History and Perspective of LAMP-2 Deficiency (Danon Disease)
Abstract
1. Concept and History of Danon Disease
2. Clinical Symptoms
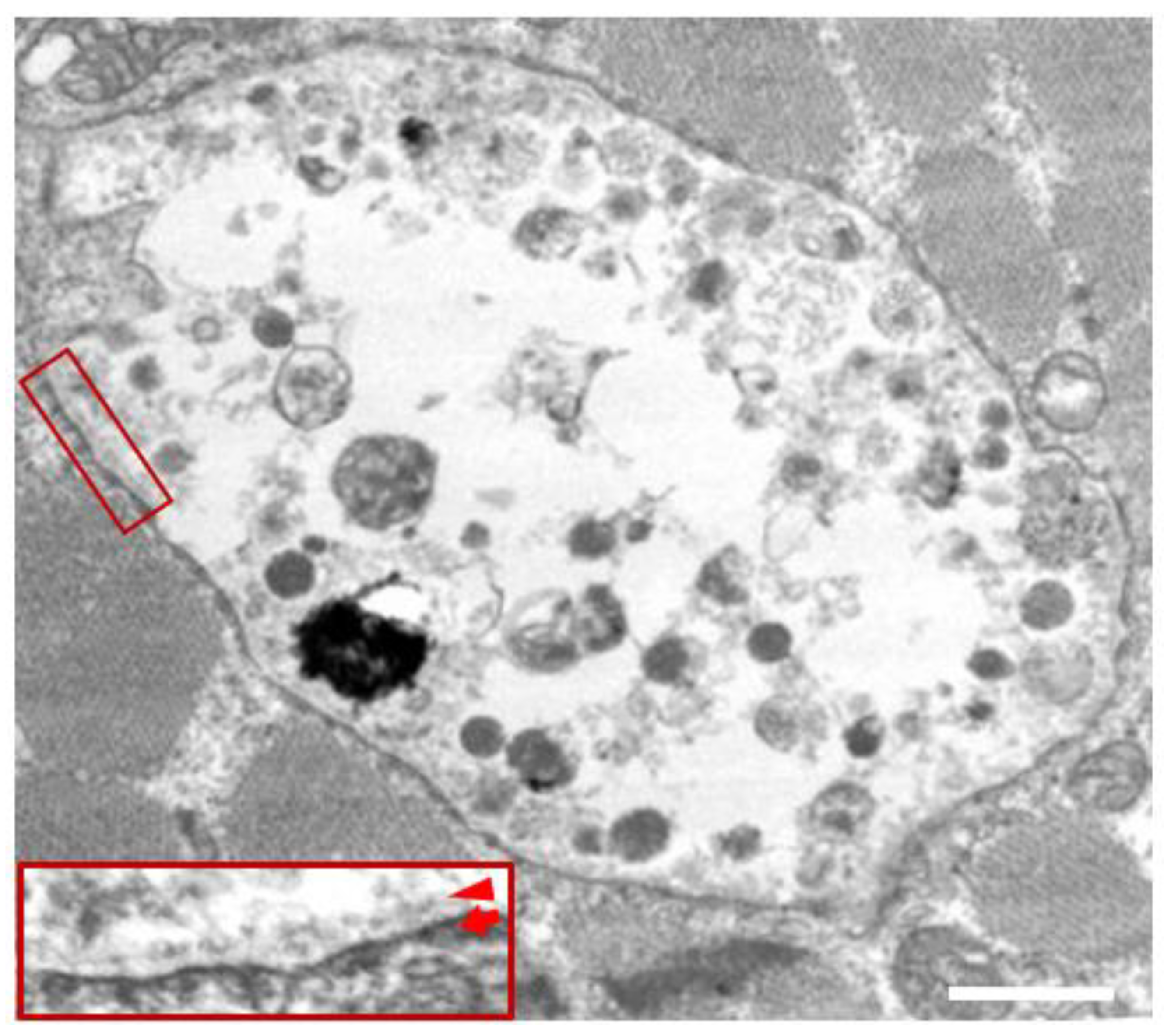
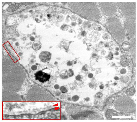
3. Muscle Pathology
4. Biochemical and Genetic Characteristics of LAMP-2 and Autophagy
5. Definitive Diagnosis
6. Treatment and Prognosis
7. Research for Novel Therapeutic Strategies of Danon Disease
8. Conclusions
Author Contributions
Funding
Acknowledgments
Conflicts of Interest
Abbreviations
| AVSF | autophagic vacuoles with sarcolemmal features |
| CK | creatine kinase |
| LAMP-2 | lysosome-associated membrane protein-2 |
| LIMP-1 | lysosomal integral membrane protein-1 |
References
- Danon, M.J.; Oh, S.J.; DiMauro, S.; Manaligod, J.R.; Eastwood, A.; Naidu, S.; Schliselfeld, L.H. Lysosomal glycogen storage disease with normal acid maltase. Neurology 1981, 31, 51–57. [Google Scholar] [CrossRef] [PubMed]
- Nishino, I.; Fu, J.; Tanji, K.; Yamada, T.; Shimojo, S.; Koori, T.; Mora, M.; Riggs, J.E.; Oh, S.J.; Koga, Y.; et al. Primary LAMP-2 deficiency causes X-linked vacuolar cardiomyopathy and myopathy (Danon disease). Nature 2000, 406, 906–910. [Google Scholar] [CrossRef] [PubMed]
- Sugie, K.; Yamamoto, A.; Murayama, K.; Oh, S.J.; Takahashi, M.; Mora, M.; Riggs, J.E.; Colomer, J.; Iturriaga, C.; Meloni, A.; et al. Clinicopathological features of genetically confirmed Danon disease. Neurology 2002, 58, 1773–1778. [Google Scholar] [CrossRef] [PubMed]
- Cenacchi, G.; Papa, V.; Pegoraro, V.; Marozzo, R.; Fanin, M.; Angelini, C. Danon disease: Review of natural history and recent advances. Neuropathol. Appl. Neurobiol. 2020, 46, 303–322. [Google Scholar] [CrossRef] [PubMed]
- Sugie, K.; Komaki, H.; Eura, N.; Shiota, T.; Onoue, K.; Tsukaguchi, H.; Minami, N.; Ogawa, M.; Kiriyama, T.; Kataoka, H.; et al. A Nationwide Survey on Danon Disease in Japan. Int. J. Mol. Sci. 2018, 19, 3507. [Google Scholar] [CrossRef]
- Sugie, K.; Yoshizawa, H.; Onoue, K.; Nakanishi, Y.; Eura, N.; Ogawa, M.; Nakano, T.; Sakaguchi, Y.; Hayashi, Y.K.; Kishimoto, T.; et al. Early onset of cardiomyopathy and intellectual disability in a girl with Danon disease associated with a de novo novel mutation of the LAMP-2 gene. Neuropathology 2016, 36, 561–565. [Google Scholar] [CrossRef]
- Maron, B.J.; Roberts, W.C.; Arad, M.; Haas, T.S.; Spirito, P.; Wright, G.B.; Almquist, A.K.; Baffa, J.M.; Saul, J.P.; Ho, C.Y. Clinical outcome and phenotypic expression in LAMP-2 cardiomyopathy. JAMA 2009, 301, 1253–1259. [Google Scholar] [CrossRef]
- Miani, D.; Taylor, M.; Mestroni, L.; D’Aurizio, F.; Finato, N.; Fanin, M.; Brigido, S.; Proclemer, A. Sudden death associated with danon disease in women. Am. J. Cardiol. 2012, 109, 406–411. [Google Scholar] [CrossRef]
- Sugie, K. Editorial commentary: Highlighting the ray of hope in Danon disease research after 40 years. Trends Cardiovasc. Med. 2023, 33, 90–91. [Google Scholar] [CrossRef]
- Zhai, Y.; Miao, J.; Peng, Y.; Wang, Y.; Dong, J.; Zhao, X. Clinical features of Danon disease and insights gained from LAMP-2 deficiency models. Trends Cardiovasc. Med. 2023, 33, 81–89. [Google Scholar] [CrossRef]
- Sugie, K.; Koori, T.; Yamamoto, A.; Ogawa, M.; Hirano, M.; Inoue, K.; Nonaka, I.; Nishino, I. Characterization of Danon disease in a male patient and his affected mother. Neuromuscul. Disord. 2003, 13, 708–711. [Google Scholar] [CrossRef] [PubMed]
- Boucek, D.; Jirikowic, J.; Taylor, M. Natural history of Danon disease. Genet. Med. 2011, 13, 563–568. [Google Scholar] [CrossRef] [PubMed]
- Arad, M.; Maron, B.J.; Gorham, J.M.; Johnson, W.H., Jr.; Saul, J.P.; Perez-Atayde, A.R.; Spirito, P.; Wright, G.B.; Kanter, R.J.; Seidman, C.E.; et al. Glycogen storage diseases presenting as hypertrophic cardiomyopathy. N. Engl. J. Med. 2005, 352, 362–372. [Google Scholar] [CrossRef] [PubMed]
- Nguyen, H.T.; Noguchi, S.; Sugie, K.; Matsuo, Y.; Nguyen, C.T.H.; Koito, H.; Shiojima, I.; Nishino, I.; Tsukaguchi, H. Small-Vessel Vasculopathy Due to Aberrant Autophagy in LAMP-2 Deficiency. Sci. Rep. 2018, 8, 3326. [Google Scholar] [CrossRef] [PubMed]
- Sugie, K.; Noguchi, S.; Kozuka, Y.; Arikawa-Hirasawa, E.; Tanaka, M.; Yan, C.; Saftig, P.; von Figura, K.; Hirano, M.; Ueno, S.; et al. Autophagic vacuoles with sarcolemmal features delineate Danon disease and related myopathies. J. Neuropathol. Exp. Neurol. 2005, 64, 513–522. [Google Scholar] [CrossRef] [PubMed]
- Sugie, K.; Nishino, I. Lysosomal Membrane Disorders: LAMP-2 Deficiency. In Rosenberg’s Molecular and Genetic Basis of Neurological and Psychiatric Disease, 6th ed.; Rosenberg, R.N., Pascual, J.M., Eds.; Elsevier: Amsterdam, The Netherlands, 2020; pp. 567–574. [Google Scholar]
- Fanin, M.; Nascimbeni, A.C.; Fulizio, L.; Spinazzi, M.; Melacini, P.; Angelini, C. Generalized LAMP-2 defect explains multisystem clinical involvement and allows leukocyte diagnostic screening in Danon disease. Am. J. Pathol. 2006, 168, 1309–1320. [Google Scholar] [CrossRef]
- Kim, H.; Cho, A.; Lim, B.C.; Kim, M.J.; Kim, K.J.; Nishino, I.; Hwang, Y.S.; Chae, J.H. A 13-year-old girl with proximal weakness and hypertrophic cardiomyopathy with Danon disease. Muscle Nerve 2010, 41, 879–882. [Google Scholar] [CrossRef]
- Majer, F.; Vlaskova, H.; Krol, L.; Kalina, T.; Kubanek, M.; Stolnaya, L.; Dvorakova, L.; Elleder, M.; Sikora, J. Danon disease: A focus on processing of the novel LAMP2 mutation and comments on the beneficial use of peripheral white blood cells in the diagnosis of LAMP2 deficiency. Gene 2012, 498, 183–195. [Google Scholar] [CrossRef]
- Xu, J.; Wang, L.; Liu, X.; Dai, Q. A novel LAMP2 p.G93R mutation associated with mild Danon disease presenting with familial hypertrophic cardiomyopathy. Mol. Genet. Genom. Med. 2019, 7, e00941. [Google Scholar] [CrossRef]
- Majer, F.; Kousal, B.; Dusek, P.; Piherova, L.; Reboun, M.; Mihalova, R.; Gurka, J.; Krebsova, A.; Vlaskova, H.; Dvorakova, L.; et al. Alu-mediated Xq24 deletion encompassing CUL4B, LAMP2, TMEM255A, and ZBTB33 genes causes Danon disease in a female patient. Am. J. Med. Genet. A 2020, 182, 219–223. [Google Scholar] [CrossRef] [PubMed]
- Fernández, L.; Casamayor Polo, L.; Bravo García-Morato, M.; Enguita Valls, A.B.; Ruiz-Bravo, E.; Muñoz-Cabello, P.; Ibáñez, K.; Rodríguez-Laguna, L.; Martín-Arenas, R.; Ortega, M.; et al. Molecular and histologic insights on early onset cardiomyopathy in Danon disease females. Clin. Genet. 2021, 99, 481–483. [Google Scholar] [CrossRef] [PubMed]
- Hedberg Oldfors, C.; Máthé, G.; Thomson, K.; Tulinius, M.; Karason, K.; Östman-Smith, I.; Oldfors, A. Early onset cardiomyopathy in females with Danon disease. Neuromuscul. Disord. 2015, 25, 493–501. [Google Scholar] [CrossRef] [PubMed]
- Tanaka, Y.; Guhde, G.; Suter, A.; Eskelinen, E.L.; Hartmann, D.; Lüllmann-Rauch, R.; Janssen, P.M.; Blanz, J.; von Figura, K.; Saftig, P. Accumulation of autophagic vacuoles and cardiomyopathy in LAMP-2-deficient mice. Nature 2000, 406, 902–906. [Google Scholar] [CrossRef] [PubMed]
- Alcalai, R.; Arad, M.; Wakimoto, H.; Yadin, D.; Gorham, J.; Wang, L.; Burns, E.; Maron, B.J.; Roberts, W.C.; Konno, T.; et al. LAMP2 Cardiomyopathy: Consequences of Impaired Autophagy in the Heart. J. Am. Heart Assoc. 2021, 10, e018829. [Google Scholar] [CrossRef]
- Hashem, S.I.; Perry, C.N.; Bauer, M.; Han, S.; Clegg, S.D.; Ouyang, K.; Deacon, D.C.; Spinharney, M.; Panopoulos, A.D.; Izpisua Belmonte, J.C.; et al. Brief report: Oxidative stress mediates cardiomyocyte apoptosis in a human model of danon disease and heart failure. Stem Cells 2015, 33, 2343–2350. [Google Scholar] [CrossRef]
- Hashem, S.I.; Murphy, A.N.; Divakaruni, A.S.; Klos, M.L.; Nelson, B.C.; Gault, E.C.; Rowland, T.J.; Perry, C.N.; Gu, Y.; Dalton, N.D.; et al. Impaired mitophagy facilitates mitochondrial damage in Danon disease. J. Mol. Cell Cardiol. 2017, 108, 86–94. [Google Scholar] [CrossRef]
- Chi, C.; Leonard, A.; Knight, W.E.; Beussman, K.M.; Zhao, Y.; Cao, Y.; Londono, P.; Aune, E.; Trembley, M.A.; Small, E.M.; et al. LAMP-2B regulates human cardiomyocyte function by mediating autophagosome-lysosome fusion. Proc. Natl. Acad. Sci. USA 2019, 116, 556–565. [Google Scholar] [CrossRef]
- Kleefeld, F.; Hentschel, A.; von Moers, A.; Hahn, K.; Horvath, R.; Goebel, H.H.; Preusse, C.; Schallner, J.; Schuelke, M.; Roos, A.; et al. Beyond vacuolar pathology: Multiomic profiling of Danon disease reveals dysfunctional mitochondrial homeostasis. Neuropathol. Appl. Neurobiol. 2023, 49, e12920. [Google Scholar] [CrossRef]
- Yamada, T.; Dawson, T.M.; Yanagawa, T.; Iijima, M.; Sesaki, H. SQSTM1/p62 promotes mitochondrial ubiquitination independently of PINK1 and PRKN/parkin in mitophagy. Autophagy 2019, 15, 2012–2018. [Google Scholar] [CrossRef]
- Pickles, S.; Vigié, P.; Youle, R.J. Mitophagy and quality control mechanisms in mitochondrial maintenance. Curr. Biol. 2018, 28, R170–R185. [Google Scholar] [CrossRef]
- Yasui, T.; Nagaoka, U.; Oya, Y.; Uruha, A.; Karashima, J.; Funai, A.; Miyamoto, K.; Matsubara, S.; Sugaya, K.; Takahashi, K.; et al. Mild form of Danon disease: Two case reports. Neuromuscul. Disord. 2021, 31, 1207–1211. [Google Scholar] [CrossRef] [PubMed]
- Hayashi, T.; Tanimoto, K.; Hirayama-Yamada, K.; Tsuda, E.; Ayusawa, M.; Nunoda, S.; Hosaki, A.; Kimura, A. Genetic background of Japanese patients with pediatric hypertrophic restrictive cardiomyopathy. J. Hum. Genet. 2018, 63, 989–996. [Google Scholar] [CrossRef] [PubMed]
- Shimozono, T.; Ueno, K.; Shiokawa, N.; Ohno, S.; Kawano, Y. Early diagnosis of infantile Danon disease complicated by tetralogy of Fallot. Pediatr. Int. 2021, 63, 988–990. [Google Scholar] [CrossRef] [PubMed]
- Gandaeva, L.; Sonicheva-Paterson, N.; McKenna, W.J.; Savostyanov, K.; Myasnikov, R.; Pushkov, A.; Zhanin, I.; Barskiy, V.; Zharova, O.; Silnova, I.; et al. Clinical features of pediatric Danon disease and the importance of early diagnosis. Int. J. Cardiol. 2023, 389, 131189. [Google Scholar] [CrossRef] [PubMed]
- Fu, L.; Luo, S.; Cai, S.; Hong, W.; Guo, Y.; Wu, J.; Liu, T.; Zhao, C.; Li, F.; Huang, H.; et al. Identification of LAMP2 Mutations in Early-Onset Danon Disease with Hypertrophic Cardiomyopathy by Targeted Next-Generation Sequencing. Am. J. Cardiol. 2016, 118, 888–894. [Google Scholar] [CrossRef] [PubMed]
- Hong, K.N.; Battikha, C.; John, S.; Lin, A.; Bui, Q.M.; Brambatti, M.; Storm, G.; Boynton, K.; Medina-Hernandez, D.; Garcia-Alvarez, A.; et al. Cardiac Transplantation in Danon Disease. J. Card. Fail. 2022, 28, 664–669. [Google Scholar] [CrossRef]
- Andrejewski, N.; Punnonen, E.L.; Guhde, G.; Tanaka, Y.; Lüllmann-Rauch, R.; Hartmann, D.; von Figura, K.; Saftig, P. Normal lysosomal morphology and function in LAMP-1-deficient mice. J. Biol. Chem. 1999, 274, 12692–12701. [Google Scholar] [CrossRef]
- Wang, L.; Wang, J.; Cai, W.; Shi, Y.; Zhou, X.; Guo, G.; Guo, C.; Huang, X.; Han, Z.; Zhang, S.; et al. A Critical Evaluation of Liver Pathology in Humans with Danon Disease and Experimental Correlates in a Rat Model of LAMP-2 Deficiency. Clin. Rev. Allergy Immunol. 2017, 53, 105–116. [Google Scholar] [CrossRef] [PubMed]
- Dvornikov, A.V.; Wang, M.; Yang, J.; Zhu, P.; Le, T.; Lin, X.; Cao, H.; Xu, X. Phenotyping an adult zebrafish lamp2 cardiomyopathy model identifies mTOR inhibition as a candidate therapy. J. Mol. Cell Cardiol. 2019, 133, 199–208. [Google Scholar] [CrossRef]
- Li, X.; Fu, W.; Guo, G.; Liu, M.; Du, W.; Zhao, J.; Liu, Y.; Wang, L.; Dong, J.; Zhao, X. A heterozygous MYH7 (c. 2156G > A) mutant human induced pluripotent stem cell line (ZZUNEUi020-A) generated from a patient with hypertrophic cardiomyopathy. Stem Cell Res. 2021, 51, 102158. [Google Scholar] [CrossRef]
- Yadin, D.; Guetta, T.; Petrover, Z.; Alcalai, R.; Seidman, J.; Seidman, C.E.; Ofek, E.; Kornowski, R.; Hochhauser, E.; Arad, M. Effect of pharmacological heart failure drugs and gene therapy on Danon’s cardiomyopathy. Biochem. Pharmacol. 2023, 215, 115735. [Google Scholar] [CrossRef] [PubMed]
- Zhou, L.; Ma, B.; Han, X. The role of autophagy in angiotensin II-induced pathological cardiac hyper-trophy. J. Mol. Endocrinol. 2016, 57, R143–R152. [Google Scholar] [CrossRef] [PubMed]
- Manso, A.M.; Hashem, S.I.; Nelson, B.C.; Gault, E.; Soto-Hermida, A.; Villarruel, E.; Brambatti, M.; Bogomolovas, J.; Bushway, P.J.; Chen, C.; et al. Systemic AAV9.LAMP2B injection reverses metabolic and physiologic multiorgan dysfunction in a murine model of Danon disease. Sci. Transl. Med. 2020, 12, eaax1744. [Google Scholar] [CrossRef] [PubMed]
- Greenberg, B.; Eshraghian, E.; Battiprolu, P.; Ricks, D.; Yarabe, P.; Schwartz, J.; Patel, K.; Shah, G.; Trevejo, J. Results from first-in-human clinical trial of RP-A501 (AAV9: LAMP2B) gene therapy treatment for Danon disease. Circulation 2021, 144 (Suppl. S1), A10727. [Google Scholar] [CrossRef]
- Available online: https://clinicaltrials.gov (accessed on 30 August 2024).
- Heidenreich, P.A.; Bozkurt, B.; Aguilar, D.; Allen, L.A.; Byun, J.J.; Colvin, M.M.; Deswal, A.; Drazner, M.H.; Dunlay, S.M.; Evers, L.R.; et al. 2022 AHA/ACC/HFSA guideline for the management of heart failure: Executive summary: A report of the American College of Cardiology/American Heart Association Joint Committee on Clinical Practice Guidelines. J. Am. Coll. Cardiol. 2022, 79, 1757–1780. [Google Scholar] [CrossRef]
- Sugie, K. Autophagic vacuolar myopathy: Danon disease and related myopathies. Neurol. Clin. Neurosci. 2021, 10, 273–278. [Google Scholar] [CrossRef]
- Sugie, K. Autophagy Dysfunction in Alzheimer’s Disease and Dementia; Hamano, T., Mutoh, T., Eds.; Elsevier: Amsterdam, The Netherlands, 2022; pp. 207–224. [Google Scholar]



| A. Clinical features ((a), (b) required for males, (a) required for females, and (c)–(g) are reference findings) (a) Hypertrophic or dilated cardiomyopathy (b) Progressive muscle weakness/atrophy or hyperCKemia (Reference findings below) (c) X-linked dominant inheritance or solitary (d) Age of onset is usually in the teens for males and in the 30s for females (e) Often accompanied by intellectual retardation (f) Serum CK level normal to mildly elevated (<1000 IU/L) (g) Myogenic changes (early recruitment and/or low amplitude of MUP) are observed on electromyography B. Muscle pathology ((a) and (b) are required; (c) and (d) are reference findings) (a) Myofibers with autophagic vacuoles (b) Increased acetylcholine esterase activity on the vacuolar membrane (histochemical staining in skeletal muscle) (Reference findings below) (c) Expression of sarcolemmal proteins (dystrophin, sarcoglycan, laminin-α2, caveolin-3, etc.) on the vacuolar membrane (immunohistochemical staining in the skeletal muscle) (d) Presence of a basement membrane around autophagic vacuoles (electron microscopy) C. Evaluation of LAMP-2 ((a) or (b) is required) (a) LAMP-2 deficiency (immunohistochemistry or Western blot analysis) However, in female patients, decreased LAMP-2 proteins (b) LAMP2 mutation Diseases to be excluded Clinical Differentiation Other muscle diseases such as myopathies and muscular dystrophies Cardiomyopathy with other confirmed causes Pathological Differentiation Other myopathies with autophagic vacuoles: Pompe disease, X-linked myopathy with excessive autophagy, GNE myopathy, inclusion body myositis, etc. Diagnostic Category Definite diagnosis: At least one of A or B is satisfied and C is satisfied. Possible diagnosis: A and B are satisfied; there is a definite diagnosis in the family and C is satisfied |
Disclaimer/Publisher’s Note: The statements, opinions and data contained in all publications are solely those of the individual author(s) and contributor(s) and not of MDPI and/or the editor(s). MDPI and/or the editor(s) disclaim responsibility for any injury to people or property resulting from any ideas, methods, instructions or products referred to in the content. |
© 2024 by the authors. Licensee MDPI, Basel, Switzerland. This article is an open access article distributed under the terms and conditions of the Creative Commons Attribution (CC BY) license (https://creativecommons.org/licenses/by/4.0/).
Share and Cite
Sugie, K.; Nishino, I. History and Perspective of LAMP-2 Deficiency (Danon Disease). Biomolecules 2024, 14, 1272. https://doi.org/10.3390/biom14101272
Sugie K, Nishino I. History and Perspective of LAMP-2 Deficiency (Danon Disease). Biomolecules. 2024; 14(10):1272. https://doi.org/10.3390/biom14101272
Chicago/Turabian StyleSugie, Kazuma, and Ichizo Nishino. 2024. "History and Perspective of LAMP-2 Deficiency (Danon Disease)" Biomolecules 14, no. 10: 1272. https://doi.org/10.3390/biom14101272
APA StyleSugie, K., & Nishino, I. (2024). History and Perspective of LAMP-2 Deficiency (Danon Disease). Biomolecules, 14(10), 1272. https://doi.org/10.3390/biom14101272

