Targeting Grb2 SH3 Domains with Affimer Proteins Provides Novel Insights into Ras Signalling Modulation
Abstract
1. Introduction
2. Materials and Methods
2.1. Production of BAP-Tagged SH3 Domains
2.2. Phage Display Biopanning and Phage ELISAs
2.3. Affimer Protein Production
2.4. Production of GST-Tagged Proteins
2.5. Pull-Down of Affimer Proteins with GST-Tagged Full-Length Grb2
2.6. Pull-Down of Endogenous Grb2 with 6xHis-Tagged Affimer Proteins
2.7. SDS-PAGE and Western Blotting Analysis of Pull-Down Assays
2.8. Sulfhydryl Biotinylation of Affimer Protein
2.9. ELISA for Testing Affimer Cross-Reactivity
2.10. Production of Full-Length Recombinant Grb2
2.11. Fluorescence Polarisation (FP) Competition Assay
2.12. Mammalian Cell Culture
2.13. Mammalian Cell Transfection
2.14. Measuring Nuclear Phospho-ERK (p-ERK) in Transfected Cells
2.15. Generating U-2 OS Cells Stably Expressing tGFP-Tagged Affimer
2.16. Epidermal Growth Factor Receptor (EGFR) Signalling Assays in U-2 OS Cells Stably Expressing tGFP-Tagged Affimer
3. Results
3.1. Isolation of Affimer Proteins That Bind to the SH3 Domains of Grb2
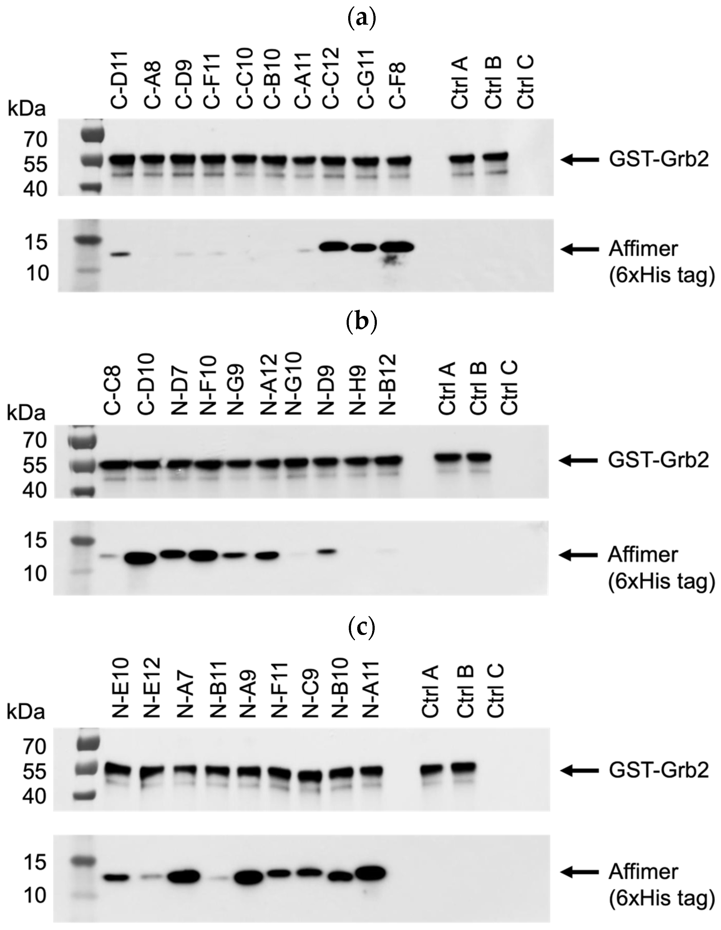
3.2. Affimer Proteins Bound Full-Length Recombinant and Endogenous Grb2 in Pull-Down Assays
3.3. Affimer Proteins Bound Exclusively to Their Intended Target in an ELISA-Based Cross-Reactivity Assay
3.4. Affimer Proteins Isolated against Grb2 NSH3 Can Inhibit the Interaction between a SOS-Derived Peptide and Grb2
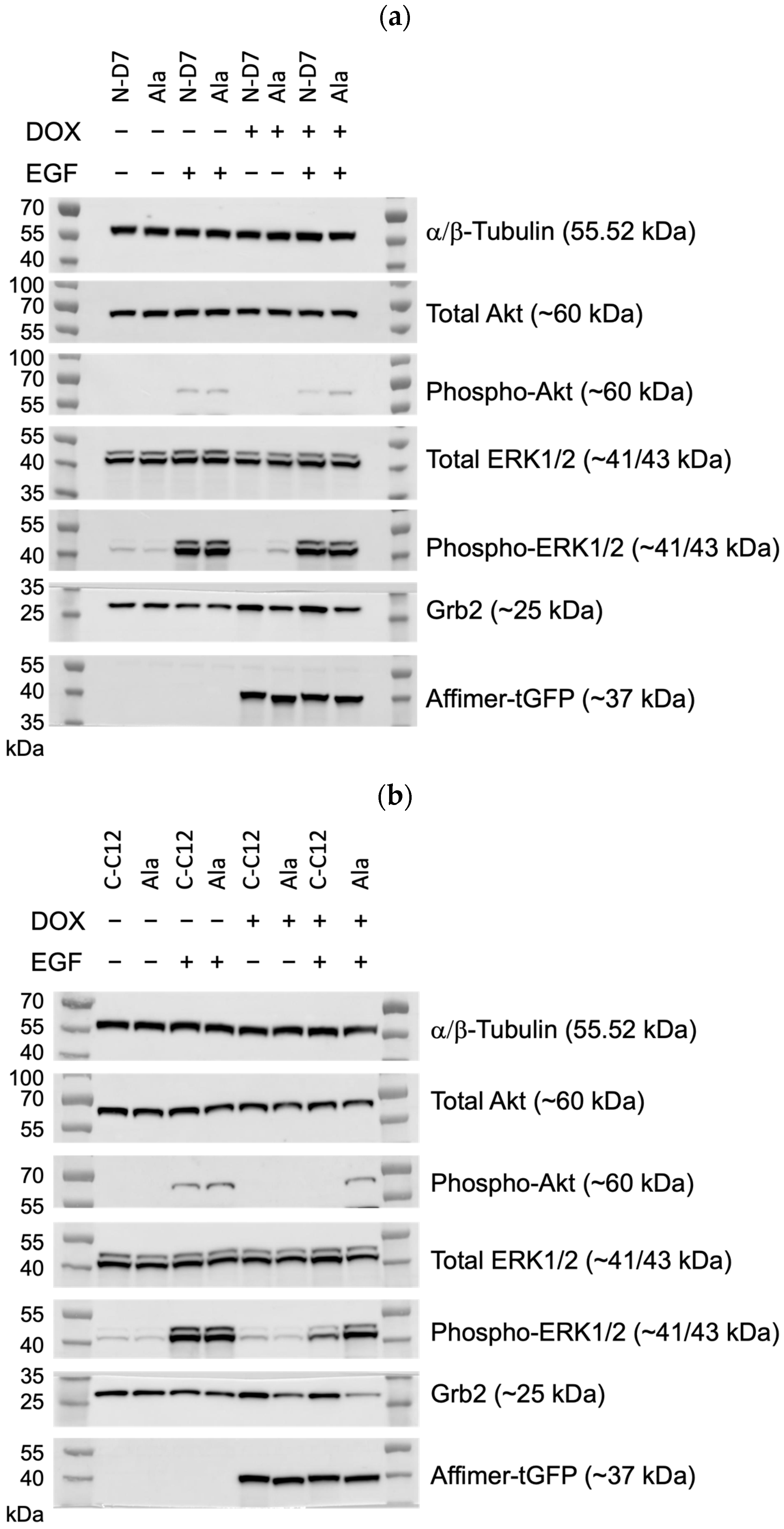
3.5. Affimer Protein Targeting the Grb2 CSH3 Alone Appears Sufficient for Curtailing Ras Signalling in Epidermal-Growth-Factor-Stimulated HEK-293 and U-2 OS Cells
4. Discussion
5. Conclusions
Supplementary Materials
Author Contributions
Funding
Institutional Review Board Statement
Informed Consent Statement
Data Availability Statement
Acknowledgments
Conflicts of Interest
References
- Musacchio, A.; Noble, M.; Pauptit, R.; Wierenga, R.; Saraste, M. Crystal structure of a Src-homology 3 (SH3) domain. Nature 1992, 359, 851–855. [Google Scholar] [CrossRef]
- Wittekind, M.; Mapelli, C.; Lee, V.; Goldfarb, V.; Friedrichs, M.S.; Meyers, C.A.; Mueller, L. Solution structure of the Grb2 N-terminal SH3 domain complexed with a ten-residue peptide derived from SOS: Direct refinement against NOEs, J-couplings and 1H and 13C chemical shifts. J. Mol. Biol. 1997, 267, 933–952. [Google Scholar] [CrossRef] [PubMed]
- Dionne, U.; Bourgault, É.; Dubé, A.K.; Bradley, D.; Chartier, F.J.M.; Dandage, R.; Dibyachintan, S.; Després, P.C.; Gish, G.D.; Pham, N.T.H.; et al. Protein context shapes the specificity of SH3 domain-mediated interactions in vivo. Nat. Commun. 2021, 12, 1597. [Google Scholar] [CrossRef] [PubMed]
- Dionne, U.; Percival, L.J.; Chartier, F.J.M.; Landry, C.R.; Bisson, N. SRC homology 3 domains: Multifaceted binding modules. Trends Biochem. Sci. 2022, 47, 772–784. [Google Scholar] [CrossRef] [PubMed]
- Brown, T.; Brown, N.; Stollar, E.J. Most yeast SH3 domains bind peptide targets with high intrinsic specificity. PLoS ONE 2018, 13, e0193128. [Google Scholar] [CrossRef]
- Lowenstein, E.J.; Daly, R.J.; Batzer, A.G.; Li, W.; Margolis, B.; Lammers, R.; Ullrich, A.; Skolnik, E.Y.; Bar-Sagi, D.; Schlessinger, J. The SH2 and SH3 domain-containing protein GRB2 links receptor tyrosine kinases to ras signaling. Cell 1992, 70, 431–442. [Google Scholar] [CrossRef]
- Giubellino, A.; Burke, T.R., Jr.; Bottaro, D.P. Grb2 signaling in cell motility and cancer. Expert. Opin. Ther. Targets 2008, 12, 1021–1033. [Google Scholar] [CrossRef]
- Egan, S.E.; Giddings, B.W.; Brooks, M.W.; Buday, L.; Sizeland, A.M.; Weinberg, R.A. Association of Sos Ras exchange protein with Grb2 is implicated in tyrosine kinase signal transduction and transformation. Nature 1993, 363, 45–51. [Google Scholar] [CrossRef]
- Rozakis-Adcock, M.; Fernley, R.; Wade, J.; Pawson, T.; Bowtell, D. The SH2 and SH3 domains of mammalian Grb2 couple the EGF receptor to the Ras activator mSos1. Nature 1993, 363, 83–85. [Google Scholar] [CrossRef]
- Li, N.; Batzer, A.; Daly, R.; Yajnik, V.; Skolnik, E.; Chardin, P.; Bar-Sagi, D.; Margolis, B.; Schlessinger, J. Guanine-nucleotide-releasing factor hSos1 binds to Grb2 and links receptor tyrosine kinases to Ras signalling. Nature 1993, 363, 85–88. [Google Scholar] [CrossRef]
- Chardin, P.; Camonis, J.H.; Gale, N.W.; van Aelst, L.; Schlessinger, J.; Wigler, M.H.; Bar-Sagi, D. Human Sos1: A guanine nucleotide exchange factor for Ras that binds to GRB2. Science 1993, 260, 1338–1343. [Google Scholar] [CrossRef] [PubMed]
- Liao, T.J.; Jang, H.; Nussinov, R.; Fushman, D. High-Affinity Interactions of the nSH3/cSH3 Domains of Grb2 with the C-Terminal Proline-Rich Domain of SOS1. J. Am. Chem. Soc. 2020, 142, 3401–3411. [Google Scholar] [CrossRef] [PubMed]
- Simon, J.A.; Schreiber, S.L. Grb2 SH3 binding to peptides from Sos: Evaluation of a general model for SH3-ligand interactions. Chem. Biol. 1995, 2, 53–60. [Google Scholar] [CrossRef]
- Lemmon, M.A.; Ladbury, J.E.; Mandiyan, V.; Zhou, M.; Schlessinger, J. Independent binding of peptide ligands to the SH2 and SH3 domains of Grb2. J. Biol. Chem. 1994, 269, 31653–31658. [Google Scholar] [CrossRef]
- Cussac, D.; Frech, M.; Chardin, P. Binding of the Grb2 SH2 domain to phosphotyrosine motifs does not change the affinity of its SH3 domains for Sos proline-rich motifs. Embo. J. 1994, 13, 4011–4021. [Google Scholar] [CrossRef] [PubMed]
- McDonald, C.B.; El Hokayem, J.; Zafar, N.; Balke, J.E.; Bhat, V.; Mikles, D.C.; Deegan, B.J.; Seldeen, K.L.; Farooq, A. Allostery mediates ligand binding to Grb2 adaptor in a mutually exclusive manner. J. Mol. Recognit. 2013, 26, 92–103. [Google Scholar] [CrossRef]
- Malagrinò, F.; Troilo, F.; Bonetti, D.; Toto, A.; Gianni, S. Mapping the allosteric network within a SH3 domain. Sci. Rep. 2019, 9, 8279. [Google Scholar] [CrossRef]
- Kazemein Jasemi, N.S.; Herrmann, C.; Magdalena Estirado, E.; Gremer, L.; Willbold, D.; Brunsveld, L.; Dvorsky, R.; Ahmadian, M.R. The intramolecular allostery of GRB2 governing its interaction with SOS1 is modulated by phosphotyrosine ligands. Biochem. J. 2021, 478, 2793–2809. [Google Scholar] [CrossRef]
- Kazemein Jasemi, N.S.; Ahmadian, M.R. Allosteric regulation of GRB2 modulates RAS activation. Small GTPases 2022, 13, 282–286. [Google Scholar] [CrossRef]
- Maignan, S.; Guilloteau, J.P.; Fromage, N.; Arnoux, B.; Becquart, J.; Ducruix, A. Crystal structure of the mammalian Grb2 adaptor. Science 1995, 268, 291–293. [Google Scholar] [CrossRef]
- Karatan, E.; Merguerian, M.; Han, Z.; Scholle, M.D.; Koide, S.; Kay, B.K. Molecular recognition properties of FN3 monobodies that bind the Src SH3 domain. Chem. Biol. 2004, 11, 835–844. [Google Scholar] [CrossRef] [PubMed]
- Huang, R.; Fang, P.; Kay, B.K. Isolation of monobodies that bind specifically to the SH3 domain of the Fyn tyrosine protein kinase. New Biotechnol. 2012, 29, 526–533. [Google Scholar] [CrossRef]
- Huang, R.; Fang, P.; Hao, Z.; Kay, B.K. Directed Evolution of a Highly Specific FN3 Monobody to the SH3 Domain of Human Lyn Tyrosine Kinase. PLoS ONE 2016, 11, e0145872. [Google Scholar] [CrossRef]
- Tiede, C.; Bedford, R.; Heseltine, S.J.; Smith, G.; Wijetunga, I.; Ross, R.; AlQallaf, D.; Roberts, A.P.E.; Balls, A.; Curd, A.; et al. Affimer proteins are versatile and renewable affinity reagents. eLife 2017, 6, e24903. [Google Scholar] [CrossRef] [PubMed]
- Haza, K.Z.; Martin, H.L.; Rao, A.; Turner, A.L.; Saunders, S.E.; Petersen, B.; Tiede, C.; Tipping, K.; Tang, A.A.; Ajayi, M.; et al. RAS-inhibiting biologics identify and probe druggable pockets including an SII-α3 allosteric site. Nat. Commun. 2021, 12, 4045. [Google Scholar] [CrossRef] [PubMed]
- Martin, H.L.; Turner, A.L.; Higgins, J.; Tang, A.A.; Tiede, C.; Taylor, T.; Siripanthong, S.; Adams, T.L.; Manfield, I.W.; Bell, S.M.; et al. Affimer-mediated locking of p21-activated kinase 5 in an intermediate activation state results in kinase inhibition. Cell Rep. 2023, 42, 113184. [Google Scholar] [CrossRef]
- Tiede, C.; Tang, A.A.; Deacon, S.E.; Mandal, U.; Nettleship, J.E.; Owen, R.L.; George, S.E.; Harrison, D.J.; Owens, R.J.; Tomlinson, D.C.; et al. Adhiron: A stable and versatile peptide display scaffold for molecular recognition applications. Protein Eng. Des. Sel. 2014, 27, 145–155. [Google Scholar] [CrossRef]
- Tang, A.A.S.; Tiede, C.; McPherson, M.J.; Tomlinson, D.C. Isolation of Artificial Binding Proteins (Affimer Reagents) for Use in Molecular and Cellular Biology. In Multiprotein Complexes: Methods and Protocols; Poterszman, A., Ed.; Springer: New York, NY, USA, 2021; pp. 105–121. [Google Scholar]
- Tandon, N.; Thakkar, K.N.; LaGory, E.L.; Liu, Y.; Giaccia, A.J. Generation of Stable Expression Mammalian Cell Lines Using Lentivirus. Bio-Protocol 2018, 8, e3073. [Google Scholar] [CrossRef]
- Terasawa, H.; Kohda, D.; Hatanaka, H.; Tsuchiya, S.; Ogura, K.; Nagata, K.; Ishii, S.; Mandiyan, V.; Ullrich, A.; Schlessinger, J.; et al. Structure of the N-terminal SH3 domain of GRB2 complexed with a peptide from the guanine nucleotide releasing factor Sos. Nat. Struct. Biol. 1994, 1, 891–897. [Google Scholar] [CrossRef]
- Goudreau, N.; Cornille, F.; Duchesne, M.; Parker, F.; Tocqué, B.; Garbay, C.; Roques, B.P. NMR structure of the N-terminal SH3 domain of GRB2 and its complex with a proline-rich peptide from Sos. Nat. Struct. Biol. 1994, 1, 898–907. [Google Scholar] [CrossRef]
- Ogura, K.; Okamura, H. Conformational change of Sos-derived proline-rich peptide upon binding Grb2 N-terminal SH3 domain probed by NMR. Sci. Rep. 2013, 3, 2913. [Google Scholar] [CrossRef] [PubMed]
- Moerke, N.J. Fluorescence Polarization (FP) Assays for Monitoring Peptide-Protein or Nucleic Acid-Protein Binding. Curr. Protoc. Chem. Biol. 2009, 1, 1–15. [Google Scholar] [CrossRef] [PubMed]
- Lewitzky, M.; Kardinal, C.; Gehring, N.H.; Schmidt, E.K.; Konkol, B.; Eulitz, M.; Birchmeier, W.; Schaeper, U.; Feller, S.M. The C-terminal SH3 domain of the adapter protein Grb2 binds with high affinity to sequences in Gab1 and SLP-76 which lack the SH3-typical P-x-x-P core motif. Oncogene 2001, 20, 1052–1062. [Google Scholar] [CrossRef]
- Harkiolaki, M.; Tsirka, T.; Lewitzky, M.; Simister, P.C.; Joshi, D.; Bird, L.E.; Jones, E.Y.; O’Reilly, N.; Feller, S.M. Distinct binding modes of two epitopes in Gab2 that interact with the SH3C domain of Grb2. Structure 2009, 17, 809–822. [Google Scholar] [CrossRef] [PubMed]
- Montagner, A.; Yart, A.; Dance, M.; Perret, B.; Salles, J.-P.; Raynal, P. A Novel Role for Gab1 and SHP2 in Epidermal Growth Factor-induced Ras Activation*. J. Biol. Chem. 2005, 280, 5350–5360. [Google Scholar] [CrossRef]
- Meng, S.; Chen, Z.; Munoz-Antonia, T.; Wu, J. Participation of both Gab1 and Gab2 in the activation of the ERK/MAPK pathway by epidermal growth factor. Biochem. J. 2005, 391, 143–151. [Google Scholar] [CrossRef][Green Version]
- Yu, C.F.; Liu, Z.X.; Cantley, L.G. ERK negatively regulates the epidermal growth factor-mediated interaction of Gab1 and the phosphatidylinositol 3-kinase. J. Biol. Chem. 2002, 277, 19382–19388. [Google Scholar] [CrossRef]
- Zhao, L.; Zhao, J.; Zhong, K.; Tong, A.; Jia, D. Targeted protein degradation: Mechanisms, strategies and application. Signal Transduct. Target. Ther. 2022, 7, 113. [Google Scholar] [CrossRef]













| Affimer Name | VR1 Sequence | VR2 Sequence | Frequency | Matching Clones |
|---|---|---|---|---|
| N-D7 | PIMVGEWNV | HRWFHKRFQ | 10/48 (20.8%) | N-B8, N-C8, N-H8, N-B9, N-E9, N-A10, N-C10, N-D10, N-E11 |
| N-F10 | SVHKTDRFL | WKMIVTPPP | 9/48 (18.8%) | N-G7, N-A8, N-F8, N-H10, N-C11, N-D11, N-H11, N-H12 |
| N-A9 | WYPSIIKPY | QTQFNNIPP | 7/48 (14.6%) | N-F7, N-H7, N-G11, N-C12, N-F12, N-G12 |
| N-F11 | HRVGKHIMI | FNFSEPQQP | 2/48 (4.2%) | N-C7 |
| N-G9 | IHVPPFDTW | YHRGSSWRI | 2/48 (4.2%) | N-F9 |
| N-A12 | SDMYPKLHA | HISYGIAAN | 1/48 (2.1%) | |
| N-C9 | SFVSKWKPY | DMPMSTKLK | 1/48 (2.1%) | |
| N-B10 | WAHHMEPVA | FMGEGVFWI | 1/48 (2.1%) | |
| N-G10 | WVQWQFEDM | YPGDMAYVA | 1/48 (2.1%) | |
| N-D9 | HTFGRNVTE | FEWMWNPAN | 1/48 (2.1%) | |
| N-H9 | HPYQVPVPA | HRRPKYIVP | 1/48 (2.1%) | |
| N-B12 | KWDDLAWWP | ADFMLWEFV | 1/48 (2.1%) | |
| N-A11 | NPYSPTVSG | YIYPKPTKY | 1/48 (2.1%) | |
| N-E10 | PEQQAYQYN | YFAPSTWRI | 1/48 (2.1%) | |
| N-A7 | EPFVPRTAWWW | QERQNHNMM | 1/48 (2.1%) | |
| N-E12 | DGSPEKQI | GGRPWFIGR | 2/48 (4.2%) | N-E7 |
| N-B11 | MIPHVE | AVWQRINFE | 2/48 (4.2%) | N-E8 |
| C-D11 | IMRPYWASS | VGGDAYEKM | 1/48 (2.1%) | |
| C-A8 | VMRPWWDSS | AAE | 16/48 (33.3%) | C-E7, C-F7, C-D8, C-G8, C-A9, C-B9, C-E9, C-F9, C-G9, C-H10, C-B11, C-C11, C-E11, C-H11, C-B12 |
| C-D9 | IMRPWWHSS | AAE | 1/48 (2.1%) | |
| C-F11 | IMRPWYMSS | AAE | 1/48 (2.1%) | |
| C-C10 | IQRPWFYSS | AAE | 1/48 (2.1%) | |
| C-B10 | IQRPFYDSS | AAE | 2/48 (4.2%) | C-C9 |
| C-A11 | IKRPWWASS | AAE | 1/48 (2.1%) | |
| C-C12 | RNIPIYPPQ | FEKPTSMHH | 3/48 (6.3%) | C-C7, C-E10 |
| C-G11 | GPWGSVYMW | RETGNPTWL | 5/48 (10.4%) | C-B7, C-H8, C-A10, C-F12 |
| C-F8 | DPYVIEVKD | AILGLIQPQ | 1/48 (2.1%) | |
| C-C8 | AVQHWYPVQ | HGGHYRAPM | 1/48 (2.1%) | |
| C-D10 | GNEIMHYNV | SWPTYWEPN | 1/48 (2.1%) |
Disclaimer/Publisher’s Note: The statements, opinions and data contained in all publications are solely those of the individual author(s) and contributor(s) and not of MDPI and/or the editor(s). MDPI and/or the editor(s) disclaim responsibility for any injury to people or property resulting from any ideas, methods, instructions or products referred to in the content. |
© 2024 by the authors. Licensee MDPI, Basel, Switzerland. This article is an open access article distributed under the terms and conditions of the Creative Commons Attribution (CC BY) license (https://creativecommons.org/licenses/by/4.0/).
Share and Cite
Tang, A.A.S.; Macdonald, A.; McPherson, M.J.; Tomlinson, D.C. Targeting Grb2 SH3 Domains with Affimer Proteins Provides Novel Insights into Ras Signalling Modulation. Biomolecules 2024, 14, 1040. https://doi.org/10.3390/biom14081040
Tang AAS, Macdonald A, McPherson MJ, Tomlinson DC. Targeting Grb2 SH3 Domains with Affimer Proteins Provides Novel Insights into Ras Signalling Modulation. Biomolecules. 2024; 14(8):1040. https://doi.org/10.3390/biom14081040
Chicago/Turabian StyleTang, Anna A. S., Andrew Macdonald, Michael J. McPherson, and Darren C. Tomlinson. 2024. "Targeting Grb2 SH3 Domains with Affimer Proteins Provides Novel Insights into Ras Signalling Modulation" Biomolecules 14, no. 8: 1040. https://doi.org/10.3390/biom14081040
APA StyleTang, A. A. S., Macdonald, A., McPherson, M. J., & Tomlinson, D. C. (2024). Targeting Grb2 SH3 Domains with Affimer Proteins Provides Novel Insights into Ras Signalling Modulation. Biomolecules, 14(8), 1040. https://doi.org/10.3390/biom14081040

