Polymorphic Rearrangements of Human Chromosome 9 and Male Infertility: New Evidence and Impact on Spermatogenesis
Abstract
1. Introduction
2. Materials and Methods
2.1. Study Design
2.2. Analysis of Karyotype
2.3. Y Microdeletion Detection
2.4. Semen Analysis
2.5. Fluorescence In Situ Hybridization Analysis
2.6. Terminal Deoxynucleotidyl Transferase dUTP Nick End Labeling Assay (TUNEL)
2.7. Statistical Analysis
3. Results
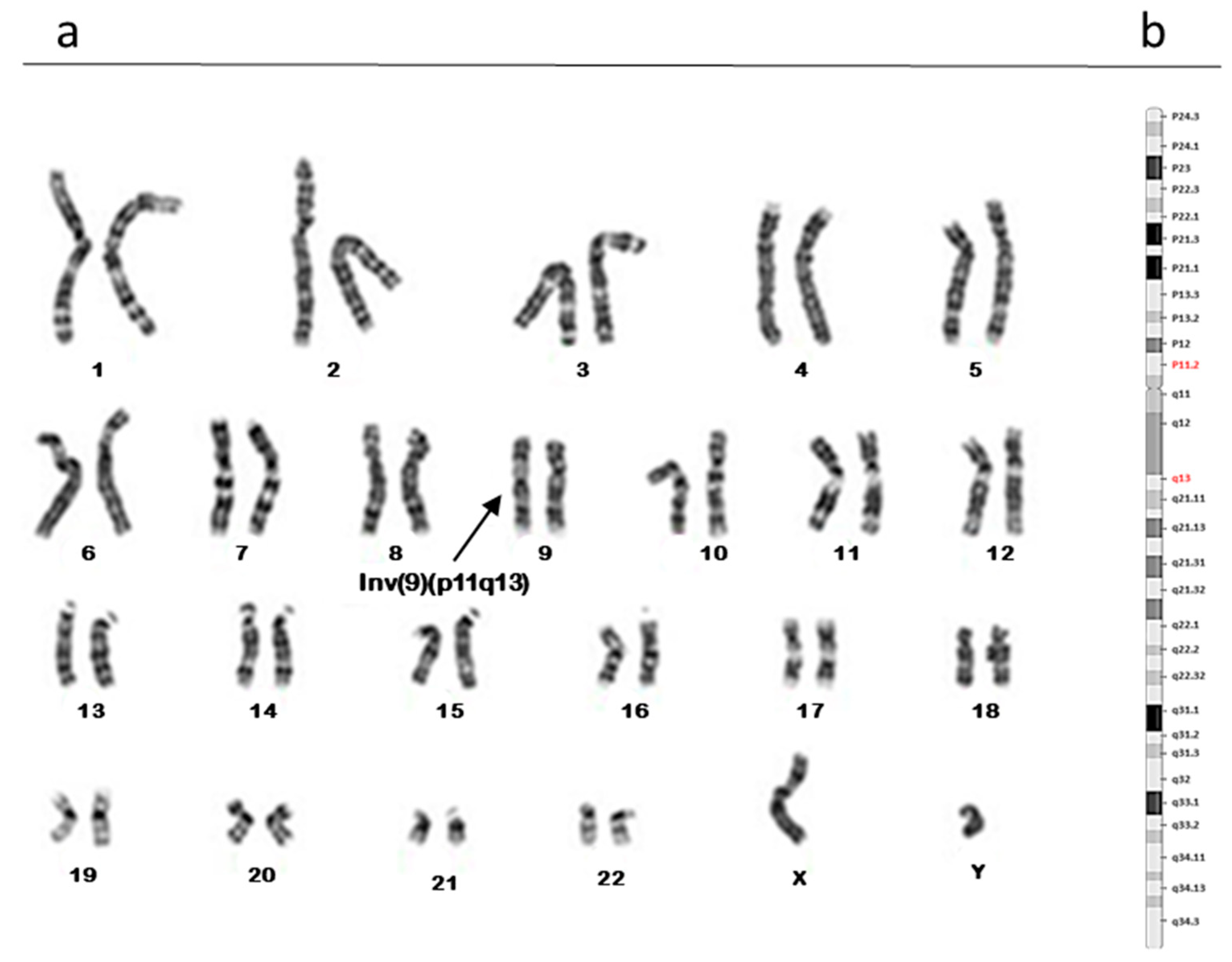
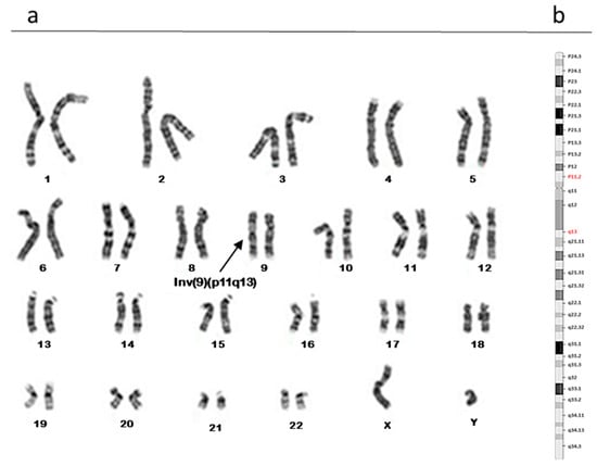
3.1. Karyotype Analyses
3.2. Y Microdeletion Screening
3.3. Standard and Molecular Analysis of Seminal Ejaculates
4. Discussion
Author Contributions
Funding
Institutional Review Board Statement
Informed Consent Statement
Data Availability Statement
Acknowledgments
Conflicts of Interest
References
- Zegers-Hochschild, F.; Adamson, G.D.; Dyer, S.; Racowsky, C.; De Mouzon, J.; Sokol, R.; Rienzi, L.; Sunde, A.; Schmidt, L.; Cooke, I.D.; et al. The international glossary on infertility and fertility care, 2017. Hum. Reprod. 2017, 32, 1786–1801. [Google Scholar] [CrossRef]
- Leisegang, K.; Dutta, S. Do lifestyle practices impede male fertility? Andrologia 2020, 53, e13595. [Google Scholar] [CrossRef] [PubMed]
- Farsimadan, M.; Motamedifar, M. Bacterial infection of the male reproductive system causing infertility. J. Reprod. Immunol. 2020, 142, 103183. [Google Scholar] [CrossRef] [PubMed]
- Ferlin, A.; Raicu, F.; Gatta, V.; Zuccarello, D.; Palka, G.; Foresta, C. Male infertility: Role of genetic background. Reprod. Biomed. Online 2007, 14, 734–745. [Google Scholar] [CrossRef]
- Erickson, R.P. Somatic gene mutation and human disease other than cancer: An update. Mutat. Res. 2010, 705, 96–106. [Google Scholar] [CrossRef] [PubMed]
- O’Flynn O’Brien, K.L.; Varghese, A.C.; Agarwal, A. The genetic causes of male factor infertility: A review. Fertil. Steril. 2010, 93, 1–12. [Google Scholar] [CrossRef]
- Chiang, H.S.; Wei, H.J.; Chen, Y.T. Genetic screening for patients with azoospermia and severe oligo-asthenospermia. Int. J. Androl. 2000, 23, 20–25. [Google Scholar] [CrossRef]
- Grimwood, J.; Gordon, L.A.; Olsen, A.; Terry, A.; Schmutz, J.; Lamerdin, J.; Hellsten, U.; Goodstein, D.; Couronne, O.; Tran-Gyamil, M.; et al. The DNA sequence and biology of human chromosome 19. Nature 2004, 428, 529–535. [Google Scholar] [CrossRef]
- Humphray, S.J.; Oliver, K.; Hunt, A.R.; Plumb, R.W.; Loveland, J.E.; Howe, K.L.; Andrews, T.D.; Searle, S.; Hunt, S.E.; Scott, C.E.; et al. DNA sequence and analysis of human chromosome 9. Nature 2004, 429, 369–374. [Google Scholar] [CrossRef]
- Teo, S.; Tan, M.; Knight, L.; Yeo, S.; Ng, I. Pericentric inversion 9--incidence and clinical significance. Ann. Acad. Med. Singap. 1995, 24, 302–304. [Google Scholar]
- Ko, T.; Hsieh, F.; Chang, L.; Pan, M.; Lee, T. Pericentric inversions of chromosome 9 in Taiwanese fetuses. J. Formos. Med. Assoc. 1992, 91, 473–474. [Google Scholar] [PubMed]
- Nielsen, J.; Sillesen, I. Incidence of chromosome aberrations among 11148 newborn children. Humangenetik 1975, 30, 1–12. [Google Scholar] [CrossRef]
- Miskovic, S.; Culic, V.; Konjevoda, P.; Pavelic, J. Positive reproductive family history for spontaneous abortion: Predictor for recurrent miscarriage in young couples. Eur. J. Obstet. Gynecol. Reprod. Biol. 2012, 161, 182–186. [Google Scholar] [CrossRef] [PubMed]
- Dermihan, O.; Pazarbasi, A.; Suleymanova-Karahan, D.; Tanriverdi, N.; Kilinc, Y. Correlation of clinical phenotype with a pericentric inversion of chromosome 9 and genetic counseling. Saudi Med. J. 2008, 29, 946–951. [Google Scholar]
- Yakin, K.; Balaban, B.; Urman, B. Is there a possible correlation between chromosomal variants and spermatogenesis? Int. J. Urol. 2005, 12, 984–989. [Google Scholar] [CrossRef]
- Collodel, G.; Moretti, E.; Capitani, S.; Piomboni, P.; Anichini, C.; Estenoz, M.; Baccetti, B. TEM, FISH and molecular studies in infertile men with pericentric inversion of chromosome 9. Andrologia 2006, 38, 122–127. [Google Scholar] [CrossRef] [PubMed]
- Sismani, C.; Rapti, S.M.; Iliopoulou, P.; Spring, A.; Neroutsou, R.; Lagou, M.; Robola, M.; Tsitsopoulos, E.; Kousoulidou, L.; Alexandrou, A.; et al. Novel pericentric inversion inv(9)(p23q22.3) in unrelated individuals with fertility problems in the Southeast European population. J. Hum. Genet. 2020, 65, 783–795. [Google Scholar] [CrossRef]
- Mierla, D.; Stoian, V. Chromosomal polymorphisms involved in reproductive failure in the Romanian population. Balk. J. Med. Genet. 2012, 15, 23–28. [Google Scholar] [CrossRef]
- Šípek, A.; Mihalová, R.; Panczak, A.; Hrčková, L.; Janashia, M.; Kaspříková, N.; Kohoutová, M. Heterochromatin variants in human karyotypes: A possible association with reproductive failure. Reprod. Biomed. Online 2014, 29, 245–250. [Google Scholar] [CrossRef]
- Merrion, K.; Maisenbacher, M. Pericentric inversion (Inv) 9 variant—reproductive risk factor or benign finding? J. Assist. Reprod. Genet. 2019, 36, 2557–2561. [Google Scholar] [CrossRef]
- Mozdarani, H.; Mohseni Meybodi, A.; Karimi, H. Impact of pericentric inversion of Chromosome 9 [inv (9) (p11q12)] on infertility. Indian J. Hum. Genet. 2007, 13, 26–29. [Google Scholar] [CrossRef] [PubMed]
- ISCN. An International System for Human Cytogenomic Nomenclature; McGowan-Jordan, J., Hastings, R., Moore, S., Eds.; Karger: Basel, Switzerland, 2020; ISBN 978-3-318-06706-4. [Google Scholar]
- Madon, P.; Athalye, A.; Parikh, F. Polymorphic variants on chromosomes probably play a significant role in infertility. Reprod. Biomed. Online 2005, 11, 726–732. [Google Scholar] [CrossRef] [PubMed]
- Simoni, M.; Bakker, E.; Krausz, C. EAA/EMQN best practice guidelines for molecular diagnosis of y-chromosomal microdeletions. State of the art 2004. Int. J. Androl. 2004, 27, 240–249. [Google Scholar] [CrossRef]
- World Health Organization. Laboratory Manual for the Examination and Processing of Human Semen, 6th ed.; WHO: Geneva, Switzerland, 2021. [Google Scholar]
- Mottola, F.; Iovine, C.; Carannante, M.; Santonastaso, M.; Rocco, L. In vitro combination of ascorbic and ellagic acids in sperm oxidative damage inhibition. Int. J. Mol. Sci. 2022, 23, 14751. [Google Scholar] [CrossRef] [PubMed]
- Iovine, C.; Mottola, F.; Santonastaso, M.; Finelli, R.; Agarwal, A.; Rocco, L. In vitro ameliorative effects of ellagic acid on vitality, motility and DNA quality in human spermatozoa. Mol. Reprod. Dev. 2021, 88, 167–174. [Google Scholar] [CrossRef]
- Rex, A.S.; Wu, C.; Aagaard, J.; Fedder, J. Dna fragmentation in human spermatozoa and pregnancy rates after intrauterine insemination. Should the dfi threshold be lowered? J. Clin. Med. 2021, 10, 1310. [Google Scholar] [CrossRef] [PubMed]
- Perrin, A.; Caer, E.; Oliver-Bonet, M.; Navarro, J.; Benet, J.; Amice, V.; De Braekeleer, M.; Morel, F. DNA fragmentation and meiotic segregation in sperm of carriers of a chromosomal structural abnormality. Fertil. Steril. 2009, 92, 583–589. [Google Scholar] [CrossRef]
- Agarwal, A.; Majzoub, A.; Baskaran, S.; Panner Selvam, M.K.; Cho, C.L.; Henkel, R.; Finelli, R.; Leisegang, K.; Sengupta, P.; Barbarosie, C.; et al. Sperm DNA fragmentation: A new guideline for clinicians. World J. Mens. Health 2020, 38, 412–471. [Google Scholar] [CrossRef]
- Garcia Ferreyra, J. Sperm DNA fragmentation is significantly increased in those men with morphologically abnormal spermatozoa. J. Fertil. Vitr. IVF-Worldw. Reprod. Med. Genet. Stem Cell Biol. 2014, 2, 1000131. [Google Scholar] [CrossRef]
- Repalle, D.; Saritha, K.V.R.; Bhandari, S. Sperm DNA fragmentation negatively influences the cumulative live birth rate in the intracytoplasmic sperm injection cycles of couples with unexplained infertility. Clin. Exp. Reprod. Med. 2022, 49, 185–195. [Google Scholar] [CrossRef] [PubMed]
- Morel, F.; Laudier, B.; Guérif, F.; Couet, M.L.; Royère, D.; Roux, C.; Bresson, J.L.; Amice, V.; De Braekeleer, M.; Douet-Guilbert, N. Meiotic segregation analysis in spermatozoa of pericentric inversion carriers using fluorescence in-situ hybridization. Hum. Reprod. 2007, 22, 136–141. [Google Scholar] [CrossRef] [PubMed]
- Mateu-Brull, E.; Rodrigo, L.; Peinado, V.; Mercader, A.; Campos-Galindo, I.; Bronet, F.; García-Herrero, S.; Florensa, M.; Milán, M.; Rubio, C. Interchromosomal effect in carriers of translocations and inversions assessed by preimplantation genetic testing for structural rearrangements (PGT-SR). J. Assist. Reprod. Genet. 2019, 36, 2547–2555. [Google Scholar] [CrossRef] [PubMed]
- Kohn, T.P.; Kohn, J.R.; Darilek, S.; Ramasamy, R.; Lipshultz, L. Genetic counseling for men with recurrent pregnancy loss or recurrent implantation failure due to abnormal sperm chromosomal aneuploidy. J. Assist. Reprod. Genet. 2016, 33, 571. [Google Scholar] [CrossRef]
- Simpson, J.L.; Lamb, D.J. Genetic effects of intracytoplasmic sperm injection. Semin. Reprod. Med. 2001, 19, 239–249. [Google Scholar] [CrossRef]
- Liang, S.; Yang, J.; Wu, H.; Teng, X.; Duan, T. Effects of chromosome 9 inversion on IVF/ICSI: A 7-year retrospective cohort study. Mol. Genet. Genomic Med. 2019, 7, e856. [Google Scholar] [CrossRef]
- Hahn, M.; Dambacher, S.; Schotta, G. Heterochromatin dysregulation in human diseases. J. Appl. Physiol. 2010, 109, 232–242. [Google Scholar] [CrossRef] [PubMed]
- Brown, K.E.; Guest, S.S.; Smale, S.T.; Hahm, K.; Merkenschlager, M.; Fisher, A.G. Association of transcriptionally silent genes with Ikaros complexes at centromeric heterochromatin. Cell 1997, 91, 845–854. [Google Scholar] [CrossRef] [PubMed]
- NCBI Genome Data Viewer. Available online: https://www.ncbi.nlm.nih.gov/genome/gdv/browser/genome/?id=GCF_000001405.40 (accessed on 15 February 2023).
- Rocco, L. Sex-related genomic sequences in cartilaginous fish: An overview. Cytogenet. Genome Res. 2013, 141, 169–176. [Google Scholar] [CrossRef] [PubMed]
- Dam, A.H.D.M.; Koscinski, I.; Kremer, J.A.M.; Moutou, C.; Jaeger, A.S.; Oudakker, A.R.; Tournaye, H.; Charlet, N.; Lagier-Tourenne, C.; Van Bokhoven, H.; et al. Homozygous mutation in SPATA16 is associated with male infertility in human globozoospermia. Am. J. Hum. Genet. 2007, 81, 813–820. [Google Scholar] [CrossRef] [PubMed]
- Yuan, S.; Stratton, C.J.; Bao, J.; Zheng, H.; Bhetwal, B.P.; Yanagimachi, R.; Yan, W. SPATA6 is required for normal assembly of the sperm connecting piece and tight head-tail conjunction. Proc. Natl. Acad. Sci. USA 2015, 112, E430–E439. [Google Scholar] [CrossRef]
- Wu, Y.Y.; Yang, Y.; Xu, Y.D.; Yu, H.L. Targeted disruption of the spermatid-specific gene Spata31 causes male infertility. Mol. Reprod. Dev. 2015, 82, 432–440. [Google Scholar] [CrossRef] [PubMed]
- Sujit, K.M.; Singh, V.; Trivedi, S.; Singh, K.; Gupta, G.; Rajender, S. Increased DNA methylation in the spermatogenesis-associated (SPATA) genes correlates with infertility. Andrology 2020, 8, 602–609. [Google Scholar] [CrossRef] [PubMed]
- GeneCards—The Human Gene Database SPATA31A5 Gene—GeneCards|S31A5 Protein|S31A5 Antibody. Available online: https://www.genecards.org/cgi-bin/carddisp.pl?gene=SPATA31A5 (accessed on 12 February 2023).
- Perrin, A.; Basinko, A.; Douet-Guilbert, N.; Gueganic, N.; Le Bris, M.J.; Amice, V.; De Braekeleer, M.; Morel, F. Aneuploidy and DNA fragmentation in sperm of carriers of a constitutional chromosomal abnormality. Cytogenet. Genome Res. 2011, 133, 100–106. [Google Scholar] [CrossRef] [PubMed]






| Age | Karyotype | Sperm Concentration /mL | Normal Sperm Morphology (%) | Spermatic Aneuploidy (%) | SDF (%) |
|---|---|---|---|---|---|
| 34 | 46, XY, inv(9) (p11;q12) | 10.0 × 106 | 3 | 9.7 | 19 |
| 41 | 46, XY, inv(9) (p11;q13) | 0.8 × 106 | 1 | 11.0 | 38 |
| 36 | 46, XY, 9qh+ | 32.0 × 106 | 6 | 3.1 | 19 |
| 33 | 46, XY, 9qh++ | 14.0 × 106 | 2 | 9.0 | 12 |
| 38 | 46, XY, 9qh− | 36.0 × 106 | 10 | 3.0 | 16 |
| 30 | 46, XY, inv(9) (p11;q12) | 11.0 × 106 | 1 | 10.4 | 40 |
Disclaimer/Publisher’s Note: The statements, opinions and data contained in all publications are solely those of the individual author(s) and contributor(s) and not of MDPI and/or the editor(s). MDPI and/or the editor(s) disclaim responsibility for any injury to people or property resulting from any ideas, methods, instructions or products referred to in the content. |
© 2023 by the authors. Licensee MDPI, Basel, Switzerland. This article is an open access article distributed under the terms and conditions of the Creative Commons Attribution (CC BY) license (https://creativecommons.org/licenses/by/4.0/).
Share and Cite
Mottola, F.; Santonastaso, M.; Ronga, V.; Finelli, R.; Rocco, L. Polymorphic Rearrangements of Human Chromosome 9 and Male Infertility: New Evidence and Impact on Spermatogenesis. Biomolecules 2023, 13, 729. https://doi.org/10.3390/biom13050729
Mottola F, Santonastaso M, Ronga V, Finelli R, Rocco L. Polymorphic Rearrangements of Human Chromosome 9 and Male Infertility: New Evidence and Impact on Spermatogenesis. Biomolecules. 2023; 13(5):729. https://doi.org/10.3390/biom13050729
Chicago/Turabian StyleMottola, Filomena, Marianna Santonastaso, Valentina Ronga, Renata Finelli, and Lucia Rocco. 2023. "Polymorphic Rearrangements of Human Chromosome 9 and Male Infertility: New Evidence and Impact on Spermatogenesis" Biomolecules 13, no. 5: 729. https://doi.org/10.3390/biom13050729
APA StyleMottola, F., Santonastaso, M., Ronga, V., Finelli, R., & Rocco, L. (2023). Polymorphic Rearrangements of Human Chromosome 9 and Male Infertility: New Evidence and Impact on Spermatogenesis. Biomolecules, 13(5), 729. https://doi.org/10.3390/biom13050729

