Improved Diaphorina citri (Hemiptera: Liviidae) Adults Biocontrol in Citrus by Hirsutella citriformis (Hypocreales: Ophiocordycipitaceae) Gum-Enhanced Conidia Formulation
Abstract
1. Introduction
2. Results
2.1. Radial Growth and Conidiation in Agar
2.2. Conidia Production on Oat
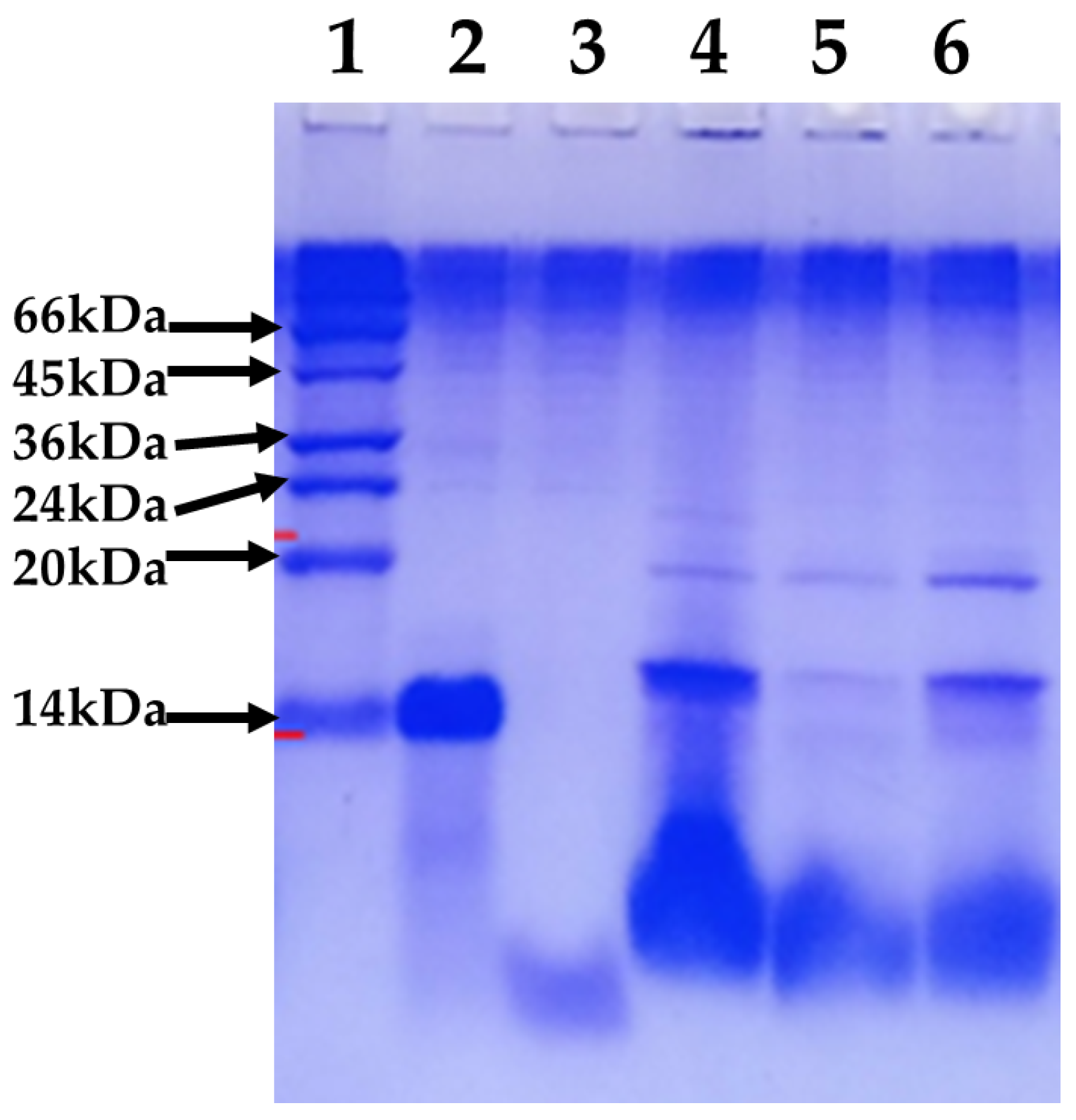
2.3. Hirsutella Citriformis Gum Production
2.4. Laboratory Bioassays
2.5. Field Assays
3. Discussion
4. Materials and Methods
4.1. Fungi Radial Growth and Sporulation on Agar Media
4.2. Conidia Production on Oat
4.3. Preparation of Primary Inoculum and Solid Substrates
4.4. Solid Culture First Step
4.5. Solid Culture Second Step
4.6. Hirsutella Citriformis Gum Analysis
4.7. Hirsutella Citriformis Conidia Formulation
4.8. Laboratory Bioassay
4.9. First Field Assay
4.10. Second Field Assay
4.11. Statistical Analysis
5. Conclusions
Supplementary Materials
Author Contributions
Funding
Institutional Review Board Statement
Informed Consent Statement
Data Availability Statement
Conflicts of Interest
References
- López-Collado, J.; López-Arroyo, J.I.; Robles-García, P.L.; Márquez-Santos, M. Geographic distribution of habitat, development, and population growth rates of the Asian citrus psyllid, Diaphorina citri, in Mexico. J. Insect Sci. 2013, 13, 114. [Google Scholar] [CrossRef]
- Liu, Y.H.; Tsai, J.H. Effects of temperature on biology and life table parameters of the Asian citrus psyllid, Diaphorina citri Kuwayama (Homoptera: Psyllidae). Ann. Appl. Biol. 2000, 137, 201–206. [Google Scholar] [CrossRef]
- Folimonova, S.Y.; Robertson, C.J.; Garnsey, S.M.; Gowda, S.; Dawson, W.O. Examination of the responses of different genotypes of citrus to Huanglongbing (citrus greening) under different conditions. Phytopathology 2009, 99, 1346–1354. [Google Scholar] [CrossRef] [PubMed]
- Gottwald, T.R.; Graham, J.H.; Irey, M.S.; McCollum, T.G.; Wood, B.W. Inconsequential effect of nutritional treatments on Huanglongbing control, fruit quality, bacterial titer and disease progress. Crop. Prot. 2012, 36, 73–82. [Google Scholar] [CrossRef]
- Das, A.K.; Rao, C.N.; Singh, S. Presence of citrus greening (Huanglongbing) disease and its psyllid vector in the North-Eastern region of India confirmed by PCR technique. Curr. Sci. 2007, 92, 1759–1763. [Google Scholar]
- Belasque, J., Jr.; Bassanezi, R.B.; Yamamoto, P.T.; Ayres, A.J.; Tachibana, A.; Violante, A.R.; Tank, A., Jr.; Di Giorgi, F.; Tersi, F.E.A.; Menezes, G.M.; et al. Lessons from Huanglongbing management in São Paulo state, Brazil. J. Plant Pathol. 2010, 92, 285–302. [Google Scholar]
- Spreen, T.H.; Baldwin, J.-P.; Futch, S.H. An economic assessment of the impact of Huanglongbing on citrus tree plantings in Florida. Hortscience 2014, 49, 1052–1055. [Google Scholar] [CrossRef]
- Pérez-González, O.; Arredondo-Bernal, H.C.; Montesinos-Matías, R.; Mellín-Rosas, M.A.; Maldonado-Blanco, M.G. Effect of native strains of Hirsutella citriformis on Diaphorina citri adults under field conditions. Southwest. Entomol. 2020, 45, 435–444. [Google Scholar] [CrossRef]
- Blaustein, R.A.; Lorca, G.L.; Teplitski, M. Challenges for managing Candidatus Liberibacter spp. (Huanglongbing disease pathogen): Current control measures and future directions. Phytopathology 2018, 108, 424–435. [Google Scholar] [CrossRef]
- López-Llorca, L.V.; Jansson, H.B. Biodiversidad del suelo: Control biológico de nematodos fitopatógenos por hongos nematófagos. Cuad. Biodivers. 2001, 6, 12–15. (In Spanish) [Google Scholar] [CrossRef]
- Toledo, A.; Simurro, M.; Balatti, P. Morphological and molecular characterization of a fungus, Hirsutella sp., isolated from planthoppers and psocids in Argentina. J. Insect Sci. 2013, 13, 18. [Google Scholar] [CrossRef]
- Meyer, J.M.; Hoy, M.A.; Boucias, D.G. Morphological and molecular characterization of a Hirsutella species infecting the Asian citrus psyllid, Diaphorina citri Kuwayama (Hemiptera: Psyllidae), in Florida. J. Invertebr. Pathol. 2007, 95, 101–109. [Google Scholar] [CrossRef]
- Casique-Valdes, R.; Reyes-Martinez, A.Y.; Sanchez-Peña, S.R.; Bidochka, M.J.; Lopez-Arroyo, J.I. Pathogenicity of Hirsutella citriformis (Ascomycota: Cordycipitaceae) to Diaphorina citri (Hemiptera: Psyllidae) and Bactericera cockerelli (Hemiptera: Triozidae). Fla. Entomol. 2011, 94, 703–705. [Google Scholar] [CrossRef]
- Pérez-González, O.; Rodríguez-Guerra, R.; López-Arroyo, J.I.; Sandoval-Coronado, C.F.; Maldonado-Blanco, M.G. Effect of Mexican Hirsutella citriformis (Hypocreales: Ophiocordycipitaceae) strains on Diaphorina citri (Hemiptera: Liviidae) and the predators Chrysoperla rufilabris (Neuroptera: Chrysopidae) and Hippodamia convergens (Coleoptera: Coccinellidae). Fla. Entomol. 2016, 99, 509–515. [Google Scholar] [CrossRef]
- Pérez-González, O.; Rodríguez-Guerra, R.; López-Arroyo, J.I.; Sandoval-Coronado, C.F.; Maldonado-Blanco, M.G. Radial growth, sporulation, and virulence of Mexican isolates of Hirsutella citriformis against Diaphorina citri. Southwest. Entomol. 2015, 40, 111–120. [Google Scholar] [CrossRef]
- Esparza-Mora, M.A.; Costa-Rouws, J.R.; Elias-Fraga, M. Occurrence of entomopathogenic fungi in Atlantic forest soils. Microbiol. Discov. 2016, 4, 1. [Google Scholar] [CrossRef]
- Figueroa, L.M.; Varela, A.; Corredor, D. Evaluación de sustratos naturales para la propagación masiva del hongo entomopatógeno Paecilomyces fumosoroseus (Deuteromicotina: Hyphomycetes). Rev. Investig. 2007, 7, 127–131. (In Spanish) [Google Scholar]
- Mascarin, G.M.; Kobori, N.N.; Jackson, M.A.; Dunlap, C.A.; Delalibera, Í., Jr. Nitrogen sources affect productivity, desiccation tolerance, and storage stability of Beauveria bassiana blastospores. J. Appl. Microbiol. 2018, 124, 810–820. [Google Scholar] [CrossRef] [PubMed]
- Boucias, D.G.; Scharf, D.W.; Breaux, S.E.; Purcell, D.H.; Mizell, R.E. Studies on the fungi associated with the glassy-winged sharpshooter Homalodisca coagulata with emphasis on a new species Hirsutella homalodiscae nom. prov. BioControl 2007, 52, 231–258. [Google Scholar] [CrossRef]
- Pérez-González, O.; Gomez-Flores, R.; Tamez-Guerra, P. Insight into biological control potential of Hirsutella citriformis against Asian citrus psyllid as a vector of citrus Huanglongbing disease in America. J. Fungi 2022, 8, 573. [Google Scholar] [CrossRef]
- Qu, J.; Zou, X.; Yu, J.; Zhou, Y. The conidial mucilage, natural film coatings, is involved in environmental adaptability and pathogenicity of Hirsutella satumaensis Aoki. Sci. Rep. 2017, 7, 1301. [Google Scholar] [CrossRef]
- Liu, W.-Z.; Boucias, D.G.; McCoy, C.W. Extraction and characterization of the insecticidal toxin Hirsutellin A produced by Hirsutella thompsonii var. thompsonii. Exp. Mycol. 1995, 19, 254–262. [Google Scholar] [CrossRef] [PubMed]
- Boucias, D.G.; Farmerie, W.G.; Pendland, J.C. Cloning and sequencing of cDNA of the insecticidal toxin Hirsutellin A. J. Invertebr. Pathol. 1998, 72, 258–261. [Google Scholar] [CrossRef] [PubMed]
- Pérez-González, O.; Maldonado-Blanco, M.G.; Valdes-Gonzalez, A. Conidial production on different solid substrates and pathogenicity of Hirsutella citriformis against Diaphorina citri adults. Southwest. Entomol. 2017, 42, 1027–1034. [Google Scholar] [CrossRef]
- Nehad, E.A.; El-Shamy, A. Physiological studies on the production of exopolysaccharide by fungi. Agric. Biol. J. N. Am. 2010, 1, 1303–1308. [Google Scholar] [CrossRef]
- Tolun, A.; Altintas, Z.; Artik, N. Microencapsulation of grape polyphenols using maltodextrin and gum Arabic as two alternative coating materials: Development and characterization. J. Biotechnol. 2016, 239, 23–33. [Google Scholar] [CrossRef] [PubMed]
- Shah, F.A.; Wang, C.S.; Butt, T.M. Nutrition influences growth and virulence of the insect-pathogenic fungus Metarhizium anisopliae. FEMS Microbiol. Lett. 2005, 251, 259–266. [Google Scholar] [CrossRef] [PubMed]
- Pérez-González, O.; Cantú-Bernal, S.H.; Carbajal-Cruz, N.N.; Aguirre-Arzola, V.E. Effect of physical and nutritional conditions on growth and conidial production and virulence of Beauveria sp. against Lepidoptera and Coleoptera Pests. Southwest. Entomol. 2021, 46, 647–656. [Google Scholar] [CrossRef]
- Safavi, S.A.; Shah, F.A.; Pakdel, A.K.; Reza Rasoulian, G.; Bandani, A.R.; Butt, T.M. Effect of nutrition on growth and virulence of the entomopathogenic fungus Beauveria bassiana. FEMS Microbiol. Lett. 2007, 270, 116–123. [Google Scholar] [CrossRef]
- Machado, A.C.R.; Monteiro, A.C.; Almeida, A.M.B.D.; Martins, M.I.E.G. Production technology for entomopathogenic fungus using a biphasic culture system. Pesq. Agropec. Bras. 2010, 45, 1157–1163. [Google Scholar] [CrossRef]
- Gade, R.S.; Aghav, S.T.; Chandele, A.G. Evaluation of different substrates for mass production of Metarhizium anisopliae (Metsch.) Sorokin. Trends Biosci. 2017, 10, 9668–9670. [Google Scholar]
- Gurumurthy, S.; Kumar, R.; Saabale, P.R.; Meena, S.K.; Mukesh, S. Effect of temperature, pH and various media on growth and sporulation of Trichoderma spp. isolates from Uttar Pradesh. J. Plant Dev. Sci. 2016, 8, 615–661. [Google Scholar]
- Rosas-Acevedo, J.L.; Boucias, D.G.; Lezama, R.; Sims, K.; Pescador, A. Exudate from sporulating cultures of Hirsutella thompsonii inhibit oviposition by the two-spotted spider mite Tetranychus urticae. Exp. Appl. Acarol. 2003, 29, 213–222. [Google Scholar] [CrossRef]
- Iracheta, M.M.; Oppert, B.; Valadez-Lira, J.A.; Rodríguez-Padilla, C.; Tamez-Guerra, P. Activity and expression of midgut proteases from Mexican and US Trichoplusia ni (Hübner) strains exposed to Bacillus thuringiensis. Fla. Entomol. 2017, 100, 685–692. [Google Scholar] [CrossRef]







| Flours | Extracts | |||
|---|---|---|---|---|
| Protein | Growth (cm) 2 | Conidiation 3 (1 × 106) | Growth (cm) 2 | Conidiation 3 (1 × 106) |
| 2% Soybean | 2.9 ± 0.09 d | 25.1 ± 1.0 b | 2.5 ± 0.02 d,e | 13.1 ± 1.1 h |
| 4% Soybean | 3.6 ± 0.02 a,b | 23.1 ± 1.4 b,c | 3.3 ± 0.03 b,c | 12.1 ± 1 j |
| 2% Amaranth | 3.4 ± 0.13 a,b | 24.1 ± 1.1 b,c | 3.4 ± 0.16 a,b | 13.6 ± 0.7 h |
| 4% Amaranth | 3.6 ± 0.02 a,b | 19.4 ± 1.8 b,c,d | 3.4 ± 0.18 a,b | 21.2 ± 0.5 b,c,d |
| 2% Quinoa | 3.5 ± 0.06 a,b | 21.9 ± 1.4 b,c,d | 3.4 ± 0.09 a,b | 12.5 ± 0.8 j |
| 4% Quinoa | 3.6 ± 0.05 a,b | 20.5 ± 0.8 b,c,d | 3.6 ± 0.05 a,b | 20.6 ± 0.6 b,c,d |
| 2% Wheat germ | 3.5 ± 0.1 a,b | 12.9 ± 1.8 i | 3.4 ± 0.08 a,b | 23.9 ± 1.1 b,c,d |
| 4% Wheat germ | 3.6 ± 0.03 a,b | 15.3 ± 0.5 f | 3.7 ± 0.03 a,b | 19.6 ± 1.0 b,c,d |
| 2% Wheat bran | 3.0 ± 0.1 a,b | 24.7 ± 1.2 b,c | 3.7 ± 0.04 a | 18.2 ± 0.9 c,d |
| 4% Wheat bran | 3.4 ± 0.13 a,b | 36.9 ± 2.8 a | 3.6 ± 0.06 f | 18.4 ± 0.4 c,d |
| 2% Pumpkin seed | 2.9 ± 0.05 c,d | 14.6 ± 0.4 g | 3.5 ± 0.02 a,b | 16.3 ± 0.8 e |
| 4% Pumpkin seed | 3.0 ± 0.01 e | 18.4 ± 0.8 c,d | 3.6 ± 0.02 a,b | 17.1 ± 0.2 d,e |
| PDAY | 3.6 ± 0.02 a,b | 17.5 ± 0.7 d,e | ||
| Protein Source | Wheat Bran | Wheat Germ | Soybean | Amaranth | Quinoa | Pumpkin Seeds |
|---|---|---|---|---|---|---|
| Protein content (g/100 g) | 17.3 | 31 | 36 | 13.56 | 14.12 | 24.5 |
Disclaimer/Publisher’s Note: The statements, opinions and data contained in all publications are solely those of the individual author(s) and contributor(s) and not of MDPI and/or the editor(s). MDPI and/or the editor(s) disclaim responsibility for any injury to people or property resulting from any ideas, methods, instructions or products referred to in the content. |
© 2023 by the authors. Licensee MDPI, Basel, Switzerland. This article is an open access article distributed under the terms and conditions of the Creative Commons Attribution (CC BY) license (https://creativecommons.org/licenses/by/4.0/).
Share and Cite
Pérez-González, O.; Gomez-Flores, R.; Montesinos-Matías, R.; Mellín-Rosas, M.A.; Cantú-Bernal, S.H.; Tamez-Guerra, P. Improved Diaphorina citri (Hemiptera: Liviidae) Adults Biocontrol in Citrus by Hirsutella citriformis (Hypocreales: Ophiocordycipitaceae) Gum-Enhanced Conidia Formulation. Plants 2023, 12, 1409. https://doi.org/10.3390/plants12061409
Pérez-González O, Gomez-Flores R, Montesinos-Matías R, Mellín-Rosas MA, Cantú-Bernal SH, Tamez-Guerra P. Improved Diaphorina citri (Hemiptera: Liviidae) Adults Biocontrol in Citrus by Hirsutella citriformis (Hypocreales: Ophiocordycipitaceae) Gum-Enhanced Conidia Formulation. Plants. 2023; 12(6):1409. https://doi.org/10.3390/plants12061409
Chicago/Turabian StylePérez-González, Orquídea, Ricardo Gomez-Flores, Roberto Montesinos-Matías, Marco A. Mellín-Rosas, Servando H. Cantú-Bernal, and Patricia Tamez-Guerra. 2023. "Improved Diaphorina citri (Hemiptera: Liviidae) Adults Biocontrol in Citrus by Hirsutella citriformis (Hypocreales: Ophiocordycipitaceae) Gum-Enhanced Conidia Formulation" Plants 12, no. 6: 1409. https://doi.org/10.3390/plants12061409
APA StylePérez-González, O., Gomez-Flores, R., Montesinos-Matías, R., Mellín-Rosas, M. A., Cantú-Bernal, S. H., & Tamez-Guerra, P. (2023). Improved Diaphorina citri (Hemiptera: Liviidae) Adults Biocontrol in Citrus by Hirsutella citriformis (Hypocreales: Ophiocordycipitaceae) Gum-Enhanced Conidia Formulation. Plants, 12(6), 1409. https://doi.org/10.3390/plants12061409

