Abstract
The first chalcone-based colorimetric chemosensor DPP (sodium (E)-2,4-dichloro-6-(3-oxo-3-(pyridine-2-yl)prop-1-en-1-yl)phenolate) was synthesized for detecting Ni2+ in near-perfect water. The synthesis of DPP was validated by using 1H, 13C NMR and ESI-MS. DPP selectively sensed Ni2+ through the color variation from yellow to purple. Detection limit of DPP for Ni2+ was calculated to be 0.36 μM (3σ/slope), which is below the standard (1.2 μM) set by the United States Environmental Protection Agency (EPA).The binding ratio of DPP to Ni2+ was determined as a 1:1 by using a Job plot and ESI-mass. The association constant of DPP and Ni2+ was calculated as 1.06 × 104 M−1 by the non-linear fitting analysis. In real samples, the sensing application of DPP for Ni2+ was successfully performed. DPP-coated paper-supported strips could also be used for detecting Ni2+. The binding mechanism of DPP to Ni2+ was proposed by ESI-MS, Job plot, UV-vis, FT-IR spectroscopy, and DFT calculations.
1. Introduction
Nickel ion is a pivotal metal ion in biological systems, such as respiration, biosynthesis, and metabolism [1]. In addition, it is widely employed in industrial areas, such as Ni-Cd batteries, electroplating, machinery, and catalyst [2,3,4,5,6]. With its industrial usage, a large amount of nickel is released into nature as a pollutant [7], increasing the possibility of nickel exposure. Nickel is toxic, and can cause several illnesses, such as allergies, lung injuries, and respiratory disease [8,9,10,11]. Consequently, the acceptable amount of nickel in drinking water recommended by the United States Environmental Protection Agency (EPA) is limited to 1.2 μM [12]. Thus, there is a need to design methods capable of detecting nickel ions easily and quickly in the environment.
Several analytical tools are used to detect Ni2+, such as atomic absorption spectrometry, electrochemical methods, inductively coupled plasma mass spectrometry, and fluorescence techniques and distance-based measurement [13,14]. The methods require expensive equipment and a skilled operator [15]. In contrast, the colorimetric chemosensor has no such drawbacks [16,17,18,19]. In addition, paper-supported colorimetric sensors adsorbed on paper or thread have an additional benefit, such as semi-quantitative detection with a faster and cheaper analysis [20]. Therefore, it is useful to develop paper-supported colorimetric chemosensors for detecting Ni2+. Several colorimetric chemosensors that detect Ni2+ were studied in the past few years. Although most of the reported sensors operate in organic solvents, only a few colorimetric chemosensors with functional groups, such as naphthalimide, pyridine, coumarin, Schiff-base, quinone, and polymer with dye detect Ni2+ in near-perfect water [21,22,23,24,25,26]. Thus, the design of colorimetric chemosensors capable of sensing Ni2+ in water is of high significance.
Pyridine could provide a binding site for cations [27,28,29] and have a water-soluble hydrophilic character [30,31,32]. The chalcone structure has a conjugated -electronic system, which provides good chelating ability with metal ions [33,34,35]. In addition, the α,β-unsaturated carbonyl in the chalcone structure makes a push–pull chromophore [36,37]. In particular, the chalcone structure can be easily synthesized by using aldol condensation [38]. Thus, we predicted that a chalcone-based chemosensor with a pyridine group can detect metal ions, such as nickel, through a color change in near-perfect water and be applied for paper-supported semi-quantitative detection.
Herein, we present the first chalcone-based colorimetric chemosensor DPP for the detection of Ni2+ in near-perfect water. Chemosensor DPP can sense Ni2+ with a low detection limit by colorimetric variation from yellow to purple. In addition, DPP could apply to real water and its paper-supported strip could detect Ni2+ easily and quickly. The binding mechanism of DPP to Ni2+ was described by UV-visible titrations, ESI-mass, Job plot, FT-IR spectroscopy, and DFT calculations.
2. Materials and Methods
2.1. Materials and Equipment
Sodium hydroxide, 2-acetylpyridine, and 3,5-dichlorosalicylaldehyde were acquired commercially from Alfa, TCI, and Samchun in Korea, respectively. Methanol was acquired from Samchun in Korea. Metal cation solutions were prepared using metal nitrate or perchlorate salts. The pH buffer solutions were acquired commercially from Samchun in Korea. A Varian spectrometer was used to obtain 13C and 1H NMR spectra. Absorption spectra were measured with a Perkin Elmer Lambda 365 UV-Vis. A Thermo MAX instrument was employed to collect ESI-MS spectra. FT-IR spectra were obtained by using a Thermo Fisher Scientific Fourier Transform Infrared Spectrophotometer.
2.2. Synthesis of DPP
DPP was synthesized by the aldol condensation of 2-acetylpyridine and 3,5-dichlorosalicylaldehyde. 2-Acetylpyridine (342 μL, 3.0 mmol) and 10% NaOH 5 mL were added in methanol 15 mL. The solution was stirred for 1 h. Then, 3,5-dichlorosalicylaldehyde (390 mg, 2.0 mmol) was added to the solution, which was additionally stirred at 23 °C for 1 day. The red powder precipitated was filtered, washed with ether, and dried. Yield: 392 mg (61%). 1H NMR: δ = 8.72 (d, 1H), 8.33 (d, 1H), 8.02 (m, 3H), 7.60 (t, 1H), 7.16 (d, 1H), 7.07 (d, 1H); 13C NMR (175 MHz, DMSO-d6): δ = 188.87, 167.12, 155.00, 144.42, 137.29, 129.82, 127.32, 126.94, 126.52, 123.18, 121.93, 114.13, 109.01. ESI-mass: m/z calcd. for C14H9Cl2NO2− + 2H2O, 328.02; found, 327.63.
2.3. UV-Vis Titrations
DPP (3.2 mg, 1 × 10−5 mol) was dissolved in DMF (1.0 mL) and 6 μL of the DPP stock (10 mM) was diluted to 2.994 mL PBS buffer (10 mM PBS, pH 7.4) to give 20 mM. Ni(NO3)2 (2.91 mg, 1 × 10−4 mol) was dissolved in 5.0 mL of buffer, and 3-66 μL of the Ni2+ stock (2 × 10−3 M) was added to DPP (2 × 10−5 M). UV-vis spectra were taken after 5 s.
2.4. Job Plot
Then, 3–27 μL of a DPP stock (10 mM) prepared in 1.0 mL of DMF was transferred to several quartzes. Then, 3–27 μL of the Ni2+ solution (1 × 10−2 M) acquired with nitrate salt in a 1.0 mL buffer was added to diluted DPP. Each quartz cell was filled with PBS buffer to 3.0 mL. UV-vis spectra were taken after 5 s.
2.5. Interference Tolerance Test
Sensor DPP (3.2 mg, 1 × 10−5 mol) was dissolved in DMF (1 mL). An amount of 1.0 × 10−4 mol of Al(NO3)3, Cu(NO3)2, Cr(NO3)3, Pb(NO3)2, Hg(NO3)2, Co(NO3)2, Ni(NO3)2, Ca(NO3)2, Mg(NO3)2, Mn(NO3)2, In(NO3)3, Ga(No3)2, NaNO3, AgNO3, Fe(NO3)3, Fe(ClO4)2, Cd(NO3)2, and KNO3 was dissolved in 5.0 mL buffer, respectively. An amount of 48 μL of each metal (2 × 10−2 M) and Ni2+ ion (2 × 10−2 M) was added into a 3.0 mL PBS buffer to afford 16 eq., respectively. An amount of 6 μL of the DPP stock (1 × 10−2 M) was added to each solution. A UV-vis spectrum of each solution was taken after 5 s.
2.6. pH Effect
Then, 6 µL of the DPP stock (1 × 10−3 M) dissolved in DMF (1.0 mL) was diluted to 2.994 mL of each pH buffer to make 3 × 10−5 M. Ni(NO3)2 (2.91 mg, 1 × 10−4 mol) was dissolved in 5.0 mL buffer solution. Then, 48 µL of the Ni2+ stock was added to each DPP. UV-vis spectra were taken after 5 s.
2.7. Water Sample Test by the Spiking Method
The real water sample analysis was performed to determine the spiked Ni2+ in samples collected from drinking and tap water in our laboratory. Sensor DPP (3.2 mg, 1 × 10−5 mol) was dissolved in DMF (1.0 mL). Then, 6 µL of the DPP stock (1 × 10−3 M) was diluted in 2.994 mL of a sample solution containing the spiked Ni2+ (6 μM). UV-vis spectra were taken after 5 s.
2.8. Test Strip
The test strip assay was achieved with DPP. Filter paper cut into pieces was dipped in a DPP media at a concentration of 1 mM (1.0 mL, MeOH) and dried for 1 h. After the filter paper completely dried off, various concentrations (10, 50, and 100 μM) of Ni2+ solutions dissolved in buffer were employed to determine the lowest visible amount. A concentration of 50 μM of varied cation solutions (Zn2+, Al3+, Mn2+, K+, Cd2+, Fe2+, Ca2+, Fe3+, Cr3+, Hg+, Mg2+, Cu2+, Co2+, Pb2+, In3+, Na+, Ga3+, and Ni2+) was employed to analyze the selectivity of the test strip.
2.9. Calculations
The detecting mechanism of DPP to Ni2+ was investigated by using the Gaussian16 program [39] for theoretical calculations. They were based on B3LYP density functional methods [40,41]. The 6-31G(d,p) [42,43] and Lanl2DZ [44] basis sets were used for calculations of elements and Ni2+, respectively. The solvent effect of water was checked by employing IEFPCM [45]. With the optimized patterns of DPP and DPP-Ni2+, 20 of the lowest triplet-triplet transitions were calculated by using the TD-DFT method to investigate the transition states of the two compounds.
3. Results and Discussion
DPP was gained by the aldol condensation of 2-acetylpyridine and 3,5-dichlorosalicylaldehyde and affirmed by 1H NMR, 13C NMR, and ESI-mass (Figure 1).


Figure 1.
(a) Synthesis scheme of DPP. (b) 1H NMR spectrum of DPP. (c) 13C NMR spectrum of DPP. (d) Negative-ion mass spectrum of DPP (100 μM).
3.1. Spectroscopic Studies of DPP with Ni2+
Colorimetric sensing capability of DPP was examined with cations (Zn2+, Al3+, Mn2+, K+, Cd2+, Fe2+, Ca2+, Fe3+, Cr3+, Hg+, Mg2+, Cu2+, Co2+, Pb2+, In3+, Na+, Ga3+, and Ni2+) in buffer (pH = 7.4, Figure 2).

Figure 2.
(a) Absorption variations of DPP (20 μM) with cations (20 eq.). (b) Color variations of DPP (20 μM) with different cations (20 eq.). (c) Absorption variations of DPP (20 μM) with varied amounts of Ni2+ (0–16 eq.).
In adding diverse cations to DPP, only Ni2+ showed significant spectral change with a prominent increase of 550 nm (Figure 2a) and distinguishable color change from yellow to purple (Figure 2b). Meanwhile, other cations did not exhibit any significant spectral or visual changes, suggesting that DPP can sense exclusively Ni2+ with a color change. We executed the UV-vis titration to analyze the binding feature of DPP with Ni2+. As the Ni2+ was added into DPP, the absorbance of 373 nm and 550 nm was prominently increased, and that of 325 nm and 453 nm was visibly decreased. A complete isosbestic point was detected at 391 nm, suggesting that sensor DPP and Ni2+ would create a species (Figure 2c). In particular, DPP is the first chalcone-based sensor among chemosensors previously addressed for the sensing of Ni2+ in near-perfect water (Table 1).
Table 1.
Examples of chemosensors for detection of Ni2+.
A Job plot experiment was achieved to determine the binding feature of DPP and Ni2+ (Figure 3). The result illustrated that DPP and Ni2+ made a 1:1 binding stoichiometry.
Figure 3.
Job plot for DPP with Ni2+at 550 nm.
The 1:1 stoichiometry was assured by the ESI-MS test (Figure 4).
Figure 4.
Positive-ion mass spectrum of DPP (1 × 10−5 M) with Ni(NO3)2 (1.0 eq.).
The peak of 385.73 (m/z) was assignable to be [(DPP + Ni2+ − Na+ + 2H2O)]+ [calcd. 385.95].
According to the calibration curve with nickel ion, the association constant of DPP and Ni2+ was calculated as 1.06 × 104 M−1 by the non-linear fitting analysis (Figure 5a) [46]. Detection limit of DPP to Ni2+ was determined as 0.36 μM (3σ/slope, Figure 5b).
Figure 5.
(a) Association constant based on variation in the ratio (absorbance at 550 nm) of DPP (20 μM) with Ni2+. The Redline is the nonlinear fitting obtained, assuming a 1:1 binding of DPP and Ni2+. (b) Analysis of the detection limit for Ni2+ by DPP (20 μM). The standard deviations are represented by the error bar (n = 3).
Furthermore, FT-IR analysis was performed to investigate the interaction of DPP and Ni2+ (Figure 6). The band at 1644 cm−1 associated with the carbonyl group (C=O) of DPP moved to 1619 cm−1 [47,48], signifying that the carbonyl oxygen might bind to Ni2+.
Figure 6.
FT−IR spectra of (a) DPP and (b) DPP-Ni2+.
With the outcomes of Job plot, ESI-mass, and IR analysis, the possible feature of DPP with Ni2+ was proposed (Scheme 1).
Scheme 1.
Proposed feature of DPP-Ni2+.
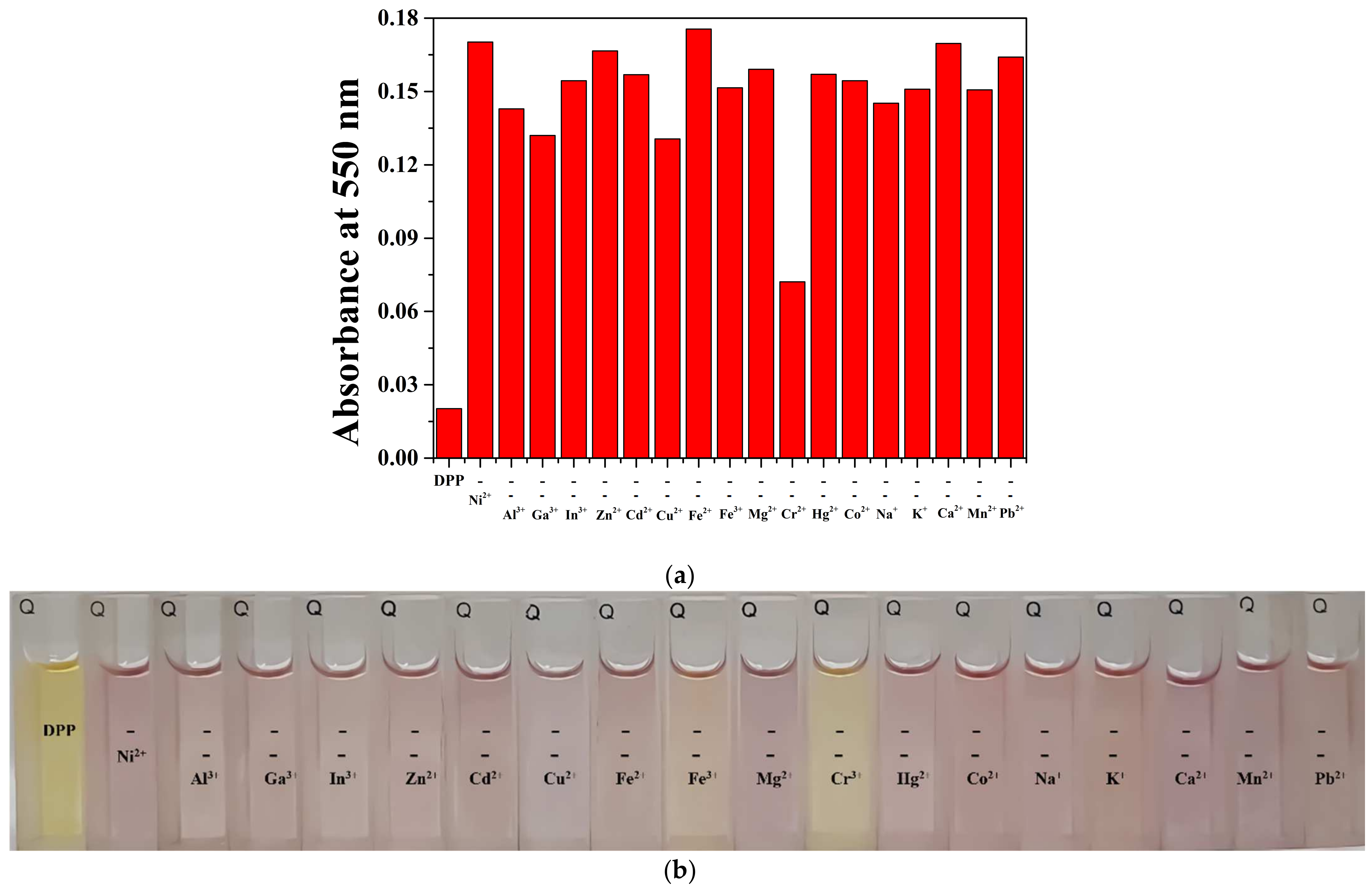
The inhibition experiment was conducted to identify the exclusive selectivity of DPP for Ni2+ in a competitive environment (Figure 7).
Figure 7.
(a) Absorption variations of DPP (20 μM) with Ni2+ (20 eq.) and metal ions (20 eq.). (b) Color variations of DPP (20 μM) with Ni2+ (20 eq.) and metal ions (20 eq.).
When nickel and other metals of the same concentration existed together, DPP was hardly disturbed by other metals except for Cr3+. The detecting ability of DPP to Ni2+ was inspected in a pH range of 6–9 (Figure 8).

Figure 8.
(a) UV-vis changes of DPP (20 μM) and DPP-Ni2+ (20 μM) from pH 6 to pH 9. (b) Color changes of DPP (20 μM) with Ni2+ (16 eq.) in pH 6 to 9.
DPP showed the ability to sense Ni2+ at pH 7–9. Test-strip experiments were performed with filter papers coated with DPP for practical application. DPP showed a colorimetric change from yellow to purple at 50 μM Ni2+ (Figure 9a) and selectively detected Ni2+ among varied metal ions (Figure 9b). This result indicated that DPP could be applied to detecting Ni2+ by using a test strip.
Figure 9.
Photographs of DPP-coated test strips (1 mM). (a) DPP-test strips immersed in Ni2+ (10, 50, and 100 μM). (b) DPP-test strips immersed in varied metal ions (50 μM).
The real water sample analysis was performed to determine the spiked Ni2+ in samples collected from drinking and tap water (Table 2).
Table 2.
Determination of Ni2+ a.
The acceptable recovery percentage and relative standard deviation (R.S.D.) were obtained, meaning that DPP could measure Ni2+ substantially in a real environment.
3.2. Theoretical Study
To understand the sensing process of DPP to Ni2+, theoretical calculations of DPP and DPP-Ni2+ were carried out. The calculations of DPP-Ni2+ were based on the 1:1 association of DPP and Ni2+, which was suggested by ESI-MS and Job plot. The energy-optimized structures of DPP and DPP-Ni2+ are shown in Figure 10.
Figure 10.
Energy-optimized forms of (a) DPP and (b) DPP-Ni2+.
The dihedral angle (6N, 1C, 11C, and 12O) of DPP is calculated as 27.06°, showing a twisted structure. DPP-Ni2+ complex with the dihedral angle of −3.84° forms a tetrahedral structure with 2H2O. With the energy-optimized structures, TD-DFT calculations were performed to study the electron transitions of DPP and DPP-Ni2+. For DPP, excited state 1 (472.73 nm) was regarded to be the HOMO → LUMO transition, which showed an ICT character (Figure 11 and Figure 12).
Figure 11.
(a) The experimental UV-vis and theoretical excitation energies of DPP. (b) The significant electronic transition energies and MO contributions for DPP (H = HOMO and L = LUMO).
Figure 12.
MO diagrams and excitation energies of DPP and DPP-Ni2+.
Its molecular orbitals indicated the shift of electron cloud from the 2,4-dichlorophenol moiety to the pyridine one. The ICT character contributes to the yellow color of DPP. For DPP-Ni2+, excited state 8 (553.47nm) consists of the HOMO → LUMO (alpha), HOMO → LUMO+1 (beta), and HOMO → LUMO+2 (beta). The HOMO → LUMO (alpha) showed the ICT character from the 2,4-dichlorophenol group to the pyridine one. The HOMO → LUMO+1 (beta) and HOMO → LUMO+2 (beta) displayed both the ICT characters from the 2,4-dichlorophenol group to the pyridine one and LMCT characters from DPP to nickel (Figure 12 and Figure 13).
Figure 13.
(a) The experimental UV-vis and theoretical excitation energies of DPP-Ni2+. (b) The significant electronic transition energies and MO contributions for DPP-Ni2+ (H = HOMO and L = LUMO).
In addition, the calculated excitation energy of DPP-Ni2+ decreased compared to free DPP when the complex was formed (Figure 12). Calculated theoretical values demonstrated the redshift of the UV-vis transitions, which is consistent with experimental results. With Job plot, ESI-MS, DFT calculations, and FT-IR, we proposed the colorimetric sensing of Ni2+ by DPP (Scheme 1).
4. Conclusions
We developed a chalcone-based colorimetric chemosensor DPP that can efficiently detect Ni2+ by a colorimetric variation from yellow to purple. With Job plot and ESI-MS, the association mode of DPP to Ni2+ was analyzed to be a 1:1 ratio. The detection limit and binding constant of DPP to Ni2+ were 0.36 μM and 1.06 × 104 M−1, respectively. The detection limit of DPP is below the United States Environmental Protection Agency (EPA) guideline (1.2 μM) for Ni2+. It is noteworthy that DPP is the first chalcone-based colorimetric chemosensor to detect Ni2+ in near-perfect aqueous media. Practically, DPP could recognize Ni2+ in real water. In addition, the DPP-coated paper-supported strip showed a clear color variation from yellow to purple only in Ni2+. The binding mechanism of DPP to Ni2+ was explained by Job plot, ESI-mass, UV-vis, FT-IR, and calculations.
Author Contributions
S.M. and C.K. designed the initial idea; S.M. collected and analyzed field test data; S.M. and C.K. wrote this manuscript. All authors have read and agreed to the published version of the manuscript.
Funding
National Research Foundation of Korea (2018R1A2B6001686) is kindly acknowledged.
Institutional Review Board Statement
Not applicable.
Informed Consent Statement
Not applicable.
Conflicts of Interest
The authors declare no conflict of interest.
References
- Khan, R.I.; Ramu, A.; Pitchumani, K. Design and one-pot synthesis of a novel pyrene based fluorescent sensor for selective “turn on”, naked eye detection of Ni2+ ions, and live cell imaging. Sens. Actuators B Chem. 2018, 266, 429–437. [Google Scholar] [CrossRef]
- Manna, A.K.; Mondal, J.; Rout, K.; Patra, G.K. A benzohydrazide based two-in-one Ni2+/Cu2+ fluorescent colorimetric chemosensor and its applications in real sample analysis and molecular logic gate. Sens. Actuators B Chem. 2018, 275, 350–358. [Google Scholar] [CrossRef]
- Velmurugan, K.; Prabhu, J.; Raman, A.; Duraipandy, N.; Kiran, M.S.; Easwaramoorthi, S.; Tang, L.; Nandhakumar, R. Dual Functional Fluorescent Chemosensor for Discriminative Detection of Ni2+ and Al3+ Ions and Its Imaging in Living Cells. ACS Sustain. Chem. Eng. 2018, 6, 16532–16543. [Google Scholar] [CrossRef]
- Sharma, N.; Gulati, A. Selective binding of Ni2+ and Cu2+ metal ions with naphthazarin esters isolated from Arnebia euchroma. Biotechnol. Prog. 2020, 36, e2985. [Google Scholar] [CrossRef]
- Goswami, S.; Chakraborty, S.; Adak, M.K.; Halder, S.; Quah, C.K.; Fun, H.K.; Pakhira, B.; Sarkar, S. A highly selective ratiometric chemosensor for Ni2+ in a quinoxaline matrix. New J. Chem. 2014, 38, 6230–6235. [Google Scholar] [CrossRef]
- Chakraborty, S.; Rayalu, S. Detection of nickel by chemo and fluoro sensing technologies. Spectrochim. Acta-Part A Mol. Biomol. Spectrosc. 2021, 245, 118915. [Google Scholar] [CrossRef]
- Genchi, G.; Carocci, A.; Lauria, G.; Sinicropi, M.S.; Catalano, A. Nickel: Human health and environmental toxicology. Int. J. Environ. Res. Public Health 2020, 17, 679. [Google Scholar] [CrossRef] [Green Version]
- Huang, P.J.; Kumarasamy, K.; Devendhiran, T.; Chen, Y.C.; Dong, T.Y.; Lin, M.C. BODIPY-based hydroxypyridyl derivative as a highly Ni2+-selective fluorescent chemosensor. J. Mol. Struct. 2021, 1246, 131281. [Google Scholar] [CrossRef]
- Bai, C.B.; Liu, X.Y.; Zhang, J.; Qiao, R.; Dang, K.; Wang, C.; Wei, B.; Zhang, L.; Chen, S.S. Using Smartphone APP to Determine the CN- Concentration Quantitatively in Tap Water: Synthesis of the Naked-Eye Colorimetric Chemosensor for CN- and Ni2+ Based on Benzothiazole. ACS Omega 2020, 5, 2488–2494. [Google Scholar] [CrossRef] [Green Version]
- Hwang, S.M.; Kim, M.S.; Lee, M.; Lim, M.H.; Kim, C. Single fluorescent chemosensor for multiple targets: Sequential detection of Al3+ and pyrophosphate and selective detection of F- in near-perfect aqueous solution. New J. Chem. 2017, 41, 15590–15600. [Google Scholar] [CrossRef]
- Subhasri, A.; Balachandran, S.; Mohanraj, K.; Kumar, P.S.; Jothi, K.J.; Anbuselvan, C. Synthesis, Computational and cytotoxicity studies of aryl hydrazones of β-diketones: Selective Ni2+ metal Responsive fluorescent chemosensors. Chemosphere 2022, 297, 134150. [Google Scholar] [CrossRef] [PubMed]
- Lu, W.; Chen, J.; Shi, J.; Li, Z.; Xu, L.; Jiang, W.; Yang, S.; Gao, B. An acylhydrazone coumarin as chemosensor for the detection of Ni2+ with excellent sensitivity and low LOD: Synthesis, DFT calculations and application in real water and living cells. Inorg. Chim. Acta 2021, 516, 2–9. [Google Scholar] [CrossRef]
- Bahadir, Z.; Ozdes, D.; Bulut, V.N.; Duran, C.; Elvan, H.; Bektas, H.; Soylak, M. Cadmium and nickel determinations in some food and water samples by the combination of carrier element-free coprecipitation and flame atomic absorption spectrometry. Toxicol. Environ. Chem. 2013, 95, 737–746. [Google Scholar] [CrossRef]
- Cate, D.M.; Dungchai, W.; Cunningham, J.C.; Volckens, J.; Henry, C.S. Simple, distance-based measurement for paper analytical devices. Lab Chip 2013, 13, 2397–2404. [Google Scholar] [CrossRef]
- Xu, Z.; Yoon, J.; Spring, D.R. Fluorescent chemosensors for Zn2+. Chem. Soc. Rev. 2010, 39, 1996–2006. [Google Scholar] [CrossRef] [Green Version]
- Salimi, F.; Zarei, K.; Karami, C. Naked Eye Detection of Cr3+ and Ni2+ Ions by Gold Nanoparticles Modified with Ribavirin. Silicon 2018, 10, 1755–1761. [Google Scholar] [CrossRef]
- Cheah, P.W.; Heng, M.P.; Saad, H.M.; Sim, K.S.; Tan, K.W. Specific detection of Cu2+ by a pH-independent colorimetric rhodamine based chemosensor. Opt. Mater. 2021, 114, 110990. [Google Scholar] [CrossRef]
- Lee, J.J.; Choi, Y.W.; You, G.R.; Lee, S.Y.; Kim, C. A phthalazine-based two-in-one chromogenic receptor for detecting Co2+ and Cu2+ in an aqueous environment. Dalton Trans. 2015, 44, 13305–13314. [Google Scholar] [CrossRef]
- Pothulapadu, C.A.S.; Jayaraj, A.; Swathi, N.; Priyanka, R.N.; Sivaraman, G. Novel Benzothiazole-Based Highly Selective Ratiometric Fluorescent Turn-On Sensors for Zn2+and Colorimetric Chemosensors for Zn2+, Cu2+, and Ni2+Ions. ACS Omega 2021, 6, 24473–24483. [Google Scholar] [CrossRef]
- Nilghaz, A.; Ballerini, D.R.; Fang, X.Y.; Shen, W. Semiquantitative analysis on microfluidic thread-based analytical devices by ruler. Sens. Actuators B Chem. 2014, 191, 586–594. [Google Scholar] [CrossRef]
- Kang, J.H.; Lee, S.Y.; Ahn, H.M.; Kim, C. A novel colorimetric chemosensor for the sequential detection of Ni2+ and CN− in aqueous solution. Sens. Actuators B Chem. 2017, 242, 25–34. [Google Scholar] [CrossRef]
- Fukushima, Y.; Aikawa, S. Colorimetric detection of Ni2+ based on an anionic triphenylmethane dye and a cationic polyelectrolyte in aqueous solution. Tetrahedron Lett. 2019, 60, 675–680. [Google Scholar] [CrossRef]
- Inoue, K.; Aikawa, S.; Fukushima, Y. Colorimetric chemosensor for Ni2+ based on alizarin complexone and a cationic polyelectrolyte in aqueous solution. J. Appl. Polym. Sci. 2019, 136, 6–11. [Google Scholar] [CrossRef]
- Yin, G.; Yao, J.; Hong, S.; Zhang, Y.; Xiao, Z.; Yu, T.; Li, H.; Yin, P. A dual-responsive colorimetric probe for the detection of Cu2+ and Ni2+ species in real water samples and human serum. Analyst 2019, 144, 6962–6967. [Google Scholar] [CrossRef]
- Erten, G.; Karcı, F.; Demirçalı, A.; Söyleyici, S. 1H-pyrazole- azomethine based novel diazo derivative chemosensor for the detection of Ni2+. J. Mol. Struct. 2020, 1206, 122713. [Google Scholar] [CrossRef]
- Kong, L.; Jiao, C.; Luan, L.; Li, S.; Ma, X.; Wang, Y. Reversible Ni2+ fluorescent probe based on ICT mechanism and its application in bio-imaging of Zebrafish. J. Photochem. Photobiol. A Chem. 2022, 422, 113555. [Google Scholar] [CrossRef]
- Choi, Y.W.; Lee, J.J.; You, G.R.; Kim, C. Fluorescence “on-off-on” chemosensor for the sequential recognition of Hg2+ and cysteine in water. RSC Adv. 2015, 5, 38308–38315. [Google Scholar] [CrossRef]
- Molina, P.; Tárraga, A.; Otón, F. Imidazole derivatives: A comprehensive survey of their recognition properties. Org. Biomol. Chem. 2012, 10, 1711–1724. [Google Scholar] [CrossRef]
- Helal, A.; Kim, H.S. Thiazole-based chemosensor: Synthesis and ratiometric fluorescence sensing of zinc. Tetrahedron Lett. 2009, 50, 5510–5515. [Google Scholar] [CrossRef]
- Cao, X.F.; Chu, W.J.; Cao, Y.B.; Yang, Y.S. Design and synthesis of novel antifungal triazole derivatives with good activity and water solubility. Chin. Chem. Lett. 2013, 24, 303–306. [Google Scholar] [CrossRef]
- Liu, Y.; Liu, Z.; Cao, X.; Liu, X.; He, H.; Yang, Y. Design and synthesis of pyridine-substituted itraconazole analogues with improved antifungal activities, water solubility and bioavailability. Bioorg. Med. Chem. Lett. 2011, 21, 4779–4783. [Google Scholar] [CrossRef] [PubMed]
- Zhang, H.; Li, K.; Li, L.L.; Yu, K.K.; Liu, X.Y.; Li, M.Y.; Wang, N.; Liu, Y.H.; Yu, X.Q. Pyridine-Si-xanthene: A novel near-infrared fluorescent platform for biological imaging. Chin. Chem. Lett. 2019, 30, 1063–1066. [Google Scholar] [CrossRef]
- Sulpizio, C.; Breibeck, J.; Rompel, A. Recent progress in synthesis and characterization of metal chalcone complexes and their potential as bioactive agents. Coord. Chem. Rev. 2018, 374, 497–524. [Google Scholar] [CrossRef]
- Singh, G.; Singh, J.; Mangat, S.S.; Singh, J.; Rani, S. Chalcomer assembly of optical chemosensors for selective Cu2+ and Ni2+ ion recognition. RSC Adv. 2015, 5, 12644–12654. [Google Scholar] [CrossRef]
- Singh, G.; Arora, A.; Rani, S.; Kalra, P.; Kumar, M. A Click-Generated Triethoxysilane Tethered Ferrocene-Chalcone-Triazole Triad for Selective and Colorimetric Detection of Cu2+ Ions. ChemistrySelect 2017, 2, 3637–3647. [Google Scholar] [CrossRef]
- El-Nahass, M.N. D–π–A chalcone analogue metal ions selective turn-on-off-on fluorescent chemosensor with cellular imaging and corrosion protection. J. Mol. Struct. 2021, 1239, 130527. [Google Scholar] [CrossRef]
- Park, S.; Suh, B.; Kim, C. A chalcone-based fluorescent chemosensor for detecting Mg2+ and Cd2+. Luminescence 2022, 37, 332–339. [Google Scholar] [CrossRef]
- Singh, N.; Chandra, R. A naked-eye colorimetric sensor based on chalcone for the sequential recognition of copper(ii) and sulfide ions in semi-aqueous solution: Spectroscopic and theoretical approaches. New J. Chem. 2021, 45, 10340–10348. [Google Scholar] [CrossRef]
- Frisch, M.J.; Trucks, G.W.; Chlegel, H.B.; Scuseria, G.E.; Robb, M.A.; Cheeseman, J.R.; Scalmani, G.; Barone, V.; Petersson, G.A.; Nakatsuji, H.; et al. Gaussian 16 Revision C.01; Gaussian, Inc.: Wallingford, UK, 2016. [Google Scholar]
- Becke, A.D. Density-functional thermochemistry. III. The role of exact exchange. J. Chem. Phys. 1993, 98, 5648–5652. [Google Scholar] [CrossRef] [Green Version]
- Lee, C.; Yang, W.; Parr, R.G. Development of the Colle-Salvetti correlation-energy formula into a functional of the electron density. Phys. Rev. B 1988, 37, 785–789. [Google Scholar] [CrossRef] [Green Version]
- Hariharan, P.C.; Pople, J.A. The influence of polarization functions on molecular orbital hydrogenation energies. Theor. Chim. Acta 1973, 28, 213–222. [Google Scholar] [CrossRef]
- Francl, M.M.; Pietro, W.J.; Hehre, W.J.; Binkley, J.S.; Gordon, M.S.; DeFrees, D.J.; Pople, J.A. Self-consistent molecular orbital methods. XXIII. A polarization-type basis set for second-row elements. J. Chem. Phys. 1982, 77, 3654–3665. [Google Scholar] [CrossRef] [Green Version]
- Wadt, W.R.; Hay, P.J. Ab initio effective core potentials for molecular calculations. Potentials for main group elements Na to Bi. J. Chem. Phys. 1985, 82, 284–298. [Google Scholar] [CrossRef]
- Klamt, A.; Moya, C.; Palomar, J. A Comprehensive Comparison of the IEFPCM and SS(V)PE Continuum Solvation Methods with the COSMO Approach. J. Chem. Theory Comput. 2015, 11, 4220–4225. [Google Scholar] [CrossRef] [PubMed] [Green Version]
- Lee, J.J.; Park, G.J.; Kim, Y.S.; Lee, S.Y.; Lee, H.J.; Noh, I.; Kim, C. A water-soluble carboxylic-functionalized chemosensor for detecting Al3+ in aqueous media and living cells: Experimental and theoretical studies. Biosens. Bioelectron. 2015, 69, 226–229. [Google Scholar] [CrossRef]
- Prasad, Y.R.; Kumar, P.P.; Kumar, P.R.; Rao, A.S. Synthesis and Antimicrobial Activity of Some New Chalcones of 2-Acetyl Pyridine. J. Chem. 2008, 5, 144–148. [Google Scholar] [CrossRef]
- Rout, K.C.; Mondal, B. Copper(II) complex as selective turn-on fluorescent probe for nitrite ion. Inorg. Chim. Acta 2015, 437, 54–58. [Google Scholar] [CrossRef]
Publisher’s Note: MDPI stays neutral with regard to jurisdictional claims in published maps and institutional affiliations. |
© 2022 by the authors. Licensee MDPI, Basel, Switzerland. This article is an open access article distributed under the terms and conditions of the Creative Commons Attribution (CC BY) license (https://creativecommons.org/licenses/by/4.0/).
























