PKN1 Exerts Neurodegenerative Effects in an In Vitro Model of Cerebellar Hypoxic–Ischemic Encephalopathy via Inhibition of AKT/GSK3β Signaling
Abstract
1. Introduction
2. Materials and Methods
2.1. Animals
2.2. Preparation of Cerebellar Granule Cells
2.3. Preparation of Plasmids and Transfections of Cerebellar Granule Cells
2.4. Immunofluorescence Staining
2.5. Measurement of Axonal Length
2.6. HI-Model
2.7. Measurement of pAKT Intensity in Cerebellar Granule Cells
2.8. Western Blotting
2.9. Antibodies
2.10. Protein Kinase Assay
2.11. Liquid Chromatography–Mass Spectrometry (LC–MS)
2.12. Generation of a Polyclonal Antibody against the Phosphorylated PKN1S374
2.13. Co-Immunoprecipitation of PKN1-AKT
2.14. Analysis of Colocalization in Immunostained Jurkat Cells
2.15. Statistical Analysis
3. Results
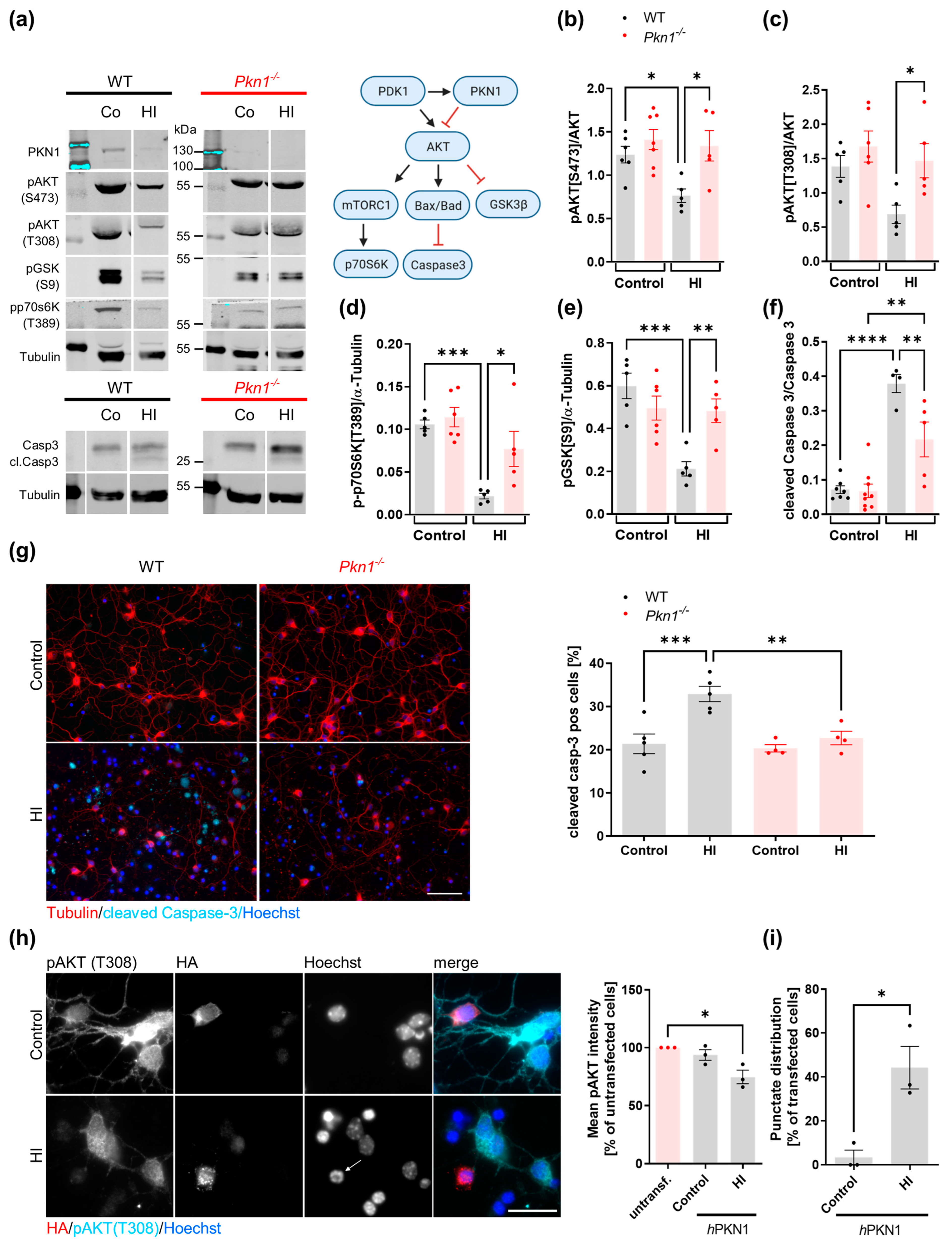
3.1. Pkn1−/− Neurons Have Enhanced AKT Activity and Cell Survival after In Vitro HI
3.2. Pkn1−/− Cgc Show Enhanced Axon Outgrowth on Chondroitin Sulphate Proteoglycans
3.3. Analysis of Functionally Relevant PKN1 Phosphorylation Sites
3.4. S374 and T774 PKN1 Phosphosites Have an Inhibitory Effect on Axonal Outgrowth
3.5. Phosphorylation Levels of PKN1S374 Decrease during Postnatal Cerebellar Development
3.6. Role of PKN1S374 in PKN1:AKT Complex Formation
4. Discussion
5. Conclusions
Supplementary Materials
Author Contributions
Funding
Institutional Review Board Statement
Informed Consent Statement
Data Availability Statement
Acknowledgments
Conflicts of Interest
References
- Lemmon, M.E.; Wagner, M.W.; Bosemani, T.; Carson, K.A.; Northington, F.J.; Huisman, T.; Poretti, A. Diffusion Tensor Imaging Detects Occult Cerebellar Injury in Severe Neonatal Hypoxic-Ischemic Encephalopathy. Dev. Neurosci. 2017, 39, 207–214. [Google Scholar] [CrossRef] [PubMed]
- Kwan, S.; Boudes, E.; Gilbert, G.; Saint-Martin, C.; Albrecht, S.; Shevell, M.; Wintermark, P. Injury to the Cerebellum in Term Asphyxiated Newborns Treated with Hypothermia. AJNR Am. J. Neuroradiol. 2015, 36, 1542–1549. [Google Scholar] [CrossRef] [PubMed]
- Sargent, M.A.; Poskitt, K.J.; Roland, E.H.; Hill, A.; Hendson, G. Cerebellar vermian atrophy after neonatal hypoxic-ischemic encephalopathy. AJNR Am. J. Neuroradiol. 2004, 25, 1008–1015. [Google Scholar]
- Millar, L.J.; Shi, L.; Hoerder-Suabedissen, A.; Molnar, Z. Neonatal Hypoxia Ischaemia: Mechanisms, Models, and Therapeutic Challenges. Front. Cell Neurosci. 2017, 11, 78. [Google Scholar] [CrossRef] [PubMed]
- Greco, P.; Nencini, G.; Piva, I.; Scioscia, M.; Volta, C.A.; Spadaro, S.; Neri, M.; Bonaccorsi, G.; Greco, F.; Cocco, I.; et al. Pathophysiology of hypoxic-ischemic encephalopathy: A review of the past and a view on the future. Acta Neurol. Belg. 2020, 120, 277–288. [Google Scholar] [CrossRef]
- Gao, Q.S.; Zhang, Y.H.; Xue, H.; Wu, Z.Y.; Li, C.; Zhao, P. Brief inhalation of sevoflurane can reduce glial scar formation after hypoxic-ischemic brain injury in neonatal rats. Neural. Regen. Res. 2021, 16, 1052–1061. [Google Scholar] [CrossRef] [PubMed]
- Saadat, A.; Blackwell, A.; Kaszowski, C.; Pallera, H.; Owens, D.; Lattanzio, F.; Shah, T. Therapeutic hypothermia demonstrates sex-dependent improvements in motor function in a rat model of neonatal hypoxic ischemic encephalopathy. Behav. Brain Res. 2023, 437, 114119. [Google Scholar] [CrossRef]
- Adams, K.L.; Gallo, V. The diversity and disparity of the glial scar. Nat. Neurosci. 2018, 21, 9–15. [Google Scholar] [CrossRef]
- Hernandez-Jimenez, M.; Sacristan, S.; Morales, C.; Garcia-Villanueva, M.; Garcia-Fernandez, E.; Alcazar, A.; Gonzalez, V.M.; Martin, M.E. Apoptosis-related proteins are potential markers of neonatal hypoxic-ischemic encephalopathy (HIE) injury. Neurosci. Lett. 2014, 558, 143–148. [Google Scholar] [CrossRef]
- Mukai, H.; Ono, Y. A novel protein kinase with leucine zipper-like sequences: Its catalytic domain is highly homologous to that of protein kinase C. Biochem. Biophys. Res. Commun. 1994, 199, 897–904. [Google Scholar] [CrossRef]
- Palmer, R.H.; Ridden, J.; Parker, P.J. Cloning and expression patterns of two members of a novel protein-kinase-C-related kinase family. Eur. J. Biochem. FEBS 1995, 227, 344–351. [Google Scholar] [CrossRef]
- Flynn, P.; Mellor, H.; Palmer, R.; Panayotou, G.; Parker, P.J. Multiple interactions of PRK1 with RhoA. Functional assignment of the Hr1 repeat motif. J. Biol. Chem. 1998, 273, 2698–2705. [Google Scholar] [CrossRef]
- Hutchinson, C.L.; Lowe, P.N.; McLaughlin, S.H.; Mott, H.R.; Owen, D. Differential binding of RhoA, RhoB, and RhoC to protein kinase C-related kinase (PRK) isoforms PRK1, PRK2, and PRK3: PRKs have the highest affinity for RhoB. Biochemistry 2013, 52, 7999–8011. [Google Scholar] [CrossRef]
- Owen, D.; Lowe, P.N.; Nietlispach, D.; Brosnan, C.E.; Chirgadze, D.Y.; Parker, P.J.; Blundell, T.L.; Mott, H.R. Molecular dissection of the interaction between the small G proteins Rac1 and RhoA and protein kinase C-related kinase 1 (PRK1). J. Biol. Chem. 2003, 278, 50578–50587. [Google Scholar] [CrossRef]
- Mukai, H. The structure and function of PKN, a protein kinase having a catalytic domain homologous to that of PKC. J. Biochem. 2003, 133, 17–27. [Google Scholar] [CrossRef]
- Sophocleous, G.; Owen, D.; Mott, H.R. The structure and function of protein kinase C-related kinases (PRKs). Biochem. Soc. Trans. 2021, 49, 217–235. [Google Scholar] [CrossRef]
- Hashimoto, T.; Mukai, H.; Kawamata, T.; Taniguchi, T.; Ono, Y.; Tanaka, C. Localization of PKN mRNA in the rat brain. Brain Res. Mol. Brain Res. 1998, 59, 143–153. [Google Scholar] [CrossRef]
- zur Nedden, S.; Eith, R.; Schwarzer, C.; Zanetti, L.; Seitter, H.; Fresser, F.; Koschak, A.; Cameron, A.J.; Parker, P.J.; Baier, G.; et al. Protein kinase N1 critically regulates cerebellar development and long-term function. J. Clin. Investig. 2018, 128, 2076–2088. [Google Scholar] [CrossRef]
- Safari, M.S.; Obexer, D.; Baier-Bitterlich, G.; Zur Nedden, S. PKN1 Is a Novel Regulator of Hippocampal GluA1 Levels. Front. Synaptic Neurosci. 2021, 13, 640495. [Google Scholar] [CrossRef]
- Zhao, H.; Sapolsky, R.M.; Steinberg, G.K. Phosphoinositide-3-kinase/akt survival signal pathways are implicated in neuronal survival after stroke. Mol. Neurobiol. 2006, 34, 249–270. [Google Scholar] [CrossRef]
- Miyawaki, T.; Ofengeim, D.; Noh, K.M.; Latuszek-Barrantes, A.; Hemmings, B.A.; Follenzi, A.; Zukin, R.S. The endogenous inhibitor of Akt, CTMP, is critical to ischemia-induced neuronal death. Nat. Neurosci. 2009, 12, 618–626. [Google Scholar] [CrossRef] [PubMed]
- Zhao, T.; Qi, Y.; Li, Y.; Xu, K. PI3 Kinase regulation of neural regeneration and muscle hypertrophy after spinal cord injury. Mol. Biol. Rep. 2012, 39, 3541–3547. [Google Scholar] [CrossRef] [PubMed]
- Bai, J.; Zeng, S.; Zhu, J.; Fu, C.; He, M.; Zhu, J.; Chen, S.; Fu, X.; Li, P.; Lin, Z. The Small Molecule P7C3-A20 Exerts Neuroprotective Effects in a Hypoxic-ischemic Encephalopathy Model via Activation of PI3K/AKT/GSK3beta Signaling. Neuroscience 2020, 441, 197–208. [Google Scholar] [CrossRef] [PubMed]
- Quetier, I.; Marshall, J.J.; Spencer-Dene, B.; Lachmann, S.; Casamassima, A.; Franco, C.; Escuin, S.; Worrall, J.T.; Baskaran, P.; Rajeeve, V.; et al. Knockout of the PKN Family of Rho Effector Kinases Reveals a Non-redundant Role for PKN2 in Developmental Mesoderm Expansion. Cell Rep. 2016, 14, 440–448. [Google Scholar] [CrossRef] [PubMed]
- zur Nedden, S.; Doney, A.S.; Frenguelli, B.G. Modulation of intracellular ATP determines adenosine release and functional outcome in response to metabolic stress in rat hippocampal slices and cerebellar granule cells. J. Neurochem. 2014, 128, 111–124. [Google Scholar] [CrossRef]
- Galun, M.; Basri, R.; Brandt, A. Multiscale edge detection and fiber enhancement using differences of oriented means. In Proceedings of the 2007 IEEE 11th International Conference on Computer Vision, Rio De Janeiro, Brazil, 14–21 October 2007; Volumes 1–6, pp. 722–729. [Google Scholar]
- Rishal, I.; Golani, O.; Rajman, M.; Costa, B.; Ben-Yaakov, K.; Schoenmann, Z.; Yaron, A.; Basri, R.; Fainzilber, M.; Galun, M. WIS-NeuroMath enables versatile high throughput analyses of neuronal processes. Dev. Neurobiol. 2013, 73, 247–256. [Google Scholar] [CrossRef]
- zur Nedden, S.; Tomaselli, B.; Baier-Bitterlich, G. HIF-1 alpha is an essential effector for purine nucleoside-mediated neuroprotection against hypoxia in PC12 cells and primary cerebellar granule neurons. J. Neurochem. 2008, 105, 1901–1914. [Google Scholar] [CrossRef]
- Thuille, N.; Heit, I.; Fresser, F.; Krumbock, N.; Bauer, B.; Leuthaeusser, S.; Dammeier, S.; Graham, C.; Copeland, T.D.; Shaw, S.; et al. Critical role of novel Thr-219 autophosphorylation for the cellular function of PKCtheta in T lymphocytes. EMBO J. 2005, 24, 3869–3880. [Google Scholar] [CrossRef]
- Thauerer, B.; Voegele, P.; Hermann-Kleiter, N.; Thuille, N.; de Araujo, M.E.; Offterdinger, M.; Baier, G.; Huber, L.A.; Baier-Bitterlich, G. LAMTOR2-mediated modulation of NGF/MAPK activation kinetics during differentiation of PC12 cells. PLoS ONE 2014, 9, e95863. [Google Scholar] [CrossRef]
- Falk, M.D.; Liu, W.; Bolanos, B.; Unsal-Kacmaz, K.; Klippel, A.; Grant, S.; Brooun, A.; Timofeevski, S. Enzyme kinetics and distinct modulation of the protein kinase N family of kinases by lipid activators and small molecule inhibitors. Biosci. Rep. 2014, 34, e00097. [Google Scholar] [CrossRef]
- Faserl, K.; Chetwynd, A.J.; Lynch, I.; Thorn, J.A.; Lindner, H.H. Corona Isolation Method Matters: Capillary Electrophoresis Mass Spectrometry Based Comparison of Protein Corona Compositions Following On-Particle versus In-Solution or In-Gel Digestion. Nanomaterials 2019, 9, 898. [Google Scholar] [CrossRef] [PubMed]
- Mukai, H.; Miyahara, M.; Sunakawa, H.; Shibata, H.; Toshimori, M.; Kitagawa, M.; Shimakawa, M.; Takanaga, H.; Ono, Y. Translocation of PKN from the cytosol to the nucleus induced by stresses. Proc. Natl. Acad. Sci. USA 1996, 93, 10195–10199. [Google Scholar] [CrossRef] [PubMed]
- Takahashi, M.; Mukai, H.; Toshimori, M.; Miyamoto, M.; Ono, Y. Proteolytic activation of PKN by caspase-3 or related protease during apoptosis. Proc. Natl. Acad. Sci. USA 1998, 95, 11566–11571. [Google Scholar] [CrossRef] [PubMed]
- Manser, C.; Stevenson, A.; Banner, S.; Davies, J.; Tudor, E.L.; Ono, Y.; Leigh, P.N.; McLoughlin, D.M.; Shaw, C.E.; Miller, C.C. Deregulation of PKN1 activity disrupts neurofilament organisation and axonal transport. FEBS Lett. 2008, 582, 2303–2308. [Google Scholar] [CrossRef] [PubMed]
- Sumioka, K.; Shirai, Y.; Sakai, N.; Hashimoto, T.; Tanaka, C.; Yamamoto, M.; Takahashi, M.; Ono, Y.; Saito, N. Induction of a 55-kDa PKN cleavage product by ischemia/reperfusion model in the rat retina. Invest. Ophthalmol. Vis. Sci. 2000, 41, 29–35. [Google Scholar] [PubMed]
- Ueyama, T.; Ren, Y.; Sakai, N.; Takahashi, M.; Ono, Y.; Kondoh, T.; Tamaki, N.; Saito, N. Generation of a constitutively active fragment of PKN in microglia/macrophages after middle cerebral artery occlusion in rats. J. Neurochem. 2001, 79, 903–913. [Google Scholar] [CrossRef]
- Okii, N.; Amano, T.; Seki, T.; Matsubayashi, H.; Mukai, H.; Ono, Y.; Kurisu, K.; Sakai, N. Fragmentation of protein kinase N (PKN) in the hydrocephalic rat brain. Acta Histochem. Cytochem. 2007, 40, 113–121. [Google Scholar] [CrossRef][Green Version]
- Mashud, R.; Nomachi, A.; Hayakawa, A.; Kubouchi, K.; Danno, S.; Hirata, T.; Matsuo, K.; Nakayama, T.; Satoh, R.; Sugiura, R.; et al. Impaired lymphocyte trafficking in mice deficient in the kinase activity of PKN1. Sci. Rep. 2017, 7, 7663. [Google Scholar] [CrossRef]
- Newton, A.C. Regulation of the ABC kinases by phosphorylation: Protein kinase C as a paradigm. Biochem. J. 2003, 370, 361–371. [Google Scholar] [CrossRef]
- Yoshinaga, C.; Mukai, H.; Toshimori, M.; Miyamoto, M.; Ono, Y. Mutational analysis of the regulatory mechanism of PKN: The regulatory region of PKN contains an arachidonic acid-sensitive autoinhibitory domain. J. Biochem. 1999, 126, 475–484. [Google Scholar] [CrossRef]
- Peng, B.; Morrice, N.A.; Groenen, L.C.; Wettenhall, R.E. Phosphorylation events associated with different states of activation of a hepatic cardiolipin/protease-activated protein kinase. Structural identity to the protein kinase N-type protein kinases. J. Biol. Chem. 1996, 271, 32233–32240. [Google Scholar] [CrossRef] [PubMed]
- Zhu, Y.; Stolz, D.B.; Guo, F.; Ross, M.A.; Watkins, S.C.; Tan, B.J.; Qi, R.Z.; Manser, E.; Li, Q.T.; Bay, B.H.; et al. Signaling via a novel integral plasma membrane pool of a serine/threonine protein kinase PRK1 in mammalian cells. FASEB J. 2004, 18, 1722–1724. [Google Scholar] [CrossRef] [PubMed]
- Mukai, H.; Mori, K.; Takanaga, H.; Kitagawa, M.; Shibata, H.; Shimakawa, M.; Miyahara, M.; Ono, Y. Xenopus PKN: Cloning and sequencing of the cDNA and identification of conserved domains. Biochim. Biophys. Acta 1995, 1261, 296–300. [Google Scholar] [CrossRef] [PubMed]
- Liu, Y.; Graham, C.; Li, A.; Fisher, R.J.; Shaw, S. Phosphorylation of the protein kinase C-theta activation loop and hydrophobic motif regulates its kinase activity, but only activation loop phosphorylation is critical to in vivo nuclear-factor-kappaB induction. Biochem. J. 2002, 361, 255–265. [Google Scholar] [CrossRef]
- Allen, K.A.; Brandon, D.H. Hypoxic Ischemic Encephalopathy: Pathophysiology and Experimental Treatments. Newborn Infant Nurs. Rev. 2011, 11, 125–133. [Google Scholar] [CrossRef] [PubMed]
- Pimentel-Coelho, P.M.; Rosado-de-Castro, P.H.; da Fonseca, L.M.; Mendez-Otero, R. Umbilical cord blood mononuclear cell transplantation for neonatal hypoxic-ischemic encephalopathy. Pediatr. Res. 2012, 71, 464–473. [Google Scholar] [CrossRef] [PubMed]
- Ostrovskyi, D.; Rumpf, T.; Eib, J.; Lumbroso, A.; Slynko, I.; Klaeger, S.; Heinzlmeir, S.; Forster, M.; Gehringer, M.; Pfaffenrot, E.; et al. Tofacitinib and analogs as inhibitors of the histone kinase PRK1 (PKN1). Future Med. Chem. 2016, 8, 1537–1551. [Google Scholar] [CrossRef] [PubMed]






| Antibody | Company (Catalogue Number) | Application | Dilution/Concentration |
|---|---|---|---|
| pAKT T308 | Sigma (SAB4300043) | IF WB | 1:100 1:1000 |
| Actin | Sigma (MAB1501) | WB | 1:5000 |
| pAKT S473 | Cell Signaling (4060) | WB | 1:1000 |
| cleaved caspase-3 | Cell Signaling (9664) | IF | 1:300 |
| caspase-3 | Cell Signaling (9665) | WB | 1:1000 |
| HA | Cell Signaling (3724) | WB | 1:1000 |
| pp70-S6Kinase | Cell Signaling (9204) | WB | 1:1000 |
| pGSK3β | Cell Signaling (5558) | WB | 1:1000 |
| AKT | Cell Signaling (2920) | WB | 1:2000 |
| TAU | Cell Signaling (4019) | IF | 1:500 |
| α-Tubulin | Abcam (ab80779) | WB | 1:1000 |
| HA.11 Clone 16B12 | Covance (MMS-101P) | IF | 1:500 |
| PKN1 | BD Biosciences (610687) | WB | 1:1000 |
| AKT | BD Biosciences (610860) | IP | 2 µg |
| PKN1 pS374 antibody | Self-made, see Section 2.12 | WB IP | 1:1000 2 µg |
| InVivoMAb mouse IgG1 isotype control (MOPC-21) | MOPC-21 BioXcell (BE0083) | IP | 2 µg |
| Actin | Santa Cruz (47778) | WB (Jurkat cell extracts) | 1:1000 |
Disclaimer/Publisher’s Note: The statements, opinions and data contained in all publications are solely those of the individual author(s) and contributor(s) and not of MDPI and/or the editor(s). MDPI and/or the editor(s) disclaim responsibility for any injury to people or property resulting from any ideas, methods, instructions or products referred to in the content. |
© 2023 by the authors. Licensee MDPI, Basel, Switzerland. This article is an open access article distributed under the terms and conditions of the Creative Commons Attribution (CC BY) license (https://creativecommons.org/licenses/by/4.0/).
Share and Cite
zur Nedden, S.; Safari, M.S.; Fresser, F.; Faserl, K.; Lindner, H.; Sarg, B.; Baier, G.; Baier-Bitterlich, G. PKN1 Exerts Neurodegenerative Effects in an In Vitro Model of Cerebellar Hypoxic–Ischemic Encephalopathy via Inhibition of AKT/GSK3β Signaling. Biomolecules 2023, 13, 1599. https://doi.org/10.3390/biom13111599
zur Nedden S, Safari MS, Fresser F, Faserl K, Lindner H, Sarg B, Baier G, Baier-Bitterlich G. PKN1 Exerts Neurodegenerative Effects in an In Vitro Model of Cerebellar Hypoxic–Ischemic Encephalopathy via Inhibition of AKT/GSK3β Signaling. Biomolecules. 2023; 13(11):1599. https://doi.org/10.3390/biom13111599
Chicago/Turabian Stylezur Nedden, Stephanie, Motahareh Solina Safari, Friedrich Fresser, Klaus Faserl, Herbert Lindner, Bettina Sarg, Gottfried Baier, and Gabriele Baier-Bitterlich. 2023. "PKN1 Exerts Neurodegenerative Effects in an In Vitro Model of Cerebellar Hypoxic–Ischemic Encephalopathy via Inhibition of AKT/GSK3β Signaling" Biomolecules 13, no. 11: 1599. https://doi.org/10.3390/biom13111599
APA Stylezur Nedden, S., Safari, M. S., Fresser, F., Faserl, K., Lindner, H., Sarg, B., Baier, G., & Baier-Bitterlich, G. (2023). PKN1 Exerts Neurodegenerative Effects in an In Vitro Model of Cerebellar Hypoxic–Ischemic Encephalopathy via Inhibition of AKT/GSK3β Signaling. Biomolecules, 13(11), 1599. https://doi.org/10.3390/biom13111599

