The Expression of IL-17, in Chronic Spontaneous Urticaria Is Linked to Semaphorin5A
Abstract
1. Introduction
2. Material and Methods
2.1. Study Subjects and Ethical Considerations
2.2. Immunohistochemistry
2.3. Peripheral Activated CD4+ T Cell Assays
2.4. Statistical Analysis
3. Results
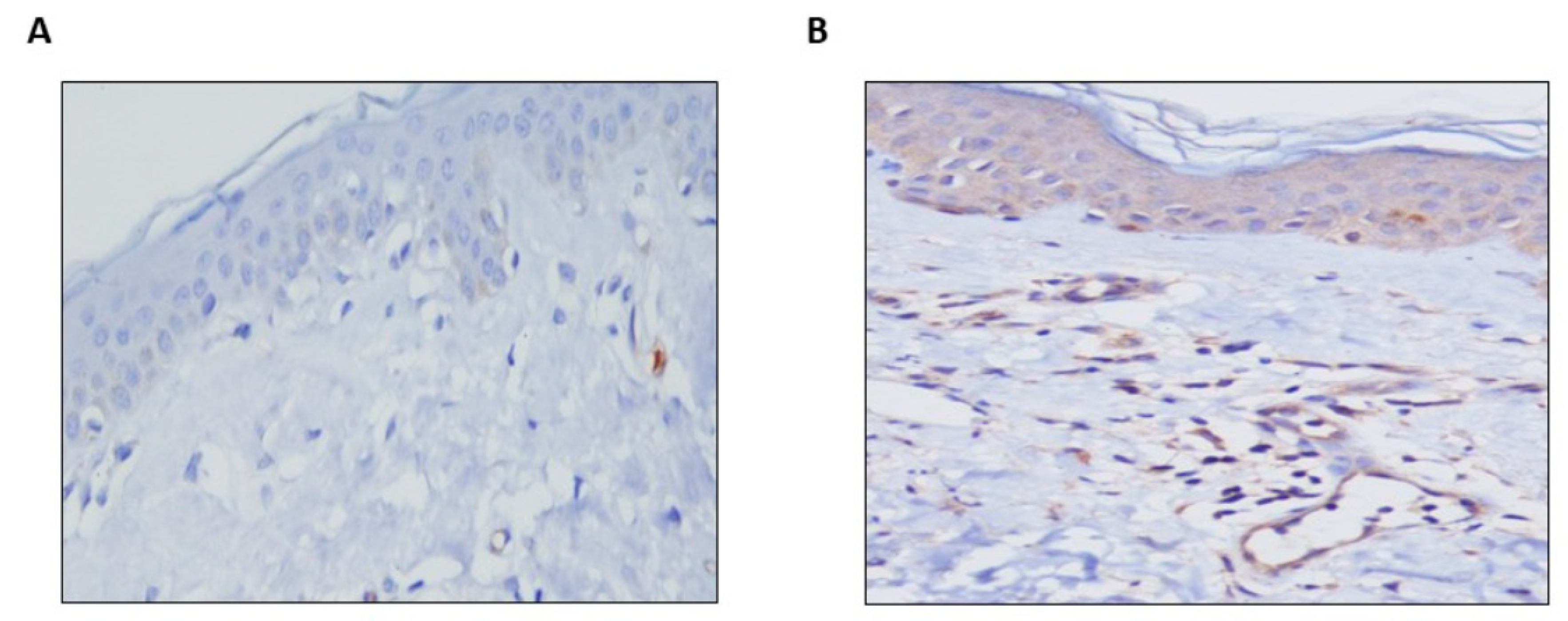
3.1. Many CD4+ T Cells and Mast Cells in the Skin of CSU Patients Express Sema5A and IL-17A
3.2. Sema5A Increases IL-17A Expression in Peripheral CD4+ T Cells
4. Discussion
Author Contributions
Funding
Institutional Review Board Statement
Informed Consent Statement
Conflicts of Interest
References
- Altrichter, S.; Peter, H.J.; Pisarevskaja, D.; Metz, M.; Martus, P.; Maurer, M. IgE mediated autoallergy against thyroid pertoxidase—A novel pathomechanism of chronic spontaneous urticarial. PLoS ONE 2011, 6, e14794. [Google Scholar] [CrossRef] [PubMed]
- Altrichter, S.; Zampeli, V.; Ellrich, A.; Zhang, K.; Church, M.K.; Maurer, M. IgM and IgA in addition to IgG autoantibodies against FcεRIα are frequent and associated with disease markers of chronic spontaneous urticarial. Allergy 2020. online ahead of print. [Google Scholar] [CrossRef]
- Kolkhir, P.; Church, M.K.; Weller, K.; Metz, M.; Schmetzer, O.; Maurer, M. Autoimmune chronic spontaneous urticarial: What we know and what we do not know. J. Allergy Clin. Immunol. 2017, 139, 1772–1781. [Google Scholar] [CrossRef] [PubMed]
- Kaplan, A.P. Chronic urticarial: Pathogenesis and treatment. J. Allergy Clin. Immunol. 2004, 114, 465–474. [Google Scholar] [CrossRef] [PubMed]
- Yu, Q.W.; Lin, W.; Zhang, J.; Peng, L.; Kong, Q.; Zhong, R.; Lan, Y.; Xiao, M.; Chen, M. The association of Th17/Treg cells expression in peripheral blood and chronic spontaneous urticarial: A protocol of systemic review and met-analysis. Medicine 2020, 99, e22014. [Google Scholar] [CrossRef] [PubMed]
- Auyeung, P.; Mittag, D.; Hodgkin, P.D.; Harrison, L.C. Auto-reactive T cells in chronic spontaneous urticarial target the IgE Fc receptor Iα subunit. J. Allergy Clin. Immunol. 2016, 138, 761–768. [Google Scholar] [CrossRef] [PubMed]
- Sabag, D.A.; Matanes, L.; Bejar, J.; Sheffer, H.; Barzilai, A.; Church, M.K.; Toubi, E.; Maurer, M.; Vadasz, Z. Interleukin-17 is a potential player and treatment target in severe chronic spontaneous urticarial. Clin. Exp. Allergy 2020, 50, 799–804. [Google Scholar] [CrossRef] [PubMed]
- Takamatsu, H.; Okuno, T.; Kumanougoh, A. Regulation of immune cell responses by semaphorins and their receptors. Cell Mol. Immunol. 2010, 7, 83–88. [Google Scholar] [CrossRef] [PubMed]
- Gras, C.; Eiz-Vesper, B.; Jaimes, Y.; Immenschuh, S.; Jacobs, R.; Witte, T.; Blasczyk, R.; Figueiredo, C. Secreted semaphoring 5A activates immune effector cells and is a biomarker for rheumatoid arthritis. Arthritis Rheumatol. 2014, 66, 146–171. [Google Scholar] [CrossRef] [PubMed]
- Du, Y.; Wu, X.; Chen, M.; Wang, W.; Xv, W.; Ye, L.; Wu, D.; Xue, J.; Sun, W.; Luo, J.; et al. Elevated semaphoring 5A in systemic lupus erythematosus is in association with disease activity and lupus nephritis. Clin. Exp. Immunol. 2017, 188, 234–242. [Google Scholar] [CrossRef] [PubMed]
- Lyu, M.; Li, Y.; Hao, Y.; Sun, T.; Liu, W.; Lyu, C.; Fu, R.; Li, H.; Xue, F.; Liu, X.; et al. Elevated semaphoring 5A correlated with Th1 polarization in patients with chronic immune thrombocytopenia. Thromb. Res. 2015, 136, 859–864. [Google Scholar] [CrossRef]
- Sadanandam, A.; Rosenbaugh, E.; Singh, S.; Varney, M.; Singh, R.K. Semaphorin 5A promotes angiogenesis by increasing endothelial cell proliferation, migration, and decreasing apoptosis. Microvasc. Rec. 2010, 79, 1–9. [Google Scholar] [CrossRef]
- Artigiani, S.; Controtto, P.; Fazzari, P.; Gilestro, G.F.; Barberis, D.; Giordano, S.; Comoglio, P.M.; Tamagnone, L. Plexin-B3 is a functional receptor for semaphoring 5A. EMBO Rep. 2004, 5, 710–714. [Google Scholar] [CrossRef] [PubMed]
- Ivanov, I.I.; McKenzie, B.S.; Zhou, L.; Tadokoro, C.E.; Lepelley, A.; Lafaille, J.J.; Cua, D.J.; Littman, D.R. The orphan nuclear receptor RORyt directs the differentiation program of pro-inflammatory IL-17+ T helper cells. Cell 2006, 126, 1121–1133. [Google Scholar] [CrossRef]
- Toubi, E.; Adir-Shani, A.; Kessel, A.; Shmuel, Z.; Sabo, E.; Hacham, H. Immune aberrations in B and T lymphocytes derived from chronic urticaria patients. J. Clin. Immunol. 2000, 20, 371–378. [Google Scholar] [CrossRef]
- D’Aguanno, S.; Valentini, E.; Tupone, M.G.; Desideri, M.; Di Martile, M.; Spagnuolo, M.; Buglioni, S.; Ercolani, C.; Falcone, I.; de Dominici, M.; et al. Semaphorin 5A drives melanoma progression: Role of Bcl-2, miR 204 and c-Myb. J. Exp. Clin. Cancer Res. 2018, 37, 278. [Google Scholar] [CrossRef] [PubMed]





Publisher’s Note: MDPI stays neutral with regard to jurisdictional claims in published maps and institutional affiliations. |
© 2021 by the authors. Licensee MDPI, Basel, Switzerland. This article is an open access article distributed under the terms and conditions of the Creative Commons Attribution (CC BY) license (http://creativecommons.org/licenses/by/4.0/).
Share and Cite
Lobna, M.; Nasren, E.; Adi, S.; Jacob, B.; Maria, G.-A.A.; Marcus, M.; Zahava, V. The Expression of IL-17, in Chronic Spontaneous Urticaria Is Linked to Semaphorin5A. Biomolecules 2021, 11, 373. https://doi.org/10.3390/biom11030373
Lobna M, Nasren E, Adi S, Jacob B, Maria G-AA, Marcus M, Zahava V. The Expression of IL-17, in Chronic Spontaneous Urticaria Is Linked to Semaphorin5A. Biomolecules. 2021; 11(3):373. https://doi.org/10.3390/biom11030373
Chicago/Turabian StyleLobna, Matanis, Eiza Nasren, Sabag Adi, Bejar Jacob, Gimenez-Arnau Ana Maria, Maurer Marcus, and Vadasz Zahava. 2021. "The Expression of IL-17, in Chronic Spontaneous Urticaria Is Linked to Semaphorin5A" Biomolecules 11, no. 3: 373. https://doi.org/10.3390/biom11030373
APA StyleLobna, M., Nasren, E., Adi, S., Jacob, B., Maria, G.-A. A., Marcus, M., & Zahava, V. (2021). The Expression of IL-17, in Chronic Spontaneous Urticaria Is Linked to Semaphorin5A. Biomolecules, 11(3), 373. https://doi.org/10.3390/biom11030373

