The Effects of Rapamycin on the Intestinal Graft in a Rat Model of Cold Ischemia Perfusion and Preservation
Abstract
:1. Introduction
2. Materials and Methods
2.1. Experimental Animals
2.2. Intestinal Perfusion and Preservation
2.3. Experimental Groups
- (1)
- Sham operated: Intestinal samples collected after midline laparotomy;
- (2)
- Preservation control (PC) group: Intestinal samples collected after perfusion, after 12 h of preservation and after reperfusion;
- (3)
- Rapa-0: Rapamycin administered at 0 min before intestinal retrieval; Intestinal samples collected after perfusion, after 12 h of preservation and after reperfusion;
- (4)
- Rapa-30: Rapamycin administered at 30 min before intestinal retrieval; Intestinal samples collected after perfusion, after 12 h of preservation and after reperfusion;
- (5)
- Rapa-60: Rapamycin administered at 60 min before intestinal retrieval; Intestinal samples collected after perfusion, after 12 h of preservation and after reperfusion.
2.4. Drug Preparation and Dosage
2.5. Small Bowel Injury
2.6. Histology (Hematoxylin-Eosin)
2.7. Biochemical Analysis
2.8. Immunohistochemistry (IHC) Staining for Autophagy Proteins
2.9. Statistical Analysis
3. Results
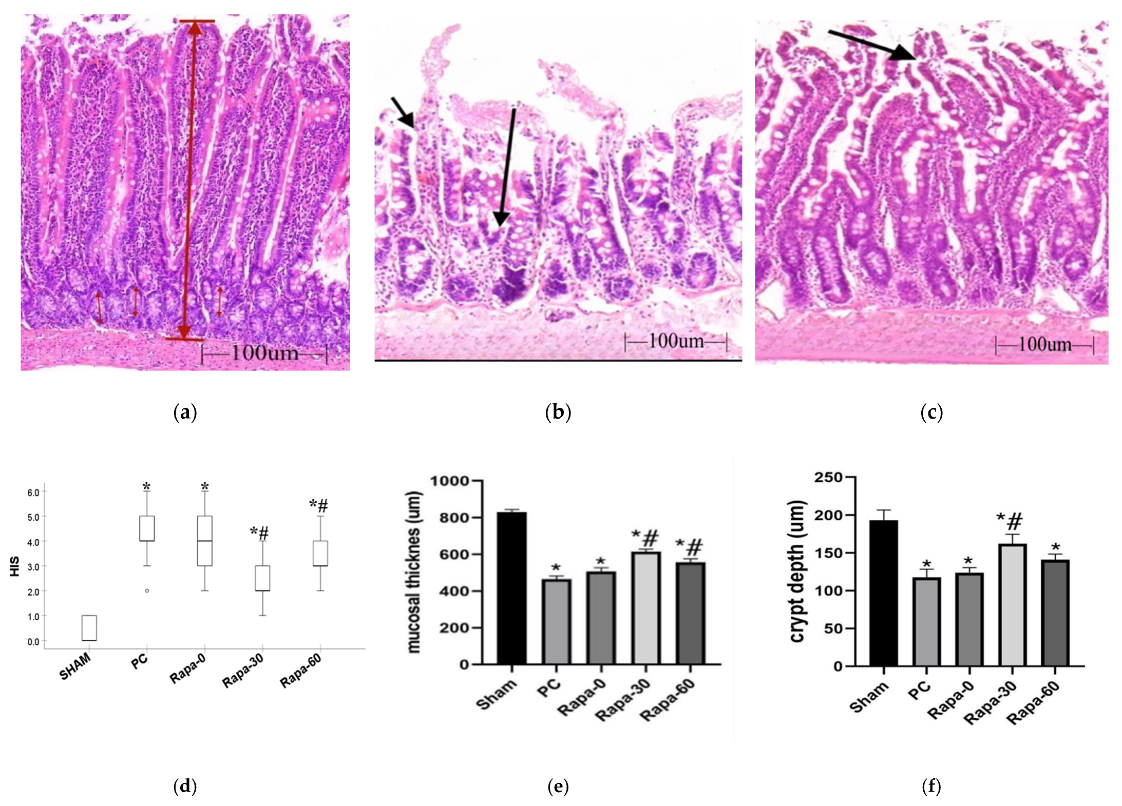
3.1. Histology
3.1.1. Morphology
3.1.2. Morphometry
3.2. Biochemical Analysis
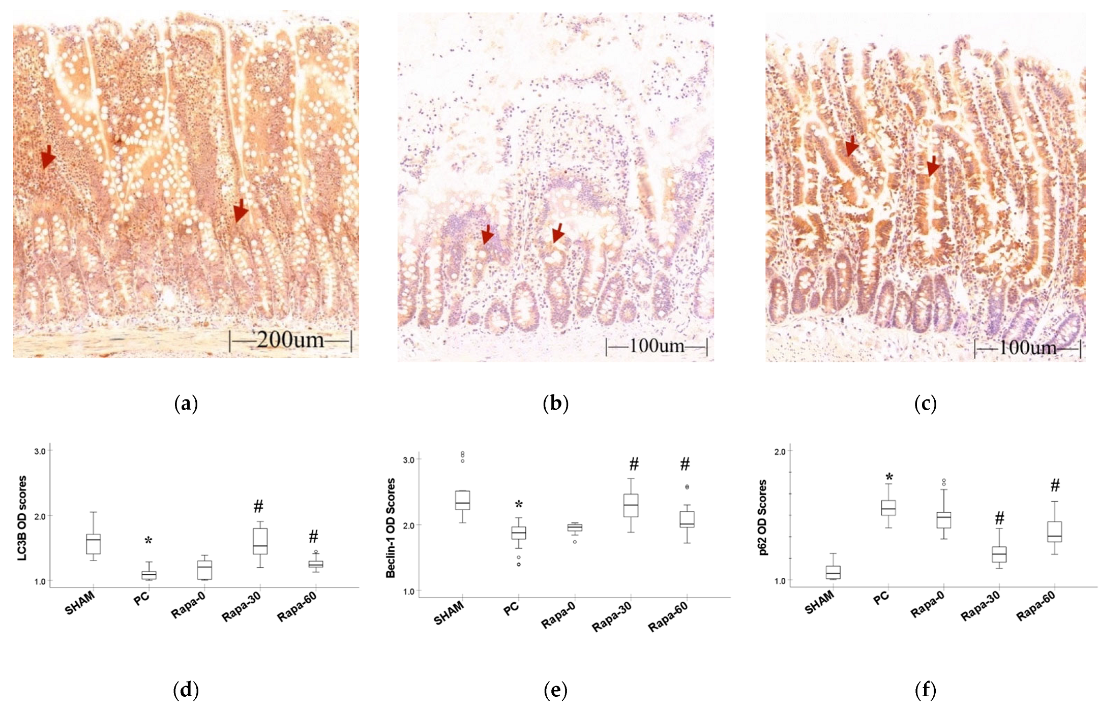
3.3. IHC (Autophagy Proteins)
4. Discussion
Supplementary Materials
Author Contributions
Funding
Institutional Review Board Statement
Informed Consent Statement
Data Availability Statement
Acknowledgments
Conflicts of Interest
References
- Oner, S.; Ercan, F.; Arbak, S. Time-dependent morphological alterations of cold-stored small bowel in Euro-Collins and Ringer’s lactate solutions. Acta Histochem. 2004, 106, 207–217. [Google Scholar] [CrossRef] [PubMed]
- Oltean, M. Intestinal preservation for transplantation: Current status and alternatives for the future. Curr. Opin. Organ Transplant. 2015, 20, 308–313. [Google Scholar] [CrossRef] [PubMed]
- Loo, L.; Vrakas, G.; Reddy, S.; Allan, P. Intestinal transplantation: A review. Curr. Opin. Gastroenterol. 2017, 33, 203–211. [Google Scholar] [CrossRef] [PubMed]
- Balaz, P.; Matia, I.; Jackanin, S.; Rybarova, E.; Kron, I.; Pomfy, M.; Fronek, J.; Ryska, M. Preservation injury of jejunal grafts and its modulation by custodiol and University of Wisconsin perfusion solutions in Wistar rats. Eur. Surg. Res. 2004, 36, 192–197. [Google Scholar] [CrossRef] [PubMed]
- Lysyy, T.; Finotti, M.; Maina, R.M.; Morotti, R.; Munoz-Abraham, A.S.; Bertacco, A.; Ibarra, C.; Barahona, M.; Agarwal, R.; D’Amico, F.; et al. Human Small Intestine Transplantation: Segmental Susceptibility to Ischemia Using Different Preservation Solutions and Conditions. Transplant. Proc. 2020, 52, 2934–2940. [Google Scholar] [CrossRef]
- Lopez-Garcia, P.; Pulido, J.C.; Colina, F.; Jimenez-Romero, C.; de Andres, C.I.; Lopez-Alonso, G.; Loinaz, C.; Gonzalez, M.A.M.; Alonso, I.J.; Molero, F.C.; et al. Histologic Evaluation of Organ Preservation Injury and Correlation With Cold Ischemia Time in 13 Intestinal Grafts. Transplant. Proc. 2014, 46, 2096–2098. [Google Scholar] [CrossRef]
- Neves, J.D.; Abrahao, M.D.; Netto, A.A.S.; Montero, E.F.D.; Gonzalez, A.M. Effects of ischemic preconditioning associated to different preservation solutions in protecting the intestinal graft. Acta Cir. Bras. 2011, 26, 396–403. [Google Scholar] [CrossRef]
- Park, P.O.; Wallander, J.; Tufveson, G.; Haglund, U. Cold Ischemic and Reperfusion Injury in a Model of Small-Bowel Transplantation in the Rat. Eur. Surg. Res. 1991, 23, 1–8. [Google Scholar] [CrossRef]
- Mester, A.; Magyar, Z.; Sogor, V.; Tanczos, B.; Stark, Y.; Cherniavsky, K.; Bidiga, L.; Peto, K.; Nemeth, N. Intestinal ischemia-reperfusion leads to early systemic micro-rheological and multiorgan microcirculatory alterations in the rat. Clin. Hemorheol. Microcirc. 2018, 68, 35–44. [Google Scholar] [CrossRef]
- Grotz, M.R.W.; Deitch, E.A.; Ding, J.Y.; Xu, D.Z.; Huang, Q.H.; Regel, G. Intestinal cytokine response after gut ischemia-Role of gut barrier failure. Ann. Surg. 1999, 229, 478–486. [Google Scholar] [CrossRef]
- Kawai, M.; Kitade, H.; Koshiba, T.; Waer, M.; Pirenne, J. Intestinal Ischemia Reperfusion and Lipopolysaccharide Transform a Tolerogenic Signal into a Sensitizing Signal and Trigger Rejection. Transplantation 2009, 87, 1464–1467. [Google Scholar] [CrossRef]
- Oltean, M.; Pullerits, R.; Zhu, C.; Blomgren, K.; Hallberg, E.C.; Olausson, M. Donor pretreatment with FK506 reduces reperfusion injury and accelerates intestinal graft recovery in rats. Surgery 2007, 141, 667–677. [Google Scholar] [CrossRef]
- Jiang, T.; Zhan, F.; Rao, Z.Q.; Pan, X.X.; Zhong, W.Z.; Sun, Y.; Wang, P.; Lu, L.; Zhou, H.M.; Wang, X.H. Combined ischemic and rapamycin preconditioning alleviated liver ischemia and reperfusion injury by restoring autophagy in aged mice. Int. Immunopharmacol. 2019, 74, 105711. [Google Scholar] [CrossRef]
- Sola, A.; De Oca, J.; Gonzalez, R.; Prats, N.; Rosello-Catafau, J.; Gelpi, E.; Jaurrieta, E.; Hotter, G. Protective effect of ischemic preconditioning on cold preservation and reperfusion injury associated with rat intestinal transplantation. Ann. Surg. 2001, 234, 98–106. [Google Scholar] [CrossRef]
- Li, L.R.; Huang, J. Rapamycin Pretreatment Alleviates Cerebral Ischemia/Reperfusion Injury in Dose-Response Manner Through Inhibition of the Autophagy and NF kappa B Pathways in Rats. Dose-Response 2020, 18, 1559325820946194. [Google Scholar] [CrossRef]
- Li, J.; Kim, S.G.; Blenis, J. Rapamycin: One Drug, Many Effects. Cell Metab. 2014, 19, 373–379. [Google Scholar] [CrossRef]
- Saunders, R.N.; Metcalfe, M.S.; Nicholson, M.L. Rapamycin in transplantation: A review of the evidence. Kidney Int. 2001, 59, 3–16. [Google Scholar] [CrossRef]
- Zhu, J.J.; Lu, T.F.; Yue, S.; Shen, X.D.; Gao, F.; Busuttil, R.W.; Kupiec-Weglinski, J.W.; Xia, Q.; Zhai, Y. Rapamycin Protection of Livers From Ischemia and Reperfusion Injury Is Dependent on Both Autophagy Induction and Mammalian Target of Rapamycin Complex 2-Akt Activation. Transplantation 2015, 99, 48–55. [Google Scholar] [CrossRef]
- Li, B.C.; Yao, X.; Luo, Y.H.; Niu, L.J.; Lin, L.; Li, Y.S. Inhibition of Autophagy Attenuated Intestinal Injury After Intestinal I/R via mTOR Signaling. J. Surg. Res. 2019, 243, 363–370. [Google Scholar] [CrossRef]
- Lui, S.L.; Chan, K.W.; Tsang, R.; Yung, S.; Lai, K.N.; Chan, T.M. Effect of rapamycin on renal ischemia-reperfusion injury in mice. Transpl. Int. 2006, 19, 834–839. [Google Scholar] [CrossRef]
- Li, Q.; Gao, S.N.; Kang, Z.R.; Zhang, M.Y.; Zhao, X.; Zhai, Y.; Huang, J.M.; Yang, G.Y.; Sun, W.J.; Wang, J. Rapamycin Enhances Mitophagy and Attenuates Apoptosis After Spinal Ischemia-Reperfusion Injury. Front. Neurosci. 2018, 12, 865. [Google Scholar] [CrossRef] [PubMed]
- Levine, B.; Kroemer, G. Autophagy in the pathogenesis of disease. Cell 2008, 132, 27–42. [Google Scholar] [CrossRef] [PubMed]
- Mizushima, N. Autophagy: Process and function. Genes Dev. 2007, 21, 2861–2873. [Google Scholar] [CrossRef] [PubMed]
- Caleb, I.; Erlitz, L.; Telek, V.; Vecsernyes, M.; Setalo, G.; Hardi, P.; Takacs, I.; Jancso, G.; Nagy, T. Characterizing Autophagy in the Cold Ischemic Injury of Small Bowel Grafts: Evidence from Rat Jejunum. Metabolites 2021, 11, 396. [Google Scholar] [CrossRef]
- Baxt, L.A.; Xavier, R.J. Role of Autophagy in the Maintenance of Intestinal Homeostasis. Gastroenterology 2015, 149, 553–562. [Google Scholar] [CrossRef]
- Randall-Demllo, S.; Chieppa, M.; Eri, R. Intestinal epithelium and autophagy: Partners in gut homeostasis. Front. Immunol. 2013, 4, 301. [Google Scholar] [CrossRef]
- Brown, M.F.; Ross, A.J.; Dasher, J.; Turley, D.L.; Ziegler, M.M.; Oneill, J.A. The Role of Leukocytes in Mediating Mucosal Injury of Intestinal Ischemia Reperfusion. J. Pediatric Surg. 1990, 25, 214–217. [Google Scholar] [CrossRef]
- Leuvenink, H.G.D.; van Dijk, A.; Freund, R.L.; Ploeg, R.J.; van Goor, H. Luminal preservation of rat small intestine with University of Wisconsin or Celsior solution. Transplant. Proc. 2005, 37, 445–447. [Google Scholar] [CrossRef]
- Li, X.G.; Du, J.H.; Lu, Y.; Lin, X.J. Neuroprotective effects of rapamycin on spinal cord injury in rats by increasing autophagy and Akt signaling. Neural Regen. Res. 2019, 14, 721–727. [Google Scholar] [CrossRef]
- Macias-Ceja, D.C.; Cosin-Roger, J.; Ortiz-Masia, D.; Salvador, P.; Hernandez, C.; Esplugues, J.V.; Calatayud, S.; Barrachina, M.D. Stimulation of autophagy prevents intestinal mucosal inflammation and ameliorates murine colitis. Br. J. Pharmacol. 2017, 174, 2501–2511. [Google Scholar] [CrossRef]
- Jafari, S.M.S.; Hunger, R.E. IHC Optical Density Score: A New Practical Method for Quantitative Immunohistochemistry Image Analysis. Appl. Immunohistochem. Mol. Morphol. 2017, 25, E12–E13. [Google Scholar] [CrossRef]
- Ferencz, A.; Weber, G.; Helyes, Z.; Hashimoto, H.; Baba, A.; Reglodi, D. Presence of Endogenous PACAP-38 Ameliorated Intestinal Cold Preservation Tissue Injury. J. Mol. Neurosci. 2010, 42, 428–434. [Google Scholar] [CrossRef]
- Amador, A.; Grande, L.; Marti, J.; Deulofeu, R.; Miquel, R.; Sola, A.; Rodriguez-Laiz, G.; Ferrer, J.; Fondevila, C.; Charco, R.; et al. Ischemic pre-conditioning in deceased donor liver transplantation: A prospective randomized clinical trial. Am. J. Transplant. 2007, 7, 2180–2189. [Google Scholar] [CrossRef]
- Robertson, F.P.; Magill, L.J.; Wright, G.P.; Fuller, B.; Davidson, B.R. A systematic review and meta-analysis of donor ischaemic preconditioning in liver transplantation. Transpl. Int. 2016, 29, 1147–1154. [Google Scholar] [CrossRef]
- Wang, Z.; Hernandez, F.; Pederiva, F.; Andres, A.M.; Leal, N.; Burgos, E.; Martinez, M.P.; Molina, M.; Santamaria, M.L.; Tovar, J.A. Ischemic preconditioning of the graft for intestinal transplantation in rats. Pediatric Transplant. 2011, 15, 65–69. [Google Scholar] [CrossRef]
- Carames, B.; Taniguchi, N.; Seino, D.; Blanco, F.J.; D’Lima, D.; Lotz, M. Mechanical Injury Suppresses Autophagy Regulators and Pharmacologic Activation of Autophagy Results in Chondroprotection. Arthritis Rheum. 2012, 64, 1182–1192. [Google Scholar] [CrossRef]
- Chen, R.; Zhang, Y.Y.; Lan, J.N.; Liu, H.M.; Li, W.; Wu, Y.; Leng, Y.; Tang, L.H.; Hou, J.B.; Sun, Q.; et al. Ischemic Postconditioning Alleviates Intestinal Ischemia-Reperfusion Injury by Enhancing Autophagy and Suppressing Oxidative Stress through the Akt/GSK-3 beta/Nrf2 Pathway in Mice. Oxidative Med. Cell. Longev. 2020, 2020, 6954764. [Google Scholar] [CrossRef]
- Decuypere, J.P.; Ceulemans, L.J.; Agostinis, P.; Monbaliu, D.; Naesens, M.; Pirenne, J.; Jochmans, I. Autophagy and the Kidney: Implications for Ischemia-Reperfusion Injury and Therapy. Am. J. Kidney Dis. 2015, 66, 699–709. [Google Scholar] [CrossRef]
- Pallet, N. Response Letter to “Autophagy in Renal Ischemia-Reperfusion Injury: Friend or Foe?”. Am. J. Transplant. 2014, 14, 1466–1467. [Google Scholar] [CrossRef]
- Nighot, P.K.; Hu, C.A.A.; Ma, T.Y. Autophagy Enhances Intestinal Epithelial Tight Junction Barrier Function by Targeting Claudin-2 Protein Degradation. J. Biol. Chem. 2015, 290, 7234–7246. [Google Scholar] [CrossRef] [Green Version]
- Cleary, C.; Linde, J.A.S.; Hiscock, K.M.; Hadas, I.; Belmaker, R.H.; Agam, G.; Flaisher-Grinberg, S.; Einat, H. Antidepressive-like effects of rapamycin in animal models: Implications for mTOR inhibition as a new target for treatment of affective disorders. Brain Res. Bull. 2008, 76, 469–473. [Google Scholar] [CrossRef] [PubMed]
- Erlich, S.; Alexandrovich, A.; Shohami, E.; Pinkas-Kramarski, R. Rapamycin is a neuroprotective treatment for traumatic brain injury. Neurobiol. Dis. 2007, 26, 86–93. [Google Scholar] [CrossRef] [PubMed]
- Das, A.; Durrant, D.; Koka, S.; Salloum, F.N.; Xi, L.; Kukreja, R.C. Mammalian Target of Rapamycin (mTOR) Inhibition with Rapamycin Improves Cardiac Function in Type 2 Diabetic Mice Potential Role of Attenuated Oxidative Stress and Altered Contractile Protein Expression. J. Biol. Chem. 2014, 289, 4145–4160. [Google Scholar] [CrossRef] [PubMed]
- Grootjans, J.; Thuijls, G.; Derikx, J.P.M.; van Dam, R.M.; Dejong, C.H.C.; Buurman, W.A. Rapid lamina propria retraction and zipper-like constriction of the epithelium preserves the epithelial lining in human small intestine exposed to ischaemia-reperfusion. J. Pathol. 2011, 224, 411–419. [Google Scholar] [CrossRef]
- Tao, Y.; Yue, M.F.; Lv, C.J.; Yun, X.M.; Qiao, S.M.; Fang, Y.L.; Wei, Z.F.; Xia, Y.F.; Dai, Y. Pharmacological activation of ER beta by arctigenin maintains the integrity of intestinal epithelial barrier in inflammatory bowel diseases. FASEB J. 2020, 34, 3069–3090. [Google Scholar] [CrossRef]
- Chen, H.F.; Xu, D.S.; Qi, S.J.; Wu, J.P.; Lu, H.Y.; Daloze, P. Rapamycin Graft Pretreatment in Small-Bowel and Kidney-Transplantation in the Rat. Transplantation 1995, 59, 1084–1089. [Google Scholar] [CrossRef]
- Chen, H.; Qi, S.; Xu, D.; Vu, D.M.; Fitzsimmons, W.E.; Bekersky, I.; Peets, J.; Sehgal, S.N.; Daloze, P. FK 506 and rapamycin in combination are not antagonistic but produce extended small bowel graft survival in the mouse. Transplant. Proc. 1998, 30, 1039–1041. [Google Scholar] [CrossRef]



| Injury Score | Description |
|---|---|
| 0 | Normal mucosa |
| 1 | Subepithelial space at the tips of the villi |
| 2 | Extension of the epithelial spaces |
| 3 | Massive epithelial lifting down the sides of the villi |
| 4 | Denudation of the villi |
| 5 | Loss of villi |
| 6 | Crypt layer damage |
| 7 | Transmucosa infarction |
| 8 | Transmural infarction |
Publisher’s Note: MDPI stays neutral with regard to jurisdictional claims in published maps and institutional affiliations. |
© 2022 by the authors. Licensee MDPI, Basel, Switzerland. This article is an open access article distributed under the terms and conditions of the Creative Commons Attribution (CC BY) license (https://creativecommons.org/licenses/by/4.0/).
Share and Cite
Caleb, I.; Kasza, B.; Erlitz, L.; Semjén, D.; Hardi, P.; Makszin, L.; Rendeki, S.; Takács, I.; Nagy, T.; Jancsó, G. The Effects of Rapamycin on the Intestinal Graft in a Rat Model of Cold Ischemia Perfusion and Preservation. Metabolites 2022, 12, 794. https://doi.org/10.3390/metabo12090794
Caleb I, Kasza B, Erlitz L, Semjén D, Hardi P, Makszin L, Rendeki S, Takács I, Nagy T, Jancsó G. The Effects of Rapamycin on the Intestinal Graft in a Rat Model of Cold Ischemia Perfusion and Preservation. Metabolites. 2022; 12(9):794. https://doi.org/10.3390/metabo12090794
Chicago/Turabian StyleCaleb, Ibitamuno, Benedek Kasza, Luca Erlitz, Dávid Semjén, Péter Hardi, Lilla Makszin, Szilárd Rendeki, Ildikó Takács, Tibor Nagy, and Gábor Jancsó. 2022. "The Effects of Rapamycin on the Intestinal Graft in a Rat Model of Cold Ischemia Perfusion and Preservation" Metabolites 12, no. 9: 794. https://doi.org/10.3390/metabo12090794
APA StyleCaleb, I., Kasza, B., Erlitz, L., Semjén, D., Hardi, P., Makszin, L., Rendeki, S., Takács, I., Nagy, T., & Jancsó, G. (2022). The Effects of Rapamycin on the Intestinal Graft in a Rat Model of Cold Ischemia Perfusion and Preservation. Metabolites, 12(9), 794. https://doi.org/10.3390/metabo12090794

