Effect of Alpha2-Plasmin Inhibitor C-Terminal Heterogeneity on Clot Lysis and Clot Structure
Abstract
1. Introduction
2. Materials and Methods
2.1. Materials
2.2. Methods
2.2.1. Samples
2.2.2. α2PI Measurements
2.2.3. Investigation of α2PI Incorporation into the Plasma Clot
2.2.4. Clot Lysis Assays (CLA)
2.2.5. Clot Structure Analysis with Confocal Laser Scanning Microscopy
2.2.6. Other Laboratory Methods
2.3. Statistical Methods
3. Results
3.1. Plasma Levels of Different Parameters in the Study Population
3.2. Incorporation of α2PI Forms into the Plasma Clot
3.3. Correlation of Different Parameters with Clot Lysis
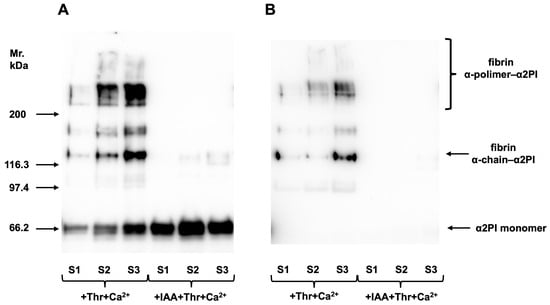
3.4. Investigation of α2PI Incorporation into the Clot by Western Blot
3.5. Investigation of Clot Lysis and Fibrin Structure Using Artificial Plasma Samples
4. Discussion
5. Conclusions
Supplementary Materials
Author Contributions
Funding
Institutional Review Board Statement
Informed Consent Statement
Data Availability Statement
Conflicts of Interest
Abbreviations
| α2PI | Alpha2-plasmin inhibitor, alpha2-antiplasmin |
| APCE | Antiplasmin cleaving enzyme |
| AUC | Area under the curve |
| CLT50 | 50% clot lysis time |
| DP | Deficient plasma |
| ELISA | Enzyme-linked immunosorbent assay |
| FXIII | Blood coagulation factor XIII |
| HRP | Horseradish peroxidase |
| IAA | Iodoacetamide |
| NPB-α2PI | Plasminogen non-binding alpha2-plasmin inhibitor |
| PAP-complex | Plasmin-α2-antiplasmin complex |
| PB-α2PI | Plasminogen-binding alpha2-plasmin inhibitor |
| sFAP | Soluble fibroblast activation protein |
| TAFI | Thrombin-activatable fibrinolysis inhibitor |
| t-PA | Tissue-type plasminogen activator |
References
- Wiman, B.; Hamsten, A. The fibrinolytic enzyme system and its role in the etiology of thromboembolic disease. Semin. Thromb. Hemost. 1990, 16, 207–216. [Google Scholar] [CrossRef] [PubMed]
- Aoki, N.; Saito, H.; Kamiya, T.; Koie, K.; Sakata, Y.; Kobakura, M. Congenital deficiency of alpha 2-plasmin inhibitor associated with severe hemorrhagic tendency. J. Clin. Investig. 1979, 63, 877–884. [Google Scholar] [CrossRef] [PubMed] [PubMed Central]
- Meltzer, M.E.; Doggen, C.J.; de Groot, P.G.; Rosendaal, F.R.; Lisman, T. Plasma levels of fibrinolytic proteins and the risk of myocardial infarction in men. Blood 2010, 116, 529–536. [Google Scholar] [CrossRef] [PubMed]
- Meltzer, M.E.; Doggen, C.J.; de Groot, P.G.; Rosendaal, F.R.; Lisman, T. The impact of the fibrinolytic system on the risk of venous and arterial thrombosis. Semin. Thromb. Hemost. 2009, 35, 468–477. [Google Scholar] [CrossRef] [PubMed]
- Barath, B.; Bogati, R.; Miklos, T.; Kallai, J.; Mezei, Z.A.; Bereczky, Z.; Muszbek, L.; Katona, E. Effect of alpha2-plasmin inhibitor heterogeneity on the risk of venous thromboembolism. Thromb. Res. 2021, 203, 110–116. [Google Scholar] [CrossRef] [PubMed]
- Paszek, E.; Malinowski, K.P.; Zabczyk, M.; Butenas, S.; Undas, A. Elevated factor XIa as a modulator of plasma fibrin clot properties in coronary artery disease. Eur. J. Clin. Investig. 2023, 53, e14007. [Google Scholar] [CrossRef] [PubMed]
- Bembenek, J.P.; Niewada, M.; Siudut, J.; Plens, K.; Czlonkowska, A.; Undas, A. Fibrin clot characteristics in acute ischaemic stroke patients treated with thrombolysis: The impact on clinical outcome. Thromb. Haemost. 2017, 117, 1440–1447. [Google Scholar] [CrossRef]
- Collen, D.; Wiman, B. Fast-acting plasmin inhibitor in human plasma. Blood 1978, 51, 563–569. [Google Scholar] [CrossRef] [PubMed]
- Moroi, M.; Aoki, N. Isolation and characterization of alpha2-plasmin inhibitor from human plasma. A novel proteinase inhibitor which inhibits activator-induced clot lysis. J. Biol. Chem. 1976, 251, 5956–5965. [Google Scholar] [CrossRef] [PubMed]
- Tamaki, T.; Aoki, N. Cross-linking of alpha 2-plasmin inhibitor to fibrin catalyzed by activated fibrin-stabilizing factor. J. Biol. Chem. 1982, 257, 14767–14772. [Google Scholar] [CrossRef] [PubMed]
- Byrnes, J.R.; Duval, C.; Wang, Y.; Hansen, C.E.; Ahn, B.; Mooberry, M.J.; Clark, M.A.; Johnsen, J.M.; Lorf, S.T.; Lam, W.A.; et al. Factor XIIIa-dependent retention of red blood cells in clots is mediated by fibrin alpha-chain crosslinking. Blood 2015, 126, 1940–1948. [Google Scholar] [CrossRef] [PubMed] [PubMed Central]
- Tsurupa, G.; Yakovlev, S.; McKee, P.; Medved, L. Noncovalent interaction of alpha(2)-antiplasmin with fibrin(ogen): Localization of alpha(2)-antiplasmin-binding sites. Biochemistry 2010, 49, 7643–7651. [Google Scholar] [CrossRef] [PubMed] [PubMed Central]
- Lee, K.N.; Jackson, K.W.; Christiansen, V.J.; Chung, K.H.; McKee, P.A. A novel plasma proteinase potentiates alpha2-antiplasmin inhibition of fibrin digestion. Blood 2004, 103, 3783–3788. [Google Scholar] [CrossRef] [PubMed]
- Lee, K.N.; Jackson, K.W.; Christiansen, V.J.; Lee, C.S.; Chun, J.G.; McKee, P.A. Antiplasmin-cleaving enzyme is a soluble form of fibroblast activation protein. Blood 2006, 107, 1397–1404. [Google Scholar] [CrossRef] [PubMed]
- Bangert, K.; Johnsen, A.H.; Christensen, U.; Thorsen, S. Different N-terminal forms of alpha 2-plasmin inhibitor in human plasma. Biochem. J. 1993, 291 Pt 2, 623–625. [Google Scholar] [CrossRef] [PubMed] [PubMed Central]
- Sasaki, T.; Morita, T.; Iwanaga, S. Identification of the plasminogen-binding site of human alpha 2-plasmin inhibitor. J. Biochem. 1986, 99, 1699–1705. [Google Scholar] [CrossRef] [PubMed]
- Frank, P.S.; Douglas, J.T.; Locher, M.; Llinas, M.; Schaller, J. Structural/functional characterization of the alpha 2-plasmin inhibitor C-terminal peptide. Biochemistry 2003, 42, 1078–1085. [Google Scholar] [CrossRef] [PubMed]
- Kluft, C.; Los, P.; Jie, A.F.; van Hinsbergh, V.W.; Vellenga, E.; Jespersen, J.; Henny, C.P. The mutual relationship between the two molecular forms of the major fibrinolysis inhibitor alpha-2-antiplasmin in blood. Blood 1986, 67, 616–622. [Google Scholar] [CrossRef] [PubMed]
- Kluft, C.; Los, P.; Jie, A.F. The molecular form of alpha 2-antiplasmin with affinity for plasminogen is selectively bound to fibrin by factor XIII. Thromb. Res. 1984, 33, 419–425. [Google Scholar] [CrossRef] [PubMed]
- Wiman, B.; Nilsson, T.; Cedergren, B. Studies on a form of alpha 2-antiplasmin in plasma which does not interact with the lysine-binding sites in plasminogen. Thromb. Res. 1982, 28, 193–199. [Google Scholar] [CrossRef] [PubMed]
- Abdul, S.; Dekkers, D.H.W.; Ariens, R.A.S.; Leebeek, F.W.G.; Rijken, D.C.; Uitte de Willige, S. On the localization of the cleavage site in human alpha-2-antiplasmin, involved in the generation of the non-plasminogen binding form. J. Thromb. Haemost. 2020, 18, 1162–1170. [Google Scholar] [CrossRef] [PubMed] [PubMed Central]
- Uitte de Willige, S.; Miedzak, M.; Carter, A.M.; Lisman, T.; Rosendaal, F.R.; Grant, P.J.; Philippou, H.; Ariëns, R.A.S. Proteolytic and genetic variation of the alpha-2-antiplasmin C-terminus in myocardial infarction. Blood 2011, 117, 6694–6701. [Google Scholar] [CrossRef] [PubMed]
- Weisel, J.W.; Litvinov, R.I. Fibrin Formation, Structure and Properties. Subcell. Biochem. 2017, 82, 405–456. [Google Scholar] [CrossRef] [PubMed] [PubMed Central]
- Galanakis, D.K.; Lane, B.P.; Simon, S.R. Albumin modulates lateral assembly of fibrin polymers: Evidence of enhanced fine fibril formation and of unique synergism with fibrinogen. Biochemistry 1987, 26, 2389–2400. [Google Scholar] [CrossRef] [PubMed]
- Teraz-Orosz, A.; Csapo, A.; Bagoly, Z.; Szekely, E.G.; Toth, E.; Kovacs, B.; Bereczky, Z.; Muszbek, L.; Katona, E. A new ELISA method for the measurement of total alpha(2)-plasmin inhibitor level in human body fluids. J. Immunol. Methods 2019, 471, 27–33. [Google Scholar] [CrossRef] [PubMed]
- Orban-Kalmandi, R.; Szegedi, I.; Sarkady, F.; Fekete, I.; Fekete, K.; Vasas, N.; Berényi, E.; Csiba, L.; Zsuzsa, B. A modified in vitro clot lysis assay predicts outcomes and safety in acute ischemic stroke patients undergoing intravenous thrombolysis. Sci. Rep. 2021, 11, 12713. [Google Scholar] [CrossRef] [PubMed] [PubMed Central]
- Munster, S.; Fabry, B. A simplified implementation of the bubble analysis of biopolymer network pores. Biophys. J. 2013, 104, 2774–2775. [Google Scholar] [CrossRef] [PubMed] [PubMed Central]
- Bredfeldt, J.S.; Liu, Y.; Pehlke, C.A.; Conklin, M.W.; Szulczewski, J.M.; Inman, D.R.; Keely, P.J.; Nowak, R.D.; Mackie, T.R.; Eliceiri, K.W. Computational segmentation of collagen fibers from second-harmonic generation images of breast cancer. J. Biomed. Opt. 2014, 19, 16007. [Google Scholar] [CrossRef] [PubMed] [PubMed Central]
- De Vries, J.J.; Laan, D.M.; Frey, F.; Koenderink, G.H.; de Maat, M.P.M. A systematic review and comparison of automated tools for quantification of fibrous networks. Acta Biomater. 2023, 157, 263–274. [Google Scholar] [CrossRef] [PubMed]
- Risman, R.A.; Belcher, H.A.; Ramanujam, R.K.; Weisel, J.W.; Hudson, N.E.; Tutwiler, V. Comprehensive Analysis of the Role of Fibrinogen and Thrombin in Clot Formation and Structure for Plasma and Purified Fibrinogen. Biomolecules 2024, 14, 230. [Google Scholar] [CrossRef] [PubMed] [PubMed Central]
- Karpati, L.; Penke, B.; Katona, E.; Balogh, I.; Vamosi, G.; Muszbek, L. A modified, optimized kinetic photometric assay for the determination of blood coagulation factor XIII activity in plasma. Clin. Chem. 2000, 46, 1946–1955. [Google Scholar] [CrossRef] [PubMed]
- Katona, E.; Haramura, G.; Karpati, L.; Fachet, J.; Muszbek, L. A simple, quick one-step ELISA assay for the determination of complex plasma factor XIII (A2B2). Thromb. Haemost. 2000, 83, 268–273. [Google Scholar] [CrossRef] [PubMed]
- Cederholm-Williams, S.A. Concentration of plasminogen and antiplasmin in plasma and serum. J. Clin. Pathol. 1981, 34, 979–981. [Google Scholar] [CrossRef] [PubMed] [PubMed Central]
- Agren, A.; Jorneskog, G.; Elgue, G.; Henriksson, P.; Wallen, H.; Wiman, B. Increased incorporation of antiplasmin into the fibrin network in patients with type 1 diabetes. Diabetes Care 2014, 37, 2007–2014. [Google Scholar] [CrossRef] [PubMed]
- Uitte de Willige, S.; Malfliet, J.; Abdul, S.; Leebeek, F.W.G.; Rijken, D.C. The level of circulating fibroblast activation protein correlates with incorporation of alpha-2-antiplasmin into the fibrin clot. Thromb. Res. 2018, 166, 19–21. [Google Scholar] [CrossRef] [PubMed]
- Leebeek, F.W.G.; Los, P.; Kluft, C. A monoclonal antibody against the COOH-terminal site of alpha2-antiplasmin reveals heterogeneity in the nonplasminogen binding form of alpha2-antiplasmin. Fibrinolysis 1996, 10, 67–70. [Google Scholar] [CrossRef]
- Undas, A.; Ariens, R.A. Fibrin clot structure and function: A role in the pathophysiology of arterial and venous thromboembolic diseases. Arter. Thromb. Vasc. Biol. 2011, 31, e88–e99. [Google Scholar] [CrossRef] [PubMed]
- Wiman, B.; Almqvist, A.; Ranby, M. The Non-Covalent Interaction between Plasmin and Alpha-2-Antiplasmin. Fibrinolysis 1989, 3, 231–235. [Google Scholar] [CrossRef]






| Parameters | Value | Reference Range |
|---|---|---|
| Age (years) | 33.2 ± 13.4 | na |
| Gender (male%) | 36.3 | na |
| Plasma levels of | ||
| FXIII activity (%) | 109.70 ± 26.77 | 69–143 |
| FXIII-A2B2 ag (mg/L) | 22.36 ± 5.07 | 14–28 |
| Fibrinogen (g/L) | 3.42 ± 0.55 | 1.5–4.0 |
| Plasminogen (%) | 105.0 (95.5–118.5) | 75–150 |
| Total-α2PI ag (mg/L) | 64.49 ± 7.56 | 48–85 |
| PB-α2PI ag (mg/L) | 43.12 (40.46–45.99) | - |
| PB-α2PI % (% of total-α2PI) | 68.03 ± 6.14 | - |
| NPB-α2PI ag (mg/L) | 20.83 ± 5.53 | - |
| PB-α2PI/NPB-α2PI ratio | 2.1 (1.75–2.57) | - |
| Parameters | Mean ± SD/Median (IQR) |
|---|---|
| α2PI incorporation | |
| Incorporated total-α2PI ag (mg/L) | 28.58 ± 5.6 |
| Incorporated total-α2PI ag (% of plasma total-α2PI) | 44.33 ± 6.3 |
| Incorporated PB-α2PI ag (mg/L) | 16.51 ± 3.8 |
| Incorporated PB-α2PI (% of plasma PB-α2PI) | 37.62 ± 6.5 |
| Incorporated NPB-α2PI ag (mg/L) | 12.07 ± 4.2 |
| Incorporated NPB-α2PI (% of plasma NPB-α2PI) | 58.07 ± 13.5 |
| Clot lysis | |
| CLT50 (min) | 28.0 (18.0–38.5) |
| MaxAbs (OD) | 1.26 ± 0.16 |
| AUC (mODxmin) | 22.60 ± 8.15 |
| Parameters | CLT50 | MaxAbs | AUC |
|---|---|---|---|
| FXIII activity (%) | 0.127 (0.261) | 0.438 (<0.001) | 0.332 (0.003) |
| FXIII-A2B2 ag (mg/L) | 0.050 (0.662) | 0.374 (<0.001) | 0.270 (0.015) |
| Fibrinogen (g/L) | 0.039 (0.733) | 0.518 (<0.001) | 0.120 (0.291) |
| Plasminogen activity (%) | 0.087 (0.451) | 0.434 (<0.001) | 0.183 (0.112) |
| Plasma total-α2PI ag (mg/L) | 0.399 (<0.001) | 0.249 (0.026) | 0.349 (0.002) |
| Plasma PB-α2PI ag (mg/L) | 0.172 (0.127) | 0.125 (0.270) | 0.151 (0.182) |
| Plasma NPB-α2PI ag (mg/L) | 0.409 (<0.001) | 0.231 (0.040) | 0.353 (0.001) |
| Plasma PB-α2PI/NPB-α2PI ratio | −0.327 (0.003) | −0.172 (0.127) | −0.294 (0.008) |
| Incorporated total-α2PI ag (mg/L) | 0.317 (0.004) | 0.458 (<0.001) | 0.396 (<0.001) |
| Incorporated PB-α2PI ag (mg/L) | 0.136 (0.229) | 0.295 (0.008) | 0.208 (0.064) |
| Incorporated NPB-α2PI ag (mg/L) | 0.298 (0.007) | 0.344 (0.002) | 0.339 (0.002) |
Disclaimer/Publisher’s Note: The statements, opinions and data contained in all publications are solely those of the individual author(s) and contributor(s) and not of MDPI and/or the editor(s). MDPI and/or the editor(s) disclaim responsibility for any injury to people or property resulting from any ideas, methods, instructions or products referred to in the content. |
© 2025 by the authors. Licensee MDPI, Basel, Switzerland. This article is an open access article distributed under the terms and conditions of the Creative Commons Attribution (CC BY) license (https://creativecommons.org/licenses/by/4.0/).
Share and Cite
Bogáti, R.; Baráth, B.; Pituk, D.; Orbán-Kálmándi, R.; Szűcs, P.; Hegyi, Z.; Bereczky, Z.; Bagoly, Z.; Katona, É. Effect of Alpha2-Plasmin Inhibitor C-Terminal Heterogeneity on Clot Lysis and Clot Structure. Biomolecules 2025, 15, 1127. https://doi.org/10.3390/biom15081127
Bogáti R, Baráth B, Pituk D, Orbán-Kálmándi R, Szűcs P, Hegyi Z, Bereczky Z, Bagoly Z, Katona É. Effect of Alpha2-Plasmin Inhibitor C-Terminal Heterogeneity on Clot Lysis and Clot Structure. Biomolecules. 2025; 15(8):1127. https://doi.org/10.3390/biom15081127
Chicago/Turabian StyleBogáti, Réka, Barbara Baráth, Dóra Pituk, Rita Orbán-Kálmándi, Péter Szűcs, Zoltán Hegyi, Zsuzsanna Bereczky, Zsuzsa Bagoly, and Éva Katona. 2025. "Effect of Alpha2-Plasmin Inhibitor C-Terminal Heterogeneity on Clot Lysis and Clot Structure" Biomolecules 15, no. 8: 1127. https://doi.org/10.3390/biom15081127
APA StyleBogáti, R., Baráth, B., Pituk, D., Orbán-Kálmándi, R., Szűcs, P., Hegyi, Z., Bereczky, Z., Bagoly, Z., & Katona, É. (2025). Effect of Alpha2-Plasmin Inhibitor C-Terminal Heterogeneity on Clot Lysis and Clot Structure. Biomolecules, 15(8), 1127. https://doi.org/10.3390/biom15081127

