Infective Endocarditis in Patients with End-Stage Renal Disease on Dialysis: Epidemiology, Risk Factors, Diagnostic Challenges, and Management Approaches
Abstract
1. Introduction
2. Risk Factors
2.1. Uremia-Induced Immune Dysfunction
2.2. Dialysis Modality
2.3. Vascular Access Type
| Study/Country | Mean Age (Years) | Sex | Dialysis Patients with IE | Inflammatory Markers | Dialysis Type | Dialysis Access | Risk Factors vs. Non-Dialysis Patients |
|---|---|---|---|---|---|---|---|
| Zolfaghari et al., 2024 [17] Iran | 49.8 | Male: 23/34 (67.6%) Female: 11/34 (32.3%) | 34 | HD: ESR 54.4, CRP 59.1 Non-HD: ESR 49.8, CRP 48.5 | HD | AVF: 5/34 (14.7%) CVC: 27/34 (79.4%) Both: 2/34 (5.8%) | HTN: 21/34 (61.76%) DM: 13/34 (38.23%) CHF: 10/34 (29.41%) |
| Pericas et al., 2021 [2] International | 59.9 | Male: 228/553 (41.4%) Female: 323/553 (58.6%) | 553 | Not described | HD | AVF: 189 (34.2%) AVG: 12 (2.5%) CVC: 235 (48.1%) | DM: 226/549 (41.2%) CHF: 77/195 (39.5%) Ischemic Heart Disease: 37/266 (13.9%) PVD: 58/266 (21.8%) CVD: 38/272 (14%) |
| Gallacher et al., 2021 [20] Scotland | 58.9 | Male: 123 (56.9%) Female: 93 (43.1%) | 216 | Not described | Not specified (HD, PD) | Not Described | CHF: 24 (11.1%) CVD: 16 (7.4%) MI: 14 (6.5%) Cardiac Device: 9 (4.2%) Prior Valve Surgery: 18 (8.3%) |
| Kwon et al., 2021 [13] Korea | 64.4 | Male: 15/34 (44.1%) Female: 19/34 (55.8%) | 34 | HD: ESR 92, CRP 15.41 Non-HD: ESR 88.5, CRP 10.61 | HD | AVF: 9/34 (26.4%) AVG: 16/34 (47%) CVC: 9/34 (26.4%) | HTN: 26/34 (76.47%) DM: 15/34 (44.1%) CHF: 6/34 (17.6%) MI: 3/34 (8.8%) CVD: 5/34 (14.7%) |
| Bhatia et al., 2017 [3] United States | 59.3 | Male: 23,877/44,816 (53.3%) Female: 20,939/44,816 (46.7%) | 44,816 | Not described | HD and PD | Not Described | DM: 9677/44,816 (21.6%) CHF: 9559/44,816 (21.3%) Valvular Disease: 5858/44,816 (13.1%) CIEDs: 4907/44,816 (10.9%) Prior Valve Repair/Replacement: 1.908/44,816 (4.3%) IVDU:1863/44,816 (4.2%) |
| Durante-Mangoni et al., 2016 [18] Italy | 66 | Male: 29/42 (69%) Female: 13/42 (31%) | 42 | HD: 36/42 elevated CRP (86%), 27/42 elevated ESR (64%) Non-HD: 116/126 elevated CRP (93%), 86/126 elevated ESR (68%) | HD | AVF: 29/42 (69%) AVG:0/42 (0%) CDC: 13/42 (31%) | DM: 18/42 (42.9%) CHF: 17/42 (40.5%) CVD: 6/42 (15%) Congenital Heart Disease: 2/42 (4.8%) IVDU: 5/42 (11.9%) Prior IE History: 3/42 (7.1%) Cancer: 7/42 (16.7%) Immunosuppressive Treatment: 7/42 (16.7%) |
| Jones et al., 2013 [21] United Kingdom | 55.2 | Male: 22/42 (55.2%) Female: 20/42 (47.8%) | 42 | Not described | HD: 40/42 (95%) PD: 2/42 (5%) | Vascular Catheter: 4/42 (10%) Tunneled Line: 22/42 (55%) AVF: 14/42 (35%) PD: 2/42 (4.8%) | HTN: 28/42 (66.6%) DM: 14/42 (33.3%) Valvular Disease: 9/42 (21.4%) Immunosuppressive Regimen: 4/42 (9.5%) Heart and Lung Transplant: 1/42 (2.4%) |
| Tao et al., 2010 [22] China | 52.3 | Male: 4/6 (66.6%) Female: 2/6 (33.3%) | 6 | Not described | HD: 6/6 (100%) | Permanent Catheter: 3/6 (50%) Temporary Catheter: 2/6 (33.3%) AVF: 1/6 (16.6%) | HTN: 1/6 (16.6%) SLE: 1/6 (16.6%) Chronic Glomerulonephritis: 3/6 (50%) |
2.4. Comorbid Conditions
2.5. Healthcare Exposures
3. Common Pathogens in Infective Endocarditis Dialysis Patients
4. Cardiac Valves Most Commonly Involved in Infective Endocarditis among Dialysis Patients
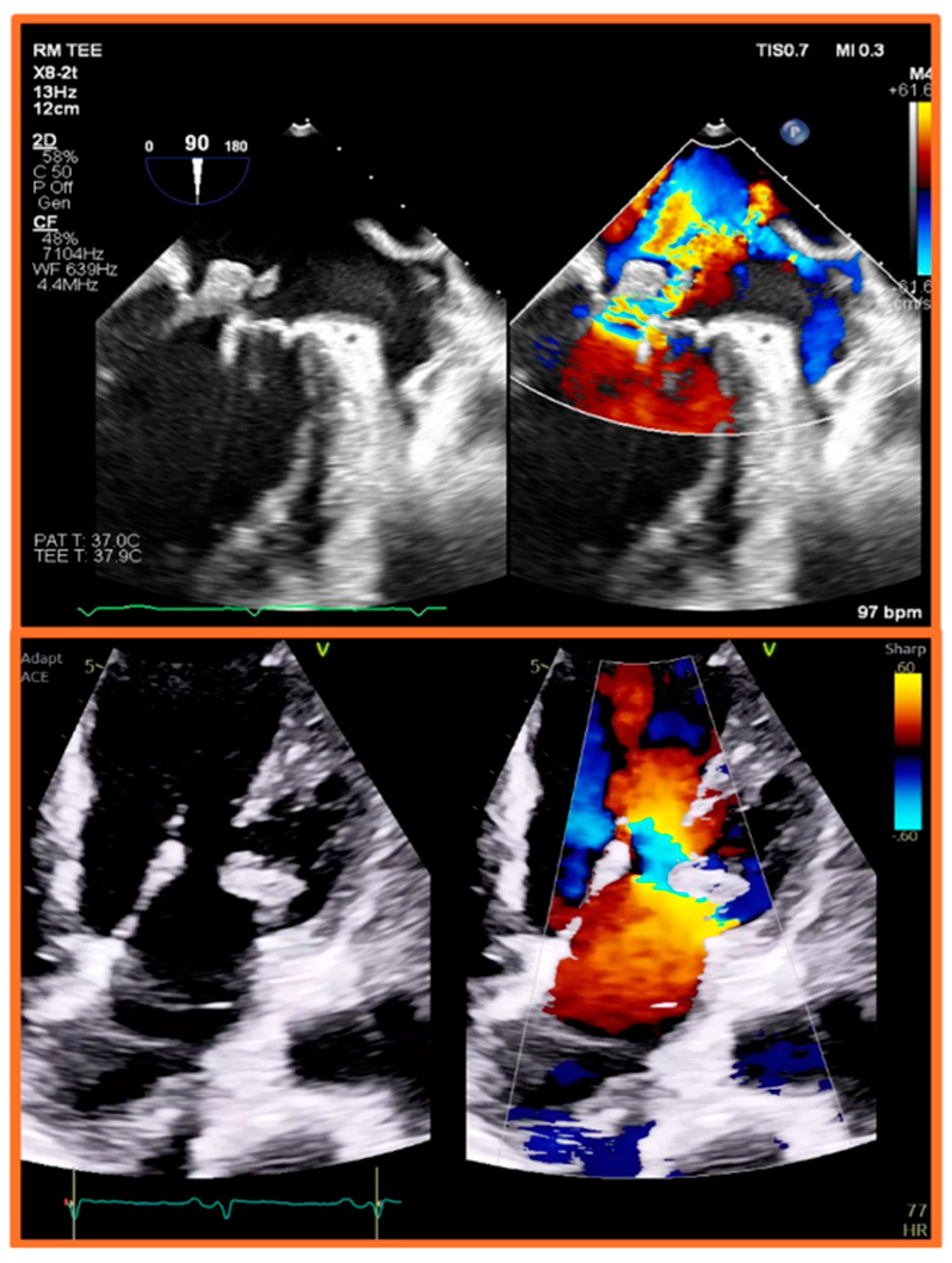
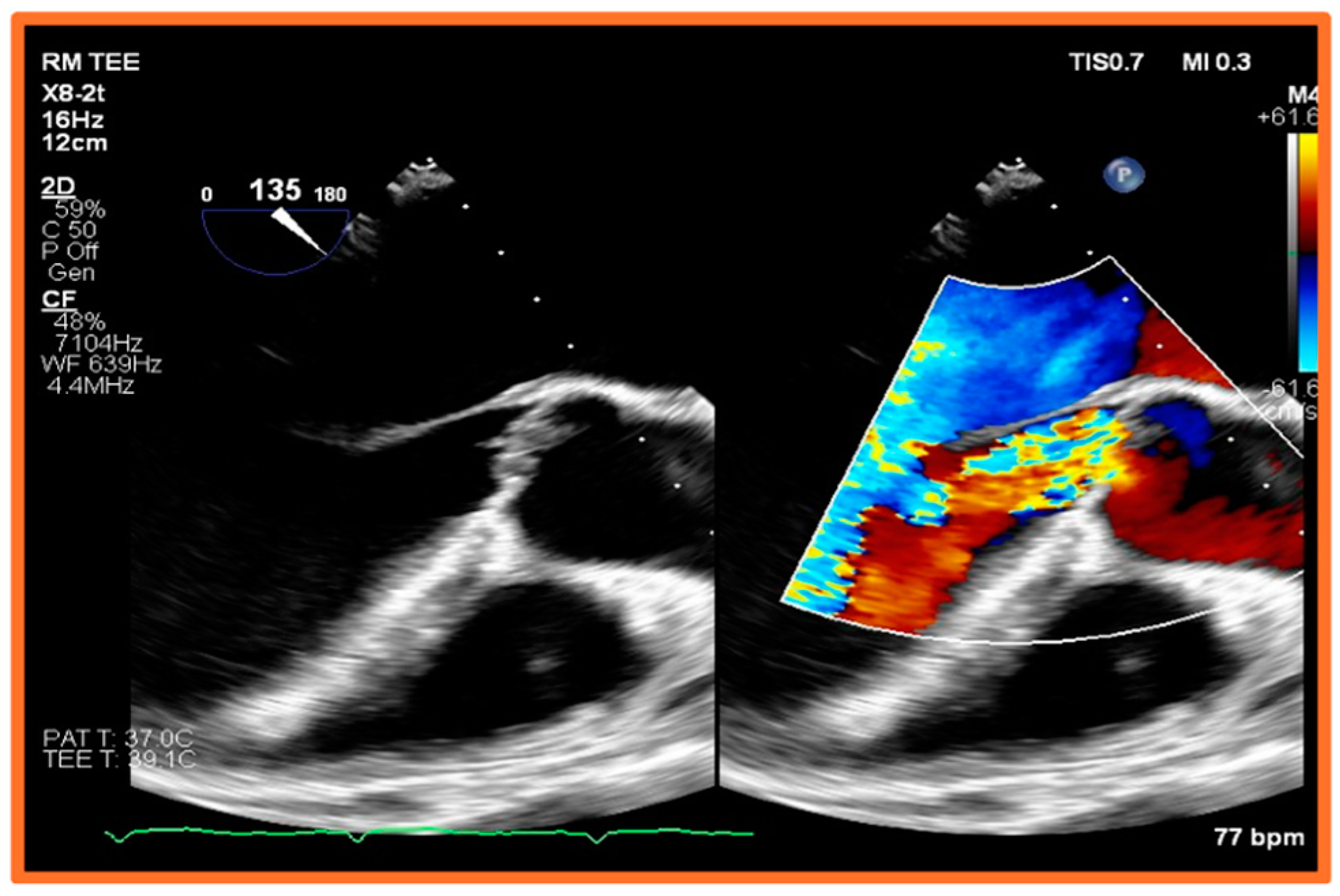
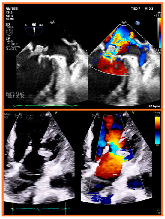
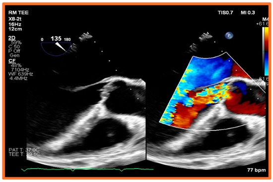
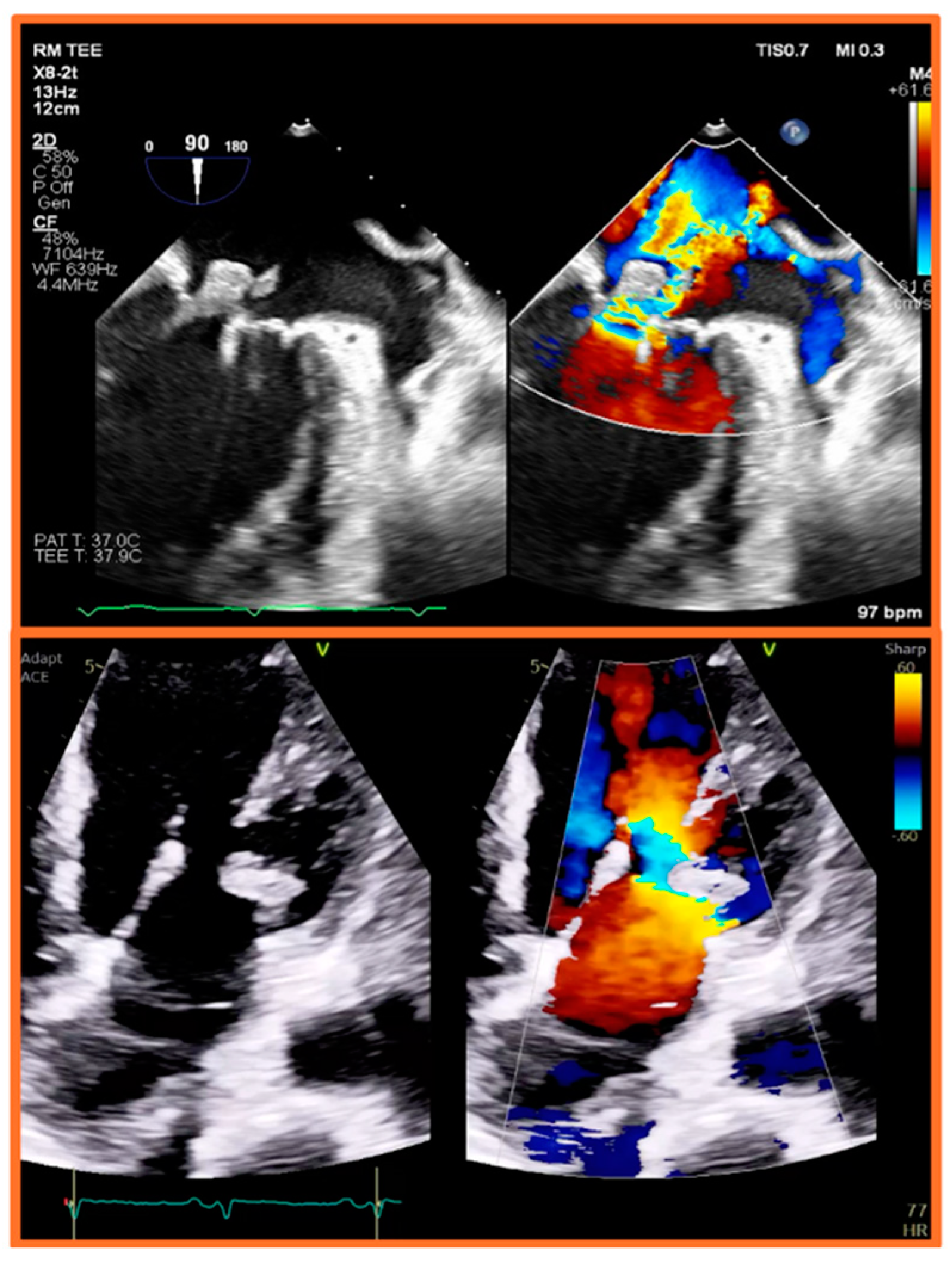
5. Cardiac Imaging of Infective Endocarditis in Dialysis Patients
5.1. Transthoracic Echocardiography (TTE)
5.2. Transesophageal Echocardiography (TEE)
5.3. Computed Tomography (CT)
5.4. Nuclear Imaging
5.5. Cardiac Magnetic Resonance (CMR) Imaging
6. Management of Infective Endocarditis in Dialysis Patients
6.1. Medical Management
6.2. Surgical Management
6.3. Non-Surgical Interventions
7. Future Directions
8. Conclusions
Author Contributions
Funding
Conflicts of Interest
References
- Ramos-Martínez, A.; Roque, F.; Fariñas, M.; Muñoz, P.; Verde, E.; Cuerpo, G.; de Alarcón, A.; Lepe, J.; Miró, J.; Plata, A.; et al. Prognostic factors of infective endocarditis in patients on hemodialysis: A case series from a National Multicenter Registry. Int. J. Cardiol. 2017, 241, 295–301. [Google Scholar] [CrossRef] [PubMed]
- Pericàs, J.; Llopis, J.; Jiménez-Exposito, M.; Kourany, W.; Almirante, B.; Carosi, G.; Durante-Mangoni, E.; Fortes, C.; Giannitsioti, E.; Lerakis, S.; et al. Infective Endocarditis in Patients on Chronic Hemodialysis. J. Am. Coll. Cardiol. 2021, 77, 1629–1640. [Google Scholar] [CrossRef]
- Bhatia, N.; Agrawal, S.; Garg, A.; Mohananey, D.; Sharma, A.; Agarwal, M.; Garg, L.; Agrawal, N.; Singh, A.; Nanda, S.; et al. Trends and outcomes of infective endocarditis in patients on dialysis. Clin. Cardiol. 2017, 40, 423–429. [Google Scholar] [CrossRef]
- Ludvigsen, L.; Dalgaard, L.; Wiggers, H.; Jensen-Fangel, S.; Jespersen, B.; Ellermann-Eriksen, S.; Østergaard, L.; Søgaard, O. Infective endocarditis in patients receiving chronic hemodialysis: A 21-year observational cohort study in Denmark. Am. Heart J. 2016, 182, 36–43. [Google Scholar] [CrossRef]
- Oullaï, A.; Cubilier, E.; Salaouatchi, M.; Taghavi, M.; Zouggari, Y.; Nortier, J.; Mesquita, M. Iatrogenic Infective Endocarditis in Hemodialysis Patients: A Case Report and Review of the Literature. Case Rep. Nephrol. 2022, 2022, 8500299. [Google Scholar] [CrossRef] [PubMed]
- Vasudev, R.; Shah, P.; Kaur, S.; Chitturi, C.; Yamini, S.; Mechineni, A.; Chandran, C.; Bikkina, M.; Shamoon, F. Infective Endocarditis in Hemodialysis Patients. J. Heart Valve Dis. 2016, 25, 369–374. [Google Scholar]
- Baddour, L.; Wilson, W.; Bayer, A.; Fowler, V.; Tleyjeh, I.; Rybak, M.; Barsic, B.; Lockhart, P.; Gewitz, M.; Levison, M.; et al. Infective Endocarditis in Adults: Diagnosis, Antimicrobial Therapy, and Management of Complications: A Scientific Statement for Healthcare Professionals from the American Heart Association. Circulation 2015, 132, 1435–1486. [Google Scholar] [CrossRef] [PubMed]
- Delgado, V.; Ajmone Marsan, N.; de Waha, S.; Bonaros, N.; Brida, M.; Burri, H.; Caselli, S.; Doenst, T.; Ederhy, S.; Erba, P.; et al. 2023 ESC Guidelines for the management of endocarditis. Eur. Heart J. 2023, 44, 3948–4042. [Google Scholar] [CrossRef]
- Guo, M.; St Pierre, E.; Clemence, J.; Wu, X.; Tang, P.; Romano, M.; Kim, K.; Yang, B. Impact of Chronic Renal Failure on Surgical Outcomes in Patients with Infective Endocarditis. Ann. Thorac. Surg. 2021, 111, 828–835. [Google Scholar] [CrossRef] [PubMed]
- Espi, M.; Koppe, L.; Fouque, D.; Thaunat, O. Chronic Kidney Disease-Associated Immune Dysfunctions: Impact of Protein-Bound Uremic Retention Solutes on Immune Cells. Toxins 2020, 12, 300. [Google Scholar] [CrossRef]
- Betjes, M. Prevention of catheter-related bloodstream infection in patients on hemodialysis. Nat. Rev. Nephrol. 2011, 7, 257–265. [Google Scholar] [CrossRef] [PubMed]
- Chaudry, M.; Carlson, N.; Gislason, G.; Kamper, A.; Rix, M.; Fowler, V.; Torp-Pedersen, C.; Bruun, N. Risk of Infective Endocarditis in Patients with End Stage Renal Disease. Clin. J. Am. Soc. Nephrol. CJASN 2017, 12, 1814–1822. [Google Scholar] [CrossRef] [PubMed]
- Kwon, S.; Park, S.; Bang, D.; Lee, M.; Hyon, M.; Lee, S.; Yun, S.; Song, D.; Park, B. Clinical characteristics and outcomes of infective endocarditis: Impact of haemodialysis status, especially vascular access infection on short-term mortality. Infect. Dis. 2021, 53, 669–677. [Google Scholar] [CrossRef] [PubMed]
- Tsai, C.; Hsu, C.; Chen, K. Incidence and clinical features of patients with peritoneal dialysis peritonitis complicated by bacteremia. Medicine 2018, 97, e13567. [Google Scholar] [CrossRef] [PubMed]
- Li, P.; Szeto, C.; Piraino, B.; de Arteaga, J.; Fan, S.; Figueiredo, A.; Fish, D.; Goffin, E.; Kim, Y.; Salzer, W.; et al. ISPD Peritonitis Recommendations: 2016 Update on Prevention and Treatment. Perit. Dial. Int. 2016, 36, 481–508. [Google Scholar] [CrossRef] [PubMed]
- Jeon, H.; Lo, K.; Quintero, E.; Lee, B.; Gulab, A.; Bhargav, R.; Pressman, G. Dialysis access as a source of infective endocarditis in dialysis patients. Monaldi Arch. Chest Dis.=Arch. Monaldi Mal. Torace 2020, 90, 620–626. [Google Scholar] [CrossRef]
- Zolfaghari, F.; Peighambari, M.M.; Kohansal, E.; Sadeghpour, A.; Moradnejad, P.; Shafii, Z. Comparative analysis of infective endocarditis in hemodialysis versus non-hemodialysis patients in Iran: Implications for clinical practice and future research. BMC Cardiovasc. Disord. 2024, 24, 8. [Google Scholar] [CrossRef]
- Durante-Mangoni, E.; Pafundi, P.; Ravasio, V.; Barbaro, F.; Bassetti, M.; Chinello, P.; Falcone, M.; Pasticci, M.; Scotton, P.; Stellini, R.; et al. Current features of infective endocarditis in persons on hemodialysis: A prevalence study with case control design from the prospective multicenter SEI cohort. Infection 2016, 44, 467–474. [Google Scholar] [CrossRef] [PubMed]
- Allon, M. Vascular Access for Hemodialysis Patients: New Data Should Guide Decision Making. Clin. J. Am. Soc. Nephrol. CJASN 2019, 14, 954–961. [Google Scholar] [CrossRef]
- Gallacher, P.; McAllister, D.; Mills, N.; Cruden, N.; Shah, A.; Dhaun, N. Infective Endocarditis Hospitalizations and Outcomes in Patients with End-Stage Kidney Disease: A Nationwide Data-Linkage Study. J. Am. Heart Assoc. 2021, 10, e022002. [Google Scholar] [CrossRef]
- Jones, D.; McGill, L.; Rathod, K.; Matthews, K.; Gallagher, S.; Uppal, R.; Mills, P.; Das, S.; Yaqoob, M.; Ashman, N.; et al. Characteristics and outcomes of dialysis patients with infective endocarditis. Nephron. Clin. Pract. 2013, 123, 151–156. [Google Scholar] [CrossRef]
- Tao, J.; Ma, J.; Ge, G.; Chen, L.; Li, H.; Zhou, B.; Sun, Y.; Yea, W.; Miao, Q.; Li, X.; et al. Diagnosis and treatment of infective endocarditis in chronic hemodialysis patients. Chin. Med. Sci. J. = Chung-Kuo I Hsueh K’o Hsueh Tsa Chih 2010, 25, 135–139. [Google Scholar] [CrossRef]
- Lok, C.; Huber, T.; Lee, T.; Shenoy, S.; Yevzlin, A.; Abreo, K.; Allon, M.; Asif, A.; Astor, B.; Glickman, M.; et al. KDOQI Clinical Practice Guideline for Vascular Access: 2019 Update. Am. J. Kidney Dis. 2020, 75, S1–S164. [Google Scholar] [CrossRef]
- Baltimore, R.; Gewitz, M.; Baddour, L.; Beerman, L.; Jackson, M.; Lockhart, P.; Pahl, E.; Schutze, G.; Shulman, S.; Willoughby, R. Infective Endocarditis in Childhood: 2015 Update: A Scientific Statement From the American Heart Association. Circulation 2015, 132, 1487–1515. [Google Scholar] [CrossRef]
- Campos, E.; Cuevas-Budhart, M.; Cedillo-Flores, R.; Candelario-López, J.; Jiménez, R.; Flores-Almonte, A.; Ramos-Sanchez, A.; Divino Filho, J. Is central venous catheter in haemodialysis still the main factor of mortality after hospitalization? BMC Nephrol. 2024, 25, 90. [Google Scholar] [CrossRef] [PubMed]
- Liau, S.; Kuo, G.; Chen, C.; Chen, Y.; Lu, Y.; Lin, Y.; Hung, C.; Tian, Y.; Hsu, H. In-Hospital and Long-Term Outcomes of Infective Endocarditis in Chronic Dialysis Patients. Int. J. Gen. Med. 2021, 14, 425–434. [Google Scholar] [CrossRef] [PubMed]
- Sheppard, M. Infective endocarditis. Diagn. Histopathol. 2022, 28, 199–208. [Google Scholar] [CrossRef]
- Gnass, M.; Gielish, C.; Acosta-Gnass, S. Incidence of nosocomial hemodialysis-associated bloodstream infections at a county teaching hospital. Am. J. Infect. Control 2014, 42, 182–184. [Google Scholar] [CrossRef]
- Abbasi, S.; Aftab, R.; Chua, S. Risk factors associated with nosocomial infections among end stage renal disease patients undergoing hemodialysis: A systematic review. PLoS ONE 2020, 15, e0234376. [Google Scholar] [CrossRef] [PubMed]
- Chambers, S.; Murdoch, D.; Morris, A.; Holland, D.; Pappas, P.; Almela, M.; Fernández-Hidalgo, N.; Almirante, B.; Bouza, E.; Forno, D.; et al. HACEK infective endocarditis: Characteristics and outcomes from a large, multi-national cohort. PLoS ONE 2013, 8, e63181. [Google Scholar] [CrossRef] [PubMed]
- Zacharioudakis, I.; Zervou, F.; Ziakas, P.; Mylonakis, E. Meta-analysis of methicillin-resistant Staphylococcus aureus colonization and risk of infection in dialysis patients. J. Am. Soc. Nephrol. JASN 2014, 25, 2131–2141. [Google Scholar] [CrossRef]
- Nguyen, D.; Lessa, F.; Belflower, R.; Mu, Y.; Wise, M.; Nadle, J.; Bamberg, W.; Petit, S.; Ray, S.; Harrison, L.; et al. Invasive methicillin-resistant Staphylococcus aureus infections among patients on chronic dialysis in the United States, 2005–2011. Clin. Infect. Dis. 2013, 57, 1393–1400. [Google Scholar] [CrossRef]
- Medicherla, R.; Phair, J.; Carnevale, M.; Jakobleff, W.; Lipsitz, E.; Scher, L. Cardiac valve replacement for infective endocarditis in patients with end stage renal disease on hemodialysis—A single institution experience. Vascular 2020, 28, 104–108. [Google Scholar] [CrossRef] [PubMed]
- Fitzgerald, S.; O’Gorman, J.; Morris-Downes, M.; Crowley, R.; Donlon, S.; Bajwa, R.; Smyth, E.; Fitzpatrick, F.; Conlon, P.; Humphreys, H. A 12-year review of Staphylococcus aureus bloodstream infections in haemodialysis patients: More work to be done. J. Hosp. Infect. 2011, 79, 218–221. [Google Scholar] [CrossRef] [PubMed]
- Bläckberg, A.; Morenius, C.; Olaison, L.; Berge, A.; Rasmussen, M. Infective endocarditis caused by HACEK group bacteria-a registry-based comparative study. Eur. J. Clin. Microbiol. Infect. Dis. 2021, 40, 1919–1924. [Google Scholar] [CrossRef]
- Li, P.; Chow, K. Infectious complications in dialysis—Epidemiology and outcomes. Nat. Rev. Nephrol. 2011, 8, 77–88. [Google Scholar] [CrossRef]
- Usuku, H.; Yamamoto, E.; Arima, Y.; Takashio, S.; Araki, S.; Sueta, D.; Kanazawa, H.; Suzuki, S.; Yoshimura, H.; Tsunoda, R.; et al. Accumulation of coronary risk factors is associated with progression of mitral annular calcification in patients undergoing dialysis therapy: A long-term follow-up study. Int. J. Cardiol. 2019, 293, 248–253. [Google Scholar] [CrossRef]
- Echefu, G.; Stowe, I.; Burka, S.; Basu-Ray, I.; Kumbala, D. Pathophysiological concepts and screening of cardiovascular disease in dialysis patients. Front. Nephrol. 2023, 3, 1198560. [Google Scholar] [CrossRef] [PubMed]
- El Khudari, H.; Ozen, M.; Kowalczyk, B.; Bassuner, J.; Almehmi, A. Hemodialysis Catheters: Update on Types, Outcomes, Designs and Complications. Semin. Interv. Radiol. 2022, 39, 90–102. [Google Scholar] [CrossRef]
- Farrington, D.; Kilgo, P.; Thourani, V.; Jacob, J.; Steinberg, J. High Risk of Prosthetic Valve Endocarditis and Death after Valve Replacement Operations in Dialysis Patients. Ann. Thorac. Surg. 2016, 101, 2217–2223. [Google Scholar] [CrossRef] [PubMed]
- Vinod, P.; Khayata, M.; Haouzi, A.; Xu, B. Role of multimodality imaging in infective endocarditis: A comparison of the major society guidelines in the United States and Europe. Trends Cardiovasc. Med. 2024, in press. [Google Scholar] [CrossRef]
- Fowler, V.; Durack, D.; Selton-Suty, C.; Athan, E.; Bayer, A.; Chamis, A.; Dahl, A.; DiBernardo, L.; Durante-Mangoni, E.; Duval, X.; et al. The 2023 Duke-International Society for Cardiovascular Infectious Diseases Criteria for Infective Endocarditis: Updating the Modified Duke Criteria. Clin. Infect. Dis. 2023, 77, 518–526. [Google Scholar] [CrossRef]
- Malik, S.; Hsu, J.; Hurwitz Koweek, L.; Ghoshhajra, B.; Beache, G.; Brown, R.; Davis, A.; Johri, A.; Kligerman, S.; Litmanovich, D.; et al. ACR Appropriateness Criteria® Infective Endocarditis. J. Am. Coll. Radiol. JACR 2021, 18, S52–S61. [Google Scholar] [CrossRef] [PubMed]
- Ito, T.; Akamatsu, K. Echocardiographic manifestations in end-stage renal disease. Heart Fail. Rev. 2024, 29, 465–478. [Google Scholar] [CrossRef]
- Otto, C.; Nishimura, R.; Bonow, R.; Carabello, B.; Erwin, J.; Gentile, F.; Jneid, H.; Krieger, E.; Mack, M.; McLeod, C.; et al. 2020 ACC/AHA Guideline for the Management of Patients with Valvular Heart Disease: A Report of the American College of Cardiology/American Heart Association Joint Committee on Clinical Practice Guidelines. J. Am. Coll. Cardiol. 2021, 77, e25–e197. [Google Scholar] [CrossRef]
- Wong, D.; Rubinshtein, R.; Keynan, Y. Alternative Cardiac Imaging Modalities to Echocardiography for the Diagnosis of Infective Endocarditis. Am. J. Cardiol. 2016, 118, 1410–1418. [Google Scholar] [CrossRef]
- Baddour, L.; Wilson, W.; Bayer, A.; Fowler, V.; Bolger, A.; Levison, M.; Ferrieri, P.; Gerber, M.; Tani, L.; Gewitz, M.; et al. Infective endocarditis: Diagnosis, antimicrobial therapy, and management of complications: A statement for healthcare professionals from the Committee on Rheumatic Fever, Endocarditis, and Kawasaki Disease, Council on Cardiovascular Disease in the Young, and the Councils on Clinical Cardiology, Stroke, and Cardiovascular Surgery and Anesthesia, American Heart Association: Endorsed by the Infectious Diseases Society of America. Circulation 2005, 111, e394–e434. [Google Scholar] [CrossRef] [PubMed]
- Bourque, J.; Birgersdotter-Green, U.; Bravo, P.; Budde, R.; Chen, W.; Chu, V.; Dilsizian, V.; Erba, P.; Gallegos Kattan, C.; Habib, G.; et al. 18F-FDG PET/CT and radiolabeled leukocyte SPECT/CT imaging for the evaluation of cardiovascular infection in the multimodality context: ASNC Imaging Indications (ASNC I2) Series Expert Consensus Recommendations from ASNC, AATS, ACC, AHA, ASE, EANM, HRS, IDSA, SCCT, SNMMI, and STS. J. Nucl. Cardiol. 2024, 34, 101786. [Google Scholar] [CrossRef]
- Bashore, T.; Balter, S.; Barac, A.; Byrne, J.; Cavendish, J.; Chambers, C.; Hermiller, J.; Kinlay, S.; Landzberg, J.; Laskey, W.; et al. 2012 American College of Cardiology Foundation/Society for Cardiovascular Angiography and Interventions expert consensus document on cardiac catheterization laboratory standards update: A report of the American College of Cardiology Foundation Task Force on Expert Consensus documents developed in collaboration with the Society of Thoracic Surgeons and Society for Vascular Medicine. J. Am. Coll. Cardiol. 2012, 59, 2221–2305. [Google Scholar] [CrossRef]
- Parra, J.; Hernández, L.; Muñoz, P.; Blanco, G.; Rodríguez-Álvarez, R.; Vilar, D.; de Alarcón, A.; Goenaga, M.; Moreno, M.; Fariñas, M. Detection of spleen, kidney and liver infarcts by abdominal computed tomography does not affect the outcome in patients with left-side infective endocarditis. Medicine 2018, 97, e11952. [Google Scholar] [CrossRef] [PubMed]
- Hryniewiecki, T.; Zatorska, K.; Abramczuk, E.; Zakrzewski, D.; Szymański, P.; Kuśmierczyk, M.; Michałowska, I. The usefulness of cardiac CT in the diagnosis of perivalvular complications in patients with infective endocarditis. Eur. Radiol. 2019, 29, 4368–4376. [Google Scholar] [CrossRef]
- Bahrainwala, J.; Leonberg-Yoo, A.; Rudnick, M. Use of Radiocontrast Agents in CKD and ESRD. Semin. Dial. 2017, 30, 290–304. [Google Scholar] [CrossRef]
- Anton-Vazquez, V.; Cannata, A.; Amin-Youssef, G.; Watson, S.; Fife, A.; Mulholland, N.; Gunning, M.; Papachristidis, A.; MacCarthy, P.; Baghai, M.; et al. Diagnostic value of 18F-FDG PET/CT in infective endocarditis. Clin. Res. Cardiol. 2022, 111, 673–679. [Google Scholar] [CrossRef]
- Hohmann, C.; Michels, G.; Schmidt, M.; Pfister, R.; Mader, N.; Ohler, M.; Blanke, L.; Jazmati, N.; Lehmann, C.; Rybniker, J.; et al. Diagnostic challenges in infective endocarditis: Is PET/CT the solution? Infection 2019, 47, 579–587. [Google Scholar] [CrossRef]
- Rutherford, E.; Talle, M.; Mangion, K.; Bell, E.; Rauhalammi, S.; Roditi, G.; McComb, C.; Radjenovic, A.; Welsh, P.; Woodward, R.; et al. Defining myocardial tissue abnormalities in end-stage renal failure with cardiac magnetic resonance imaging using native T1 mapping. Kidney Int. 2016, 90, 845–852. [Google Scholar] [CrossRef]
- El-Dalati, S.; Shea, M.; Fukuhara, S.; Weinberg, R.; Ressler, K.; Perry, D.; Wolverton, J.; Geltz, A.; Deeb, G. The Role of Coronary Catheterization with Angiography in Surgically Managed Infectious Endocarditis. Am. J. Med. 2020, 133, 1101–1104. [Google Scholar] [CrossRef]
- Iversen, K.; Ihlemann, N.; Gill, S.; Madsen, T.; Elming, H.; Jensen, K.; Bruun, N.; Høfsten, D.; Fursted, K.; Christensen, J.; et al. Partial Oral versus Intravenous Antibiotic Treatment of Endocarditis. N. Engl. J. Med. 2019, 380, 415–424. [Google Scholar] [CrossRef] [PubMed]
- Mermel, L.; Allon, M.; Bouza, E.; Craven, D.; Flynn, P.; O’Grady, N.; Raad, I.; Rijnders, B.; Sherertz, R.; Warren, D. Clinical practice guidelines for the diagnosis and management of intravascular catheter-related infection: 2009 Update by the Infectious Diseases Society of America. Clin. Infect. Dis. 2009, 49, 1–45. [Google Scholar] [CrossRef] [PubMed]
- Iung, B.; Doco-Lecompte, T.; Chocron, S.; Strady, C.; Delahaye, F.; Le Moing, V.; Poyart, C.; Alla, F.; Cambau, E.; Tattevin, P.; et al. Cardiac surgery during the acute phase of infective endocarditis: Discrepancies between European Society of Cardiology guidelines and practices. Eur. Heart J. 2016, 37, 840–848. [Google Scholar] [CrossRef] [PubMed]
- Gatti, G.; Fiore, A.; Ismail, M.; Dralov, A.; Saade, W.; Costantino, V.; Barbati, G.; Lim, P.; Lepeule, R.; Franzese, I.; et al. Prediction of 30-day mortality after surgery for infective endocarditis using risk scores: Insights from a European multicenter comparative validation study. Am. Heart J. 2024, 275, 108–118. [Google Scholar] [CrossRef]
- Raza, S.; Hussain, S.; Rajeswaran, J.; Ansari, A.; Trezzi, M.; Arafat, A.; Witten, J.; Ravichandren, K.; Riaz, H.; Javadikasgari, H.; et al. Value of surgery for infective endocarditis in dialysis patients. J. Thorac. Cardiovasc. Surg. 2017, 154, 61–70.e6. [Google Scholar] [CrossRef] [PubMed]
- Ting, S.; Chen, J.; Lee, T.; Kuo, G. Surgical versus medical treatment for infective endocarditis in patients on dialysis: A systematic review and meta-analysis. Ren. Fail. 2022, 44, 706–713. [Google Scholar] [CrossRef] [PubMed]
- Wang, W.; Itagaki, S.; Egorova, N. Minimally invasive procedures for right side infective endocarditis: A targeted literature review. Catheter. Cardiovasc. Interv. 2024, 103, 1050–1061. [Google Scholar] [CrossRef] [PubMed]
- Memon, S.; Goldman, S.; Hawthorne, K.; Gnall, E. Percutaneous transeptal mitral valve endocarditis debulking with AngioVac aspiration system. Catheter. Cardiovasc. Interv. 2022, 100, 667–673. [Google Scholar] [CrossRef] [PubMed]
- Al-Chalabi, S.; Tay, T.; Chinnadurai, R.; Kalra, P. Risk factors for infective endocarditis in patients receiving hemodialysis: A propensity score matched cohort study. Clin. Nephrol. 2023, 100, 51–59. [Google Scholar] [CrossRef]
- Snipsøyr, M.; Wiggers, H.; Ludvigsen, M.; Stensballe, A.; Vorum, H.; Poulsen, S.; Rasmussen, L.; Petersen, E.; Honoré, B. Towards identification of novel putative biomarkers for infective endocarditis by serum proteomic analysis. Int. J. Infect. Dis. 2020, 96, 73–81. [Google Scholar] [CrossRef]





| Study | IE Diagnosis Compared to Non-Dialysis Patients | Causative Microorganism(s) | Affected Valve(s) | Valve Type (Native; Prosthetic) | Imaging | Imaging Findings |
|---|---|---|---|---|---|---|
| Zolfaghari et al., 2024 [17] Iran | Acute: 20/34 (58.8%) Subacute: 2/34 (5.8%) Chronic: 3/34 (8.82%) * | Coagulase-negative staphylococci 5/34 (14.71%) S. aureus 4/34 (11.7%; MRSA 5.8%) Enterococci 3/34 (8.8%) Fungal infection 3/34 (8.8%) | Mitral valve: 14/34 (41.1%) Tricuspid valve: 13/34 (38.2%) * Aortic valve: 12/34 (35.2%) Pulmonic valve: 2/34 (5.8%) | Native valve: 34/34 (100%) Prosthetic valve: 2/34 (5.88%) | TTE/TEE | Most common vegetation sites were left-sided valves Right-sided valves more affected in HD patients Simultaneous right- and left-sided vegetations (native and prosthetic valves) more common in HD patients |
| Pericas et al., 2021 [2] International | Length of symptoms to presentation <1 Month: 456/498 (91.6%) * in HD vs. 4402/5608 (78.5%) in non-HD | S. aureus: 252 (47.8%) * MRSA: 95/252 (37.7%) * Coagulase-negative staphylococci: 78 (14.8%) * Enterococci: 81 (15.4%) * Non-HACEK Gram-negative: 20 (3.8%) Blood culture negative: 28 (5.3%) | Mitral valve: 173 (31.7%) * Aortic valve: 122 (22.3%) * Tricuspid valve: 39 (7.1%) Aortic + mitral Valve: 59 (10.8%) Mitral + tricuspid Valve: 39 (7.1%) * | Native valve: 419 (77.2%) * Prosthetic valve: 76 (14%) * | TTE/TEE | Intracardiac vegetations: 481 (87.6%) * |
| Gallacher et al., 2021 [20] Scotland | Not described | S. aureus: 21/81 (25.9%) * Coagulase-negative Staphylococcus spp.: 8/81 (9.9%) Streptococcus spp.: 8/81 (9.9%) Other (polymicrobial/Enterococcus spp.): 10/81 (12.3%) Negative blood cultures/blood cultures not taken: 34/81 (42%) | Not described | Not described | Not described | Not described |
| Kwon et al., 2021 [13] Korea | Definite IE HD: 30/34 (88.2%); non-HD 38/46 (82.6%) | S. aureus: 21/34 (61.8%) MSSA: 2/34 (5.9%) MRSA: 19/34 (55.9%) Coagulase-negative Staphylococcus spp.: 1/31 (2.9%) Viridans streptococci: 2/34 (5.8%) Culture negative: 4/34 (11.8%) | Aortic valve: 8/34 (23.5%) Mitral valve: 21/34 (61.7%) Tricuspid valve: 4/34 (11.7%) Two or more affected valves: 1/34 (2.9%) | Native valve: 34/34 (100%) Prosthetic valve: 0/34 (0%) | TTE: 34/34 (100%) TEE: 25/34 (73.5%) | Identified vegetation: only in TEE 11/34 (32.3%) in HD 14/34 (30.4%) in non-HD * |
| Bhatia et al., 2017 [3] United States | Not described | S. aureus: 18,860/30,995 (60.8%) * Non-aureus staphylococcus: 4541/30,995 (14.7%) * Gram-negative bacilli: 3163/30,995 (10.2%) Fungi: 131/30,995 (0.4%) Streptococcus: 4354/30,995 (14%) Enterococcus: 2734/30,995 (8.8%) | Not described | Not described | Not described | Not described |
| Durante-Mangoni et al., 2016 [18] Italy | TTE evidence of IE: 34/42 (81%) TEE evidence of IE: 24/28 (85.7%) | S. aureus: 15/42 (44.1%) * Staphylococcus: 8/42 (23.5%) Streptococcus: 3/42 (8.8%) Enterococcus: 6/42 (17.7%) Polymicrobial IE: 3/42 (8.8%) | Aortic valve: 13/42 (35%) Mitral valve: 14/42 (35%) Tricuspid/pulmonary valve: 7/42 (15%) | Native valve: 29/42 (69%) Prosthetic valve: 10/42 (23.8%) CIED: 4/42 (7.1%) | TTE: 42/42 (100%) TEE: 28/42 (66.7%) | Valvular regurgitation: Aortic: 15/42 (35.7%) Mitral: 15/42 (35.7%) Tricuspid: 4/42 (9.5%) Pulmonary: 1/42 (2.4%) None: 7/42 (16.7%) |
| Jones et al., 2013 [21] United Kingdom | 100% dialysis patients | S. aureus: 17/42 (40.4%) MRSA: 2/42 (4.7%) S. epidermidis: 5/42 (11.9%) Culture negative: 5/42 (11.9%) E. coli: 1/42 (2.3%) Enterococcus 5/42 (11.9%) Coliforms: 1/42 (2.3%) Unknown: 2/42 (4.76%) | Mitral valve: 13/42 (30.9%) Aortic valve: 18/42 (42.8%) Tricuspid valve: 5/42 (11.9%) 2+ valves: 4/42 (9.5%) Eustachian valve: 1/42 (2.3%) CIED: 1/42 (2.3%) | Native valve: 38/42 (90.4%) Prosthetic valve: 4/42 (9.52%) | TTE: 42/42 (100%) | TTE-identified vegetations: 10/42 (23.8%) |
| Tao et al., 2010 [22] China | 6/6 (100%) | Klebsiella pneumoniae: 1/6 (16.6%) Culture negative: 2/6 (33.3%) Enterococcus: 1/6 (16.6%) MRSA: 2/6 (33.3%) | Aortic valve: 2/6 (33.3%) Mitral valve: 3/6 (50%) Mitral + aortic: 1/6 (16.6%) | Native valve: 6/6 (100%) | TTE: 6/6 (100%) TEE: 1/6 (16.6%) | TTE-identified vegetations: 5/6 (83.3%) TEE-identified vegetations: 1/6 (16.6%) |
| Study | Medical Management | Antibiotic Regimen | Surgical Management | Surgical Intervention | Extra-Valvular Complications | In-Hospital Mortality | Most Common Cause of Death |
|---|---|---|---|---|---|---|---|
| Zolfaghari et al., 2024 [17] Iran | Total: 16/34 (47.1%) Survived: 9/16 (56.3%) Dead: 7/16 (43.8%) | Vancomycin (85.2%) Meropenem (55.8%) Ciprofloxacin (29.4%) Linezolid (17.6%) Ceftriaxone (17.65%) | Total: 18/34 (52.9%) Survived: 11/18 (61.1%) Dead: 7/18 (38.9%) | Valve Surgeries | Pulmonary emboli: (29.4%) Lung abscesses: (11.7%) Cerebral emboli: (5.8%) Splenic abscesses: (5.8%) Brain abscesses: (2.9%) | 14/34 (41.18%) | Sepsis-induced multi-organ failure |
| Pericas et al., 2021 [2] International | 381/549 (69.3%) | Beta-lactams: 69 (19.7%) Glycopeptides: 82 (23.4%) Aminoglycosides: 14 (4%) Beta-lactams + aminoglycosides: 52 (14.8%) Glycopeptides + aminoglycosides: 63 (17.9%) Glycopeptides + beta-lactams: 16 (4.6%) Glycopeptides + beta-lactams + aminoglycosides: 23 (6.6%) | 168/549 (30.6%) | Valve Surgeries | Stroke: 95 (17.2%) Systemic embolization (non-stroke): 104 (18.8%) CHF: 143 (25.9%) Persistent bacteremia: 124 (22.4%) Paravalvular complications: abscess: 72 (13.1%) perforation: 60 (10.9%) Intracardiac fistula: 12 (2.2%) New moderate or severe regurgitation: 288 (52.5%) | 168/553 (30.4%) | Not described |
| Gallacher et al., 2021 [20] Scotland | Not Described | Not described | 30/216 (13.9%) | Valve Surgeries | Stroke: 14 (6.5%) Acute heart failure: 21 (9.7%) | 40 (18.5%) | Not described |
| Kwon et al., 2021 [13] Korea | 23/34 (67.6%) | Not described | 11/34 (32.3%) | Valve Surgeries | Heart failure: 10/34 (29.4%) Conduction abnormality: 3/34 (8.8%) CNS emboli: 7/34 (20.5%) Septic lung: 9/34 (26.4%) Other emboli: 6/34 (17.6%) Stroke: 7/34 (20.5%) | 17/34 (50%) | Not described |
| Bhatia et al., 2017 [3] United States | 41,555/44,816 (92.7%) | Not described | Total Valve Replacement surgery: 3261/44,816 (7.3%) AVR: 1802/44,816 (55.3%) MVR: 1857/44,816 (56.9%) TVR: 121/44,816 (3.7%) PVR: 10/44,816 (0.3%) Multiple Valve Replacement: 524/44,816 (16.1%) | Valve Surgeries | Acute stroke: 4480/44,816 (10%) | 7495/29,814 (25.1%) | Not described |
| Durante-Mangoni et al., 2016 [18] Italy | 26/42 (61.9%) | Glycopeptides: (35.7 vs. 16.7%) Penicillin G/ampicillin: (21.4 vs. 46.8%) | 16/42 (38%) HD 46/126 (36.5%) non-HD Main indications: heart failure and high embolic risk | Mechanical: 62 vs. 65.1% Bioprosthetic: 35.7 vs. 28.6% | Heart failure: 17/42 (40.5%) Intracardiac abscess: 12/42 (9.5%) Stroke: 6/42 (14.3%) Non-cerebral embolism: 16/42 (38.1%) Perforation: 2/42 (4.8%) New valve regurgitation: 9/42 (21.4%) Prosthesis dehiscence: 4/42 (9.5%) | 26.2% HD 15.9% non-HD | Older age |
| Jones et al., 2013 [21] United Kingdom | 33/4 (78.5%) | Not described | 9/42 (21.4%) Patients receiving surgery were younger and less likely to be infected with S. aureus. Average EuroSCORE was 10 for surgically treated patients and 14 for medically treated patients | Valve Surgeries | Extracardiac septic emboli (paraspinal, splenic, colonic, distal limb): 5/42 (12%) Recurrence of endocarditis: 4/42 (9.5%). 1/42 had an intracardiac device that needed replacement 1/42 had prosthetic AV endocarditis that needed replacement | 14.3% during initial hospitalization 29.2% at 30 days 32.7% at 3 months | Age > 60 years, septic emboli, and MRSA |
| Tao et al., 2010 China [22] | 3/6 (50%) | Treated for 4 weeks in 2/6 (33.3%) Treated for 6 weeks in 1/6 (16.6%) Treated for 7 weeks in 1/6 (16.6%) | 2/6 (33.3%) | Valve Surgeries: 2/6 (33.3%) | Not described | 0/6 (0%) | Death due to missed dialysis 2/2 ADHF |
Disclaimer/Publisher’s Note: The statements, opinions and data contained in all publications are solely those of the individual author(s) and contributor(s) and not of MDPI and/or the editor(s). MDPI and/or the editor(s) disclaim responsibility for any injury to people or property resulting from any ideas, methods, instructions or products referred to in the content. |
© 2024 by the authors. Licensee MDPI, Basel, Switzerland. This article is an open access article distributed under the terms and conditions of the Creative Commons Attribution (CC BY) license (https://creativecommons.org/licenses/by/4.0/).
Share and Cite
Issa, R.; Chaaban, N.; Salahie, A.; Honnekeri, B.; Parizher, G.; Xu, B. Infective Endocarditis in Patients with End-Stage Renal Disease on Dialysis: Epidemiology, Risk Factors, Diagnostic Challenges, and Management Approaches. Healthcare 2024, 12, 1631. https://doi.org/10.3390/healthcare12161631
Issa R, Chaaban N, Salahie A, Honnekeri B, Parizher G, Xu B. Infective Endocarditis in Patients with End-Stage Renal Disease on Dialysis: Epidemiology, Risk Factors, Diagnostic Challenges, and Management Approaches. Healthcare. 2024; 12(16):1631. https://doi.org/10.3390/healthcare12161631
Chicago/Turabian StyleIssa, Rochell, Nourhan Chaaban, Abdullah Salahie, Bianca Honnekeri, Gary Parizher, and Bo Xu. 2024. "Infective Endocarditis in Patients with End-Stage Renal Disease on Dialysis: Epidemiology, Risk Factors, Diagnostic Challenges, and Management Approaches" Healthcare 12, no. 16: 1631. https://doi.org/10.3390/healthcare12161631
APA StyleIssa, R., Chaaban, N., Salahie, A., Honnekeri, B., Parizher, G., & Xu, B. (2024). Infective Endocarditis in Patients with End-Stage Renal Disease on Dialysis: Epidemiology, Risk Factors, Diagnostic Challenges, and Management Approaches. Healthcare, 12(16), 1631. https://doi.org/10.3390/healthcare12161631

