Immunohistochemical Analysis of the Expression of Adhesion Proteins: TNS1, TNS2 and TNS3 in Correlation with Clinicopathological Parameters in Gastric Cancer
Abstract
1. Introduction
2. Materials and Methods
2.1. Study Group
2.2. Tissue Preparations
2.3. Immunohistochemistry
2.4. Validation of TNS1, TNS2, TNS3 Expression Detection
2.5. Microscopic Evaluation
2.6. Statistical Analysis
3. Results
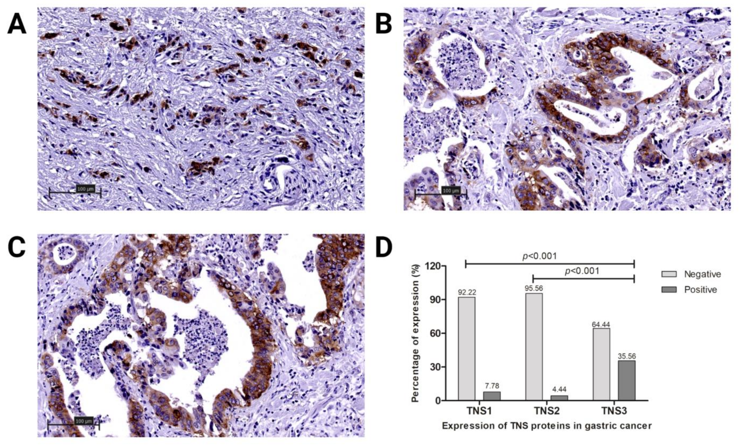
3.1. Expression of TNS1, TNS2 and TNS3 in Gastric Cancer Samples
3.2. Comparison of TNS1, TNS2 and TNS3 Expression with Clinicopathological Parameters of GC
3.3. Analysis of the Correlation of TNS1, TNS2 and TNS3 Expression Levels with the Overall Survival of Patients
4. Discussion
5. Conclusions
Author Contributions
Funding
Institutional Review Board Statement
Informed Consent Statement
Data Availability Statement
Conflicts of Interest
References
- Bray, F.; Ferlay, J.; Soerjomataram, I.; Siegel, R.L.; Torre, L.A.; Jemal, A. Global cancer statistics 2018: GLOBOCAN estimates of incidence and mortality worldwide for 36 cancers in 185 countries. CA Cancer J. Clin. 2018, 68, 394–424. [Google Scholar] [CrossRef]
- Rona, K.A.; Schwameis, K.; Zehetner, J.; Samakar, K.; Green, K.; Samaan, J.; Sandhu, K.; Bildzukewicz, N.; Katkhouda, N.; Lipham, J.C. Gastric cancer in the young: An advanced disease with poor prognostic features. J. Surg. Oncol. 2017, 115, 371–375. [Google Scholar] [CrossRef]
- Song, Z.; Wu, Y.; Yang, J.; Yang, D.; Fang, X. Progress in the treatment of advanced gastric cancer. Tumour Biol. 2017, 39, 1010428317714626. [Google Scholar] [CrossRef] [PubMed]
- Hall, E.H.; Balsbaugh, J.L.; Rose, K.L.; Shabanowitz, J.; Hunt, D.F.; Brautigan, D.L. Comprehensive analysis of phosphorylation sites in Tensin1 reveals regulation by p38MAPK. Mol. Cell Proteom. 2010, 9, 2853–2863. [Google Scholar] [CrossRef] [PubMed]
- Cui, Y.; Liao, Y.C.; Lo, S.H. Epidermal growth factor modulates tyrosine phosphorylation of a novel tensin family member, tensin3. Mol. Cancer Res. 2004, 2, 225–232. [Google Scholar]
- Zhao, Z.; Tan, S.H.; Machiyama, H.; Kawauchi, K.; Araki, K.; Hirata, H.; Sawada, Y. Association between tensin 1 and p130Cas at focal adhesions links actin inward flux to cell migration. Biol. Open 2016, 5, 499–506. [Google Scholar] [CrossRef] [PubMed][Green Version]
- Lo, S.H. Tensin. Int. J. Biochem. Cell Biol. 2004, 36, 31–34. [Google Scholar] [CrossRef]
- Lo, S.H. Tensins. Curr. Biol. 2017, 27, R331–R332. [Google Scholar] [CrossRef] [PubMed]
- Georgiadou, M.; Ivaska, J. Tensins: Bridging AMP-Activated Protein Kinase with Integrin Activation. Trends Cell Biol. 2017, 27, 703–711. [Google Scholar] [CrossRef]
- Schaller, M.D. Paxillin: A focal adhesion-associated adaptor protein. Oncogene 2001, 20, 6459–6472. [Google Scholar] [CrossRef]
- Hong, S.Y.; Shih, Y.P.; Li, T.; Carraway, K.L.; Lo, S.H. CTEN prolongs signaling by EGFR through reducing its ligand-induced degradation. Cancer Res. 2013, 73, 5266–5276. [Google Scholar] [CrossRef] [PubMed]
- Hiura, K.; Lim, S.S.; Little, S.P.; Lin, S.; Sato, M. Differentiation dependent expression of tensin and cortactin in chicken osteoclasts. Cell Motil. Cytoskelet. 1995, 30, 272–284. [Google Scholar] [CrossRef]
- Mueller, S.C.; Yeh, Y.; Chen, W.T. Tyrosine phosphorylation of membrane proteins mediates cellular invasion by transformed cells. J. Cell Biol. 1992, 119, 1309–1325. [Google Scholar] [CrossRef] [PubMed]
- Nizioł, M.; Pryczynicz, A. The role of tensins in malignant neoplasms. Arch. Med Sci. 2021. [Google Scholar] [CrossRef]
- Chen, H.; Ishii, A.; Wong, W.K.; Chen, L.B.; Lo, S.H. Molecular characterization of human tensin. Biochem. J. 2000, 351 Pt 2, 403–411. [Google Scholar] [CrossRef]
- Lo, S.H.; Janmey, P.A.; Hartwig, J.H.; Chen, L.B. Interactions of tensin with actin and identification of its three distinct actin-binding domains. J. Cell Biol. 1994, 125, 1067–1075. [Google Scholar] [CrossRef]
- Haynie, D.T. Molecular physiology of the tensin brotherhood of integrin adaptor proteins. Proteins 2014, 82, 1113–1127. [Google Scholar] [CrossRef] [PubMed]
- Salgia, R.; Brunkhorst, B.; Pisick, E.; Li, J.L.; Lo, S.H.; Chen, L.B.; Griffin, J.D. Increased tyrosine phosphorylation of focal adhesion proteins in myeloid cell lines expressing p210BCR/ABL. Oncogene 1995, 11, 1149–1155. [Google Scholar] [PubMed]
- Jiang, B.; Yamamura, S.; Nelson, P.R.; Mureebe, L.; Kent, K.C. Differential effects of platelet-derived growth factor isotypes on human smooth muscle cell proliferation and migration are mediated by distinct signaling pathways. Surgery 1996, 120, 427–431, discussion 432. [Google Scholar] [CrossRef]
- Ishida, T.; Ishida, M.; Suero, J.; Takahashi, M.; Berk, B.C. Agonist-stimulated cytoskeletal reorganization and signal transduction at focal adhesions in vascular smooth muscle cells require c-Src. J. Clin. Investig. 1999, 103, 789–797. [Google Scholar] [CrossRef]
- Cheng, L.C.; Chen, Y.L.; Cheng, A.N.; Lee, A.Y.; Cho, C.Y.; Huang, J.S.; Chuang, S.E. AXL phosphorylates and up-regulates TNS2 and its implications in IRS-1-associated metabolism in cancer cells. J. Biomed. Sci. 2018, 25, 80. [Google Scholar] [CrossRef]
- Legate, K.R.; Montañez, E.; Kudlacek, O.; Fässler, R. ILK, PINCH and parvin: The tIPP of integrin signalling. Nat. Rev. Mol. Cell Biol. 2006, 7, 20–31. [Google Scholar] [CrossRef]
- Touaitahuata, H.; Morel, A.; Urbach, S.; Mateos-Langerak, J.; de Rossi, S.; Blangy, A. Tensin 3 is a new partner of Dock5 that controls osteoclast podosome organization and activity. J. Cell Sci. 2016, 129, 3449–3461. [Google Scholar] [CrossRef]
- Shinchi, Y.; Hieda, M.; Nishioka, Y.; Matsumoto, A.; Yokoyama, Y.; Kimura, H.; Matsuura, S.; Matsuura, N. SUV420H2 suppresses breast cancer cell invasion through down regulation of the SH2 domain-containing focal adhesion protein tensin-3. Exp. Cell Res. 2015, 334, 90–99. [Google Scholar] [CrossRef]
- Qian, X.; Li, G.; Vass, W.C.; Papageorge, A.; Walker, R.C.; Asnaghi, L.; Steinbach, P.J.; Tosato, G.; Hunter, K.; Lowy, D.R. The Tensin-3 protein, including its SH2 domain, is phosphorylated by Src and contributes to tumorigenesis and metastasis. Cancer Cell 2009, 16, 246–258. [Google Scholar] [CrossRef]
- Carter, J.A.; Górecki, D.C.; Mein, C.A.; Ljungberg, B.; Hafizi, S. CpG dinucleotide-specific hypermethylation of the TNS3 gene promoter in human renal cell carcinoma. Epigenetics 2013, 8, 739–747. [Google Scholar] [CrossRef] [PubMed]
- Shinde, A.; Paez, J.S.; Libring, S.; Hopkins, K.; Solorio, L.; Wendt, M.K. Transglutaminase-2 facilitates extracellular vesicle-mediated establishment of the metastatic niche. Oncogenesis 2020, 9, 16. [Google Scholar] [CrossRef] [PubMed]
- Bernau, K.; Torr, E.E.; Evans, M.D.; Aoki, J.K.; Ngam, C.R.; Sandbo, N. Tensin 1 Is Essential for Myofibroblast Differentiation and Extracellular Matrix Formation. Am. J. Respir. Cell Mol. Biol. 2017, 56, 465–476. [Google Scholar] [CrossRef] [PubMed]
- Lo, S.H.; Yu, Q.C.; Degenstein, L.; Chen, L.B.; Fuchs, E. Progressive kidney degeneration in mice lacking tensin. J. Cell Biol. 1997, 136, 1349–1361. [Google Scholar] [CrossRef] [PubMed]
- Adachi, Y.; Yasuda, K.; Inomata, M.; Sato, K.; Shiraishi, N.; Kitano, S. Pathology and prognosis of gastric carcinoma: Well versus poorly differentiated type. Cancer 2000, 89, 1418–1424. [Google Scholar] [CrossRef]
- Zhu, Z.; Wen, Y.; Xuan, C.; Chen, Q.; Xiang, Q.; Wang, J.; Liu, Y.; Luo, L.; Zhao, S.; Deng, Y.; et al. Identifying the key genes and microRNAs in prostate cancer bone metastasis by bioinformatics analysis. FEBS Open Bio 2020, 10, 674–688. [Google Scholar] [CrossRef]
- Martuszewska, D.; Ljungberg, B.; Johansson, M.; Landberg, G.; Oslakovic, C.; Dahlbäck, B.; Hafizi, S. Tensin3 is a negative regulator of cell migration and all four Tensin family members are downregulated in human kidney cancer. PLoS ONE 2009, 4, e4350. [Google Scholar] [CrossRef]
- Yang, X.; Wang, G.; Huang, X.; Cheng, M.; Han, Y. RNA-seq reveals the diverse effects of substrate stiffness on epidermal ovarian cancer cells. Aging 2020, 12, 20493–20511. [Google Scholar] [CrossRef]
- Coussens, L.M.; Werb, Z. Inflammation and cancer. Nature 2002, 420, 860–867. [Google Scholar] [CrossRef]
- Whiteside, T.L. Immune suppression in cancer: Effects on immune cells, mechanisms and future therapeutic intervention. Semin. Cancer Biol. 2006, 16, 3–15. [Google Scholar] [CrossRef] [PubMed]
- Zhan, Y.; Liang, X.; Li, L.; Wang, B.; Ding, F.; Li, Y.; Wang, X.; Zhan, Q.; Liu, Z. MicroRNA-548j functions as a metastasis promoter in human breast cancer by targeting Tensin1. Mol. Oncol. 2016, 10, 838–849. [Google Scholar] [CrossRef] [PubMed]
- Zhang, P.B.; Huang, Z.L.; Xu, Y.H.; Huang, J.; Huang, X.Y. Systematic analysis of gene expression profiles reveals prognostic stratification and underlying mechanisms for muscle-invasive bladder cancer. Cancer Cell Int. 2019, 19, 337. [Google Scholar] [CrossRef] [PubMed]
- Hong, S.Y.; Shih, Y.P.; Sun, P.; Hsieh, W.J.; Lin, W.C.; Lo, S.H. Down-regulation of tensin2 enhances tumorigenicity and is associated with a variety of cancers. Oncotarget 2016, 7, 38143–38153. [Google Scholar] [CrossRef]



| Parameter | Number of Cases (%) |
|---|---|
| Age | |
| <60 | 29 (32.22%) |
| ≥60 | 61 (67.78%) |
| Gender | |
| Female | 30 (33.33%) |
| Male | 60 (66.67%) |
| Tumor diameter | |
| <5 cm | 19 (21.11%) |
| ≥5 cm | 71 (78.89%) |
| Tumor localization | |
| Upper 1/3 | 17 (18.89%) |
| Middle1/3 | 34 (37.78%) |
| Lower 1/3 | 16 (17.78%) |
| Whole stomach | 23 (25.55%) |
| Histological type | |
| Adenocarcinoma | 55 (61.11%) |
| Adenocarcinoma mucinosum | 35 (38.89%) |
| Histological differentiation | |
| Moderately differentiated | 26 (28.89%) |
| Poorly differentiated | 35 (38.89%) |
| Non-differentiated | 29 (32.22%) |
| Depth of invasion | |
| T1 | 7 (7.78%) |
| T2 | 7 (7.78%) |
| T3 | 66 (73.33%) |
| T4 | 10 (11.11%) |
| Lymph node metastasis | |
| Absent | 18 (20.00%) |
| Present | 72 (80.00%) |
| Distant metastasis | |
| Absent | 62 (68.89%) |
| Present | 28 (31.11%) |
| Blood vessel infiltration | |
| Absent | 49 (84.48%) |
| Present | 9 (15.52%) |
| Lymphatic vessel infiltration | |
| Absent | 22 (32.84%) |
| Present | 45 (61.16%) |
| Perineural cancer cells infiltration | |
| Absent | 29 (34.94%) |
| Present | 54 (65.06%) |
| Peritumoral inflammation | |
| Absent | 42 (50.00%) |
| Present | 42 (50.00%) |
| Desmoplasia | |
| Small | 56 (66.67%) |
| Diffuse | 28 (33.33%) |
| H. pylori infection | |
| Absent | 62 (73.81%) |
| Present | 22 (26.19%) |
| Lauren’s classification | |
| Intestinal | 47 (56.63%) |
| Diffuse | 36 (43.37%) |
| Parameter | Expression of TNS1 Protein | p-Value a | |
|---|---|---|---|
| Negative | Positive | ||
| Age | 0.296 | ||
| <60 | 28 (96.55%) | 1 (3.45%) | |
| ≥60 | 55 (90.16%) | 6 (9.84%) | |
| Gender | 0.271 | ||
| Female | 29 (96.97%) | 1 (3.33%) | |
| Male | 54 (90.00%) | 6 (10.00%) | |
| Tumor diameter | 0.158 | ||
| <5cm | 19 (100%) | 0 (0.00%) | |
| ≥5cm | 64 (90.14%) | 7 (9.86%) | |
| Tumor localization | 0.201 | ||
| Upper 1/3 | 16 (94.12%) | 1 (5.88%) | |
| Middle1/3 | 32 (94.12%) | 2 (5.88%) | |
| Lower 1/3 | 16 (100%) | 0 (0.00%) | |
| Whole stomach | 19 (82.61%) | 4 (17.39%) | |
| Histological type | 0.067 | ||
| Adenocarcinoma | 53 (96.36%) | 2 (3.64%) | |
| Adenocarcinoma mucinosum | 30 (85.71%) | 5 (14.29%) | |
| Histological differentiation | 0.02 | ||
| Moderately differentiated | 26 (100.00%) | 0 (0.00%) | (0.016) |
| Poorly differentiated | 33 (94.29%) | 2 (5.71%) | |
| Non-differentiated | 24 (82.76%) | 5 (17.24%) | |
| Depth of invasion | 0.300 | ||
| T1 | 7 (100%) | 0 (0.00%) | |
| T2 | 7 (100%) | 0 (0.00%) | |
| T3 | 60 (90.91%) | 6 (9.09%) | |
| T4 | 9 (90.00%) | 1 (10.00%) | |
| Lymph node metastasis | 0.172 | ||
| Absent | 18 (100%) | 0 (0.00%) | |
| Present | 65 (90.28%) | 7 (9.72%) | |
| Distant metastasis | 0.001 | ||
| Absent | 61 (98.39%) | 1 (1.61%) | |
| Present | 22 (78.57%) | 6 (21.43%) | |
| Blood vessel infiltration | 0.546 | ||
| Absent | 47 (95.92%) | 2 (4.08%) | |
| Present | 9 (100%) | 0 (0.00%) | |
| Lymphatic vessel infiltration | 0.107 | ||
| Absent | 22 (100%) | 0 (0.00%) | |
| Present | 40 (88.89%) | 5 (11.11%) | |
| Perineural cancer cells infiltration | 0.064 | ||
| Absent | 29 (100.00%) | 0 (0.00%) | |
| Present | 48 (88.89%) | 6 (11.11%) | |
| Peritumoral inflammation | 0.403 | ||
| Absent | 38 (90.48%) | 4 (9.52%) | |
| Present | 40 (95.24%) | 2 (4.76%) | |
| Desmoplasia | 1.000 | ||
| Small | 52 (92.86%) | 4 (7.14%) | |
| Large | 26 (92.86%) | 2 (7.14%) | |
| H. pylori infection | 0.133 | ||
| Absent | 56 (90.32%) | 6 (9.68%) | |
| Present | 22 (100.00%) | 0 (0.00%) | |
| Lauren’s classification | 0.260 | ||
| Intestinal | 43 (95.56%) | 4 (4.44%) | |
| Diffuse | 32 (88.89%) | 4 (11.11%) | |
| Parameter | Expression of TNS2 Protein | p-Value a | |
|---|---|---|---|
| Negative | Positive | ||
| Age | 0.755 | ||
| <60 | 28 (96.55%) | 1 (3.45%) | |
| ≥60 | 58 (95.08%) | 3 (4.92%) | |
| Gender | 0.475 | ||
| Female | 28 (93.33%) | 2 (6.67%) | |
| Male | 58 (96.67%) | 2 (3.33%) | |
| Tumor diameter | 0.848 | ||
| <5 cm | 18 (94.74%) | 1 (5.26%) | |
| ≥5 cm | 68 (95.77%) | 3 (4.23%) | |
| Tumor localization | 0.636 | ||
| Upper 1/3 | 17 (100.00%) | 0 (0.00%) | |
| Middle1/3 | 32 (94.12%) | 2 (5.88%) | |
| Lower 1/3 | 15 (93.75%) | 1 (6.25%) | |
| Whole stomach | 22 (95.65%) | 1 (4.35%) | |
| Histological type | 0.105 | ||
| Adenocarcinoma | 51 (92.73%) | 4 (7.27%) | |
| Adenocarcinoma mucinosum | 35 (100.00%) | 0 (0.00%) | |
| Histological differentiation | 0.045(0.041) | ||
| Moderately differentiated | 23 (88.46%) | 3 (11.54%) | |
| Poorly differentiated | 34 (97.14%) | 1 (2.86%) | |
| Non-differentiated | 29 (100.00%) | 0 (0.00%) | |
| Depth of invasion | 0.272 | ||
| T1 | 6 (85.71%) | 1 (14.29%) | |
| T2 | 7 (100%) | 0 (0.00%) | |
| T3 | 63 (95.45%) | 3 (4.55%) | |
| T4 | 10 (100.00%) | 0 (0.00%) | |
| Lymph node metastasis | 0.801 | ||
| Absent | 17 (94.44%) | 1 (5.56%) | |
| Present | 69 (95.83%) | 3 (4.17%) | |
| Distant metastasis | 0.173 | ||
| Absent | 58 (93.55%) | 4 (6.45%) | |
| Present | 28 (100%) | 0 (0.00%) | |
| Blood vessel infiltration | 0.546 | ||
| Absent | 47 (95.92%) | 2 (4.08%) | |
| Present | 9 (100%) | 0 (0.00%) | |
| Lymphatic vessel infiltration | 0.208 | ||
| Absent | 20 (90.91%) | 2 (9.09%) | |
| Present | 44 (97.78%) | 1 (2.22%) | |
| Perineural cancer cells infiltration | 0.087 | ||
| Absent | 26 (89.66%) | 3 (10.34%) | |
| Present | 53 (98.15%) | 1 (1.851%) | |
| Peritumoral inflammation | 0.041 | ||
| Absent | 42 (100.00%) | 0 (0.00%) | |
| Present | 38 (90.48%) | 4 (9.52%) | |
| Desmoplasia | 0.721 | ||
| Small | 53 (94.64%) | 3 (5.36%) | |
| Large | 27 (96.43%) | 1 (3.57%) | |
| H. pylori infection | 0.023 | ||
| Absent | 61 (98.39%) | 1 (1.61%) | |
| Present | 19 (86.36%) | 3 (13.64%) | |
| Lauren’s classification | 0.697 | ||
| Intestinal | 43 (95.56%) | 2 (4.44%) | |
| Diffuse | 35 (97.22%) | 1 (2.77%) | |
| Parameter | Expression of TNS3 Protein | p-Value a | |
|---|---|---|---|
| Negative | Positive | ||
| Age | 0.885 | ||
| <60 | 19 (65.52%) | 10 (34.48%) | |
| ≥60 | 39 (63.93%) | 22 (36.07%) | |
| Gender | 0.878 | ||
| Female | 19 (63.33%) | 11 (36.67%) | |
| Male | 39 (65.00%) | 21 (35.00%) | |
| Tumor diameter | 0.897 | ||
| <5 cm | 12 (63.16%) | 7 (36.84%) | |
| ≥5 cm | 46 (64.79%) | 25 (35.21%) | |
| Tumor localization | 0.308 | ||
| Upper 1/3 | 13 (76.47%) | 4 (23.53%) | |
| Middle 1/3 | 22 (64.71%) | 12 (35.29%) | |
| Lower 1/3 | 9 (56.25%) | 7 (43.75%) | |
| Whole stomach | 14 (60.87%) | 9 (39.13%) | |
| Histological type | 0.520 | ||
| Adenocarcinoma | 34 (61.82%) | 21 (38.18%) | |
| Adenocarcinoma mucinosum | 24 (68.57%) | 11 (31.43%) | |
| Histological differentiation | 0.025 | ||
| Moderately differentiated | 12 (46.15%) | 14 (53.85%) | (0.023) |
| Poorly differentiated | 24 (68.57%) | 11 (31.47%) | |
| Non-differentiated | 22 (75.86%) | 7 (24.14%) | |
| Depth of invasion | 0.514 | ||
| T1 | 5 (71.43%) | 2 (28.57%) | |
| T2 | 3 (42.86%) | 4 (57.14%) | |
| T3 | 42 (63.64%) | 24 (36.36%) | |
| T4 | 8 (80.00%) | 2 (20.00%) | |
| Lymph node metastasis | 0.447 | ||
| Present | 45 (62.50%) | 5 (27.78%) | |
| Absent | 13 (72.22%) | 27 (37.50%) | |
| Distant metastasis | 0.654 | ||
| Absent | 39 (62.90%) | 23 (37.10%) | |
| Present | 19 (67.86%) | 9 (32.14%) | |
| Blood vessel infiltration | 0.584 | ||
| Absent | 32 (65.31%) | 17 (34.69%) | |
| Present | 5 (55.56%) | 4 (44.44%) | |
| Lymphatic vessel infiltration | 0.912 | ||
| Absent | 14 (63.64%) | 8 (36.36%) | |
| Present | 28 (62.22%) | 17 (37.78%) | |
| Perineural cancer cells infiltration | 0.473 | ||
| Absent | 17 (58.62%) | 12 (41.38%) | |
| Present | 36 (66.67%) | 18 (33.33%) | |
| Peritumoral inflammation | 0.824 | ||
| Absent | 27 (64.29%) | 15 (35.71%) | |
| Present | 26 (61.90%) | 16 (38.10%) | |
| Desmoplasia | 0.268 | ||
| Small | 33 (58.93%) | 23 (41.07%) | |
| Large | 20 (71.43%) | 8 (28.57%) | |
| H. pylori infection | 0.952 | ||
| Absent | 39 (62.90%) | 23 (37.10%) | |
| Present | 14 (63.64%) | 8 (36.36%) | |
| Lauren’s classification | 0.420 | ||
| Intestinal | 26 (57.78%) | 19 (42.22%) | |
| Diffuse | 24 (66.67%) | 12 (33.33%) | |
Publisher’s Note: MDPI stays neutral with regard to jurisdictional claims in published maps and institutional affiliations. |
© 2021 by the authors. Licensee MDPI, Basel, Switzerland. This article is an open access article distributed under the terms and conditions of the Creative Commons Attribution (CC BY) license (https://creativecommons.org/licenses/by/4.0/).
Share and Cite
Nizioł, M.; Zińczuk, J.; Zaręba, K.; Guzińska-Ustymowicz, K.; Pryczynicz, A. Immunohistochemical Analysis of the Expression of Adhesion Proteins: TNS1, TNS2 and TNS3 in Correlation with Clinicopathological Parameters in Gastric Cancer. Biomolecules 2021, 11, 640. https://doi.org/10.3390/biom11050640
Nizioł M, Zińczuk J, Zaręba K, Guzińska-Ustymowicz K, Pryczynicz A. Immunohistochemical Analysis of the Expression of Adhesion Proteins: TNS1, TNS2 and TNS3 in Correlation with Clinicopathological Parameters in Gastric Cancer. Biomolecules. 2021; 11(5):640. https://doi.org/10.3390/biom11050640
Chicago/Turabian StyleNizioł, Marcin, Justyna Zińczuk, Konrad Zaręba, Katarzyna Guzińska-Ustymowicz, and Anna Pryczynicz. 2021. "Immunohistochemical Analysis of the Expression of Adhesion Proteins: TNS1, TNS2 and TNS3 in Correlation with Clinicopathological Parameters in Gastric Cancer" Biomolecules 11, no. 5: 640. https://doi.org/10.3390/biom11050640
APA StyleNizioł, M., Zińczuk, J., Zaręba, K., Guzińska-Ustymowicz, K., & Pryczynicz, A. (2021). Immunohistochemical Analysis of the Expression of Adhesion Proteins: TNS1, TNS2 and TNS3 in Correlation with Clinicopathological Parameters in Gastric Cancer. Biomolecules, 11(5), 640. https://doi.org/10.3390/biom11050640

