Inhibitory Effects of Grewia tomentosa Juss. on IgE-Mediated Allergic Reaction and DNCB-Induced Atopic Dermatitis
Abstract
1. Introduction
2. Results
2.1. Anti-Allergic Activities of Gt-EE
2.2. Effects of Gt-EE on the mRNA Expression of Allergic Response–Related Cytokines and the Activation of the IgE–FcεRI Signaling Pathway
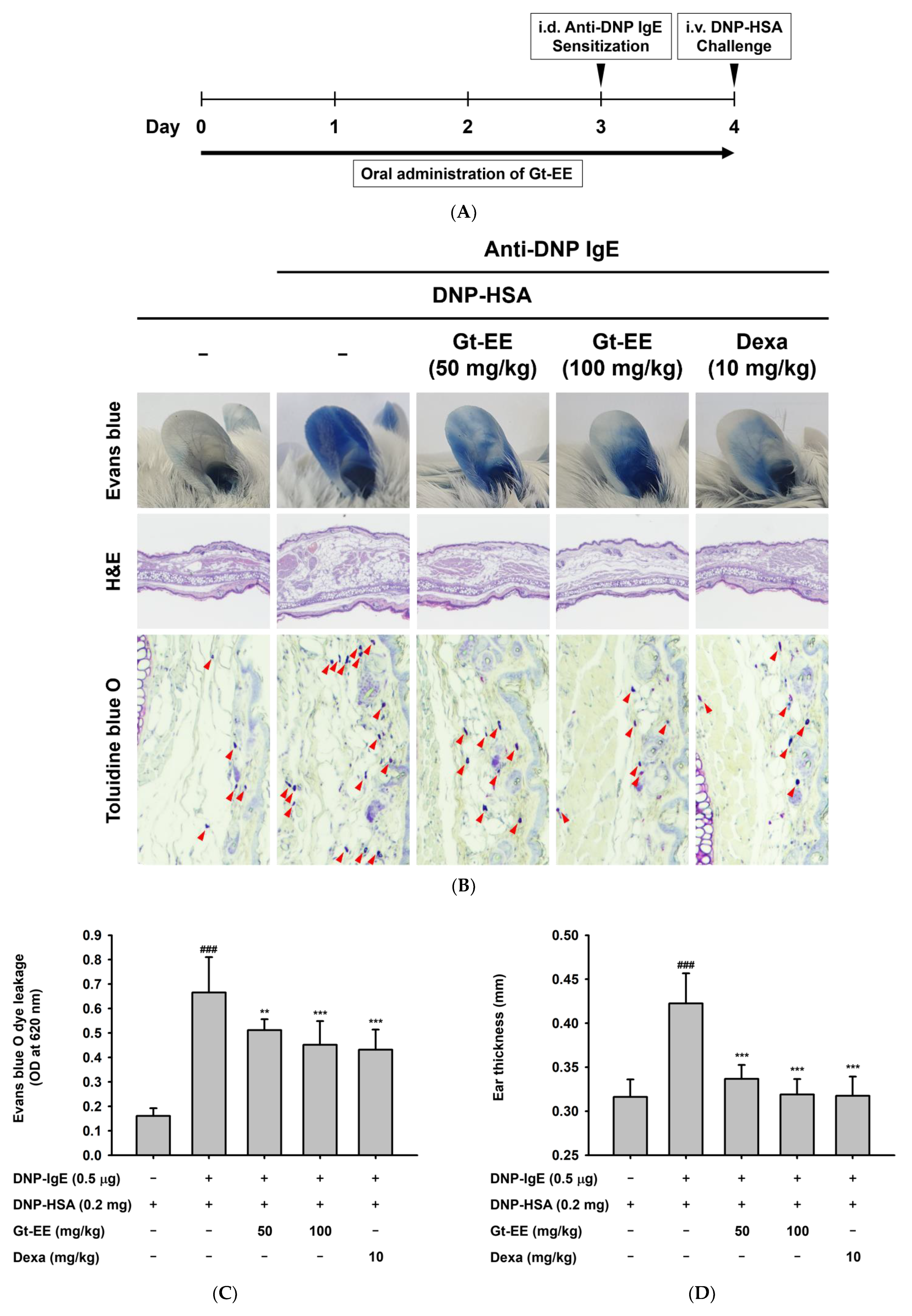
2.3. Gt-EE Attenuated IgE–Antigen-Induced Passive Cutaneous Anaphylaxis
2.4. Gt-EE Ameliorated DNCB-Induced Atopic Dermatitis
2.5. Inhibitory Effects of Gt-EE on mRNA Expression of Cytokines and Activation of Signaling Pathways in AD-like Lesions
3. Discussion
4. Materials and Methods
4.1. Materials
4.2. Cell Culture
4.3. Gt-EE Preparation
4.4. Cell Viability Assay
4.5. β-Hexosaminidase Activity Assay
4.6. Gas Chromatography–Mass Spectrometry
4.7. Inhibition of 15-Lipoxygenase Activity Assay
4.8. Quantitative Real-Time PCR
4.9. Preparation of Whole Cell Lysates and Immunoblotting Analysis
4.10. IgE-Mediated PCA Mouse Model
4.11. DNCB-Induced AD Mouse Model
4.12. Histopathological Analysis
4.13. Statistical Analysis
Author Contributions
Funding
Institutional Review Board Statement
Informed Consent Statement
Data Availability Statement
Conflicts of Interest
Abbreviations
| AD | Atopic dermatitis |
| AR | Allergic rhinoconjunctivitis |
| cPLA2 | Cytoplasmic phospholipase A2 |
| DNCB | 2,4-dinitrochlorobenzene |
| DNP | Dinitrophenol |
| EoE | Eosinophilic esophagitis |
| ERK | Extracellular signal-regulated kinase |
| Gt-EE | Grewia tomentosa ethanol extract |
| HSA | Human serum albumin |
| IgE | Immunoglobulin E |
| ITAM | Immunoreceptor tyrosine-based activation motif |
| JNK | c-Jun N-terminal protein kinase |
| LOX | Lipoxygenase |
| LT | Leukotriene |
| MAPK | Mitogen-activated protein kinase |
| NF-κB | Nuclear factor kappa B |
| PCA | Passive cutaneous anaphylaxis |
| PI3K | Phosphatidylinositol 3-kinase |
| PKCδ | Protein kinase Cδ |
| PLCγ | Phospholipase Cγ |
| PMA | Phorbol 12-myristate 13-acetate |
| Syk | Spleen associated tyrosine kinase |
| Th2 | Type 2 helper T |
References
- Dramburg, S.; Marchante Fernández, M.; Potapova, E.; Matricardi, P.M. The potential of clinical decision support systems for prevention, diagnosis, and monitoring of allergic diseases. Front. Immunol. 2020, 11, 2116. [Google Scholar] [CrossRef] [PubMed]
- Wang, Y.; Du, J.; Jin, H.; Liao, Y. Comorbidity of neutrally mediated syncope and allergic disease in children. Front. Immunol. 2020, 11, 1865. [Google Scholar] [CrossRef] [PubMed]
- Maggi, E. The TH1/TH2 paradigm in allergy. Immunotechnology 1998, 3, 233–244. [Google Scholar] [CrossRef]
- Yi, F.S.; Zhai, K.; Shi, H.Z. Helper T cells in malignant pleural effusion. Cancer Lett. 2021, 500, 21–28. [Google Scholar] [CrossRef] [PubMed]
- West, P.W.; Bahri, R.; Garcia-Rodriguez, K.M.; Sweetland, G.; Wileman, G.; Shah, R.; Montero, A.; Rapley, L.; Bulfone-Paus, S. Interleukin-33 amplifies human mast cell activities induced by complement anaphylatoxins. Front. Immunol. 2021, 11, 615236. [Google Scholar] [CrossRef]
- Nagata, Y.; Suzuki, R. FcεRI: A master regulator of mast cell functions. Cells 2022, 11, 622. [Google Scholar] [CrossRef]
- Wang, H.-N.; Xiang, Q.-A.; Lin, H.-H.; Chen, J.-N.; Guo, W.-J.; Guo, W.-M.; Yue, X.-N.; Zhao, Z.-F.; Ji, K.; Chen, J.-J. Plant-derived molecule 4-methylumbelliferone suppresses FcεRI-mediated mast cell activation and allergic inflammation. Molecules 2022, 27, 1577. [Google Scholar] [CrossRef]
- Kim, H.; Kim, J.R.; Kang, H.; Choi, J.; Yang, H.; Lee, P.; Kim, J.; Lee, K.W. 7, 8, 4′-Trihydroxyisoflavone attenuates DNCB-induced atopic dermatitis-like symptoms in NC/Nga mice. PLoS ONE 2014, 9, e104938. [Google Scholar] [CrossRef]
- Jung, Y.S.; Choi, J.Y.; Kwon, Y.-S.; Park, G.-R.; Dachuri, V.; Kim, Y.W.; Ku, S.-K.; Song, C.-H. Anti-allergic effects of fermented red ginseng Marc on 2, 4-dinitrochlorobenzene-induced atopic dermatitis-like mice model. Appl. Sci. 2022, 12, 3278. [Google Scholar] [CrossRef]
- Lee, Y.S.; Jeon, S.H.; Ham, H.J.; Lee, H.P.; Song, M.J.; Hong, J.T. Improved anti-inflammatory effects of liposomal astaxanthin on a phthalic anhydride-induced atopic dermatitis model. Front. Immunol. 2020, 11, 565285. [Google Scholar] [CrossRef]
- Kim, S.J.; Lee, J.; Choi, W.S.; Kim, H.J.; Kim, M.Y.; Kim, S.C.; Kim, H.S. Ginsenoside F1 attenuates eosinophilic inflammation in chronic rhinosinusitis by promoting NK cell function. J. Ginseng Res. 2021, 45, 695–705. [Google Scholar] [CrossRef] [PubMed]
- Bakthavatsalam, D.; Craft, J.W., Jr.; Kazansky, A.; Nguyen, N.; Bae, G.; Caivano, A.R.; Gundlach, C.W., 4th; Aslam, A.; Ali, S.; Gupta, S.; et al. Identification of inhibitors of integrin cytoplasmic domain interactions with Syk. Front. Immunol. 2021, 11, 575085. [Google Scholar] [CrossRef] [PubMed]
- Park, N.J.; Bong, S.K.; Lee, S.; Jung, Y.; Jegal, H.; Kim, J.; Kim, S.K.; Kim, Y.K.; Kim, S.N. Compound K improves skin barrier function by increasing SPINK5 expression. J. Ginseng Res. 2020, 44, 799–807. [Google Scholar] [CrossRef] [PubMed]
- Pandey, G.N.; Dwivedi, Y.; SridharaRao, J.; Ren, X.; Janicak, P.G.; Sharma, R. Protein kinase C and phospholipase C activity and expression of their specific isozymes is decreased and expression of MARCKS is increased in platelets of bipolar but not in unipolar patients. Neuropsychopharmacology 2002, 26, 216–228. [Google Scholar] [CrossRef]
- Dispenza, M.C.; Bochner, B.S.; MacGlashan, D.W., Jr. Targeting the FcεRI pathway as a potential strategy to prevent food-induced anaphylaxis. Front. Immunol. 2020, 11, 614402. [Google Scholar] [CrossRef]
- Niesen, J.; Ohli, J.; Sedlacik, J.; Dührsen, L.; Hellwig, M.; Spohn, M.; Holsten, T.; Schüller, U. Pik3ca mutations significantly enhance the growth of SHH medulloblastoma and lead to metastatic tumour growth in a novel mouse model. Cancer Lett. 2020, 477, 10–18. [Google Scholar] [CrossRef]
- Thelen, F.; Wissmann, S.; Ruef, N.; Stein, J.V. The Tec kinase Itk integrates Naïve T cell migration and in vivo homeostasis. Front. Immunol. 2021, 12, 716405. [Google Scholar] [CrossRef]
- Phengklai, C. Study in Thai flora Tiliaceae. Thai For. Bull. 1986, 2–118. [Google Scholar]
- Hammerson, G.A. Connecticut Wildlife: Biodiversity, Natural History, and Conservation; UPNE: Lebanon, NH, USA, 2004. [Google Scholar]
- Jang, W.Y.; Lee, H.P.; Kim, S.A.; Huang, L.; Yoon, J.H.; Shin, C.Y.; Mitra, A.; Kim, H.G.; Cho, J.Y. Angiopteris cochinchinensis de Vriese ameliorates LPS-induced acute lung injury via Src inhibition. Plants 2022, 11, 1306. [Google Scholar] [CrossRef]
- Goyal, P.K. Phytochemical and pharmacological properties of the genus Grewia: A review. Int. J. Pharm. Pharm. Sci. 2012, 4, 72–78. [Google Scholar]
- Reddy, K.; Trimurthulu, G.; Reddy, C.S. Plants used by the ethnic people of Krishna district, Andhra Pradesh. Indian J. Tradit. Knowl. 2010, 9, 313–317. [Google Scholar]
- Ullah, W.; Uddin, G.; Siddiqui, B.S. Ethnic uses, pharmacological and phytochemical profile of genus Grewia. J. Asian Nat. Prod. Res. 2012, 14, 186–195. [Google Scholar] [CrossRef] [PubMed]
- Sharma, N.; Patni, V. Comparative analysis of total flavonoids, quercetin content and antioxidant activity of in vivo and in vitro plant parts of Grewia asiatica Mast. Int. J. Pharm. Pharm. Sci. 2013, 5, 464–469. [Google Scholar]
- Das, M.; Debnath, D.; Hoque, M.; Rahman, M.; Alam, S.; Islam, A.; Begum, M. Preliminary phytochemical and biological investigations of ethanolic extract of Grewia hirsute Vahl. Orient. Pharm. Exp. Med. 2019, 19, 145–156. [Google Scholar] [CrossRef]
- Ema, A.; Kumar, M.S.; Rebecca, L.J.; Sindhu, S.; Anbarasi, P.; Sagadevan, E.; Arumugam, P. Evaluation of antiproliferative effect of Grewia hirsuta on HepG2 cell lines. J. Acad. Ind. Res 2013, 2, 1. [Google Scholar]
- Shukla, R.; Sharma, D.C.; Baig, M.H.; Bano, S.; Roy, S.; Provazník, I.; Kamal, M.A. Antioxidant, antimicrobial activity and medicinal properties of Grewia asiatica L. Med. Chem. 2016, 12, 211–216. [Google Scholar] [CrossRef]
- Zia-Ul-Haq, M.; Shahid, S.A.; Muhammed, S.; Qayum, M.; Khan, I.; Ahmad, S. Antimalarial, antiemetic and antidiabetic potential of Grewia asiatica L. leaves. J. Med. Plant Res. 2012, 6, 3087–3092. [Google Scholar]
- Chiu, K.-M.; Hung, Y.-L.; Wang, S.-J.; Tsai, Y.-J.; Wu, N.-L.; Liang, C.-W.; Chang, D.-C.; Hung, C.-F. Anti-allergic and anti-inflammatory effects of neferine on RBL-2H3 cells. Int. J. Mol. Sci. 2021, 22, 10994. [Google Scholar] [CrossRef]
- Nugrahini, A.D.; Ishida, M.; Nakagawa, T.; Nishi, K.; Sugahara, T. Trigonelline: An alkaloid with anti-degranulation properties. Mol. Immunol. 2020, 118, 201–209. [Google Scholar] [CrossRef]
- Huang, F.; Tong, X.; Deng, H.; Fu, L.; Zhang, R. Inhibition of the antigen-induced activation of RBL-2H3 cells by Gab2 siRNA. Cell. Mol. Immunol. 2008, 5, 433–438. [Google Scholar] [CrossRef]
- Urata, C.; Siraganian, R.P. Pharmacologic modulation of the IgE or Ca2+ ionophore A23187 mediated Ca2+ influx, phospholipase activation, and histamine release in rat basophilic leukemia cells. Int. Arch. Allergy Immunol. 1985, 78, 92–100. [Google Scholar] [CrossRef] [PubMed]
- Lee, J.H.; Seo, J.Y.; Ko, N.Y.; Chang, S.H.; Her, E.; Park, T.; Lee, H.Y.; Han, J.W.; Kim, Y.M.; Choi, W.S. Inhibitory activity of Chrysanthemi sibirici herba extract on RBL-2H3 mast cells and compound 48/80-induced anaphylaxis. J. Ethnopharmacol. 2004, 95, 425–430. [Google Scholar] [CrossRef] [PubMed]
- Huang, F.-H.; Zhang, X.-Y.; Zhang, L.-Y.; Li, Q.; Ni, B.; Zheng, X.-L.; Chen, A.-J. Mast cell degranulation induced by chlorogenic acid. Acta Pharmacol. Sin. 2010, 31, 849–854. [Google Scholar] [CrossRef] [PubMed]
- Carta, G.; Murru, E.; Banni, S.; Manca, C. Palmitic acid: Physiological role, metabolism and nutritional implications. Front. Physiol. 2017, 8, 902. [Google Scholar] [CrossRef] [PubMed]
- Hosomi, K.; Kiyono, H.; Kunisawa, J. Fatty acid metabolism in the host and commensal bacteria for the control of intestinal immune responses and diseases. Gut Microbes 2020, 11, 276–284. [Google Scholar] [CrossRef]
- Korinek, M.; Tsai, Y.-H.; El-Shazly, M.; Lai, K.-H.; Backlund, A.; Wu, S.-F.; Lai, W.-C.; Wu, T.-Y.; Chen, S.-L.; Wu, Y.-C. Anti-allergic hydroxy fatty acids from Typhonium blumei explored through ChemGPS-NP. Front. Pharmacol. 2017, 8, 356. [Google Scholar] [CrossRef]
- Chen, Y.; Ho, L.; Tergaonkar, V. sORF-Encoded MicroPeptides: New players in inflammation, metabolism, and precision medicine. Cancer Lett. 2021, 500, 263–270. [Google Scholar] [CrossRef]
- Shi, B.; Liu, S.; Huang, A.; Zhou, M.; Sun, B.; Cao, H.; Shan, J.; Sun, B.; Lin, J. Revealing the mechanism of friedelin in the treatment of ulcerative colitis based on network pharmacology and experimental verification. Evid. Based Complement. Alternat. Med. 2021, 2021, 4451779. [Google Scholar] [CrossRef]
- Mashima, R.; Okuyama, T. The role of lipoxygenases in pathophysiology; new insights and future perspectives. Redox Biol. 2015, 6, 297–310. [Google Scholar] [CrossRef]
- Kwon, O.S.; Choi, J.S.; Islam, M.; Kim, Y.S.; Kim, H.P. Inhibition of 5-lipoxygenase and skin inflammation by the aerial parts of Artemisia capillaris and its constituents. Arch. Pharm. Res. 2011, 34, 1561–1569. [Google Scholar] [CrossRef]
- Borbulevych, O.Y.; Jankun, J.; Selman, S.H.; Skrzypczak-Jankun, E. Lipoxygenase interactions with natural flavonoid, quercetin, reveal a complex with protocatechuic acid in its X-ray structure at 2.1 Å resolution. Proteins 2004, 54, 13–19. [Google Scholar] [CrossRef] [PubMed]
- Okayama, Y.; Kawakami, T. Development, migration, and survival of mast cells. Immunol. Res. 2006, 34, 97–115. [Google Scholar] [CrossRef]
- Chung, H.; Oh, S.; Shin, H.W.; Lee, Y.; Lee, H.; Seok, S.H. Matrix stiffening enhances DNCB-induced IL-6 secretion in keratinocytes through activation of ERK and PI3K/Akt pathway. Front. Immunol. 2021, 12, 759992. [Google Scholar] [CrossRef]
- Hattori, K.; Nishikawa, M.; Watcharanurak, K.; Ikoma, A.; Kabashima, K.; Toyota, H.; Takahashi, Y.; Takahashi, R.; Watanabe, Y.; Takakura, Y. Sustained exogenous expression of therapeutic levels of IFN-γ ameliorates atopic dermatitis in NC/Nga mice via Th1 polarization. J. Immunol. 2010, 184, 2729–2735. [Google Scholar] [CrossRef] [PubMed]
- Yang, Y.-Q.; Yan, C.; Branford-White, C.J.; Hou, X.-Y. Biological values of acupuncture and Chinese herbal medicine: Impact on the life science. Evid. Based Complement. Alternat. Med. 2014, 2014, 593921. [Google Scholar] [CrossRef] [PubMed]
- Yánez, D.C.; Papaioannou, E.; Chawda, M.M.; Rowell, J.; Ross, S.; Lau, C.I.; Crompton, T. Systemic pharmacological smoothened inhibition reduces lung T-cell infiltration and ameliorates Th2 inflammation in a mouse model of allergic airway disease. Front. Immunol. 2021, 12, 737245. [Google Scholar] [CrossRef] [PubMed]
- Yamaguchi, M.; Lantz, C.S.; Oettgen, H.C.; Katona, I.M.; Fleming, T.; Miyajima, I.; Kinet, J.-P.; Galli, S.J. IgE enhances mouse mast cell FcεRI expression in vitro and in vivo: Evidence for a novel amplification mechanism in IgE-dependent reactions. J. Exp. Med. 1997, 185, 663–672. [Google Scholar] [CrossRef]
- Sada, K.; Miah, S.M.S.; Maeno, K.; Kyo, S.; Qu, X.; Yamamura, H. Regulation of FcεRI-mediated degranulation by an adaptor protein 3BP2 in rat basophilic leukemia RBL-2H3 cells. Blood 2002, 100, 2138–2144. [Google Scholar] [CrossRef]
- Qiao, S.; Lv, C.; Tao, Y.; Miao, Y.; Zhu, Y.; Zhang, W.; Sun, D.; Yun, X.; Xia, Y.; Wei, Z.; et al. Arctigenin disrupts NLRP3 inflammasome assembly in colonic macrophages via downregulating fatty acid oxidation to prevent colitis-associated cancer. Cancer Lett. 2020, 491, 162–179. [Google Scholar] [CrossRef]
- Lin, Y.J.; Goretzki, A.; Schülke, S. Immune metabolism of IL-4-activated B cells and Th2 cells in the context of allergic diseases. Front. Immunol. 2021, 12, 790658. [Google Scholar] [CrossRef]
- Greenfeder, S.; Umland, S.P.; Cuss, F.M.; Chapman, R.W.; Egan, R.W. Th2 cytokines and asthma. The role of interleukin-5 in allergic eosinophilic disease. Respir. Res. 2001, 2, 71–79. [Google Scholar] [CrossRef] [PubMed]
- Neveu, W.A.; Allard, J.L.; Raymond, D.M.; Bourassa, L.M.; Burns, S.M.; Bunn, J.Y.; Irvin, C.G.; Kaminsky, D.A.; Rincon, M. Elevation of IL-6 in the allergic asthmatic airway is independent of inflammation but associates with loss of central airway function. Respir. Res. 2010, 11, 28. [Google Scholar] [CrossRef] [PubMed]
- de Vries, J.E. The role of IL-13 and its receptor in allergy and inflammatory responses. J. Allergy Clin. Immunol. 1998, 102, 165–169. [Google Scholar] [CrossRef]
- Jiao, Q.; Luo, Y.; Scheffel, J.; Geng, P.; Wang, Y.; Frischbutter, S.; Li, R.; Maurer, M.; Zhao, Z. Skin mast cells contribute to Sporothrix schenckii infection. Front. Immunol. 2020, 11, 469. [Google Scholar] [CrossRef] [PubMed]
- Ahn, K.B.; Jeon, J.H.; Kang, S.S.; Chung, D.K.; Yun, C.H.; Han, S.H. IgE in the absence of allergen induces the expression of monocyte chemoattractant protein-1 in the rat basophilic cell-line RBL-2H3. Mol. Immunol. 2014, 62, 114–121. [Google Scholar] [CrossRef] [PubMed]
- Cianferoni, A.; Spergel, J. The importance of TSLP in allergic disease and its role as a potential therapeutic target. Expert Rev. Clin. Immunol. 2014, 10, 1463–1474. [Google Scholar] [CrossRef]
- Yoou, M.S.; Jin, M.H.; Lee, S.Y.; Lee, S.H.; Kim, B.; Roh, S.S.; Choi, I.H.; Lee, M.S.; Kim, H.M.; Jeong, H.J. Cordycepin suppresses thymic stromal lymphopoietin expression via blocking caspase-1 and receptor-interacting protein 2 signaling pathways in mast cells. Biol. Pharm. Bull. 2016, 39, 90–96. [Google Scholar] [CrossRef][Green Version]
- Indra, A.K. Epidermal TSLP: A trigger factor for pathogenesis of atopic dermatitis. Expert Rev. Proteom. 2013, 10, 309–311. [Google Scholar] [CrossRef]
- Moon, T.C.; St Laurent, C.D.; Morris, K.E.; Marcet, C.; Yoshimura, T.; Sekar, Y.; Befus, A.D. Advances in mast cell biology: New understanding of heterogeneity and function. Mucosal Immunol. 2010, 3, 111–128. [Google Scholar] [CrossRef]
- Soumelis, V.; Reche, P.A.; Kanzler, H.; Yuan, W.; Edward, G.; Homey, B.; Gilliet, M.; Ho, S.; Antonenko, S.; Lauerma, A.; et al. Human epithelial cells trigger dendritic cell mediated allergic inflammation by producing TSLP. Nat. Immunol. 2002, 3, 673–680. [Google Scholar] [CrossRef]
- Wang, S.H.; Zuo, Y.G. Thymic stromal lymphopoietin in cutaneous immune-mediated diseases. Front. Immunol. 2021, 12, 698522. [Google Scholar] [CrossRef] [PubMed]
- Ndaw, V.S.; Abebayehu, D.; Spence, A.J.; Paez, P.A.; Kolawole, E.M.; Taruselli, M.T.; Caslin, H.L.; Chumanevich, A.P.; Paranjape, A.; Baker, B.; et al. TGF-β1 suppresses IL-33-induced mast cell function. J. Immunol. 2017, 199, 866–873. [Google Scholar] [CrossRef] [PubMed]
- Yang, M.; Liu, J.W.; Zhang, Y.T.; Wu, G. The role of renal macrophage, AIM, and TGF-β1 expression in renal fibrosis progression in IgAN patients. Front. Immunol. 2021, 12, 646650. [Google Scholar] [CrossRef] [PubMed]
- Gebhardt, T.; Lorentz, A.; Detmer, F.; Trautwein, C.; Bektas, H.; Manns, M.P.; Bischoff, S.C. Growth, phenotype, and function of human intestinal mast cells are tightly regulated by transforming growth factor beta1. Gut 2005, 54, 928–934. [Google Scholar] [CrossRef][Green Version]
- Park, H.H.; Lee, S.; Yu, Y.; Yoo, S.M.; Baek, S.Y.; Jung, N.; Seo, K.W.; Kang, K.S. TGF-β secreted by human umbilical cord blood-derived mesenchymal stem cells ameliorates atopic dermatitis by inhibiting secretion of TNF-α and IgE. Stem Cells 2020, 38, 904–916. [Google Scholar] [CrossRef]
- Zhang, Y.; Wang, S.; Lai, Q.; Fang, Y.; Wu, C.; Liu, Y.; Li, Q.; Wang, X.; Gu, C.; Chen, J.; et al. Cancer-associated fibroblasts-derived exosomal miR-17-5p promotes colorectal cancer aggressive phenotype by initiating a RUNX3/MYC/TGF-β1 positive feedback loop. Cancer Lett. 2020, 491, 22–35. [Google Scholar] [CrossRef]
- Scow, D.T.; Luttermoser, G.K.; Dickerson, K.S. Leukotriene inhibitors in the treatment of allergy and asthma. Am. Fam. Physician 2007, 75, 65–70. [Google Scholar]
- Halova, I.; Draberova, L.; Draber, P. Mast cell chemotaxis-chemoattractants and signaling pathways. Front. Immunol. 2012, 3, 119. [Google Scholar] [CrossRef]
- Kwon, S.Y.; Kim, J.H. Role of leukotriene B(4) receptor-2 in mast cells in allergic airway inflammation. Int. J. Mol. Sci. 2019, 20, 2897. [Google Scholar] [CrossRef]
- Cho, S.H.; You, H.J.; Woo, C.H.; Yoo, Y.J.; Kim, J.H. Rac and protein kinase C-delta regulate ERKs and cytosolic phospholipase A2 in FcepsilonRI signaling to cysteinyl leukotriene synthesis in mast cells. J. Immunol. 2004, 173, 624–631. [Google Scholar] [CrossRef]
- Kim, Y.J.; Choi, M.J.; Bak, D.H.; Lee, B.C.; Ko, E.J.; Ahn, G.R.; Ahn, S.W.; Kim, M.J.; Na, J.; Kim, B.J. Topical administration of EGF suppresses immune response and protects skin barrier in DNCB-induced atopic dermatitis in NC/Nga mice. Sci. Rep. 2018, 8, 11895. [Google Scholar] [CrossRef] [PubMed]
- Ellmeier, W.; Abramova, A.; Schebesta, A. Tec family kinases: Regulation of FcεRI-mediated mast-cell activation. FEBS J. 2011, 278, 1990–2000. [Google Scholar] [CrossRef] [PubMed]
- Rahmawati, L.; Aziz, N.; Oh, J.; Hong, Y.H.; Woo, B.Y.; Hong, Y.D.; Manilack, P.; Souladeth, P.; Jung, J.H.; Lee, W.S.; et al. Cissus subtetragona Planch. ameliorates inflammatory responses in LPS-induced macrophages, HCl/EtOH-induced gastritis, and LPS-induced lung injury via attenuation of Src and TAK1. Molecules 2021, 26, 6073. [Google Scholar] [CrossRef] [PubMed]
- Moon, P.D.; Han, N.R.; Lee, J.S.; Kim, H.M.; Jeong, H.J. p-Coumaric acid, an active ingredient of Panax ginseng, ameliolates atopic dermatitis-like skin lesions through inhibition of thymic stromal lymphopoietin in mice. J. Ginseng Res. 2021, 45, 176–182. [Google Scholar] [CrossRef] [PubMed]
- Lorz, L.R.; Kim, M.Y.; Cho, J.Y. Medicinal potential of Panax ginseng and its ginsenosides in atopic dermatitis treatment. J. Ginseng Res. 2020, 44, 8–13. [Google Scholar] [CrossRef]
- Lorz, L.R.; Kim, D.; Kim, M.Y.; Cho, J.Y. Panax ginseng-derived fraction BIOGF1K reduces atopic dermatitis responses via suppression of mitogen-activated protein kinase signaling pathway. J. Ginseng Res. 2020, 44, 453–460. [Google Scholar] [CrossRef]
- Lee, H.P.; Kim, D.S.; Park, S.H.; Shin, C.Y.; Woo, J.J.; Kim, J.W.; An, R.B.; Lee, C.; Cho, J.Y. Antioxidant capacity of Potentilla paradoxa Nutt. and its beneficial effects related to anti-aging in HaCaT and B16F10 cells. Plants 2022, 11, 873. [Google Scholar] [CrossRef]
- Yasin, M.; Shahid, W.; Ashraf, M.; Saleem, M.; Muzaffar, S.; Aziz-Ur-Rehman; Ejaz, S.A.; Saeed, A.; Majer, T.; Bhattarai, K.; et al. 4-Chlorophenyl-N-furfuryl-1,2,4-triazole methylacetamides as significant 15-lipoxygenase inhibitors: An efficient approach for finding lead anti-inflammatory compounds. ACS Omega 2022, 7, 19721. [Google Scholar] [CrossRef]
- You, L.; Kim, M.-Y.; Cho, J.Y. Protective effect of Potentilla glabra in UVB-induced photoaging process. Molecules 2021, 26, 5408. [Google Scholar] [CrossRef]










| Peak No. | RT * | Name of the Compound | Corr. Area | Peak Area % |
|---|---|---|---|---|
| 1 | 1.739 | Acetic acid | 24884923 | 4.330 |
| 2 | 5.208 | dl-Threitol | 18836124 | 3.278 |
| 3 | 8.351 | Catechol | 9546314 | 1.661 |
| 4 | 8.632 | Benzofuran, 2,3-dihydro- | 9566333 | 1.665 |
| 5 | 10.044 | 2-Methoxy-4-vinylphenol | 8342175 | 1.452 |
| 6 | 10.530 | Phenol, 2,6-dimethoxy- | 11035072 | 1.920 |
| 7 | 13.191 | Vanillic acid | 7966671 | 1.386 |
| 8 | 14.262 | 3,4-Dimethylbenzyl isothiocyanate | 21642735 | 3.766 |
| 9 | 15.222 | 4-((1E)-3-Hydroxy-1-propenyl)-2-methoxyphenol | 21823662 | 3.798 |
| 10 | 15.618 | 6-Hydroxy-4,4,7a-trimethyl-5,6,7,7a-tetrahydrobenzofuran-2(4H)-one | 13248125 | 2.305 |
| 11 | 17.430 | n-Hexadecanoic acid | 73947344 | 12.868 |
| 12 | 17.760 | Hexadecanoic acid, ethyl ester | 33280410 | 5.791 |
| 13 | 18.909 | Phytol | 15818890 | 2.753 |
| 14 | 19.120 | 9-Octadecenoic acid, (E)- | 54693843 | 9.517 |
| 15 | 19.399 | Ethyl Oleate | 37006716 | 6.440 |
| 16 | 19.614 | Octadecanoic acid, ethyl ester | 5038345 | 0.877 |
| 17 | 20.149 | Cyclopentanecarboxylic acid, 1-(2-butenyl)-2-oxo-, ethyl ester, (E)- | 4901576 | 0.853 |
| 18 | 20.427 | 2-Amino-3-cyano-5,6-dimethoxy-1H-indenone | 3073809 | 0.535 |
| 19 | 21.099 | 9-Octadecenamide, (Z)- | 11696305 | 2.035 |
| 20 | 22.269 | Hexadecanoic acid, 2-hydroxy-1-(hydroxymethyl)ethyl ester | 3834019 | 0.667 |
| 21 | 23.493 | (E)-3,3’-Dimethoxy-4,4’-dihydroxystilbene | 3465908 | 0.603 |
| 22 | 23.666 | 1,3,12-Nonadecatriene | 5898982 | 1.026 |
| 23 | 24.665 | (1R,2R,4S)-2-(6-Chloropyridin-3-yl)-7-azabicyclo [2.2.1]heptane | 1883262 | 0.328 |
| 24 | 28.303 | Benzo[h]quinoline, 2,4-dimethyl- | 5613204 | 0.977 |
| 25 | 28.669 | N-Methyl-1-adamantaneacetamide | 8297566 | 1.444 |
| 26 | 29.385 | γ-Sitosterol | 49971390 | 8.695 |
| 27 | 29.957 | β-Amyrin | 11442470 | 1.991 |
| 28 | 30.257 | Arsenous acid, tris(trimethylsilyl) ester | 4933525 | 0.858 |
| 29 | 30.586 | Lupeol | 35435894 | 6.166 |
| 30 | 31.338 | 1,2,5-Oxadiazol-3-amine, 4-(4-methoxyphenoxy)- | 10571767 | 1.840 |
| 31 | 31.740 | Tetrasiloxane, decamethyl- | 5391505 | 0.938 |
| 32 | 32.347 | 1,2-Bis(trimethylsilyl)benzene | 7023304 | 1.222 |
| 33 | 32.803 | Friedelan-3-one | 34569990 | 6.015 |
| Sample (μg/mL) | % Inhibition | |
|---|---|---|
| Gt-EE | 50 | 34.6 ± 3.5 |
| Gt-EE | 100 | 43.6 ± 4.0 |
| Quercetin | 10 | 58.3 ± 6.6 |
| Gene Name | Sequence (5′–3′) | |
|---|---|---|
| IL-1β | Forward | AGGCTGACAGACCCCAAAAG |
| (Rat) | Reverse | CTCCACGGGCAAGACATAGG |
| IL-4 | Forward | TGTACCGGGAACGGTATCCA |
| (Rat) | Reverse | ACATCTCGGTGCATGGAGTC |
| IL-5 | Forward | AGAATCAAACTGTCCGAGGGG |
| (Rat) | Reverse | ACTCATCACGCCAAGGAACTC |
| IL-6 | Forward | ACAAGTCCGGAGAGGAGACT |
| (Rat) | Reverse | TTCTGACAGTGCATCATCGC |
| IL-13 | Forward | GCTCTCGCTTGCCTTGGTGG |
| (Rat) | Reverse | CATCCGAGGCCTTTTGGTTA |
| TNF-α | Forward | AGATGTGGAACTGGCAGAGG |
| (Rat) | Reverse | CCCATTTGGGAACTTCTCCT |
| MCP-1 | Forward | AGCCAACTCTCACTGAAGCC |
| (Rat) | Reverse | AACTGTGAACAACAGGCCCA |
| TSLP | Forward | TCAGGCAACAGCATGGTTCT |
| (Rat) | Reverse | AAGTTAGTGCCAGCCGTACC |
| TGF-β1 | Forward | TGACGTCACTGGAGTTGTCC |
| (Rat) | Reverse | GTGAGCACTGAAGCGAAAGC |
| β-actin | Forward | TAACCAACTGGGACGATATG |
| (Rat) | Reverse | ATACAGGGACAGCACAGCCT |
| IL-1β | Forward | GCCCATCCTCTGTGACTCAT |
| (Mouse) | Reverse | AGGCCACAGGTATTTTGTCG |
| IL-4 | Forward | ACAGGAGAAGGGACGCCAT |
| (Mouse) | Reverse | GAAGCCCTACAGACGAGCTCA |
| IL-5 | Forward | CTCTGTTGACAAGCAATGAGACG |
| (Mouse) | Reverse | TCTTCAGTATGTCTAGCCCCTG |
| IL-6 | Forward | AGCCAGAGTCCTTCAGAGAGAT |
| (Mouse) | Reverse | AGGAGAGCATTGGAAATTGGGG |
| TNF-α | Forward | TGCCTATGTCTCAGCCTCTT |
| (Mouse) | Reverse | GAGGCCATTTGGGAACTTCT |
| GAPDH | Forward | TGTGAACGGATTTGGCCGTA |
| (Mouse) | Reverse | ACTGTGCCGTTGAATTTGCC |
Publisher’s Note: MDPI stays neutral with regard to jurisdictional claims in published maps and institutional affiliations. |
© 2022 by the authors. Licensee MDPI, Basel, Switzerland. This article is an open access article distributed under the terms and conditions of the Creative Commons Attribution (CC BY) license (https://creativecommons.org/licenses/by/4.0/).
Share and Cite
Lee, H.P.; Choi, W.; Kwon, K.W.; You, L.; Rahmawati, L.; Luong, V.D.; Kim, W.; Lee, B.-H.; Lee, S.; Kim, J.H.; et al. Inhibitory Effects of Grewia tomentosa Juss. on IgE-Mediated Allergic Reaction and DNCB-Induced Atopic Dermatitis. Plants 2022, 11, 2540. https://doi.org/10.3390/plants11192540
Lee HP, Choi W, Kwon KW, You L, Rahmawati L, Luong VD, Kim W, Lee B-H, Lee S, Kim JH, et al. Inhibitory Effects of Grewia tomentosa Juss. on IgE-Mediated Allergic Reaction and DNCB-Induced Atopic Dermatitis. Plants. 2022; 11(19):2540. https://doi.org/10.3390/plants11192540
Chicago/Turabian StyleLee, Hwa Pyoung, Wooram Choi, Ki Woong Kwon, Long You, Laily Rahmawati, Van Dung Luong, Wonhee Kim, Byoung-Hee Lee, Sarah Lee, Ji Hye Kim, and et al. 2022. "Inhibitory Effects of Grewia tomentosa Juss. on IgE-Mediated Allergic Reaction and DNCB-Induced Atopic Dermatitis" Plants 11, no. 19: 2540. https://doi.org/10.3390/plants11192540
APA StyleLee, H. P., Choi, W., Kwon, K. W., You, L., Rahmawati, L., Luong, V. D., Kim, W., Lee, B.-H., Lee, S., Kim, J. H., & Cho, J. Y. (2022). Inhibitory Effects of Grewia tomentosa Juss. on IgE-Mediated Allergic Reaction and DNCB-Induced Atopic Dermatitis. Plants, 11(19), 2540. https://doi.org/10.3390/plants11192540

