The Role of Extracellular Signal-Regulated Kinase Pathways in Different Models of Cardiac Hypertrophy in Rats
Abstract
:1. Introduction
2. Materials and Methods
2.1. Animal Models and Study Design
2.2. Echocardiography
2.3. Blood Analysis
2.4. Euthanasia
2.5. Histology
2.5.1. Light Microscopy
2.5.2. Scanning Electron Microscopy
2.6. Protein Expression Analysis
2.7. Statistical Analysis
3. Results
3.1. Development of Anemia
3.2. Echocardiographic Parameters in the Two Models
3.3. Histological Results
3.4. Scanning Electron Microscopy
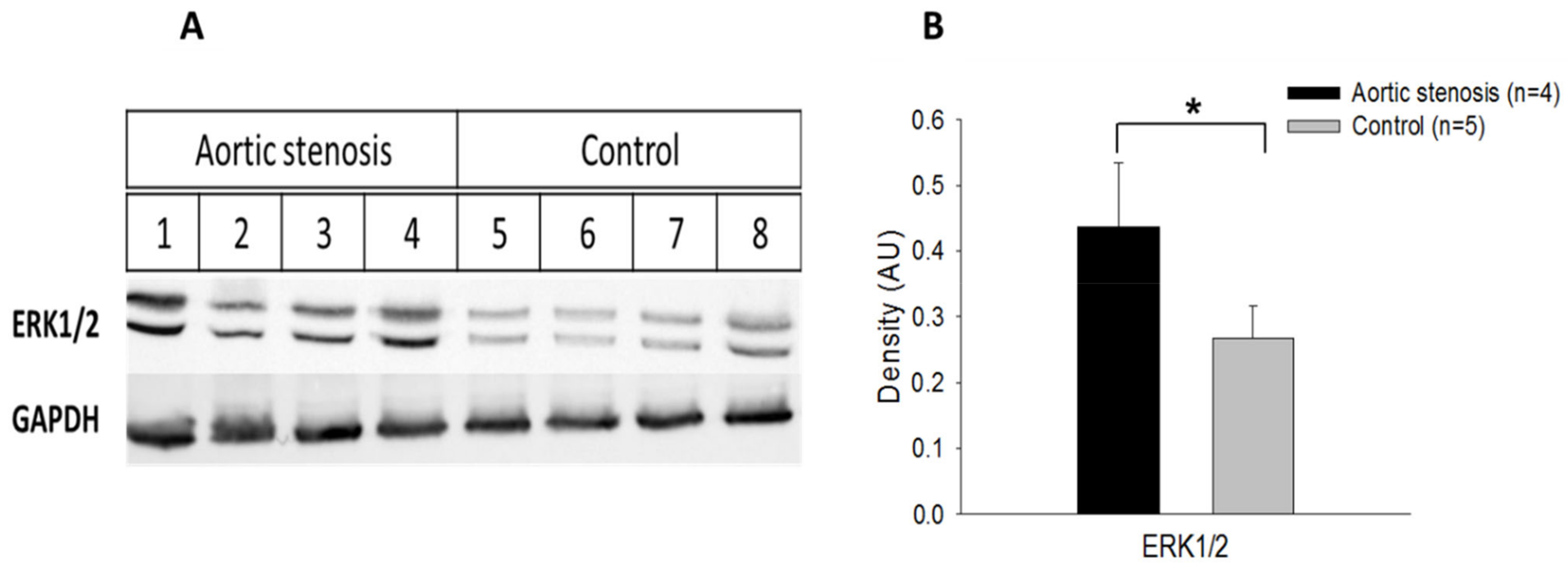
3.5. Biochemical Analysis
4. Discussion
4.1. Implications and Future Directions
4.2. Strength and Limitations
5. Conclusions
Author Contributions
Funding
Institutional Review Board Statement
Informed Consent Statement
Data Availability Statement
Conflicts of Interest
References
- Gibb, A.A.; Hill, B.G. Metabolic Coordination of Physiological and Pathological Cardiac Remodeling. Circ. Res. 2018, 123, 107–128. [Google Scholar] [CrossRef] [PubMed]
- Nakamura, M.; Sadoshima, J. Mechanisms of physiological and pathological cardiac hypertrophy. Nat. Rev. Cardiol. 2018, 15, 387–407. [Google Scholar] [CrossRef] [PubMed]
- Dorn, G.W., 2nd. The fuzzy logic of physiological cardiac hypertrophy. Hypertension 2007, 49, 962–970. [Google Scholar] [CrossRef]
- McMullen, J.R.; Jennings, G.L. Differences between pathological and physiological cardiac hypertrophy: Novel therapeutic strategies to treat heart failure. Clin. Exp. Pharmacol. Physiol. 2007, 34, 255–262. [Google Scholar] [CrossRef] [PubMed]
- Gaasch, W.H.; Zile, M.R. Left ventricular structural remodeling in health and disease: With special emphasis on volume, mass, and geometry. J. Am. Coll. Cardiol. 2011, 58, 1733–1740. [Google Scholar] [CrossRef]
- Hill, J.A.; Olson, E.N. Cardiac plasticity. N. Engl. J. Med. 2008, 358, 1370–1380. [Google Scholar] [CrossRef]
- Frey, N.; Katus, H.A.; Olson, E.N.; Hill, J.A. Hypertrophy of the heart: A new therapeutic target? Circulation 2004, 109, 1580–1589. [Google Scholar] [CrossRef]
- Gallo, S.; Vitacolonna, A.; Bonzano, A.; Comoglio, P.; Crepaldi, T. ERK: A Key Player in the Pathophysiology of Cardiac Hypertrophy. Int. J. Mol. Sci. 2019, 20, 2164. [Google Scholar] [CrossRef]
- Lemmon, M.A.; Schlessinger, J. Cell signaling by receptor tyrosine kinases. Cell 2010, 141, 1117–1134. [Google Scholar] [CrossRef]
- Widmann, C.; Gibson, S.; Jarpe, M.B.; Johnson, G.L. Mitogen-activated protein kinase: Conservation of a three-kinase module from yeast to human. Physiol. Rev. 1999, 79, 143–180. [Google Scholar] [CrossRef]
- Guo, Y.J.; Pan, W.W.; Liu, S.B.; Shen, Z.F.; Xu, Y.; Hu, L.L. ERK/MAPK signalling pathway and tumorigenesis. Exp. Ther. Med. 2020, 19, 1997–2007. [Google Scholar] [CrossRef]
- Eblen, S.T. Extracellular-Regulated Kinases: Signaling from Ras to ERK Substrates to Control Biological Outcomes. Adv. Cancer Res. 2018, 138, 99–142. [Google Scholar]
- Sabio, G.; Davis, R.J. TNF and MAP kinase signalling pathways. Semin. Immunol. 2014, 26, 237–245. [Google Scholar] [CrossRef]
- Johnson, G.L.; Lapadat, R. Mitogen-activated protein kinase pathways mediated by ERK, JNK, and p38 protein kinases. Science 2002, 298, 1911–1912. [Google Scholar] [CrossRef] [PubMed]
- Kehat, I.; Molkentin, J.D. Molecular pathways underlying cardiac remodeling during pathophysiological stimulation. Circulation 2010, 122, 2727–2735. [Google Scholar] [CrossRef] [PubMed]
- Gerits, N.; Kostenko, S.; Moens, U. In vivo functions of mitogen-activated protein kinases: Conclusions from knock-in and knock-out mice. Transgenic Res. 2007, 16, 281–314. [Google Scholar] [CrossRef]
- Bueno, O.F.; De Windt, L.J.; Tymitz, K.M.; Witt, S.A.; Kimball, T.R.; Klevitsky, R.; Hewett, T.E.; Jones, S.P.; Lefer, D.J.; Peng, C.F.; et al. The MEK1-ERK1/2 signaling pathway promotes compensated cardiac hypertrophy in transgenic mice. EMBO J. 2000, 19, 6341–6350. [Google Scholar] [CrossRef]
- Mutlak, M.; Schlesinger-Laufer, M.; Haas, T.; Shofti, R.; Ballan, N.; Lewis, Y.E.; Zuler, M.; Zohar, Y.; Caspi, L.H.; Kehat, I. Extracellular signal-regulated kinase (ERK) activation preserves cardiac function in pressure overload induced hypertrophy. Int. J. Cardiol. 2018, 270, 204–213. [Google Scholar] [CrossRef] [PubMed]
- Gerdes, A.M. Cardiac myocyte remodeling in hypertrophy and progression to failure. J. Card. Fail. 2002, 8 (Suppl. S6), S264–S268. [Google Scholar] [CrossRef]
- Drazner, M.H. The transition from hypertrophy to failure: How certain are we? Circulation 2005, 112, 936–938. [Google Scholar] [CrossRef]
- Kehat, I.; Davis, J.; Tiburcy, M.; Accornero, F.; Saba-El-Leil, M.K.; Maillet, M.; York, A.J.; Lorenz, J.N.; Zimmermann, W.H.; Meloche, S.; et al. Extracellular signal-regulated kinases 1 and 2 regulate the balance between eccentric and concentric cardiac growth. Circ. Res. 2011, 108, 176–183. [Google Scholar] [CrossRef] [PubMed]
- Selvetella, G.; Hirsch, E.; Notte, A.; Tarone, G.; Lembo, G. Adaptive and maladaptive hypertrophic pathways: Points of convergence and divergence. Cardiovasc. Res. 2004, 63, 373–380. [Google Scholar] [CrossRef] [PubMed]
- Li, X.M.; Ma, Y.T.; Yang, Y.N.; Liu, F.; Chen, B.D.; Han, W.; Zhang, J.F.; Gao, X.M. Downregulation of survival signalling pathways and increased apoptosis in the transition of pressure overload-induced cardiac hypertrophy to heart failure. Clin. Exp. Pharmacol. Physiol. 2009, 36, 1054–1061. [Google Scholar] [CrossRef]
- Wang, Y.; Su, B.; Sah, V.P.; Brown, J.H.; Han, J.; Chien, K.R. Cardiac hypertrophy induced by mitogen-activated protein kinase kinase 7, a specific activator for c-Jun NH2-terminal kinase in ventricular muscle cells. J. Biol. Chem. 1998, 273, 5423–5426. [Google Scholar] [CrossRef] [PubMed]
- Gjesdal, O.; Bluemke, D.A.; Lima, J.A. Cardiac remodeling at the population level–risk factors, screening, and outcomes. Nat. Rev. Cardiol. 2011, 8, 673–685. [Google Scholar] [CrossRef]
- Toischer, K.; Rokita, A.G.; Unsöld, B.; Zhu, W.; Kararigas, G.; Sossalla, S.; Reuter, S.P.; Becker, A.; Teucher, N.; Seidler, T.; et al. Differential cardiac remodeling in preload versus afterload. Circulation 2010, 122, 993–1003. [Google Scholar] [CrossRef] [PubMed]
- Hartmann, N.; Preuß, L.; Mohamed, B.A.; Schnelle, M.; Renner, A.; Hasenfuß, G.; Toischer, K. Different activation of MAPKs and AKT/GSK3β after preload vs. afterload elevation. ESC Heart Fail 2022, 9, 1823–1831. [Google Scholar] [CrossRef]
- Romorini, L.; Garate, X.; Neiman, G.; Luzzani, C.; Furmento, V.A.; Guberman, A.S.; Sevlever, G.E.; Scassa, M.E.; Miriuka, S.G. AKT/GSK3β signaling pathway is critically involved in human pluripotent stem cell survival. Sci. Rep. 2016, 6, 35660. [Google Scholar] [CrossRef]
- Sala, V.; Gallo, S.; Gatti, S.; Medico, E.; Vigna, E.; Cantarella, D.; Fontani, L.; Natale, M.; Cimino, J.; Morello, M.; et al. Cardiac concentric hypertrophy promoted by activated Met receptor is mitigated in vivo by inhibition of Erk1,2 signalling with Pimasertib. J. Mol. Cell Cardiol. 2016, 93, 84–97. [Google Scholar] [CrossRef]













| Anemia | Control | p-Value | |
|---|---|---|---|
| n | 9 | 9 | |
| LVDD (mm) | 7.2 ± 0.2 | 6.4 ± 0.3 | <0.001 |
| LV muscle CSA (mm2) | 90 ± 13.2 | 75 ± 10.9 | 0.03 |
| LV cavity CSA (mm2) | 47 ± 8.1 | 59.9 ± 5.1 | 0.002 |
| Septal thickness (mm) | 2.1 ± 0.3 | 2.5 ± 0.2 | <0.05 |
| EF (%) | 52.6 ± 4.7 | 60.3 ± 2.8 | <0.05 |
| AS | Control | p-Value | |
|---|---|---|---|
| n | 9 | 6 | |
| LVDD (mm) | 5.8 ± 0.4 | <0.05 | 6.1 ± 0.1 |
| Total cardiac muscle CSA (mm2) | 93.4 ± 13.8 | 73.8 ± 6.8 | <0.001 |
| LV muscle CSA (mm2) | 79.5 ± 9.33 | 57.9 ± 5.0 | <0.001 |
| Septal thickness (mm) | 2.8 ± 0.6 | 2.4 ± 0.1 | <0.05 |
| HW/BW (mg/g) | 3.48 ± 0.4 | 2.48 ± 0.8 | <0.001 |
| EF (%) | 70.3 ± 2.8 | 60.0 ± 2.1 | <0.05 |
Disclaimer/Publisher’s Note: The statements, opinions and data contained in all publications are solely those of the individual author(s) and contributor(s) and not of MDPI and/or the editor(s). MDPI and/or the editor(s) disclaim responsibility for any injury to people or property resulting from any ideas, methods, instructions or products referred to in the content. |
© 2023 by the authors. Licensee MDPI, Basel, Switzerland. This article is an open access article distributed under the terms and conditions of the Creative Commons Attribution (CC BY) license (https://creativecommons.org/licenses/by/4.0/).
Share and Cite
Moady, G.; Ertracht, O.; Shuster-Biton, E.; Daud, E.; Atar, S. The Role of Extracellular Signal-Regulated Kinase Pathways in Different Models of Cardiac Hypertrophy in Rats. Biomedicines 2023, 11, 2337. https://doi.org/10.3390/biomedicines11092337
Moady G, Ertracht O, Shuster-Biton E, Daud E, Atar S. The Role of Extracellular Signal-Regulated Kinase Pathways in Different Models of Cardiac Hypertrophy in Rats. Biomedicines. 2023; 11(9):2337. https://doi.org/10.3390/biomedicines11092337
Chicago/Turabian StyleMoady, Gassan, Offir Ertracht, Efrat Shuster-Biton, Elias Daud, and Shaul Atar. 2023. "The Role of Extracellular Signal-Regulated Kinase Pathways in Different Models of Cardiac Hypertrophy in Rats" Biomedicines 11, no. 9: 2337. https://doi.org/10.3390/biomedicines11092337
APA StyleMoady, G., Ertracht, O., Shuster-Biton, E., Daud, E., & Atar, S. (2023). The Role of Extracellular Signal-Regulated Kinase Pathways in Different Models of Cardiac Hypertrophy in Rats. Biomedicines, 11(9), 2337. https://doi.org/10.3390/biomedicines11092337

