Next Article in Journal
Anti-Human PD-L1 Nanobody for Immuno-PET Imaging: Validation of a Conjugation Strategy for Clinical Translation
Next Article in Special Issue
Immunotoxins: From Design to Clinical Application
Previous Article in Journal
The c.*52 A/G and c.*773 A/G Genetic Variants in the UTR′3 of the LDLR Gene Are Associated with the Risk of Acute Coronary Syndrome and Lower Plasma HDL-Cholesterol Concentration
Previous Article in Special Issue
Targeting Receptors on Cancer Cells with Protein Toxins
Review

Anti-BCMA Immunotoxins: Design, Production, and Preclinical Evaluation

Laboratory of Molecular Biology, Center for Cancer Research, NCI, NIH, Bethesda, MD 20892, USA
Biomolecules 2020, 10(10), 1387; https://doi.org/10.3390/biom10101387
Received: 25 August 2020 / Revised: 21 September 2020 / Accepted: 24 September 2020 / Published: 29 September 2020
(This article belongs to the Special Issue Immunotoxins: From Design to Clinical Application)
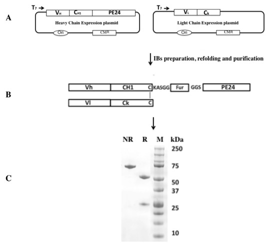
Multiple myeloma (MM) is a B-cell malignancy that is incurable for a majority of patients. B-cell maturation antigen (BCMA) is a lineage-restricted differentiation protein highly expressed in multiple myeloma cells but not in other normal tissues except normal plasma B cells. Due to the restricted expression and being a cell surface membrane protein, BCMA is an ideal target for immunotherapy approaches in MM. Recombinant immunotoxins (RITs) are a novel class of protein therapeutics that are composed of the Fv or Fab portion of an antibody fused to a cytotoxic agent. RITs were produced by expressing plasmids encoding the components of the anti-BCMA RITs in E. coli followed by inclusion body preparation, solubilization, renaturation, and purification by column chromatography. The cytotoxic activity of RITs was tested in vitro by WST-8 assays using BCMA expressing cell lines and on cells isolated from MM patients. The in vivo efficacy of RITs was tested in a xenograft mouse model using BCMA expressing multiple myeloma cell lines. Anti-BCMA recombinant immunotoxins are very effective in killing myeloma cell lines and cells isolated from myeloma patients expressing BCMA. Two mouse models of myeloma showed that the anti-BCMA immunotoxins can produce a long-term complete response and warrant further preclinical development. View Full-Text
Keywords: mAb BM306; LMB-70; ABD fusion protein; H929 cells mAb BM306; LMB-70; ABD fusion protein; H929 cells
Show Figures

Figure 1

MDPI and ACS Style

Bera, T.K. Anti-BCMA Immunotoxins: Design, Production, and Preclinical Evaluation. Biomolecules 2020, 10, 1387. https://doi.org/10.3390/biom10101387

AMA Style

Bera TK. Anti-BCMA Immunotoxins: Design, Production, and Preclinical Evaluation. Biomolecules. 2020; 10(10):1387. https://doi.org/10.3390/biom10101387

Chicago/Turabian Style

Bera, Tapan K. 2020. "Anti-BCMA Immunotoxins: Design, Production, and Preclinical Evaluation" Biomolecules 10, no. 10: 1387. https://doi.org/10.3390/biom10101387

Find Other Styles
Note that from the first issue of 2016, MDPI journals use article numbers instead of page numbers. See further details here.

Article Access Map by Country/Region

1
Back to TopTop