A Comprehensive Analysis of Short Specific Tissue (SST) Proteins, a New Group of Proteins from PF10950 That May Give Rise to Cyclopeptide Alkaloids
Abstract
1. Introduction
2. Materials and Methods
2.1. Identification, Collection, and Analysis of SST Nucleotide and Amino Acid Sequences
2.2. Alignment of Sequences
2.3. Plant Material and Growth Conditions
2.4. DNA and RNA Extraction, cDNA Synthesis, and sqRT-PCR
2.5. SST1 Cloning and Construction of an Expression Vector for Arabidopsis Transformation
2.6. Arabidopsis thaliana Transformation
2.7. Nicotiana benthamiana Agroinfiltration
2.8. GUS Assay
2.9. Confocal Microscopy
2.10. Heterologous Expression and Purification of SST1 Recombinant Proteins
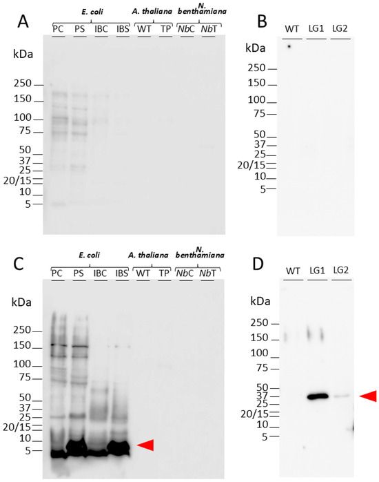
2.11. Anti-SST1 Polyclonal Antibody Production and Purification
2.12. Western Blot Experiments
2.13. Immunocytochemical Labelling of SST1
3. Results
3.1. SST Genes Are Exclusive to Core Eudicots
3.2. SST Gene Structure Determines the Existence of One Intron Close to the 5′ End
3.3. SST Proteins Enter the Secretory Pathway
3.4. Mature SST Sequences Group by Taxonomic Families and Have Several Conserved Features
3.5. SST and ST Proteins Share the N-Terminal Conserved Region
3.6. The Genetic Environment and Co-Expression Analysis of the SST1 Gene from Arabidopsis Point to a Relationship with a BURP Protein
3.7. SST1 Promoter Activity Is Found Mainly in Roots
3.8. The Accumulation of SST1 Transcripts Confirms Their Relationship with Root Physiology
3.9. SST1 Protein Accumulates Around Vascular Bundle in Roots
3.10. SST1 Protein Co-Localises with the Endoplasmic Reticulum and Vacuole
4. Discussion
5. Conclusions
Supplementary Materials
Author Contributions
Funding
Data Availability Statement
Acknowledgments
Conflicts of Interest
Abbreviations
| AM | Arbuscular mycorrhizal |
| CPA | Cyclopeptide alkaloid |
| CPAB | Cyclopeptide alkaloid-type burpitide |
| DUF | Domain of unknown function |
| gSST1 | Promoter plus transcriptional unit without 3’ UTR of Arabidopsis SST1 |
| mSST1 | Mature AtSST1 after the processing of the signal peptide |
| PAC | Precursor accumulating vesicles |
| PERK | Proline-rich extensin-like receptor kinase |
| PF | Protein family |
| PHO1 | Phosphate transporter |
| pSST1 | Promoter of Arabidopsis SST1 gene |
| PSY3 | Tyrosine-sulphated protein of unknown function |
| RABG3E | Ras-related RAB-7A protein |
| RiPP | Ribosomally synthesised and post-translationally modified peptides |
| SP | Signal peptide |
| SST | Short specific tissue |
| SST1 | The single SST of Arabidopsis thaliana |
| ST | Specific tissue |
| USPL1 | Unknown seed protein like 1 |
References
- Classification of Protein Families. Available online: https://www.ebi.ac.uk/interpro/entry/pfam/#table (accessed on 31 January 2024).
- De Vries, S.C.; De Vos, W.M.; De Harmsen, M.C.; Wessels, J.G.H. A shoot-specific mRNA from pea: Nucleotide sequence and regulation as compared to light-induced mRNAs. Plant Mol. Biol. 1985, 4, 95–102. [Google Scholar] [CrossRef] [PubMed]
- Williams, M.E.; Mundy, J.; Kay, S.A.; Chua, N.-H. Differential expression of two related organ-specific genes in pea. Plant Mol. Biol. 1990, 14, 765–774. [Google Scholar] [CrossRef] [PubMed]
- Muñoz, F.J.; Dopico, B.; Labrador, E. Two growth-related organ-specific cDNAs from Cicer arietinum epicotyls. Plant Mol. Biol. 1997, 35, 433–442. [Google Scholar] [CrossRef] [PubMed]
- Hernández-Nistal, J.; Labrador, E.; Martín, I.; Jiménez, T.; Dopico, B. Transcriptional profiling of cell wall protein genes in chickpea embryonic axes during germination and growth. Plant Physiol. Biochem. 2006, 44, 684–692. [Google Scholar] [CrossRef]
- Hernández-Nistal, J.; Martín, I.; Esteban, R.; Dopico, B.; Labrador, E. Abscisic acid delays chickpea germination by inhibiting water uptake and downregulating genes encoding cell wall remodelling proteins. Plant Growth Regul. 2010, 61, 175–183. [Google Scholar] [CrossRef]
- Albornos, L.; Cabrera, J.; Hernández-Nistal, J.; Martín, I.; Labrador, E.; Dopico, B. Organ accumulation and subcellular location of Cicer arietinum ST1 protein. Plant Sci. 2014, 224, 44–53. [Google Scholar] [CrossRef]
- Albornos, L.; Martín, I.; Iglesias, R.; Jiménez, T.; Labrador, E.; Dopico, B. ST proteins, a new family of plant tandem repeat proteins with a DUF2775 domain mainly found in Fabaceae and Asteraceae. BMC Plant Biol. 2012, 12, 207. [Google Scholar] [CrossRef]
- Albornos, L.; Martín, I.; Labrador, E.; Dopico, B. Three members of Medicago truncatula ST family are ubiquitous during development and modulated by nutritional status (MtST1) and dehydration (MtST2 and MtST3). BMC Plant Biol. 2017, 17, 117. [Google Scholar] [CrossRef]
- Albornos, L.; Martín, I.; Hernández-Nistal, J.; Labrador, E.; Dopico, B. Three members of Medicago truncatula ST family (MtST4, MtST5 and MtST6) are specifically induced by hormones involved in biotic interactions. Plant Physiol. Biochem. 2018, 127, 496–505. [Google Scholar] [CrossRef]
- Albornos, L.; Martín, I.; Hernández-Nistal, J.; Labrador, E.; Dopico, B. Promoter activity of genes encoding the Specific Tissue protein family in the reproductive organs of Medicago truncatula. Biol. Plant. 2019, 63, 785–796. [Google Scholar] [CrossRef]
- Albornos, L.; Casado-del-Castillo, V.; Martín, I.; Díaz-Mínguez, J.M.; Labrador, E.; Dopico, B. Specific tissue proteins 1 and 6 are involved in root biology during normal development and under symbiotic and pathogenic interactions in Medicago truncatula. Planta 2021, 253, 7. [Google Scholar] [CrossRef] [PubMed]
- Wechter, W.P.; Levi, A.; Harris, K.R.; Davis, A.R.; Fei, Z.; Katzir, N.; Giovannoni, J.J.; Salman-Minkov, A.; Hernandez, A.; Thimmapuram, J.; et al. Gene expression in developing watermelon fruit. BMC Genom. 2008, 9, 275. [Google Scholar] [CrossRef]
- Gaude, N.; Bortfeld, S.; Duensing, N.; Lohse, M.; Krajinski, F. Arbuscule-containing and non-colonized cortical cells of mycorrhizal roots undergo extensive and specific reprogramming during arbuscular mycorrhizal development. Plant J. 2012, 69, 510–528. [Google Scholar] [CrossRef] [PubMed]
- Liu, J.; Maldonado-Mendoza, I.; Lopez-Meyer, M.; Cheung, F.; Town, C.D.; Harrison, M.J. Arbuscular mycorrhizal symbiosis is accompanied by local and systemic alterations in gene expression and an increase in disease resistance in the shoots. Plant J. 2007, 50, 529–544. [Google Scholar] [CrossRef]
- Lima, S.T.; Ampolini, B.G.; Underwood, E.B.; Graf, T.N.; Earp, C.E.; Khedi, I.C.; Pasquale, M.A.; Chekan, J.R. A widely distributed biosynthetic cassette is responsible for diverse plant side chain cross-linked cyclopeptides. Chem. Int. Ed. 2023, 62, e202218082. [Google Scholar] [CrossRef]
- Chekan, J.R.; Mydy, L.S.; Pasquale, M.A.; Kersten, R.D. Plant peptides—Redefining an area of ribosomally synthesized and post-translationally modified peptides. Nat. Prod. Rep. 2024, 41, 1020–1059. [Google Scholar] [CrossRef]
- Tan, N.-H.; Zhou, J. Plant cyclopeptides. Chem. Rev. 2006, 106, 840–895. [Google Scholar] [CrossRef]
- BLAST in TAIR Database. Available online: https://www.arabidopsis.org/Blast/index.jsp (accessed on 1 April 2022).
- Hattori, J.; Boutilier, K.A.; Campagne, M.M.V.; Miki, B.L. A conserved BURP domain defines a novel group of plant proteins with unusual primary structures. Mol. Gen. Genet. 1998, 259, 424–428. [Google Scholar] [CrossRef]
- Basic Local Alignment Search Tool (BLAST). Available online: https://blast.ncbi.nlm.nih.gov/Blast.cgi (accessed on 1 April 2022).
- Phytozome 13. The Plants Genomics Resource. Available online: https://phytozome-next.jgi.doe.gov/ (accessed on 1 June 2022).
- Goodstein, D.M.; Shu, S.; Howson, R.; Neupane, R.; Hayes, R.D.; Fazo, J.; Mitros, T.; Dirks, W.; Hellsten, U.; Putnam, N.; et al. Phytozome: A comparative platform for green plant genomics. Nucleic Acids Res. 2012, 40, D1178–D1186. [Google Scholar] [CrossRef]
- Common Tree Taxonomy Tool, NCBI. Available online: http://www.ncbi.nlm.nih.gov/Taxonomy/CommonTree/wwwcmt.cgi (accessed on 30 September 2023).
- Molecular Evolution, Phylogenetics and Epidemiology, FigTree v1.3.1. Available online: http://tree.bio.ed.ac.uk/software/figtree/ (accessed on 30 September 2023).
- International Plant Names Index, IPNI. Available online: https://www.ipni.org/ (accessed on 1 December 2022).
- Expasy Translate Tool. Available online: https://web.expasy.org/translate/ (accessed on 1 June 2023).
- Technical University of Denmark (DTU), Department of Health Technology, SignalP-5.0. Available online: https://services.healthtech.dtu.dk/service.php?SignalP-5.0 (accessed on 1 June 2023).
- Petersen, T.N.; Brunak, S.; von Heijne, G.; Nielsen, H. Discriminating signal peptide from transmembrane regions. Nat. Methods 2011, 8, 785–786. [Google Scholar] [CrossRef]
- Technical University of Denmark (DTU), Department of Health Technology, SignalP-6.0. Available online: https://services.healthtech.dtu.dk/service.php?SignalP-6.0 (accessed on 1 June 2023).
- Teufel, F.; Almagro-Armenteros, J.J.; Johansen, A.R.; Gíslason, M.H.; Pihl, S.I.; Tsirigos, K.D.; Winther, O.; Brunak, S.; Von Heijne, G.; Nielsen, H. SignalP 6.0 predicts all five types of signal peptides using protein language models. Nat. Biotechnol. 2022, 40, 1023–1025. [Google Scholar] [CrossRef] [PubMed]
- Technical University of Denmark (DTU), Department of Health Technology, TargetP-2.0. Available online: https://services.healthtech.dtu.dk/service.php?TargetP-2.0 (accessed on 1 June 2023).
- Almagro-Armenteros, J.J.; Salvatore, M.; Winther, O.; Emanuelsson, O.; von Heijne, G.; Elofsson, A.; Nielsen, H. Detecting Sequence Signals in Targeting Peptides Using Deep Learning. Life Sci. Alliance 2019, 2, e201900429. [Google Scholar] [CrossRef]
- Technical University of Denmark (DTU), Department of Health Technology, DeepLoc-2.0. Available online: https://services.healthtech.dtu.dk/service.php?DeepLoc-2.0 (accessed on 1 June 2023).
- Thumuluri, V.; Almagro-Armenteros, J.J.; Johansen, A.R.; Nielsen, H.; Winther, O. DeepLoc 2.0: Multi-label subcellular localization prediction using protein language models. Nucleic Acids Res. 2022, 50, W228–W234. [Google Scholar] [CrossRef] [PubMed]
- Technical University of Denmark (DTU), DeepTMHMM. Available online: https://dtu.biolib.com/DeepTMHMM (accessed on 5 June 2023).
- Hallgren, J.; Tsirigos, K.D.; Pedersen, M.D.; Almagro-Armenteros, J.J.; Marcatili, P.; Nielsen, H.; Krogh, A.; Winther, O. DeepTMHMM predicts alpha and beta transmembrane proteins using deep neural networks. bioRxiv 2022, bioRxiv:2022.04. 08.487609. [Google Scholar] [CrossRef]
- Expasy, Compute pI/Mw. Available online: https://web.expasy.org/compute_pi (accessed on 5 June 2023).
- Prosite, ScanProsite Tool. Available online: https://prosite.expasy.org/scanprosite/ (accessed on 5 June 2023).
- Protein Subcellular Localization Prediction WoLF PSORT. Available online: https://wolfpsort.hgc.jp/ (accessed on 5 June 2023).
- EMBL European Bioinformatic Institute, EMBOSS. Available online: https://www.ebi.ac.uk/jdispatcher/sfc/emboss_seqret (accessed on 30 September 2023).
- Rice, P.; Longden, I.; Bleasby, A. EMBOSS: The European Molecular Biology Open Software Suite. Trends Genet. 2000, 16, 276–277. [Google Scholar] [CrossRef] [PubMed]
- Clustal Omega. Multiple Sequence Alignment. Available online: https://www.ebi.ac.uk/jdispatcher/msa/clustalo (accessed on 1 December 2023).
- Sievers, F.; Wilm, A.; Dineen, D.; Gibson, T.J.; Karplus, K.; Li, W.; Lopez, R.; McWilliam, H.; Remmert, M.; Söding, J.; et al. Fast, scalable generation of high-quality protein multiple sequence alignments using Clustal Omega. Mol. Syst. Biol. 2011, 7, 539. [Google Scholar] [CrossRef]
- Madeira, F.; Pearce, M.; Tivey, A.R.N.; Basutkar, P.; Lee, J.; Edbali, O.; Madhusoodanan, N.; Kolesnikov, A.; Lopez, R. Search and sequence analysis tools services from EMBL-EBI in 2022. Nucleic Acids Res. 2022, 50, W276–W279. [Google Scholar] [CrossRef]
- Waterhouse, A.M.; Procter, J.B.; Martin, D.M.A.; Clamp, M.; Barton, G.J. Jalview Version 2—A multiple sequence alignment editor and analysis workbench. Bioinformatics 2009, 25, 1189–1191. [Google Scholar] [CrossRef]
- WebLogo 3, Generation of Sequence Logo. Available online: https://weblogo.threeplusone.com (accessed on 31 January 2024).
- Crooks, G.E.; Hon, G.; Chandonia, J.M.; Brenner, S.E. WebLogo: A sequence logo generator. Genome Res. 2004, 14, 1188–1190. [Google Scholar] [CrossRef]
- Clough, S.J.; Bent, A.F. Floral dip: A simplified method for Agrobacterium-mediated transformation of Arabidopsis thaliana. Plant J. 1998, 16, 735–743. [Google Scholar] [CrossRef]
- Nelson, B.K.; Cai, X.; Nebenführ, A. A multicolored set of in vivo organelle markers for co-localization studies in Arabidopsis and other plants. Plant J. 2007, 51, 1126–1136. [Google Scholar] [CrossRef] [PubMed]
- Sainsbury, F.; Thuenemann, E.C.; Lomonossoff, G.P. PEAQ: Versatile expression vectors for easy and quick transient expression of heterologous proteins in plants. Plant Biotechnol. J. 2009, 7, 682–693. [Google Scholar] [CrossRef] [PubMed]
- Izquierdo, L.; Martín, I.; Albornos, L.; Hernández-Nistal, J.; Hueso, P.; Dopico, B.; Labrador, E. Overexpression of Cicer arietinum βIII-Gal but not βIV-Gal in arabidopsis causes a reduction of cell wall β-(1,4)-galactan compensated by an increase in homogalacturonan. J. Plant Physiol. 2018, 231, 135–146. [Google Scholar] [CrossRef] [PubMed]
- Martín, I.; Jiménez, T.; Hernández-Nistal, J.; Dopico, B.; Labrador, E. The βI-galactosidase of Cicer arietinum is located in thickened cell walls such as those of collenchyma, sclerenchyma and vascular tissue. Plant Biol. 2011, 13, 777–783. [Google Scholar] [CrossRef]
- Zeitler, B.; Bernhard, A.; Meyer, H.; Sattler, M.; Koop, H.U.; Lindermayr, C. Production of a de-novo designed antimicrobial peptide in Nicotiana benthamiana. Plant Mol. Biol. 2013, 81, 259–272. [Google Scholar] [CrossRef]
- Martín, I.; Jiménez, T.; Esteban, R.; Dopico, B.; Labrador, E. Immunolocalization of a cell wall β-galactosidase reveals its developmentally regulated expression in Cicer arietinum and its relationship to vascular tissue. J. Plant Growth Reg. 2008, 27, 181–191. [Google Scholar] [CrossRef]
- Schägger, H. Tricine-SDS-page. Nat. Protoc. 2006, 1, 16–22. [Google Scholar] [CrossRef]
- JBrowse, the Next-Generation Genome Browser. Available online: https://jbrowse.org/jb2/ (accessed on 1 March 2024).
- Diesh, C.; Stevens, G.J.; Xie, P.; Martinez, T.D.J.; Hershberg, E.A.; Leung, A.; Guo, E.; Dider, S.; Zhang, J.; Bridge, C.; et al. JBrowse 2: A modular genome browser with views of synteny and structural variation. Genome Biol. 2023, 24, 74. [Google Scholar] [CrossRef]
- Obayashi, T.; Hibara, H.; Kagaya, Y.; Aoki, Y.; Kinoshita, K. ATTED-II v11: A plant gene coexpression database using a sample balancing technique by subagging of principal components. Plant Cell Physiol. 2022, 63, 869–881. [Google Scholar] [CrossRef]
- Dehors, J.; Mareck, A.; Kiefer-Meyer, M.-C.; Menu-Bouaouiche, L.; Lehner, A.; Mollet, J.-C. Evolution of cell wall polymers in tip-growing land plant gametophytes: Composition, distribution, functional aspects and their remodeling. Front. Plant Sci. 2019, 10, 441. [Google Scholar] [CrossRef]
- Chase, M.W.; Christenhusz, M.J.M.; Fay, M.F.; Byng, J.W.; Judd, W.S.; Soltis, D.E.; Mabberley, D.J.; Sennikov, A.N.; Soltis, P.S.; Stevens, P.F. An update of the Angiosperm Phylogeny Group classification for the orders and families of flowering plants: APG IV. Bot. J. Linnean Soc. 2016, 181, 1–20. [Google Scholar] [CrossRef]
- Kersten, R.D.; Weng, J.-K. Gene-guided discovery and engineering of branched cyclic peptides in plants. Proc. Natl. Acad. Sci. USA 2018, 115, E10961–E10969. [Google Scholar] [CrossRef] [PubMed]
- Mazel, A.; Leshem, Y.; Tiwari, B.S.; Levine, A. Induction of Salt and Osmotic Stress Tolerance by Overexpression of an Intracellular Vesicle Trafficking Protein AtRab7 (AtRabG3e). Plant Physiol. 2004, 134, 118–128. [Google Scholar] [CrossRef]
- Harshavardhan, V.T.; Van Son, L.; Seiler, C.; Junker, A.; Weigelt-Fischer, K.; Klukas, C.; Altmann, T.; Sreenivasulu, N.; Bäumlein, H.; Kuhlmann, M. AtRD22 and AtUSPL1, members of the plant-specific burp domain family involved in Arabidopsis thaliana drought tolerance. PLoS ONE 2014, 9, e110065. [Google Scholar] [CrossRef]
- Ding, X.; Hou, X.; Xie, K.; Xiong, L. Genome-wide identification of BURP domain containing genes in rice reveals a gene family with diverse structures and responses to abiotic stresses. Planta 2009, 230, 149–163. [Google Scholar] [CrossRef]
- Tost, A.S.; Kristensen, A.; Olsen, L.I.; Axelsen, K.B.; Fuglsang, A.T. The PSY peptide family-expression, modification, and physiological implications. Genes 2021, 12, 218. [Google Scholar] [CrossRef] [PubMed]
- Reis, R.S.; Deforges, J.; Sokoloff, T.; Poirier, Y. Modulation of shoot phosphate level and growth by PHOSPHATE1 upstream open reading frame. Plant Physiol. 2020, 183, 1145–1156. [Google Scholar] [CrossRef]
- Winter, D.; Vinegar, B.; Nahal, H.; Ammar, R.; Wilson, G.V.; Provart, N.J. An “Electronic Fluorescent Pictograph” browser for exploring and analyzing large-scale biological data sets. PLoS ONE 2007, 2, e718. [Google Scholar] [CrossRef]
- Klepikova, A.V.; Kasianov, A.S.; Gerasimov, E.S.; Logacheva, M.D.; Penin, A.A. A high resolution map of the Arabidopsis thaliana developmental transcriptome based on RNA-seq profiling. Plant J. 2016, 88, 1058–1070. [Google Scholar] [CrossRef]
- Transcriptome Variation Analysis (TraVA Database). Available online: http://travadb.org/ (accessed on 1 December 2023).
- Brady, S.M.; Orlando, D.A.; Lee, J.Y.; Wang, J.Y.; Koch, J.; Dinneny, J.R.; Mace, D.; Ohler, U.; Benfey, P.N. A high-resolution root spatiotemporal map reveals dominant expression patterns. Science 2007, 318, 801–806. [Google Scholar] [CrossRef]
- Schmid, M.; Davison, T.S.; Henz, S.R.; Pape, U.J.; Demar, M.; Vingron, M.; Schölkopf, B.; Weigel, D.; Lohmann, J.U. A gene expression map of Arabidopsis thaliana development. Nat. Genet. 2005, 37, 501–506. [Google Scholar] [CrossRef] [PubMed]
- Dinneny, J.R.; Long, T.A.; Wang, J.Y.; Jung, J.W.; Mace, D.; Pointer, S.; Barron, C.; Brady, S.M.; Schiefelbein, J.; Benfey, P.N. Cell identity mediates the response of Arabidopsis roots to abiotic stress. Science 2008, 320, 942–945. [Google Scholar] [CrossRef] [PubMed]
- Tian, C.; Zhang, X.; He, J.; Yu, H.; Wang, Y.; Shi, B.; Han, Y.; Wang, G.; Feng, X.; Zhang, C.; et al. An organ boundary-enriched gene regulatory network uncovers regulatory hierarchies underlying axillary meristem initiation. Mol. Syst. Biol. 2014, 10, 755. [Google Scholar] [CrossRef]
- Neuhaus, J.M.; Rogers, J.C. Sorting of proteins to vacuoles in plant cells. Plant Mol. Biol. 1998, 38, 127–144. [Google Scholar] [CrossRef] [PubMed]
- Zhang, X.; Li, H.; Lu, H.; Hwang, I. The trafficking machinery of lytic and protein storage vacuoles: How much is shared and how much is distinct? J. Exp. Bot. 2021, 72, 3504–3512. [Google Scholar] [CrossRef]
- The Arabidopsis Information Resource (TAIR). Available online: https://www.arabidopsis.org/ (accessed on 1 April 2024).
- Lange, A.; Mills, R.E.; Lange, C.J.; Stewart, M.; Devine, S.E.; Corbett, A.H. Classical Nuclear Localization Signals: Definition, Function, and Interaction with Importin α. J. Biol. Chem. 2007, 282, 5101–5105. [Google Scholar] [CrossRef] [PubMed]
- Bellucci, M.; De Marchis, F.; Pompa, A. The endoplasmic reticulum is a hub to sort proteins toward unconventional traffic pathways and endosymbiotic organelles. J. Exp. Bot. 2018, 69, 7–20. [Google Scholar] [CrossRef]
- Hara-Nishimura, I.; Shimada, T.; Hatano, K.; Takeuchi, Y.; Nishimura, M. Transport of storage proteins to protein storage vacuoles is mediated by large precursor-accumulating vesicles. Plant Cell 1998, 10, 825–836. [Google Scholar] [CrossRef]















Disclaimer/Publisher’s Note: The statements, opinions and data contained in all publications are solely those of the individual author(s) and contributor(s) and not of MDPI and/or the editor(s). MDPI and/or the editor(s) disclaim responsibility for any injury to people or property resulting from any ideas, methods, instructions or products referred to in the content. |
© 2025 by the authors. Licensee MDPI, Basel, Switzerland. This article is an open access article distributed under the terms and conditions of the Creative Commons Attribution (CC BY) license (https://creativecommons.org/licenses/by/4.0/).
Share and Cite
Albornos, L.; Iriondo, P.; Rodríguez-Marcos, S.; Farelo, P.; Sobrino-Mengual, G.; Muñoz-Centeno, L.M.; Martín, I.; Dopico, B. A Comprehensive Analysis of Short Specific Tissue (SST) Proteins, a New Group of Proteins from PF10950 That May Give Rise to Cyclopeptide Alkaloids. Plants 2025, 14, 1117. https://doi.org/10.3390/plants14071117
Albornos L, Iriondo P, Rodríguez-Marcos S, Farelo P, Sobrino-Mengual G, Muñoz-Centeno LM, Martín I, Dopico B. A Comprehensive Analysis of Short Specific Tissue (SST) Proteins, a New Group of Proteins from PF10950 That May Give Rise to Cyclopeptide Alkaloids. Plants. 2025; 14(7):1117. https://doi.org/10.3390/plants14071117
Chicago/Turabian StyleAlbornos, Lucía, Paula Iriondo, Silvia Rodríguez-Marcos, Patricia Farelo, Guillermo Sobrino-Mengual, Luz María Muñoz-Centeno, Ignacio Martín, and Berta Dopico. 2025. "A Comprehensive Analysis of Short Specific Tissue (SST) Proteins, a New Group of Proteins from PF10950 That May Give Rise to Cyclopeptide Alkaloids" Plants 14, no. 7: 1117. https://doi.org/10.3390/plants14071117
APA StyleAlbornos, L., Iriondo, P., Rodríguez-Marcos, S., Farelo, P., Sobrino-Mengual, G., Muñoz-Centeno, L. M., Martín, I., & Dopico, B. (2025). A Comprehensive Analysis of Short Specific Tissue (SST) Proteins, a New Group of Proteins from PF10950 That May Give Rise to Cyclopeptide Alkaloids. Plants, 14(7), 1117. https://doi.org/10.3390/plants14071117

