High-Level Expression, Purification and Initial Characterization of Recombinant Arabidopsis Histidine Kinase AHK1
Abstract
1. Introduction
2. Results
2.1. Heterologous Expression and Purification of AHK1 Sensor Kinase
2.2. Size Exclusion Chromatography of the Recombinant AHK1 Osmosensor
2.3. Circular Dichroism of Purified Recombinant AHK1 Osmosensor
2.4. Dimerization Studies of AHK1 Sensor Kinase
2.5. Heterologous Expression and Purification of the AHP2 Transfer Protein
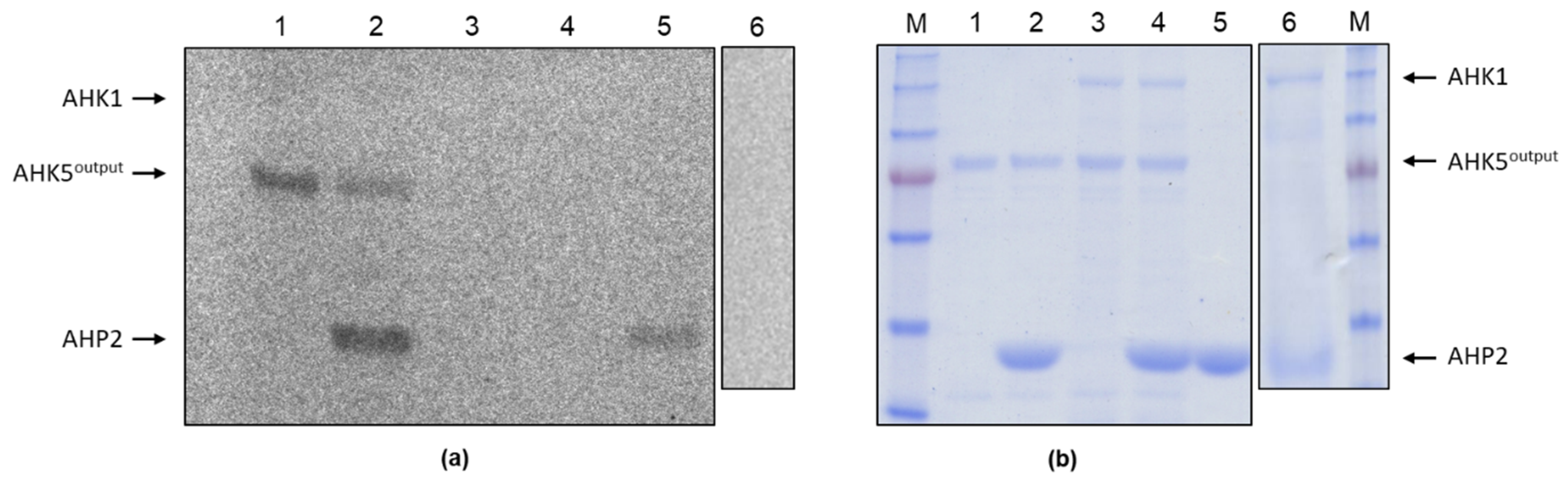
2.6. Interaction Studies of AHK1 Sensor Kinase with AHP2 Phosphotransfer Protein
2.7. AHK1 Acts as Phospho-His and/or Phospho-Asp Phosphatase In Vitro
3. Discussion
4. Materials and Methods
4.1. Cloning
| AHK5output-F | 5‘-GGGGACAAGTTTGTACAAAAAAGCAGGCT gtatggataacgctgtgagaaaggc-3‘ |
| AHK5output-R | 5′-GGGGACGACTTTGTACAAGAAAGCTGGGT tgtgcaaatactgttgcaaacactc-3′ |
| ColE1-F | 5′-ggagcgaacgacctacaccgaactgagatacctacagcg-3‘ |
| gib_pET16b-TEV-rev | 5′-ATGTCCCTGAAAATACAG-3‘ |
| gib-pET16b-AHK1-for | 5′-ctgtattttcagggacatATGCGAGGAGATAGCTTC-3‘ |
| gib-pET16b-AHK1-rev | 5′-gttagcagccggatccttaAGCGGACAATGAAGTTTG-3‘ |
| gib_pET16b-TEV-for | 5′-TAAGGATCCGGCTGCTAAC-3‘ |
| ColE1-R | 5′-cgctgtaggtatctcagttcggtgtaggtcgttcgctcc -3‘ |
4.2. Expression of Recombinant Proteins
4.3. Purification of Recombinant Proteins
4.4. Size Exclusion Chromatography
4.5. Circular Dichroism Spectroscopy
4.6. Fluorescent Labeling of Purified Protein
4.7. Interaction Studies by MST, mbSUS, and FRET-FLIM Analyses
4.8. In Vitro Phosphorylation and Phosphorelay Assays
4.9. Analytical Methods
Supplementary Materials
Author Contributions
Funding
Conflicts of Interest
References
- Wuichet, K.; Cantwell, B.J.; Zhulin, I.B. Evolution and phyletic distribution of two-component signal transduction systems. Curr. Opin. Microbiol. 2010, 13, 219–225. [Google Scholar] [CrossRef] [PubMed]
- Grebe, T.W.; Stock, J.B. The histidine protein kinase superfamily. Adv. Microb. Physiol 1999, 41, 139–227. [Google Scholar] [CrossRef] [PubMed]
- Urao, T.; Yamaguchi-Shinozaki, K.; Shinozaki, K. Plant histidine kinases: An emerging picture of two-component signal transduction in hormone and environmental responses. Sci STKE 2001, 2001, re18. [Google Scholar] [CrossRef] [PubMed]
- Hwang, I.; Chen, H.C.; Sheen, J. Two-component signal transduction pathways in Arabidopsis. Plant Physiol. 2002, 129, 500–515. [Google Scholar] [CrossRef] [PubMed]
- Chen, Y.F.; Gao, Z.; Kerris, R.J.; Wang, W.; Binder, B.M.; Schaller, G.E. Ethylene receptors function as components of high-molecular-mass protein complexes in Arabidopsis. PLoS ONE 2010, 5, e8640. [Google Scholar] [CrossRef]
- Grefen, C.; Stadele, K.; Ruzicka, K.; Obrdlik, P.; Harter, K.; Horak, J. Subcellular localization and in vivo interactions of the Arabidopsis thaliana ethylene receptor family members. Mol. Plant 2008, 1, 308–320. [Google Scholar] [CrossRef]
- Berleth, M.; Berleth, N.; Minges, A.; Hansch, S.; Burkart, R.C.; Stork, B.; Stahl, Y.; Weidtkamp-Peters, S.; Simon, R.; Groth, G. Molecular Analysis of Protein-Protein Interactions in the Ethylene Pathway in the Different Ethylene Receptor Subfamilies. Front. Plant. Sci 2019, 10, 726. [Google Scholar] [CrossRef]
- Hall, A.E.; Findell, J.L.; Schaller, G.E.; Sisler, E.C.; Bleecker, A.B. Ethylene perception by the ERS1 protein in Arabidopsis. Plant Physiol. 2000, 123, 1449–1458. [Google Scholar] [CrossRef]
- Wulfetange, K.; Lomin, S.N.; Romanov, G.A.; Stolz, A.; Heyl, A.; Schmulling, T. The cytokinin receptors of Arabidopsis are located mainly to the endoplasmic reticulum. Plant Physiol. 2011, 156, 1808–1818. [Google Scholar] [CrossRef]
- Caesar, K.; Thamm, A.M.; Witthoft, J.; Elgass, K.; Huppenberger, P.; Grefen, C.; Horak, J.; Harter, K. Evidence for the localization of the Arabidopsis cytokinin receptors AHK3 and AHK4 in the endoplasmic reticulum. J. Exp. Bot. 2011, 62, 5571–5580. [Google Scholar] [CrossRef]
- Hothorn, M.; Dabi, T.; Chory, J. Structural basis for cytokinin recognition by Arabidopsis thaliana histidine kinase 4. Nat. Chem. Biol. 2011, 7, 766–768. [Google Scholar] [CrossRef] [PubMed]
- Chang, C.; Kwok, S.F.; Bleecker, A.B.; Meyerowitz, E.M. Arabidopsis ethylene-response gene ETR1: Similarity of product to two-component regulators. Science 1993, 262, 539–544. [Google Scholar] [CrossRef] [PubMed]
- Hua, J.; Sakai, H.; Nourizadeh, S.; Chen, Q.G.; Bleecker, A.B.; Ecker, J.R.; Meyerowitz, E.M. EIN4 and ERS2 are members of the putative ethylene receptor gene family in Arabidopsis. Plant Cell 1998, 10, 1321–1332. [Google Scholar] [CrossRef] [PubMed]
- Sakai, H.; Hua, J.; Chen, Q.G.; Chang, C.; Medrano, L.J.; Bleecker, A.B.; Meyerowitz, E.M. ETR2 is an ETR1-like gene involved in ethylene signaling in Arabidopsis. Proc. Natl. Acad. Sci. USA 1998, 95, 5812–5817. [Google Scholar] [CrossRef]
- Inoue, T.; Higuchi, M.; Hashimoto, Y.; Seki, M.; Kobayashi, M.; Kato, T.; Tabata, S.; Shinozaki, K.; Kakimoto, T. Identification of CRE1 as a cytokinin receptor from Arabidopsis. Nature 2001, 409, 1060–1063. [Google Scholar] [CrossRef]
- Ueguchi, C.; Sato, S.; Kato, T.; Tabata, S. The AHK4 gene involved in the cytokinin-signaling pathway as a direct receptor molecule in Arabidopsis thaliana. Plant Cell Physiol. 2001, 42, 751–755. [Google Scholar] [CrossRef]
- Kakimoto, T. Perception and signal transduction of cytokinins. Annu. Rev. Plant Biol. 2003, 54, 605–627. [Google Scholar] [CrossRef]
- Urao, T.; Yakubov, B.; Satoh, R.; Yamaguchi-Shinozaki, K.; Seki, M.; Hirayama, T.; Shinozaki, K. A transmembrane hybrid-type histidine kinase in Arabidopsis functions as an osmosensor. Plant Cell 1999, 11, 1743–1754. [Google Scholar] [CrossRef]
- Pischke, M.S.; Jones, L.G.; Otsuga, D.; Fernandez, D.E.; Drews, G.N.; Sussman, M.R. An Arabidopsis histidine kinase is essential for megagametogenesis. Proc. Natl. Acad. Sci. USA 2002, 99, 15800–15805. [Google Scholar] [CrossRef]
- Pham, J.; Liu, J.; Bennett, M.H.; Mansfield, J.W.; Desikan, R. Arabidopsis histidine kinase 5 regulates salt sensitivity and resistance against bacterial and fungal infection. New Phytol. 2012, 194, 168–180. [Google Scholar] [CrossRef]
- Desikan, R.; Horak, J.; Chaban, C.; Mira-Rodado, V.; Witthoft, J.; Elgass, K.; Grefen, C.; Cheung, M.K.; Meixner, A.J.; Hooley, R.; et al. The histidine kinase AHK5 integrates endogenous and environmental signals in Arabidopsis guard cells. PLoS ONE 2008, 3, e2491. [Google Scholar] [CrossRef] [PubMed]
- Voet-van-Vormizeele, J.; Groth, G. High-level expression of the Arabidopsis thaliana ethylene receptor protein ETR1 in Escherichia coli and purification of the recombinant protein. Protein Expr. Purif. 2003, 32, 89–94. [Google Scholar] [CrossRef]
- Scharein, B.; Voet-van-Vormizeele, J.; Harter, K.; Groth, G. Ethylene signaling: Identification of a putative ETR1-AHP1 phosphorelay complex by fluorescence spectroscopy. Anal. Biochem. 2008, 377, 72–76. [Google Scholar] [CrossRef] [PubMed]
- Bisson, M.M.; Groth, G. Targeting Plant Ethylene Responses by Controlling Essential Protein-Protein Interactions in the Ethylene Pathway. Mol. Plant 2015, 8, 1165–1174. [Google Scholar] [CrossRef] [PubMed]
- Bisson, M.M.A.; Groth, G. Research Tools: Biochemical and Biophysical Techniques for Studying Ethylene Signaling. In Ethylene in Plants; Wen, C.K., Ed.; Springer: Amsterdam, The Netherlands, 2015; pp. 223–244. [Google Scholar]
- Heyl, A.; Wulfetange, K.; Pils, B.; Nielsen, N.; Romanov, G.A.; Schmulling, T. Evolutionary proteomics identifies amino acids essential for ligand-binding of the cytokinin receptor CHASE domain. BMC Evol. Biol. 2007, 7, 62. [Google Scholar] [CrossRef] [PubMed]
- Wulfetange, K.; Saenger, W.; Schmulling, T.; Heyl, A.E. coli-based cell-free expression, purification and characterization of the membrane-bound ligand-binding CHASE-TM domain of the cytokinin receptor CRE1/AHK4 of Arabidopsis thaliana. Mol. Biotechnol. 2011, 47, 211–219. [Google Scholar] [CrossRef] [PubMed]
- Johnson, W.C., Jr. Protein secondary structure and circular dichroism: A practical guide. Proteins 1990, 7, 205–214. [Google Scholar] [CrossRef]
- Woody, R.W. Circular dichroism. In Methods in Enzymology; Elsevier: Amsterdam, The Netherlands, 1995; Volume 246, pp. 34–71. [Google Scholar]
- Sreerama, N.; Woody, R.W. Estimation of protein secondary structure from circular dichroism spectra: Comparison of CONTIN, SELCON, and CDSSTR methods with an expanded reference set. Anal. Biochem. 2000, 287, 252–260. [Google Scholar] [CrossRef]
- Garnier, J.; Gibrat, J.F.; Robson, B. GOR method for predicting protein secondary structure from amino acid sequence. In Methods in Enzymology; Elsevier: Amsterdam, The Netherlands, 1996; Volume 266, pp. 540–553. [Google Scholar]
- Combet, C.; Blanchet, C.; Geourjon, C.; Deléage, G. NPS@: Network Protein Sequence Analysis. Trends Biochem. Sci. 2000, 25, 147–150. [Google Scholar] [CrossRef]
- Grefen, C.; Obrdlik, P.; Harter, K. The determination of protein-protein interactions by the mating-based split-ubiquitin system (mbSUS). Methods Mol. Biol. 2009, 479, 217–233. [Google Scholar] [CrossRef]
- Ladwig, F.; Dahlke, R.I.; Stuhrwohldt, N.; Hartmann, J.; Harter, K.; Sauter, M. Phytosulfokine Regulates Growth in Arabidopsis through a Response Module at the Plasma Membrane That Includes CYCLIC NUCLEOTIDE-GATED CHANNEL17, H+-ATPase, and BAK1. Plant Cell 2015, 27, 1718–1729. [Google Scholar] [CrossRef]
- Suzuki, T.; Sakurai, K.; Ueguchi, C.; Mizuno, T. Two types of putative nuclear factors that physically interact with histidine-containing phosphotransfer (Hpt) domains, signaling mediators in His-to-Asp phosphorelay, in Arabidopsis thaliana. Plant Cell Physiol. 2001, 42, 37–45. [Google Scholar] [CrossRef]
- Urao, T.; Miyata, S.; Yamaguchi-Shinozaki, K.; Shinozaki, K. Possible His to Asp phosphorelay signaling in an Arabidopsis two-component system. FEBS Lett. 2000, 478, 227–232. [Google Scholar] [CrossRef]
- Mahonen, A.P.; Higuchi, M.; Tormakangas, K.; Miyawaki, K.; Pischke, M.S.; Sussman, M.R.; Helariutta, Y.; Kakimoto, T. Cytokinins regulate a bidirectional phosphorelay network in Arabidopsis. Curr. Biol. 2006, 16, 1116–1122. [Google Scholar] [CrossRef] [PubMed]
- Bauer, J.; Reiss, K.; Veerabagu, M.; Heunemann, M.; Harter, K.; Stehle, T. Structure-function analysis of Arabidopsis thaliana histidine kinase AHK5 bound to its cognate phosphotransfer protein AHP1. Mol. Plant 2013, 6, 959–970. [Google Scholar] [CrossRef] [PubMed]
- Kumar, M.N.; Jane, W.N.; Verslues, P.E. Role of the putative osmosensor Arabidopsis histidine kinase1 in dehydration avoidance and low-water-potential response. Plant. Physiol. 2013, 161, 942–953. [Google Scholar] [CrossRef]
- Dutta, R.; Qin, L.; Inouye, M. Histidine kinases: Diversity of domain organization. Mol. Microbiol. 1999, 34, 633–640. [Google Scholar] [CrossRef]
- Machuca, M.A.; Liu, Y.C.; Beckham, S.A.; Gunzburg, M.J.; Roujeinikova, A. The crystal structure of the tandem-PAS sensing domain of Campylobacter jejuni chemoreceptor Tlp1 suggests indirect mechanism of ligand recognition. J. Struct. Biol. 2016, 194, 205–213. [Google Scholar] [CrossRef]
- Gibson, D.G.; Young, L.; Chuang, R.Y.; Venter, J.C.; Hutchison, C.A., 3rd; Smith, H.O. Enzymatic assembly of DNA molecules up to several hundred kilobases. Nat. Methods 2009, 6, 343–345. [Google Scholar] [CrossRef]
- Laemmli, U.K. Cleavage of structural proteins during the assembly of the head of bacteriophage T4. Nature 1970, 227, 680–685. [Google Scholar] [CrossRef]
- Schägger, H.; von Jagow, G. Tricine-sodium dodecyl sulfate-polyacrylamide gel electrophoresis for the separation of proteins in the range from 1 kDa to 100 kDa. Anal. Biochem. 1987, 166, 368–379. [Google Scholar] [CrossRef]
- Kang, D.; Suh, M.K. Highly Sensitive and Fast Protein Detection with Coomassie Brilliant Blue in Sodium Dodecyl Sulfate-Polyacrylamide Gel Electrophoresis. Bull. Korean Chem. Soc. 2002, 23, 1511–1512. [Google Scholar] [CrossRef]
- Dyballa, N.; Metzger, S. Fast and sensitive colloidal coomassie G-250 staining for proteins in polyacrylamide gels. J. Vis. Exp. 2009. [Google Scholar] [CrossRef] [PubMed]








| Algorithm | % Helical Content | % Beta Strand Content | % Turn Content | % Unordered Content |
|---|---|---|---|---|
| SELCON3 | 26.8 | 20.0 | 21.9 | 27.4 |
| CONTINLL | 31.2 | 21.8 | 20.0 | 27.0 |
| CDSSTR | 34.9 | 20.4 | 17.7 | 26.7 |
| GOR4 prediction | 34.9 | 19.4 | 0 | 45.7 |
| SOPMA prediction | 39.4 | 15.5 | 3.9 | 41.3 |
© 2020 by the authors. Licensee MDPI, Basel, Switzerland. This article is an open access article distributed under the terms and conditions of the Creative Commons Attribution (CC BY) license (http://creativecommons.org/licenses/by/4.0/).
Share and Cite
Hofmann, A.; Müller, S.; Drechsler, T.; Berleth, M.; Caesar, K.; Rohr, L.; Harter, K.; Groth, G. High-Level Expression, Purification and Initial Characterization of Recombinant Arabidopsis Histidine Kinase AHK1. Plants 2020, 9, 304. https://doi.org/10.3390/plants9030304
Hofmann A, Müller S, Drechsler T, Berleth M, Caesar K, Rohr L, Harter K, Groth G. High-Level Expression, Purification and Initial Characterization of Recombinant Arabidopsis Histidine Kinase AHK1. Plants. 2020; 9(3):304. https://doi.org/10.3390/plants9030304
Chicago/Turabian StyleHofmann, Alexander, Sophia Müller, Thomas Drechsler, Mareike Berleth, Katharina Caesar, Leander Rohr, Klaus Harter, and Georg Groth. 2020. "High-Level Expression, Purification and Initial Characterization of Recombinant Arabidopsis Histidine Kinase AHK1" Plants 9, no. 3: 304. https://doi.org/10.3390/plants9030304
APA StyleHofmann, A., Müller, S., Drechsler, T., Berleth, M., Caesar, K., Rohr, L., Harter, K., & Groth, G. (2020). High-Level Expression, Purification and Initial Characterization of Recombinant Arabidopsis Histidine Kinase AHK1. Plants, 9(3), 304. https://doi.org/10.3390/plants9030304

