Back to the Future—A 50-Year Dive into Embryo Implantation Research: Cell Biological Paradox, Epithelial Cell Polarity, and EMT
Abstract
1. Introduction

2. Reconsidering Major Facts That Directed Implantation Research Focus on Epithelial Cell Polarity and the EMT Concept
2.1. Choice of Focus on Endometrium vs. Trophoblast
2.1.1. Trophoblast
2.1.2. Endometrium
3. Lessons from History: How Epithelial Polarity and EMT Became a Focus in Implantation Research, Learning from General Cell Biology, Epithelial Fusion Processes in Development, and Tumour Research
3.1. Early Approaches: On the Role of Glycoprotein Barriers and Proteinases
- not involved in post-hatching processes as had originally been expected, i.e., not in contact formation between trophoblast and uterine epithelium (in contrast to previous studies which had led investigators to suggest that secreted uterine proteinases act as an “implantation initiating factor” [120,121]),
- nor does implantation have any morphogenetic function (like directing body axis development, etc., as was assumed by other authors using the mouse model) (discussed in [124]).
3.2. The Switch to Studying Epithelial Cell Polarity Aspects
- (i).
- Both the trophoblast of the blastocyst and the uterine epithelium are typical mono-layered (“simple”) epithelia.
- (ii).
- Such epithelial cells normally invest a complicated intracellular machinery to maintain a polarized architecture which includes an apical membrane with non-adhesive properties.
- (iii).
- Nevertheless, the blastocyst attaches to the receptive uterine epithelium exactly via this apical surface that regularly ought to be non-adhesive.
- (iv).
- Studying cell biological details behind this change in behaviour of the uterine epithelium might provide insights into the regulation of endometrial receptivity for trophoblast adhesion and invasion and into the mechanisms of hormonal control of implantation.
3.3. An Examination of Epithelial–Epithelial Interactions as Observed in Developmental Fusion Processes (EFPs)
- At the apical cell pole: changes in glycocalyx composition, smoothening of the profile of the plasma membrane, loss of microvilli; in some cases, also the formation of peculiar apical cell processes.
- At the lateral plasma membrane: changes in the distribution of junctional complexes.
- Basal cell pole: changed integrity or complete loss of basement membranes (in some cases starting already before attachment of the fusing partners).
- Dissociation of some of these epithelial cells and acquisition of migratory motility as individual cells within extracellular matrix (i.e., invasive behaviour).
- In some of these EFPs, regulation by various growth factors and steroids was found (in case of palatal shelves: glucocorticoids).
- Although cell death was observed, no evidence was found for any major mechanistic role that it would play here (although in the case of palatal shelves this was disputed by some authors).
3.4. Impulses from Taking a Side-Look at Tumour Invasion and Metastasis
| Observed Changes | References |
|---|---|
| STRUCTURAL ORGANIZATION Plasma membranes: Apical plasma membrane: Loss of apical marker molecules: | |
| Loss of brush border-type enzymes | [7,187,188] |
| Loss of glycocalyx components and changes in glycocalyx composition (including lectin-binding patterns) (for the more recent literature see [8,189]) | [190,191,192,193,194,195,196] |
| Gain of basolateral membrane characteristics: Increase in intramembranous protein particle density to equal basolateral membrane | [197,198] |
| Gain of receptors for matrix/cell surface molecules | [46,196,199] |
| Gain of the ability to form hemidesmosome-like junctions | [19] |
| Gain of the ability to form “reflexive” gap junctions | [200] |
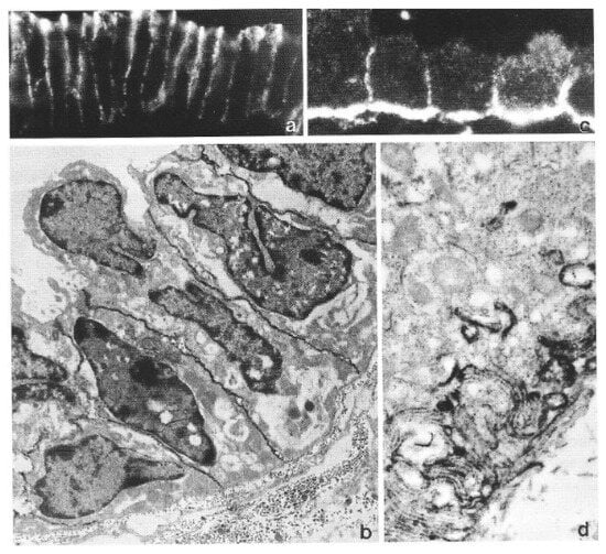
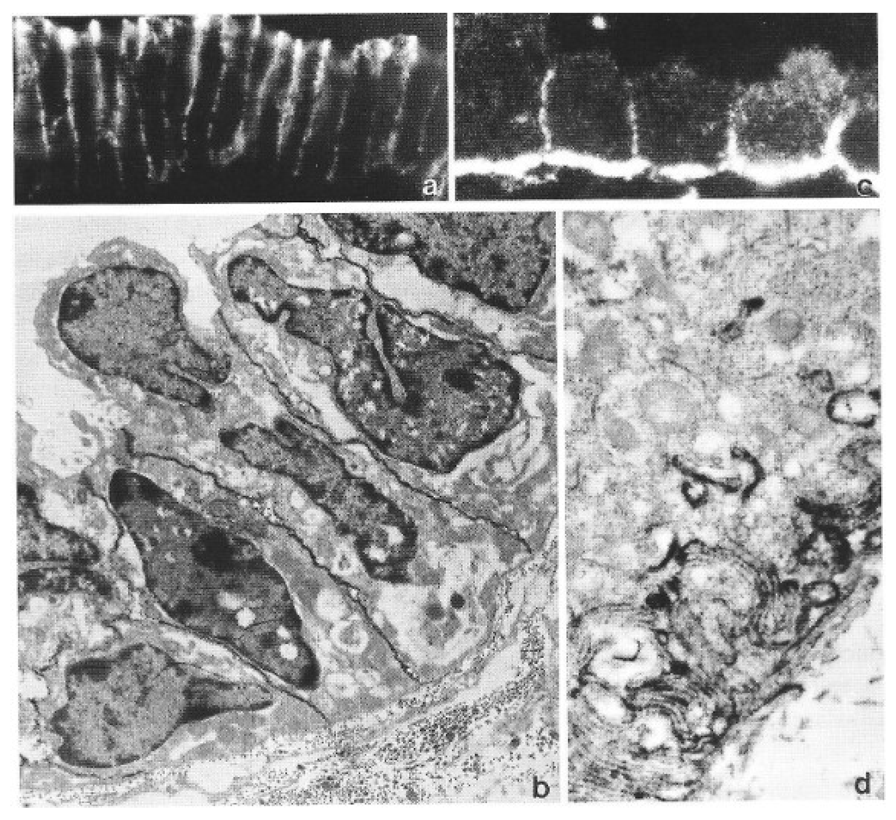
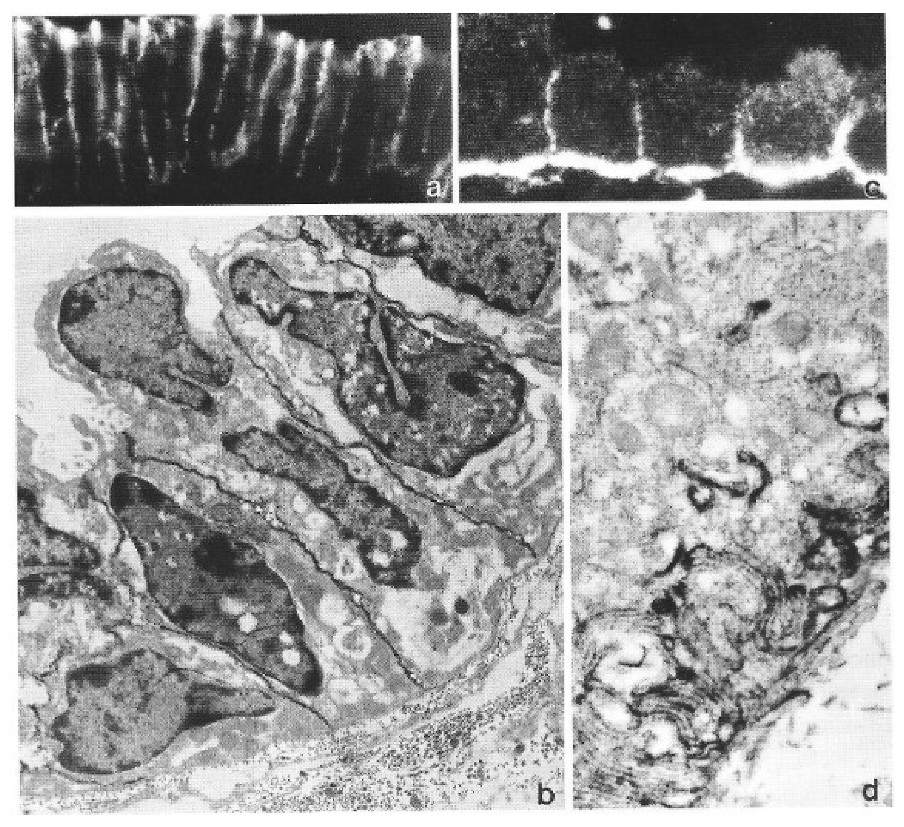
| Lateral plasma membrane: Loss of polar (subapical) maximum of desmosomal proteins (desmoplakin), more even distribution gained | [7,23,96,188] |
| Reorganization of tight junctions, loss of polar (subapical) concentration, and proliferation of strands basally | [201,202,203,204] |
| Changes in organization of adherens junctions, loss of polar (subapical) maximum of E-cadherin, and more even distribution (Figure 4) | [7,204,205] |
| Gain of integrin alpha6, redistribution from basal membrane domain | [206] |
| Basal plasma membrane and basement membrane: E-cadherin expression in extreme cases | (Figure 4c,d) |
| Reduced adhesion to basal lamina | [207,208,209] |
| Defective basement membrane | [210,211] |
| Cytoskeleton | |
| Vimentin upregulation and intracellular redistribution | [205,212] |
| FUNCTIONAL CHARACTERISTICS AND CELL BEHAVIOUR Intracellular/transcellular transport | |
| Endocytosis and transcellular transport changes | [213,214,215,216,217,218] |
| Cell behaviour Homotypic cell–cell interaction maintained (epitheliochorial placentation: pig) or weakened (invasive types of implantation: rodents, human, and carnivores) Potential for heterotypic cell–cell interaction with trophoblast gained (all mammals) | |
| Adhesive interaction with basement membrane (BM) weakened: sloughing from BM in rodents | [207,208,209] |
| Penetration of uterine epithelial processes through BM: rabbit, human | [210,211] |


3.5. Endometrial Receptivity Compared with the EMT Concept
4. Global Programme Changes vs. Selective Membrane Transformations
5. Local Signalling in the Implantation Chamber
6. In Vitro Model Systems: Insights into Functional Aspects
7. Conclusions
Funding
Institutional Review Board Statement
Informed Consent Statement
Data Availability Statement
Acknowledgments
Conflicts of Interest
References
- Bazer, F.W.; Johnson, G.A. Early Embryonic Development in Agriculturally Important Species. Animals 2024, 14, 1882. [Google Scholar] [CrossRef]
- Burton, G.J. Placental types. In Benirschke’s Pathology of the Human Placenta; Baergen, R.N., Burton, G.J., Kaplan, C.G., Eds.; Springer: Cham, Switzerland, 2022. [Google Scholar] [CrossRef]
- Geisert, R.D.; Spencer, T.E. (Eds.) Placentation in Mammals. Tribute to E.C. Amoroso’s Lifetime Contributions to Viviparity; Advances in Anatomy, Embryology and Cell Biology; Springer: Cham, Switzerland, 2021; Volume 234. [Google Scholar] [CrossRef]
- Mossman, H.W. Vertebrate Fetal Membranes; Rutgers University Press: New Brunswick, NJ, USA, 1987. Available online: https://catalog.nlm.nih.gov/discovery/fulldisplay?docid=alma996001253406676&context=L&vid=01NLM_INST:01NLM_INST&lang=en&adaptor=Local%20Search%20Engine&tab=LibraryCatalog&query=lds56,contains,Membranes,AND&mode=advanced&offset=20 (accessed on 22 October 2025).
- Denker, H.-W. Epithel-Epithel-Interaktionen bei der Embryo-Implantation: Ansätze zur Lösung eines zellbiologischen Paradoxons. Verh. Anat. Ges. 1986, 80, 93–114. Available online: http://hwdenker.de/PDF%20Dokumente/Denker%201986%20Epithel-Epithel.pdf (accessed on 17 December 2025).
- Denker, H.-W. Trophoblast-endometrial interactions at embryo implantation: A cell biological paradox. In Trophoblast Invasion and Endometrial Receptivity. Novel Aspects of the Cell Biology of Embryo Implantation; Denker, H.-W., Aplin, J.D., Eds.; Plenum Medical Book Comp. (now Springer): New York, NY, USA; London, UK, 1990; Volume 4, pp. 3–29. [Google Scholar] [CrossRef]
- Denker, H.-W. Implantation: A cell biological paradox. J. Exp. Zool. 1993, 266, 541–558. [Google Scholar] [CrossRef]
- Aplin, J.D.; Ruane, P.T. Embryo-epithelium interactions during implantation at a glance. J. Cell Sci. 2017, 130, 15–22. [Google Scholar] [CrossRef]
- Murphy, C.R. Uterine receptivity and the plasma membrane transformation. Cell Res. 2004, 14, 259–267. [Google Scholar] [CrossRef]
- Whitby, S.; Salamonsen, L.A.; Evans, J. The Endometrial Polarity Paradox: Differential Regulation of Polarity Within Secretory-Phase Human Endometrium. Endocrinology 2018, 159, 506–518. [Google Scholar] [CrossRef] [PubMed]
- Yang, J.; Antin, P.; Berx, G.; Blanpain, C.; Brabletz, T.; Bronner, M.; Campbell, K.; Cano, A.; Casanova, J.; Christofori, G.; et al. Guidelines and definitions for research on epithelial-mesenchymal transition. Nat. Rev. Mol. Cell Biol. 2020, 21, 341–352. [Google Scholar] [CrossRef] [PubMed]
- Tiwari, A.; Ashary, N.; Singh, N.; Sharma, S.; Modi, D. Modulation of E-Cadherin and N-Cadherin by ovarian steroids and embryonic stimuli. Tissue Cell 2021, 73, 101670. [Google Scholar] [CrossRef] [PubMed]
- Uchida, H.; Maruyama, T.; Masuda, H.; Uchida, S.; Miki, F.; Hihara, H.; Katakura, S.; Yoshimasa, Y.; Tanaka, M. How to Create an Embryo Penetration Route. Am. J. Reprod. Immunol. 2016, 75, 326–332. [Google Scholar] [CrossRef] [PubMed]
- Imakawa, K.; Bai, R.; Kusama, K. Integration of molecules to construct the processes of conceptus implantation to the maternal endometrium. J. Anim. Sci. 2018, 96, 3009–3021. [Google Scholar] [CrossRef]
- Ran, J.; Yang, H.H.; Huang, H.P.; Huang, H.L.; Xu, Z.; Zhang, W.; Wang, Z.X. ZEB1 modulates endometrial receptivity through epithelial-mesenchymal transition in endometrial epithelial cells in vitro. Biochem. Biophys. Res. Commun. 2020, 525, 699–705. [Google Scholar] [CrossRef]
- Ashary, N.; Suresh, S.; Bhide, A.; Shyamal, S.; Pranya, N.; Patil, S.; Mishra, A.; Anuradha, A.; Hansda, S.R.; Bv, H.; et al. HOXA10-TWIST2 antagonism drives partial epithelial-to-mesenchymal transition for embryo implantation. Cell Death Discov. 2025, 11, 516. [Google Scholar] [CrossRef]
- Thie, M.; Denker, H.W. In vitro studies on endometrial adhesiveness for trophoblast: Cellular dynamics in uterine epithelial cells. Cells Tissues Organs 2002, 172, 237–252. [Google Scholar] [CrossRef]
- Thie, M.; Denker, H.-W. Endometrial receptivity for trophoblast attachment: Model studies using cell lines. In Microscopy of Reproduction and Development. A Dynamic Approach; Motta, P.M., Ed.; Antonia Delfino Editore: Rome, Italy, 1997; pp. 241–249. [Google Scholar]
- Denker, H.-W. Implantation. The role of proteinases, and blockage of implantation by proteinase inhibitors. Adv. Anat. Embryol. Cell Biol. 1977, 53, 3–123. [Google Scholar] [CrossRef]
- Enders, A.C.; Schlafke, S. Implantation in the ferret: Epithelial penetration. Am. J. Anat. 1972, 133, 291–315. [Google Scholar] [CrossRef]
- Cimadomo, D.; Rienzi, L.; Conforti, A.; Forman, E.; Canosa, S.; Innocenti, F.; Poli, M.; Hynes, J.; Gemmell, L.; Vaiarelli, A.; et al. Opening the black box: Why do euploid blastocysts fail to implant? A systematic review and meta-analysis. Hum. Reprod. Update 2023, 29, 570–633. [Google Scholar] [CrossRef]
- Awonuga, A.O.; Camp, O.G.; Abu-Soud, H.M.; Rappolee, D.A.; Puscheck, E.E.; Diamond, M.P. Determinants of Embryo Implantation: Roles of the Endometrium and Embryo in Implantation Success. Reprod. Sci. 2023, 30, 2339–2348. [Google Scholar] [CrossRef] [PubMed]
- Classen-Linke, I.; Buck, V.U.; Sternberg, A.K.; Kohlen, M.T.; Izmaylova, L.; Leube, R.E. Changes in epithelial cell polarity and adhesion guide human endometrial receptivity: How in vitro systems help to untangle mechanistic details. Biomolecules 2025, 15, 1057. [Google Scholar] [CrossRef] [PubMed]
- Denker, H.-W.; Dimitriadis, E.; Salamonsen, L.A. (Eds.) Embryo Implantation: New Molecular Insights in Endometrial Receptivity, Trophoblast Invasion and Signaling. In Biomolecules; MDPI: Basel, Switzerland, 2025; Available online: https://www.mdpi.com/si/198349 (accessed on 17 December 2025).
- Jarvis, G.E. Early embryo mortality in natural human reproduction: What the data say. F1000Research 2016, 5, 2765. [Google Scholar] [CrossRef]
- Whitby, S.; Zhou, W.; Dimitriadis, E. Alterations in Epithelial Cell Polarity During Endometrial Receptivity: A Systematic Review. Front. Endocrinol. 2020, 11, 596324. [Google Scholar] [CrossRef] [PubMed]
- Sheng, G.; Thompson, E.; Newgreen, D.; Denker, H.-W. Twenty Years on for The Epithelial-Mesenchymal Transition International Association (TEMTIA): An Interview with Co-Founders Erik Thompson and Donald Newgreen. Cells Tissues Organs 2022, 211, 252–260. [Google Scholar] [CrossRef]
- Jolly, M.K.; Murphy, R.J.; Bhatia, S.; Whitfield, H.J.; Redfern, A.; Davis, M.J.; Thompson, E.W. Measuring and Modelling the Epithelial- Mesenchymal Hybrid State in Cancer: Clinical Implications. Cells Tissues Organs 2022, 211, 110–133. [Google Scholar] [CrossRef] [PubMed]
- Yao, W.; Wang, Z.; Ma, H.; Lin, Y.; Liu, X.; Li, P.; He, Y. Epithelial-Mesenchymal Plasticity (EMP) in Wound Healing: Exploring EMT Mechanisms, Regulatory Network, and Therapeutic Opportunities. Heliyon 2024, 10, e34269. [Google Scholar] [CrossRef]
- Loh, C.Y.; Chai, J.Y.; Tang, T.F.; Wong, W.F.; Sethi, G.; Shanmugam, M.K.; Chong, P.P.; Looi, C.Y. The E-Cadherin and N-Cadherin Switch in Epithelial-to-Mesenchymal Transition: Signaling, Therapeutic Implications, and Challenges. Cells 2019, 8, 1118. [Google Scholar] [CrossRef]
- Cao, Y. Lack of basic rationale in epithelial-mesenchymal transition and its related concepts. Cell Biosci. 2024, 14, 104. [Google Scholar] [CrossRef]
- Nelson, W.J. Topogenesis of plasma membrane domains in polarized epithelial cells. Curr. Opin. Cell Biol. 1989, 1, 660–668. [Google Scholar] [CrossRef]
- Rodriguez-Boulan, E.; Nelson, W.J. Morphogenesis of the polarized epithelial cell phenotype. Science 1989, 245, 718–725. [Google Scholar] [CrossRef]
- Hay, E.D. Epithelial-mesenchymal transitions. Semin. Dev. Biol. 1990, 1, 347–356. [Google Scholar]
- Hay, E.D. An overview of epithelio-mesenchymal transformation. Cells Tissues Organs 1995, 154, 8–20. [Google Scholar] [CrossRef] [PubMed]
- Hay, E.D. Extracellular matrix, cell polarity and epithelial-mesenchymal transformation. In Molecular Determinants of Animal Form Proceedings of the UCLA Symposium Held at Park City, Utah, 30 March–4 April 1985; Edelman, G.M., Ed.; Alan R. Liss, Inc.: New York, NY, USA, 1985; pp. 293–318. Available online: https://ci.nii.ac.jp/ncid/BA00570363 (accessed on 22 October 2025).
- Denker, H.-W. Implantation: Cell biology of embryo penetration route revisited. Am. J. Reprod. Immunol. 2016, 76, 429–431. [Google Scholar] [CrossRef] [PubMed]
- Enders, A.C.; Schlafke, S. Implantation in non-human primates and in the human. In Comparative Primate Biology; Alan R. Liss, Inc.: New York, NY, USA, 1986; Volume 3, pp. 291–310. [Google Scholar]
- Enders, A.C.; Meyers, S.; Vandevoort, C.A.; Douglas, G.C. Interactions of macaque blastocysts with epithelial cells in vitro. Hum. Reprod. 2005, 20, 3026–3032. [Google Scholar] [CrossRef][Green Version]
- Böving, B.G. Blastocyst-uterine relationships. Cold Spring Harb. Symp. Quant. Biol. 1954, 19, 9–28. [Google Scholar] [CrossRef]
- Böving, B.G. Anatomical analysis of rabbit trophoblast invasion. Contrib. Embryol. 1962, 37, 33–55. Available online: https://www.si.edu/object/siris_sil_1114049 (accessed on 22 October 2025).
- Enders, A.C.; Schlafke, S. Penetration of the uterine epithelium during implantation in the rabbit. Am. J. Anat. 1971, 132, 219–230. [Google Scholar] [CrossRef] [PubMed]
- Enders, A.C.; Mead, R.A. Progression of Trophoblast into the Endometrium During Implantation in the Western Spotted Skunk. Anat. Rec. 1996, 244, 297–315. [Google Scholar] [CrossRef]
- Maro, B.; Kubiak, J.; Gueth, C.; De Pennart, H.; Houliston, E.; Weber, M.; Antony, C.; Aghion, J. Cytoskeleton organization during oogenesis, fertilization and preimplantation development of the mouse. Int. J. Dev. Biol. 1990, 34, 127–137. [Google Scholar] [CrossRef]
- Chakraborty, C.; Gleeson, L.M.; McKinnon, T.; Lala, P.K. Regulation of human trophoblast migration and invasiveness. Can. J. Physiol. Pharmacol. 2002, 80, 116–124. [Google Scholar] [CrossRef] [PubMed]
- Johnson, G.A.; Minela, T.; Seo, H.; Bazer, F.W.; Burghardt, R.C.; Wu, G.; Pohler, K.G.; Stenhouse, C.; Cain, J.W.; Seekford, Z.K.; et al. Conceptus elongation, implantation, and early placental development in species with central implantation: Pigs, sheep, and cows. Biomolecules 2025, 15, 1037. [Google Scholar] [CrossRef]
- Aplin, J.D.; Haigh, T.; Jones, C.J.P.; Church, H.J.; Vicovac, L. Development of Cytotrophoblast Columns from Explated First Trimester Human Placental Villi: Role of Fibronectin and Integrin a5ß1. Biol. Reprod. 1999, 60, 828–838. [Google Scholar] [CrossRef] [PubMed]
- Johnson, G.A.; Bazer, F.W.; Seo, H. The Early Stages of Implantation and Placentation in the Pig. Adv. Anat. Embryol. Cell Biol. 2021, 234, 61–89. [Google Scholar] [CrossRef]
- Green, J.A.; Geisert, R.D.; Johnson, G.A.; Spencer, T.E. Implantation and placentation in Ruminants. In Placentation in Mammals; Geisert, R.D., Spencer, T.E., Eds.; Springer: Cham, Switzerland, 2021; Volume 234, pp. 129–154. Available online: https://link.springer.com/chapter/10.1007/978-3-030-77360-1_7.
- Thie, M.; Röspel, R.; Dettmann, W.; Benoit, M.; Ludwig, M.; Gaub, H.E.; Denker, H.-W. Interactions between trophoblast and uterine epithelium: Monitoring of adhesive forces. Hum. Reprod. 1998, 13, 3211–3219. [Google Scholar] [CrossRef]
- Wang, J.; Armant, D.R. Integrin-mediated adhesion and signaling during blastocyst implantation. Cells Tissues Organs 2002, 172, 190–201. [Google Scholar] [CrossRef] [PubMed]
- Armant, D.R.; Kaplan, H.A.; Lennarz, W.J. Fibronectin and laminin promote in vitro attachment and outgrowth of mouse blastocysts. Dev. Biol. 1986, 116, 519–523. [Google Scholar] [CrossRef]
- Armant, D.R. Blastocyst culture. Methods Mol. Med. 2006, 121, 35–56. [Google Scholar] [PubMed]
- Enders, A.C.; Chávez, D.J.; Schlafke, S. Comparison of implantation in utero and in vitro. In Cellular and Molecular Aspects of Implantation; Glasser, S.R., Bullock, D.W., Eds.; Plenum Press: New York, NY, USA; London, UK, 1981; pp. 365–382. [Google Scholar] [CrossRef]
- Kirby, D.R. Ectopic autografts of blastocysts in mice maintained in delayed implantation. Reproduction 1967, 14, 515–517. [Google Scholar] [CrossRef] [PubMed]
- Kirby, D.R.S. The role of the uterus in the early stages of mouse development. In Ciba Foundation Symposium: Preimplantation Stages of Development; Wolstenholme, G.E.W., O’Connor, M., Eds.; Churchill: London, UK, 1965; pp. 325–344. [Google Scholar] [CrossRef]
- Kirby, D.R.S. The extra-uterine mouse egg as an experimental model. In Schering Symposium on Mechanisms Involved in Conception; Raspé, G., Ed.; Pergamon Press/Vieweg: Oxford, UK, 1970; Volume 4, pp. 255–273. Available online: https://books.google.de/books/about/4_Advances_in_the_Biosciences.html?id=Ut6C0AEACAAJ&redir_esc=y (accessed on 22 October 2025).
- Porter, D.G. Observations on the development of mouse blastocytes transferred to the testis and kidney. Am. J. Anat. 1967, 121, 73–86. [Google Scholar] [CrossRef]
- Dantzer, V. Electron microscopy of the initial stages of placentation in the pig. Anat. Embryol. 1985, 172, 281–293. [Google Scholar] [CrossRef]
- Keys, J.L.; King, G.J. Microscopic examination of porcine conceptus-maternal interface between days 10 and 19 of pregnancy. Am. J. Anat. 1990, 188, 221–238. [Google Scholar] [CrossRef]
- Kuzan, F.B.; Wright, R.W.j. Attachment of porcine blastocysts to fibroblast monolayers. Theriogenology 1981, 16, 651–658. [Google Scholar] [CrossRef]
- Samuel, C.A.; Perry, J.S. The ultrastructure of pig trophoblast transplanted to an ectopic site in the uterine wall. J. Anat. 1972, 113, 139–149. [Google Scholar] [PubMed]
- Johnson, G.A.; Burghardt, R.C.; Bazer, F.W.; Seo, H.; Cain, J.W. Integrins and their potential roles in mammalian pregnancy. J. Anim. Sci. Biotechnol. 2023, 14, 115. [Google Scholar] [CrossRef] [PubMed]
- Hohn, H.-P.; Linke, M.; Ugele, B.; Denker, H.-W. Differentiation markers and invasiveness: Discordant regulation in normal trophoblast and choriocarcinoma cells. Exp. Cell Res. 1998, 244, 249–258. [Google Scholar] [CrossRef]
- Hohn, H.-P.; Denker, H.-W. Experimental modulation of cell-cell adhesion, invasiveness and differentiation in trophoblast cells. Cells Tissues Organs 2002, 172, 218–236. [Google Scholar] [CrossRef]
- Vicovac, L.; Aplin, J.D. Epithelial-mesenchymal transition during trophoblast differentiation. Cells Tissues Organs 1996, 156, 202–216. [Google Scholar] [CrossRef]
- Hohn, H.-P.; Linke, M.; Denker, H.-W. Adhesion of trophoblast to uterine epithelium as related to the state of trophoblast differentiation: In vitro studies using cell lines. Mol. Reprod. Dev. 2000, 57, 135–145. [Google Scholar] [CrossRef]
- Grümmer, R.; Hohn, H.P.; Mareel, M.M.; Denker, H.-W. Adhesion and invasion of three human choriocarcinoma cell lines into human endometrium in a three-dimensional organ culture system. Placenta 1994, 15, 411–429. [Google Scholar] [CrossRef]
- Hohn, H.-P.; Donner, A.J.; Denker, H.-W. Endometrial receptivity: Selective adhesion competence of rabbit uterine epithelium for trophoblast but not for various tumor cells. Cells Tissues Organs 2003, 173, 204–216. [Google Scholar] [CrossRef]
- Liu, L.; Tang, L.; Chen, S.; Zheng, L.; Ma, X. Decoding the molecular pathways governing trophoblast migration and placental development: A literature review. Front. Endocrinol. 2024, 15, 1486608. [Google Scholar] [CrossRef] [PubMed]
- Jena, S.K.; Das, S.; Chakraborty, S.; Ain, R. Molecular determinants of epithelial mesenchymal transition in mouse placenta and trophoblast stem cell. Sci. Rep. 2023, 13, 10978. [Google Scholar] [CrossRef] [PubMed]
- Logsdon, D.M.; Ming, H.; Ezashi, T.; West, R.C.; Schoolcraft, W.B.; Roberts, R.M.; Jiang, Z.; Yuan, Y. Transcriptome comparisons of trophoblasts from regenerative cell models with peri-implantation human embryos. Biol. Reprod. 2024, 111, 1000–1016. [Google Scholar] [CrossRef]
- Luan, X.; Zhai, J.; Li, S.; Du, Y. Downregulation of FHL2 suppressed trophoblast migration, invasion and epithelial-mesenchymal transition in recurrent miscarriage. Reprod. Biomed. Online 2024, 48, 103342. [Google Scholar] [CrossRef]
- Rong, L.; Xiang, L.; Ai, Z.; Niu, B.; Wang, Y.; Yin, Y.; Feng, C.; Shi, G.; Chen, T.; Yang, J.; et al. The impact of dynamic caudal type homeobox 2 expression on the differentiation of human trophoblast lineage during implantation. Cell Prolif. 2024, 57, e13729. [Google Scholar] [CrossRef]
- Ackerman, W.E., IV; Rigo, M.M.; DaSilva-Arnold, S.C.; Do, C.; Tariq, M.; Salas, M.; Castano, A.; Zamudio, S.; Tycko, B.; Illsley, N.P. Epigenetic Changes Regulating Epithelial-Mesenchymal Plasticity in Human Trophoblast Differentiation. Cells 2025, 14, 970. [Google Scholar] [CrossRef] [PubMed]
- Wessel, B.M.; Castro, J.N.; Roberts, V.H.J. Trophoblast Organoids: Capturing the Complexity of Early Placental Development In Vitro. Organoids 2024, 3, 174–193. [Google Scholar] [CrossRef]
- Siriwardena, D.; Munger, C.; Penfold, C.; Kohler, T.N.; Weberling, A.; Linneberg-Agerholm, M.; Slatery, E.; Ellermann, A.L.; Bergmann, S.; Clark, S.J.; et al. Marmoset and human trophoblast stem cells differ in signaling requirements and recapitulate divergent modes of trophoblast invasion. Cell Stem Cell 2024, 31, 1427–1446.e8. [Google Scholar] [CrossRef]
- Vélez-Aviléz, A.N.; Abel, A.; Bergmann, J.; Cevik, E.C.; Zhong, L.; Taylor, H.S.; Sozen, B. Endometrial and implantation modeling utilizing a high-throughput 3D spheroid generation system. Fertil. Steril. 2024, 122, e365. [Google Scholar] [CrossRef]
- Munsie, M.; Findlay, J.K. 3D Models of Implantation Using Human Stem Cells: Scientific Insights, Ethical & Regulatory Considerations. Biomolecules 2025, 15, 1023. [Google Scholar] [CrossRef]
- Shibata, S.; Arima, T. Recapitulating human embryo implantation in vitro using stem cells and organoids. Transl. Regul. Sci. 2024, 6, 68–71. [Google Scholar] [CrossRef]
- Lewis, J.; Holm, S. Manipulating Embryogenesis and Testing for Potential: Two Real Problems for the Regulation of Stem Cell-based Embryo Models. J. Med. Ethics 2025. [Google Scholar] [CrossRef] [PubMed]
- Denker, H.-W. Embryoids, models, embryos? We need to take a new look at legal norms concerning the beginning of organismic development. Mol. Hum. Reprod. 2023, 30, gaad047. [Google Scholar] [CrossRef]
- Denker, H.-W. Stem cell-derived organoids, embryoids, and embryos: Advances in organismic development in vitro force us to re-focus on ethical and legal aspects of model choice. Organoids 2023, 2, 231–238. [Google Scholar] [CrossRef]
- Denker, H.-W. Potentiality of embryonic stem cells: An ethical problem even with alternative stem cell sources. J. Med. Ethics 2006, 32, 665–671. [Google Scholar] [CrossRef] [PubMed]
- Fueyo, R.; Wang, S.; Crocker, O.J.; Swigut, T.; Nakauchi, H.; Wysocka, J. A human-specific regulatory mechanism revealed in a pre-implantation model. Nature 2025, 647, 238–247. [Google Scholar] [CrossRef] [PubMed]
- Clark, A.T.; Cook-Andersen, H.; Franklin, S.; Isasi, R.; Mathews, D.J.H.; Pasque, V.; Rugg-Gunn, P.J.; Tam, P.P.L.; Wang, H.; Zylicz, J.J.; et al. Stem cell-based embryo models: The 2021 ISSCR stem cell guidelines revisited. Stem Cell Rep. 2025, 20, 102514. [Google Scholar] [CrossRef] [PubMed]
- Iyer, D.P.; Khoei, H.H.; van der Weijden, V.A.; Kagawa, H.; Pradhan, S.J.; Novatchkova, M.; McCarthy, A.; Rayon, T.; Simon, C.S.; Dunkel, I.; et al. mTOR activity paces human blastocyst stage developmental progression. Cell 2024, 187, 6566–6583.e22. [Google Scholar] [CrossRef]
- Johnson, G.A.; Bazer, F.W.; Burghardt, R.C.; Wu, G.; Seo, H.; Kramer, A.C.; McLendon, B.A. Cellular events during ovine implantation and impact for gestation. Anim. Reprod. 2018, 15, 843–855. [Google Scholar] [CrossRef]
- Psychoyos, A. The implantation window: Basic and clinical aspects. In Perspectives on Assisted Reproduction Volume, 4th ed.; Mori, T., Aono, T., Tominaga, T., Hiroi, M., Eds.; Ares-Serono Symposia Publications: Rome, Italy, 1994; pp. 57–63. Available online: https://books.google.de/books/about/Perspectives_on_Assisted_Reproduction.html?id=xfYhAQAAMAAJ&redir_esc=y (accessed on 22 October 2025).
- Li, S.Y.; DeMayo, F.J. Revolutionizing Implantation Studies: Uterine-Specific Models and Advanced Technologies. Biomolecules 2025, 15, 450. [Google Scholar] [CrossRef]
- Gebril, M.; Hirota, Y.; Aikawa, S.; Fukui, Y.; Kaku, T.; Matsuo, M.; Hirata, T.; Akaeda, S.; Hiraoka, T.; Shimizu-Hirota, R.; et al. Uterine Epithelial Progesterone Receptor Governs Uterine Receptivity Through Epithelial Cell Differentiation. Endocrinology 2020, 161, bqaa195. [Google Scholar] [CrossRef]
- DeMayo, F.J.; Lydon, J.P. 90 Years of progesterone: New insights into progesterone receptor signaling in the endometrium required for embryo implantation. J. Mol. Endocrinol. 2020, 65, T1–T14. [Google Scholar] [CrossRef]
- Ye, L.; Dimitriadis, E. Endometrial Receptivity-Lessons from “Omics”. Biomolecules 2025, 15, 106. [Google Scholar] [CrossRef]
- Cowell, T.P. Implantation and development of mouse eggs transferred to the uteri of non-progestational mice. Reproduction 1969, 19, 239–245. [Google Scholar] [CrossRef]
- Macklon, N.S.; Brosens, J.J. The human endometrium as a sensor of embryo quality. Biol. Reprod. 2014, 91, 98. [Google Scholar] [CrossRef]
- Denker, H.-W. Endometrial receptivity: Cell biological aspects of an unusual epithelium. A review. Ann. Anat. 1994, 176, 53–60. [Google Scholar] [CrossRef] [PubMed]
- Tutton, D.A.; Carr, D.H. The fate of trophoblast retained within the oviduct in the mouse. Gynecol. Obstet. Investig. 1984, 17, 18–24. [Google Scholar] [CrossRef] [PubMed]
- Pauerstein, C.J.; Eddy, C.A.; Koong, M.K.; Moore, G.D. Rabbit endosalpinx suppresses ectopic implantation. Fertil. Steril. 1990, 54, 522–526. [Google Scholar] [CrossRef] [PubMed]
- Denker, H.-W.; Thie, M. The regulatory function of the uterine epithelium for trophoblast attachment: Experimental approaches. Ital. J. Anat. Embryol. 2001, 106, 291–306. Available online: https://hwdenker.de/PDF%20Dokumente/2001_Denker_Thie_Ital-J-Anat-Embryol.pdf (accessed on 22 October 2025).
- Lejeune, B.; Van Hoeck, J.; Leroy, F. Transmitter role of the luminal uterine epithelium in the induction of decidualization in rats. J. Reprod. Fertil. 1981, 61, 235–240. [Google Scholar] [CrossRef]
- Cunha, G.R.; Chung, L.W.; Shannon, J.M.; Taguchi, O.; Fujii, H. Hormone-induced morphogenesis and growth: Role of mesenchymal-epithelial interactions. Recent. Prog. Horm. Res. 1983, 39, 559–598. [Google Scholar] [PubMed]
- Glasser, S.R.; McCormack, S.A. Estrogen-modulated uterine gene transcription in relation to decidualization. Endocrinology 1979, 104, 1112–1118. [Google Scholar] [CrossRef]
- Glasser, S.R.; Julian, J.; Mulholland, J.; Mani, S.; Carson, D.D.; Jacobs, A.L. In vitro implantation on polarized uterine epithelia. In Early Embryo Development and Paracrine Relationships; Alan R. Liss, Inc.: New York, NY, USA, 1990; pp. 153–167. [Google Scholar]
- Glasser, S.R.; Julian, J.; Decker, G.L.; Tang, J.-P.; Carson, D.D. Development of morphological and functional polarity in primary cultures of immature rat uterine epithelial cells. J. Cell Biol. 1988, 107, 2409–2423. [Google Scholar] [CrossRef]
- Glasser, S.R.; Mulholland, J. Receptivity is a polarity dependent special function of hormonally regulated uterine epithelial cells. Microsc. Res. Tech. 1993, 25, 106–120. [Google Scholar] [CrossRef] [PubMed]
- Glasser, S.R.; Mani, S.K.; Mulholland, J.; Strauss, J.F. In vitro models of implantation. In Uterine and Embryonic Factors in Early Pregnancy; Lyttle, C.R., III, Ed.; Plenum Press: New York, NY, USA, 1991; pp. 33–50. [Google Scholar] [CrossRef]
- Denker, H.-W. Enzym-Topochemie von Frühentwicklung und Implantation des Kaninchens. III. Proteasen. [Enzyme topochemistry of the early development and implantation in the rabbit. 3. Proteases]. Histochemie 1971, 25, 344–360. [Google Scholar] [CrossRef] [PubMed]
- Denker, H.-W. Topochemie hochmolekularer Kohlenhydratsubstanzen in Frühentwicklung und Implantation des Kaninchens. I. Allgemeine Lokalisierung und Charakterisierung hochmolekularer Kohlenhydratsubstanzen in frühen Embryonalstadien. Zool. Jahrb. Abt. Allgem. Zool. Physiol. 1970, 75, 141–245. Available online: https://hwdenker.de/PDF%20Dokumente/Denker_1970_Topochemie_I_Zool_Jb.pdf (accessed on 22 October 2025).
- Denker, H.-W. Enzym-Topochemie von Frühentwicklung und Implantation des Kaninchens. II. Glykosidasen. [Enzyme topochemistry of the early development and implantation in the rabbit. II. Glycosidases]. Histochemie 1971, 25, 268–285. [Google Scholar] [CrossRef]
- Denker, H.-W. Topochemie hochmolekularer Kohlenhydratsubstanzen in Frühentwicklung und Implantation des Kaninchens. II. Beiträge zu entwicklungsphysiologischen Fragestellungen. Zool. Jahrb. Abt. Allgem. Zool. Physiol. 1970, 75, 246–308. Available online: https://hwdenker.de/PDF%20Dokumente/Denker_1970_Topochemie_II_Zool_Jb.pdf (accessed on 22 October 2025).
- Denker, H.-W. Structural dynamics and function of early embryonic coats. Cells Tissues Organs 2000, 166, 180–207. [Google Scholar] [CrossRef]
- Aplin, J.D.; Meseguer, M.; Simon, C.; Ortiz, M.E.; Croxatto, H.; Jones, C.J. MUC1, glycans and the cell-surface barrier to embryo implantation. Biochem. Soc. Trans. 2001, 29, 153–156. [Google Scholar] [CrossRef] [PubMed]
- Heng, S.; Samarajeewa, N.; Aberkane, A.; Essahib, W.; Van de Velde, H.; Scelwyn, M.; Hull, M.L.; Vollenhoven, B.; Rombauts, L.J.; Nie, G. Podocalyxin inhibits human embryo implantation in vitro and luminal podocalyxin in putative receptive endometrium is associated with implantation failure in fertility treatment. Fertil. Steril. 2021, 116, 1391–1401. [Google Scholar] [CrossRef] [PubMed]
- Heng, S.; Samarajeewa, N.; Wang, Y.; Paule, S.G.; Breen, J.; Nie, G. Podocalyxin promotes an impermeable epithelium and inhibits pro-implantation factors to negatively regulate endometrial receptivity. Sci. Rep. 2021, 11, 24016. [Google Scholar] [CrossRef]
- Chervenak, J.L.; Illsley, N.P. Episialin acts as an antiadhesive factor in an in vitro model of human endometrial-blastocyst attachment. Biol. Reprod. 2000, 63, 294–300. [Google Scholar] [CrossRef]
- Meinshausen, E.; Denker, H.-W. Entwicklungsleistungen von Kaninchenembryonen trotz Hemmung der Anheftung in utero. Verh. Anat. Ges. 1983, 77, 421–423. Available online: https://hwdenker.de/PDF%20Dokumente/Meinshausen%20u%20Denker%201983.pdf (accessed on 22 October 2025).
- Denker, H.-W.; Meinshausen, E. Continued differentiation of mammalian embryos in utero after blockage of implantation. In Proceedings of the XVth EDBO International Embryological Conference, Strasbourg, France, 21–25 June 1982; p. 22. Available online: http://hwdenker.de/PDF%20Dokumente/1982_Poster_Denker_Meinshausen.pdf (accessed on 17 December 2025).
- Denker, H.-W.; Hohn, H.-P.; Bükers, A. Investigations on the cell biology of embryo implantation. In Reproductive Biology and Medicine; Holstein, A.F., Voigt, K.D., Grässlin, D., Eds.; Diesbach Verlag: Berlin, Germany, 1989; pp. 224–238. Available online: https://hwdenker.de/PDF%20Dokumente/InvestigationsCellBiolEmbryoImplant.pdf (accessed on 22 October 2025).
- Denker, H.-W.; Fritz, H. Enzymic characterization of rabbit blastocyst proteinase with synthetic substrates of trypsin-like enzymes. Hoppe Seylers Z. Physiol. Chem. 1979, 360, 107–113. [Google Scholar] [CrossRef] [PubMed]
- Mintz, B. Implantation-initiating factor from mouse uterus. In Biology of Mammalian Fertilization and Implantation; Moghissi, K.S., Hafez, E.S.E., Eds.; Charles C. Thomas: Springfield, IL, USA, 1972; pp. 343–356. Available online: https://books.google.de/books/about/Biology_of_Mammalian_Fertilizationand_Im.html?id=bfQA0QEACAAJ&redir_esc=y (accessed on 22 October 2025).
- Pinsker, M.C.; Sacco, A.G.; Mintz, B. Implantation-associated proteinase in mouse uterine fluid. Dev. Biol. 1974, 38, 285–290. [Google Scholar] [CrossRef]
- Salamonsen, L.A.; Nie, G. Proteases at the endometrial-trophoblast interface: Their role in implantation. Rev. Endocr. Metab. Disord. 2002, 3, 133–143. [Google Scholar] [CrossRef]
- Hiden, U.; Eyth, C.P.; Majali-Martinez, A.; Desoye, G.; Tam-Amersdorfer, C.; Huppertz, B.; Ghaffari Tabrizi-Wizsy, N. Expression of matrix metalloproteinase 12 is highly specific for non-proliferating invasive trophoblasts in the first trimester and temporally regulated by oxygen-dependent mechanisms including HIF-1A. Histochem. Cell Biol. 2018, 149, 31–42. [Google Scholar] [CrossRef]
- Denker, H.-W. Self-Organization of Stem Cell Colonies and of Early Mammalian Embryos: Recent Experiments Shed New Light on the Role of Autonomy vs. External Instructions in Basic Body Plan Development. Cells 2016, 5, E39. [Google Scholar] [CrossRef]
- Nelson, W.J. Adaptation of core mechanisms to generate cell polarity. Nature 2003, 422, 766–774. [Google Scholar] [CrossRef]
- Denker, H.-W. Basic aspects of ovoimplantation. Obstet. Gynecol. Annu. 1983, 12, 15–42. Available online: https://hwdenker.de/PDF%20Dokumente/Denker_1983_BasicAspects.pdf (accessed on 22 October 2025). [PubMed]
- Amarnath, S.; Agarwala, S. Cell-cycle-dependent TGFbeta-BMP antagonism regulates neural tube closure by modulating tight junctions. J. Cell Sci. 2017, 130, 119–131. [Google Scholar] [PubMed]
- Chaturvedi, V.; Murray, M.J. Netrins: Evolutionarily Conserved Regulators of Epithelial Fusion and Closure in Development and Wound Healing. Cells Tissues Organs 2022, 211, 193–211. [Google Scholar] [CrossRef]
- Christodoulou, N.; Skourides, P.A. Distinct spatiotemporal contribution of morphogenetic events and mechanical tissue coupling during Xenopus neural tube closure. Development 2022, 149, dev200358. [Google Scholar] [CrossRef]
- Morse, D.E.; Rogers, C.S.; Gattone, V.H. Scanning electron microscopy of embryonic fusion processes. In Three Dimensional Microanatomy of Cells and Tissue Surfaces; Allen, D.J., Motta, P.M., Didio, L.J.A., Eds.; Elsevier North Holland, Inc.: New York, NY, USA, 1981; pp. 217–235. [Google Scholar] [CrossRef]
- Silver, M.H.; Kerns, J.M. Ultrastructure of neural fold fusion in chick embryos. Scanning Electron. Microsc. 1978, 11, 209–216. [Google Scholar]
- Mak, L.L. Ultrastructural studies of amphibian neural fold fusion. Dev. Biol. 1978, 65, 435–446. [Google Scholar] [CrossRef]
- Newgreen, D.; Gibbins, I. Factors controlling the time of onset of the migration of neural crest cells in the fowl embryo. Cell Tissue Res. 1982, 224, 145–160. [Google Scholar] [CrossRef]
- Schoenwolf, G.C. Observations on closure if the neuropores in the chick embryo. Am. J. Anat. 1979, 155, 445–466. [Google Scholar] [CrossRef]
- Schoenwolf, G.C. On the morphogenesis of the early rudiments of the developing central nervous system. Scan Electron. Microsc. 1982, 289–308. [Google Scholar] [PubMed]
- Waterman, R.E. SEM observations of surface alterations associated with neural tube closure in the mouse and hamster. Anat. Rec. 1975, 183, 95–98. [Google Scholar] [CrossRef] [PubMed]
- Hathaway, H.J.; Shur, B.D. Cell surface beta 1,4-galactosyltransferase functions during neural crest cell migration and neurulation in vivo. J. Cell Biol. 1992, 117, 369–382. [Google Scholar] [CrossRef] [PubMed]
- van Straaten, H.W.M.; Janssen, H.C.J.P.; Peeters, M.C.E.; Copp, A.J.; Hekking, J.W.M. Neural Tube Closure in the Chick Embryo Is Multiphasic. Dev. Dyn. 1996, 207, 309–318. [Google Scholar] [CrossRef]
- Li, B.; Brusman, L.; Dahlka, J.; Niswander, L.A. TMEM132A ensures mouse caudal neural tube closure and regulates integrin-based mesodermal migration. Development 2022, 149, dev200442. [Google Scholar] [CrossRef]
- Miner, J.H.; Cunningham, J.; Sanes, J.R. Roles for laminin in embryogenesis: Exencephaly, syndactyly, and placentopathy in mice lacking the laminin alpha5 chain. J. Cell Biol. 1998, 143, 1713–1723. [Google Scholar] [CrossRef]
- Carpinelli, M.R.; de Vries, M.E.; Auden, A.; Butt, T.; Deng, Z.; Partridge, D.D.; Miles, L.B.; Georgy, S.R.; Haigh, J.J.; Darido, C.; et al. Inactivation of Zeb1 in GRHL2-deficient mouse embryos rescues mid-gestation viability and secondary palate closure. Dis. Model. Mech. 2020, 13, dmm042218. [Google Scholar] [CrossRef] [PubMed]
- Eom, D.S.; Amarnath, S.; Agarwala, S. Apicobasal polarity and neural tube closure. Dev. Growth Differ. 2013, 55, 164–172. [Google Scholar] [CrossRef] [PubMed]
- Kimura-Yoshida, C.; Mochida, K.; Matsuno, C.; Kano, K.; Mishiro-Sato, E.; Matsuo, I. EMG1 cooperates with GRHL3 in beta-catenin-mediated surface ectoderm differentiation to regulate neural tube closure. Development 2025, 152, dev204700. [Google Scholar] [CrossRef]
- Brigande, J.V.; Iten, L.E.; Fekete, D.M. A fate map of chick otic cup closure reveals lineage boundaries in the dorsal otocyst. Dev. Biol. 2000, 227, 256–270. [Google Scholar] [CrossRef]
- O’Rahilly, R. The Early Development of the Otic Vesicle in Staged Human Embryos. J. Embryol. Exp. Morphol. 1963, 11, 741–755. [Google Scholar] [CrossRef]
- Lillevali, K.; Haugas, M.; Matilainen, T.; Pussinen, C.; Karis, A.; Salminen, M. Gata3 is required for early morphogenesis and Fgf10 expression during otic development. Mech. Dev. 2006, 123, 415–429. [Google Scholar] [CrossRef]
- Waterman, R.E.; Bell, D.H. Epithelial fusion during early semicircular canal formation in the embryonic zebrafish, Brachydanio rerio. Anat. Rec. 1984, 210, 101–114. [Google Scholar] [CrossRef] [PubMed]
- Kobayashi, Y.; Nakamura, H.; Funahashi, J. Epithelial-mesenchymal transition as a possible mechanism of semicircular canal morphogenesis in chick inner ear. Tohoku J. Exp. Med. 2008, 215, 207–217. [Google Scholar] [CrossRef]
- Mori, Y.; Smith, S.; Wang, J.; Eliora, N.; Heikes, K.L.; Munjal, A. Versican controlled by Lmx1b regulates hyaluronate density and hydration for semicircular canal morphogenesis. Development 2025, 152, dev203003. [Google Scholar] [CrossRef]
- Barishak, Y.R. Embryology of the eye and its adnexae. Dev. Ophthalmol. 1992, 24, 1–142. [Google Scholar] [PubMed]
- Oltean, A.; Taber, L.A. Apoptosis generates mechanical forces that close the lens vesicle in the chick embryo. Phys. Biol. 2018, 15, 025001. [Google Scholar] [CrossRef] [PubMed]
- Herstine, J.A.; Mensh, J.; Coffman, E.; George, S.M.; Herman, K.; Martin, J.B.; Zatari, A.; Chandler, H.L.; Kozmik, Z.; Drysdale, T.A.; et al. Shroom3 facilitates optic fissure closure via tissue alignment and reestablishment of apical-basal polarity during epithelial fusion. Dev. Biol. 2025, 522, 91–105. [Google Scholar] [CrossRef]
- Grimes, P.A.; Koeberlein, B.; Favor, J.; Neuhauser-Klaus, A.; Stambolian, D. Abnormal eye development associated with Cat4a, a dominant mouse cataract mutation on chromosome 8. Investig. Ophthalmol. Vis. Sci. 1998, 39, 1863–1869. [Google Scholar] [PubMed]
- Stump, R.J.; Ang, S.; Chen, Y.; von Bahr, T.; Lovicu, F.J.; Pinson, K.; de Iongh, R.U.; Yamaguchi, T.P.; Sassoon, D.A.; McAvoy, J.W. A role for Wnt/beta-catenin signaling in lens epithelial differentiation. Dev. Biol. 2003, 259, 48–61. [Google Scholar] [CrossRef] [PubMed][Green Version]
- Ghassibe-Sabbagh, M.; El Hajj, J.; Al Saneh, M.; El Baba, N.; Abou Issa, J.; Al Haddad, M.; El Atat, O.; Sabbagh, J.; Abou Chebel, N.; El-Sibai, M. Altered regulation of cell migration in IRF6-mutated orofacial cleft patients-derived primary cells reveals a novel role of Rho GTPases in cleft/lip palate development. Cells Dev. 2021, 166, 203674. [Google Scholar] [CrossRef]
- Greene, R.M.; Pratt, R.M. Developmental aspects of secondary palate formation. J. Embryol. Exp. Morphol. 1976, 36, 225–245. [Google Scholar] [CrossRef]
- Fitchett, J.E.; Hay, E.D. Medial edge epithelium transforms to mesenchyme after embryonic palatal shelves fuse. Dev. Biol. 1989, 131, 455–474. [Google Scholar] [CrossRef]
- Abbott, B.D.; Pratt, R.M. Retinoic acid alters epithelial differentiation during palatogenesis. J. Craniofac. Genet. Dev. Biol. 1991, 11, 315–325. [Google Scholar] [PubMed]
- Griffith, C.M.; Hay, E.D. Epithelial-mesenchymal transformation during palatal fusion: Carboxyfluorescein traces cells at light and electron microscopic levels. Development 1992, 116, 1087–1099. [Google Scholar] [CrossRef]
- Slavkin, H.C. Morphogenesis of a complex organ: Vertebrate palate development. Curr. Top. Dev. Biol. 1984, 19, 1–16. [Google Scholar] [CrossRef] [PubMed]
- Shah, R.M. Morphological, cellular, and biochemical aspects of differentiation of normal and teratogen-treated palate in hamster and chick embryos. Curr. Top. Dev. Biol. 1984, 19, 103–135. [Google Scholar] [CrossRef]
- Gehris, A.L.; Greene, R.M. Regulation of murine embryonic epithelial cell differentiation by transforming growth factors beta. Differentiation 1992, 49, 167–173. [Google Scholar] [CrossRef]
- Ma, L.; Shi, B.; Zheng, Q. Cell Polarity and PAR Complex Likely to Be Involved in Dexamethasone-Induced Cleft Palate. J. Craniofacial Surg. 2018, 29, 260–263. [Google Scholar] [CrossRef]
- Hammond, N.L.; Dixon, J.; Dixon, M.J. Periderm: Life-cycle and function during orofacial and epidermal development. Semin. Cell Dev. Biol. 2019, 91, 75–83. [Google Scholar] [CrossRef]
- Hay, E.D. The mesenchymal cell, its role in the embryo, and the remarkable signaling mechanisms that create it. Dev. Dyn. 2005, 233, 706–720. [Google Scholar] [CrossRef]
- Aoki, M.; Nakajima, A.; Fukumashi, N.; Okuma, R.; Motoyoshi, M.; Shuler, C.F. Function of Transforming Growth Factor beta2 and beta3 in Palatogenesis. Cells Tissues Organs 2025, 214, 351–365. [Google Scholar] [CrossRef]
- Chaung, J.Q.; Sundar, G.; Ali, M.J. Congenital lacrimal fistula: A major review. Orbit 2016, 35, 212–220. [Google Scholar] [CrossRef] [PubMed]
- Welham, R.A.; Bates, A.K.; Stasior, G.O. Congenital lacrimal fistula. Eye 1992, 6, 211–214. [Google Scholar] [CrossRef] [PubMed]
- Gaare, J.D.; Langman, J. Fusion of nasal swellings in the mouse embryo: Surface coat and initial contact. Am. J. Anat. 1977, 150, 461–475. [Google Scholar] [CrossRef]
- Alles, A.J.; Losty, P.D.; Donahoe, P.K.; Manganaro, T.F.; Schnitzer, J.J. Embryonic cell death patterns associated with nitrofen-induced congenital diaphragmatic hernia. J. Pediatr. Surg. 1995, 30, 353–358; discussion 359–360. [Google Scholar] [CrossRef]
- Gilbert, R.M.; Schappell, L.E.; Gleghorn, J.P. Defective mesothelium and limited physical space are drivers of dysregulated lung development in a genetic model of congenital diaphragmatic hernia. Development 2021, 148, dev199460. [Google Scholar] [CrossRef]
- Sizarov, A.; Lamers, W.H.; Mohun, T.J.; Brown, N.A.; Anderson, R.H.; Moorman, A.F. Three-dimensional and molecular analysis of the arterial pole of the developing human heart. Am. J. Anat. 2012, 220, 336–349. [Google Scholar] [CrossRef]
- Burroughs, C.L.; Watanabe, M.; Morse, D.E. Distribution of the neural cell adhesion molecule (NCAM) during heart development. J. Mol. Cell. Cardiol. 1991, 23, 1411–1422. [Google Scholar] [CrossRef]
- Hay, D.A. Development and fusion of the endocardial cushions. Birth Defects Orig. Artic. Ser. 1978, 14, 69–90. [Google Scholar] [PubMed]
- Hay, D.A.; Low, F.N. The fusion of dorsal and ventral endocardial cushions in the embryonic chick heart: A study in fine structure. Am. J. Anat. 1972, 133, 1–23. [Google Scholar] [CrossRef]
- Los, J.A.; van Eijndthoven, E. The fusion of the endocardial cushions in the heart of the chick embryo. A light-microscopical and electron-microscopical study. Z. Anat. Entwicklungsgesch 1973, 141, 55–75. [Google Scholar] [CrossRef] [PubMed]
- Potts, J.D.; Vincent, E.B.; Runyan, R.B.; Weeks, D.L. Sense and antisense TGFb3 mRNA levels correlate with cardiac valve induction. Dev. Dyn. 1992, 193, 340–345. [Google Scholar] [CrossRef] [PubMed]
- Soto-Navarrete, M.T.; Pozo-Vilumbrales, B.; Lopez-Unzu, M.A.; Martin-Chaves, L.; Duran, A.C.; Fernandez, B. Endocardial-to-mesenchymal transition underlies cardiac outflow tract septation and bicuspid aortic valve formation in the Syrian hamster model. Sci. Rep. 2025, 15, 8583. [Google Scholar] [CrossRef] [PubMed]
- Anderson, R.H.; Spicer, D.E.; Brown, N.A.; Mohun, T.J. The development of septation in the four-chambered heart. Anat. Rec. 2014, 297, 1414–1429. [Google Scholar] [CrossRef] [PubMed]
- Nawshad, A.; Lagamba, D.; Polad, A.; Hay, E.D. Transforming growth factor-beta signaling during epithelial-mesenchymal transformation: Implications for embryogenesis and tumor metastasis. Cells Tissues Organs 2005, 179, 11–23. [Google Scholar] [CrossRef] [PubMed]
- de Vries, M.E.; Carpinelli, M.R.; Fuller, J.N.; Sutton, Y.; Partridge, D.D.; Auden, A.; Anderson, P.J.; Jane, S.M.; Dworkin, S. Grainyhead-like 2 interacts with noggin to regulate tissue fusion in mouse. Development 2024, 151, dev202420. [Google Scholar] [CrossRef]
- de Ridder, L.; Mareel, M.; Vakaet, L. Invasion of malignant cells into cultured embryonic substrates. Arch. Geschwulstforsch 1977, 47, 7–27. Available online: https://biblio.ugent.be/publication/150501 (accessed on 22 December 2025).
- Cell Tissue and Organ Culture Study Group (C.T.O.C.). Program In Proceedings of the XXIV Annual Meeting of the Cell, Tissue and Organ Culture Study Group (C.T.O.C.), Affiliated with the International Union Against Cancer (U.I.C.C.), with Special Seminars on Models for Invasion and Metastasis and the Cell Biology of Trophoblast Invasion In Vivo and In Vitro, Heidelberg, Germany. Available online: http://hwdenker.de/PDF%20Dokumente/Workshops/Heidelberg_1986_Program_CTOC_Meeting_kompr.pdf (accessed on 17 December 2025).
- Denker, H.-W.; Aplin, J.D. (Eds.) Trophoblast Invasion and Endometrial Receptivity. Novel Aspects of the Cell Biology of Embryo Implantation; Plenum Medical Book Company (Now: Springer): New York, NY, USA; London, UK, 1990; Volume 4. [Google Scholar] [CrossRef]
- Winterhager, E.; Denker, H.-W. Changes in lipid organization of uterine epithelial cell membranes at implantation in the rabbit. In Trophoblast Invasion and Endometrial Receptivity. Novel Aspects of the Cell Biology of Embryo Implantation; Denker, H.-W., Aplin, J.D., Eds.; Plenum Medical Book Comp./Springer: New York, NY, USA; London, UK, 1990; Volume 4, pp. 323–338. [Google Scholar] [CrossRef]
- Peng, M.; He, J.; Liu, X.; Mu, X.; Yin, X.; Liu, T.; Chen, X.; Gao, R.; Wang, Y.; Feng, Q.; et al. Rictor stability mediated by USP9X regulates embryo implantation by participating in lipid metabolism of endometrium. Biol. Reprod. 2025, 113, 642–656. [Google Scholar] [CrossRef]
- Classen-Linke, I.; Denker, H.W.; Winterhager, E. Apical plasma membrane-bound enzymes of rabbit uterine epithelium. Pattern changes during the periimplantation phase. Histochemistry 1987, 87, 517–529. [Google Scholar] [CrossRef] [PubMed]
- Classen-Linke, I.; Denker, H.-W. Preparation of rabbit uterine epithelium for trophoblast attachment: Histochemical changes in the apical and lateral membrane compartment. In Trophoblast Invasion and Endometrial Receptivity. Novel Aspects of the Cell Biology of Embryo Implantation; Denker, H.-W., Aplin, J.D., Eds.; Plenum Medical Book Comp.: New York, NY, USA; London, UK, 1990; Volume 4, pp. 307–322. [Google Scholar] [CrossRef]
- Brayman, M.; Thathiah, A.; Carson, D.D. MUC1: A multifunctional cell surface component of reproductive tissue epithelia. Reprod. Biol. Endocrinol. 2004, 2, 4. [Google Scholar] [CrossRef] [PubMed]
- Morris, J.E.; Potter, S.W. A comparison of developmental changes in surface charge in mouse blastocysts and uterine epithelium using DEAE beads and dextran sulfate in vitro. Dev. Biol. 1984, 103, 190–199. [Google Scholar] [CrossRef] [PubMed]
- Chavez, D.J.; Anderson, T.L. The glycocalyx of the mouse uterine luminal epithelium during estrus, early pregnancy, the peri-implantation period, and delayed implantation. I. Acquisition of Ricinus communis I binding sites during pregnancy. Biol. Reprod. 1985, 32, 1135–1142. [Google Scholar] [CrossRef]
- Anderson, T.L.; Olson, G.E.; Hoffman, L.H. Stage-specific alterations in the apical membrane glycoproteins of endometrial epithelial cells related to implantation in rabbits. Biol. Reprod. 1986, 34, 701–720. [Google Scholar] [CrossRef]
- Bükers, A.; Friedrich, J.; Nalbach, B.P.; Denker, H.-W. Changes in lectin binding patterns in rabbit endometrium during pseudopregnancy, early pregnancy and implantation. In Trophoblast Invasion and Endometrial Receptivity. Novel Aspects of the Cell Biology of Embryo Implantation; Denker, H.-W., Aplin, J.D., Eds.; Plenum Medical Book Comp./Springer: New York, NY, USA; London, UK, 1990; Volume 4, pp. 285–305. [Google Scholar] [CrossRef]
- Enders, A.C.; Schlafke, S. Alteration in uterine luminal surface at the implantation site. J. Cell Biol. 1977, 75, 70a. [Google Scholar]
- Morris, J.E.; Potter, S.W. An in vitro model for studying interactions between mouse trophoblast and uterine epithelial cells. A brief review of in vitro systems and observations on cell-surface changes during blastocyst attachment. In Trophoblast Invasion and Endometrial Receptivity: Novel Aspects of the Cell Biology of Embryo Implantation; Denker, H.-W., Aplin, J.D., Eds.; Plenum Medical Book Company (Springer): New York, NY, USA; London, UK, 1990; Volume 4, pp. 51–69. [Google Scholar] [CrossRef]
- Carson, D.D.; Wilson, O.F.; Dutt, A. Glycoconjugate expression and interactions at the cell surface of mouse uterine epithelial cells and periimplantation-stage embryos. In Trophoblast Invasion and Endometrial Receptivity: Novel Aspects of the Cell Biology of Embryo Implantation; Denker, H.-W., Aplin, J.D., Eds.; Plenum Medical Book Company (Springer): New York, NY, USA; London, UK, 1990; Volume 4, pp. 211–241. [Google Scholar] [CrossRef]
- Murphy, C.R.; Swift, J.G.; Mukherjee, T.M.; Rogers, A.W. Changes in the fine structure of the apical plasma membrane of endometrial epithelial cells during implantation in the rat. J. Cell Sci. 1982, 55, 1–12. [Google Scholar] [CrossRef]
- Winterhager, E.; Classen-Linke, I.; Denker, H.-W. Strukturelle Veränderungen der apikalen Uterusepithelzellmembran in Vorbereitung auf die Embryoimplantation. Verh. Anat. Ges. 1990, 83, 153–154. Available online: https://hwdenker.de/PDF%20Dokumente/Abstracts/Abstr_75.pdf (accessed on 22 December 2025).
- Nikzad, H.; Taherian, A.A.; Akimoto, Y.; Iwashita, M.; Mahabadi, J.A.; Salehi, M.; Nikzad, M. αvβ3 Integrin Express on Mid-luteal Human Endometrium: An Immunogold and Immunofluorescent Staining Study. Anat. Sci. 2013, 10, 3. Available online: https://www.researchgate.net/publication/361099429_avb3_Integrin_Express_on_Mid-luteal_Human_Endometrium_An_Immunogold_and_Immunofluorescent_Staining_Study (accessed on 22 December 2025).
- Murphy, C.R.; Swift, J.G.; Mukherjee, T.M.; Rogers, A.W. Reflexive gap junctions on uterine luminal epithelial cells. Acta Anat. 1982, 112, 92–96. [Google Scholar] [CrossRef] [PubMed]
- Murphy, C.R.; Swift, J.G.; Mukherjee, T.M.; Rogers, A.W. The structure of tight junctions between uterine luminal epithelial cells at different stages of pregnancy in the rat. Cell Tissue Res. 1982, 223, 281–286. [Google Scholar] [CrossRef] [PubMed]
- Murphy, C.R.; Swift, J.G.; Need, J.A.; Mukherjee, T.M.; Rogers, A.W. A freeze-fracture electron microscopic study of tight junctions of epithelial cells in the human uterus. Anat. Embryol. 1982, 163, 367–370. [Google Scholar] [CrossRef] [PubMed]
- Winterhager, E.; Kühnel, W. Alterations in intercellular junctions of the uterine epithelium during the preimplantation phase in the rabbit. Cell Tissue Res. 1982, 224, 517–526. [Google Scholar] [CrossRef]
- Kshersagar, J.; Damle, M.N.; Sharma, R.; Joshi, M.G. Cell Communication in Endometrium: Understanding and Improving Endometrial Biomarkers. In Advances in Experimental Medicine and Biology; Springer: Cham, Switzerland, 2025. [Google Scholar] [CrossRef]
- Zhou, H.; Zhang, J.; Feng, W.; Chen, N.; Umar, T.; Feng, X.; Liu, W.; Qiu, C.; Deng, G. YAP1 regulates endometrial receptivity by promoting the plasma membrane transformation and proliferation of bovine endometrial epithelial cells. Theriogenology 2025, 237, 166–177. [Google Scholar] [CrossRef]
- Albers, A.; Thie, M.; Hohn, H.P.; Denker, H.W. Differential expression and localization of integrins and CD44 in the membrane domains of human uterine epithelial cells during the menstrual cycle. Acta Anat. 1995, 153, 12–19. [Google Scholar] [CrossRef]
- Bitton-Casimiri, V.; Rath, N.C.; Psychoyos, A. A simple method for separation and culture of rat uterine epithelial cells. J. Endocrinol. 1977, 73, 537–538. [Google Scholar] [CrossRef]
- Tachi, S.; Tachi, C.; Lindner, H.R. Ultrastructural features of blastocyst attachment and trophoblastic invasion in the rat. J. Reprod. Fertil. 1970, 21, 37–56. [Google Scholar] [CrossRef]
- Schlafke, S.; Enders, A.C. Cellular basis of interaction between trophoblast and uterus at implantation. Biol. Reprod. 1975, 12, 41–65. [Google Scholar] [CrossRef]
- Marx, M.; Winterhager, E.; Denker, H.-W. Penetration of the basal lamina by processes of uterine epithelial cells during implantation in the rabbit. In Trophoblast Invasion and Endometrial Receptivity. Novel Aspects of the Cell Biology of Embryo Implantation; Denker, H.-W., Aplin, J.D., Eds.; Plenum Medical Book Comp./Springer: New York, NY, USA; London, UK, 1990; Volume 4, pp. 417–430. [Google Scholar] [CrossRef]
- Roberts, D.K.; Walker, N.J.; Lavia, L.A. Ultrastructural evidence of stromal/epithelial interactions in the human endometrial cycle. Am. J. Obstet. Gynecol. 1988, 158, 854–861. [Google Scholar] [CrossRef] [PubMed]
- Hochfeld, A.; Beier, H.M.; Denker, H.-W. Changes of intermediate filament protein localization in endometrial cells during early pregnancy of rabbits. In Trophoblast Invasion and Endometrial Receptivity. Novel Aspects of the Cell Biology of Embryo Implantation; Denker, H.-W., Aplin, J.D., Eds.; Plenum Medical Book Comp./Springer: New York, NY, USA; London, UK, 1990; Volume 4, pp. 357–374. [Google Scholar] [CrossRef]
- Parr, M.B. Endocytosis at the basal and lateral membranes of rat uterine epithelial cells during early pregnancy. J. Reprod. Fertil. 1980, 60, 95–99. [Google Scholar] [CrossRef] [PubMed]
- Parr, M. Apical vesicles in the rat uterine epithelium during early pregnancy: A morphometric study. Biol. Reprod. 1982, 26, 915–924. [Google Scholar] [CrossRef]
- Parr, M.B. Relationship of uterine closure to ovarian hormones and endocytosis in the rat. J. Reprod. Fertil. 1983, 68, 185–188. [Google Scholar] [CrossRef]
- Parr, M.B.; Parr, E.L. Endocytosis in the uterine epithelium of the mouse. J. Reprod. Fertil. 1977, 50, 151–153. [Google Scholar] [CrossRef] [PubMed][Green Version]
- Parr, M.B.; Parr, E.L. Uptake and fate of ferritin in the uterine epithelium of the rat during early pregnancy. J. Reprod. Fertil. 1978, 52, 183–188. [Google Scholar] [CrossRef]
- Marengo, S.R.; Bazer, F.W.; Thatcher, W.W.; Wilcox, C.J.; Wetteman, R.P. Prostaglandin F2 alpha as the luteolysin in swine: VI. Hormonal regulation of the movement of exogenous PGF2 alpha from the uterine lumen into the vasculature. Biol. Reprod. 1986, 34, 284–292. [Google Scholar] [CrossRef] [PubMed]
- Denker, H.-W. Cell biological views of embryo implantation. Turk. J. Med. Sci. Suppl. 1995, 1–12. Available online: http://hwdenker.de/PDF%20Dokumente/CellBioViewEmbryoImplant.pdf (accessed on 17 December 2025).
- Cano, A.; Perez-Moreno, M.A.; Rodrigo, I.; Locascio, A.; Blanco, M.J.; del Barrio, M.G.; Portillo, F.; Nieto, M.A. The transcription factor snail controls epithelial-mesenchymal transitions by repressing E-cadherin expression. Nat. Cell Biol. 2000, 2, 76–83. [Google Scholar] [CrossRef]
- Medici, D.; Hay, E.D.; Olsen, B.R. Snail and Slug promote epithelial-mesenchymal transition through beta-catenin-T-cell factor-4-dependent expression of transforming growth factor-beta3. Mol. Biol. Cell 2008, 19, 4875–4887. [Google Scholar] [CrossRef]
- Nawshad, A.; Medici, D.; Liu, C.C.; Hay, E.D. TGFbeta3 inhibits E-cadherin gene expression in palate medial-edge epithelial cells through a Smad2-Smad4-LEF1 transcription complex. J. Cell Sci. 2007, 120, 1646–1653. [Google Scholar] [CrossRef] [PubMed]
- Nieto, M.A.; Sargent, M.G.; Wilkinson, D.G.; Cooke, J. Control of cell behavior during vertebrate development by Slug, a zinc finger gene. Science 1994, 264, 835–839. [Google Scholar] [CrossRef] [PubMed]
- Nieto, M.A. The snail superfamily of zinc-finger transcription factors. Nat. Rev. Mol. Cell Biol. 2002, 3, 155–166. [Google Scholar] [CrossRef]
- Lamouille, S.; Xu, J.; Derynck, R. Molecular mechanisms of epithelial-mesenchymal transition. Nat. Rev. Mol. Cell Biol. 2014, 15, 178–196. [Google Scholar] [CrossRef]
- Liu, Y.; Chen, L.P. The regulation of cell polarity in the progression of lung cancer. J. Cancer Res. Ther. 2013, 9, S80–S85. [Google Scholar] [CrossRef]
- Murphy, C.R. The plasma membrane transformation of uterine epithelial cells during pregnancy. J. Reprod. Fertil. Suppl. 2000, 55, 23–28. [Google Scholar] [PubMed]
- Aplin, J.D. Glycans as biochemical markers of human endometrial secretory differentiation. J. Reprod. Fertil. 1991, 92, 525–541. [Google Scholar] [CrossRef] [PubMed][Green Version]
- Nalbach, B.P. Lektinbindungsmuster in Uterus und Blastozyste des Kaninchens während der Präimplantationsphase und der frühen Implantation. In Medizinische Fakultät der RWTH Aachen; Rheinisch-Westfälische Technische Hochschule (RWTH) Aachen: Aachen, Germany, 1985; Available online: http://d-nb.info/861088077 (accessed on 22 December 2025).
- Nalbach, B.P.; Denker, H.-W. Stage-dependent changes in lectin binding patterns in rabbit uterus and blastocyst during the preimplantation period and implantation. Europ. J. Cell Biol. 1983, 4, 13. Available online: https://hwdenker.de/PDF%20Dokumente/Abstracts/Abstr_115.pdf (accessed on 22 December 2025).
- Carson, D.D.; Bagchi, I.; Dey, S.K.; Enders, A.C.; Fazleabas, A.T.; Lessey, B.A.; Yoshinaga, K. Embryo implantation. Dev. Biol. 2000, 223, 217–237. [Google Scholar] [CrossRef]
- Friedrich, J.H. Zum Problem der Zell-Zell-Erkennung in Utero: Versuche zur Beeinflussung der Trophoblast-Anheftung durch Glykoprotein-Blockade mit Lektinen in vivo. In Medizinische Fakultät; RWTH Aachen: Aachen, Germany, 1991; pp. 129+2. Available online: http://d-nb.info/930398408 (accessed on 22 December 2025).
- Grütter, R. Experimentelle Ansätze zur Beeinflussung der Embryoimplantation Durch Intrauterin Applizierte Lektine: Verteilungsmuster und Methodenkritik. In Medizinische Fakultät; Rheinisch-Westfälische Technische Hochschule (RWTH): Aachen, Germany, 1992; p. 102. Available online: http://d-nb.info/931045533 (accessed on 22 December 2025).
- Sretarugsa, P.; Sobhon, P.; Bubpaniroj, P.; Yodyingyuad, V. Inhibition of implantation of hamster embryos by lectins. Contraception 1987, 35, 507–515. [Google Scholar] [CrossRef]
- Hicks, J.J.; Guzmán-González, A.M. Inhibition of implantation by intraluminal administration of concanavalin A in mice. Contraception 1979, 20, 129–136. [Google Scholar] [CrossRef]
- Wu, J.T.; Gu, Z. The effect of intrauterine injection of concanavalin A on implantation in mice and rats. Contraception 1981, 23, 667–675. [Google Scholar] [CrossRef] [PubMed]
- Godeau, A.L.; Seriola, A.; Tchaicheeyan, O.; Casals, M.; Denkova, D.; Aroca, E.; Massafret, O.; Parra, A.; Demestre, M.; Ferrer-Vaquer, A.; et al. Traction force and mechanosensitivity mediate species-specific implantation patterns in human and mouse embryos. Sci. Adv. 2025, 11, eadr5199. [Google Scholar] [CrossRef]
- Akaeda, S.; Aikawa, S.; Hirota, Y. Spatial and molecular anatomy of the endometrium during embryo implantation: A current overview of key regulators of blastocyst invasion. FEBS J. 2024, 291, 4206–4221. [Google Scholar] [CrossRef]
- Bondarenko, V.; Nikolaev, M.; Kromm, D.; Belousov, R.; Wolny, A.; Blotenburg, M.; Zeller, P.; Rezakhani, S.; Hugger, J.; Uhlmann, V.; et al. Embryo-uterine interaction coordinates mouse embryogenesis during implantation. eMbo J. 2023, 42, e113280. [Google Scholar] [CrossRef]
- Uchida, H.; Maruyama, T.; Nishikawa-Uchida, S.; Oda, H.; Miyazaki, K.; Yamasaki, A.; Yoshimura, Y. Studies using an in vitro model show evidence of involvement of epithelial-mesenchymal transition of human endometrial epithelial cells in human embryo implantation. J. Biol. Chem. 2012, 287, 4441–4450. [Google Scholar] [CrossRef]
- Matthews, C.J.; Redfern, C.P.F.; Hirst, B.H.; Thomas, E.J. Characterization of human purified epithelial and stromal cells from endometrium and endometriosis in tissue culture. Fertil. Steril. 1992, 57, 990–997. [Google Scholar] [CrossRef] [PubMed]
- Pasquier, N.; Jaulin, F.; Peglion, F. Inverted apicobasal polarity in health and disease. J. Cell Sci. 2024, 137, jcs261659. [Google Scholar] [CrossRef] [PubMed]
- Dey, A.; MacLean, A.L. Transition paths across the epithelial-mesenchymal transition landscape are dictated by network logic. Development 2025, 152, dev204583. [Google Scholar] [CrossRef]
- Denker, H.-W. Endometrial arylamidase secretion: A sensitive parameter of steroid hormone action and of embryo-maternal interrelationships in the rabbit. In Steroid Induced Uterine Proteins; Beato, M., Ed.; Elsevier/North-Holland Biomedical Press: Amsterdam, The Netherlands; New York, NY, USA, 1980; pp. 121–131. Available online: https://hwdenker.de/PDF%20Dokumente/Denker%201980%20Endometrial%20arylamidase.pdf (accessed on 22 December 2025).
- van Hoorn, G.; Denker, H.-W. Effect of the blastocyst on a uterine amino acid arylamidase in the rabbit. J. Reprod. Fertil. 1975, 45, 359–362. [Google Scholar] [CrossRef]
- Meseguer, M.; Aplin, J.D.; Caballero-Campo, P.; O’Connor, J.E.; Martin, J.C.; Remohi, J.; Pellicer, A.; Simon, C. Human endometrial mucin MUC1 is up-regulated by progesterone and down-regulated in vitro by the human blastocyst. Biol. Reprod. 2001, 64, 590–601. [Google Scholar] [CrossRef]
- Singh, H.; Nardo, L.; Kimber, S.J.; Aplin, J.D. Early stages of implantation as revealed by an in vitro model. Reproduction 2010, 139, 905–914. [Google Scholar] [CrossRef] [PubMed]
- Massimiani, M.; Lacconi, V.; La Civita, F.; Ticconi, C.; Rago, R.; Campagnolo, L. Molecular Signaling Regulating Endometrium-Blastocyst Crosstalk. Int. J. Mol. Sci. 2020, 21, E23. [Google Scholar] [CrossRef]
- Wu, S.; Wu, G.; Li, Y.; Wu, H. Mechanism of HCG regulating epithelial-mesenchymal transition progression in endometrial cells through the FoxO1/miR223-5p/Wnt5alpha pathway. Reprod. Biomed. Online 2024, 48, 103246. [Google Scholar] [CrossRef]
- Biltekin, B.; Bilir, A.; Seckin, I.; Erkanli Senturk, G. In vitro effects of heparin-binding epidermal growth factor on adhesion stage of implantation. Rom. J. Morphol. Embryol. 2023, 64, 493–500. [Google Scholar] [CrossRef]
- Das, S.K.; Das, N.; Wang, J.; Lim, H.; Schryver, B.; Plowman, G.D.; Dey, S.K. Expression of Betacellulin and Epiregulin Genes in the Mouse Uterus Temporally by the Blastocyst Solely at the Site of Its Apposition Is Coincident with the “Window” of Implantation. Dev. Biol. 1997, 190, 178–190. [Google Scholar] [CrossRef] [PubMed]
- Lim, H.J.; Dey, S.K. HB-EGF: A unique mediator of embryo-uterine interactions during implantation. Exp. Cell Res. 2008, 315, 619–626. [Google Scholar] [CrossRef]
- Poh, Q.H.; Rai, A.; Cross, J.; Greening, D.W. HB-EGF-loaded nanovesicles enhance trophectodermal spheroid attachment and invasion. Proteomics 2024, 24, e2200145. [Google Scholar] [CrossRef] [PubMed]
- Kim, Y.S.; Yuan, J.; Dewar, A.; Borg, J.P.; Threadgill, D.W.; Sun, X.; Dey, S.K. An unanticipated discourse of HB-EGF with VANGL2 signaling during embryo implantation. Proc. Natl. Acad. Sci. USA 2023, 120, e2302937120. [Google Scholar] [CrossRef]
- Tinel, H.; Denker, H.W.; Thie, M. Calcium influx in human uterine epithelial RL95-2 cells triggers adhesiveness for trophoblast-like cells. Model studies on signalling events during embryo implantation. Mol. Hum. Reprod. 2000, 6, 1119–1130. [Google Scholar] [CrossRef][Green Version]
- Yuan, L.; Feng, F.; Mao, Z.; Huang, J.Z.; Liu, Y.; Li, Y.L.; Jiang, R.X. Regulation mechanism of miR-494-3p on endometrial receptivity in mice via PI3K/AKT/mTOR pathway. Gen. Physiol. Biophys. 2021, 40, 351–363. [Google Scholar] [PubMed]
- Zhou, W.; Van Sinderen, M.; Rainczuk, K.; Menkhorst, E.; Sorby, K.; Osianlis, T.; Pangestu, M.; Santos, L.; Rombauts, L.; Rosello-Diez, A.; et al. Dysregulated miR-124-3p in endometrial epithelial cells reduces endometrial receptivity by altering polarity and adhesion. Proc. Natl. Acad. Sci. USA 2024, 121, e2401071121. [Google Scholar] [CrossRef]
- Cain, J.W.; Seo, H.; Bumgardner, K.; Lefevre, C.; Burghardt, R.C.; Bazer, F.W.; Johnson, G.A. Pig conceptuses utilize extracellular vesicles for IFNG-mediated paracrine communication with the endometrium. Biol. Reprod. 2024, 111, 174–185. [Google Scholar] [CrossRef] [PubMed]
- Nguyen, H.P.; Simpson, R.J.; Salamonsen, L.A.; Greening, D.W. Extracellular Vesicles in the Intrauterine Environment: Challenges and Potential Functions. Biol. Reprod. 2016, 95, 109. [Google Scholar] [CrossRef] [PubMed]
- Poh, Q.H.; Rai, A.; Salamonsen, L.A.; Greening, D.W. Omics insights into extracellular vesicles in embryo implantation and their therapeutic utility. Proteomics 2023, 23, e2200107. [Google Scholar] [CrossRef]
- Vilella, F.; Moreno-Moya, J.M.; Balaguer, N.; Grasso, A.; Herrero, M.; Martinez, S.; Marcilla, A.; Simon, C. Hsa-miR-30d, secreted by the human endometrium, is taken up by the pre-implantation embryo and might modify its transcriptome. Development 2015, 142, 3210–3221. [Google Scholar] [CrossRef]
- Barton, S.; Zhou, W.; Santos, L.L.; Menkhorst, E.; Yang, G.; Teh, W.T.; Ang, C.; Lucky, T.; Dimitriadis, E. miR-23b-3p regulates human endometrial epithelial cell adhesion implying a role in implantation. Reproduction 2023, 165, 407–416. [Google Scholar] [CrossRef] [PubMed]
- Khan, N.L.A.; Muhandiram, S.; Dissanayake, K.; Godakumara, K.; Midekessa, G.; Andronowska, A.; Heath, P.R.; Kodithuwakku, S.; Hart, A.R.; Fazeli, A. Effect of 3D and 2D cell culture systems on trophoblast extracellular vesicle physico-chemical characteristics and potency. Front. Cell Dev. Biol. 2024, 12, 1382552. [Google Scholar] [CrossRef]
- Huang, X.; Zhao, J.; Zhang, Q.; Wang, Y.; Li, Y. Ovarian Stimulation Altered Uterine Fluid Extracellular Vesicles miRNA Affecting Implantation in Rats. Reprod. Sci. 2024, 31, 1683–1694. [Google Scholar] [CrossRef]
- Chen, C.H.; Lu, F.; Yang, W.J.; Chen, W.M.; Yang, P.E.; Kang, S.T.; Wang, T.; Chang, P.C.; Feng, C.T.; Yang, J.H.; et al. Development of a Novel Endometrial Signature Based on Endometrial microRNA for Determining the Optimal Timing for Embryo Transfer. Biomedicines 2024, 12, 700. [Google Scholar] [CrossRef] [PubMed]
- Martel, D.; Monier, M.N.; Roche, D.; Psychoyos, A. Hormonal dependence of pinopode formation at the uterine luminal surface. Hum. Reprod. 1991, 6, 597–603. [Google Scholar] [CrossRef]
- Bentin-Ley, U.; Sjögren, A.; Nilsson, L.; Hamberger, L.; Larsen, J.F.; Horn, T. Presence of uterine pinopodes at the embryo-endometrial interface during human implantation in vitro. Hum. Reprod. 1999, 14, 515–520. [Google Scholar] [CrossRef][Green Version]
- Nikas, G. Pinopodes as markers of endometrial receptivity in clinical practice. Hum. Reprod. 1999, 14, 99–106. [Google Scholar] [CrossRef] [PubMed]
- Zhao, L.; Yin, F.; Hu, X.; Li, J.; Wei, C.; Zhou, F.; Jin, X.; Tong, X.; Zhang, S.Y. Pinopode versus endometrial receptivity analysis for personalized embryo transfer in recurrent implantation failure. Reprod. Biomed. Online 2025, 51, 104875. [Google Scholar] [CrossRef]
- Yoshihara, M.; Mizutani, S.; Kato, Y.; Matsumoto, K.; Mizutani, E.; Mitsutani, H.; Fujimoto, H.; Osuka, S.; Kajiyama, H. Recent Insights into Human Endometrial Peptidases in Blastocyst Implantation via Shedding of Microvesicles. Int. J. Mol. Sci. 2021, 22, 13479. [Google Scholar] [CrossRef] [PubMed]
- Fatmous, M.; Rai, A.; Poh, Q.H.; Salamonsen, L.A.; Greening, D.W. Endometrial small extracellular vesicles regulate human trophectodermal cell invasion by reprogramming the phosphoproteome landscape. Front. Cell Dev. Biol. 2022, 10, 1078096. [Google Scholar] [CrossRef]
- Enders, A.C. Current topic: Structural responses of the primate endometrium to implantation. Placenta 1991, 12, 309–325. [Google Scholar] [CrossRef]
- Enders, A.C.; Welsh, A.O.; Schlafke, S. Implantation in the rhesus monkey: Endometrial responses. Am. J. Anat. 1985, 173, 147–169. [Google Scholar] [CrossRef]
- Enders, A.C.; Lopata, A. Implantation in the marmoset monkey: Expansion of the early implantation site. Anat. Rec. 1999, 256, 279–299. [Google Scholar] [CrossRef]
- Enders, A.C.; Hendrickx, A.G.; Schlafke, S. Implantation in the rhesus monkey: Initial penetration of endometrium. Am. J. Anat. 1983, 167, 275–298. [Google Scholar] [CrossRef]
- Enders, A.C.; Lantz, K.C.; Schlafke, S. Preference of invasive cytotrophoblast for maternal vessels in early implantation in the macaque. Acta Anat. 1996, 155, 145–162. [Google Scholar] [CrossRef] [PubMed]
- Denker, H.-W.; Enders, A.C.; Schlafke, S. Bizarre hypertrophy of vascular endothelial cells in rhesus monkey endometrium: Experimental induction and electron microscopical characteristics. Verh. Anat. Ges. 1985, 79, 545–548. Available online: https://hwdenker.de/PDF%20Dokumente/Denker%20Enders%20Schlafke%201985.pdf (accessed on 22 December 2025).
- Yue, S.S.K.; Tong, Y.; Siu, H.C.; Ho, S.L.; Law, S.Y.K.; Tsui, W.Y.; Chan, D.; Huang, Y.; Chan, A.S.Y.; Yun, S.W.; et al. Divergent lineage trajectories and genetic landscapes in human gastric intestinal metaplasia organoids associated with early neoplastic progression. Gut 2025, 74, 522–538. [Google Scholar] [CrossRef]
- Kobayashi, R.; Tajika, Y.; Kohmaru, J.; Morita, S.; Horii, T.; Mizukami, Y.; Aikawa, S.; Hirota, Y.; Hatada, I. The histone methyltransferase KMT2D is essential for embryo implantation via regulating precise differentiation of endometrial cells. Cell Death Discov. 2024, 10, 357. [Google Scholar] [CrossRef]
- Roberts, E.R.; Bhurke, A.V.; Ganeshkumar, S.; Gunewardena, S.; Arora, R.; Chennathukuzhi, V.M. Loss of PRICKLE1 leads to abnormal endometrial epithelial architecture, decreased embryo implantation, and reduced fertility in mice. PNAS Nexus 2025, 4, pgaf024. [Google Scholar] [CrossRef] [PubMed]
- John, N.J.; Linke, M.; Denker, H.W. Quantitation of human choriocarcinoma spheroid attachment to uterine epithelial cell monolayers. Vitr. Cell Dev. Biol. Anim. 1993, 29A, 461–468. Available online: https://hwdenker.de/PDF%20Dokumente/John_et_al_1993_In_Vitro.pdf (accessed on 22 December 2025). [CrossRef] [PubMed]
- Grümmer, R.; Hohn, H.-P.; Denker, H.-W. Choriocarcinoma cell spheroids: An in vitro model for the human trophoblast. In Trophoblast Invasion and Endometrial Receptivity. Novel Aspects of the Cell Biology of Embryo Implantation; Denker, H.-W., Aplin, J.D., Eds.; Plenum Medical Book Comp.: New York, NY, USA; London, UK, 1990; Volume 4, pp. 97–111. [Google Scholar] [CrossRef]
- Mareel, M.M.; De Bruyne, G.K.; Vandesande, F.; Dragonetti, C. Immunohistochemical study of embryonic chick heart invaded by malignant cells in three-dimensional culture. Invasion Metastasis 1981, 1, 195–204. [Google Scholar] [PubMed]
- Hohn, H.-P.; Winterhager, E.; Busch, L.C.; Mareel, M.M.; Denker, H.-W. Rabbit endometrium in organ culture: Morphological evidence for progestational differentiation in vitro. Cell Tissue Res. 1989, 257, 505–518. [Google Scholar] [CrossRef]
- Hohn, H.-P.; Denker, H.-W. A three-dimensional organ culture model for the study of implantation of rabbit blastocyst in vitro. In Trophoblast Invasion and Endometrial Receptivity. Novel Aspects of the Cell Biology of Embryo Implantation; Denker, H.-W., Aplin, J.D., Eds.; Plenum Medical Book Company (Springer): New York, NY, USA; London, UK, 1990; Volume 4, pp. 71–95. [Google Scholar] [CrossRef]
- Hiraoka, T.; Aikawa, S.; Mashiko, D.; Nakagawa, T.; Shirai, H.; Hirota, Y.; Kimura, H.; Ikawa, M. An ex vivo uterine system captures implantation, embryogenesis, and trophoblast invasion via maternal-embryonic signaling. Nat. Commun. 2025, 16, 5755. [Google Scholar] [CrossRef] [PubMed]
- Heneweer, C.; Schmidt, M.; Denker, H.W.; Thie, M. Molecular mechanisms in uterine epithelium during trophoblast binding: The role of small GTPase RhoA in human uterine Ishikawa cells. J. Exp. Clin. Assist. Reprod. 2005, 2, 4. [Google Scholar] [CrossRef] [PubMed]
- Jingting, C.; Yangde, Z.; Yi, Z.; Huining, L.; Rong, Y.; Yu, Z. Heparanase expression correlates with metastatic capability in human choriocarcinoma. Gynecol. Oncol. 2007, 107, 22–29. [Google Scholar] [CrossRef]
- Tian, S.-Y.; Ruan, H.-Z.; Yeung, W.S.B.; Lee, Y.L. Blastocyst-like embryo surrogates from stem cells in implantation models. Reprod. Dev. Med. 2022, 6, 225–233. [Google Scholar] [CrossRef]
- Vergaro, P.; Tiscornia, G.; Zambelli, F.; Rodriguez, A.; Santalo, J.; Vassena, R. Trophoblast attachment to the endometrial epithelium elicits compartment-specific transcriptional waves in an in-vitro model. Reprod. Biomed. Online 2021, 42, 26–38. [Google Scholar] [CrossRef]
- Vergaro, P.; Tiscornia, G.; Rodriguez, A.; Santalo, J.; Vassena, R. Transcriptomic analysis of the interaction of choriocarcinoma spheroids with receptive vs. non-receptive endometrial epithelium cell lines: An in vitro model for human implantation. J. Assist. Reprod. Genet. 2019, 36, 857–873. [Google Scholar] [CrossRef]
- Zhang, L.; Xie, Y.; Dong, M.; Xu, Y.; Guo, Z.; Sui, L.; Kong, Y. Wnt/beta-catenin signaling pathway regulates beta1,4-galactosyltransferase l expression in the endometrium to affect the embryo implantation. Int. J. Clin. Exp. Pathol. 2017, 10, 1756–1764. Available online: https://www.google.com/url?sa=t&source=web&rct=j&opi=89978449&url=https://e-century.us/files/ijcep/10/2/ijcep0039664.pdf&ved=2ahUKEwj687z52bOSAxVuQvEDHSoVCTUQFnoECBYQAQ&usg=AOvVaw0ypyqZxKjIQdJ0ha1G67jm (accessed on 22 December 2025).
- Shirane, A.; Wada-Hiraike, O.; Tanikawa, M.; Seiki, T.; Hiraike, H.; Miyamoto, Y.; Sone, K.; Hirano, M.; Oishi, H.; Oda, K.; et al. Regulation of SIRT1 determines initial step of endometrial receptivity by controlling E-cadherin expression. Biochem. Biophys. Res. Commun. 2012, 424, 604–610. [Google Scholar] [CrossRef]
- Nishi, H.; Nakada, T.; Kyo, S.; Inoue, M.; Shay, J.W.; Isaka, K. Hypoxia-inducible factor 1 mediates upregulation of telomerase (hTERT). Mol. Cell Biol. 2004, 24, 6076–6083. [Google Scholar] [CrossRef]
- Harduf, H.; Goldman, S.; Shalev, E. Progesterone receptor A and c-Met mediates spheroids-endometrium attachment. Reprod. Biol. Endocrinol. 2009, 7, 14. [Google Scholar] [CrossRef]
- Chen, L.; Xie, Y.; Fan, J.; Sui, L.; Xu, Y.; Zhang, N.; Ma, Y.; Li, Y.; Kong, Y. HCG induces beta1,4-GalT I expression and promotes embryo implantation. Int. J. Clin. Exp. Pathol. 2015, 8, 4673–4683. [Google Scholar] [PubMed]
- Bhagwat, S.R.; Redij, T.; Phalnikar, K.; Nayak, S.; Iyer, S.; Gadkar, S.; Chaudhari, U.; Kholkute, S.D.; Sachdeva, G. Cell surfactomes of two endometrial epithelial cell lines that differ in their adhesiveness to embryonic cells. Mol. Reprod. Dev. 2014, 81, 326–340. [Google Scholar] [CrossRef] [PubMed]
- Evans, J.; Walker, K.J.; Bilandzic, M.; Kinnear, S.; Salamonsen, L.A. A novel “embryo-endometrial” adhesion model can potentially predict “receptive” or “non-receptive” endometrium. J. Assist. Reprod. Genet. 2020, 37, 5–16. [Google Scholar] [CrossRef]
- Yu, S.-L.; Lee, H.; Park, J.; Song, M.; Lee, D.C.; Kim, T.-H.; Lee, S.K.; Han, A.R.; Kang, J.; Park, S.-R. Exosomal miR-203a-3p Enhances Endometrial Receptivity by Upregulating E-Cadherin Expression Through the Direct Targeting of SNAI1 in Endometrial Epithelial Cells. Reprod. Med. Biol. 2025, 24, e12689. [Google Scholar] [CrossRef]
- Fujimura, T.; Tamura, I.; Yoshimura, A.; Yoneda, T.; Takasaki, H.; Shiroshita, A.; Shirafuta, Y.; Sato, S.; Sugino, N. Establishment of an in vitro implantation model using a newly developed mouse endometrial organoid. Development 2025, 152, dev204461. [Google Scholar] [CrossRef]
- Luddi, A.; Pavone, V.; Semplici, B.; Governini, L.; Criscuoli, M.; Paccagnini, E.; Gentile, M.; Morgante, G.; Leo, V.; Belmonte, G.; et al. Organoids of Human Endometrium: A Powerful In Vitro Model for the Endometrium-Embryo Cross-Talk at the Implantation Site. Cells 2020, 9, 1121. [Google Scholar] [CrossRef]
- Shibata, S.; Endo, S.; Nagai, L.A.E.; Kobayashi, E.H.; Oike, A.; Kobayashi, N.; Kitamura, A.; Hori, T.; Nashimoto, Y.; Nakato, R.; et al. Modeling embryo-endometrial interface recapitulating human embryo implantation. Sci. Adv. 2024, 10, eadi4819. [Google Scholar] [CrossRef]
- Tian, J.; Yang, J.; Chen, T.; Yin, Y.; Li, N.; Li, Y.; Luo, X.; Dong, E.; Tan, H.; Ma, Y.; et al. Generation of Human Endometrial Assembloids with a Luminal Epithelium using Air-Liquid Interface Culture Methods. Adv. Sci. 2023, 10, e2301868. [Google Scholar] [CrossRef] [PubMed]
- Dimova, T.; Alexandrova, M.; Vangelov, I.; You, Y.; Mor, G. The modeling of human implantation and early placentation: Achievements and perspectives. Hum. Reprod. Update 2025, 31, 133–163. [Google Scholar] [CrossRef] [PubMed]
- Thie, M.; Harrach-Ruprecht, B.; Sauer, H.; Fuchs, P.; Albers, A.; Denker, H.W. Cell adhesion to the apical pole of epithelium: A function of cell polarity. Eur. J. Cell Biol. 1995, 66, 180–191. [Google Scholar] [PubMed]
- Yu, S.-L.; Jeong, D.-U.; Noh, E.-J.; Jeon, H.J.; Lee, D.C.; Kang, M.; Kim, T.-H.; Lee, S.K.; Han, A.R.; Kang, J.; et al. Exosomal miR-205-5p Improves Endometrial Receptivity by Upregulating E-Cadherin Expression through ZEB1 Inhibition. Int. J. Mol. Sci. 2023, 24, 15149. [Google Scholar] [CrossRef] [PubMed]
- Brosens, J.J.; Salker, M.S.; Teklenburg, G.; Nautiyal, J.; Salter, S.; Lucas, E.S.; Steel, J.H.; Christian, M.; Chan, Y.W.; Boomsma, C.M.; et al. Uterine selection of human embryos at implantation. Sci. Rep. 2014, 4, 3894. [Google Scholar] [CrossRef]
- Li, H.Y.; Chang, S.P.; Yuan, C.C.; Chao, H.T.; Ng, H.T.; Sung, Y.J. Establishment of an efficient method to quantify embryo attachment to endometrial epithelial cell monolayers. In Vitro Cell Dev. Biol. Anim. 2002, 38, 505–511. Available online: https://link.springer.com/article/10.1290/1071-2690(2002)038%3C0505:EOAEMT%3E2.0.CO;2 (accessed on 22 December 2025).
- Davoodi Nik, B.; Hashemi Karoii, D.; Favaedi, R.; Ramazanali, F.; Jahangiri, M.; Movaghar, B.; Shahhoseini, M. Differential expression of ion channel coding genes in the endometrium of women experiencing recurrent implantation failures. Sci. Rep. 2024, 14, 19822. [Google Scholar] [CrossRef]
- Heneweer, C.; Adelmann, H.G.; Kruse, L.H.; Denker, H.W.; Thie, M. Human uterine epithelial RL95-2 cells reorganize their cytoplasmic architecture with respect to Rho protein and F-actin in response to trophoblast binding. Cells Tissues Organs 2003, 175, 1–8. [Google Scholar] [CrossRef]
- Heneweer, C.; Kruse, L.H.; Kindhäuser, F.; Schmidt, M.; Jakobs, K.H.; Denker, H.-W.; Thie, M. Adhesiveness of human uterine epithelial RL95-2 cells to trophoblast: Rho protein regulation. Mol. Hum. Reprod. 2002, 8, 1014–1022. [Google Scholar] [CrossRef]
- Denker, H.-W. (Ed.) Molecular Approaches to Cell-Cell Adhesion: From Leukocyte Extravasation to Embryo Implantation = Cells Tissues Organs, Volume 172, No. 3, ISSN 1422-6405, EISSN 1422-6421; S. Karger AG: Basel, Switzerland, 2002; Available online: https://karger.com/cto/issue/172/3 (accessed on 17 December 2025).
- Ancel, J.; Dewolf, M.; Deslee, G.; Nawrocky-Raby, B.; Dalstein, V.; Gilles, C.; Polette, M. Clinical Impact of the Epithelial-Mesenchymal Transition in Lung Cancer as a Biomarker Assisting in Therapeutic Decisions. Cells Tissues Organs 2022, 211, 91–109. [Google Scholar] [CrossRef] [PubMed]
- Adiga, D.; Radhakrishnan, R.; Chakrabarty, S.; Kumar, P.; Kabekkodu, S.P. The Role of Calcium Signaling in Regulation of Epithelial-Mesenchymal Transition. Cells Tissues Organs 2022, 211, 134–156. [Google Scholar] [CrossRef] [PubMed]
- Saxena, K.; Srikrishnan, S.; Celia-Terrassa, T.; Jolly, M.K. OVOL1/2: Drivers of Epithelial Differentiation in Development, Disease, and Reprogramming. Cells Tissues Organs 2022, 211, 183–192. [Google Scholar] [CrossRef] [PubMed]
- Glaviano, A.; Lau, H.S.; Carter, L.M.; Lee, E.H.C.; Lam, H.Y.; Okina, E.; Tan, D.J.J.; Tan, W.; Ang, H.L.; Carbone, D.; et al. Harnessing the tumor microenvironment: Targeted cancer therapies through modulation of epithelial-mesenchymal transition. J. Hematol. Oncol. 2025, 18, 6. [Google Scholar] [CrossRef]
- Li, Q.; Zhang, C.; Chen, R.; Xiong, H.; Qiu, F.; Liu, S.; Zhang, M.; Wang, F.; Wang, Y.; Zhou, X.; et al. Disrupting MALAT1/miR-200c sponge decreases invasion and migration in endometrioid endometrial carcinoma. Cancer Lett. 2016, 383, 28–40. [Google Scholar] [CrossRef]
- Jonckheere, S.; Adams, J.; De Groote, D.; Campbell, K.; Berx, G.; Goossens, S. Epithelial-Mesenchymal Transition (EMT) as a Therapeutic Target. Cells Tissues Organs 2022, 211, 157–182. [Google Scholar] [CrossRef] [PubMed]
- Celik, O.; Ersahin, A.; Gungor, N.D.; Ulug, U.; Celik, N.; Yardim, M.; Tektemur, A.; Dalkilic, S.; Kuloglu, T.; Ersahin, S.; et al. Thin endometrium restricts peri-ovulatory physiological transition between anti-adhesive and adhesive receptivity modulators. Reprod. Biomed. Online 2025, 51, 104697. [Google Scholar] [CrossRef] [PubMed]




| Type of Epithelium and Fusion Process | References |
|---|---|
| Various epithelia | |
| Neural tube closure (combined with formation and emigration of neural crest cells) | [127,128,129,130,131,132,133,134,135,136,137,138,139,140,141,142,143] |
| Otic vesicle closure | [144,145,146] |
| Semicircular canal formation | [147,148,149] (Figure 2) |
| Lens vesicle closure | [150,151,152,153,154] |
| Secondary palate (fusion of palatal shelves) | [130,152,155,156,157,158,159,160,161,162,163,164,165,166] (Figure 3) |
| Nasolacrimal duct formation | [167,168] |
| Fusion of nasal processes | [130,165,169] |
| Mesothelium | |
| Closure of the pleuro-peritoneal canal at formation of the diaphragm | [130,170,171] |
| Endothelium | |
| Fusion of endocardial cushions during septation of the heart | [130,172,173,174,175,176,177,178,179] |
| Epithelial Phenotype | Mesenchymal Phenotype |
|---|---|
| STRUCTURAL ORGANIZATION General Apico-basal polarity Plasma membranes Apical plasma membrane (apm): Specialized glycocalyx Typical apm proteins including apical marker enzymes Basolateral plasma membrane: Lateral: junctional complex and associated proteins (adherens junctions: E-cadherin; occludens junctions: occludin; gap junctions: connexins) Basal: adhesion to basement membrane (BM) adhesion complex (integrin alpha 6 beta 4; hemidesmosomes) | STRUCTURAL ORGANIZATION General Front-rear end polarity, filopodia Plasma membranes Matrix (ECM) interaction proteins (integrin alpha 5 beta 1, integrin alpha V beta 3) |
| Cytoskeleton Cytokeratins | Cytoskeleton Vimentin |
| ECM PROTEIN PRODUCTION Collagen type IV, laminin (basement membrane, BM) | ECM PROTEIN PRODUCTION Collagen type I, fibronectin |
| CELL BEHAVIOUR Homotypic cell–cell adhesion, cell sheet formation Sedentary Movement as cell sheets Specialized adhesive interaction with basement membrane at basal cell pole | CELL BEHAVIOUR Cell–matrix (ECM) interaction Individual movement and invasion possible (production of ECM-de- grading enzymes) |
Disclaimer/Publisher’s Note: The statements, opinions and data contained in all publications are solely those of the individual author(s) and contributor(s) and not of MDPI and/or the editor(s). MDPI and/or the editor(s) disclaim responsibility for any injury to people or property resulting from any ideas, methods, instructions or products referred to in the content. |
© 2026 by the author. Licensee MDPI, Basel, Switzerland. This article is an open access article distributed under the terms and conditions of the Creative Commons Attribution (CC BY) license.
Share and Cite
Denker, H.-W. Back to the Future—A 50-Year Dive into Embryo Implantation Research: Cell Biological Paradox, Epithelial Cell Polarity, and EMT. Biomolecules 2026, 16, 293. https://doi.org/10.3390/biom16020293
Denker H-W. Back to the Future—A 50-Year Dive into Embryo Implantation Research: Cell Biological Paradox, Epithelial Cell Polarity, and EMT. Biomolecules. 2026; 16(2):293. https://doi.org/10.3390/biom16020293
Chicago/Turabian StyleDenker, Hans-Werner. 2026. "Back to the Future—A 50-Year Dive into Embryo Implantation Research: Cell Biological Paradox, Epithelial Cell Polarity, and EMT" Biomolecules 16, no. 2: 293. https://doi.org/10.3390/biom16020293
APA StyleDenker, H.-W. (2026). Back to the Future—A 50-Year Dive into Embryo Implantation Research: Cell Biological Paradox, Epithelial Cell Polarity, and EMT. Biomolecules, 16(2), 293. https://doi.org/10.3390/biom16020293

