Sperm Lipid Composition in Early Diverged Fish Species: Internal vs. External Mode of Fertilization
Abstract
1. Introduction
2. Materials and Methods
2.1. Ethics
2.2. Fish Rearing Conditions and Sperm Collection
2.3. Chemicals
2.4. Lipid Extraction
2.5. Nuclear Magnetic Resonance
2.6. Matrix-Assisted Laser Desorption/Ionization Time-of-Flight Mass Spectrometry
2.7. High Performance Thin-Layer Chromatography and Electrospray Ionization Mass Spectrometry
2.8. Fatty Acid Analysis by Gas Chromatography
2.9. Software
3. Results and Discussion
3.1. Relative Quantitative Differences in Lipid Classes by NMR Measurements
3.2. A First Overview about the Lipid Composition by MALDI-TOF MS
3.3. Lipidomics Studies by Coupling HPTLC to ESI-IT MS
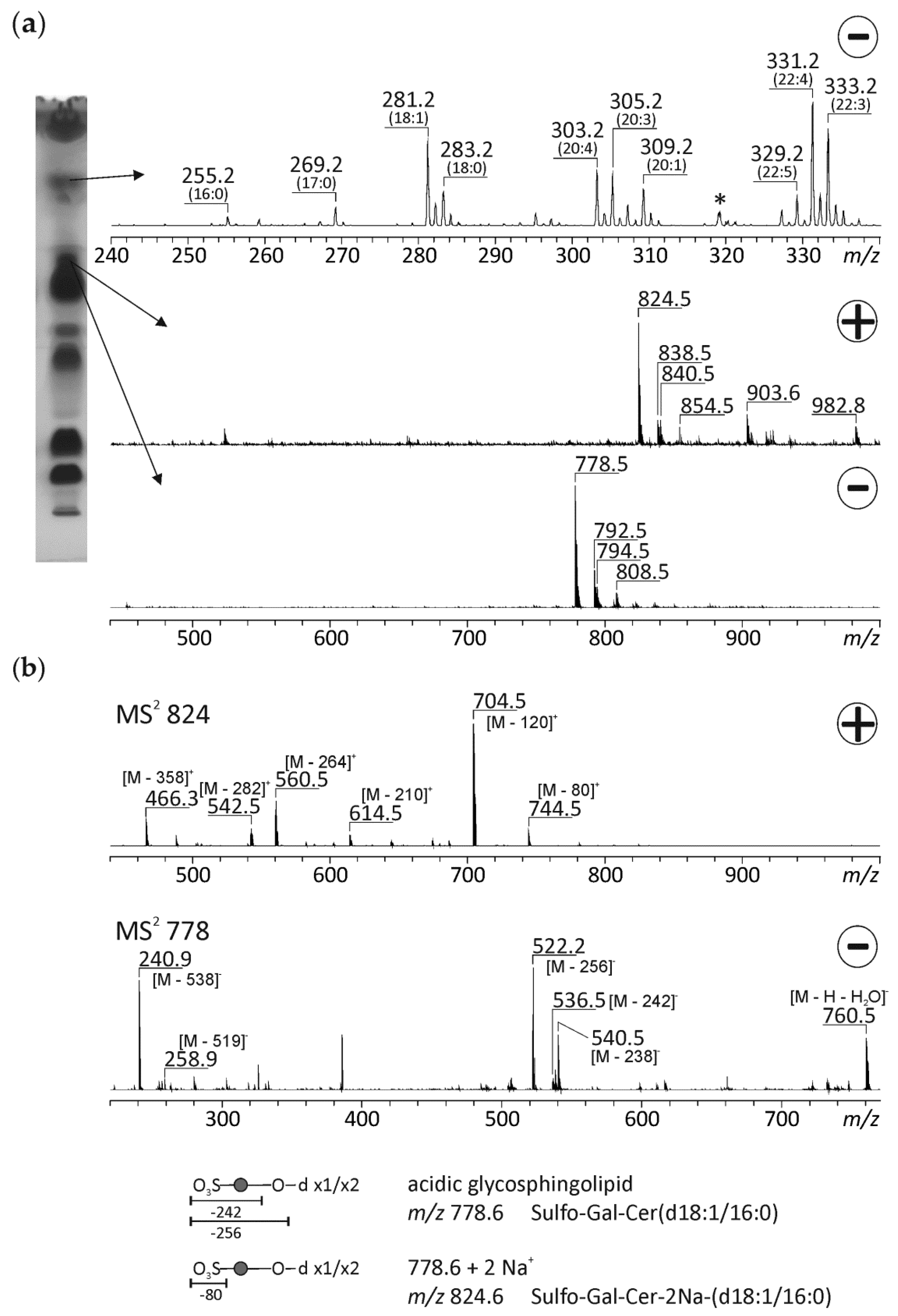
3.4. Tandem MS Experiments to Elucidate the Assignments of Unknown Lipid Fractions
3.5. Gas Chromatographic Investigations of the Lipid Fraction
4. Conclusions
Author Contributions
Funding
Acknowledgments
Conflicts of Interest
Appendix A






| Sphingomyelins | |
|---|---|
| m/z | Assignment |
| 703.6 | SM 16:0 + H+ |
| 717.6 | SM 17:0 + H+ |
| 725.6 | SM 16:0 + Na+ |
| 739.6 | SM 17:0 + Na+ |
| 751.6 | SM 18:1 + Na+ |
| 807.6 | SM 22:1 + Na+ |
| 835.6 | SM 24:1 + Na+ |
| Phosphatidylcholines (Lower Fraction) | |
| 734.6 | PC 32:0 + H+ |
| 748.6 | PC 33:0 + H+ |
| 754.6 | PC 32:1 + Na+ |
| 756.6 | PC 32:0 + Na+ |
| 758.6 | PC 34:2 + H+ |
| 760.6 | PC 34:1 + H+ |
| 770.6 | PC 33:0 + Na+ |
| 774.6 | PC 35:1 + H+ |
| 780.6 | PC 34:2 + Na+ |
| 782.6 | PC 34:1 + Na+ |
| 784.6 | PC 34:0 + Na+/PC 36:3 + H+ |
| 786.6 | PC 36:2 + H+ |
| 788.6 | PC o-36:5 + Na+/PC 36:1 + H+ |
| 792.6 | PC o-36:3 + Na+ |
| 794.6 | PC o-38:5 + H+ |
| 796.6 | PC 35:1 + Na+ |
| 802.6 | PC 36:5 + Na+ |
| 804.6 | PC 36:4 + Na+ |
| 806.6 | PC 36:3 + Na+ |
| 808.6 | PC 36:2 + Na+/PC 38:5 + H+ |
| 810.6 | PC 38:4 + H+ |
| 816.6 | PC o-38:5 + Na+/PC 38:1 + H+ |
| 824.6 | PC o-38:1 + Na+/PC o-40:4 + H+ |
| 828.6 | PC 38:6 + Na+ |
| 830.6 | PC 38:5 + Na+ |
| 832.6 | PC 38:4 + Na+ |
| 836.6 | PC 40:5 + H+ |
| 838.6 | PC 38:1 + Na+/PC 40:4 + H+ |
| 846.6 | PC o-40:4 + Na+ |
| 854.6 | PC 40:7 + Na+ |
| 858.6 | PC 40:5 + Na+ |
| 860.6 | PC 40:4 + Na+ |
| Phosphatidylcholines (Upper Fraction) | |
| 766.6 | PC o-36:5 + H+ |
| 768.6 | PC o-36:4 + H+ |
| 788.6 | PC o-36:5 + Na+ |
| 790.6 | PC o-36:4 + Na+ |
| 792.6 | PC o-38:6 + H+ |
| 794.6 | PC o-38:5 + H+ |
| 802.6 | PC 36:5 + Na+ |
| 804.6 | PC 36:4 + Na+ |
| 806.8 | PC 38:6 + H+ |
| 808.6 | PC 38:5 + H+ |
| 814.6 | PC o-38:6 + Na+ |
| 816.6 | PC o-38:5 + Na+ |
| 818.6 | PC o-38:4 + Na+/PC p-40:6 + H+ |
| 828.6 | PC 38:6 + Na+ |
| 830.6 | PC 38:5 + Na+/PC 40:8 + H+ |
| 832.6 | PC 38:4 + Na+/PC 40:7 + H+ |
| 840.6 | PC p-40:6 + Na+ |
| 844.6 | PC o-40:5 + Na+ |
| 852.6 | PC 40:8 + Na+/PC 42:11 + H+ |
| 854.6 | PC 40:7 + Na+/PC 42:10 + H+ |
| 856.6 | PC 40:6 + H+/PC 42:9 + H+ |
| 860.6 | PC 40:4 + Na+ |
| 874.6 | PC 42:11 + Na+ |
| 876.6 | PC 42:10 + Na+ |
| 878.6 | PC 42:9 + Na+ |
| Phosphatidylserines | |
| 788.5 | PS 36:1 – H+ |
| 816.5 | PS 38:1 – H+ |
| 838.5 | PS 40:4 – H+ |
| 840.5 | PS 40:3 – H+ |
| 864.5 | PS 42:5 – H+ |
| 866.5 | PS 42:4 – H+ |
| 868.5 | PS 42:3 – H+ |
| Phosphatidylethanolamines (Lower Fraction) | |
| 722.5 | PE o-36:5 – H+ |
| 736.5 | PE 36:5 – H+ |
| 738.5 | PE 36:4 – H+ |
| 748.5 | PE o-38:6 – H+ |
| 750.5 | PE o-38:5 – H+ |
| 752.5 | PE o-38:4 – H+ |
| 754.5 | PE o-38:3 – H+ |
| 762.5 | PE 38:6 – H+ |
| 764.5 | PE 38:5 – H+ |
| 766.5 | PE 38:4 – H+ |
| 768.5 | PE 38:3 – H+ |
| 776.5 | PE o-40:6 – H+ |
| 778.5 | PE o-40:5 – H+ |
| 780.5 | PE o-40:4 – H+ |
| 786.5 | PE 40:8 – H+ |
| 788.5 | PE 40:7 – H+ |
| 790.5 | PE 40:6 – H+ |
| 792.5 | PE 40:5 – H+ |
| 794.5 | PE 40:4 – H+ |
| 796.5 | PE 40:3 – H+ |
| Phosphatidylethanolamines (Upper Fraction) | |
| 740.5 | PE 36:3 – H+ |
| 762.5 | PE 38:6 – H+ |
| 764.5 | PE 38:5 – H+ |
| 786.5 | PE 40:8 – H+ |
| 788.5 | PE 40:7 – H+ |
| 792.5 | PE 40:5 – H+ |
| 810.5 | PE 42:10 – H+ |
| 812.5 | PE 42:9 – H+ |
| 814.5 | PE 42:8 – H+ |
| 816.5 | PE 42:7 – H+ |
| 834.5 | PE 44:12 – H+ |
| 836.5 | PE 44:11 – H+ |
| 838.5 | PE 44:10 – H+ |
| Phosphatidylinositols | |
| 857.5 | PI 36:4 – H+ |
| 883.5 | PI 38:5 – H+ |
| 885.5 | PI 38:4 – H+ |
| 887.5 | PI 38:3 – H+ |
| 889.5 | PI 38:2 – H+ |
| 901.5 | PI 39:3 – H+ |
| 911.5 | PI 40:5 – H+ |
| 913.5 | PI 40:4 – H+ |
| 915.5 | PI 40:3 – H+ |
References
- Irisarri, I.; Baurain, D.; Brinkmann, H.; Delsuc, F.; Sire, J.-Y.; Kupfer, A.; Petersen, J.; Jarek, M.; Meyer, A.; Vences, M.; et al. Phylotranscriptomic consolidation of the jawed vertebrate timetree. Nat. Ecol. Evol. 2017, 1, 1370–1378. [Google Scholar] [CrossRef]
- Ahlberg, P.; Trinajstic, K.; Johanson, Z.; Long, J. Pelvic claspers confirm chondrichthyan-like internal fertilization in arthrodires. Nature 2009, 460, 888–889. [Google Scholar] [CrossRef]
- Betancur-R, R.; Wiley, E.O.; Arratia, G.; Acero, A.; Bailly, N.; Miya, M.; Lecointre, G.; Ortí, G. Phylogenetic classification of bony fishes. BMC Evol. Biol. 2017, 17, 162. [Google Scholar] [CrossRef]
- Alavi, S.M.H.; Cosson, J. Sperm motility in fishes (I). Effects of temperature and pH: A review. Cell Biol. Int. 2005, 29, 101–110. [Google Scholar] [CrossRef]
- Alavi, S.M.H.; Cosson, J. Sperm motility in fishes (II). Effects of ions and osmolality: A review. Cell Biol. Int. 2006, 30, 1–14. [Google Scholar] [CrossRef]
- Dzyuba, B.; Cosson, J.; Boryshpolets, S.; Bondarenko, O.; Dzyuba, V.; Prokopchuk, G.; Gazo, I.; Rodina, M.; Linhart, O. In vitro sperm maturation in sterlet, Acipenser ruthenus. Reprod. Biol. 2014, 14, 160–163. [Google Scholar] [CrossRef] [PubMed]
- Tanaka, H.; Oka, Y. Chaotropic ions and multivalent ions activate sperm in the viviparous fish guppy Poecilia reticulata. Biochim. Biophys. Acta 2005, 1724, 173–180. [Google Scholar] [CrossRef] [PubMed]
- Liu, Y.; Cheng, H.; Tiersch, T.R. The role of alkalinization-induced Ca2+ influx in sperm motility activation of a viviparous fish Redtail Splitfin (Xenotoca eiseni). Biol. Reprod. 2018, 99, 1159–1170. [Google Scholar] [CrossRef] [PubMed]
- Dzyuba, V.; Ninhaus-Silveira, A.; Kahanec, M.; Veríssimo-Silveira, R.; Rodina, M.; Holt, W.V.; Dzyuba, B. Sperm motility in ocellate river stingrays: Evidence for post-testicular sperm maturation and capacitation in Chondrichthyes. J. Zool. 2019, 307, 9–16. [Google Scholar] [CrossRef]
- Krasznai, Z.; Morisawa, M.; Krasznai, Z.T.; Morisawa, S.; Inaba, K.; Bazsáné, Z.K.; Rubovszky, B.; Bodnár, B.; Borsos, A.; Márián, T. Gadolinium, a mechano-sensitive channel blocker, inhibits osmosis-initiated motility of sea- and freshwater fish sperm, but does not affect human or ascidian sperm motility. Cell Motil. Cytoskelet. 2003, 55, 232–243. [Google Scholar] [CrossRef] [PubMed]
- Bondarenko, O.; Dzyuba, B.; Cosson, J.; Yamaner, G.; Prokopchuk, G.; Psenicka, M.; Linhart, O. Volume changes during the motility period of fish spermatozoa: Interspecies differences. Theriogenology 2013, 79, 872–881. [Google Scholar] [CrossRef] [PubMed]
- Beirão, J.; Zilli, L.; Vilella, S.; Cabrita, E.; Schiavone, R.; Herráez, M.P. Improving sperm cryopreservation with antifreeze proteins: Effect on gilthead seabream (Sparus aurata) plasma membrane lipids. Biol. Reprod. 2012, 86, 59. [Google Scholar] [CrossRef] [PubMed]
- Drokin, S.I. Phospholipids and fatty acids of phospholipids of sperm from several freshwater and marine species of fish. Comp. Biochem. Physiol. B Biochem. Mol. Biol. 1993, 104, 423–428. [Google Scholar] [CrossRef]
- Dzyuba, V.; Sampels, S.; Ninhaus-Silveira, A.; Kahanec, M.; Veríssimo-Silveira, R.; Rodina, M.; Cosson, J.; Boryshpolets, S.; Selinger, M.; Sterba, J.; et al. Sperm motility and lipid composition in internally fertilizing ocellate river stingray Potamotrygon motoro. Theriogenology 2019, 130, 26–35. [Google Scholar] [CrossRef]
- Labbé, C.; Maisse, G. Influence of rainbow trout thermal acclimation on sperm cryopreservation: Relation to change in the lipid composition of the plasma membrane. Aquaculture 1996, 145, 281–294. [Google Scholar] [CrossRef]
- Engel, K.M.; Sampels, S.; Dzyuba, B.; Podhorec, P.; Policar, T.; Dannenberger, D.; Schiller, J. Swimming at different temperatures: The lipid composition of sperm from three freshwater fish species determined by mass spectrometry and nuclear magnetic resonance spectroscopy. Chem. Phys. Lipids 2019, 221, 65–72. [Google Scholar] [CrossRef]
- Horokhovatskyi, Y.; Dietrich, M.A.; Lebeda, I.; Fedorov, P.; Rodina, M.; Dzyuba, B. Cryopreservation effects on a viable sperm sterlet (Acipenser ruthenus) subpopulation obtained by a Percoll density gradient method. PLoS ONE 2018, 13, e0202514. [Google Scholar] [CrossRef]
- Bligh, E.G.; Dyer, W.J. A rapid method of total lipid extraction and purification. Can. J. Biochem. Physiol. 1959, 37, 911–917. [Google Scholar] [CrossRef]
- Schiller, J.; Müller, M.; Fuchs, B.; Arnold, K.; Huster, D. 31P NMR Spectroscopy of Phospholipids: From Micelles to Membranes. Curr. Anal. Chem. 2007, 3, 283–301. [Google Scholar] [CrossRef]
- Schiller, J.; Arnhold, J.; Benard, S.; Müller, M.; Reichl, S.; Arnold, K. Lipid analysis by matrix-assisted laser desorption and ionization mass spectrometry: A methodological approach. Anal. Biochem. 1999, 267, 46–56. [Google Scholar] [CrossRef]
- Sun, G.; Yang, K.; Zhao, Z.; Guan, S.; Han, X.; Gross, R.W. Matrix-assisted laser desorption/ionization time-of-flight mass spectrometric analysis of cellular glycerophospholipids enabled by multiplexed solvent dependent analyte-matrix interactions. Anal. Chem. 2008, 80, 7576–7585. [Google Scholar] [CrossRef] [PubMed]
- Schiller, J.; Müller, K.; Süss, R.; Arnhold, J.; Gey, C.; Herrmann, A.; Lessig, J.; Arnold, K.; Müller, P. Analysis of the lipid composition of bull spermatozoa by MALDI-TOF mass spectrometry—A cautionary note. Chem. Phys. Lipids 2003, 126, 85–94. [Google Scholar] [CrossRef]
- Ogawa, K.; Fujiwara, Y.; Sugamata, K.; Abe, T. Thin-layer chromatography of neutral glycosphingolipids: An improved simple method for the resolution of GlcCer, GalCer, LacCer and Ga2Cer. J. Chromatogr. 1988, 426, 188–193. [Google Scholar] [CrossRef]
- Dannenberger, D.; Nuernberg, G.; Nuernberg, K.; Will, K.; Schauer, N.; Schmicke, M. Effects of diets supplemented with n – 3 or n – 6 PUFA on pig muscle lipid metabolites measured by non-targeted LC–MS lipidomic profiling. J. Food Compos. Anal. 2017, 56, 47–54. [Google Scholar] [CrossRef]
- Dannenberger, D.; Tuchscherer, M.; Nürnberg, G.; Schmicke, M.; Kanitz, E. Sea Buckthorn Pomace Supplementation in the Diet of Growing Pigs-Effects on Fatty Acid Metabolism, HPA Activity and Immune Status. Int. J. Mol. Sci. 2018, 19, 596. [Google Scholar] [CrossRef] [PubMed]
- Pitnick, S.; Hosken, D.J.; Birkhead, T.R. Sperm morphological diversity. In Sperm Biology; Elsevier: Amsterdam, The Netherlands, 2009; pp. 69–149. ISBN 9780123725684. [Google Scholar]
- Vriese, S.R.D.; Christophe, A.B. Male Fertility and Lipid Metabolism; AOCS Press: Champaign, IL, USA, 2003; ISBN 1893997391. [Google Scholar]
- Bell, M.V.; Dick, J.R.; Buda, C. Molecular speciation of fish sperm phospholipids: Large amounts of dipolyunsaturated phosphatidylserine. Lipids 1997, 32, 1085–1091. [Google Scholar] [CrossRef]
- Lucifora, L.O.; de Carvalho, M.R.; Kyne, P.M.; White, W.T. Freshwater sharks and rays. Curr. Biol. 2015, 25, R971–R973. [Google Scholar] [CrossRef][Green Version]
- Baron, C.B.; Coburn, R.F. Comparison of two Copper Reagents for Detection of Saturated and Unsaturated Neutral Lipids by Charring Densitometry. J. Liq. Chromatogr. 1984, 7, 2793–2801. [Google Scholar] [CrossRef]
- Schiller, J.; Arnold, K. Application of high resolution 31P NMR spectroscopy to the characterization of the phospholipid composition of tissues and body fluids—A methodological review. Med. Sci. Monit. 2002, 8, MT205–MT222. [Google Scholar]
- Gracià, R.S.; Bezlyepkina, N.; Knorr, R.L.; Lipowsky, R.; Dimova, R. Effect of cholesterol on the rigidity of saturated and unsaturated membranes: Fluctuation and electrodeformation analysis of giant vesicles. Soft Matter 2010, 6, 1472. [Google Scholar] [CrossRef]
- Petkovic, M.; Schiller, J.; Müller, M.; Benard, S.; Reichl, S.; Arnold, K.; Arnhold, J. Detection of individual phospholipids in lipid mixtures by matrix-assisted laser desorption/ionization time-of-flight mass spectrometry: Phosphatidylcholine prevents the detection of further species. Anal. Biochem. 2001, 289, 202–216. [Google Scholar] [CrossRef] [PubMed]
- Griesinger, H.; Fuchs, B.; Süß, R.; Matheis, K.; Schulz, M.; Schiller, J. Stationary phase thickness determines the quality of thin-layer chromatography/matrix-assisted laser desorption and ionization mass spectra of lipids. Anal. Biochem. 2014, 451, 45–47. [Google Scholar] [CrossRef] [PubMed]
- Leventis, P.A.; Grinstein, S. The distribution and function of phosphatidylserine in cellular membranes. Annu. Rev. Biophys. 2010, 39, 407–427. [Google Scholar] [CrossRef] [PubMed]
- Kurz, A.; Viertel, D.; Herrmann, A.; Müller, K. Localization of phosphatidylserine in boar sperm cell membranes during capacitation and acrosome reaction. Reproduction 2005, 130, 615–626. [Google Scholar] [CrossRef]
- Cerolini, S.; Kelso, K.A.; Noble, R.C.; Speake, B.K.; Pizzi, F.; Cavalchini, L.G. Relationship between spermatozoan lipid composition and fertility during aging of chickens. Biol. Reprod. 1997, 57, 976–980. [Google Scholar] [CrossRef][Green Version]
- White, T.; Bursten, S.; Federighi, D.; Lewis, R.A.; Nudelman, E. High-resolution separation and quantification of neutral lipid and phospholipid species in mammalian cells and sera by multi-one-dimensional thin-layer chromatography. Anal. Biochem. 1998, 258, 109–117. [Google Scholar] [CrossRef]
- Fuchs, B.; Schiller, J.; Süss, R.; Schürenberg, M.; Suckau, D. A direct and simple method of coupling matrix-assisted laser desorption and ionization time-of-flight mass spectrometry (MALDI-TOF MS) to thin-layer chromatography (TLC) for the analysis of phospholipids from egg yolk. Anal. Bioanal. Chem. 2007, 389, 827–834. [Google Scholar] [CrossRef]
- Bondarenko, V.; Cosson, J. Structure and beating behavior of the sperm motility apparatus in aquatic animals. Theriogenology 2019, 135, 152–163. [Google Scholar] [CrossRef]
- Han, X.; Cheng, H. Characterization and direct quantitiation of cerebroside molecular species from lipid extracts by shotgun lipidomics. J. Lipid Res. 2004, 46, 163–175. [Google Scholar] [CrossRef]
- Barone, A.; Säljö, K.; Benktander, J.; Blomqvist, M.; Månsson, J.-E.; Johansson, B.R.; Mölne, J.; Aspegren, A.; Björquist, P.; Breimer, M.E.; et al. Sialyl-lactotetra, a novel cell surface marker of undifferentiated human pluripotent stem cells. J. Biol. Chem. 2014, 289, 18846–18859. [Google Scholar] [CrossRef]
- Seng, J.A.; Ellis, S.R.; Hughes, J.R.; Maccarone, A.T.; Truscott, R.J.W.; Blanksby, S.J.; Mitchell, T.W. Characterisation of sphingolipids in the human lens by thin layer chromatography-desorption electrospray ionisation mass spectrometry. Biochim. Biophys. Acta 2014, 1841, 1285–1291. [Google Scholar] [CrossRef] [PubMed]
- Fuchs, B.; Jakop, U.; Göritz, F.; Hermes, R.; Hildebrandt, T.; Schiller, J.; Müller, K. MALDI-TOF “fingerprint” phospholipid mass spectra allow the differentiation between ruminantia and feloideae spermatozoa. Theriogenology 2009, 71, 568–575. [Google Scholar] [CrossRef] [PubMed]
- Teuber, K.; Schiller, J.; Jakop, U.; Lüpold, S.; Orledge, J.M.; Blount, J.D.; Royle, N.J.; Hoodless, A.; Müller, K. MALDI-TOF mass spectrometry as a simple tool to determine the phospholipid/glycolipid composition of sperm: Pheasant spermatozoa as one selected example. Anim. Reprod. Sci. 2011, 123, 270–278. [Google Scholar] [CrossRef] [PubMed]
- Furumitsu, K.; Wyffels, J.T.; Yamaguchi, A. Reproduction and embryonic development of the red stingray Hemitrygon akajei from Ariake Bay, Japan. Ichthyol. Res. 2019, 66, 419–436. [Google Scholar] [CrossRef]
- Bernal, M.A.; Sinai, N.L.; Rocha, C.; Gaither, M.R.; Dunker, F.; Rocha, L.A. Long-term sperm storage in the brownbanded bamboo shark Chiloscyllium punctatum. J. Fish Biol. 2015, 86, 1171–1176. [Google Scholar] [CrossRef] [PubMed]
- Pratt, H.L. The storage of spermatozoa in the oviducal glands of western North Atlantic sharks. Environ. Biol. Fish 1993, 38, 139–149. [Google Scholar] [CrossRef]
- Tanphaichitr, N.; Kongmanas, K.; Faull, K.F.; Whitelegge, J.; Compostella, F.; Goto-Inoue, N.; Linton, J.-J.; Doyle, B.; Oko, R.; Xu, H.; et al. Properties, metabolism and roles of sulfogalactosylglycerolipid in male reproduction. Prog. Lipid Res. 2018, 72, 18–41. [Google Scholar] [CrossRef]
- White, D.; Weerachatyanukul, W.; Gadella, B.; Kamolvarin, N.; Attar, M.; Tanphaichitr, N. Role of sperm sulfogalactosylglycerolipid in mouse sperm-zona pellucida binding. Biol. Reprod. 2000, 63, 147–155. [Google Scholar] [CrossRef]
- Schnaar, R.L.; Kinoshita, T. Glycosphingolipids. In Essentials of Glycobiology, 3rd ed.; Varki, A., Cummings, R.D., Esko, J.D., Stanley, P., Hart, G.W., Aebi, M., Darvill, A.L.G., Kinoshita, T., Packer, N.H., Prestegard, J.H., et al., Eds.; Cold Spring Harbor Laboratory Press: Cold Spring Harbor, NY, USA, 2015–2017. [CrossRef]
- Chryssostomos Chatgilialoglu, C.; Ferreri, C.; Melchiorre, M.; Sansone, A.; Torreggiani, A. Lipid geometrical isomerism: From chemistry to biology and diagnostics. Chem. Rev. 2014, 114, 255–284. [Google Scholar] [CrossRef]
- Cerolini, S.; Zaniboni, L.; Maldjian, A.; Gliozzi, T. Effect of docosahexaenoic acid and alpha-tocopherol enrichment in chicken sperm on semen quality, sperm lipid composition and susceptibility to peroxidation. Theriogenology 2006, 66, 877–886. [Google Scholar] [CrossRef]
- Guijas, C.; Astudillo, A.M.; Gil-de-Gómez, L.; Rubio, J.M.; Balboa, M.A.; Balsinde, J. Phospholipid sources for adrenic acid mobilization in RAW 264.7 macrophages. Comparison with arachidonic acid. Biochim. Biophys. Acta 2012, 1821, 1386–1393. [Google Scholar] [CrossRef] [PubMed]
- Blecha, M.; Dzyuba, B.; Boryshpolets, S.; Horokhovatskyi, Y.; Dadras, H.; Malinovskyi, O.; Sampels, S.; Policar, T. Spermatozoa quality and sperm lipid composition in intensively cultured and wild burbot (Lota lota). Anim. Reprod. Sci. 2018, 198, 129–136. [Google Scholar] [CrossRef] [PubMed]
- Dadras, H.; Sampels, S.; Golpour, A.; Dzyuba, V.; Cosson, J.; Dzyuba, B. Analysis of common carp Cyprinus carpio sperm motility and lipid composition using different in vitro temperatures. Anim. Reprod. Sci. 2017, 180, 37–43. [Google Scholar] [CrossRef] [PubMed]
- Díaz, R.; Lee-Estevez, M.; Quiñones, J.; Dumorné, K.; Short, S.; Ulloa-Rodríguez, P.; Valdebenito, I.; Sepúlveda, N.; Farías, J.G. Changes in Atlantic salmon (Salmo salar) sperm morphology and membrane lipid composition related to cold storage and cryopreservation. Anim. Reprod. Sci. 2019, 204, 50–59. [Google Scholar] [CrossRef]





| Sterlet (n = 4) | Stingray (n = 5) | |||
|---|---|---|---|---|
| Mean | SD | Mean | SD | |
| Saturated Fatty Acids (SFA) | ||||
| C8:0 | <0.01 | - | 0.09 | 0.16 |
| C10:0 | 0.17 | 0.06 | 0.15 | 0.05 |
| C12:0 | 1.37 | 1.22 | 0.78 | 0.17 |
| C13:0 | 0.02 | 0.03 | <0.01 | - |
| C14:0 | 0.49 | 0.36 | 0.38 | 0.20 |
| C15:0 | 0.02 | 0.01 | 0.01 | 0.01 |
| C16:0 | 13.70 | 1.80 | 6.48 * | 0.62 |
| C17:0 | 0.22 | 0.11 | 1.32 *** | 0.14 |
| C18:0 | 2.29 | 0.87 | 8.99 ** | 0.27 |
| C20:0 | 0.05 | 0.02 | 0.09 | 0.02 |
| C21:0 | <0.01 | - | 0.09 | 0.11 |
| C22:0 | 0.17 | 0.21 | 1.11 | 0.15 |
| C23:0 | 0.49 | 0.63 | 0.28 | 0.21 |
| C24:0 | 0.05 | 0.04 | <0.01 | - |
| Sum SFA | 19.05 | 5.37 | 19.76 | 2.12 |
| Monounsaturated Fatty Acids (MUFA) | ||||
| C16:1cis-9 | 1.36 | 0.08 | 1.93 ** | 0.16 |
| C17:1cis-9 | 0.05 | 0.05 | 2.85 *** | 0.26 |
| C18:1trans-9 | 0.03 | 0.00 | 0.17 | 0.16 |
| C18:1trans-11 | <0.01 | - | 0.06 | 0.03 |
| C18:1cis-9 | 15.94 | 2.07 | 5.61 * | 0.50 |
| C18:1cis-11 | 1.55 | 0.07 | 6.24 *** | 0.67 |
| C20:1cis-11 | 0.84 | 0.04 | 7.34 *** | 0.43 |
| C22:1cis-13 | 0.09 | 0.01 | 0.14 ** | 0.01 |
| C24:1cis-15 | 0.08 | 0.01 | <0.01 | - |
| Sum MUFA | 19.94 | 2.33 | 24.34 * | 2.21 |
| Polyunsaturated Fatty Acids (PUFA) | ||||
| C18:2 trans-9,trans-12 | 0.06 | 0.06 | 0.09 | 0.06 |
| C18:2n-6 (LA) | 6.95 | 1.55 | 0.63 * | 0.09 |
| C18:3n-6 | 1.10 | 0.09 | 0.09 *** | 0.05 |
| C18:3n-3 (LNA) | 0.41 | 0.07 | 0.26 * | 0.04 |
| C18:2cis-9,trans-11 (CLA) | <0.01 | - | 0.02 | 0.01 |
| C18:4n-3 | 0.14 | 0.03 | 0.44 | 0.52 |
| C20:2n-6 | 0.65 | 0.02 | 0.21 *** | 0.03 |
| C20:3n-6 | 2.38 | 0.27 | 1.44 ** | 0.31 |
| C20:3n-3 | 0.08 | 0.03 | <0.01 | - |
| C20:4n-6 (AA) | 22.42 | 1.76 | 18.49 * | 1.86 |
| C22:2n-6 | 0.08 | 0.01 | 0.05 * | 0.01 |
| C20:5n-3 (EPA) | 8.75 | 1.76 | 9.61 | 0.89 |
| C22:4n-6 (ADA) | 0.63 | 0.09 | 16.84 ** | 3.56 |
| C22:5n-6 | 2.03 | 0.62 | 2.18 | 0.34 |
| C22:5n-3 (DPA) | 1.39 | 0.20 | 2.68 ** | 0.38 |
| C22:6n-3 (DHA) | 14.01 | 1.12 | 3.20 *** | 1.19 |
| Sum PUFA | 61.09 | 7.69 | 56.23 | 9.33 |
| Sum n-3 PUFA | 24.80 | 3.21 | 16.18 ** | 3.01 |
| Sum n-6 PUFA | 35.13 | 4.32 | 39.85 | 6.19 |
© 2020 by the authors. Licensee MDPI, Basel, Switzerland. This article is an open access article distributed under the terms and conditions of the Creative Commons Attribution (CC BY) license (http://creativecommons.org/licenses/by/4.0/).
Share and Cite
Engel, K.M.; Dzyuba, V.; Ninhaus-Silveira, A.; Veríssimo-Silveira, R.; Dannenberger, D.; Schiller, J.; Steinbach, C.; Dzyuba, B. Sperm Lipid Composition in Early Diverged Fish Species: Internal vs. External Mode of Fertilization. Biomolecules 2020, 10, 172. https://doi.org/10.3390/biom10020172
Engel KM, Dzyuba V, Ninhaus-Silveira A, Veríssimo-Silveira R, Dannenberger D, Schiller J, Steinbach C, Dzyuba B. Sperm Lipid Composition in Early Diverged Fish Species: Internal vs. External Mode of Fertilization. Biomolecules. 2020; 10(2):172. https://doi.org/10.3390/biom10020172
Chicago/Turabian StyleEngel, Kathrin M., Viktoriya Dzyuba, Alexandre Ninhaus-Silveira, Rosicleire Veríssimo-Silveira, Dirk Dannenberger, Jürgen Schiller, Christoph Steinbach, and Borys Dzyuba. 2020. "Sperm Lipid Composition in Early Diverged Fish Species: Internal vs. External Mode of Fertilization" Biomolecules 10, no. 2: 172. https://doi.org/10.3390/biom10020172
APA StyleEngel, K. M., Dzyuba, V., Ninhaus-Silveira, A., Veríssimo-Silveira, R., Dannenberger, D., Schiller, J., Steinbach, C., & Dzyuba, B. (2020). Sperm Lipid Composition in Early Diverged Fish Species: Internal vs. External Mode of Fertilization. Biomolecules, 10(2), 172. https://doi.org/10.3390/biom10020172

