Fractions and Compounds Obtained from Transformed Plant Cell Cultures of Lopezia racemosa Show Anti-Inflammatory and Cytotoxic Activities
Abstract
1. Introduction
2. Results
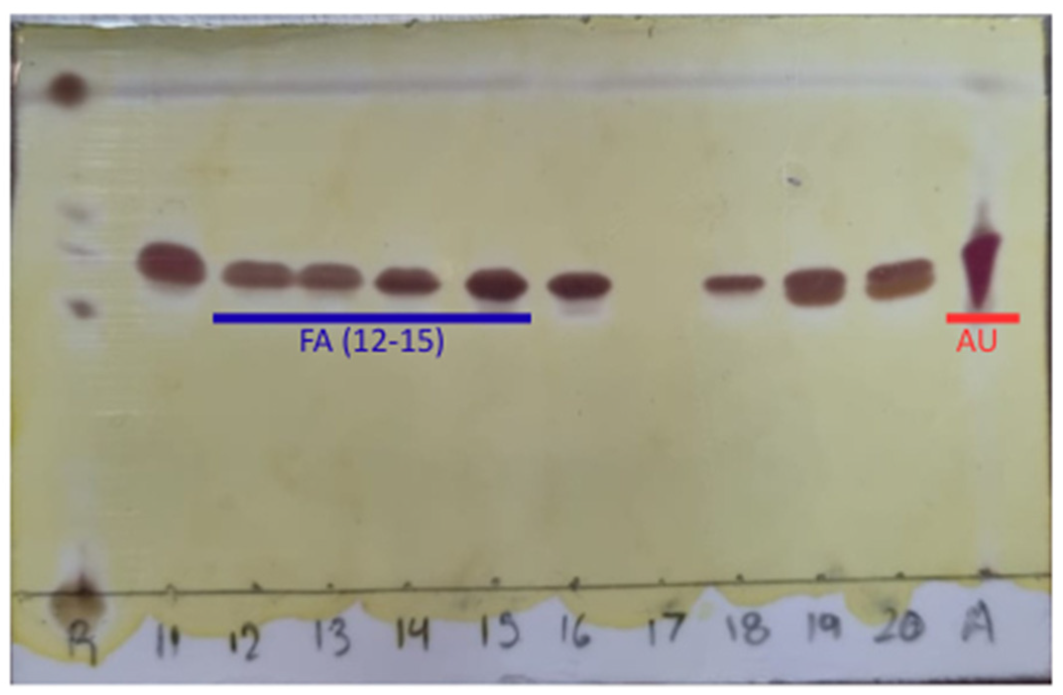
2.1. Fractionation
2.2. Detection of rol Genes and Verification of Genetic Transformation in LRTC3.1
2.3. Compounds Elucidation by NMR and ESI-MS
2.4. Evaluation of the Anti-Inflammatory Activity by the Carrageenan Assay
2.5. Cytokine Analysis
2.6. Evaluation of Cytotoxic Activity
3. Discussion
3.1. Biological Activity
3.2. Genetic Stability
4. Materials and Methods
4.1. Biomass Production from Friable Callus of the LRTC3.1 Line
4.2. DNA Extraction
4.3. PCR Analysis
4.4. Isolation of the Triterpene Ester
4.4.1. General Experimental Procedures
4.4.2. Obtaining the Crude Extract
4.4.3. Obtaining Compounds 1 and 2 from ExtDM
4.5. Anti-Inflammatory Activity
4.5.1. Carrageenan-Induced Inflammation Model
4.5.2. Cytokine Evaluation
4.6. Cytotoxic Activity
4.7. Statistical Analysis
5. Conclusions
Author Contributions
Funding
Data Availability Statement
Acknowledgments
Conflicts of Interest
Appendix A









| Position | δ 1H 1 | δ 13C 1 | δ 1H 2 | δ 13C 2 |
|---|---|---|---|---|
| 1 | a 1.99 (m) b 1.09 (m) | 48.4 | a 1.99 (m) b 1.09 (m) | 48.4 |
| 2 | 3.86 (m) | 66.83 | 3.86 (m) | 66.8 |
| 3 | 4.63 (d, br, 9.7 Hz) | 84.94 | 4.63 (d, br, 9.7 Hz) | 84.9 |
| 4 | --- | 40.1 | --- | 40.1 |
| 5 | --- | 55.8 | --- | 55.8 |
| 6 | --- | 19.10 | --- | 19.08 |
| 7 | --- | 33.7 | --- | 33.7 |
| 8 | --- | 40.4 | --- | 40.2 |
| 9 | --- | 48.27 | --- | 48.3 |
| 10 | --- | 38.7 | --- | 38.7 |
| 11 | --- | 23.75 | --- | 24.24 |
| 12 | 5.26 (m) | 122.8 | 5.26 (m) | 126.03 |
| 13 | --- | 145.07 | --- | 139.4 |
| 14 | --- | 40.4 | --- | 40.4 |
| 15 | --- | 28.42 | --- | 28.79 |
| 16 | --- | 24.12 | --- | 25.66 |
| 17 | --- | 46.86 | --- | 42.9 |
| 18 | --- | 41.9 | --- | 53.8 |
| 19 | --- | 46.7 | --- | 39.9 |
| 20 | --- | 31.3 | --- | 39.8 |
| 21 | --- | 34.4 | --- | 31.3 |
| 22 | --- | 33.46 | --- | 37.6 |
| 23 | 0.89 (s) | 29.10 | 0.93 (s) | 29.14 |
| 24 | 0.94 (s) | 18.33 | 0.89 (s) | 17.70 |
| 25 | 1.05 (s) | 17.05 | 1.07 (s) | 17.18 |
| 26 | 0.82 (s) | 17.62 | 0.82 (s) | 17.57 |
| 27 | 1.22 (s) | 26.31 | 0.95 (s) | 23.89 |
| 28 | --- | 178.9 | --- | 178.6 |
| 29 | 1.28 (s) | 30.34 | 0.86 (d, 7) | 21.48 |
| 30 | 1.22 (s) | 26.31 | 0.97 (d, 6.8) | 18.39 |
| 1′ | --- | 127.6 | --- | 127.6 |
| 2′ | 7.33 (br, s) | 111.2 | 7.33 (br, s) | 111.2 |
| 3′ | --- | 148.7 | --- | 148.7 |
| 4′ | --- | 149.9 | --- | 149.9 |
| 5′ | 6.87 (d, 8.1) | 116.0 | 6.87 (d, 8.1) | 116.0 |
| 6′ | 7.14 (d, br, 8.1) | 123.8 | 7.14 (d, br, 8.1) | 123.8 |
| 1″ | --- | 167.8 | --- | 167.8 |
| 2″ | 6.42 (d, 15.8) | 116.6 | 6.42 (d, 15.8) | 116.6 |
| 3″ | 7.59 (d, 15.8) | 145.2 | 7.59 (d, 15.8) | 145.2 |
| OCH3 | 3.92 (s) | 56.3 | 3.92 (s) | 56.3 |
References
- Plitmann, U.; Raven, P.H.; Breedlove, D.E. The Systematics of Lopezieae (Onagraceae). Ann. Mo. Bot. Gard. 1973, 60, 478–563. [Google Scholar] [CrossRef]
- O’Kane, S.L.; Schaal, B.A. Phylogenetics of Lopezia (Onagraceae): Evidence from Chloroplast DNA Restriction Sites. Syst. Bot. 1998, 23, 5–20. [Google Scholar] [CrossRef]
- Hoch, P.C.; Gandhi, K. Nomenclatural changes in Onagraceae. PhytoKeyS 2020, 145, 57–62. [Google Scholar] [CrossRef]
- Hernández-Villa, V.; Vibrans, H.; Uscanga-Mortera, E.; Aguirre-Jaimes, A. Floral visitors and pollinator dependence are related to floral display size and plant height in native weeds of central Mexico. Flora 2020, 262, 151505. [Google Scholar] [CrossRef]
- Aamir Iqbal, M.; Ali, S.; El Sabagh, A.; Ahmad, Z.; Siddiqui, M.H. Changing Climate and Advances on Weeds Utilization as Forage: Provisions, Nutritional Quality and Implications. In Invasive Species—Introduction Pathways, Economic Impact, and Possible Management Options; IntechOpen: London, UK, 2020. [Google Scholar] [CrossRef]
- Aparicio-Aparicio, J.C.; Voeks, R.A.; Silveira Funch, L. Are Mixtec Forgetting Their Plants? Intracultural Variation of Ethnobotanical Knowledge in Oaxaca, Mexico. Econ. Bot. 2021, 75, 215–233. [Google Scholar] [CrossRef]
- Argueta, A.; Cano, L.M.; Rodarte, M.E. Atlas De Las Plantas De La Medicina Tradicional Mexicana; Instituto Nacional Indigenista: Mexico City, Mexico, 1994; Available online: http://www.medicinatradicionalmexicana.unam.mx/apmtm/termino.php?l=3&t=lopezia-racemosa (accessed on 25 July 2025).
- Cruz Paredes, C.; Bolívar Balbás, P.; Gómez Velasco, A.; Juárez, Z.N.; Sánchez Arreola, E.; Hernández, L.R.; Bach, H. Antimicrobial, antiparasitic, anti inflammatory, and cytotoxic activities of Lopezia racemosa. Sci. World J. 2013, 2013, 237438. [Google Scholar] [CrossRef] [PubMed]
- Salinas, R.; Arellano-García, J.; Perea-Arango, I.; Alvarez, L.; Garduño-Ramírez, M.L.; Marquina, S.; Zamilpa, A.; Castillo-España, P. Production of the anti-inflammatory compound 6-O-palmitoyl-3-O-β-D-glucopyranosylcampesterol by Callus cultures of Lopezia racemosa Cav. (Onagraceae). Molecules 2014, 19, 8679–8690. [Google Scholar] [CrossRef] [PubMed]
- Moreno-Anzúrez, N.E.; Marquina, S.; Alvarez, L.; Zamilpa, A.; Castillo-España, P.; Perea-Arango, I.; Torres, P.N.; Herrera-Ruiz, M.; Díaz García, E.R.; García, J.T.; et al. A Cytotoxic and Anti-inflammatory Campesterol Derivative from Genetically Transformed Hairy Roots of Lopezia racemosa Cav. (Onagraceae). Molecules 2017, 22, 118. [Google Scholar] [CrossRef]
- Glen, A.T.; Lawrie, W.; McLean, J.; Younes, M.E.G. Triterpenoid constituents of rose-bay willow-herb. J. Chem. Soc. 1967, 2, 510–515. [Google Scholar] [CrossRef]
- Häberlein, H.; Tschiersch, K.P. Triterpenoids and flavonoids from Leptospermum scoparium. Phytochemistry 1994, 35, 765–768. [Google Scholar] [CrossRef]
- Xiaoyan, L.; Fangli, H.; Zilin, C. A HPLC-MS method for profiling triterpenoid acids and triterpenoid esters in Osmanthus fragrans fruits. Analyst 2019, 144, 6981–6988. [Google Scholar] [CrossRef]
- National Cancer Institute (NCI). Natural Products/Compounds Anticancer Activity Screening Assay [Fact Sheet]; National Cancer Institute: Bethesda, MD, USA, 2015. Available online: https://dtp.cancer.gov/discovery_development/nci-60/ (accessed on 5 November 2024).
- El Far, M.S.; Zakaria, A.S.; Kassem, M.A.; Wedn, A.; Guimei, M.; Edward, E.A. Promising biotherapeutic prospects of different probiotics and their derived postbiotic metabolites: In-vitro and histopathological investigation. BMC Microbiol. 2023, 23, 122. [Google Scholar] [CrossRef]
- Di Benedetto, P.; Ruscitti, P.; Vadasz, Z.; Toubi, E.; Giacomelli, R. Macrophages with regulatory functions, a possible new therapeutic perspective in autoimmune diseases. Autoimmun. Rev. 2019, 18, 102369. [Google Scholar] [CrossRef]
- Islam, H.; Chamberlain, T.C.; Mui, A.L.; Little, J.P. Elevated interleukin-10 levels in COVID-19: Potentiation of pro-inflammatory responses or impaired anti-inflammatory action? Front. Immunol. 2021, 12, 677008. [Google Scholar] [CrossRef]
- Peng, K.; Deng, N.; Meng, Y.; He, Q.; Meng, H.; Luo, T.; Wei, Y.; Kang, Y.; Zhou, X.; Shen, F. Alpha-Momorcharin Inhibits Proinflammatory Cytokine Expression by M1 Macrophages but Not Anti-Inflammatory Cytokine Expression by M2 Macrophages. J. Inflamm. Res. 2022, 15, 4853–4872. [Google Scholar] [CrossRef]
- Freitas, A.R.D.; Lima, V.V.; Bomfim, F.G.; Giachini, R.C.F. Interleukin-10 in the Vasculature: Pathophysiological Implications. Curr. Vasc. Pharmacol. 2022, 20, 230–243. [Google Scholar] [CrossRef]
- Jang, D.; Lee, A.-H.; Shin, H.-Y.; Song, H.-R.; Park, J.-H.; Kang, T.-B.; Lee, S.-R.; Yang, S.-H. The Role of Tumor Necrosis Factor Alpha (TNF-α) in Autoimmune Disease and Current TNF-α Inhibitors in Therapeutics. Int. J. Mol. Sci. 2021, 22, 2719. [Google Scholar] [CrossRef] [PubMed]
- Van Loo, G.; Bertrand, M.J.M. Death by TNF: A road to inflammation. Nat. Rev. Immunol. 2023, 23, 289–303. [Google Scholar] [CrossRef]
- Kumar, A.; Narayan, R.K.; Prasoon, P.; Kumari, C.; Kaur, G.; Kumar, S.; Kulandhasamy, M.; Sesham, K.; Pareek, V.; Faiq, M.A.; et al. COVID-19 Mechanisms in the Human Body-What We Know So Far. Front. Immunol. 2021, 12, 693938. [Google Scholar] [CrossRef]
- Neto, J.B.D.A.; Marinho, E.M.; Silva, C.R.d.; Valente Sá, L.G.d.A.; Cabral, V.P.d.F.; Cândido, T.M.; Nobre Júnior, H.V. Study of the interactions of di-and tri-terpenes from Stillingia loranthacea with the enzyme NSP16-NSP10 of SARS-CoV-2. J. Health Biol. Sci. 2022, 10, 1–10. [Google Scholar] [CrossRef]
- Nunes, C.D.R.; Barreto Arantes, M.; Menezes de Faria Pereira, S.; Leandro da Cruz, L.; de Souza Passos, M.; Pereira de Moraes, L.; Vieira, I.J.C.; Barros de Oliveira, D. Plants as Sources of Anti-Inflammatory Agents. Molecules 2020, 25, 3726. [Google Scholar] [CrossRef]
- Yap, W.H.; Lim, Y.M. Mechanistic Perspectives of Maslinic Acid in Targeting Inflammation. Biochem. Res. Int. 2015, 2015, 279356. [Google Scholar] [CrossRef]
- Qian, X.P.; Zhang, X.H.; Sun, L.N.; Xing, W.F.; Wang, Y.; Sun, S.Y.; Ma, M.Y.; Cheng, Z.P.; Wu, Z.D.; Xing, C.; et al. Corosolic acid and its structural analogs: A systematic review of their biological activities and underlying mechanism of action. Phytomed. Int. J. Phytother. Phytopharmacol. 2021, 91, 153696. [Google Scholar] [CrossRef]
- Lee, Y.-S.; Kwon, R.J.; Lee, H.S.; Chung, J.H.; Kim, Y.S.; Jeong, H.-S.; Park, S.-J.; Lee, S.Y.; Kim, T.; Yoon, S.H. The Role of Pentacyclic Triterpenoids in Non-Small Cell Lung Cancer: The Mechanisms of Action and Therapeutic Potential. Pharmaceutics 2025, 17, 22. [Google Scholar] [CrossRef]
- Sabarathinam, S.; Satheesh, S. Unveiling the molecular mechanisms and clinical implications of maslinic acid in diabetes mellitus: Insights from network pharmacology. Asp. Mol. Med. 2025, 5, 100060. [Google Scholar] [CrossRef]
- Yu, L.; Xie, X.; Cao, X.; Chen, J.; Chen, G.; Chen, Y.; Li, G.; Qin, J.; Peng, F.; Peng, C. The Anticancer Potential of Maslinic Acid and Its Derivatives: A Review. Drug Des. Dev. Ther. 2021, 15, 3863–3879. [Google Scholar] [CrossRef] [PubMed]
- Liu, F.; Wang, Y.; Li, Y.; Ma, S.G.; Qu, J.; Liu, Y.B.; Niu, C.S.; Tang, Z.H.; Li, Y.H.; Li, L.; et al. Triterpenoids from the twigs and leaves of Rhododendron latoucheae by HPLC–MS–SPE–NMR. Tetrahedron 2019, 75, 296–307. [Google Scholar] [CrossRef]
- Huang, L.; Wang, Z.; Wang, F.; Wang, S.; Wang, D.; Gao, M.; Li, H.; Song, M.; Zhang, X. Triterpenoids from the Leaves of Diospyros digyna and Their PTP1B Inhibitory Activity. Molecules 2024, 29, 1640. [Google Scholar] [CrossRef] [PubMed]
- Lankitus, D.; Zhang, Y.; Ariyaratne, M.; Barker, D.J.; McNulty, S.L.; Amstutz, N.; Zhao, L.; Iaffaldano, B.J.; Cornish, K. Agrobacterium rhizogenes—Induced Altered Morphology and Physiology in Rubber Dandelion after Genetic Transformation. J. Am. Soc. Hortic. Sci. 2023, 148, 21–28. [Google Scholar] [CrossRef]
- Dilshad, E.; Noor, H.; Nosheen, N.; Gilani, S.R.; Ali, U.; Khan, M.A. Influence of rol Genes for Enhanced Biosynthesis of Potent Natural Products. In Chemistry of Biologically Potent Natural Products and Synthetic Compounds; Islam, S.U., Banday, J.A., Eds.; Wiley-Scrivener: Austin, TX, USA, 2021. [Google Scholar] [CrossRef]
- Mauro, M.L.; Bettini, P.P. Agrobacterium rhizogenes rolB oncogene: An intriguing player for many roles. Plant Physiol. Biochem. 2021, 165, 10–18. [Google Scholar] [CrossRef]
- Bulgakov, V.P. Functions of rol genes in plant secondary metabolism. Biotechnol. Adv. 2008, 26, 318–324. [Google Scholar] [CrossRef]
- Murashige, T.; Skoog, F. A Revised Medium for Rapid Growth and Bio Assays with Tobacco Tissue Cultures. Physiol. Plant. 1962, 15, 473–497. [Google Scholar] [CrossRef]
- Gamborg, O.L.; Miller, R.A.; Ojima, K. Nutrient requirements of suspension cultures of soybean root cells. Exp. Cell Res. 1968, 50, 151–158. [Google Scholar] [CrossRef] [PubMed]
- Bonhomme, V.; Laurain-Mattar, D.; Lacoux, J.; Fliniaux, M.; Jacquin-Dubreuil, A. Tropane alkaloid production by hairy roots of Atropa belladonna obtained after transformation with Agrobacterium rhizogenes 15834 and Agrobacterium tumefaciens containing rol A, B, C genes only. J. Biotech. 2000, 81, 151–158. [Google Scholar] [CrossRef] [PubMed]
- González-Cortazar, M.; Salinas-Sánchez, D.O.; Herrera-Ruiz, M.; Hernández-Hernández, P.; Zamilpa, A.; Jiménez-Ferrer, E.; Utrera-Hernández, B.E.; Pérez-García, M.D.; Gutiérrez-Roman, A.S.; Ble-González, E.A. Chemical Profile Analysis of Prosopis laevigata Extracts and Their Topical Anti-Inflammatory and Antibacterial Activities. Plants 2025, 14, 1118. [Google Scholar] [CrossRef]
- Diario Oficial de la Federación, Mexico. Norma Oficial Mexicana (6 de Diciembre de 1999). Especificaciones Técnicas Para La Producción, Cuidado Y Uso De Los Animales De Laboratorio [NOM-062-ZOO-1999]. Available online: https://www.gob.mx/cms/uploads/attachment/file/203498/NOM-062-ZOO-1999_220801.pdf (accessed on 23 April 2020).
- Amdekar, S.; Roy, P.; Singh, V.; Kumar, A.; Singh, R.; Sharma, P. Anti-Inflammatory Activity of Lactobacillus on Carrageenan-Induced Paw Edema in Male Wistar Rats. Int. J. Inflam. 2012, 2012, 752015. [Google Scholar] [CrossRef] [PubMed]
- Vichai, V.; Kirtikara, K. Sulforhodamine B colorimetric assay for cytotoxicity screening. Nat. Protoc. 2006, 1, 1112–1116. [Google Scholar] [CrossRef] [PubMed]






| Treatments | Time | ||||||
|---|---|---|---|---|---|---|---|
| T0 (0 min) | T1 (30 min) | T2 (1 h) | T3 (2 h) | T4 (3 h) | T5 (4 h) | T6 (24 h) | |
| (mm) | |||||||
| Basal | 1.87 ± 0.18 | 2.5 ± 0.48 | 2.19 ± 0.20 | 2.22 ± 0.23 | 2.38 ± 0.13 | 2.34 ± 0.22 | 2.02 ± 0.23 |
| Vehicle | 1.89 ± 0.11 | 2.38 ± 0.25 | 2.74 ± 0.18 | 2.79 ± 0.29 | 3.10 ± 0.12 | 3.38 ± 0.19 | 3.20 ± 0.38 |
| Meloxicam | 1.75 ± 0.07 | 2.35 ± 0.20 | 2.45 ± 0.25 | 2.52 ± 0.24 | 2.54 ± 0.16 | 2.71 ± 0.10 | 2.87 ± 0.19 |
| * ExtMD | 1.86 ± 0.11 | 2.48 ± 0.13 | 2.64 ± 0.13 | 2.74 ± 0.32 | 2.90 ± 0.32 | 2.68 ± 0.26 | 2.35 ± 0.32 |
| FB (19–20) | 1.87 ± 0.12 | 2.85 ± 0.37 | 2.48 ± 0.17 | 2.65 ± 0.22 | 2.94 ± 0.33 | 3.00 ± 0.33 | 3.15 ± 0.26 |
| * FC (21–23) | 1.80 ± 0.20 | 2.20 ± 0.15 | 2.46 ± 0.16 | 2.56 ± 0.13 | 2.65 ± 0.11 | 2.65 ± 0.32 | 2.66 ± 0.26 |
| * FD (28–29) | 1.97 ± 0.21 | 2.38± 0.10 | 2.44 ± 0.11 | 2.52 ± 0.09 | 2.74 ± 0.35 | 2.85 ± 0.34 | 2.81 ± 0.21 |
| Mixture (1 and 2) | 1.91 ± 0.12 | 2.67 ± 0.35 | 2.67 ± 0.33 | 2.75 ± 0.28 | 2.61 ± 0.32 | 2.88 ± 0.37 | 2.75 ± 0.41 |
| Treatments | Edema (mm) | AUC (mm/min) | Inhibition of Inflammation (%) |
|---|---|---|---|
| Vehicle | 3.10 ± 0.12 | 4448.879 | – |
| Meloxicam | 2.71 ± 0.10 | 3811.700 | 30.86 |
| ExtDM | 2.68 ± 0.26 * | 3365.051 | 51.02 |
| FB (19–20) | 3.00 ± 0.33 | 4211.221 | 23.45 |
| FC (21–23) | 2.65 ± 0.32 * | 3568.333 | 27.98 |
| FD (28–29) | 2.85 ± 0.34 * | 3874.207 | 22.22 |
| Mixture (1 and 2) | 2.88 ± 0.37 | 3887.564 | 18.51 |
| Fraction/Compound | Cancer Cell Lines | ||
|---|---|---|---|
| SiHa (μg/mL) | HCT-15 (μg/mL) | MCF7 (μg/mL) | |
| ExtDM | 7.777 ± 0.534 | 4.837 ± 0.129 | 2.507 ± 0.121 |
| FD (28–29) | 0.508 ± 0.0005 | 5.356 ± 0.571 | 0.053 ± 0.0022 |
| Mixture 1 and 2 | 1.345 ± 0.175 | >100 | 2.693 ± 0.054 |
Disclaimer/Publisher’s Note: The statements, opinions and data contained in all publications are solely those of the individual author(s) and contributor(s) and not of MDPI and/or the editor(s). MDPI and/or the editor(s) disclaim responsibility for any injury to people or property resulting from any ideas, methods, instructions or products referred to in the content. |
© 2025 by the authors. Licensee MDPI, Basel, Switzerland. This article is an open access article distributed under the terms and conditions of the Creative Commons Attribution (CC BY) license (https://creativecommons.org/licenses/by/4.0/).
Share and Cite
Coronel-Pastor, L.; Villarreal, M.L.; Zamilpa, A.; Herrera-Ruiz, M.; González-Cortazar, M.; Alvarez, L.; Perea-Arango, I.; Moreno-Anzúrez, N.E.; Rodríguez Monroy, M.; Arellano-García, J.d.J. Fractions and Compounds Obtained from Transformed Plant Cell Cultures of Lopezia racemosa Show Anti-Inflammatory and Cytotoxic Activities. Plants 2025, 14, 2585. https://doi.org/10.3390/plants14162585
Coronel-Pastor L, Villarreal ML, Zamilpa A, Herrera-Ruiz M, González-Cortazar M, Alvarez L, Perea-Arango I, Moreno-Anzúrez NE, Rodríguez Monroy M, Arellano-García JdJ. Fractions and Compounds Obtained from Transformed Plant Cell Cultures of Lopezia racemosa Show Anti-Inflammatory and Cytotoxic Activities. Plants. 2025; 14(16):2585. https://doi.org/10.3390/plants14162585
Chicago/Turabian StyleCoronel-Pastor, Lizbeth, María Luisa Villarreal, Alejandro Zamilpa, Maribel Herrera-Ruiz, Manases González-Cortazar, Laura Alvarez, Irene Perea-Arango, Norma Elizabeth Moreno-Anzúrez, Mario Rodríguez Monroy, and José de Jesús Arellano-García. 2025. "Fractions and Compounds Obtained from Transformed Plant Cell Cultures of Lopezia racemosa Show Anti-Inflammatory and Cytotoxic Activities" Plants 14, no. 16: 2585. https://doi.org/10.3390/plants14162585
APA StyleCoronel-Pastor, L., Villarreal, M. L., Zamilpa, A., Herrera-Ruiz, M., González-Cortazar, M., Alvarez, L., Perea-Arango, I., Moreno-Anzúrez, N. E., Rodríguez Monroy, M., & Arellano-García, J. d. J. (2025). Fractions and Compounds Obtained from Transformed Plant Cell Cultures of Lopezia racemosa Show Anti-Inflammatory and Cytotoxic Activities. Plants, 14(16), 2585. https://doi.org/10.3390/plants14162585

