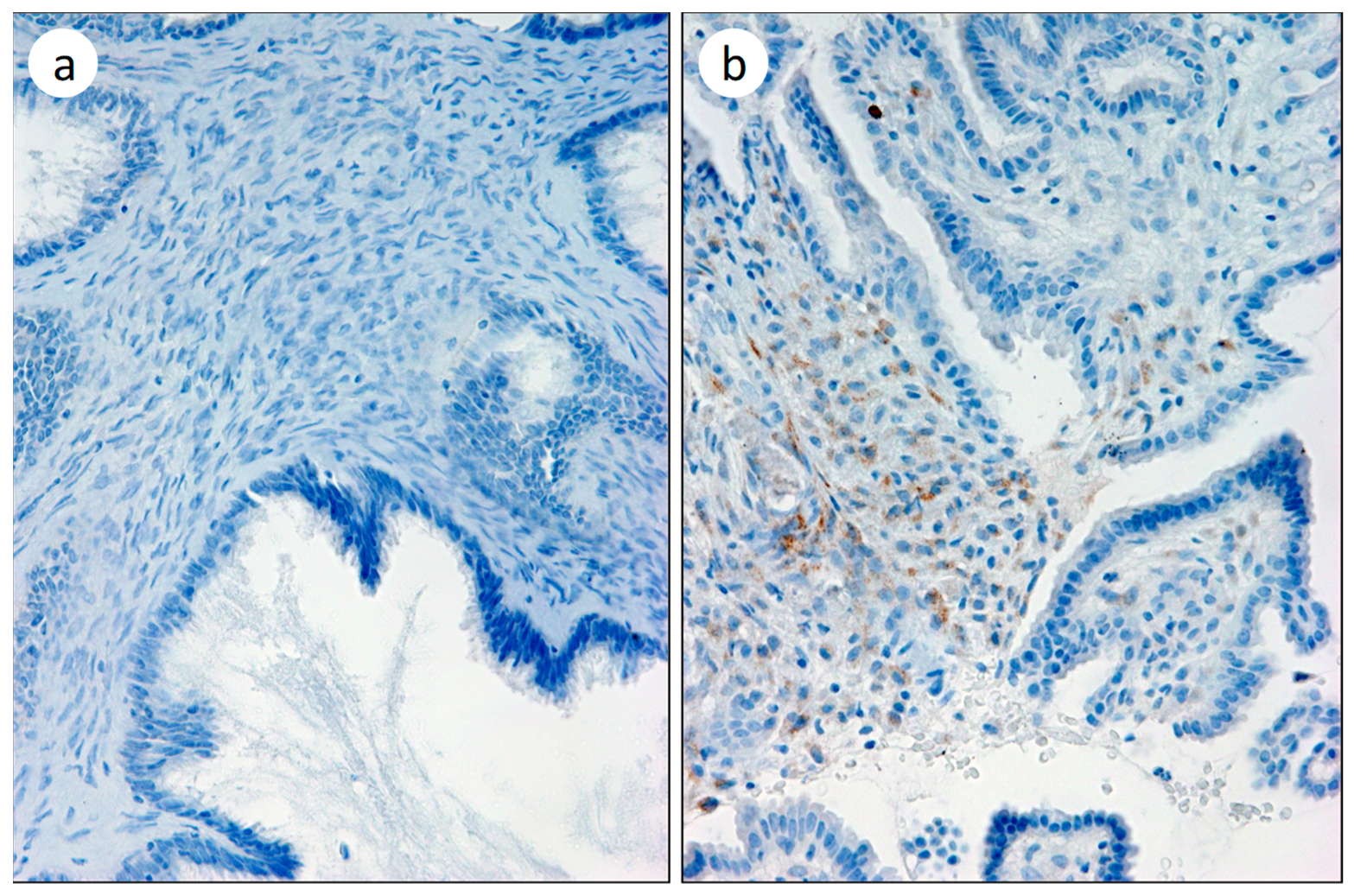
3.3. Bladder Cancer
3.4. Ovarian Cancer
4. Discussion
4.1. Collagen XI Alpha 1 as a Tumor Infiltration Marker
4.2. Breast Cancer
4.3. Colorectal Adenocarcinoma
4.4. Bladder Cancer
4.5. Ovarian Cancer
Author Contributions
Funding
Institutional Review Board Statement
Informed Consent Statement
Data Availability Statement
Conflicts of Interest
References
- Siegel, R.L.; Miller, K.D.; Wagle, N.S.; Jemal, A. Cancer statistics, 2023. CA Cancer J. Clin. 2023, 73, 17–48. [Google Scholar] [CrossRef] [PubMed]
- Bacac, M.; Stamenkovic, I. Metastatic cancer cell. Annu. Rev. Pathol. 2008, 3, 221–247. [Google Scholar] [CrossRef] [PubMed]
- Gupta, G.P.; Massague, J. Cancer metastasis: Building a framework. Cell 2006, 127, 679–695. [Google Scholar] [CrossRef] [PubMed]
- Steeg, P.S. Tumor metastasis: Mechanistic insights and clinical challenges. Nat. Med. 2006, 12, 895–904. [Google Scholar] [CrossRef] [PubMed]
- Guarino, M.; Rubino, B.; Ballabio, G. The role of epithelial-mesenchymal transition in cancer pathology. Pathology 2007, 39, 305–318. [Google Scholar] [CrossRef] [PubMed]
- Insua-Rodriguez, J.; Oskarsson, T. The extracellular matrix in breast cancer. Adv. Drug Deliv. Rev. 2016, 97, 41–55. [Google Scholar] [CrossRef] [PubMed]
- Egeblad, M.; Rasch, M.G.; Weaver, V.M. Dynamic interplay between the collagen scaffold and tumor evolution. Curr. Opin. Cell Biol. 2010, 22, 697–706. [Google Scholar] [CrossRef]
- Lochter, A.; Bissell, M.J. Involvement of extracellular matrix constituents in breast cancer. Semin. Cancer Biol. 1995, 6, 165–173. [Google Scholar] [CrossRef]
- Raglow, Z.; Thomas, S.M. Tumor matrix protein collagen XIalpha1 in cancer. Cancer Lett. 2015, 357, 448–453. [Google Scholar] [CrossRef]
- Vazquez-Villa, F.; Garcia, O.M.; Galvan, J.A.; Garcia, M.J.; Garcia, C.; Rey, C.G.; Toyos, J.R. COL11A1/(pro)collagen 11A1 expression is a remarkable biomarker of human invasive carcinoma-associated stromal cells and carcinoma progression. Tumour Biol. J. Int. Soc. Oncodev. Biol. Med. 2015, 36, 2213–2222. [Google Scholar] [CrossRef]
- Nallanthighal, S.; Heiserman, J.P.; Cheon, D.J. Collagen Type XI Alpha 1 (COL11A1): A Novel Biomarker and a Key Player in Cancer. Cancers 2021, 13, 935. [Google Scholar] [CrossRef] [PubMed]
- Kleman, J.P.; Hartmann, D.J.; Ramirez, F.; van der Rest, M. The human rhabdomyosarcoma cell line A204 lays down a highly insoluble matrix composed mainly of alpha 1 type-XI and alpha 2 type-V collagen chains. Eur. J. Biochem. 1992, 210, 329–335. [Google Scholar] [CrossRef] [PubMed]
- Halsted, K.C.; Bowen, K.B.; Bond, L.; Luman, S.E.; Jorcyck, C.L.; Fyffe, W.E.; Kronz, J.D.; Oxford, J.T. Collagen alpha1(XI) in normal and malignant breast tissue. Mod. Pathol. 2008, 21, 1246–1254. [Google Scholar] [CrossRef] [PubMed][Green Version]
- Garcia-Pravia, C.; Galvan, J.A.; Corral, N.; Garcia, L.; Garcia, E.; Garcia, O.M.; Iribarren, J.; Rodriguez, P.; Garcia, J.; Toyos, J.R.; et al. Overexpression of COL11A1 by cancer-associated fibroblasts: Clinical relevance of a stromal marker in pancreatic cancer. PLoS ONE 2013, 8, e78327. [Google Scholar] [CrossRef] [PubMed]
- Zhao, Y.; Zhou, T.; Li, A.; Yao, H.; He, F.; Wang, L.; Si, J. A potential role of collagens expression in distinguishing between premalignant and malignant lesions in stomach. Anat. Rec. 2009, 292, 692–700. [Google Scholar] [CrossRef] [PubMed]
- Fischer, H.; Salahshor, S.; Stenling, R.; Bjork, J.; Lindmark, G.; Iselius, L.; Rubio, C.; Lindblom, A. COL11A1 in FAP polyps and in sporadic colorectal tumors. BMC Cancer 2001, 1, 17. [Google Scholar] [CrossRef] [PubMed]
- Fischer, H.; Stenling, R.; Rubio, C.; Lindblom, A. Colorectal carcinogenesis is associated with stromal expression of COL11A1 and COL5A2. Carcinogenesis 2001, 22, 875–878. [Google Scholar] [CrossRef] [PubMed]
- Tan, G.F.; Goh, S.; Lim, A.H.; Liu, W.; Lee, J.Y.; Sam, X.X.; Tay, T.K.Y.; Ng, C.C.Y.; Teh, B.T. Bizarre giant cells in human angiosarcoma exhibit chemoresistance and contribute to poor survival outcomes. Cancer Sci. 2021, 112, 397–409. [Google Scholar] [CrossRef]
- Ho, X.D.; Phung, P.; Le, V.; Nguyen, V.; Reimann, E.; Prans, E.; Koks, G.; Maasalu, K.; Le, N.T.; Trinh, L.; et al. Whole transcriptome analysis identifies differentially regulated networks between osteosarcoma and normal bone samples. Exp. Biol. Med. 2017, 242, 1802–1811. [Google Scholar] [CrossRef]
- Vanni, S.; Fausti, V.; Fonzi, E.; Liverani, C.; Miserocchi, G.; Spadazzi, C.; Cocchi, C.; Calabrese, C.; Gurrieri, L.; Riva, N.; et al. Unveiling the Genomic Basis of Chemosensitivity in Sarcomas of the Extremities: An Integrated Approach for an Unmet Clinical Need. Int. J. Mol. Sci. 2023, 24, 6926. [Google Scholar] [CrossRef]
- Freire, J.; Dominguez, S.; Pereda, S.; Juan, A.; Vega, A.; Simon, L.; Gomez, J. Collagen, type XI, alpha 1: An accurate marker for differential diagnosis of breast carcinoma invasiveness in core needle biopsies. Pathol. Res. Pract. 2014, 210, 879–884. [Google Scholar] [CrossRef] [PubMed]
- Kim, H.; Watkinson, J.; Varadan, V.; Anastassiou, D. Multi-cancer computational analysis reveals invasion-associated variant of desmoplastic reaction involving INHBA, THBS2 and COL11A1. BMC Med. Genom. 2010, 3, 51. [Google Scholar] [CrossRef] [PubMed]
- Ellsworth, R.E.; Seebach, J.; Field, L.A.; Heckman, C.; Kane, J.; Hooke, J.A.; Love, B.; Shriver, C.D. A gene expression signature that defines breast cancer metastases. Clin. Exp. Metastasis 2009, 26, 205–213. [Google Scholar] [CrossRef] [PubMed]
- Shen, L.; Min, Y.; Qionghua, L.; Zhongwei, Z.; Biao, Z.; Changhong, M. COL11A1 is overexpressed in recurrent non-small cell lung cancer and promotes cell proliferation, migration, invasion and drug resistance. Oncol. Rep. 2016, 36, 877–885. [Google Scholar] [CrossRef] [PubMed]
- Vargas, A.C.; Reed, A.E.; Waddell, N.; Lane, A.; Reid, L.E.; Smart, C.E.; da Silva, L.; Song, S.; Trench, G.; Simpson, P.T. Gene expression profiling of tumour epithelial and stromal compartments during breast cancer progression. Breast Cancer Res. Treat. 2012, 135, 153–165. [Google Scholar] [CrossRef] [PubMed]
- Garcia-Ocana, M.; Vazquez, F.; Pravia, C.; Martinez, N.; Rodriguez, P.; Forcelledo, F.; Serra, L.; Amo, D.; Buela, L.; Toyos, J.R. Characterization of a novel mouse monoclonal antibody, clone 1E8.33, highly specific for human procollagen 11A1, a tumor-associated stromal component. Int. J. Oncol. 2012, 40, 1447–1454. [Google Scholar] [CrossRef] [PubMed]
- Yoshioka, H.; Greenwel, P.; Inoguchi, K.; Triter, S.; Inagaki, Y.; Ninomiya, Y.; Ramirez, F. Structural and functional analysis of the promoter of the human alpha 1(XI) collagen gene. J. Biol. Chem. 1995, 270, 418–424. [Google Scholar] [CrossRef] [PubMed]
- Bernard, M.; Yoshioka, H.; Rodriguez, E.; der Rest, M.; Kimura, T.; Ninomiya, Y.; Olsen, B.R.; Ramirez, F. Cloning and sequencing of pro-alpha 1 (XI) collagen cDNA demonstrates that type XI belongs to the fibrillar class of collagens and reveals that the expression of the gene is not restricted to cartilagenous tissue. J. Biol. Chem. 1988, 263, 17159–17166. [Google Scholar] [CrossRef]
- Houssami, N.; Ciatto, S.; Ellis, I.; Ambrogetti, D. Underestimation of malignancy of breast core-needle biopsy: Concepts and precise overall and category-specific estimates. Cancer 2007, 109, 487–495. [Google Scholar] [CrossRef]
- Jackman, R.J.; Burbank, F.; Parker, S.H.; Evans, W.P.; Lechner, M.C.; Richardson, T.R.; Smid, A.A.; Lee, C.H.; Goldstein, H.M.; Schilling, K.J. Stereotactic breast biopsy of nonpalpable lesions: Determinants of ductal carcinoma in situ underestimation rates. Radiology 2001, 218, 497–502. [Google Scholar] [CrossRef]
- O’Flynn, E.A.; Morel, J.; Gonzalez, N.; Dutt, D.; Evans, R.; Wasan, M.; Michell, J. Prediction of the presence of invasive disease from the measurement of extent of malignant microcalcification on mammography and ductal carcinoma in situ grade at core biopsy. Clin. Radiol. 2009, 64, 178–183. [Google Scholar] [CrossRef] [PubMed]
- Lakhani, S.R.; Ellis, I.O.; Schnitt, S.J.; Tan, P.H.; van de Vijver, M.J. WHO Classification of Tumours of the Breast; Lakhani, S.R., Ed.; IARC Press: Lyon, France, 2012; pp. 95–97. [Google Scholar]
- Raymond, W.A.; Leong, A.S. Assessment of invasion in breast lesions using antibodies to basement membrane components and myoepithelial cells. Pathology 1991, 23, 291–297. [Google Scholar] [CrossRef] [PubMed]
- Willebrand, D.; Bosman, F.T.; de Goeij, A.F. Patterns of basement membrane deposition in benign and malignant breast tumours. Histopathology 1986, 10, 1231–1241. [Google Scholar] [CrossRef] [PubMed]
- Dwarakanath, S.; Lee, A.K.; Delellis, R.A.; Silverman, M.L.; Frasca, L.; Wolfe, H.J. S-100 protein positivity in breast carcinomas: A potential pitfall in diagnostic immunohistochemistry. Hum. Pathol. 1987, 18, 1144–1148. [Google Scholar] [CrossRef] [PubMed]
- Gottlieb, C.; Raju, U.; Greenwald, K.A. Myoepithelial cells in the differential diagnosis of complex benign and malignant breast lesions: An immunohistochemical study. Mod. Pathol. 1990, 3, 135–140. [Google Scholar] [PubMed]
- Frid, M.G.; Shekhonin, B.V.; Koteliansky, V.E.; Glukhova, M.A. Phenotypic changes of human smooth muscle cells during development: Late expression of heavy caldesmon and calponin. Dev. Biol. 1992, 153, 185–193. [Google Scholar] [CrossRef] [PubMed]
- Brennan, M.E.; Turner, R.M.; Ciatto, S.; Marinovich, M.L.; French, J.R.; Macaskill, P.; Houssami, N. Ductal carcinoma in situ at core-needle biopsy: Meta-analysis of underestimation and predictors of invasive breast cancer. Radiology 2011, 260, 119–128. [Google Scholar] [CrossRef] [PubMed]
- Ciatto, S.; Houssami, N.; Ambrogetti, D.; Bianchi, S.; Bonardi, R.; Brancato, B.; Catarzi, S.; Risso, G.G. Accuracy and underestimation of malignancy of breast core needle biopsy: The Florence experience of over 4000 consecutive biopsies. Breast Cancer Res. Treat. 2007, 101, 291–297. [Google Scholar] [CrossRef]
- Gondal, G.; Grotmol, T.; Hofstad, B.; Bretthauer, M.; Eide, T.J.; Hoff, G. Biopsy of colorectal polyps is not adequate for grading of neoplasia. Endoscopy 2005, 37, 1193–1197. [Google Scholar] [CrossRef]
- Rex, D.K.; Johnson, D.A.; Anderson, J.C.; Burke, C.A.; Inadomi, J.M. American College of Gastroenterology guidelines for colorectal cancer screening 2009. Am. J. Gastroenterol. 2009, 104, 739–750. [Google Scholar] [CrossRef]
- Brabletz, T.; Spaderna, S.; Kolb, J.; Hlubeck, F.; Faller, G.; Bruns, C.J.; Jung, A.; Duluc, I.; Domon-Dell, C.; Kirchner, T. Down-regulation of the homeodomain factor Cdx2 in colorectal cancer by collagen type I: An active role for the tumor environment in malignant tumor progression. Cancer Res. 2004, 64, 6973–6977. [Google Scholar] [CrossRef] [PubMed]
- Galvan, J.A.; Garcia, M.J.; Vasquez, V.J.F.; Garcia, O.M.; Garcia, P.; Menendez, R.; Gonzalez, R.; Barneo, S.; Gonzalez, T. Validation of COL11A1/procollagen 11A1 expression in TGF-beta1-activated immortalised human mesenchymal cells and in stromal cells of human colon adenocarcinoma. BMC Cancer 2014, 14, 867. [Google Scholar] [CrossRef] [PubMed]
- Kirkland, S.C. Type I collagen inhibits differentiation and promotes a stem cell-like phenotype in human colorectal carcinoma cells. Br. J. Cancer 2009, 101, 320–326. [Google Scholar] [CrossRef] [PubMed]
- Burt, R.; Jass, J.R. World Health Organization Classification of Tumours: Pathology and Genetics of Tumours of the Digestive System; Hamilton, S.R., Aaltonen, L.A., Eds.; IARC Press: Lyon, France, 2000; pp. 125–137. [Google Scholar]
- Haque, T.; Greene, K.G.; Crockett, S.D. Serrated neoplasia of the colon: What do we really know? Curr. Gastroenterol. Rep. 2014, 16, 380. [Google Scholar] [CrossRef] [PubMed]
- Drew, J.E.; Mayer, C.D.; Vase, H.F.; Coates, P.J.; Steele, R.J.; Carey, F.A. Predictive gene signatures: Molecular markers distinguishing colon adenomatous polyp and carcinoma. PLoS ONE 2014, 9, e113071. [Google Scholar] [CrossRef]
- Eble, J.N.; Sauter, G.; Epstein, J.I.; Sesterhenn, I.A. World Health Organization Classification of Tumors. Pathology and Genetics of Tumors of the Urinary System; Organs, M.G., Ed.; IARC Press: Lyon, France, 2004. [Google Scholar]
- Miyamoto, H.; Sharma, R.B.; Illei, P.B.; Epstein, J.I. Pitfalls in the use of smoothelin to identify muscularis propria invasion by urothelial carcinoma. Am. J. Surg. Pathol. 2010, 34, 418–422. [Google Scholar] [CrossRef] [PubMed]
- Paner, G.P.; Ro, J.Y.; Datta, M.W.; Amin, M.B. Further characterization of the muscle layers and lamina propria of the urinary bladder by systematic histologic mapping: Implications for pathologic staging of invasive urothelial carcinoma. Am. J. Surg. Pathol. 2007, 31, 1420–1429. [Google Scholar] [CrossRef]
- Vakar-Lopez, F.; Shen, S.S.; Zhang, S.; Tamboli, P.; Ayala, A.G.; Ro, J.Y. Muscularis mucosae of the urinary bladder revisited with emphasis on its hyperplastic patterns: A study of a large series of cystectomy specimens. Ann. Diagn. Pathol. 2007, 11, 395–401. [Google Scholar] [CrossRef]
- Jimenez, R.E.; Keane, T.E.; Hardy, H.T.; Amin, M.B. pT1 urothelial carcinoma of the bladder: Criteria for diagnosis, pitfalls, and clinical implications. Adv. Anat. Pathol. 2000, 7, 13–25. [Google Scholar] [CrossRef]
- Kramer, J.; Thiel, C.; Gross, C.M.; Dietz, R.; Cardoso, M.C.; Leonhardt, H. A novel isoform of the smooth muscle cell differentiation marker smoothelin. J. Mol. Med. 1999, 77, 294–298. [Google Scholar] [CrossRef]
- Paner, G.P.; Brown, J.G.; Lapetino, S.; Nese, N.; Gupta, R.; Shen, S.S.; Hansel, D.E.; Amin, M.B. Diagnostic use of antibody to smoothelin in the recognition of muscularis propria in transurethral resection of urinary bladder tumor (TURBT) specimens. Am. J. Surg. Pathol. 2010, 34, 792–799. [Google Scholar] [CrossRef] [PubMed]
- Paner, G.P.; Shen, S.S.; Lapetino, S.; Narkan, G.A.; Quek, M.L.; Ro, J.Y.; Amin, M.B. Diagnostic utility of antibody to smoothelin in the distinction of muscularis propria from muscularis mucosae of the urinary bladder: A potential ancillary tool in the pathologic staging of invasive urothelial carcinoma. Am. J. Surg. Pathol. 2009, 33, 91–98. [Google Scholar] [CrossRef] [PubMed]
- Xu, F.; Tang, Q.; Wang, Y.; Wang, G.; Qian, K.; Ju, L.; Xiao, Y. Development and Validation of a Six-Gene Prognostic Signature for Bladder Cancer. Front. Genet. 2021, 12, 758612. [Google Scholar] [CrossRef]
- Zhang, J.; Lu, S.; Lu, T.; Han, D.; Zhang, K.; Gan, L.; Wu, X.; Li, Y.; Zhao, X.; Li, Z.; et al. Single-cell analysis reveals the COL11A1(+) fibroblasts are cancer-specific fibroblasts that promote tumor progression. Front. Pharmacol. 2023, 14, 1121586. [Google Scholar] [CrossRef] [PubMed]
- Ewald, J.A.; Downs, T.M.; Cetnar, J.P.; Ricke, W.A. Expression microarray meta-analysis identifies genes associated with Ras/MAPK and related pathways in progression of muscle-invasive bladder transition cell carcinoma. PLoS ONE 2013, 8, e55414. [Google Scholar] [CrossRef]
- Seong, S.J.; da Kim, H.; Kim, M.K.; Song, T. Controversies in borderline ovarian tumors. J. Gynecol. Oncol. 2015, 26, 343–349. [Google Scholar] [CrossRef] [PubMed]
- Trope, C.; Davidson, B.; Paulsen, T.; Abeler, V.M.; Kaern, J. Diagnosis and treatment of borderline ovarian neoplasms “the state of the art”. Eur. J. Gynaecol. Oncol. 2009, 30, 471–482. [Google Scholar]
- Guida, M.; Pellicano, M.; Morgera, R.; Tommaselli, G.A.; Savarese, F.; Mele, A.; Nappi, C. Underestimation of ovarian pathology. Clinical aspects and medico-legal considerations. Minerva Ginecol. 1998, 50, 43–49. [Google Scholar]
- Guida, M.; Pellicano, M.; Tommaselli, G.A.; Morgera, E.; Didonato, S.; Napolitano, V. Underestimation of ovarian pathology: A review. J. Chemother. 1997, 9, 135–137. [Google Scholar] [CrossRef]
- Burger, C.W.; Prinssen, H.M.; Baak, J.P.; Wagenaar, N.; Kenemans, P. The management of borderline epithelial tumors of the ovary. Int. J. Gynecol. Cancer 2000, 10, 181–197. [Google Scholar] [CrossRef]
- Tempfer, C.B.; Polterauer, S.; Bentz, E.K.; Reinthaller, A.; Hefler, L.A. Accuracy of intraoperative frozen section analysis in borderline tumors of the ovary: A retrospective analysis of 96 cases and review of the literature. Gynecol. Oncol. 2007, 107, 248–252. [Google Scholar] [CrossRef] [PubMed]
- De Losada, P.D.J. Tumores Ováricos Borderline (de Bajo Potencial de Malignidad). Rev. Esp. Patol. 2007, 40, 201–216. [Google Scholar] [CrossRef]
- Cabral, V.D.; Cerski, M.R.; Sa Brito, I.T.; Kliemann, L.M. p14 expression differences in ovarian benign, borderline and malignant epithelial tumors. J. Ovarian Res. 2016, 9, 69. [Google Scholar] [CrossRef] [PubMed]
- Browne, A.; Sriraksa, R.; Guney, T.; Rama, N.; Van Noorden, S.; Curry, E.; Gabra, H.; Stronach, E.; El-Bahrawy, M. Differential expression of IL-8 and IL-8 receptors in benign, borderline and malignant ovarian epithelial tumours. Cytokine 2013, 64, 413–421. [Google Scholar] [CrossRef]
- Curry, E.W.; Stronach, E.A.; Rama, N.R.; Wang, Y.Y.; Gabra, H.; El-Bahrawy, M.A. Molecular subtypes of serous borderline ovarian tumor show distinct expression patterns of benign tumor and malignant tumor-associated signatures. Mod. Pathol. 2014, 27, 433–442. [Google Scholar] [CrossRef] [PubMed]
- Wu, Y.H.; Chang, T.H.; Huang, Y.F.; Huang, H.D.; Chou, C.Y. COL11A1 promotes tumor progression and predicts poor clinical outcome in ovarian cancer. Oncogene 2014, 33, 3432–3440. [Google Scholar] [CrossRef] [PubMed]
- Cheon, D.J.; Tong, Y.; Sim, M.S.; Dering, J.; Berel, D.; Cui, X.; Lester, J.; Beach, J.A.; Walts, A.E.; Karlan, B.Y. A collagen-remodeling gene signature regulated by TGF-beta signaling is associated with metastasis and poor survival in serous ovarian cancer. Clin. Cancer Res. 2014, 20, 711–723. [Google Scholar] [CrossRef]
- Teng, P.N.; Wang, G.; Hood, B.L.; Conrads, K.A.; Hamilton, C.A.; Maxwell, G.L.; Darcy, K.M.; Conrads, T.P. Identification of candidate circulating cisplatin-resistant biomarkers from epithelial ovarian carcinoma cell secretomes. Br. J. Cancer 2014, 110, 123–132. [Google Scholar] [CrossRef]





| Infiltrative | Noninfiltrative | |||||
|---|---|---|---|---|---|---|
| Positive COL11A1 IHQ | Negative COL11A1 IHQ | Positive COL11A1 IHQ | Negative COL11A1 IHQ | Sensitivity | Specificity | |
| Breast | 118 | 8 | 5 | 110 | 0.94 | 0.96 |
| Colorectal | 37 | 6 | 0 | 31 | 0.86 | 1.00 |
| Bladder | 10 | 1 | 1 | 31 | 0.91 | 0.97 |
| Ovarian | 17 | 10 | 0 | 10 | 0.63 | 1.00 |
| Overall | 182 | 25 | 6 | 182 | 0.88 | 0.97 |
Disclaimer/Publisher’s Note: The statements, opinions and data contained in all publications are solely those of the individual author(s) and contributor(s) and not of MDPI and/or the editor(s). MDPI and/or the editor(s) disclaim responsibility for any injury to people or property resulting from any ideas, methods, instructions or products referred to in the content. |
© 2023 by the authors. Licensee MDPI, Basel, Switzerland. This article is an open access article distributed under the terms and conditions of the Creative Commons Attribution (CC BY) license (https://creativecommons.org/licenses/by/4.0/).
Share and Cite
Freire, J.; García-Berbel, P.; Caramelo, B.; García-Berbel, L.; Ovejero, V.J.; Cadenas, N.; Azueta, A.; Gómez-Román, J. Usefulness of COL11A1 as a Prognostic Marker of Tumor Infiltration. Biomedicines 2023, 11, 2496. https://doi.org/10.3390/biomedicines11092496
Freire J, García-Berbel P, Caramelo B, García-Berbel L, Ovejero VJ, Cadenas N, Azueta A, Gómez-Román J. Usefulness of COL11A1 as a Prognostic Marker of Tumor Infiltration. Biomedicines. 2023; 11(9):2496. https://doi.org/10.3390/biomedicines11092496
Chicago/Turabian StyleFreire, Javier, Pilar García-Berbel, Belén Caramelo, Lucía García-Berbel, Victor J. Ovejero, Nuria Cadenas, Ainara Azueta, and Javier Gómez-Román. 2023. "Usefulness of COL11A1 as a Prognostic Marker of Tumor Infiltration" Biomedicines 11, no. 9: 2496. https://doi.org/10.3390/biomedicines11092496
APA StyleFreire, J., García-Berbel, P., Caramelo, B., García-Berbel, L., Ovejero, V. J., Cadenas, N., Azueta, A., & Gómez-Román, J. (2023). Usefulness of COL11A1 as a Prognostic Marker of Tumor Infiltration. Biomedicines, 11(9), 2496. https://doi.org/10.3390/biomedicines11092496

