In Vitro Production of Somaclones with Decreased Erucic Acid Content in Indian Mustard [Brassica juncea (Linn.) Czern&Coss]
Abstract
1. Introduction
2. Results and Discussion
2.1. Callus and Cell Suspension Cultures
2.2. Morpho-Physiological Variations between Mother Plants, R0, and R1 Generations of Putative Somaclones
2.3. Fatty Acid Profiling of Putative Somaclones
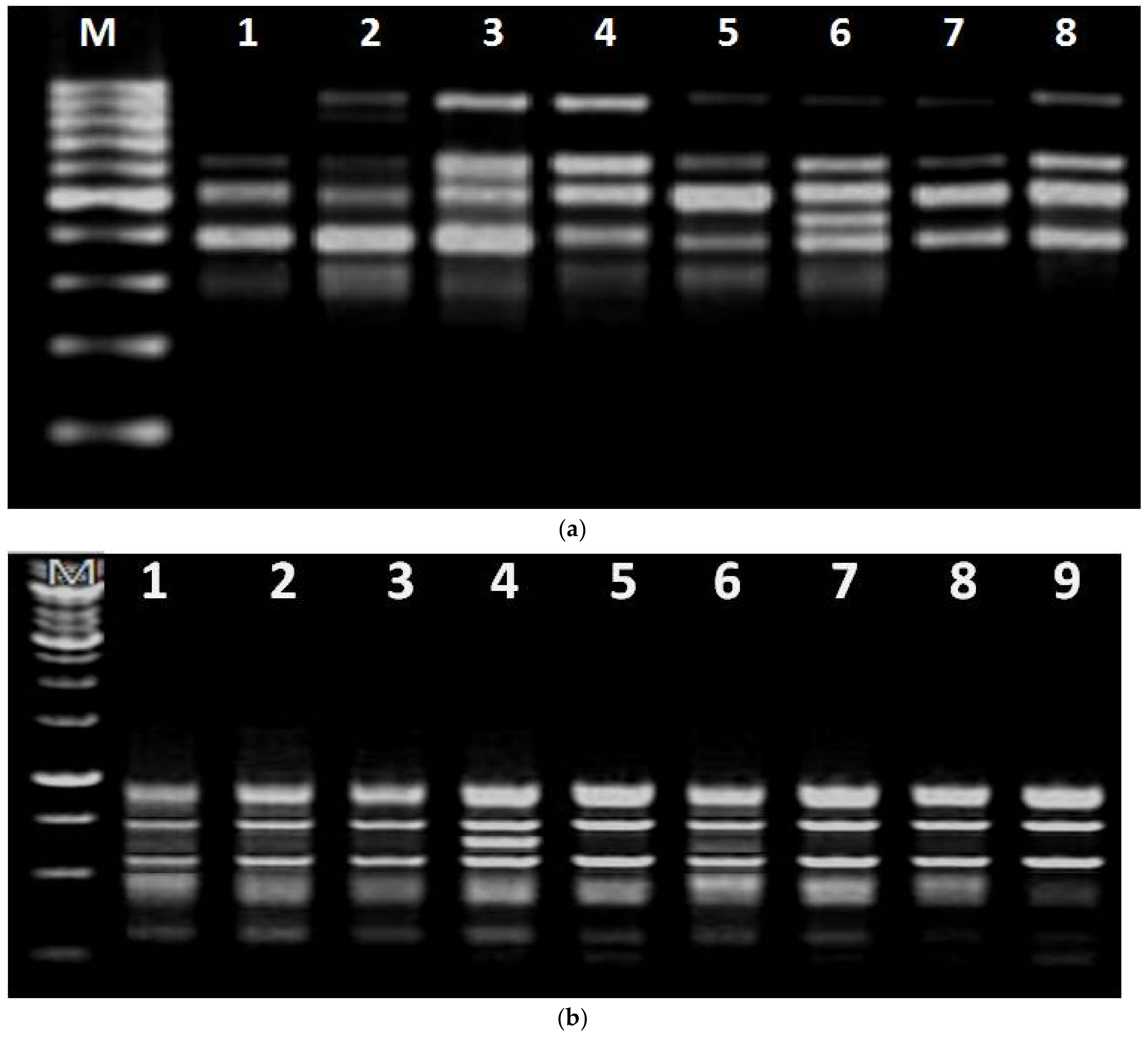
2.4. Molecular Confirmation of Putative Drought Tolerant Plant (s)
3. Materials and Methods
3.1. Experimental Materials
3.2. Culture Media
3.3. Establishment of Callus Cultures
3.4. Establishment of Embryogenic Cell Suspension Culture
3.5. Maintenance and Regeneration of Putative Somaclones from Cell Lines
3.6. Morpho-Physiological Evaluation of Regenerants
3.7. In Vivo Testing of Regenerants for Fatty Acids Profiling
3.8. Procedure for Preparation of Methyl Esters for Fatty Acid Profiling
3.9. Molecular Confirmation of Putative Somaclones Using RAPD Markers
3.10. Experimental Design and Data Analysis
4. Conclusions
Author Contributions
Funding
Institutional Review Board Statement
Informed Consent Statement
Data Availability Statement
Conflicts of Interest
Abbreviations
| MS | Murashige and Skoog |
| 2,4-D | 2,4 dichlorophenoxyacitic acid |
| BA-6 | benzyladenine |
| NAA | α-naphthaleneacetic acid |
| IBA | indole-3-butyric acid |
References
- Saini, N.; Singh, N.; Kumar, A.; Vihan, N.; Yadav, S.; Vasudev, S.; Yadava, D.K. Development and validation of functional CAPS markers for the FAE genes in Brassica juncea and their use in marker-assisted selection. Breed. Sci. 2016, 66, 831–837. [Google Scholar] [CrossRef] [PubMed]
- Saini, N.; Yashpal; Koramutla, M.K.; Singh, N.; Singh, S.; Singh, R.; Yadav, S.; Bhattacharya, R.C.; Vasudev, S.; Yadav, D.K. Promoter polymorphism inFAE1.1andFAE1.2genesassociated with erucic acid content in Brassica juncea. Mol. Breed. 2019, 39, 75. [Google Scholar] [CrossRef]
- Shyam, C.; Tripathi, M.K. Biochemical studies in Indian mustard (Brassica juncea L.) Czern and Coss for fatty acid profiling. Int. J. Chem. Stud. 2019, 7, 338–343. [Google Scholar]
- Vinu, V.; Singh, N.; Vasudev, S.; Yadava, D.K.; Kumar, S.; Naresh, S.; Bhat, S.R.; Prabhu, K.V. Assessment of genetic diversity in Brassica juncea (Brassicaceae) genotypes using phenotypic differences and SSR markers. Rev. Biol. Trop. 2013, 61, 1919–1934. [Google Scholar] [PubMed]
- Singh, J.; Yadava, D.K.; Vasudev, S.; Singh, N.; Muthusamy, V.; Prabhu, K.V. Inheritance of low erucic acid in Indian mustard [Brassica juncea (L.) Czern. and Coss.]. Indian J. Genet. Plant Breed. 2015, 75, 264–266. [Google Scholar] [CrossRef]
- Chaudhary, J.N.; Patel, V.S.; Shukla, Y.M.; Dhruve, J.J. Assessment of genetic diversity in mustard (Brassica juncea L.) genotypes using biochemical and molecular markers. Indian J. Agric. Biochem. 2016, 29, 205–213. [Google Scholar] [CrossRef]
- Yashpal; Saini, N.; Singh, N.; Singh, N.; Chaudhary, R.; Yadav, S.; Singh, R.; Vasudev,, S.; Yadava, D.K. Genetic improvement of oil quality using molecular techniques in Brassica juncea. In Brassica Improvement; Springer Nature: Cham, Switzerland, 2020; pp. 109–125. [Google Scholar] [CrossRef]
- Thakur, A.K.; Singh, K.H.; Singh, L.; Nanjundan, J.; Rana, M.K.; Singh, D. Transferability of SSR markers of Brassica sp.to some popular varieties of Brassica Juncea. Proc. Natl. Acad. Sci. India Sect. B Biol. Sci. 2015, 85. [Google Scholar] [CrossRef]
- Priyamedha, S.; Singh, B.K.; Ram, B.; Kumar, A.; Singh, V.V.; Meena, M.L.; Singh, D. Development and evaluation of double low-quality lines in Indian mustard (Brassica juncea L. Czern & Coss). SABRAO J. Breed. Genet. 2014, 46, 274–283. [Google Scholar]
- Rawal, D.K.; Bala, M.; Nanjunndan, J.; Singh, V.V.; Bhogal, N.S. Distribution of fatty acids and their ratios in Indian rapeseed-mustard germplasm. Indian J. Agric. Biochem. 2016, 29, 195–200. [Google Scholar] [CrossRef]
- Sinha, S.; Jha, J.K.; Maiti, M.K.; Basu, A.; Mukhopadhyay, U.K.; Sen, S.K. Metabolic engineering of fatty acid biosynthesis in Indian mustard (Brassica juncea) improves nutritional quality of seed oil. Plant Biotechnol. Rep. 2007, 1, 185–197. [Google Scholar] [CrossRef]
- Jha, S.S.; Jha, J.K.; Chattopadhyay, B.; Basu, A.; Sen, S.K.; Maiti, M.K. Cloning and characterization of cDNAs encoding for long-chain saturated acyl-ACP thioesterases from the developing seeds of Brassica juncea. Plant Physiol. Biochem. 2010, 48, 476–480. [Google Scholar] [CrossRef]
- Cartea, E.; De Haro-Bailón, A.; Padilla, G.; Obregón-Cano, S.; del Rio-Celestino, M.; Ordás, A. Seed oil quality of Brassica napus and Brassica rapa germplasm from Northwestern Spain. Foods 2019, 8, 292. [Google Scholar] [CrossRef]
- Sacristan, M.-D. Selection for disease resistance in Brassica cultures. Hereditas 1985, 3, 57–63. [Google Scholar] [CrossRef]
- Anuradha, G.; Narasimhulu, S.B.; Arunachalam, V.; Chopra, V.L. A comparative evaluation of somaclonal, gamma ray and EMS induced variation in Brassica juncea. J. Plant Biochem. Biotechnol. 1992, 1, 105–108. [Google Scholar] [CrossRef]
- Katiyar, R.K.; Chopra, V.L. A somaclone of Brassica juncea is processed in to a variety and is released for commercial cultivation in India. Cruc. Newslett. 1995, 17, 92–97. [Google Scholar]
- Ahmad, S. In Vitro Callus Selection in Brassica Species. Ph.D. Thesis, University of Edinburgh, Edinburgh, UK, 1996. [Google Scholar]
- Jain, R.K.; Jain, S.; Nainawatee, H.S.; Chowdhury, J.B. Salt tolerance in Brassica juncea L. In vitro selection, agronomic evaluation and genetic stability. Euphytica 1990, 48, 141–152. [Google Scholar] [CrossRef]
- Roy, A.; Saha, P.K. Isolation of low erucic acid-containing genotype of Indian mustard (Brassica juncea Czern. and Coss.) through F1 hybrid anther culture. Afr. J. Biotechnol. 2006, 5, 2092–2096. [Google Scholar]
- Iqbal, M.C.M.; Weerakoon, S.R.; Geethanjalie, H.D.N.; Peiris, P.K.D.; Weerasena, O.V.D.S.J. Changes in the fatty acids in seeds of interspecific hybrids between Brassica napus and Brassica juncea. Crop Pasture Sci. 2011, 62, 390–395. [Google Scholar] [CrossRef]
- Chawla, H.S.; Wenzel, G. Regeneration potential of callus from wheat and barley. Arch. Zuchtungsforsch. 1987, 17, 337–343. [Google Scholar]
- Saepudin, A.; Khumaida, N.; Sopandie, D.; Sintho, W.A. In vitro selection of four soybean genotypes using PEG for drought tolerance. J. Agron. Indones. 2017, 45, 14–22. [Google Scholar] [CrossRef][Green Version]
- Sunaryo, W.; Widoretno, W.; Nurhasanah, N.; Surdasono, S. Drought tolerance selection of soybean lines generated from somatic embryogenesisusing osmotic stress simulation of poly-ethylene glycol (PEG). Nusantara Biosci. 2016, 8, 45–54. [Google Scholar] [CrossRef]
- Upadhyay, S.; Singh, A.K.; Tripathi, M.K.; Tiwari, S.; Tripathi, N.; Patel, R.P. In vitro selection for resistance against charcoal rot disease of soybean [Glycine max (L.) Merrill] caused by Macrophomina phaseolina (Tassi) Goid. Legum. Res. Int. J. 2020, LR-4440. [Google Scholar] [CrossRef]
- Mishra, N.; Tripathi, M.K.; Tiwari, S.; Tripathi, N.; Sapre, S.; Ahuja, A.; Tiwari, S. Cell suspension culture and in vitroscreening for drought tolerance in soybean using poly-ethylene glycol. Plants 2021, 10, 517. [Google Scholar] [CrossRef]
- Venkatachalam, P.; Sankara Rao, K.; Kavi Kishor, P.B.; Jayabalan, N. Regeneration of late leaf spot resistant groundnut plants from Cercosporidium personatum culture filtrate-treated callus. Curr. Sci. 1998, 74, 61–65. [Google Scholar]
- Ashok, J.; Fakrudin, B.; Kuruvinashetti, M.S.; Kullaiswami, B.Y. Regeneration of stem and pod rot resistant groundnut plants from Sclerotium roltsii Sacc. culture filtrate treated callus. Indian J. Genet. 2004, 64, 221–224. [Google Scholar]
- Rahayu, E.S.; Suwarsi, S. In vitro selection of drought tolerant peanut embryogenic calli on medium containing polyethylene glycol and regeneration of drought tolerant plants. Emir. J. Food Agric. 2015, 27, 475–487. [Google Scholar] [CrossRef]
- Tripathi, M.K.; Tiwari, S.; Khare, U.K. In vitro selection for resistance against purple blotch disease of onion (Allium cepa L.) caused by Alternaria porri. Biotechnology 2008, 7, 80–86. [Google Scholar]
- Jhankare, A.; Tiwari, G.; Tripathi, M.K.; Pandey, G.N.; Patel, R.P.; Tiwari, S.; Baghel, B.S. Development of resistant lines against leaf blight disease of [(Wthaniasomnifera(L.) Dunal.)] caused by Aternariaalternata throughin vitro selection. Plant Cell Biotechnol. Mol. Biol. 2011, 12, 21–30. [Google Scholar]
- Shyam, C.; Tripathi, M.K.; Tiwari, S.; Ahuja, A.; Tripathi, N.; Gupta, N. In vitro regeneration from callus and cell suspension cultures in Indian mustard [Brassica juncea (Linn.) Czern&Coss]. Int. J. Agric. Technol. 2021, 17, 1095–1112. [Google Scholar]
- Akmal, M.; Nafis, T.; Mirza, K.J.; Alam, P.; Mohammad, A.; Mujib, A.; Abdin, M.Z. High frequency somatic embryogenesis in mustard crop (Brassica juncea L.) cv. Pusa Jai kisan: Microscopic and histological analyses. Aust. J. Crop Sci. 2011, 5, 1783–1789. [Google Scholar]
- Lone, J.A.; Gupta, S.K.; Wani, S.H.; Bhat, M.A.; Lone, R.A. In vitro regeneration studies in Brassica napus with response to callus induction frequency and regeneration frequency. Int. J. Agric. Environ. Biotechnol. 2016, 9, 755–761. [Google Scholar] [CrossRef]
- Alam, S.S.; Khaleda, L.; Al-Forkan, M. In vitro plant regeneration from hypocotyl and cotyledon explants of bari sarisha-13 (Brassica napus L.). Asian J. Agric. Food Sci. 2014, 2, 39–45. [Google Scholar]
- Nasrin, F.; Khaleda, L.; Forkan, M.A. In vitro plant regeneration from callus of hypocotyls and cotyledonary explants of some indigenous mustard varieties. Indian J. Plant Sci. 2017, 6, 21–30. [Google Scholar]
- Uikey, D.S.; Tripathi, M.K.; Tiwari, G.; Patel, R.P.; Ahuja, A. Embryogenic cell suspension culture induction and plantlet regeneration of Rauvolfiaserpentina(L.) Benth.: Influence of different plant growth regulator concentrations and combinations. Med. Plants Int. J. Phytomed. Rel. Ind. 2016, 8, 153–162. [Google Scholar]
- Tripathi, M.K.; Tripathi, N.; Tiwari, S.; Tiwari, G.; Mishra, N.; Bele, D.; Patel, R.P.; Sapre, S.; Tiwari, S. Optimization of Different Factors for Initiation of Somatic Embryogenesis in Suspension Cultures in Sandalwood (Santalum album L.). Horticulturae 2021, 7, 118. [Google Scholar] [CrossRef]
- Thakur, A.K.; Singh, B.K.; Verma, V.; Chauhan, J.S. Direct organogenesis in Brassica juncea var. NRCDR-2 and analysis of genetic uniformity using RAPD markers. Natl. Acad. Sci. Lett. 2013, 36, 403–409. [Google Scholar] [CrossRef]
- Kumar, P.; Srivastava, D.K. High frequency organogenesis in hypocotyl, cotyledon, leaf and petiole explants of broccoli (Brassica oleracea L. var. italica), an important vegetable crop. Physiol. Mol. Biol. Plants 2015, 21, 279–285. [Google Scholar] [CrossRef]
- Dhania, G.; Singh, R.P. Standardization of in vitroshoot regeneration protocol for Indian mustard, Brassica juncea (L) using cytokinin, BAP as inducer. Biol. Insights 2016, 1, 5–12. [Google Scholar]
- Sharma, D.K.; Tripathi, M.K.; Tiwari, R.; Baghel, B.S.; Ahuja, A. Somatic embryogenesis and plantlet regeneration via embryogenic suspensions of grape (Vitis vinifera L.). Asian J. Microbiol. Biotechnol. Environ. Sci. 2018, 20, S112–S125. [Google Scholar]
- Vibhute, M.; Tripathi, M.K.; Tiwari, R.; Baghel, B.S.; Tiwari, S. Interspecific morphogenic ability differences in citrus. J. Agric. Technol. 2012, 8, 625–638. [Google Scholar]
- D’Amato, F.; Bayliss, M.W. Cytogenetics of plant cell and tissue cultures and their regenerates. CRC Crit. Rev. Plant Sci. 1985, 3, 73–112. [Google Scholar] [CrossRef]
- Jagannath, A.; Sodhi, Y.S.; Gupta, V.; Mukhopadhyay, A.; Arumugam, N.; Singh, I.; Rohtagi, S.; Burma, P.K.; Pradhan, A.K.; Pental, D. Eliminating expression of erucic acid-encoding loci allows the identification of ‘hidden’ QTL contributing to oil quality fractions and oil content in Brassica juncea (Indian mustard). Theor. Appl. Genet. 2011, 122, 1091–1103. [Google Scholar] [CrossRef]
- Boscherini, G.; Muleo, R.; Montagni, G.; Cinelli, F.; Pellegrini, M.G.; Bernardini, M.; Buiatti, M. Characterization of salt tolerant plants derived from a Lycopersicon esculentum Mill. somaclone. J. Plant Physiol. 1999, 155, 613–619. [Google Scholar] [CrossRef]
- Resmi, P.; Shylaja, M.P.; Nazeem, P.A. Molecular characterization of selected somaclones in ginger using RAPD markers. Indian J. Hortic. 2012, 69, 221–225. [Google Scholar]
- James, D.W.; Lim, E.; Keller, J.; Plooy, I.; Ralston, E.; Dooner, H.K. Directed tagging of the Arabidopsis fatty acid elongation 1 (FAE1) gene with the maize transposon activator. Plant Cell 1995, 7, 309–319. [Google Scholar] [CrossRef]
- Millar, A.A.; Kunst, L. Very-long-chain fatty acid biosynthesis is controlled through the expression and specificity of the condensing enzyme. Plant J. 1997, 12, 121–131. [Google Scholar] [CrossRef]
- Gupta, V.; Mukhopadhyay, A.; Arumugam, N.; Sodhi, Y.S.; Pental, D.; Pradhan, A.K. Molecular tagging of erucic acid trait in oilseed mustard (Brassica juncea) by QTL mapping and single nucleotide polymorphisms in FAE1 gene. Theor. Appl. Genet. 2004, 108, 743–749. [Google Scholar] [CrossRef]
- Roscoe, T.J.; Lessire, R.; Puyaubert, J.; Renard, M.; Delseny, M. Mutations in the fatty acid elongation 1 gene are associated with a loss of β-ketoacyl-CoA synthase activity in low erucic acid rapeseed. FEBS Lett. 2001, 492, 107–111. [Google Scholar] [CrossRef]
- Farooq, N.; Nawaz, M.A.; Mukhtar, Z.; Ali, I.; Hundleby, P.; Ahmad, N. Investigating the In Vitro Regeneration Potential of Commercial Cultivars of Brassica. Plants 2019, 8, 558. [Google Scholar] [CrossRef] [PubMed]
- Hachey, J.E.; Sharma, K.K.; Moloney, M.M. Efficient shoot regeneration of Brassica campestris using cotyledon explants cultured in vitro. Plant Cell Rep. 1991, 9, 549–554. [Google Scholar] [CrossRef]
- Zhang, Y.; Bhalla, P.L. In vitro shoot regeneration from commercial cultivars of Australian canola (Brassica napus L.). Aust. J. Agric. Res. 2004, 55, 753–756. [Google Scholar] [CrossRef]
- Murashige, T.; Skoog, F. A revised medium for rapid growth and bioassays with tobacco tissue cultures. Physiol. Plant. 1962, 15, 473–497. [Google Scholar] [CrossRef]
- Snedecor, G.W.; Cochran, W.G. Statistical Methods, 8th ed.; Wiley-Blackwell: Hoboken, NJ, USA, 1989. [Google Scholar]





| S. No. | Culture Medium | MS3D (MS + 3.0 mg L−1 2,4-D) Medium | MS.5B (MS + 0.5 mg L−1 BAP) Medium | ||||
|---|---|---|---|---|---|---|---|
| Genotype | Callus Induction (%) * | Callus Features | Morphogenic Calli (%) * | Shoot Regeneration * (%) | Average Number(s) of Shoots/Explants * | Mean Shoot Length * | |
| 1. | CS54 | 72.47 a ± 1.31 | Dark brown and friable | 68.40 a ± 0.82 | 62.32 a ± 0.66 | 7.98 a ± 0.16 | 6.27 a ± 0.12 |
| 2. | PM30 | 77.83 b ± 1.45 | Cream and light compact | 74.68 b ± 0.88 | 69.77 b ± 0.72 | 8.75 b ± 0.18 | 7.43 b ± 0.15 |
| CD0.05 | 2.794 | 3.85 | 3.59 | 0.375 | 0.875 | ||
| S. No. | Culture Medium | MS3D (MS + 3.0 mg L−1 2,4-D) Medium | MS.5B (MS + 0.5 mg L−1 BAP) Medium | ||||
|---|---|---|---|---|---|---|---|
| Genotype | Callus Induction (%) * | Callus Features | Morphogenic Calli (%) * | Shoot Regeneration (%) * | Average Number(s) of Shoots/Explants * | Mean Shoot Length * | |
| 1. | CS54 | 81.80 a ± 1.76 | Dark brown and friable | 76.60 a ± 1.26 | 72.45 a ± 0.65 | 8.23 a ± 0.16 | 6.57 a ± 0.17 |
| 2. | PM30 | 86.42 b ± 1.83 | Cream and light compact | 84.42 b ± 1.37 | 78.89 a ± 0.73 | 9.45 b ± 0.22 | 7.54 b ± 0.19 |
| CD0.05 | 2.95 | 2.632 | 2.721 | 0.250 | 0.301 | ||
| S. No. | Genotypes | Initiation of Embryogenic Cell Suspension Culture on MS3D.5B (MS + 3.0 mg L−1 2,4-D + 0.5 mg L−1 BAP) Liquid Medium | Shoot Regeneration (%) on MS.5D.5B (MS + 0.5 mg L−1 2,4-D + 0.5 mg L−1 BAP) * | Shoot Regeneration (%) on MS.5N.5B (MS + 0.5 mg L−1 NAA + 0.5 mg L−1 BAP) * | |
|---|---|---|---|---|---|
| Increment in Fresh Weight (FW in g) * | Relative Growth Rate (RG) in % * | ||||
| 1. | CS54 | 5.72 a ± 0.34 | 186 a ± 3.86 | 34.34 a ± 0.56 | 67.50 a ± 0.84 |
| 2. | PM30 | 6.30 b ± 0.42 | 215 b ± 4.47 | 38.78 b ± 0.73 | 76.60 b ± 0.92 |
| CD0.05 | 0.540 | 6.731 | 1.537 | 2.399 | |
| S. No. | Genotype | CS54 | CD0.05 | PM30 | CD0.05 | ||||
|---|---|---|---|---|---|---|---|---|---|
| Parameters | Mother Plant | Putative Somaclone (R0) Generation | Putative Somaclone (R1) Generation | Mother Plant | Putative Somaclone (R0) Generation | Putative Somaclone (R1) Generation | |||
| 1. | Plant height (cm) | 150.0 b ± 2.52 | 115.0 a ± 1.50 | 117 a ± 1.54 | 4.71 | 145.0 b ± 2.32 | 90.0 a ± 1.52 | 93.0 a ± 1.54 | 3.21 |
| 2. | Number(s) of primary branches | 4.0 a ± 0.53 | 4.0 a ± 0.56 | 4.2 a ± 0.58 | 0.74 | 6.0 a ± 0.54 | 6.0 a ± 0.52 | 6.12 a ± 0.62 | 1.01 |
| 3. | Number(s) of secondary branches | 7.0 a ± 0.64 | 8.0 b ± 0.64 | 8.44 b ± 0.70 | 0.76 | 6.0 a ± 0.42 | 8.0 b ± 0.48 | 7.90 b ± 0.44 | 0.89 |
| 4. | Days to 50% flowering | 30.0 a ± 2.08 | 28.0 a ± 2.02 | 27.34 a ± 2.11 | 2.54 | 35.0 a ± 2.08 | 34.0 a ± 1.52 | 36.0 a ± 1.88 | 3.42 |
| 5. | Days to maturity | 128.0 b ± 2.65 | 100.0 a ± 2.08 | 102 a ± 2.05 | 2.72 | 130.0 b ± 2.0 | 115.0 a ± 1.62 | 118.0 a ± 1.64 | 3.27 |
| 6. | Siliqua length | 5.7 b ± 0.42 | 5.0 a ± 0.38 | 3.98 a ± 0.36 | 1.04 | 5.6 b ± 0.40 | 4.3 a ± 0.32 | 4.4 a ± 0.34 | 1.05 |
| 7. | Number(s) of siliqua per plant | 200 c.0 ± 3.06 | 130.0 a ± 2.21 | 135 b ± 2.88 | 3.66 | 137.0 a ± 3.06 | 140.0 a ± 2.54 | 138.0 a ± 2.08 | 3.83 |
| 8. | Number(s) of seed per siliqua | 12.0 b ± 0.98 | 8.0 a ± 0.64 | 8.62 a ± 0.89 | 1.17 | 13.0 b ± 1.10 | 7.0 a ± 0.90 | 7.22.0 a ± 1.08 | 2.65 |
| 9. | Number (s) seeds per plant | 2400.0 b ± 4.3 | 1040.0 a ± 3.21 | 1044.0 a ± 3.30 | 5.38 | 1781.0 b ± 4.04 | 840.0 a ± 3.61 | 845.0 a ± 3.82 | 5.97 |
| 10. | Seed yield per plant (g) | 4.6 b ± 0.44 | 1.90 a ± 0.30 | 1.98 a ± 0.35 | 0.84 | 3.8 b ± 0.45 | 1.6 a ± 0.25 | 1.8 a ± 0.34 | 0.79 |
| 11. | Biological yield per plant (g) | 26.0 b ± 1.28 | 13.0 a ± 0.52 | 14.0 a ± 0.56 | 1.12 | 24.0 b ± 1.13 | 20.86 a ± 1.46 | 22.0 a ± 1.38 | 1.61 |
| Group No. According to RT | Components | Compound Characterized | Formula | Molar Weight | Apex RT | Start RT | End RT | Area | % Area | Height | % Height | Probability |
|---|---|---|---|---|---|---|---|---|---|---|---|---|
| 1 | 1 | 1-Decanol, 2-octyl- | C20H42O | 298.55 | 5.24 | 5.16 | 5.35 | 3 × 107 | 4.01 | 7 × 106 | 7.11 | 3.54 |
| 2 | Heptafluorobutyric acid, n-octadecyl ester | C22H37F7O2 | 466.52 | 3.40 | ||||||||
| 3 | 1-Dodecanol, 2-hexyl | C16H34O | 242.44 | 3.27 | ||||||||
| 2 | 1 | Hexadecanoic acid, methyl ester | C18H36O2 | 284.50 | 7.4 | 7.23 | 7.68 | 6 × 107 | 9.30 | 1 × 107 | 10.72 | 68.41 |
| 2 | Pentadecanoic acid, 13-methyl-, methyl ester | C17H34O2 | 270.50 | 12.82 | ||||||||
| 3 | Pentadecanoic acid, 14-methyl-, methyl ester | C17H34O2 | 270.50 | 2.77 | ||||||||
| 3 | 1 | 2,5-Furandione, dihydro-3-isooctadecyl- | C22H40 O3 | 352.55 | 9.66 | 9.59 | 10.04 | 4 × 107 | 6.69 | 5 × 106 | 4.55 | 7.43 |
| 2 | L-Serinamide,1-methyl-5-oxo-L-prolyl-N,1-dimethyl-L-his tidyl-N,1-L-tryptophyl-N,N,N2,O-tetramethyl- | C34H48N8O6 | 664.79 | 5.10 | ||||||||
| 3 | 4,6-Dipropyl-nonan-5-one | C15H30O | 226.40 | 3.39 | ||||||||
| 4 | Ethyl iso-allocholate | C26H44O5 | 436.62 | 26.54 | ||||||||
| 5 | 7,8-Epoxylanostan-11-ol, 3-acetoxy- | C32H54O4 | 502.82 | 17.67 | ||||||||
| 6 | Docosanoic acid, 1,2,3-propanetriyl ester | C69H134O6 | 1059.79 | 4.81 | ||||||||
| 4 | 1 | Ethy 9,12,15-octadecatrienoate | C20H34O2 | 306.48 | 10.4 | 10.23 | 10.68 | 7 × 107 | 10.9 | 1 × 107 | 11.31 | 10.24 |
| 2 | 9,12,15-Octadecatrienoic acid, methyl ester, (Z,Z,Z)- | C19H32O2 | 292.50 | 8.65 | ||||||||
| 3 | N-Propy1 9,12,15-octadecatrienoate | C21H36O2 | 320.50 | 6.80 | ||||||||
| 5 | 1 | Ethyl 9,12,15-octadecatrienoate | C20H34O2 | 306.48 | 11.4 | 11.27 | 11.65 | 2 × 107 | 2.88 | 2 × 106 | 1.83 | 10.24 |
| 2 | 9,12,15-Octadecatrienoic acid, methyl ester, (Z,Z,Z)- | C19H32O2 | 292.50 | 8.65 | ||||||||
| 3 | N-Propyl 9,12,15-octadecatrienoate | C21H36O2 | 320.56 | 6.80 | ||||||||
| 6 | 1 | Methyl 11-docosenoate | C23H44O2 | 352.60 | 15.33 | 15.17 | 15.65 | 3 × 107 | 5.48 | 5 × 106 | 5.1 | 49.90 |
| 2 | 13-Docosenoic acid, methyl ester, (Z)- | C23H44O2 | 352.59 | 13.33 | ||||||||
| 3 | Cis-13-Docosenoyl chloride | C22H41ClO | 357.00 | 12.29 | ||||||||
| 7 | 1 | Ethyl iso-allocholate | C26H44O5 | 436.62 | 17.05 | 16.93 | 17.39 | 6 × 107 | 9.49 | 8 × 106 | 7.64 | 11.95 |
| 2 | (5á)Pregnane-3,20á-diol,14à,18à-[4-methyl-3-oxo-(1-oxa-4-azabutane-1,4-diyl)]-, diacetate | C21H36O2 | 320.50 | 7.48 | ||||||||
| 3 | 4H-Cyclopropa [5’,6’]benz[1 ‘,2’:7,8]azuleno[5,6-b]oxiren-4-one,8,8a-bis(acetyloxy)-2a-[(acetyloxy)methyl]-1,1a,1b,1c,2a,3,3a,6a,6b,7,8,8a-dodecahydro-6b-Hydroxy-3a-methoxy-1,1,5,7-tetramethyl-,[1aR-(1aà,1bá,1cà,2aà,3aà,6aà,6bà,7à,8á,8aà)]- | C26H34O11 | 522.54 | 5.13 | ||||||||
| 4 | 17-(1,5-Dimethylhexyl)-2,3-dihydroxy-10,13-Dimethyl-1,2,3,7,8,9,10,11,12,13,14,15,16,17-tetradecahydrocyclopenta[a]phenanthren-6-One | C29H50O | 414.71 | 21.34 | ||||||||
| 5 | Propanoic acid, 2-(3-acetoxy-4,4,14-trimethylandrost-8-en-17-yl)- | C27H42O4 | 430.6 | 14.64 | ||||||||
| 6 | 2,4a-Oxymethano-1,2,3,4,4a,4b,5,6,7,8,8a,9-d odecahydrophenanthren-9-one,8-cyanomethyl-2-methoxy-7-methoxycarbon yl-1,1,7-trimethyl- | C20H28O5 | 348.433 | 14.07 | ||||||||
| 8 | 1 | Glycidyl oleate | C21H38O3 | 338.50 | 21.09 | 20.97 | 21.33 | 4 × 107 | 6.05 | 6 × 106 | 5.6 | 71.7 |
| 2 | 9-Octadecenoic acid, 1,2,3-propanetriyl ester,(E,E,E)- | C57H104O6 | 885.43 | 4.87 | ||||||||
| 3 | 9-Octadecenoic acid (Z)-,2-hydroxy-1-(hydroxymethyl)ethyl ester | 4.68 | ||||||||||
| 9 | 1 | 9,12,15-Octadecatrienoic acid,2-phenyl-1,3-dioxan-5-yl ester | C28H40O4 | 440.00 | 23.73 | 23.62 | 23.9 | 2 × 107 | 3.68 | 3 × 106 | 3.09 | 13.64 |
| 2 | Methyl 2-hydroxy-octadeca-9,12,15-trienoate | C19H32O3 | 308.50 | 3.94 | ||||||||
| 3 | Butyl 6,9,12,15-octadecatetraenoate | 3.78 | ||||||||||
| 10 | 1 | Glycidyl oleate | C21H38O3 | 338.52 | 27.61 | 27.56 | 27.75 | 2 × 107 | 3.17 | 4 × 106 | 3.91 | 34.58 |
| 2 | 2,3-Dihydroxypropyl cis-13-docosenoate | C25H48 | 412.64 | 6.97 | ||||||||
| 3 | 9-Octadecenoic acid, 1,2,3-propanetriyl ester,(E,E,E)- | C57H104O6 | 885.43 | 3.8 | ||||||||
| 11 | 1 | E,E,Z-1,3,12-Nonadecatriene-5,14-diol | C19H34O2 | 294.47 | 32.19 | 32.06 | 32.37 | 3 × 107 | 4.77 | 4 × 106 | 3.92 | 7.41 |
| 2 | Trilinolein | C57H98O6 | 879.40 | 4.78 | ||||||||
| 3 | Tricyclo[20.8.0.0(7,16)]triacontane,1(22),7(16)-diepoxy- | C30H52O2 | 444.73 | 4.23 |
| S. No. | Biochemical Parameters | Formula | Molar Weight | Mother Plant (%) | Biochemical Parameters Detected in Somaclone | Apex RT | Value (%) in CS54 Soma Clone (R0) Generation Or % Area | Value (%) in Soma Clone CS54 (R1) Generation Or % Area | CD0.05 |
|---|---|---|---|---|---|---|---|---|---|
| 1 | Palmitic acid (%) | C16H32O2 | 256.42 | 5.91 a ± 0.16 * | Hexadecanoic acid, methyl ester | 7.4 | 9.30 b ± 0.20 * | 9.21 b ± 0.22 * | 0.32 |
| Pentadecanoic acid, 13-methyl-, methyl ester | |||||||||
| Pentadecanoic acid, 14-methyl-, methyl ester | |||||||||
| 2 | Oleic acid (%) | C18H34O2 | 282.461 | 12.89 b ± 0.28 * | Glycidyl oleate | 21.09 | 6.05 | 6.01 | 0.39 |
| 9-Octadecenoic acid, 1,2,3-propanetriyl ester, (E, E, E)- | |||||||||
| 9-Octadecenoic acid (Z)-,2-hydroxy-1-(hydroxymethyl) ethyl ester | |||||||||
| Glycidyl oleate | 27.61 | 3.17 | 3.30 | ||||||
| 2,3-Dihydroxypropyl cis-13-docosenoate | |||||||||
| 9-Octadecenoic acid, 1,2,3-propanetriyl ester, (E, E, E)- | |||||||||
| Total | 9.22 a ± 0.24 * | 9.31 a ± 0.26 * | |||||||
| 3 | Linoleic acid (%) | C18H32O2 | 280.40 | 2.96 ± 0.11 * | - | - | - | - | - |
| 4 | Linolenic acid (%) | C18H30O2 | 278.40 | 9.41 a ± 0.18 * | Ethy 9,12,15-octadecatrienoate | 10.4 | 10.90 | 10.78 | |
| 9,12,15-Octadecatrienoic acid, methyl ester, (Z, Z, Z)- | |||||||||
| N-Propy1 9,12,15-octadecatrienoate | |||||||||
| Ethyl 9,12,15-octadecatrienoate | 11.4 | 2.88 | 2.94 | ||||||
| 9,12,15-Octadecatrienoic acid, methyl ester, (Z, Z, Z)- | |||||||||
| N-Propyl 9,12,15-octadecatrienoate | |||||||||
| 9,12,15-Octadecatrienoic acid,2-phenyl-1,3-dioxan-5-yl ester | 23.73 | 3.68 | 3.70 | ||||||
| Methyl 2-hydroxy-octadeca-9,12,15-trienoate | |||||||||
| Butyl 6,9,12,15-octadecatetraenoate | |||||||||
| Total | 17.46 b ± 0.25 * | 17.42 b ± 0.28 * | 0.420 | ||||||
| 5 | Erucic acid (%) | C22H42O2 | 338.6 | 41.36 b ± 0.44 * | Methyl11-docosenoate13-Docosenoic acid, methyl ester, (Z)- Cis-13-Docosenoyl chloride | 15.33 | 5.48 a ± 0.098 * | 5.52 a ± 0.10 * | 0.53 |
| Group No. According to RT | Components | Compound Characterized | Formula | Molar Weight | Apex RT | Start RT | End RT | Area | % Area | Height | % Height | Probability |
|---|---|---|---|---|---|---|---|---|---|---|---|---|
| 1 | 1 | 1-Octadecene | C18H36 | 252.50 | 5.24 | 5.19 | 5.32 | 2.14 × 108 | 2.71 | 79,764,789 | 10 | 3.6 |
| 2 | E-15-Heptadecenal | C17H32O | 252.43 | 3.32 | ||||||||
| 3 | Nonacos-1-ene | C29H58 | 406.80 | 3.06 | ||||||||
| 2 | 1 | Hexadecanoic acid, methyl ester | C17H34O2 | 270.45 | 7.42 | 7.16 | 7.91 | 7.67 × 108 | 9.72 | 75,578,774 | 9.47 | 78.51 |
| 2 | Pentadecanoic acid, 13-methyl-, methyl ester | C17H34O2 | 270.45 | 9.57 | ||||||||
| 3 | Hexadecanoic acid, 2-methyl- | C17H34O2 | 270.50 | 2.76 | ||||||||
| 3 | 1 | 9-Octadecenoic acid (Z)-, methyl ester | C19H36O2 | 296.50 | 9.79 | 9.64 | 10.21 | 9.05 × 108 | 11.46 | 87,487,645 | 10.96 | 15.76 |
| 2 | Cis-13-Octadecenoic acid, methyl ester | C19H36O2 | 296.50 | 11.75 | ||||||||
| 3 | Trans-13-Octadecenoic acid, methyl ester | C19H36O2 | 296.48 | 10.38 | ||||||||
| 4 | 1 | 1-Heptacosanol | C27H56O | 396.73 | 11.99 | 11.86 | 12.25 | 1.28 × 108 | 1.62 | 13,276,684 | 1.66 | 3.86 |
| 2 | Hexacosylpentafluoropropionate | C29H53F5O2 | 528.70 | 3.26 | ||||||||
| 3 | Hexacosyl heptafluorobutyrate | C30H53F7O2 | 578.70 | 3.14 | ||||||||
| 4 | 17-Pentatriacontene | C35H70 | 490.90 | 21.44 | ||||||||
| 5 | Oleic acid, 3-(octadecyloxy)propyl ester | C39H76O3 | 593.00 | 14.27 | ||||||||
| 6 | Octadecane, 3-ethyl-5-(2-ethylbutyl)- | C26H54 | 366.70 | 11.22 | ||||||||
| 5 | 1 | Glycidyl palmitate | C19H36O3 | 312.48 | 17.13 | 17.06 | 17.35 | 1.66 × 108 | 2.11 | 27,307,391 | 3.42 | 86.71 |
| 2 | Hexadecanoic acid,2-hydroxy-1-(hydroxymethyl)ethyl ester | C19H38O4 | 330.50 | 2.04 | ||||||||
| 3 | Hexadecanoic acid,1-(hydroxymethyl)-1,2-ethanediyl ester | C19H38O4 | 330.50 | 1.48 | ||||||||
| 6 | 1 | Glycidyl oleate | C21H38O3 | 338.50 | 21.39 | 21.05 | 22.24 | 2 × 109 | 25.36 | 98,040,231 | 12.29 | 89.2 |
| 2 | 9-Octadecenoic acid (Z)-,2-hydroxy-1-(hydroxymethyl)ethyl ester | C21H38O4 | 354.52 | 2.17 | ||||||||
| 3 | 9-Octadecenoic acid, 1,2,3-propanetriyl ester,(E,E,E)- | C57H104O6 | 885.43 | 1.62 | ||||||||
| 7 | 1 | Phenol, 2,4-bis(1,1-dimethylethyl)-,phosphite (3:1) | C42H63O3P | 646.92 | 28.27 | 27.71 | 28.48 | 3.4 × 108 | 4.31 | 28,193,887 | 3.53 | 90.45 |
| 2 | Silane, diethylheptyloxyoctadecyloxy- | C29H62O2Si | 470.90 | 2.2 | ||||||||
| 3 | Methylenebis(2,4,6-triisopropylphenylphosphine) | C31H50P | 484.67 | 1.55 | ||||||||
| 4 | Phenol, 2,4-bis(1,1-dimethylethyl)-,phosphite (3:1) | C42H63O3P | 646.92 | 47.29 | ||||||||
| 5 | 1-Cholestanone, O-allyloxime | C30H51NO | 441.70 | 8.23 |
| S. No. | Biochemical Parameters | Mother Plant (%) | Other Names of Biochemical Parameters | Apex RT | Value (%) in PM 30 Soma Clone (R0) Generation Or % Area | Value (%) in PM 30 Soma Clone (R1) Generation Or % Area | CD0.05 |
|---|---|---|---|---|---|---|---|
| 1 | Palmitic acid (%) | 5.5 a ± 0.09 * | Hexadecanoic acid, methyl ester | 7.42 | 9.72 | 9.84 | 0.236 |
| Pentadecanoic acid, 13-methyl-, methyl ester | |||||||
| Hexadecanoic acid, 2-methyl- | |||||||
| Glycidyl palmitate | 17.13 | 2.11 | 2.06 | ||||
| Hexadecanoic acid,2-hydroxy-1-(hydroxymethyl) ethyl ester | |||||||
| Hexadecanoic acid,1-(hydroxymethyl)-1,2-ethanediyl ester | |||||||
| Total | 11.83 b ± 0.12 * | 11.90 b ± 0.13 * | |||||
| 2 | Oleic acid (%) | 25.6 a ± 0.51 * | 9-Octadecenoic acid (Z)-, methyl ester | 9.79 | 11.46 | 11.86 | 0.674 |
| Cis-13-Octadecenoic acid, methyl ester | |||||||
| Trans-13-Octadecenoic acid, methyl ester | |||||||
| 1-Heptacosanol | 11.99 | 1.62 | 1.40 | ||||
| Hexacosylpentafluoropropionate | |||||||
| Hexacosyl heptafluorobutyrate | |||||||
| 17-Pentatriacontene | |||||||
| Oleic acid, 3-(octadecyloxy) propyl ester | |||||||
| Octadecane, 3-ethyl-5-(2-ethylbutyl)- | |||||||
| Glycidyl oleate | 21.39 | 25.36 | 25.11 | ||||
| 9-Octadecenoic acid (Z)-,2-hydroxy-1-(hydroxymethyl) ethyl ester | |||||||
| 9-Octadecenoic acid, 1,2,3-propanetriyl ester, (E, E, E)- | |||||||
| Total | 38.44 b ± 0.59 * | 38.37 b ± 0.62 * | |||||
| 3 | Linoleic acid (%) | 2.75 ± 0.11 * | - | - | - | - | - |
| 4 | Linolenic acid (%) | 15.55 ± 0.46 * | - | - | - | - | - |
| 5 | Erucic acid (%) | 1.075 ± 0.015 * | - | - | - | - | - |
| Primer | Sequence 5′-3′ | CS54 | PM30 | ||
|---|---|---|---|---|---|
| Total Bands | Polymorphic Bands | Total Bands | Polymorphic Bands | ||
| OPE-09 | CTTCACCCGA | 4 | 0 | 7 | 0 |
| OPE-17 | CTACTGCCGT | 5 | 0 | 4 | 0 |
| OPF-03 | CCTGATCACC | 3 | 0 | 5 | 0 |
| OPA-5 | AGGGGTCTTG | 4 | 0 | 4 | 0 |
| OPA-8 | GTGACGTAGG | 5 | 0 | 6 | 0 |
| OPC-10 | TGTCTGGGTG | 6 | 0 | 5 | 0 |
| OPC-15 | GACGGATCAG | 5 | 0 | 4 | 0 |
| OPAP-07 | ACCACCCGCT | 4 | 0 | 4 | 0 |
| OPAP-13 | TGAAGCCCCT | 4 | 0 | 3 | 0 |
| OPR-15 | GGACAACGAG | 5 | 0 | 4 | 0 |
| OPM-05 | GGGAACGTGT | 3 | 0 | 5 | 0 |
| OPM-12 | CTGGGCAACT | 4 | 0 | 4 | 0 |
| OPM-13 | GGTGGTCAAG | 6 | 0 | 8 | 2 |
| OPO-20 | ACACACGCTG | 4 | 0 | 2 | 0 |
| OPB-18 | CCACAGCAGT | 5 | 0 | 4 | 0 |
| OPE-06 | AAGACCCCTC | 4 | 0 | 4 | 0 |
| OPE-15 | ACGCACAACC | 3 | 0 | 5 | 0 |
| OPH-05 | AGTCGTCCCC | 3 | 0 | 4 | 0 |
| OPH-14 | ACCAGGTTGG | 4 | 0 | 4 | 0 |
| OPI-02 | GGAGGAGAGG | 5 | 0 | 6 | 0 |
| OPI-08 | TTTGCCCGGT | 4 | 0 | 3 | 0 |
| OPL-06 | GAGGGAAGAG | 3 | 0 | 3 | 0 |
| OPO-10 | TCAGAGCGCC | 5 | 0 | 4 | 0 |
| OPO-11 | GACAGGAGGT | 3 | 0 | 4 | 0 |
| OPP-17 | TGACCCGCCT | 4 | 0 | 3 | 0 |
| OPA-12 | TCGGCGATAG | 7 | 2 | 5 | 0 |
Publisher’s Note: MDPI stays neutral with regard to jurisdictional claims in published maps and institutional affiliations. |
© 2021 by the authors. Licensee MDPI, Basel, Switzerland. This article is an open access article distributed under the terms and conditions of the Creative Commons Attribution (CC BY) license (https://creativecommons.org/licenses/by/4.0/).
Share and Cite
Shyam, C.; Tripathi, M.K.; Tiwari, S.; Tripathi, N.; Solanki, R.S.; Sapre, S.; Ahuja, A.; Tiwari, S. In Vitro Production of Somaclones with Decreased Erucic Acid Content in Indian Mustard [Brassica juncea (Linn.) Czern&Coss]. Plants 2021, 10, 1297. https://doi.org/10.3390/plants10071297
Shyam C, Tripathi MK, Tiwari S, Tripathi N, Solanki RS, Sapre S, Ahuja A, Tiwari S. In Vitro Production of Somaclones with Decreased Erucic Acid Content in Indian Mustard [Brassica juncea (Linn.) Czern&Coss]. Plants. 2021; 10(7):1297. https://doi.org/10.3390/plants10071297
Chicago/Turabian StyleShyam, Chitralekha, Manoj Kumar Tripathi, Sushma Tiwari, Niraj Tripathi, Ravindra Singh Solanki, Swapnil Sapre, Ashok Ahuja, and Sharad Tiwari. 2021. "In Vitro Production of Somaclones with Decreased Erucic Acid Content in Indian Mustard [Brassica juncea (Linn.) Czern&Coss]" Plants 10, no. 7: 1297. https://doi.org/10.3390/plants10071297
APA StyleShyam, C., Tripathi, M. K., Tiwari, S., Tripathi, N., Solanki, R. S., Sapre, S., Ahuja, A., & Tiwari, S. (2021). In Vitro Production of Somaclones with Decreased Erucic Acid Content in Indian Mustard [Brassica juncea (Linn.) Czern&Coss]. Plants, 10(7), 1297. https://doi.org/10.3390/plants10071297

