Authentication of Hippophae rhamnoides ssp. sinensis and ssp. mongolica Based on Single Nucleotide Polymorphism at Ribosomal DNA and Their Vitamin Content Analysis
Abstract
1. Introduction
2. Results
2.1. Hippophae rhamnoides Species Identification
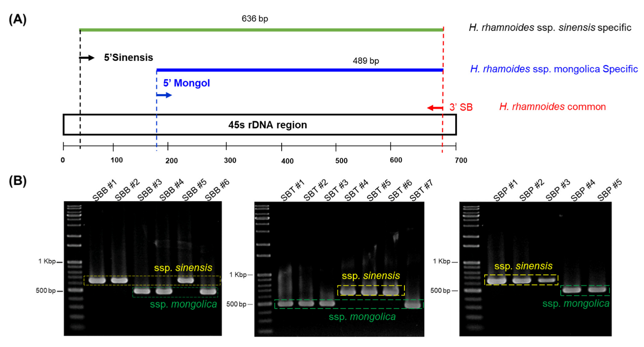
2.2. Sequence Analysis, Development of SNP Marker and the Authentication of SB Subspecies
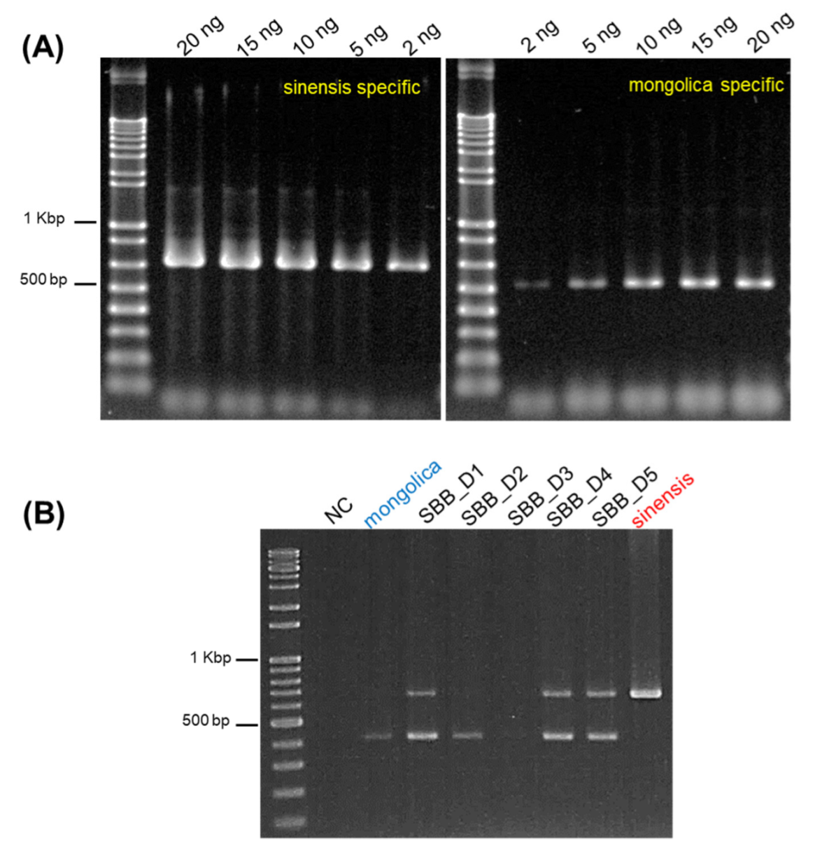
2.3. Validation of SB Subspecies Specific Primers
2.4. Riboflavin, Folic Acid and Ascorbic Acid Analysis form the SB Berries
3. Discussion
4. Materials and Methods
4.1. Sample Collection
4.2. DNA Isolation and Sequence Analysis
4.3. Design of Specific Primers for the Authentication of SB Subspecies
4.4. Sample Preparation for Vitamin Analysis
4.5. Analysis of Riboflavin, Folic Acid and Ascorbic Acid of SB Berries by HPLC
Supplementary Materials
Author Contributions
Funding
Institutional Review Board Statement
Informed Consent Statement
Data Availability Statement
Conflicts of Interest
References
- Zeb, A.; Malook, I. Biochemical characterization of sea buckthorn (Hippophae rhamnoides L. ssp. turkestanica) seed. Afr. J. Biotech. 2009, 8, 1625–1629. [Google Scholar]
- Kalia, R.K.; Sing, R.; Rai, M.K.; Mishra, G.P.; Singh, S.R.; Dhawan, A.K. Biotechnological interventions in sea buckthorn (Hippophae L.): Current status and future prospects. Trees 2011, 25, 559–575. [Google Scholar] [CrossRef]
- Bartish, I.V.; Kadereit, J.W.; Comes, H.P. Late Quaternary history of Hippophae rhamnoides L. (Elaeagnaceae) inferred from chalcone synthase intron (Chsi) sequences and chloroplast DNA variation. Mol. Ecol. 2006, 15, 4065–4083. [Google Scholar] [CrossRef] [PubMed]
- Sun, K.; Chen, W.; Ma, R.; Chen, X.; Li, A.; Ge, S. Genetic variation in Hippophae rhamnoides ssp. sinensis (Elaeagnaceae) revealed by RAPD markers. Biochem. Genet. 2006, 44, 186–197. [Google Scholar] [CrossRef]
- Liu, Y.; Sun, W.; Liu, C.; Zhang, Y.; Chen, Y.; Song, M.; Fan, G.; Liu, X.; Xiang, L.; Zhang, Y. Identification of Hippophae species (Shaji) through DNA barcodes. Chin. Med. 2015, 10, 28. [Google Scholar] [CrossRef]
- Dulf, F.V. Fatty acids in berry lipids of six sea buckthorn (Hippophae rhamnoides L., subspecies carpatica) cultivars grown in Romania. Chem. Cent. J. 2012, 6, 106. [Google Scholar] [CrossRef]
- Li, G.; Du, S.; Guo, K. Correction: Evaluation of Limiting Climatic Factors and Simulation of a Climatically Suitable Habitat for Chinese Sea Buckthorn. PLoS ONE 2010, 10, e0136001. [Google Scholar] [CrossRef]
- Mathew, D.; Thangaraj, P.; Gomez, S.; Ahmed, Z. Characterization of Seabuckthorn (Hippophae spp.) genetic resources in India using morphological descriptors. Plant Genet. Resour. Newsl. 2007, 149, 22. [Google Scholar]
- Yao, Y.; Tigerstedt, P.M.A. Genetic diversity in Hippophae L. and its use in plant breeding. Euphytica 1994, 77, 165–169. [Google Scholar] [CrossRef]
- Li, H.; Ruan, C.; Ding, J.; Li, J.; Wang, L.; Tian, X. Diversity in sea buckthorn (Hippophae rhamnoides L.) accessions with different origins based on morphological characteristics, oil traits, and microsatellite markers. PLoS ONE 2020, 15, e0230356. [Google Scholar] [CrossRef]
- Ursache, F.M.; Ghinea, I.O.; Turturica, M.; Aprodu, I.; Rapeanu, G.; Stanciuc, N. Phytochemicals content and antioxidant properties of sea buckthorn (Hippophae rhamnoides L.) as affected by heat treatment—Quantitative spectroscopic and kinetic approaches. Food Chem. 2017, 233, 442–449. [Google Scholar] [CrossRef] [PubMed]
- Sabir, S.M.; Ahmed, S.; Lodhi, N.; Jäger, A.K. Morphological and biochemical variation in Sea buckthorn Hippophae rhamnoides ssp. turkestanica, a multipurpose plant for fragile mountains of Pakistan. S. Afr. J. Bot. 2003, 69, 587–592. [Google Scholar] [CrossRef]
- Guo, R.; Guo, X.; Li, T.; Fu, X.; Liu, R.H. Comparative assessment of phytochemical profiles, antioxidant and antiproliferative activities of Sea buckthorn (Hippophae rhamnoides L.) berries. Food Chem. 2017, 221, 997–1003. [Google Scholar] [CrossRef] [PubMed]
- Bartish, I.V.; Jeppsson, N.; Bartish, G.I.; Lu, R.; Nybom, H. Inter-and intraspecific genetic variation in Hippophae (Elaeagnaceae) investigated by RAPD markers. Plant Syst. Evol. 2000, 225, 85–101. [Google Scholar] [CrossRef]
- Ruan, C.J.; Qin, P.; Zheng, J.; He, Z. Genetic relationships among some cultivars of sea buckthorn from China, Russia and Mongolia based on RAPD analysis. Sci. Hort. 2004, 101, 417–426. [Google Scholar] [CrossRef]
- Yang, G.; Ding, J.; Wu, L.R.; Duan, Y.D.; Li, A.Y.; Shan, J.Y.; Wu, Y.X. A new strategy for complete identification of sea buckthorn cultivars by using random amplified polymorphic DNA markers. Genet. Mol. Res. 2015, 14, 1836–1845. [Google Scholar] [CrossRef]
- Das, K.; Ganie, S.H.; Mangla, Y.; Dar, T.U.; Chaudhary, M.; Thakur, R.K.; Tandon, R.; Raina, S.N.; Goel, S. ISSR markers for gender identification and genetic diagnosis of Hippophae rhamnoides ssp. turkestanica growing at high altitudes in Ladakh region (Jammu and Kashmir). Protoplasma 2017, 254, 1063–1077. [Google Scholar] [CrossRef]
- Sharma, N. Genetic Divergence among Seabuckthorn (Hippophae sps. (L)) using Molecular Marker Based Analysis with Respect to Seed Protein and Anti-Oxidant Properties. Adv. Anim. Vet. Sci. 2015, 3, 211–224. [Google Scholar] [CrossRef]
- Ruan, C.J.; Li, D. AFLP fingerprinting analysis of some cultivated varieties of sea buckthorn (Hippophae rhamnoides). J. Genet. 2005, 84, 311–316. [Google Scholar] [CrossRef]
- Mammadov, J.; Aggarwal, R.; Buyyarapu, R.; Kumpatla, S. SNP markers and their impact on plant breeding. Int. J. Plant Genomics 2012, 2012, 728398. [Google Scholar] [CrossRef]
- In, J.G.; Kim, M.K.; Lee, O.R.; Kim, Y.J.; Lee, B.S.; Kim, S.Y.; Kwon, W.S.; Yang, D.C. Molecular Identification of Korean Mountain Ginseng Using an Amplification Refractory Mutation System (ARMS). J. Ginseng Res. 2010, 34, 41–46. [Google Scholar] [CrossRef]
- Jeong, H.J.; Jo, Y.D.; Park, S.W.; Kang, B.C. Identification of Capsicum species using SNP markers based on high resolution melting analysis. Genome 2010, 53, 1029–1040. [Google Scholar] [CrossRef] [PubMed]
- Ciarmiello, L.F.; Piccirillo, P.; Pontecorvo, G.; De Luca, A.; Kafantaris, I.; Woodrow, P. A PCR based SNPs marker for specific characterization of English walnut (Juglans regia L.) cultivars. Mol. Biol. Rep. 2011, 38, 1237–1249. [Google Scholar] [CrossRef] [PubMed]
- Sun, H.; Wang, H.T.; Kwon, W.S.; Kim, Y.J.; In, J.G.; Yang, D.C. A simple and rapid technique for the authentication of the ginseng cultivar, Yunpoong, using an SNP marker in a large sample of ginseng leaves. Gene 2011, 487, 75–79. [Google Scholar] [CrossRef] [PubMed]
- Lee, O.R.; Kim, M.K.; Yang, D.C. Authentication of Medicinal Plants by SNP-Based Multiplex PCR. Methods Mol. Biol. 2012, 862, 135–147. [Google Scholar]
- Gutzeit, D.; Mönch, S.; Jerz, G.; Winterhalter, P.; Rychlik, M. Folate content in sea buckthorn berries and related products (Hippophaë rhamnoides L. ssp. rhamnoides): LC-MS/MS determination of folate vitamin stability influenced by processing and storage assessed by stable isotope dilution assay. Anal. Bioanal. Chem. 2008, 391, 211–219. [Google Scholar] [CrossRef][Green Version]
- Stobdan, T.; Chuarasia, O.; Korekar, G.; Mundra, S.; Ali, Z.; Yadav, A.; Singh, S.B. Attributes of Seabuckthorn (Hippophae rhamnoides L.) to Meet Nutritional Requirements in High Altitude. Def. Sci. J. 2004, 60, 226–230. [Google Scholar] [CrossRef]
- Ganal, M.W.; Altman, T.; Röder, M.S. SNP identification in crop. Curr. Opin. Plant Biol. 2009, 12, 211–217. [Google Scholar] [CrossRef]
- Liu, Y.; Xiang, L.; Zhang, Y.; Lai, X.; Xiong, C.; Li, J.; Su, Y.; Sun, W.; Chen, S. DNA barcoding based identification of Hippophae species and authentication of commercial products by high resolution melting analysis. Food Chem. 2018, 242, 62–67. [Google Scholar] [CrossRef]
- Huang, M.; Li, H.; Zhang, L.; Gao, F.; Wang, P.; Hu, Y.; Yan, S.; Zhao, L.; Zhang, Q.; Tan, J.; et al. Plant 45S rDNA clusters are fragile sites and their instability is associated with epigenetic alterations. PLoS ONE 2012, 7, e35139. [Google Scholar] [CrossRef]
- Sun, Y.L.; Park, W.; Oh, H.K.; Hong, S.K. Plant-specific primers for the amplification of the nrDNA ITS region in fungus-associated Pulsatilla species. J. Med. Plants Res. 2013, 7, 1969–1978. [Google Scholar]
- Tripathi, A.M.; Tyagi, A.; Kumar, A.; Singh, A.; Singh, S.; Chaudhary, L.B. The internal transcribed spacer (ITS) region and trnH-psbA [corrected] are suitable candidate loci for DNA barcoding of tropical tree species of India. PLoS ONE 2013, 8, e57934. [Google Scholar] [CrossRef] [PubMed]
- Kallio, H.; Yang, B.; Peippo, P. Effects of different origins and harvesting time on vitamin C, tocopherols, and tocotrienols in sea buckthorn (Hippophaë rhamnoides) berries. J. Agric. Food Chem. 2002, 50, 21. [Google Scholar] [CrossRef]
- Gutzeit, D.; Baleanu, G.; Winterhalter, P.; Jerz, G. Vitamin C content in sea buckthorn berries (Hippophae rhamnoides L. ssp. rhamnoides) and related products: A kinetic study on storage stability and the determination of processing effects. J. Food Sci. 2008, 73, C615–C620. [Google Scholar] [CrossRef] [PubMed]
- Jobst, J.; Ring, K.; Hemleben, V. Molecular evolution of the internal transcribed spacer (ITS1 and ITS2) and phylogenetic relationships among species of the family Cucurbitaceae. Mol. Phylogenet Evol. 1998, 9, 204–219. [Google Scholar] [CrossRef]
- Hall, T.A. BioEdit: A User-Friendly Biological Sequence Alignment Editor and Analysis Program for Windows 95/98/NT. Nucleic Acids Symp. Ser. 1999, 41, 95–98. [Google Scholar]






| Name | Plant Origin | Place of Purchase | Identified as |
|---|---|---|---|
| SBB1 | China | China | H. rhamnoides ssp. sinensis |
| SBB2 | China | China | H. rhamnoides ssp. sinensis |
| SBB3 | China | China | H. rhamnoides ssp. mongolica |
| SBB4 | China, but plants introduced from Mongolia | Local market Inner Mongolia | H. rhamnoides ssp. mongolica |
| SBB5 | H. rhamnoides ssp. sinensis | ||
| SBB6 | H. rhamnoides ssp. mongolica | ||
| SBP1 | China | Local Market China | H. rhamnoides ssp. sinensis |
| SBP2 | Mongolia | Local Market China | H. rhamnoides ssp. sinensis |
| SBP3 | Obtained in South Korea (originated from Tibetan region) | e-commerce, South Korea | H. rhamnoides ssp. sinensis |
| Mongolia | H. rhamnoides ssp. mongolica | ||
| SBP5 | Inner Mongolia, China | Local marketInner Mongolia | H. rhamnoides ssp. mongolica |
| SBT1 | South Korea | Obtained in South Korea | H. rhamnoides ssp. mongolica |
| SBT2 | H. rhamnoides ssp. mongolica | ||
| SBT3 | H. rhamnoides ssp. mongolica | ||
| SBT4 | H. rhamnoides ssp. sinensis | ||
| SBT5 | H. rhamnoides ssp. sinensis | ||
| SBT6 | H. rhamnoides ssp. sinensis | ||
| SBT7 | H. rhamnoides ssp. mongolica | ||
| SBT8 | H. rhamnoides ssp. mongolica | ||
| SBB_D1 | Not available | South Korea and China | Mixture of both ssp. sinensis and ssp. mongolica berries (?) |
| SBB_D2 | H. rhamnoides ssp. mongolica | ||
| SBB_D3 | Not amplified | ||
| SBB_D4 | Mixture of both ssp. sinensis and ssp. mongolica berries (?) | ||
| SBB_D5 | Mixture of both ssp. sinensis and ssp. mongolica berries (?) |
| Primer | Primer Sequence | Tm (°C) | Amplicon Size (bp) | Target |
|---|---|---|---|---|
| 45SF | GCGAGAATTCCACTGAACCT | 60 | 800 bp | 45S rDNA |
| 45SR | ACGAATTCCCTCCGCTTATTGATATGCTTA | 60 | ITS region | |
| 5′ sinensis | CCCACGAACTAGTTTAAAAATAGGG | 60 | 636 bp | SB. ssp. sinensis |
| 5′ mongol | CGCAGATCGCGTCAAGGAACTAT | 59 | 489 bp | SB. ssp. mongolica |
| 3′ SB | ATGCCTCTTGATGCGACCCC | 62 | SB commonreverse |
| Sample Name | Riboflavin (mg gm−1) | Folic Acid (mg gm−1) | Ascorbic Acid (mg gm−1) | Sub-Species Type |
|---|---|---|---|---|
| SBB #1 | 0.07053 | 0.21809 | 4.430964851 | ssp. sinensis |
| SBB #2 | 0.16518 | 0.27066 | 6.061464153 | ssp. sinensis |
| SBB #3 | 0.12042 | 0.42719 | 4.421275605 | ssp. mongolica |
| SBB #4 | 0.15491 | 0.35373 | 5.59301676 | ssp. mongolica |
| SBB #5 | 0.05881 | 0.06914 | 4.693505587 | ssp. sinensis |
| SBB #6 | 0.13491 | 0.30373 | 5.29301676 | ssp. mongolica |
Publisher’s Note: MDPI stays neutral with regard to jurisdictional claims in published maps and institutional affiliations. |
© 2022 by the authors. Licensee MDPI, Basel, Switzerland. This article is an open access article distributed under the terms and conditions of the Creative Commons Attribution (CC BY) license (https://creativecommons.org/licenses/by/4.0/).
Share and Cite
Piao, X.; Mohanan, P.; Anandhapadmanaban, G.; Ahn, J.C.; Park, J.K.; Yang, D.C.; Kwak, G.-y.; Wang, Y. Authentication of Hippophae rhamnoides ssp. sinensis and ssp. mongolica Based on Single Nucleotide Polymorphism at Ribosomal DNA and Their Vitamin Content Analysis. Plants 2022, 11, 1843. https://doi.org/10.3390/plants11141843
Piao X, Mohanan P, Anandhapadmanaban G, Ahn JC, Park JK, Yang DC, Kwak G-y, Wang Y. Authentication of Hippophae rhamnoides ssp. sinensis and ssp. mongolica Based on Single Nucleotide Polymorphism at Ribosomal DNA and Their Vitamin Content Analysis. Plants. 2022; 11(14):1843. https://doi.org/10.3390/plants11141843
Chicago/Turabian StylePiao, Xiangmin, Padmanaban Mohanan, Gokulanathan Anandhapadmanaban, Jong Chan Ahn, Jin Kyu Park, Deok Chun Yang, Gi-young Kwak, and Yingping Wang. 2022. "Authentication of Hippophae rhamnoides ssp. sinensis and ssp. mongolica Based on Single Nucleotide Polymorphism at Ribosomal DNA and Their Vitamin Content Analysis" Plants 11, no. 14: 1843. https://doi.org/10.3390/plants11141843
APA StylePiao, X., Mohanan, P., Anandhapadmanaban, G., Ahn, J. C., Park, J. K., Yang, D. C., Kwak, G.-y., & Wang, Y. (2022). Authentication of Hippophae rhamnoides ssp. sinensis and ssp. mongolica Based on Single Nucleotide Polymorphism at Ribosomal DNA and Their Vitamin Content Analysis. Plants, 11(14), 1843. https://doi.org/10.3390/plants11141843

