Characterization of an Isolate of Citrus Concave Gum-Associated Virus from Apples in China and Development of an RT-RPA Assay for the Rapid Detection of the Virus
Abstract
:1. Introduction
2. Results
2.1. Identification of Virome Using High Throughput Sequencing
2.2. Full-Length Genomic Sequence and Characterization of CCGaV
2.3. Establishment of a RT-RPA Assay for CCGaV Detection
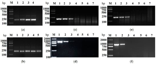
2.4. Application of RT-RPA Assay for CCGaV Detection in Field-Collected Apple Plants
3. Discussion
4. Materials and Methods
4.1. Sample Collection and RNA Sequening
4.2. Full-Length Genome Amplification and Sequencing
4.3. Sequence Assembly and Bioinformatics Analyses of CCGaV
4.4. RT-RPA Assay for CCGaV Detection
5. Conclusions
Supplementary Materials
Author Contributions
Funding
Institutional Review Board Statement
Informed Consent Statement
Data Availability Statement
Conflicts of Interest
References
- Parish, C.L. Apple decline: Characterization, cause and cure. Acta Hortic. 1989, 235, 93–98. [Google Scholar] [CrossRef]
- Desvignes, J.C.; Boyé, R. Different diseases caused by the chlorotic leaf spot virus on the fruit trees. Acta Hortic. 1989, 235, 31–38. [Google Scholar] [CrossRef]
- Kuhn, J.H.; Adkins, S.; Alioto, D.; Alkhovsky, S.V.; Amarasinghe, G.K.; Anthony, S.J.; Avšič-Županc, T.; Ayllón, M.A.; Bahl, J.; Balkema-Buschmann, A.; et al. 2020 taxonomic update for phylum Negarnaviricota (Riboviria: Orthornavirae), including the large orders Bunyavirales and Mononegavirales. Arch. Virol. 2020, 165, 3023–3072. [Google Scholar] [CrossRef] [PubMed]
- Navarro, B.; Minutolo, M.; De Stradis, A.; Palmisano, F.; Alioto, D.; Di Serio, F. The first phlebo-like virus infecting plants: A case study on the adaptation of negative-stranded RNA viruses to new hosts. Mol. Plant Pathol. 2017, 19, 1075–1089. [Google Scholar] [CrossRef] [PubMed]
- Wright, A.A.; Szostek, S.A.; Beaver-Kanuya, E.; Harper, S.J. Diversity of three bunya-like viruses infecting apple. Arch. Virol. 2018, 163, 3339–3343. [Google Scholar] [CrossRef]
- Nickel, O.; Fajardo, T.V.M.; Candresse, T. First report on detection of three bunya-like viruses in apples in Brazil. Plant Dis. 2020, 104, 3088. [Google Scholar] [CrossRef]
- Navarro, B.; Zicca, S.; Minutolo, M.; Saponari, M.; Alioto, D.; Di Serio, F. A negative-stranded RNA virus infecting citrus trees: The second member of a new genus within the order Bunyavirales. Front. Microbiol. 2018, 9, 2340. [Google Scholar] [CrossRef]
- Xin, M.; Cao, M.; Liu, W.; Ren, Y.; Zhou, X.; Wang, X. Two negative-strand RNA viruses identified in watermelon represent a novel clade in the order Bunyavirales. Front. Microbiol. 2017, 8, 1514. [Google Scholar] [CrossRef] [Green Version]
- Zhang, S.; Tian, X.; Navarro, B.; Di Serio, F.; Cao, M. Watermelon crinkle leaf-associated virus 1 and watermelon crinkle leaf-associated virus 2 have a bipartite genome with molecular signatures typical of the members of the genus Coguvirus (family Phenuiviridae). Arch. Virol. 2021, 166, 2829–2834. [Google Scholar] [CrossRef]
- Bertazzon, N.; Chitarra, W.; Angelini, E.; Nerva, L. Two new putative plant viruses from wood metagenomics analysis of an Esca diseased vineyard. Plants 2020, 9, 835. [Google Scholar] [CrossRef]
- Chiapello, M.; Rodríguez-Romero, J.; Nerva, L.; Forgia, M.; Chitarra, W.; Ayllón, M.A.; Turina, M. Putative new plant viruses associated with Plasmopara viticola-infected grapevine samples. Ann. Appl. Biol. 2020, 176, 180–191. [Google Scholar] [CrossRef] [Green Version]
- Hou, W.; Li, S.; Massart, S. Is there a “biological desert” with the discovery of new plant viruses? A retrospective analysis for new fruit tree viruses. Front. Microbiol. 2020, 11, 592816. [Google Scholar] [CrossRef] [PubMed]
- Kapoor, S.; Handa, A.; Sharma, A. Prunus necrotic ringspot virus in peach-A bird’s eye view on detection and production of virus free plants. Int. J. Chem. Stud. 2018, 6, 486–494. [Google Scholar]
- Piepenburg, O.; Williams, C.H.; Stemple, D.L.; Armes, N.A. DNA detection using recombination proteins. PLoS Biol. 2006, 4, 1115–1121. [Google Scholar] [CrossRef]
- West, S.C. Molecular views of recombination proteins and their control. Nat. Rev. Mol. Cell Biol. 2003, 4, 435–445. [Google Scholar] [CrossRef] [PubMed]
- Londoño, M.A.; Harmon, C.L.; Polston, J.E. Evaluation of recombinase polymerase amplification for detection of begomoviruses by plant diagnostic clinics. Virol. J. 2016, 13, 48. [Google Scholar] [CrossRef] [Green Version]
- Mekuria, T.A.; Zhang, S.; Eastwell, K.C. Rapid and sensitive detection of little cherry virus 2 using isothermal reverse transcription-recombinase polymerase amplification. J. Virol. Methods 2014, 205, 24–30. [Google Scholar] [CrossRef] [Green Version]
- Zhang, S.; Ravelonandro, M.; Russel, P.; McOwen, N.; Briard, P.; Bohannon, S.; Vrient, A. Rapid diagnostic detection of plum pox virus in Prunus plants by isothermal AmplifyRP® using reverse transcription-recombinase polymerase amplification. J. Virol. Methods 2014, 207, 114–120. [Google Scholar] [CrossRef]
- Kim, N.Y.; Lee, H.J.; Jeong, R.D. A portable detection assay for apple stem pitting virus using reverse transcription-recombinase polymerase amplification. J. Virol. Methods 2019, 274, 113747. [Google Scholar] [CrossRef]
- Jiao, J.; Kong, K.; Han, J.; Song, S.; Bai, T.; Song, C.; Wang, M.; Yan, Z.; Zhang, H.; Zhang, R.; et al. Field detection of multiple RNA viruses/viroids in apple using a CRISPR/Cas12a-based visual assay. Plant Biotechnol. J. 2020, 19, 394–405. [Google Scholar] [CrossRef]
- Sudhir, K.; Glen, S.; Koichiro, T. MEGA7: Molecular evolutionary genetics analysis version 7.0 for bigger datasets. Mol. Biol. Evol. 2016, 33, 1870–1874. [Google Scholar] [CrossRef] [Green Version]
- Muhire, B.M.; Varsani, A.; Martin, D.P. SDT: A virus classification tool based on pairwise sequence alignment and identity calculation. PLoS ONE 2014, 9, e108277. [Google Scholar] [CrossRef] [PubMed]






Publisher’s Note: MDPI stays neutral with regard to jurisdictional claims in published maps and institutional affiliations. |
© 2021 by the authors. Licensee MDPI, Basel, Switzerland. This article is an open access article distributed under the terms and conditions of the Creative Commons Attribution (CC BY) license (https://creativecommons.org/licenses/by/4.0/).
Share and Cite
Liu, Z.; Dong, Z.; Zhan, B.; Li, S. Characterization of an Isolate of Citrus Concave Gum-Associated Virus from Apples in China and Development of an RT-RPA Assay for the Rapid Detection of the Virus. Plants 2021, 10, 2239. https://doi.org/10.3390/plants10112239
Liu Z, Dong Z, Zhan B, Li S. Characterization of an Isolate of Citrus Concave Gum-Associated Virus from Apples in China and Development of an RT-RPA Assay for the Rapid Detection of the Virus. Plants. 2021; 10(11):2239. https://doi.org/10.3390/plants10112239
Chicago/Turabian StyleLiu, Zhen, Zhenfei Dong, Binhui Zhan, and Shifang Li. 2021. "Characterization of an Isolate of Citrus Concave Gum-Associated Virus from Apples in China and Development of an RT-RPA Assay for the Rapid Detection of the Virus" Plants 10, no. 11: 2239. https://doi.org/10.3390/plants10112239
APA StyleLiu, Z., Dong, Z., Zhan, B., & Li, S. (2021). Characterization of an Isolate of Citrus Concave Gum-Associated Virus from Apples in China and Development of an RT-RPA Assay for the Rapid Detection of the Virus. Plants, 10(11), 2239. https://doi.org/10.3390/plants10112239

