Comparative Characterization of Gluten and Hydrolyzed Wheat Proteins
Abstract
1. Introduction
2. Materials and Methods
2.1. Reagents and Materials
2.2. Determination of Crude Protein Contents
2.3. Stepwise Fractionation According to Solubility
2.4. Reversed-Phase High-Performance Liquid Chromatography (RP-HPLC)
2.5. Gel-Permeation High-Performance Liquid Chromatography (GP-HPLC)
2.6. Sodium Dodecyl Sulfate-Polyacrylamide Gel Electrophoresis (SDS-PAGE)
2.7. Contents of Free Ammonium
2.8. Statistical Analysis
3. Results
3.1. Determination of Crude Protein Contents
3.2. Stepwise Fractionation According to Solubility and RP-HPLC
3.3. Gel-Permeation High-Performance Liquid Chromatography (GP-HPLC)
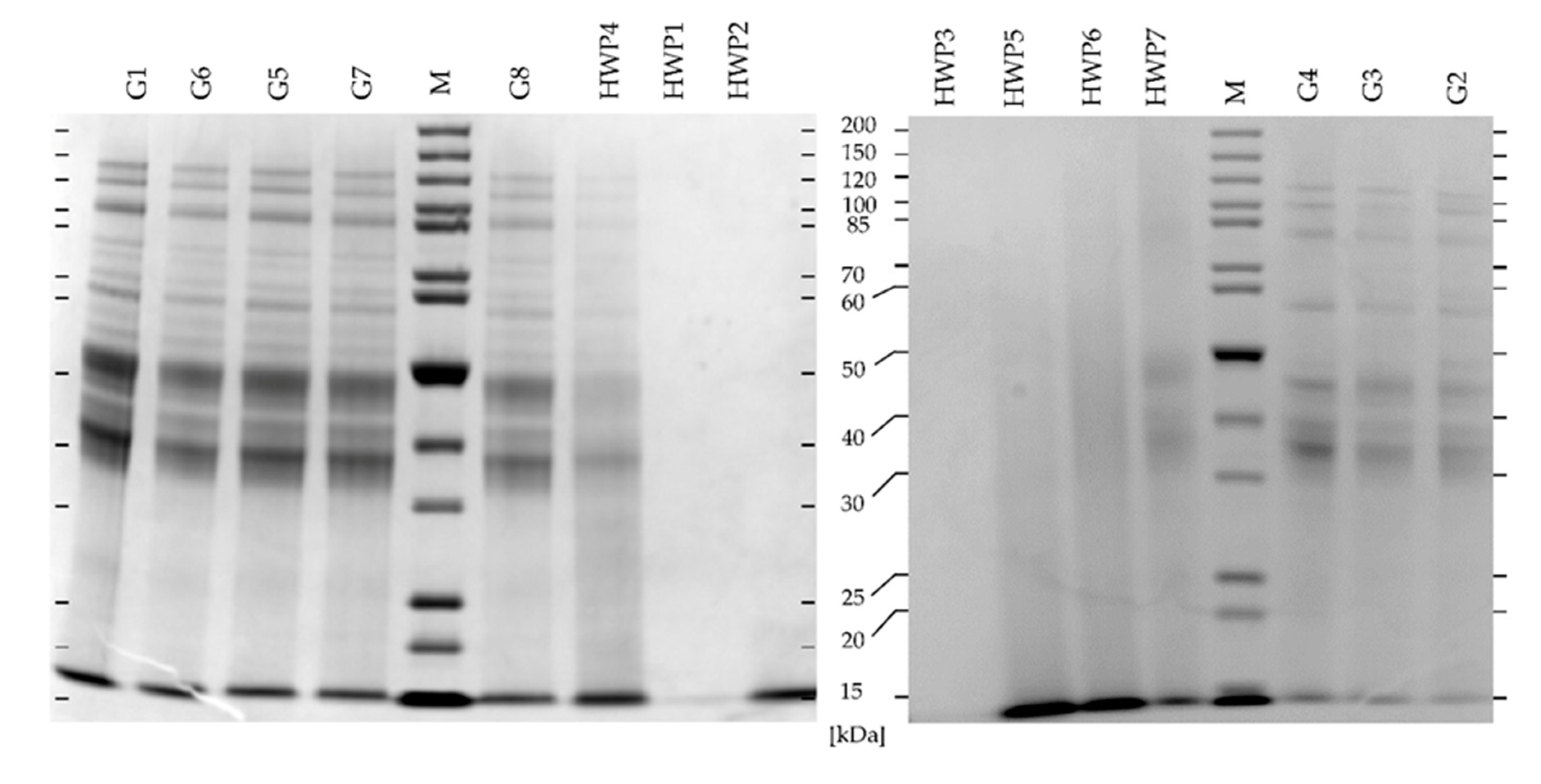
3.4. Sodium Dodecyl Sulfate-Polyacrylamide Gel Electrophoresis (SDS-PAGE)
3.5. Contents of Free Ammonium
4. Discussion
5. Conclusions
Supplementary Materials
Author Contributions
Funding
Acknowledgments
Conflicts of Interest
References
- Scherf, K.A.; Koehler, P.; Wieser, H. Gluten and wheat sensitivities—An overview. J. Cereal Sci. 2016, 67, 2–11. [Google Scholar] [CrossRef]
- Codex Alimentarius Standard. Wheat Protein Products Including Wheat Gluten: CODEX STAN 163-1987, Rev.1-2001; FAO/WHO Joint Publications: Rome, Italy, 2001. [Google Scholar]
- Koehler, P.; Wieser, H.; Konitzer, K. Celiac Disease and Gluten: Multidisciplinary Challenges and Opportunities; Academic Press: Amsterdam, The Netherlands, 2014. [Google Scholar]
- Wieser, H.; Seilmeier, M.; Belitz, H.-D. Quantitative determination of gliadin subgroups from different wheat cultivars. J. Cereal Sci. 1994, 149–155. [Google Scholar] [CrossRef]
- Wieser, H.; Antes, S.; Seilmeier, W. Quantitative determination of gluten protein types in wheat flour by reversed-phase high-performance liquid chromatography. J. Cereal Sci. 1998, 75, 644–650. [Google Scholar] [CrossRef]
- Lagrain, B.; Rombouts, I.; Wieser, H.; Delcour, J.A.; Koehler, P. A reassessment of the electrophoretic mobility of high molecular weight glutenin subunits of wheat. J. Cereal Sci. 2012, 56, 726–732. [Google Scholar] [CrossRef]
- Schalk, K.; Lexhaller, B.; Koehler, P.; Scherf, K.A. Isolation and characterization of gluten protein types from wheat, rye, barley and oats for use as reference materials. PLoS ONE 2017, 12, 1–20. [Google Scholar] [CrossRef]
- Day, L.; Augustin, M.A.; Batey, I.L.; Wrigley, C.W. Wheat-gluten uses and industry needs. Trends Food Sci. Technol. 2006, 17, 82–90. [Google Scholar] [CrossRef]
- Kanerva, P.; Brinck, O.; Sontag-Strohm, T.; Salovaara, H.; Loponen, J. Deamidation of gluten proteins and peptides decreases the antibody affinity in gluten analysis assays. J. Cereal Sci. 2011, 53, 335–339. [Google Scholar] [CrossRef]
- Laurière, M.; Pecquet, C.; Bouchez-Mahiout, I.; Snégaroff, J.; Bayrou, O.; Raison-Peyron, N.; Vigan, M. Hydrolysed wheat proteins present in cosmetics can induce immediate hypersensitivities. Contact Dermat. 2006, 54, 283–289. [Google Scholar] [CrossRef] [PubMed]
- Batey, I.L.; Gras, P.W. Solubilization of wheat gluten with sodium hydroxide. J. Food Technol. 1981, 16, 561–566. [Google Scholar] [CrossRef]
- Riha, W.E.; Izzo, H.V.; Zhang, J.; Ho, C.T. Nonenzymatic deamidation of food proteins. Crit. Rev. Food Sci. Nutr. 1996, 36, 225–255. [Google Scholar] [CrossRef]
- Batey, I.L.; Gras, P.W. Preparation of salt-free protein products from acid or alkali-treated proteins. Food Chem. 1983, 12, 265–273. [Google Scholar] [CrossRef]
- Rhim, J.W.; Gennadios, A.; Fu, D.; Weller, C.L.; Milford, A.H. Properties of ultraviolet irradiated protein films. LWT Food Sci. Technol. 1999, 32, 129–133. [Google Scholar] [CrossRef]
- Apichartsrangkoon, A.; Bell, A.E.; Ledward, D.A.; Schofield, J.D. Dynamic viscoelastic behavior of high-pressure-treated wheat gluten. Cereal Chem. 1999, 76, 777–782. [Google Scholar] [CrossRef]
- Singh, P.; Arora, A.; Strand, T.A.; Leffler, D.A.; Catassi, C.; Green, P.H.; Kelly, C.P.; Ahuja, V.; Makharia, G.K. Global prevalence of celiac disease: Systematic review and meta-analysis. Clin. Gastroenterol. Hepatol. 2018, 16, 823–836. [Google Scholar] [CrossRef] [PubMed]
- Cianferoni, A. Wheat allergy: Diagnosis and management. J. Asthma Allergy 2016, 9, 13–25. [Google Scholar] [CrossRef] [PubMed]
- Scherf, K.A. Immunoreactive cereal proteins in wheat allergy, non-celiac gluten/wheat sensitivity (NCGS) and celiac disease. Curr. Opin. Food Sci. 2019, 25, 35–41. [Google Scholar] [CrossRef]
- Scherf, K.A.; Brockow, K.; Biedermann, T.; Koehler, P.; Wieser, H. Wheat-dependent exercise-induced anaphylaxis. Clin. Exp. Allergy 2016, 46, 10–20. [Google Scholar] [CrossRef]
- Yokooji, T.; Kurihara, S.; Murakami, T.; Chinuki, Y.; Takahashi, H.; Morita, E.; Harada, S.; Ishii, K.; Hiragun, M.; Hide, M.; et al. Characterization of causative allergens for wheat-dependent exercise-induced anaphylaxis sensitized with hydrolyzed wheat proteins in facial soap. Allergol. Int. 2013, 62, 435–445. [Google Scholar] [CrossRef]
- Hiragun, M.; Ishii, K.; Hiragun, T.; Shindo, H.; Mihara, S.; Matsuo, H.; Hide, M. The sensitivity and clinical course of patients with wheat-dependent exercise-induced anaphylaxis sensitized to hydrolyzed wheat protein in facial soap—Secondary publication. Allergol. Int. 2013, 62, 351–358. [Google Scholar] [CrossRef]
- Scherf, K.A.; Lindenau, A.-C.; Valentini, L.; Collado, M.C.; García-Mantrana, I.; Christensen, M.; Tomsitz, D.; Kugler, C.; Biedermann, T.; Brockow, K. Cofactors of wheat-dependent exercise-induced anaphylaxis do not increase highly individual gliadin absorption in healthy volunteers. Clin. Transl. Allergy 2019, 9, 19. [Google Scholar] [CrossRef]
- Kong, X.; Zhou, H.; Qian, H. Enzymatic preparation and functional properties of wheat gluten hydrolysates. Food Chem. 2007, 101, 615–620. [Google Scholar] [CrossRef]
- Wang, L.; Xu, B.; Li, L.; Zhang, M.; Feng, T.; Wang, J.; Jin, Z. Enhancement of umami taste of hydrolyzed protein from wheat gluten by β-cyclodextrin. J. Sci. Food Agric. 2016, 96, 4499–4504. [Google Scholar] [CrossRef] [PubMed]
- Panda, R.; Garber, E.A.E. Detection and quantitation of gluten in fermented-hydrolyzed foods by antibody-based methods: Challenges, progress, and a potential path forward. Front. Nutr. 2019, 6, 97. [Google Scholar] [CrossRef] [PubMed]
- Liao, L.; Qiu, C.Y.; Liu, T.X.; Zhao, M.M.; Ren, J.Y.; Zhao, H.F. Susceptibility of wheat gluten to enzymatic hydrolysis following deamidation with acetic acid and sensory characteristics of the resultant hydrolysates. J. Cereal Sci. 2010, 52, 395–403. [Google Scholar] [CrossRef]
- Liao, L.; Liu, T.-x.; Zhao, M.-m.; Cui, C.; Yuan, B.-E.; Tang, S.; Yang, F. Functional, nutritional and conformational changes from deamidation of wheat gluten with succinic acid and citric acid. Food Chem. 2010, 123, 123–130. [Google Scholar] [CrossRef]
- Wu, C.H.; Nakai, S.; Powrie, W.D. Preparation and properties of acid-solubilized gluten. J. Agric. Food Chem. 1976, 24, 504–510. [Google Scholar] [CrossRef]
- Koehler, P.; Schwalb, T.; Immer, U.; Lacorn, M.; Wehling, P.; Don, C. AACCI Approved Methods Technical Committee report: Collaborative study on the immunochemical determination of partially hydrolyzed gluten using an R5 competitive ELISA. Cereal Foods World 2013, 58, 154–158. [Google Scholar] [CrossRef]
- Gorissen, S.H.; Horstman, A.M.; Franssen, R.; Crombag, J.J.R.; Langer, H.; Bierau, J.; Respondek, F.; van Loon, L.J. Ingestion of wheat protein increases in vivo muscle protein synthesis rates in healthy older men in a randomized trial. J. Nutr. 2016, 146, 1651–1659. [Google Scholar] [CrossRef]
- Gessendorfer, B.; Koehler, P.; Wieser, H. Preparation and characterization of enzymatically hydrolyzed prolamins from wheat, rye, and barley as references for the immunochemical quantitation of partially hydrolyzed gluten. Anal. Bioanal. Chem. 2009, 395, 1721–1728. [Google Scholar] [CrossRef]
- Wieser, H.; Scherf, K.A. Preparation of a defined gluten hydrolysate for diagnosis and clinical investigations of wheat hypersensitivities. Nutrients 2018, 10, 1411. [Google Scholar] [CrossRef]
- Scherf, K.A.; Poms, R.E. Recent developments in analytical methods for tracing gluten. J. Cereal Sci. 2016, 67, 112–122. [Google Scholar] [CrossRef]
- Lexhaller, B.; Tompos, C.; Scherf, K.A. Fundamental study on reactivities of gluten protein types from wheat, rye and barley with five sandwich ELISA test kits. Food Chem. 2017, 237, 320–330. [Google Scholar] [CrossRef] [PubMed]
- Rallabhandi, P.; Sharma, G.M.; Pereira, M.; Williams, K.M. Immunological characterization of the gluten fractions and their hydrolysates from wheat, rye and barley. J. Agric. Food Chem. 2015, 63, 1825–1832. [Google Scholar] [CrossRef]
- Van Eckert, R.; Berghofer, E.; Ciclitira, P.J.; Chirdo, F.; Denery-Papini, S.; Ellis, H.J.; Ferranti, P.; Goodwin, P.; Immer, U.; Mamone, G.; et al. Towards a new gliadin reference material–isolation and characterisation. J. Cereal Sci. 2006, 43, 331–341. [Google Scholar] [CrossRef]
- Scherf, K.A.; Wieser, H.; Koehler, P. Improved quantitation of gluten in wheat starch for celiac disease patients by gel-permeation high-performance liquid chromatography with fluorescence detection (GP-HPLC-FLD). J. Agric. Food Chem. 2016, 64, 7622–7631. [Google Scholar] [CrossRef]
- Brunnbauer, M.W. Hochdruckbehandlung von Weizenkleber in Gegenwart von Zusätzen. Ph.D. Thesis, Technical University of Munich, Munich, Germany, 2014. [Google Scholar]
- Veraverbeke, W.S.; Delcour, J.A. Wheat protein composition and properties of wheat glutenin in relation to breadmaking functionality. Crit. Rev. Food Sci. Nutr. 2002, 42, 179–208. [Google Scholar] [CrossRef]
- Wright, H.T. Nonenzymatic deamidation of asparaginyl and glutaminyl residues in proteins. Crit. Rev. Biochem. Mol. Biol. 1991, 26, 1–52. [Google Scholar] [CrossRef]
- Geisslitz, S.; Longin, C.F.H.; Koehler, P.; Scherf, K.A. Comparative quantitative LC-MS/MS analysis of 13 amylase/trypsin inhibitors in ancient and modern Triticum species. Sci. Rep. 2020. [Google Scholar] [CrossRef]
- De Lourdes Moreno, M.; Cebolla, A.; Muñoz-Suano, A.; Carrillo-Carrion, C.; Comino, I.; Pizarro, A.; León, F.; Rodríguez-Herrera, A.; Sousa, C. Detection of gluten immunogenic peptides in the urine of patients with coeliac disease reveals transgressions in the gluten-free diet and incomplete mucosal healing. Gut 2017, 66, 250–257. [Google Scholar] [CrossRef]



| Sample | Fraction A | Fraction B | Fraction C | SUM | Protein Content | Free NH4+ |
|---|---|---|---|---|---|---|
| [mg/g] | [mg/g] | [mg/g] | [mg/g] | [mg/g] | [mg/g] | |
| HWP 1 | 400.7 G | <2.3 | <4.7 | 400.7 | 737.4 A,B | 4.12 A,B |
| HWP 2 | 569.4 J | 25.9 A | <4.7 | 595.3 | 752.6 A,B | 0.59 A,B |
| HWP 3 | 493.6 I | <2.3 | <4.7 | 493.6 | 764.9 A,B | 5.00 B |
| HWP 4 | 158.2 E | 237.2 E | 142.5 B | 537.9 | 737.3 A,B | 0.39 A,B |
| HWP 5 | 443.4 H | 118.3 B | 15.4 A | 577.1 | 649.9 A | 0.13 A,B |
| HWP 6 | 280.0 F | 150.2 C | 162.2 B,C | 592.4 | 750.2 A,B | 0.15 A,B |
| HWP 7 | 45.8 D | 423.1 G | 146.5 B | 615.4 | 898.8 B | 0.56 A,B |
| G 1 | 18.4 C | 410.9 G | 191.8 C,D | 621.1 | 766.2 A,B | 0.11 A,B |
| G 2 | 15.1 B | 509.6 I | 226.6 D | 751.3 | 824.5 A,B | 0.05 A |
| G 3 | 14.8 C | 460.6 H | 212.9 D | 688.3 | 778.1 A,B | 0.12 A,B |
| G 4 | 11.0 A | 505.6 I | 212.9 D | 729.5 | 855.1 B | 0.05 A |
| G 5 | 21.1 C | 394.2 G | 182.4 C | 597.7 | 757.3 A,B | 0.09 A,B |
| G 6 | 21.6 C | 427.6 G | 208.9 D | 658.1 | 703.2 A,B | 0.11 A,B |
| G 7 | 14.8 B | 321.3 F | 331.3 E | 667.4 | 765.0 A,B | 0.10 A,B |
| G 8 | 10.9 A | 183.7 D | 336.9 E | 531.5 | 731.6 A,B | 0.10 A,B |
| VC * | 2.24 | 2.29 | 3.13 | - | 6.14 | 5.14 |
| Sample | Fraction I | Fraction II | Fraction III | |||||||||
|---|---|---|---|---|---|---|---|---|---|---|---|---|
| 1 | 2 | 3 | 4 | 1 | 2 | 3 | 4 | 1 | 2 | 3 | 4 | |
| [%] | [%] | [%] | [%] | [%] | [%] | [%] | [%] | [%] | [%] | [%] | [%] | |
| HWP 1 | - | - | - | 100.0 B | - | - | - | - | - | - | - | - |
| HWP 2 | - | 1.5 A | 6.5 D | 92.0 A,B | - | 17.0 B | 32.6 A,B,C | 50.4 C | - | - | - | - |
| HWP 3 | - | - | - | 100.0 B | - | - | - | - | - | - | - | - |
| HWP 4 | - | 2.3 A,B | 5.0 C | 92.7 A,B | 14.0 C | 16.1 A,B | 26.2 A,B,C | 43.7 B,C | 60.2 A,B | 14.3 A,B | 9.8 A,B | 15.7 A,B |
| HWP 5 | 11.6 A | 10.6 B | 11.6 F | 66.2 A | 39.5 F | 14.2 A | 9.7 A | 36.6 A,B,C | 52.0 A,B | 14.3 A,B | 8.3 A,B | 25.4 A,B |
| HWP 6 | 7.3 B | 9.7 A,B | 15.6 G | 67.4 A | 31.6 E | 15.2 A,B | 16.4 A,B | 36.8 A,B,C | 63.5 B | 13.4 A,B | 7.8 A | 15.3 A,B |
| HWP 7 | - | 4.0 A,B | 8.8 E | 87.2 A,B | 31.0 D,E | 16.9 B | 24.6 A,B,C | 27.5 A | 61.3 A,B | 12.2 A | 11.7 A,B | 14.8 A |
| G 7 | - | - | 3.5 B | 96.5 A,B | 11.3 B | 15.1 A,B | 39.5 B,C | 34.1 A,B | 30.7 A,B | 12.1 A | 37.6 A,B | 19.6 A,B |
| G 8 | - | - | 2.0 A | 98.0 A,B | 5.8 A | 14.7 A,B | 42.9 C | 36.6 A,B,C | 11.7 A | 15.3 B | 45.0 B | 28.0 B |
| CV * [%] | 8.8 | 4.9 | 4.9 | 0.7 | 2.8 | 1.3 | 3.6 | 2.1 | 3.3 | 2.3 | 6.5 | 5.5 |
| Sample | Fraction I | Fraction II | Fraction III | ||||||
|---|---|---|---|---|---|---|---|---|---|
| 1 | 2 | 3 | 1 | 2 | 3 | 1 | 2 | 3 | |
| [%] | [%] | [%] | [%] | [%] | [%] | [%] | [%] | [%] | |
| HWP 1 | 16.8 B | 33.9 G | 49.3 F | - | - | - | - | - | - |
| HWP 2 | 66.3 E | 18.8 F | 14.9 B | 100.0 | - | - | - | - | - |
| HWP 3 | 3.9 A | 39.1 H | 57.0 G | - | - | - | - | - | - |
| HWP 4 | 75.3 I | 13.7 E | 11.0 A | 100.0 | - | - | 100.0 | - | - |
| HWP 5 | 73.7 G,H,I | 11.5 D | 14.8 B | 100.0 | - | - | - | - | - |
| HWP 6 | 74.2 H,I | 4.5 B,C | 21.3 C | 100.0 | - | - | 100.0 | - | - |
| HWP 7 | 70.5 F | 5.6 C | 23.9 D | 100.0 | - | - | 100.0 | - | - |
| G 7 | 53.3 D | 2.5 A | 44.2 E | 100.0 | - | - | 100.0 | - | - |
| G 8 | 31.6 C | - | 68.4 H | 100.0 | - | - | 100.0 | - | - |
| CV * [%] | 2.0 | 2.9 | 2.6 | 0.0 | - | - | 0.0 | - | - |
© 2020 by the authors. Licensee MDPI, Basel, Switzerland. This article is an open access article distributed under the terms and conditions of the Creative Commons Attribution (CC BY) license (http://creativecommons.org/licenses/by/4.0/).
Share and Cite
Gabler, A.M.; Scherf, K.A. Comparative Characterization of Gluten and Hydrolyzed Wheat Proteins. Biomolecules 2020, 10, 1227. https://doi.org/10.3390/biom10091227
Gabler AM, Scherf KA. Comparative Characterization of Gluten and Hydrolyzed Wheat Proteins. Biomolecules. 2020; 10(9):1227. https://doi.org/10.3390/biom10091227
Chicago/Turabian StyleGabler, Angelika Miriam, and Katharina Anne Scherf. 2020. "Comparative Characterization of Gluten and Hydrolyzed Wheat Proteins" Biomolecules 10, no. 9: 1227. https://doi.org/10.3390/biom10091227
APA StyleGabler, A. M., & Scherf, K. A. (2020). Comparative Characterization of Gluten and Hydrolyzed Wheat Proteins. Biomolecules, 10(9), 1227. https://doi.org/10.3390/biom10091227

