Thrombosis in Multisystem Inflammatory Syndrome Associated with COVID-19 in Children: Retrospective Cohort Study Analysis and Review of the Literature
Abstract
1. Introduction
2. Methods
2.1. Study Design
2.2. Epidemiological Data
2.3. Diagnostics for SARS-CoV-2 Infection
2.4. Evaluated Parameters and Their Outcomes
2.5. Statistical Analysis
3. Results
3.1. Analysis of Predictors of Thrombotic Events
3.2. Course of Disease Characteristics of Patients with Thrombotic Events
3.3. Clinical Manifestations
3.4. Laboratory Data
3.5. General Characteristics of Patients with Thrombotic Events
3.6. Venous Thromboses
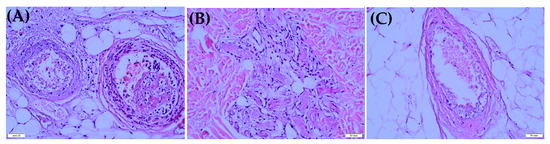
3.7. Arterial Thromboses
3.8. Treatment
3.9. Outcomes
4. Discussion
5. Research Limitations
6. Conclusions
Author Contributions
Funding
Institutional Review Board Statement
Informed Consent Statement
Data Availability Statement
Conflicts of Interest
References
- McFadyen, J.D.; Stevens, H.; Peter, K. The Emerging Threat of (Micro)Thrombosis in COVID-19 and Its Therapeutic Implications. Circ. Res. 2020, 127, 571–587. [Google Scholar] [CrossRef]
- Ranucci, M.; Ballotta, A.; Di Dedda, U.; Baryshnikova, E.; Dei Poli, M.; Resta, M.; Falco, M.; Albano, G.; Menicanti, L. The procoagulant pattern of patients with COVID-19 acute respiratory distress syndrome. J. Thromb. Haemost. 2020, 18, 1747–1751. [Google Scholar] [CrossRef]
- Pegoraro, F.; Lasagni, D.; Trapani, S.; Mastrolia, M.V.; Simonini, G.; Indolfi, G.; Resti, M. Anticoagulation and Thrombotic Events in the Multisystem Inflammatory Syndrome in Children: Experience of a Single-center Cohort and Review of the Literature. J. Pediatr. Hematol. Oncol. 2023, 45, 256–261. [Google Scholar] [CrossRef]
- Alomair, B.M.; Al-Kuraishy, H.M.; Al-Gareeb, A.I.; Al-Buhadily, A.K.; Alexiou, A.; Papadakis, M.; Alshammari, M.A.; Saad, H.M.; Batiha, G.E. Mixed storm in SARS-CoV-2 infection: A narrative review and new term in the COVID-19 era. Immun. Inflamm. Dis. 2023, 11, e838. [Google Scholar] [CrossRef] [PubMed]
- Lodigiani, C.; Iapichino, G.; Carenzo, L.; Cecconi, M.; Ferrazzi, P.; Sebastian, T.; Kucher, N.; Studt, J.D.; Sacco, C.; Bertuzzi, A.; et al. Venous and arterial thromboembolic complications in COVID-19 patients admitted to an academic hospital in Milan, Italy. Thromb. Res. 2020, 191, 9–14. [Google Scholar] [CrossRef]
- Borulu, F.; Erkut, B.; Unlu, Y. SARS-CoV-2 infection-associated thoraco-abdomino-iliac thrombosis in a patient without cardiac and systemic co-morbidity. Cardiovasc. J. Afr. 2023, 34, 114–116. [Google Scholar] [CrossRef] [PubMed]
- Guner Ozenen, G.; Akaslan Kara, A.; Boncuoglu, E.; Kiymet, E.; Cem, E.; Sahinkaya, S.; Yilmaz Celebi, M.; Gulderen, M.; Kacar, P.; Uras, M.; et al. Evaluation of antithrombotic prophylaxis and thrombotic events in children with COVID-19 or MIS-C: A tertiary pediatric center experience. Arch Pediatr. 2023, 30, 172–178. [Google Scholar] [CrossRef] [PubMed]
- Malas, M.B.; Naazie, I.N.; Elsayed, N.; Mathlouthi, A.; Marmor, R.; Clary, B. Thromboembolism risk of COVID-19 is high and associated with a higher risk of mortality: A systematic review and meta-analysis. EClinicalMedicine 2020, 29, 100639. [Google Scholar] [CrossRef]
- Klok, F.A.; Kruip, M.J.H.A.; van der Meer, N.J.M.; Arbous, M.S.; Gommers, D.; Kant, K.M.; Kaptein, F.H.J.; van Paassen, J.; Stals, M.A.M.; Huisman, M.V.; et al. Confirmation of the high cumulative incidence of thrombotic complications in critically ill ICU patients with COVID-19: An updated analysis. Thromb. Res. 2020, 191, 148–150. [Google Scholar] [CrossRef]
- Ackermann, M.; Verleden, S.E.; Kuehnel, M.; Haverich, A.; Welte, T.; Laenger, F.; Vanstapel, A.; Werlein, C.; Stark, H.; Tzankov, A.; et al. Pulmonary Vascular Endothelialitis, Thrombosis, and Angiogenesis in COVID-19. N. Engl. J. Med. 2020, 383, 120–128. [Google Scholar] [CrossRef]
- Multisystem Inflammatory Syndrome in Children and Adolescents with COVID-19 Scientific Brief 15 May 2020. Available online: https://www.who.int/publications/i/item/multisystem-inflammatory-syndrome-in-children-and-adolescents-with-covid-19 (accessed on 23 July 2023).
- Engelmann, B.; Massberg, S. Thrombosis as an intravascular effector of innate immunity. Nat. Rev. Immunol. 2013, 13, 34–45. [Google Scholar] [CrossRef]
- Von Brühl, M.L.; Stark, K.; Steinhart, A.; Chandraratne, S.; Konrad, I.; Lorenz, M.; Khandoga, A.; Tirniceriu, A.; Coletti, R.; Köllnberger, M.; et al. Monocytes, neutrophils, and platelets cooperate to initiate and propagate venous thrombosis in mice in vivo. J. Exp. Med. 2012, 209, 819–835. [Google Scholar] [CrossRef]
- Bonaventura, A.; Liberale, L.; Carbone, F.; Vecchié, A.; Diaz-Cañestro, C.; Camici, G.G.; Montecucco, F.; Dallegri, F. The Pathophysiological Role of Neutrophil Extracellular Traps in Inflammatory Diseases. Thromb. Haemost. 2018, 118, 6–27. [Google Scholar] [CrossRef] [PubMed]
- Kornblith, L.Z.; Sadhanandhan, B.; Arun, S.; Long, R.; Johnson, A.J.; Noll, J.; Ramchand, C.N.; Olynyk, J.K.; Farrell, D.H. γ’ fibrinogen levels as a biomarker of COVID-19 respiratory disease severity. Blood Cells Mol. Dis. 2023, 101, 102746. [Google Scholar] [CrossRef]
- Müller, R.; Rink, G.; Uzun, G.; Bakchoul, T.; Wuchter, P.; Klüter, H.; Bugert, P. Increased plasma level of soluble P-selectin in non-hospitalized COVID-19 convalescent donors. Thromb. Res. 2022, 216, 120–124. [Google Scholar] [CrossRef] [PubMed]
- Guthikonda, S.; Alviar, C.L.; Vaduganathan, M.; Arikan, M.; Tellez, A.; DeLao, T.; Granada, J.F.; Dong, J.F.; Kleiman, N.S.; Lev, E.I. Role of reticulated platelets and platelet size heterogeneity on platelet activity after dual antiplatelet therapy with aspirin and clopidogrel in patients with stable coronary artery disease. J. Am. Coll. Cardiol. 2008, 52, 743–749. [Google Scholar] [CrossRef]
- Whitworth, H.; Sartain, S.E.; Kumar, R.; Armstrong, K.; Ballester, L.; Betensky, M.; Cohen, C.T.; Diaz, R.; Diorio, C.; Goldenberg, N.A.; et al. Rate of thrombosis in children and adolescents hospitalized with COVID-19 or MIS-C. Blood 2021, 138, 190–198. [Google Scholar] [CrossRef]
- Kinikar, A.A.; Vartak, S.; Dawre, R.; Valvi, C.; Kamath, P.; Sonkawade, N.; Pawar, S.; Bhagat, V.; Kiruthiga, A.; Nawale, K.; et al. Clinical Profile and Outcome of Hospitalized Confirmed Cases of Omicron Variant of SARS-CoV-2 Among Children in Pune, India. Cureus 2022, 14, e24629. [Google Scholar] [CrossRef] [PubMed]
- Zaffanello, M.; Piacentini, G.; Nosetti, L.; Ganzarolli, S.; Franchini, M. Thrombotic risk in children with COVID-19 infection: A systematic review of the literature. Thromb. Res. 2021, 205, 92–98. [Google Scholar] [CrossRef]
- Kilic, M.; Hokenek, U.D. Association between D-dimer and mortality in COVID-19 patients: A single center study from a Turkish hospital. Disaster Emerg. Med. J. 2022, 7, 225–230. [Google Scholar] [CrossRef]
- Kumar, R.; Rivkin, M.J.; Raffini, L. Thrombotic complications in children with Coronavirus disease 2019 and Multisystem Inflammatory Syndrome of Childhood. J. Thromb. Haemost. 2023. [Google Scholar] [CrossRef] [PubMed]
- Tiwari, N.R.; Phatak, S.; Sharma, V.R.; Agarwal, S.K. COVID-19 and thrombotic microangiopathies. Thromb. Res. 2021, 202, 191–198. [Google Scholar] [CrossRef] [PubMed]
- Diorio, C.; McNerney, K.O.; Lambert, M.; Paessler, M.; Anderson, E.M.; Henrickson, S.E.; Chase, J.; Liebling, E.J.; Burudpakdee, C.; Lee, J.H.; et al. Evidence of thrombotic microangiopathy in children with SARS-CoV-2 across the spectrum of clinical presentations. Blood Adv. 2020, 4, 6051–6063. [Google Scholar] [CrossRef]
- Knight, R.; Walker, V.; Ip, S.; Cooper, J.A.; Bolton, T.; Keene, S.; Denholm, R.; Akbari, A.; Abbasizanjani, H.; Torabi, F.; et al. Association of COVID-19 With Major Arterial and Venous Thrombotic Diseases: A Population-Wide Cohort Study of 48 Million Adults in England and Wales. Circulation 2022, 146, 892–906. [Google Scholar] [CrossRef] [PubMed]
- Sharma, S.; Mishra, A.; Ashraf, Z. COVID-19 Induced Coagulopathy (CIC): Thrombotic Manifestations of Viral Infection. TH Open 2022, 6, e70–e79. [Google Scholar] [CrossRef]
- Conway, E.M.; Mackman, N.; Warren, R.Q.; Wolberg, A.S.; Mosnier, L.O.; Campbell, R.A.; Gralinski, L.E.; Rondina, M.T.; van de Veerdonk, F.L.; Hoffmeister, K.M.; et al. Understanding COVID-19-associated coagulopathy. Nat. Rev. Immunol. 2022, 22, 639–649. [Google Scholar] [CrossRef]
- Iba, T.; Connors, J.M.; Levy, J.H. The coagulopathy, endotheliopathy, and vasculitis of COVID-19. Inflamm. Res. 2020, 69, 1181–1189. [Google Scholar] [CrossRef]
- Lopes da Silva, R. Viral-associated thrombotic microangiopathies. Hematol. Oncol. Stem Cell Ther. 2011, 4, 51–59. [Google Scholar] [CrossRef]
- Magro, C.; Mulvey, J.J.; Berlin, D.; Nuovo, G.; Salvatore, S.; Harp, J.; Baxter-Stoltzfus, A.; Laurence, J. Complement associated microvascular injury and thrombosis in the pathogenesis of severe COVID-19 infection: A report of five cases. Transl. Res. 2020, 220, 1–13. [Google Scholar] [CrossRef]
- Gandhi, B.; Jebakumar, D.; Nickell, M.; Narayanan, M. Thrombotic microangiopathy with multiorgan involvement following COVID-19. Bayl. Univ. Med. Cent. Proc. 2021, 35, 204–206. [Google Scholar] [CrossRef] [PubMed]
- Gavriilaki, E.; Brodsky, R.A. Severe COVID-19 infection and thrombotic microangiopathy: Success does not come easily. Br. J. Haematol. 2020, 189, e227–e230. [Google Scholar] [CrossRef]
- Nelson, M.C.; Mrosak, J.; Hashemi, S.; Manos, C.; Prahalad, S.; Varghese, S.; Oster, M.E. Delayed Coronary Dilation with Multisystem Inflammatory Syndrome in Children. CASE 2021, 6, 31–35. [Google Scholar] [CrossRef] [PubMed]
- Alsaied, T.; Tremoulet, A.H.; Burns, J.C.; Saidi, A.; Dionne, A.; Lang, S.M.; Newburger, J.W.; de Ferranti, S.; Friedman, K.G. Review of Cardiac Involvement in Multisystem Inflammatory Syndrome in Children. Circulation 2021, 143, 78–88. [Google Scholar] [CrossRef]
- Maitz, T.; Parfianowicz, D.; Vojtek, A.; Rajeswaran, Y.; Vyas, A.V.; Gupta, R. COVID-19 Cardiovascular Connection: A Review of Cardiac Manifestations in COVID-19 Infection and Treatment Modalities. Curr. Probl. Cardiol. 2023, 48, 101186. [Google Scholar] [CrossRef] [PubMed]
- Arantes Junior, M.A.F.; Conegundes, A.F.; Branco Miranda, B.C.; Radicchi Campos, A.S.R.; França Vieira, A.L.; Faleiro, M.D.; Campos, M.A.; Kroon, E.G.; Bentes, A.A. Cardiac manifestations in children with the multisystem inflammatory syndrome (MIS-C) associated with SARS-CoV-2 infection: Systematic review and meta-analysis. Rev. Med. Virol. 2023, 33, e2432. [Google Scholar] [CrossRef] [PubMed]



| Characteristics | MIS-C with Thrombosis (n = 8) | MIS-C without Thrombosis (n = 52) | p |
|---|---|---|---|
| Demographics | |||
| Age (months), mean (min–max) | 90.3 (3–204) | 88.1 (3–204) | 0.757 |
| Gender, boys, n (%) | 6 (75) | 28 (54) | |
| Number of days before admission, mean (min–max) | 6.8 (2–15) | 10.4 (2–32) | 0.096 |
| Duration of hospitalization, days, mean (min–max) | 59 (27–90) | 31 (10–80) | 0.0086 |
| Epidemiological data | |||
| Number of children with detected IgG to SARS-CoV-2, n (%) | 6 (86) | 48/57 (96) | 0.253 |
| Number of children with detected IgM to SARS-CoV-2, n (%) | 0 (0) | 10/58 (17) | 0.197 |
| Family contact, n (%) | 2 (25) | 28 (55) | 0.115 |
| Clinical symptoms | |||
| Duration of fever (days), mean (min–max) | 19 (1–59) | 12 (3–32) | 0.388 |
| Gastrointestinal symptoms, n (%) | 4 (50) | 35 (67) | 0.339 |
| Neurological symptoms, n (%) | 6 (75) | 24 (46) | 0.128 |
| Coma, n (%) | 3 (37) | 0 (0) | 0.000006 |
| Aseptic meningitis, n (%) | 5 (62) | 7 (13) | 0.0012 |
| Polyserositis, n (%) | 4 (50) | 30 (58) | 0.682 |
| Pharyngitis, n (%) | 2 (25) | 29 (56) | 0.104 |
| Cervical lymphoadenopathy, n (%) | 7 (87) | 45 (86) | 0.940 |
| Rash, n (%) | 2 (25) | 32 (61) | 0.052 |
| Conjunctivitis, n (%) | 4 (50) | 38 (73) | 0.184 |
| Cheilitis n (%) | 3 (37) | 37 (71) | 0.060 |
| Glossitis/stomatitis, n (%) | 5 (62) | 39 (75) | 0.456 |
| Respiratory symptoms, n (%) | 3 (37) | 13 (25) | 0.456 |
| Palms and feet edema/desquamation, n (%) | 5 (62) | 39 (75) | 0.456 |
| Soft tissues sedema, n (%) | 5 (62) | 38 (73) | 0.536 |
| Hepatomegaly, n (%) | 6 (75) | 41 (79) | 0.805 |
| Splenomegaly, n (%) | 4 (50) | 24 (46) | 0.839 |
| Arthritis/arthralgia, n (%) | 1 (12) | 21 (40) | 0.127 |
| Myocardial damage, n (%) | 5 (62) | 33 (64) | 0.903 |
| Acute heart failure, n (%) | 3 (37) | 9 (17) | 0.183 |
| Pulmonary edema, n (%) | 4 (50) | 9 (17) | 0.036 |
| Coronary artery dilatation, n (%) | 1/8 (12.5) | 7 (13.5) | 0.952 |
| Myocarditis, n (%) | 5 (62) | 25 (48) | 0.447 |
| Pericarditis, n (%) | 2/7 (28) | 26 (50) | 0.286 |
| ICU admission, n (%) | 7 (87) | 24 (46) | 0.029 |
| Artificial lung ventilation, n (%) | 3 (37) | 7 (13) | 0.089 |
| Macrophage activation syndrome, n (%) | 4 (50) | 9 (17) | 0.036 |
| Laboratory data | |||
| Hemoglobin (n.v. 120–140 g/L), mean (min–max) | 93 (73–114) | 104 (63–158) | 0.111 |
| White blood cells (n.v. 4–9 × 109/L), mean (min–max) | 22.4 (6.6–58) | 13.9 (2–43) | 0.126 |
| Patients with leukocytosis, n (%) | 3 (37) | 19 (36) | 0.958 |
| Platelets (n.v. 150–350 × 109/L), mean (min–max) | 76.8 (4–182) | 284 (26–1077) | 0.0132 |
| Patients with thrombocytosis, n (%) | 0 (0) | 15 (28) | 0.079 |
| Patients with thrombocytopenia, n (%) | 7 (87) | 29 (56) | 0.088 |
| Patients with platelets < 103 × 109/L *, n (%) | 7 (87) | 21 (41) | 0.014 |
| ESR (n.v. 0–30 mm/h), mean (min–max) | 39 (4–70) | 42 (2–112) | 0.856 |
| Patients with increased ESR, n (%) | 6 (75) | 37 (71) | 0.822 |
| C-reactive protein (n.v. 0–5 mg/L), mean (min–max) | 107.2 (19.7–245.6) | 124 (0.3–335) | 0.940 |
| Ferritin (n.v. 7–140 ng/mL), mean (min–max) | 583 (221–853) | 454 (43–2254) | 0.106 |
| Patients with increased ferritin, n (%) | 6/6 (100) | 33/46 (72) | 0.132 |
| ALT (n.v. <33 IU/L), mean (min–max) | 658 (9.9–3101) | 135 (10–2816) | 0.320 |
| Patients with increased ALT, n (%) | 5 (62) | 21/51 (41) | 0.258 |
| AST (n.v. <39 IU/L), mean (min–max) | 608 (12.6–2383) | 128 (13–2402) | 0.413 |
| Patients with increased AST, n (%) | 5 (62) | 30/51 (59) | 0.843 |
| Total bilirubin (n.v. 0–21 μmol/L), mean (min–max) | 11.1 (1.5–28.8) | 17.6 (1.2–372) | 0.887 |
| Albumin (n.v. 28–54 g/L), mean (min–max) | 31.6 (25–42.3) | 32.2 (20–46.1) | 0.760 |
| Triglycerides (n.v. 0.2–1.7 mmol/L), mean (min–max) | 3.1 (0.7–7.3) | 2.5 (0.6–7.7) | 0.732 |
| Creatinine (n.v. 28–70 μmol/L), mean (min–max) | 80.1 (30–225) | 69.1 (14–298) | 0.769 |
| LDH (n.v. 240–480 IU/L), mean (min–max) | 1020 (148–3325) | 410.3 (79–2390) | 0.063 |
| Patients with increased LDH, n (%) | 4 (50) | 11/51 (21.57) | 0.085 |
| Procalcitonin (n.v. 0–0.5 μg/mL), mean (min–max) | 53.9 (0.1–183) | 10.8 (0.1–88.6) | 0.458 |
| Аntithrombin III (n.v. 80–120%), mean (min–max) | 69.8 (16.6–103.7) | nd | nd |
| Protein C (n.v. 60–140%), mean (min–max) | 96.0 (28.7–178.1) | nd | nd |
| Troponin (n.v. 0–14 ng/mL), mean (min–max) | 16.3 (0.1–100) | 23.3 (0–450) | 0.789 |
| Fibrinogen (n.v. 2.0–3.9 g/L) mean (min–max) | 2.7 (0.1–4.1) | 3.8 (0.1, 8.8) | 0.191 |
| D-dimer (n.v. 0–500 ng/mL), mean (min–max) | 6537 (3026–14,800) | 2838 (433–8836) | 0.0007 |
| Patients with D-dimer > 3778 ng/mL *, n (%) | 7 (87) | 12/51 (23) | 0.0003 |
| NT-proBNP (n.v. < 160 pg/mL *), mean (min–max) | 5795 (10–30,879) | 596 (10–6783) | 0.066 |
| Increase in NT-proBNP, n (%) | 5/7 (71) | 16/48 (33) | 0.053 |
| Creatine kinase-MB (n.v. 0–25 IU/L), mean (min–max) | 31.9 (9–70.9) | 27.4 (5.0–94.7) | 1.0 |
| Treatment and outcome | |||
| IVIG (1.8–2 g/kg/course), n (%) | 6 (75) | 32 (61) | 0.462 |
| Acetylsalicylic acid, n (%) | 4 (50) | 33 (63) | 0.466 |
| GCS (dexamethasone 10–20 mg/m2/day), n (%) | 6 (75) | 35 (67) | 0.663 |
| Biologic treatment, n (%) | 2 (25) | 3 (6) | 0.066 |
| Deaths, n (%) | 1 (13) | 2 (4) | |
| CNS damage (stroke), n (%) | 3 (38) | 0 | 0.083 |
| Predictors | OR (95% CI) | p |
|---|---|---|
| Coma | - | 0.000006 |
| Aseptic meningitis | 10.7 (2.1–55.1) | 0.001 |
| Platelets ≤ 103 × 109/L | 9.6 (1.1–83.3) | 0.017 |
| D-dimer > 3778 ng/mL | 22.8 (25–203.9) | 0.0003 |
| Ferritin > 594 ng/mL | 8.7 (1.4–54.9) | 0.010 |
| LDH > 382 U/L | 6.2 (1.13–33.9) | 0.022 |
| Elevation of NT-proBNP levels | 5.0 (0.9–28.7) | 0.053 |
| Elevation of NT-proBNP > 280 pg/mL | 6.73 (1.15–39.1) | 0.019 |
| ID, # | Sex, Age | SARS-CoV-2 Confirmation | Clinic Signs | Type of Thrombosis | Treatment of MIS-C/Thrombosis | Outcome |
|---|---|---|---|---|---|---|
| 1 | M. 1.5 y. | IgG (+) | MIS-C, Kawasaki-like features, MOFS, shock, myocarditis, severe CNS damage, distal gangrene | Arterial thrombosis of the lower extremities, multiple ischemic strokes, venous thrombosis (morphological) | IVIG 2.0 g/kg 2 courses, DEXA 15 mg/m2/day, MP pulse therapy, cyclophospha-mid pulse therapy, etanercept, heparin/nadroparin, ASA | Recovery with residual severe neurological sequelae |
| 2 | M. 8 y. | IgG (+) | MIS-C, Kawasaki-like features, mild coronary dilation, MOFS, shock, severe CNS involvement, | Bilateral ischemic stroke Secondary renal TMA | IVIG 2.0 g/kg/course DEXA 15 mg/m2/day heparin/nadroparin, ASA | Full recovery in 2 years |
| 3 | F. 4 y. | IgG (+) | Kawasaki-like features, MIS-C, shock, MOFS, severe damage to the central nervous system, aHUS, secondary HFS | Secondary renal TMA (aHUS), catheter-associated thrombosis of the femoral vein, disseminated PE | IVIG 2 courses, DEXA15 mg/m2/day Tocilizumab, Eculizumab, Heparin/nadroparin | Recovery with residual neurological sequelae in 2 years and full restoration of the renal function on the eculizumab |
| 4 | M. 15 y. | IgG (+) | MIS-C, (hereditary AT III deficiency) | Deep vein thrombosis of the upper and lower extremities | IVIG, dexamethasone, ASA, Heparin/nadroparin/warfarin | Recanalization of clots, recovery |
| 5. | F. 13 y. | IgG (+) | MIS-C | Deep vein thrombosis of the lower extremity | Heparin/nadroparin/warfarin | Recanalization of clots, recovery |
| 6 | M. 5 m. | IgG (+) | MIS-C with Kawasaki-like features, severe, MOFS, shock | Secondary renal TMA | IVIG, DEXA, heparin/nadroparin, ASA | Full recovery |
| 7 | M. 3 m. | PCR (+) IgG (+) | MIS-C, severe MOFS, shock, RDS, myocarditis, sepsis, severe CNS involvement, (background—CVSD) | Cerebral sinus thrombosis, deep vein thrombosis—branches of VCS, VCI | IVIG, DEXA, Heparin/nadroparin | Recanalization of clots, recovery |
| 8 | M. 17 m | IgG (+) | MIS-C, severe MOFS, secondary HFS. Comorbidity—Prader–Willi syndrome | Deep vein thrombosis, PE | DEXA, heparin/nadroparin | Fatal outcome |
Disclaimer/Publisher’s Note: The statements, opinions and data contained in all publications are solely those of the individual author(s) and contributor(s) and not of MDPI and/or the editor(s). MDPI and/or the editor(s) disclaim responsibility for any injury to people or property resulting from any ideas, methods, instructions or products referred to in the content. |
© 2023 by the authors. Licensee MDPI, Basel, Switzerland. This article is an open access article distributed under the terms and conditions of the Creative Commons Attribution (CC BY) license (https://creativecommons.org/licenses/by/4.0/).
Share and Cite
Bregel, L.V.; Efremova, O.S.; Kostyunin, K.Y.; Rudenko, N.Y.; Kozlov, Y.A.; Albot, V.V.; Knyzeva, N.А.; Tolmacheva, O.V.; Ovanesyan, S.V.; Barakin, A.O.; et al. Thrombosis in Multisystem Inflammatory Syndrome Associated with COVID-19 in Children: Retrospective Cohort Study Analysis and Review of the Literature. Biomedicines 2023, 11, 2206. https://doi.org/10.3390/biomedicines11082206
Bregel LV, Efremova OS, Kostyunin KY, Rudenko NY, Kozlov YA, Albot VV, Knyzeva NА, Tolmacheva OV, Ovanesyan SV, Barakin AO, et al. Thrombosis in Multisystem Inflammatory Syndrome Associated with COVID-19 in Children: Retrospective Cohort Study Analysis and Review of the Literature. Biomedicines. 2023; 11(8):2206. https://doi.org/10.3390/biomedicines11082206
Chicago/Turabian StyleBregel, Liudmila V., Olesya S. Efremova, Kirill Y. Kostyunin, Natalya Y. Rudenko, Yury A. Kozlov, Vadim V. Albot, Natalya А. Knyzeva, Olga V. Tolmacheva, Svetlana V. Ovanesyan, Alexander O. Barakin, and et al. 2023. "Thrombosis in Multisystem Inflammatory Syndrome Associated with COVID-19 in Children: Retrospective Cohort Study Analysis and Review of the Literature" Biomedicines 11, no. 8: 2206. https://doi.org/10.3390/biomedicines11082206
APA StyleBregel, L. V., Efremova, O. S., Kostyunin, K. Y., Rudenko, N. Y., Kozlov, Y. A., Albot, V. V., Knyzeva, N. А., Tolmacheva, O. V., Ovanesyan, S. V., Barakin, A. O., Pak, K. O., Belousova, L. V., Korinets, T. S., & Kostik, M. M. (2023). Thrombosis in Multisystem Inflammatory Syndrome Associated with COVID-19 in Children: Retrospective Cohort Study Analysis and Review of the Literature. Biomedicines, 11(8), 2206. https://doi.org/10.3390/biomedicines11082206

