Establishing a Novel E. coli Heterologous Secretion Expression System Mediated by mScarlet3 for the Expression of a Novel Lipolytic Enzyme
Abstract
1. Introduction
2. Materials and Methods
2.1. Bacteria, Plasmids, Media and Reagents
2.2. Expression and Recovery of LipHu6 Fused with sfGFP(-15)
2.3. Expression and Recovering of LipHu6 Fused with mScarlet3
2.4. Purification of the Recombinant Proteins with Ni-Affinity Chromatography
2.5. Sodium Dodecyl Sulfate Polyacrylamide Gel Electrophoresis (SDS-PAGE)
2.6. Analysis of the Enzymatic Activity of LipHu6
2.7. Analysis of Enzymatic Characteristics
2.8. Kinetic Analysis
3. Results
3.1. The Bioinformation Analysis of mScarlet3 Protein
3.2. The Secretion Expression of mScarlet3 Protein with E. coli as the Host
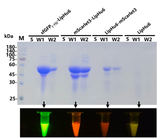
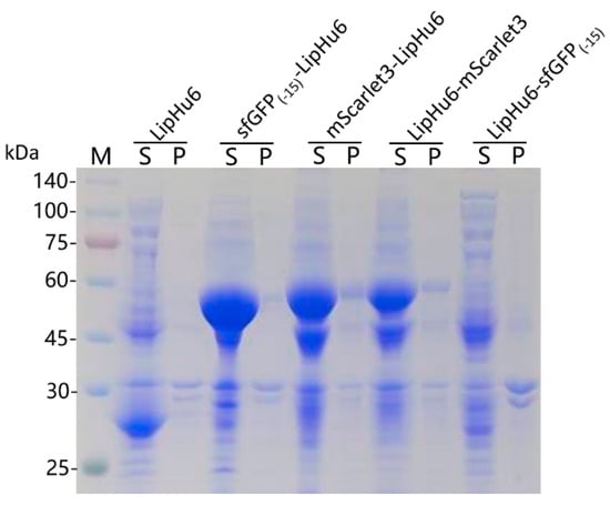
3.3. The Secretion Expression of Lipase Hu6 Fused with Fluorescent Protein Tags
3.4. The Effect of Fluorescent Protein Tags on the Activity of the Recombinant LipHu6
3.5. The Effect of mScarlet3 on the Kinetic of LipHu6
4. Discussions
5. Conclusions
Supplementary Materials
Author Contributions
Funding
Institutional Review Board Statement
Informed Consent Statement
Data Availability Statement
Conflicts of Interest
References
- Stergiou, P.Y.; Foukis, A.; Filippou, M.; Koukouritaki, M.; Parapouli, M.; Theodorou, L.G.; Hatziloukas, E.; Afendra, A.; Pandey, A.; Papamichael, E.M. Advances in lipase-catalyzed esterification reactions. Biotechnol. Adv. 2013, 31, 1846–1859. [Google Scholar] [CrossRef] [PubMed]
- Cheng, Y.Y.; Qian, Y.K.; Li, Z.F.; Wu, Z.H.; Liu, H.; Li, Y.Z. A novel cold-adapted lipase from Sorangium cellulosum strain So0157-2: Gene cloning, expression, and enzymatic characterization. Int. J. Mol. Sci. 2011, 12, 6765–6780. [Google Scholar] [CrossRef]
- Verger, R. ‘Interfacial activation’ of lipases: Facts and artifacts. Trends Biotechnol. 1997, 15, 32–38. [Google Scholar] [CrossRef]
- Reis, P.; Holmberg, K.; Watzke, H.; Leser, M.E.; Miller, R. Lipases at interfaces: A review. Adv. Colloid. Interface. Sci. 2009, 147–148, 237–250. [Google Scholar] [CrossRef] [PubMed]
- Brzozowski, A.M.; Derewenda, U.; Derewenda, Z.S.; Dodson, G.G.; Lawson, D.M.; Turkenburg, J.P.; Bjorkling, F.; Huge-Jensen, B.; Patkar, S.A.; Thim, L. A model for interfacial activation in lipases from the structure of a fungal lipase-inhibitor complex. Nature 1991, 351, 491–494. [Google Scholar] [CrossRef] [PubMed]
- Schmid, R.D.; Verger, R. Lipases: Interfacial Enzymes with Attractive Applications. Angew. Chem. Int. Ed. Engl. 1998, 37, 1608–1633. [Google Scholar] [CrossRef]
- Jaeger, K.E.; Dijkstra, B.W.; Reetz, M.T. Bacterial biocatalysts: Molecular biology, three-dimensional structures, and biotechnological applications of lipases. Annu. Rev. Microbiol. 1999, 53, 315–351. [Google Scholar] [CrossRef] [PubMed]
- Monteiro, R.R.C.; Arana-Pea, S.; Da Rocha, T.N.; Miranda, L.P.; Berenguer-Murcia, N.; Tardioli, P.W.; dos Santos, J.C.S.; Fernandez-Lafuente, R. Liquid lipase preparations designed for industrial production of biodiesel. Is it really an optimal solution? Renew. Energy 2021, 164, 1566–1587. [Google Scholar] [CrossRef]
- Calero, J.; Verdugo, C.; Luna, D.; Sancho, E.D.; Luna, C.; Posadillo, A.; Bautista, F.M.; Romero, A.A. Selective ethanolysis of sunflower oil with Lipozyme RM IM, an immobilized Rhizomucor miehei lipase, to obtain a biodiesel-like biofuel, which avoids glycerol production through the monoglyceride formation. New Biotechnol. 2014, 31, 596–601. [Google Scholar] [CrossRef]
- Reetz, M.T. Lipases as practical biocatalysts. Curr. Opin. Chem. Biol. 2002, 6, 145–150. [Google Scholar] [CrossRef]
- Huang, Z.; Guo, Z.; Xie, D.; Cao, Z.; Chen, L.; Wang, H.; Jiang, L.; Shen, Q. Rhizomucor miehei lipase-catalysed synthesis of cocoa butter equivalent from palm mid-fraction and stearic acid: Characteristics and feasibility as cocoa butter alternative. Food Chem. 2021, 343, 128407. [Google Scholar] [CrossRef]
- Zou, X.; Huang, J.; Jin, Q.; Guo, Z.; Liu, Y.; Cheong, L.; Xu, X.; Wang, X. Lipid composition analysis of milk fats from different mammalian species: Potential for use as human milk fat substitutes. J. Agric. Food Chem. 2013, 61, 7070–7080. [Google Scholar] [CrossRef] [PubMed]
- Liu, C.; Gong, J.S.; Su, C.; Li, H.; Li, H.; Rao, Z.M.; Xu, Z.H.; Shi, J.S. Pathway engineering facilitates efficient protein expression in Pichia pastoris. Appl. Microbiol. Biotechnol. 2022, 106, 5893–5912. [Google Scholar] [CrossRef] [PubMed]
- Burdette, L.A.; Leach, S.A.; Wong, H.T.; Tullman-Ercek, D. Developing Gram-negative bacteria for the secretion of heterologous proteins. Microb. Cell Fact. 2018, 17, 196. [Google Scholar] [CrossRef] [PubMed]
- Rong, Y.; Jensen, S.I.; Lindorff-Larsen, K.; Nielsen, A.T. Folding of heterologous proteins in bacterial cell factories: Cellular mechanisms and engineering strategies. Biotechnol. Adv. 2023, 63, 108079. [Google Scholar] [CrossRef]
- Jiang, R.; Yuan, S.; Zhou, Y.; Wei, Y.; Li, F.; Wang, M.; Chen, B.; Yu, H. Strategies to overcome the challenges of low or no expression of heterologous proteins in Escherichia coli. Biotechnol. Adv. 2024, 75, 108417. [Google Scholar] [CrossRef]
- Yang, M.; Su, X.; Yang, J.; Lu, Z.; Zhou, J.; Wang, F.; Liu, Y.; Ma, L.; Zhai, C. A Whole-Process Visible Strategy for the Preparation of Rhizomucor miehei Lipase with Escherichia coli Secretion Expression System and the Immobilization. Microb. Cell Fact. 2024, 23, 155. [Google Scholar] [CrossRef]
- Vorobieva, A.A.; White, P.; Liang, B.; Horne, J.E.; Bera, A.K.; Chow, C.M.; Gerben, S.; Marx, S.; Kang, A.; Stiving, A.Q.; et al. De novo design of transmembrane β barrels. Science 2021, 371, eabc8182. [Google Scholar] [CrossRef]
- Matz, M.V.; Fradkov, A.F.; Labas, Y.A.; Savitsky, A.P.; Zaraisky, A.G.; Markelov, M.L.; Lukyanov, S.A. Fluorescent proteins from nonbioluminescent Anthozoa species. Nat. Biotechnol. 1999, 17, 969–973. [Google Scholar] [CrossRef]
- Verkhusha, V.V.; Lukyanov, K.A. The molecular properties and applications of Anthozoa fluorescent proteins and chromoproteins. Nat. Biotechnol. 2004, 22, 289–296. [Google Scholar] [CrossRef]
- Bindels, D.S.; Haarbosch, L.; van Weeren, L.; Postma, M.; Wiese, K.E.; Mastop, M.; Aumonier, S.; Gotthard, G.; Royant, A.; Hink, M.A.; et al. mScarlet: A bright monomeric red fluorescent protein for cellular imaging. Nat. Methods. 2017, 14, 53–56. [Google Scholar] [CrossRef] [PubMed]
- Gadella, T.W.J., Jr.; van Weeren, L.; Stouthamer, J.; Hink, M.A.; Wolters, A.H.G.; Giepmans, B.N.G.; Aumonier, S.; Dupuy, J.; Royant, A. mScarlet3: A brilliant and fast-maturing red fluorescent protein. Nat. Methods 2023, 20, 541–545. [Google Scholar] [CrossRef]
- Sambrook, J.; Russell, D.W. Molecular Cloning: A Laboratory Mannual, 3rd ed.; Cold Spring Harbor Laboratory Press: Cold Spring Harbor, NY, USA, 2001. [Google Scholar]
- Yu, F.; Li, X.; Wang, F.; Liu, Y.; Zhai, C.; Li, W.; Ma, L.; Chen, W. TLTC, a T5 exonuclease-mediated low-temperature DNA cloning method. Front. Bioeng. Biotechnol. 2023, 11, 1167534. [Google Scholar] [CrossRef] [PubMed]
- Kaur, J.; Kumar, A.; Kaur, J. Strategies for optimization of heterologous protein expression in E. coli: Roadblocks and reinforcements. Int. J. Biol. Macromol. 2018, 106, 803–822. [Google Scholar] [CrossRef]
- van Roosmalen, M.L.; Geukens, N.; Jongbloed, J.D.; Tjalsma, H.; Dubois, J.Y.; Bron, S.; van Dijl, J.M.; Anné, J. Type I signal peptidases of Gram-positive bacteria. Biochim. Biophys. Acta 2004, 1694, 279–297. [Google Scholar] [CrossRef]
- Su, Y.; Liu, C.; Fang, H.; Zhang, D. Bacillus subtilis: A universal cell factory for industry, agriculture, biomaterials and medicine. Microb. Cell Fact. 2020, 19, 173. [Google Scholar] [CrossRef]
- Cereghino, G.P.; Cregg, J.M. Applications of yeast in biotechnology: Protein production and genetic analysis. Curr. Opin. Biotechnol. 1999, 10, 422–427. [Google Scholar] [CrossRef] [PubMed]
- Cereghino, G.P.; Cereghino, J.L.; Ilgen, C.; Cregg, J.M. Production of recombinant proteins in fermenter cultures of the yeast Pichia pastoris. Curr. Opin. Biotechnol. 2002, 13, 329–332. [Google Scholar] [CrossRef]
- Feng, Y.; Liu, S.; Jiao, Y.; Gao, H.; Wang, M.; Du, G.; Chen, J. Enhanced extracellular production of L-asparaginase from Bacillus subtilis 168 by B. subtilis WB600 through a combined strategy. Appl. Microbiol. Biotechnol. 2017, 101, 1509–1520. [Google Scholar] [CrossRef]
- Takahara, M.; Hibler, D.W.; Barr, P.J.; Gerlt, J.A.; Inouye, M. The ompA signal peptide directed secretion of Staphylococcal nuclease A by Escherichia coli. J. Biol. Chem. 1985, 260, 2670–2674. [Google Scholar] [CrossRef]
- Schofield, D.M.; Sirka, E.; Keshavarz-Moore, E.; Ward, J.M.; Nesbeth, D.N. Improving Fab’ fragment retention in an autonucleolytic Escherichia coli strain by swapping periplasmic nuclease translocation signal from OmpA to DsbA. Biotechnol. Lett. 2017, 39, 1865–1873. [Google Scholar] [CrossRef] [PubMed]
- Kurokawa, Y.; Yanagi, H.; Yura, T. Overproduction of bacterial protein disulfide isomerase (DsbC) and its modulator (DsbD) markedly enhances periplasmic production of human nerve growth factor in Escherichia coli. J. Biol. Chem. 2001, 276, 14393–14399. [Google Scholar] [CrossRef] [PubMed]
- Cui, L.; Qiu, Y.; Liang, Y.; Du, C.; Dong, W.; Cheng, C.; He, B. Excretory expression of IsPETase in E. coli by an enhancer of signal peptides and enhanced PET hydrolysis. Int. J. Biol. Macromol. 2021, 188, 568–575. [Google Scholar] [CrossRef]
- Bergès, H.; Joseph-Liauzun, E.; Fayet, O. Combined effects of the signal sequence and the major chaperone proteins on the export of human cytokines in Escherichia coli. Appl. Environ. Microbiol. 1996, 62, 55–60. [Google Scholar] [CrossRef]
- Baneyx, F. Recombinant protein expression in Escherichia coli. Curr. Opin. Biotechnol. 1999, 10, 411–421. [Google Scholar] [CrossRef] [PubMed]
- Zhang, Z.; Tang, R.; Zhu, D.; Wang, W.; Yi, L.; Ma, L. Non-peptide guided auto-secretion of recombinant proteins by super-folder green fluorescent protein in Escherichia coli. Sci. Rep. 2017, 7, 6990. [Google Scholar] [CrossRef]
- Zhang, H.; Li, X.; Liu, Q.; Sun, J.; Secundo, F.; Mao, X. Construction of a Super-Folder Fluorescent Protein-Guided Secretory Expression System for the Production of Phospholipase D in Bacillus subtilis. J. Agric. Food Chem. 2021, 69, 6842–6849. [Google Scholar] [CrossRef]




| Substrate | LipHu6 | sfGFP(-15)-LipHu6 | mScarlet3-LipHu6 | LipHu6-mScarlet3 |
|---|---|---|---|---|
| p-NPA | 58.7 ± 2.0 | 19.0 ± 1.9 | 47.3 ± 0.8 | 31.7 ± 3.9 |
| p-NPB | 100.0 ± 1.0 | 76.1 ± 3.0 | 103.4 ± 5.2 | 88.2 ± 2.1 |
| p-NPO | 29.0 ± 0.8 | 22.1 ± 4.0 | 26.9 ± 2.1 | 17.3 ± 1.5 |
| p-NPL | 13.8 ± 1.0 | 14.6 ± 7.2 | 20.8 ± 3.4 | 14.3 ± 4.3 |
| p-NPP | 29.5 ± 3.4 | 35.2 ± 5.8 | 41.7 ± 1.8 | 43.8 ± 4.1 |
| p-NPS | 28.1 ± 2.2 | 31.9 ± 4.3 | 48.7 ± 2.6 | 45.9 ± 1.1 |
| Enzyme | kcat (s−1) | Km (mmol·L−1) | kcat/Km (mmol−1·L·s−1) |
|---|---|---|---|
| mScarlet3-LipHu6 | 29.82 ± 3.56 | 0.57 ± 0.08 | 52.27 ± 6.28 |
| LipHu6-mScarlet3 | 25.92 ± 2.31 | 0.85 ± 0.03 | 30.53 ± 2.01 |
Disclaimer/Publisher’s Note: The statements, opinions and data contained in all publications are solely those of the individual author(s) and contributor(s) and not of MDPI and/or the editor(s). MDPI and/or the editor(s) disclaim responsibility for any injury to people or property resulting from any ideas, methods, instructions or products referred to in the content. |
© 2025 by the authors. Licensee MDPI, Basel, Switzerland. This article is an open access article distributed under the terms and conditions of the Creative Commons Attribution (CC BY) license (https://creativecommons.org/licenses/by/4.0/).
Share and Cite
Yang, J.; Yang, M.; Liu, H.; Liu, X.; Wang, F.; Li, W.; Liu, Y.; Zhai, C.; Ma, L. Establishing a Novel E. coli Heterologous Secretion Expression System Mediated by mScarlet3 for the Expression of a Novel Lipolytic Enzyme. Biomolecules 2025, 15, 842. https://doi.org/10.3390/biom15060842
Yang J, Yang M, Liu H, Liu X, Wang F, Li W, Liu Y, Zhai C, Ma L. Establishing a Novel E. coli Heterologous Secretion Expression System Mediated by mScarlet3 for the Expression of a Novel Lipolytic Enzyme. Biomolecules. 2025; 15(6):842. https://doi.org/10.3390/biom15060842
Chicago/Turabian StyleYang, Jun, Mingjun Yang, Huichen Liu, Xinyu Liu, Fei Wang, Wenqiang Li, Yang Liu, Chao Zhai, and Lixin Ma. 2025. "Establishing a Novel E. coli Heterologous Secretion Expression System Mediated by mScarlet3 for the Expression of a Novel Lipolytic Enzyme" Biomolecules 15, no. 6: 842. https://doi.org/10.3390/biom15060842
APA StyleYang, J., Yang, M., Liu, H., Liu, X., Wang, F., Li, W., Liu, Y., Zhai, C., & Ma, L. (2025). Establishing a Novel E. coli Heterologous Secretion Expression System Mediated by mScarlet3 for the Expression of a Novel Lipolytic Enzyme. Biomolecules, 15(6), 842. https://doi.org/10.3390/biom15060842

