Andrographolide Inhibits Corneal Fibroblast to Myofibroblast Differentiation In Vitro
Abstract
1. Introduction
2. Materials and Methods
2.1. Primary Rabbit Stromal Cell Culture
2.2. Cell Viability Assays
2.3. Andrographolide Treatment
2.4. RNA Extraction and Quantitative Real-Time PCR
2.5. Protein Extraction and Western Blot
2.6. Immunofluorescence of RCFs
2.7. Animals
2.8. Maximum Tolerated Dose
2.9. Debridement and Postoperative Care
2.10. Ophthalmic Examination Scoring and Imaging
2.11. Statistical Analysis
3. Results
3.1. Andrographolide Had a Dose-Dependent Effect on Cell Viability
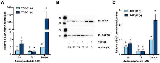
3.2. Andrographolide Prevented the Expression of αSMA in TGF-β1-Stimulated RCFs
3.3. Tolerability and Effect of Andrographolide on Corneal Epithelial Wound Healing
4. Discussion
Author Contributions
Funding
Institutional Review Board Statement
Informed Consent Statement
Data Availability Statement
Conflicts of Interest
References
- Whitcher, J.P.; Srinivasan, M.; Upadhyay, M.P. Corneal blindness: A global perspective. Bull. World Health Organ. 2001, 79, 214–221. [Google Scholar] [PubMed]
- Talamo, J.H.; Gollamudi, S.; Green, W.R.; De La Cruz, Z.; Filatov, V.; Stark, W.J. Modulation of corneal wound healing after excimer laser keratomileusis using topical mitomycin C and steroids. Arch. Ophthalmol. 1991, 109, 1141–1146. [Google Scholar] [CrossRef] [PubMed]
- Teus, M.A.; de Benito-Llopis, L.; Alió, J.L. Mitomycin C in corneal refractive surgery. Surv. Ophthalmol. 2009, 54, 487–502. [Google Scholar] [CrossRef] [PubMed]
- Arranz-Marquez, E.; Katsanos, A.; Kozobolis, V.P.; Konstas, A.G.P.; Teus, M.A. A Critical Overview of the Biological Effects of Mitomycin C Application on the Cornea Following Refractive Surgery. Adv. Ther. 2019, 36, 786–797. [Google Scholar] [CrossRef] [PubMed]
- Carlos de Oliveira, R.; Wilson, S.E. Biological effects of mitomycin C on late corneal haze stromal fibrosis following PRK. Exp. Eye Res. 2020, 200, 108218. [Google Scholar] [CrossRef] [PubMed]
- Randleman, J.B.; Shah, R.D. LASIK interface complications: Etiology, management, and outcomes. J. Refract. Surg. 2012, 28, 575–586. [Google Scholar] [CrossRef]
- McKay, T.B.; Hutcheon, A.E.K.; Zieske, J.D. Biology of corneal fibrosis: Soluble mediators, integrins, and extracellular vesicles. Eye 2020, 34, 271–278. [Google Scholar] [CrossRef]
- Pascolini, D.; Mariotti, S.P. Global estimates of visual impairment: 2010. Br. J. Ophthalmol. 2012, 96, 614–618. [Google Scholar] [CrossRef]
- Singh, R.; Gupta, N.; Vanathi, M.; Tandon, R. Corneal transplantation in the modern era. Indian J. Med. Res. 2019, 150, 7–22. [Google Scholar]
- Long, Q.; Chu, R.; Zhou, X.; Dai, J.; Chen, C.; Rao, S.K.; Lam, D.S. Correlation between TGF-beta1 in tears and corneal haze following LASEK and epi-LASIK. J. Refract. Surg. 2006, 22, 708–712. [Google Scholar] [CrossRef]
- Tandon, A.; Tovey, J.C.; Sharma, A.; Gupta, R.; Mohan, R.R. Role of transforming growth factor Beta in corneal function, biology and pathology. Curr. Mol. Med. 2010, 10, 565–578. [Google Scholar] [PubMed]
- Thomasy, S.M.; Raghunathan, V.K.; Miyagi, H.; Evashenk, A.T.; Sermeno, J.C.; Tripp, G.K.; Morgan, J.T.; Murphy, C.J. Latrunculin B and substratum stiffness regulate corneal fibroblast to myofibroblast transformation. Exp. Eye Res. 2018, 170, 101–107. [Google Scholar] [CrossRef]
- Jester, J.V.; Barry-Lane, P.A.; Cavanagh, H.D.; Petroll, W.M. Induction of alpha-smooth muscle actin expression and myofibroblast transformation in cultured corneal keratocytes. Cornea 1996, 15, 505–516. [Google Scholar] [CrossRef] [PubMed]
- Netto, M.V.; Mohan, R.R.; Ambrósio, R.; Hutcheon, A.E., Jr.; Zieske, J.D.; Wilson, S.E. Wound healing in the cornea: A review of refractive surgery complications and new prospects for therapy. Cornea 2005, 24, 509–522. [Google Scholar] [CrossRef]
- Snyder, M.C.; Bergmanson, J.P.; Doughty, M.J. Keratocytes: No more the quiet cells. J. Am. Optom. Assoc. 1998, 69, 180–187. [Google Scholar] [PubMed]
- Jester, J.V.; Moller-Pedersen, T.; Huang, J.; Sax, C.M.; Kays, W.T.; Cavangh, H.D.; Petroll, W.M.; Piatigorsky, J. The cellular basis of corneal transparency: Evidence for ‘corneal crystallins’. J. Cell Sci. 1999, 112 Pt 5, 613–622. [Google Scholar] [CrossRef] [PubMed]
- Myrna, K.E.; Pot, S.A.; Murphy, C.J. Meet the corneal myofibroblast: The role of myofibroblast transformation in corneal wound healing and pathology. Vet. Ophthalmol. 2009, 12 (Suppl. 1), 25–27. [Google Scholar] [CrossRef]
- Saika, S.; Yamanaka, O.; Sumioka, T.; Miyamoto, T.; Miyazaki, K.; Okada, Y.; Kitano, A.; Shirai, K.; Tanaka, S.I.; Ikeda, K. Fibrotic disorders in the eye: Targets of gene therapy. Prog. Retin. Eye Res. 2008, 27, 177–196. [Google Scholar] [CrossRef]
- Torricelli, A.A.; Santhanam, A.; Wu, J.; Singh, V.; Wilson, S.E. The corneal fibrosis response to epithelial–stromal injury. Exp. Eye Res. 2016, 142, 110–118. [Google Scholar] [CrossRef]
- Wilson, S.E. Fibrosis Is a Basement Membrane-Related Disease in the Cornea: Injury and Defective Regeneration of Basement Membranes May Underlie Fibrosis in Other Organs. Cells 2022, 11, 309. [Google Scholar] [CrossRef]
- Nolte, M.; Margadant, C. Controlling Immunity and Inflammation through Integrin-Dependent Regulation of TGF-β. Trends Cell Biol. 2020, 30, 49–59. [Google Scholar] [CrossRef] [PubMed]
- Gao, J.; Peng, S.; Shan, X.; Deng, G.; Shen, L.; Sun, J.; Jiang, C.; Yang, X.; Chang, Z.; Sun, X.; et al. Inhibition of AIM2 inflammasome-mediated pyroptosis by Andrographolide contributes to amelioration of radiation-induced lung inflammation and fibrosis. Cell Death Dis. 2019, 10, 957. [Google Scholar] [CrossRef] [PubMed]
- Wong, S.K.; Chin, K.Y.; Ima-Nirwana, S. A review on the molecular basis underlying the protective effects of Andrographis paniculata and andrographolide against myocardial injury. Drug Des. Dev. Ther. 2021, 15, 4615–4632. [Google Scholar] [CrossRef]
- Li, J.; Feng, M.; Sun, R.; Li, Z.; Hu, L.; Peng, G.; Xu, X.; Wang, W.; Cui, F.; Yue, W.; et al. Andrographolide ameliorates bleomycin-induced pulmonary fibrosis by suppressing cell proliferation and myofibroblast differentiation of fibroblasts via the TGF-β1-mediated Smad-dependent and -independent pathways. Toxicol. Lett. 2020, 321, 103–113. [Google Scholar] [CrossRef]
- Zhang, H.; Li, S.; Si, Y.; Xu, H. Andrographolide and its derivatives: Current achievements and future perspectives. Eur. J. Med. Chem. 2021, 224, 113710. [Google Scholar] [CrossRef]
- Kim, S.; Gates, B.; Leonard, B.C.; Gragg, M.; Pinkerton, K.E.; Winkle, L.V.; Murphy, C.J.; Pyrgiotakis, G.; Zhang, Z.; Demokritou, P.; et al. Engineered metal oxide nanomaterials inhibit corneal epithelial wound healing in vitro and in vivo. NanoImpact 2020, 17, 100198. [Google Scholar] [CrossRef] [PubMed]
- Fukuto, A.; Kim, S.; Kang, J.; Gates, B.L.; Chang, M.W.; Pinkerton, K.E.; Van Winkle, L.S.; Kiuchi, Y.; Murphy, C.J.; Leonard, B.C.; et al. Metal Oxide Engineered Nanomaterials Modulate Rabbit Corneal Fibroblast to Myofibroblast Transformation. Transl. Vis. Sci. Technol. 2021, 10, 23. [Google Scholar] [CrossRef]
- Myrna, K.E.; Mendonsa, R.; Russell, P.; Pot, S.A.; Liliensiek, S.J.; Jester, J.V.; Nealey, P.F.; Brown, D.; Murphy, C.J. Substratum topography modulates corneal fibroblast to myofibroblast transformation. Investig. Ophthalmol. Vis. Sci. 2012, 53, 811–816. [Google Scholar] [CrossRef]
- Eaton, J.S.; Miller, P.E.; Bentley, E.; Thomasy, S.M.; Murphy, C.J. The SPOTS System: An Ocular Scoring System Optimized for Use in Modern Preclinical Drug Development and Toxicology. J. Ocul. Pharmacol. Ther. 2017, 33, 718–734. [Google Scholar] [CrossRef] [PubMed]
- Massagué, J. How cells read TGF-beta signals. Nat. Rev. Mol. Cell Biol. 2000, 1, 169–178. [Google Scholar] [CrossRef]
- Cabezas, F.; Farfán, P.; Marzolo, M.P. Participation of the SMAD2/3 signalling pathway in the down regulation of megalin/LRP2 by transforming growth factor beta (TGF-ß1). PLoS ONE 2019, 14, e0213127. [Google Scholar] [CrossRef] [PubMed]
- Lagna, G.; Hata, A.; Hemmati-Brivanlou, A.; Massagué, J. Partnership between DPC4 and SMAD proteins in TGF-beta signalling pathways. Nature 1996, 383, 832–836. [Google Scholar] [CrossRef] [PubMed]
- Liu, F.; Pouponnot, C.; Massagué, J. Dual role of the Smad4/DPC4 tumor suppressor in TGFbeta-inducible transcriptional complexes. Genes Dev. 1997, 11, 3157–3167. [Google Scholar] [CrossRef] [PubMed]
- Roelen, B.A.; Cohen, O.S.; Raychowdhury, M.K.; Chadee, D.N.; Zhang, Y.; Kyriakis, J.M.; Alessandrini, A.A.; Lin, H.Y. Phosphorylation of threonine 276 in Smad4 is involved in transforming growth factor-beta-induced nuclear accumulation. Am. J. Physiol. Cell Physiol. 2003, 285, C823–C830. [Google Scholar] [CrossRef]
- Schiffer, M.; von Gersdorff, G.; Bitzer, M.; Susztak, K.; Böttinger, E.P. Smad proteins and transforming growth factor-beta signaling. Kidney Int. 2000, 58, S45–S52. [Google Scholar] [CrossRef]
- Wotton, D.; Massagué, J. Smad transcriptional corepressors in TGF beta family signaling. Curr. Top. Microbiol. Immunol. 2001, 254, 145–164. [Google Scholar]
- Wilson, S.E. Coordinated Modulation of Corneal Scarring by the Epithelial Basement Membrane and Descemet’s Basement Membrane. J. Refract. Surg. 2019, 35, 506–516. [Google Scholar] [CrossRef]




Publisher’s Note: MDPI stays neutral with regard to jurisdictional claims in published maps and institutional affiliations. |
© 2022 by the authors. Licensee MDPI, Basel, Switzerland. This article is an open access article distributed under the terms and conditions of the Creative Commons Attribution (CC BY) license (https://creativecommons.org/licenses/by/4.0/).
Share and Cite
Rozo, V.; Quan, M.; Aung, T.; Kang, J.; Thomasy, S.M.; Leonard, B.C. Andrographolide Inhibits Corneal Fibroblast to Myofibroblast Differentiation In Vitro. Biomolecules 2022, 12, 1447. https://doi.org/10.3390/biom12101447
Rozo V, Quan M, Aung T, Kang J, Thomasy SM, Leonard BC. Andrographolide Inhibits Corneal Fibroblast to Myofibroblast Differentiation In Vitro. Biomolecules. 2022; 12(10):1447. https://doi.org/10.3390/biom12101447
Chicago/Turabian StyleRozo, Vanessa, Melinda Quan, Theint Aung, Jennifer Kang, Sara M. Thomasy, and Brian C. Leonard. 2022. "Andrographolide Inhibits Corneal Fibroblast to Myofibroblast Differentiation In Vitro" Biomolecules 12, no. 10: 1447. https://doi.org/10.3390/biom12101447
APA StyleRozo, V., Quan, M., Aung, T., Kang, J., Thomasy, S. M., & Leonard, B. C. (2022). Andrographolide Inhibits Corneal Fibroblast to Myofibroblast Differentiation In Vitro. Biomolecules, 12(10), 1447. https://doi.org/10.3390/biom12101447

