Factors Affecting Non-Enzymatic Protein Acylation by trans-3-Methylglutaconyl Coenzyme A
Abstract
1. Introduction
2. Materials and Methods
2.1. Chemicals, Reagents, and Enzymes
2.2. 3-Methylcrotonyl CoA Carboxylase (3MCCCase) Activity Assays
2.3. Effect of Temperature on 3MGC Anhydride Formation
2.4. Effect of Incubation Temperature on 3MGC Anhydride Reactivity
2.5. Effect of Incubation Temperature and AUH on trans-3MGC CoA-Dependent Acylation of BSA
2.6. Effect of Incubation Time and AUH on trans-3MGC CoA-Dependent Acylation of BSA
2.7. Liver-Specific HMGCL KO Mice Studies
3. Results
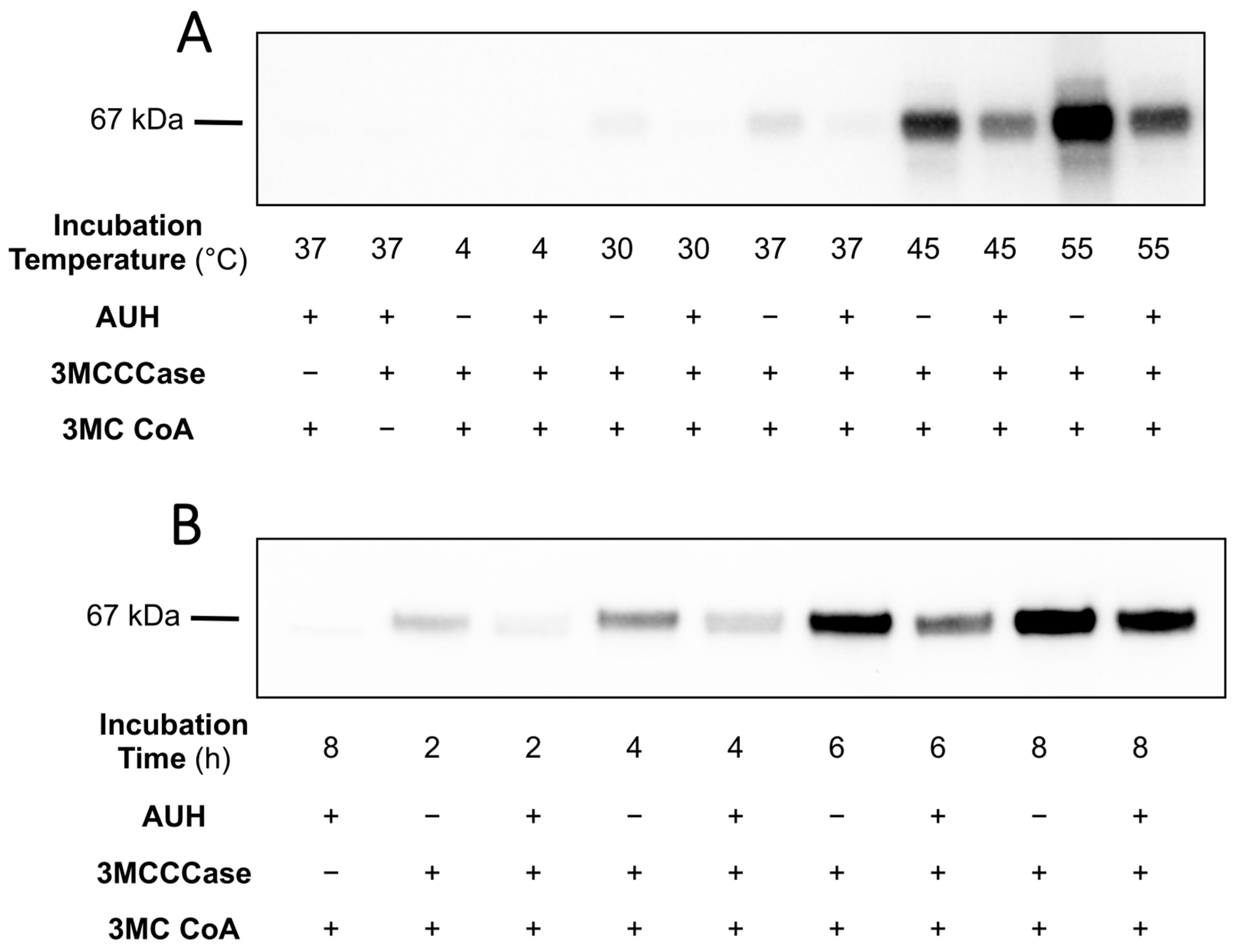
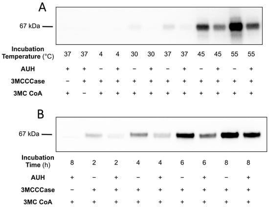
3.1. Effect of Incubation Temperature and Time on trans-3MGC CoA-Dependent Acylation of BSA
3.2. Anhydride Formation Studies
3.3. Effect of Incubation Temperature on cis-3MGC Anhydride Hydrolysis
3.4. Effect of AUH on trans-3MGC CoA-Dependent Acylation of BSA
3.5. Protein 3MGCylation in Mitochondria Homogenates from Liver-Specific HMGCL KO and Wild-Type Mice
4. Discussion
5. Conclusions
Author Contributions
Funding
Institutional Review Board Statement
Informed Consent Statement
Data Availability Statement
Acknowledgments
Conflicts of Interest
References
- Wortmann, S.B.; Duran, M.; Anikster, Y.; Barth, P.G.; Sperl, W.; Zschocke, J.; Morava, E.; Wevers, R.A. Inborn errors of metabolism with 3-methylglutaconic aciduria as discriminative feature: Proper classification and nomenclature. J. Inherit. Metab. Dis. 2013, 36, 923–928. [Google Scholar] [CrossRef]
- Jones, D.E.; Klacking, E.; Ryan, R.O. Inborn errors of metabolism associated with 3-methylglutaconic aciduria. Clin. Chim. Acta 2021, 522, 96–104. [Google Scholar] [CrossRef] [PubMed]
- Santarelli, F.; Cassanello, M.; Enea, A.; Poma, F.; D’Onofrio, V.; Guala, G.; Garrone, G.; Puccinelli, P.; Caruso, U.; Porta, F.; et al. A neonatal case of 3-hydroxy-3-methylglutaric-coenzyme A lyase deficiency. Ital. J. Pediatr. 2013, 39, 33. [Google Scholar] [CrossRef] [PubMed]
- Bizjak, N.; Tansek, M.Z.; Stefanija, M.A.; Lampret, B.R.; Mezek, A.; Torkar, A.D.; Battelino, T.; Groselj, U. Precocious puberty in a girl with 3-methylglutaconic aciduria type 1 (3-MGA-I) due to a novel AUH gene mutation. Mol. Genet. Metab. Rep. 2020, 25, 100691. [Google Scholar] [CrossRef]
- Schiele, U.; Lynen, F. 3-Methylcrotonyl-CoA carboxylase from Achromobacter: EC 6.4.1.4 3-Methylcrotonyl-CoA: Carbon-dioxide ligase (ADP-forming). Methods Enzymol. 1981, 90, 781–791. [Google Scholar]
- Kurimoto, K.; Fukai, S.; Nureki, O.; Muto, Y.; Yokoyama, S. Crystal structure of human AUH protein, a single-stranded RNA binding homolog of enoyl-CoA hydratase. Structure 2001, 9, 1253–1263. [Google Scholar] [CrossRef] [PubMed]
- Jones, D.E.; Romenskaia, I.; Kosma, D.K.; Ryan, R.O. Role of non-enzymatic chemical reactions in 3-methylglutaconic aciduria. FEBS J. 2022, 289, 2948–2958. [Google Scholar] [CrossRef] [PubMed]
- Jennings, E.A.; Cao, E.; Romenskaia, I.; Ryan, R.O. Characterization of trans-3-methylglutaconyl CoA-dependent protein acylation. Metabolites 2023, 13, 862. [Google Scholar] [CrossRef] [PubMed]
- Young, R.; Jones, D.E.; Diacovich, L.; Witkowski, A.; Ryan, R.O. trans-3-methylglutaconyl CoA isomerization-dependent protein acylation. Biochem. Biophys. Res. Commun. 2020, 534, 261–265. [Google Scholar] [CrossRef]
- Min, Z.; Gao, J.; Yu, Y. The Roles of Mitochondrial SIRT4 in Cellular Metabolism. Front. Endocrinol. 2019, 9, 783. [Google Scholar] [CrossRef]
- Anderson, K.A.; Huynh, F.K.; Fisher-Wellman, K.; Stuart, J.D.; Peterson, B.S.; Douros, J.D.; Wagner, G.R.; Thompson, J.W.; Madsen, A.S.; Green, M.F.; et al. SIRT4 Is a Lysine Deacylase that Controls Leucine Metabolism and Insulin Secretion. Cell Metab. 2017, 25, 838–855.e15. [Google Scholar] [CrossRef] [PubMed]
- Mack, M.; Schniegler-Mattox, U.; Peters, V.; Hoffmann, G.F.; Liesert, M.; Buckel, W.; Zschocke, J. Biochemical characterization of human 3-methylglutaconyl-CoA hydratase and its role in leucine metabolism. FEBS J. 2006, 273, 2012–2022. [Google Scholar] [CrossRef] [PubMed]
- Pié, J.; López-Viñas, E.; Puisac, B.; Menao, S.; Pié, A.; Casale, C.; Ramos, F.J.; Hegardt, F.G.; Gómez-Puertas, P.; Casals, N. Molecular genetics of HMG-CoA lyase deficiency. Mol. Genet. Metab. 2007, 92, 198–209. [Google Scholar] [CrossRef] [PubMed]
- Mitchell, G.A.; Wang, S.P.; Ashmarina, L.; Robert, M.F.; Bouchard, G.; Laurin, N.; Kassovska-Bratinova, S.; Boukaftane, Y. Inborn errors of ketogenesis. Biochem. Soc. Trans. 1998, 26, 136–140. [Google Scholar] [CrossRef] [PubMed]
- Gauthier, N.; Wu, J.W.; Wang, S.P.; Allard, P.; Mamer, O.A.; Sweetman, L.; Moser, A.B.; Kratz, L.; Alvarez, F.; Robitaille, Y.; et al. A liver-specific defect of acyl-CoA degradation produces hyperammonemia, hypoglycemia and a distinct hepatic acyl-CoA pattern. PLoS ONE 2013, 8, e60581. [Google Scholar] [CrossRef] [PubMed]
- Yang, H.; Wang, Y.; Tang, M.C.; Waters, P.; Wang, S.; Allard, P.; Ryan, R.O.; Nuyt, A.M.; Paradis, P.; Schiffrin, E.L.; et al. Cardiac-specific deficiency of 3-hydroxy-3-methylglutaryl coenzyme A lyase in mice causes cardiomyopathy and a distinct pattern of acyl-coenzyme A-related biomarkers. Mol. Genet. Metab. 2022, 137, 257–264. [Google Scholar] [CrossRef] [PubMed]
- Wagner, G.R.; Bhatt, D.P.; O’Connell, T.M.; Thompson, J.W.; Dubois, L.G.; Backos, D.S.; Yang, H.; Mitchell, G.A.; Ilkayeva, O.R.; Stevens, R.D.; et al. A class of reactive acyl-CoA species reveals the non-enzymatic origins of protein acylation. Cell Metab. 2017, 25, 823–837. [Google Scholar] [CrossRef] [PubMed]
- Tomassetti, M.; Garavaglia, B.S.; Vranych, C.V.; Gottig, N.; Ottado, J.; Gramajo, H.; Diacovich, L. 3-methylcrotonyl Coenzyme A (CoA) carboxylase complex is involved in the Xanthomonas citri subsp. citri lifestyle during citrus infection. PLoS ONE 2018, 13, e0198414. [Google Scholar] [CrossRef]
- Latimer, S.; Li, Y.; Nguyen, T.T.H.; Soubeyrand, E.; Fatihi, A.; Elowsky, C.G.; Block, A.; Pichersky, E.; Basset, G.J. Metabolic reconstructions identify plant 3-methylglutaconyl-CoA hydratase that is crucial for branched-chain amino acid catabolism in mitochondria. Plant J. 2018, 95, 358–370. [Google Scholar] [CrossRef]
- Frezza, C.; Cipolat, S.; Scorrano, L. Organelle isolation: Functional mitochondria from mouse liver, muscle and cultured fibroblasts. Nat. Protoc. 2007, 2, 287–295. [Google Scholar] [CrossRef]
- Su, B.; Ryan, R.O. Metabolic biology of 3-methylglutaconic acid-uria: A new perspective. J. Inherit. Metab. Dis. 2014, 37, 359–368. [Google Scholar] [CrossRef] [PubMed]
- Jones, D.E.; Jennings, E.A.; Ryan, R.O. Diversion of Acetyl CoA to 3-Methylglutaconic Acid Caused by Discrete Inborn Errors of Metabolism. Metabolites 2022, 12, 377. [Google Scholar] [CrossRef] [PubMed]
- Fukao, T.; Mitchell, G.; Sass, J.O.; Hori, T.; Orii, K.; Aoyama, Y. Ketone body metabolism and its defects. J. Inherit. Metab. Dis. 2014, 37, 541–551. [Google Scholar] [CrossRef] [PubMed]
- Adeva-Andany, M.M.; Calvo-Castro, I.; Fernández-Fernández, C.; Donapetry-García, C.; Pedre-Piñeiro, A.M. Significance of l-carnitine for human health. IUBMB Life 2017, 69, 578–594. [Google Scholar] [CrossRef] [PubMed]
- Kirkby, B.; Roman, N.; Kobe, B.; Kellie, S.; Forwood, J.K. Functional and structural properties of mammalian acyl-coenzyme A thioesterases. Prog. Lipid. Res. 2010, 49, 366–377. [Google Scholar] [CrossRef] [PubMed]
- Jones, D.E.; Perez, L.; Ryan, R.O. 3-methylglutaric acid in mitochondrial energy metabolism. Clin. Chim. Acta 2020, 502, 233–239. [Google Scholar] [CrossRef]
- Jones, D.E.; Ricker, J.D.; Geary, L.M.; Kosma, D.K.; Ryan, R.O. Isomerization of 3-methylglutaconic acid. JIMD Rep. 2021, 58, 61–69. [Google Scholar] [CrossRef]








Disclaimer/Publisher’s Note: The statements, opinions and data contained in all publications are solely those of the individual author(s) and contributor(s) and not of MDPI and/or the editor(s). MDPI and/or the editor(s) disclaim responsibility for any injury to people or property resulting from any ideas, methods, instructions or products referred to in the content. |
© 2024 by the authors. Licensee MDPI, Basel, Switzerland. This article is an open access article distributed under the terms and conditions of the Creative Commons Attribution (CC BY) license (https://creativecommons.org/licenses/by/4.0/).
Share and Cite
Jennings, E.A.; Macdonald, M.M.; Romenskaia, I.; Yang, H.; Mitchell, G.A.; Ryan, R.O. Factors Affecting Non-Enzymatic Protein Acylation by trans-3-Methylglutaconyl Coenzyme A. Metabolites 2024, 14, 421. https://doi.org/10.3390/metabo14080421
Jennings EA, Macdonald MM, Romenskaia I, Yang H, Mitchell GA, Ryan RO. Factors Affecting Non-Enzymatic Protein Acylation by trans-3-Methylglutaconyl Coenzyme A. Metabolites. 2024; 14(8):421. https://doi.org/10.3390/metabo14080421
Chicago/Turabian StyleJennings, Elizabeth A., Megan M. Macdonald, Irina Romenskaia, Hao Yang, Grant A. Mitchell, and Robert O. Ryan. 2024. "Factors Affecting Non-Enzymatic Protein Acylation by trans-3-Methylglutaconyl Coenzyme A" Metabolites 14, no. 8: 421. https://doi.org/10.3390/metabo14080421
APA StyleJennings, E. A., Macdonald, M. M., Romenskaia, I., Yang, H., Mitchell, G. A., & Ryan, R. O. (2024). Factors Affecting Non-Enzymatic Protein Acylation by trans-3-Methylglutaconyl Coenzyme A. Metabolites, 14(8), 421. https://doi.org/10.3390/metabo14080421

