All Pedicle Screw versus Hybrid Hook–Screw Instrumentation in the Treatment of Thoracic Adolescent Idiopathic Scoliosis (AIS): A Prospective Comparative Cohort Study
Abstract
1. Introduction
2. Materials and Methods
2.1. Radiographic Evaluation
2.2. Surgical Technique
2.3. Statistical Analysis
2.4. Implant Cost Analysis
3. Results
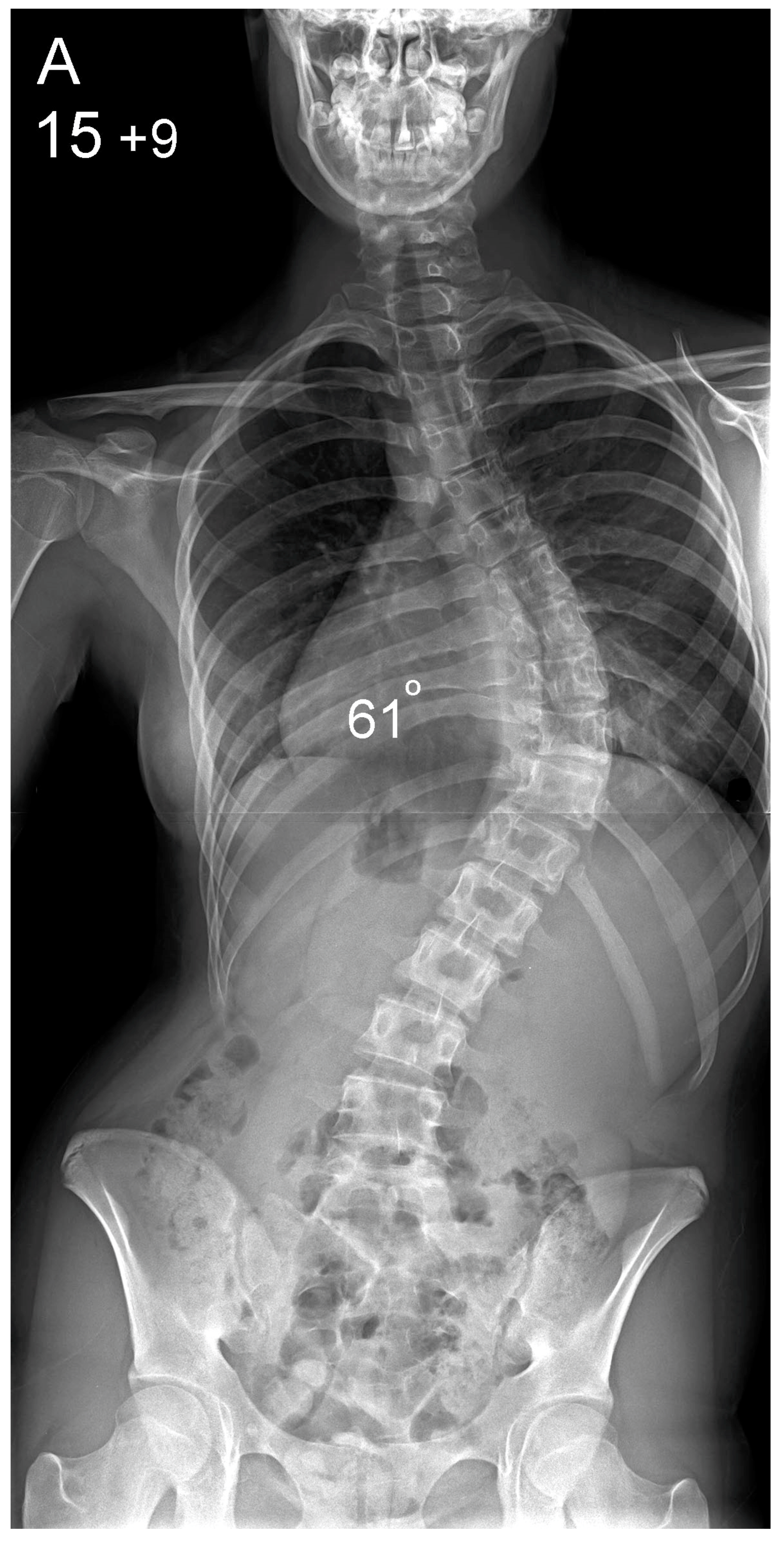
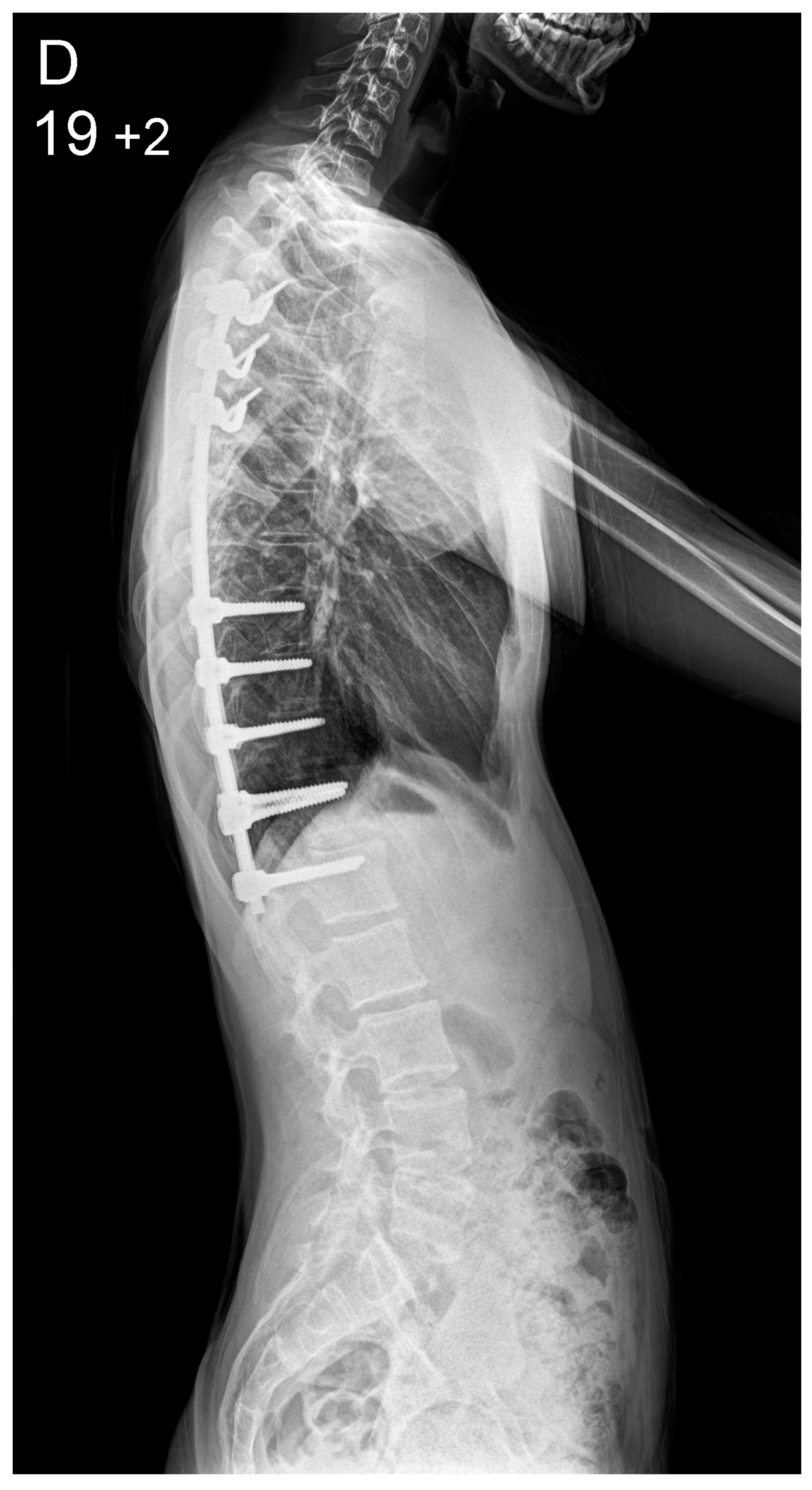
3.1. Coronal Parameters
3.2. Sagittal Parameters
3.3. Axial Parameters
3.4. Complications
3.5. Clinical Outcomes
3.6. Cost Analysis
4. Discussion
Author Contributions
Funding
Institutional Review Board Statement
Informed Consent Statement
Data Availability Statement
Acknowledgments
Conflicts of Interest
References
- Sud, A.; Tsirikos, A. Current concepts and controversies on adolescent idiopathic scoliosis: Part II. Indian J. Orthop. 2013, 47, 219–229. [Google Scholar] [CrossRef] [PubMed]
- Cotrel, Y.; Dubousset, J.; Guillaumat, M. New universal instrumentation in spinal surgery. Clin. Orthop. Relat. Res. 1988, 227, 10–23. [Google Scholar] [CrossRef]
- Suk, S.I.; Lee, C.K.; Kim, W.J.; Chung, Y.J.; Park, Y.B. Segmental pedicle screw fixation in the treatment of thoracic idiopathic scoliosis. Spine 1995, 20, 1399–1405. [Google Scholar] [CrossRef]
- Tambe, A.D.; Panikkar, S.J.; Millner, P.A.; Tsirikos, A.I. Current concepts in the surgical management of adolescent idiopathic scoliosis. Bone Jt. J. 2018, 100B, 415–424. [Google Scholar] [CrossRef] [PubMed]
- Le Navéaux, F.; Aubin, C.-É.; Larson, A.N.; Polly, D.W.J.; Baghdadi, Y.M.K.; Labelle, H. Implant Distribution in Surgically Instrumented Lenke 1 Adolescent Idiopathic Scoliosis: Does It Affect Curve Correction? Spine 2015, 40, 462–468. [Google Scholar] [CrossRef] [PubMed]
- Hicks, J.M.; Singla, A.; Shen, F.H.; Arlet, V. Complications of pedicle screw fixation in scoliosis surgery: A systematic review. Spine 2010, 35, E465–E470. [Google Scholar] [CrossRef]
- Roach, J.W.; Mehlman, C.T.; Sanders, J.O. Does the outcome of adolescent idiopathic scoliosis surgery justify the rising cost of the procedures? J. Pediatr. Orthop. 2011, 31 (Suppl. 1), S77–S80. [Google Scholar] [CrossRef]
- Yilmaz, G.; Borkhuu, B.; Dhawale, A.A.; Oto, M.; Littleton, A.G.; Mason, D.E.; Gabos, P.; Shah, S. Comparative analysis of hook, hybrid, and pedicle screw instrumentation in the posterior treatment of adolescent idiopathic scoliosis. J. Pediatr. Orthop. 2012, 32, 490–499. [Google Scholar] [CrossRef]
- Cheng, I.; Kim, Y.; Gupta, M.C.; Bridwell, K.H.; Hurford, R.K.; Lee, S.S.; Theerajunyaporn, T.; Lenke, L.G. Apical sublaminar wires versus pedicle screws—Which provides better results for surgical correction of adolescent idiopathic scoliosis? Spine 2005, 30, 2104–2112. [Google Scholar] [CrossRef]
- Asher, M.; Min Lai, S.; Burton, D.; Manna, B. The reliability and concurrent validity of the Scoliosis Research Society-22 patient questionnaire for idiopathic scoliosis. Spine 2003, 28, 63–69. [Google Scholar] [CrossRef]
- Grivas, T.B. Rib index. Scoliosis 2014, 9, 20. [Google Scholar] [CrossRef] [PubMed]
- Tsirikos, A.I. Correction of adolescent idiopathic scoliosis using a convex pedicle screw technique. A novel technique for deformity correction. JBJS Essent. Surg. Tech. 2019, 9, e9. [Google Scholar] [CrossRef] [PubMed]
- Tsirikos, A.I.; Subramanian, A.S. Posterior spinal arthrodesis for adolescent idiopathic scoliosis using pedicle screw instrumentation: Does a bilateral or unilateral screw technique affect surgical outcome? J. Bone Jt. Surg. 2012, 94, 1670–1677. [Google Scholar] [CrossRef]
- Liljenqvist, U.; Lepsien, U.; Hackenberg, L.; Niemeyer, T.; Halm, H. Comparative analysis of pedicle screw and hook instrumentation in posterior correction and fusion of idiopathic thoracic scoliosis. Eur. Spine J. 2002, 11, 336–343. [Google Scholar] [CrossRef] [PubMed]
- Kim, Y.J.; Lenke, L.G.; Cho, S.K.; Bridwell, K.H.; Sides, B.; Blanke, K. Comparative analysis of pedicle screw versus hook instrumentation in posterior spinal fusion of adolescent idiopathic scoliosis. Spine 2004, 29, 2040–2048. [Google Scholar] [CrossRef] [PubMed]
- Lowenstein, J.; Matsumoto, H.; Vitale, M.; Weidenbaum, M.; Gomez, J.; Lee, F.Y.; Hyman, J.; Roye, D., Jr. Coronal and sagittal plane correction in adolescent idiopathic scoliosis: A comparison between all pedicle screw versus hybrid thoracic hook lumbar screw constructs. Spine 2007, 32, 448–452. [Google Scholar] [CrossRef] [PubMed]
- Crawford, A.H.; Lykissas, M.G.; Gao, X.; Eismann, E.; Anadio, J. All-pedicle screw versus hybrid instrumentation in adolescent idiopathic scoliosis surgery. Spine 2013, 38, 1199–1208. [Google Scholar] [CrossRef] [PubMed]
- Di Silvestre, M.; Zanirato, A.; Greggi, T.; Scarale, A.; Formica, M.; Vallerga, D.; Legrenzi, Z.; Felli, L. Severe adolescent idiopathic scoliosis: Posterior staged correction using a temporary magnetically-controlled growing rod. Eur. Spine J. 2020, 29, 2046–2053. [Google Scholar] [CrossRef]
- Luhmann, S.J.; Lenke, L.G.; Erickson, M.; Bridwell, K.H.; Richards, B.S. Correction of moderate (<70 degrees) Lenke 1A and 2A curve patterns: Comparison of hybrid and all-pedicle screw systems at 2-year follow-up. J. Pediatr. Orthop. 2012, 32, 253–258. [Google Scholar] [CrossRef]
- Arlet, V.; Ouellet, J.A.; Shilt, J.; Shen, F.H.; Wood, K.; Chan, D.; Hicks, J.; Bersusky, E.; Reddi, V. Subjective evaluation of treatment outcomes of instrumentation with pedicle screws or hybrid constructs in Lenke Type 1 and 2 adolescent idiopathic scoliosis: What happens when judges are blinded to the instrumentation? Eur. Spine J. 2009, 18, 1927–1935. [Google Scholar] [CrossRef]
- Karatoprak, O.; Unay, K.; Tezer, M.; Ozturk, C.; Aydogan, M.; Mirzanli, C. Comparative analysis of pedicle screw versus hybrid instrumentation in adolescent idiopathic scoliosis surgery. Int. Orthop. 2008, 32, 523–528. [Google Scholar] [CrossRef] [PubMed]
- Arlet, V.; Papin, P.; Marchesi, D.; Aebi, M. Adolescent idiopathic thoracic scoliosis: Apical correction with specialized pedicle hooks. Eur. Spine J. 1999, 8, 266–271. [Google Scholar] [CrossRef] [PubMed][Green Version]
- Quan, G.; Gibson, M. Correction of main thoracic adolescent idiopathic scoliosis using pedicle screw instrumentation: Does higher implant density improve correction? Spine 2010, 35, 562–567. [Google Scholar] [CrossRef]
- Clements, D.H.; Betz, R.R.; Newton, P.O.; Rohmiller, M.; Marks, M.C.; Bastrom, T. Correlation of scoliosis curve correction with the number and type of fixation anchors. Spine 2009, 34, 2147–2150. [Google Scholar] [CrossRef] [PubMed]
- Ketenci, I.E.; Yanik, H.S.; Demiroz, S.; Ulusoy, A.; Erdem, S. Three-dimensional correction in patients with lenke 1 adolescent idiopathic scoliosis comparison of consecutive versus interval pedicle screw instrumentation. Spine 2016, 41, 134–138. [Google Scholar] [CrossRef]
- Dalal, A.; Upasani, V.V.; Bastrom, T.P.; Yaszay, B.; Shah, S.A.; Shufflebarger, H.L.; Newton, P.O. Apical vertebral rotation in adolescent idiopathic scoliosis: Comparison of uniplanar and polyaxial pedicle screws. J. Spinal Disord. Tech. 2011, 24, 251–257. [Google Scholar] [CrossRef]
- Asghar, J.; Samdani, A.F.; Pahys, J.M.; D’Andrea, L.P.; Guille, J.T.; Clements, D.H.; Betz, R.R.; The Harms Study Group. Computed tomography evaluation of rotation correction in adolescent idiopathic scoliosis: A comparison of an all pedicle screw construct versus a hook-rod system. Spine 2009, 34, 804–807. [Google Scholar] [CrossRef] [PubMed]
- Larson, A.N.; Polly, D.W.; Ackerman, S.J.; Ledonio, C.G.T.; Lonner, B.S.; Shah, S.A.; Emans, J.B.; Richards, B.S. III; Minimize Implants Maximize Outcomes Study Group. What would be the annual cost savings if fewer screws were used in adolescent idiopathic scoliosis treatment in the US? J. Neurosurg. Spine 2016, 24, 116–123. [Google Scholar] [CrossRef] [PubMed]
- Ferlic, P.W.; Hauser, L.; Götzen, M.; Lindtner, R.A.; Fischler, S.; Krismer, M. Correction of adolescent idiopathic scoliosis using a convex pedicle screw technique with low implant density. Bone Jt. J. 2021, 103, 536–541. [Google Scholar] [CrossRef]
- Shen, M.; Jiang, H.; Luo, M.; Wang, W.; Li, N.; Wang, L.; Xia, L. Comparison of low density and high density pedicle screw instrumentation in Lenke 1 adolescent idiopathic scoliosis. BMC Musculoskelet. Disord. 2017, 18, 336. [Google Scholar] [CrossRef]












| Demographics | All-Screw (AS) Technique -No/Mean (Range) | Hybrid Hook–Screw (HS) Technique -No/Mean (Range) | p-Value | |
|---|---|---|---|---|
| Patients | 80 | 80 | ||
| Male | 9 | 18 | ||
| Female | 71 | 62 | ||
| Age at surgery (years) | 15.6 (11.2–17.8) | 15.1 (11.7–17.9) | 0.13 | |
| Risser grade | 3.1 (0–5) | 3 (0–5) | 0.68 | |
| Lenke curve type | ||||
| Lenke 1A | 73 | 67 | 0.32 | |
| Lenke 1B | 6 | 10 | ||
| Lenke 1C | 1 | 3 | ||
| Main thoracic scoliosis mean (range) | 64° (44–90) | 62° (42–94) | 0.31 | |
| All-Screw (AS) Technique -Mean (Range) | Hybrid Hook–Screw (HS) Technique -Mean (Range) | p-Value | |
|---|---|---|---|
| Surgical time (min) | 175 (120–240) | 131 (90–180) | <0.001 * |
| Blood loss (mL) | 900 (368–2000) | 535 (129–2400) | <0.001 * |
| Blood loss (% of EBV) | 23 (10–40) | 13 (3–40) | <0.001 * |
| No. of vertebrae fused | 11.4 (8–15) | 11.3 (7–15) | 0.73 |
| Implant density | 1.4 (1.2–2) | 1.1 (0.7–1.3) | <0.001 * |
| Hospital stay (days) | 5.4 (3–9) | 5.3 (3–9) | 0.81 |
| All-Screw (AS) Technique -Mean (Range) | Hybrid Hook–Screw (HS) Technique -Mean (Range) | p-Value | |
|---|---|---|---|
| Main thoracic scoliosis | |||
| Preoperative (°) | 64 (44–90) | 62 (42–94) | 0.31 |
| Flexibility index (%) | 34 (8–67) | 37 (5–84) | 0.11 |
| Postoperative (°) | 14 (0–44) | 16 (2–40) | 0.1 |
| Correction Index (%) | 78 (42–100) | 75 (50–96) | 0.07 |
| Apical Vertebral Translation | |||
| Preoperative (cm) | 6.6 (3–13) | 6.1 (1–13) | 0.07 |
| Postoperative (cm) | 1.5 (0.4) | 1.9 (0–5) | 0.02 * |
| Correction Index (%) | 78 (37–100) | 70 (18–100) | 0.001 * |
| Lowest Instrumented Vertebra Angle | |||
| Preoperative (°) | 16.3 (0–31) | 22.7 (5–40) | <0.001 * |
| Postoperative (°) | 3.1 (0–13) | 6.3 (0–19) | <0.001 * |
| Correction Index (%) | 79.6 (67–100) | 73.1 (28–100) | 0.002 * |
| Compensatory lumbar scoliosis | |||
| Preoperative (°) | 37 (25–44) | 41 (28–57) | 0.07 |
| Postoperative (°) | 14 (6–23) | 14 (4–28) | 0.23 |
| Correction Index (%) | 60 (38–81) | 62 (4–88) | 0.57 |
| Thoracic Kyphosis | |||
| Preoperative (°) | 38 (3–80) | 31 (−17–65) | 0.01 * |
| Postoperative (°) | 42 (16–62) | 43 (30–58) | 0.2 |
| Correction Index (%) | 10 (38–92) | 31 (34–149) | <0.001 * |
| Lumbar Lordosis | |||
| Preoperative (°) | 55 (28–84) | 53 (21–90) | 0.33 |
| Postoperative (°) | 47 (25–68) | 45 (29–62) | 0.11 |
| Correction Index (%) | 18% (0–42) | 20% (0–44) | 0.64 |
| Coronal balance | |||
| Preoperative (cm) | 1.4 (0–5) | 1.9 (0–7) | 0.05 |
| Postoperative (cm) | 0.2 (0–1.5) | 0.1 (0–1) | 0.001 * |
| Correction Index (%) | 82 (0–100) | 90 (0–100) | 0.01 * |
| Sagittal balance | |||
| Preoperative (cm) | −2.1 (−9.5–4) | −1.1 (−10.6–6) | 0.03 * |
| Postoperative (cm) | −0.9 (−3–1) | −0.2 (−7–1) | <0.001 * |
| Correction Index (%) | 57.4 (0–133) | 86 (0–153) | <0.001 * |
| Shoulder height difference | |||
| Preoperative (cm) | 1.6 (0–6) | 2 (0–6) | 0.26 |
| Postoperative (cm) | 0.4 (0–2) | 0.2 (0–1) | 0.02 * |
| Correction Index (%) | 61 (0–100) | 80 (0–100) | 0.08 |
| Clavicle angle difference | |||
| Preoperative (°) | 3.5 (0–12) | 3.8 (0–12) | 0.26 |
| Postoperative (°) | 0.8 (0–4) | 0.5 (0–3) | 0.02 * |
| Correction Index (%) | 63 (0–100) | 74 (0–100) | 0.18 |
| Rib Index | |||
| Preoperative | 2.09 (1.4–3.7) | 2.1 (1.5–3.2) | 0.84 |
| Postoperative | 1.6 (1.1–2.4) | 1.46 (1.1–2) | 0.002 * |
| Correction Index (%) | 23.4 (0–50) | 30.5 (0–48) | 0.09 |
| All-Screw (AS) Technique -Mean (Range) | Hybrid Hook–Screw (HS) Technique -Mean (Range) | p-Value | |
|---|---|---|---|
| Preoperative | 3.68 (2.18–4.5) | 3.79 (2.15–4.65) | 0.33 |
| 6 months | 4.11 (2.14–5) | 4.1 (2.27–4.91) | 0.9 |
| 12 months | 4.32 (2.77–5) | 4.34 (3.23–4.95) | 0.31 |
| 24 months | 4.36 (2.86–5) | 4.41 (2.91–5) | 0.52 |
| Liljenqvist et al., 2002 [14] | Kim et al., 2004 [15] | Lowenstein et al., 2007 [16] | Silvestre et al., 2008 [18] | Arlet et al., 2009 [20] | Luhmann el at., 2012 [19] | Yilmaz el at., 2012 [8] | Crawford et al., 2013 [17] | Current Study 2022 | |||||||||||
|---|---|---|---|---|---|---|---|---|---|---|---|---|---|---|---|---|---|---|---|
| Type of correction technique/instrumentation | AS | AH | AS | AH | AS | HS | AS | HS | AS | HS | AS | HS | AS | AH | HS | AS | HS | AS | HS |
| Patient number | 50 | 49 | 26 | 26 | 17 | 17 | 25 | 27 | 20 | 20 | 53 | 48 | 35 | 35 | 35 | 34 | 29 | 80 | 80 |
| Major Cobb (°) | |||||||||||||||||||
| Preoperative | 63 | 61 | 63 | 66 | 55 | 47 | 88 | 92 | 49 | 52 | 52 | 57 | 59 | 56 | 56 | 51 | 50 | 64 | 62 |
| Postoperative | 28 | 30 | 16 | 33 | 15 | 18 | 40 | 51 | 14 | 13 | 19 | 26 | 16 | 29 | 21 | 15 | 14 | 14 | 16 |
| AVT (mm) | |||||||||||||||||||
| Preoperative | 45 | 50 | 51 | 55 | N/R | N/R | 60 | 71 | N/R | N/R | 48 | 50 | 52 | 47 | 50 | 44 | 41 | 66 | 61 |
| Postoperative | 21 | 18 | 16 | 28 | 31 | 36 | 15 | 18 | 17 | 28 | 21 | 12 | 9 | 15 | 19 | ||||
| LIVA (°) | |||||||||||||||||||
| Preoperative | 21 | 18 | 23 | 22 | N/R | N/R | 24 | 20 | 20 | 20 | 20 | 19 | 22 | N/R | N/R | 16 | 23 | ||
| Post operative | 6 | 7 | 7 | 11 | 9 | 8 | 5 | 4 | 5 | 7 | 23 | 9 | 8 | 3 | 4 | 3 | 6 | ||
| Thoracic Kyphosis (°) | |||||||||||||||||||
| Preoperative | 30 | 22 | 31 | 27 | 30 | 26 | 35 | 35 | N/R | N/R | 23 | 29 | 22 | 21 | 18 | 18 | 22 | 38 | 31 |
| Postoperative | 28 | 26 | 17 | 22 | 19 | 22 | 28 | 32 | 27 | 34 | 12 | 22 | 22 | 18 | 17 | 42 | 43 | ||
| Lumbar Lordosis (°) | |||||||||||||||||||
| Preoperative | 46 | 45 | 61 | 64 | 44 | 41 | 46 | 44 | N/R | N/R | 57 | 60 | 57 | 61 | 58 | 43 | 48 | 55 | 53 |
| Postoperative | 45 | 46 | 55 | 59 | 36 | 35 | 41 | 41 | 56 | 62 | 59 | 60 | 59 | 37 | 36 | 47 | 45 | ||
| Coronal Balance (mm) | |||||||||||||||||||
| Preoperative | 15 | 11 | 16.3 | 18.0 | 10.0 | 11 | 11 | 14 | N/R | N/R | 2.0 | 2.1 | 1.7 | 1.7 | 1.5 | 11 | 13 | 14 | 19 |
| Postoperative | 7 | 8 | 10.1 | 14.3 | 6.1 | 6.7 | 4.4 | 7 | 3.8 | 3.0 | 1.1 | 1.4 | 0.9 | 13.1 | 9.8 | 21 | 15 | 2 | 1 |
| Sagittal Balance (mm) | |||||||||||||||||||
| Preoperative | 19 | 19 | −7 | −26 | −29 | −21 | N/R | N/R | N/R | N/R | −22 | −9 | 31 | 32 | 42 | −53 | −64 | −21 | −11 |
| Postoperative | 11 | 18 | −20 | −36 | 2 | 8 | 8 | 12 | −35 | −15 | 24 | 25 | 22 | 1 | −38 | −9 | −2 | ||
| SRS-22 Overall Scores | SRS 24: | SRS 24: | SRS 30: | SRS 30: | SRS 24 | SRS 24 | SRS 30 | SRS 24 | SRS 24 | SRS 22 | SRS 22 | SRS 22: | SRS 22: | ||||||
| Preoperative | N/R | N/R | N/R | N/R | N/R | N/R | N/R | N/R | N/R | N/R | 3.68 | 3.79 | |||||||
| Postoperative | 97 | 101 | 3.91 | 3.76 | N/R | N/R | N/R | N/R | N/R | N/R | N/R | 4.36 | 4.41 | ||||||
Publisher’s Note: MDPI stays neutral with regard to jurisdictional claims in published maps and institutional affiliations. |
© 2022 by the authors. Licensee MDPI, Basel, Switzerland. This article is an open access article distributed under the terms and conditions of the Creative Commons Attribution (CC BY) license (https://creativecommons.org/licenses/by/4.0/).
Share and Cite
Tsirikos, A.I.; McMillan, T.E. All Pedicle Screw versus Hybrid Hook–Screw Instrumentation in the Treatment of Thoracic Adolescent Idiopathic Scoliosis (AIS): A Prospective Comparative Cohort Study. Healthcare 2022, 10, 1455. https://doi.org/10.3390/healthcare10081455
Tsirikos AI, McMillan TE. All Pedicle Screw versus Hybrid Hook–Screw Instrumentation in the Treatment of Thoracic Adolescent Idiopathic Scoliosis (AIS): A Prospective Comparative Cohort Study. Healthcare. 2022; 10(8):1455. https://doi.org/10.3390/healthcare10081455
Chicago/Turabian StyleTsirikos, Athanasios I., and Tristan E. McMillan. 2022. "All Pedicle Screw versus Hybrid Hook–Screw Instrumentation in the Treatment of Thoracic Adolescent Idiopathic Scoliosis (AIS): A Prospective Comparative Cohort Study" Healthcare 10, no. 8: 1455. https://doi.org/10.3390/healthcare10081455
APA StyleTsirikos, A. I., & McMillan, T. E. (2022). All Pedicle Screw versus Hybrid Hook–Screw Instrumentation in the Treatment of Thoracic Adolescent Idiopathic Scoliosis (AIS): A Prospective Comparative Cohort Study. Healthcare, 10(8), 1455. https://doi.org/10.3390/healthcare10081455
