GPRC6A Mediates Glucose and Amino Acid Homeostasis in Mice
Abstract
:1. Introduction
2. Results
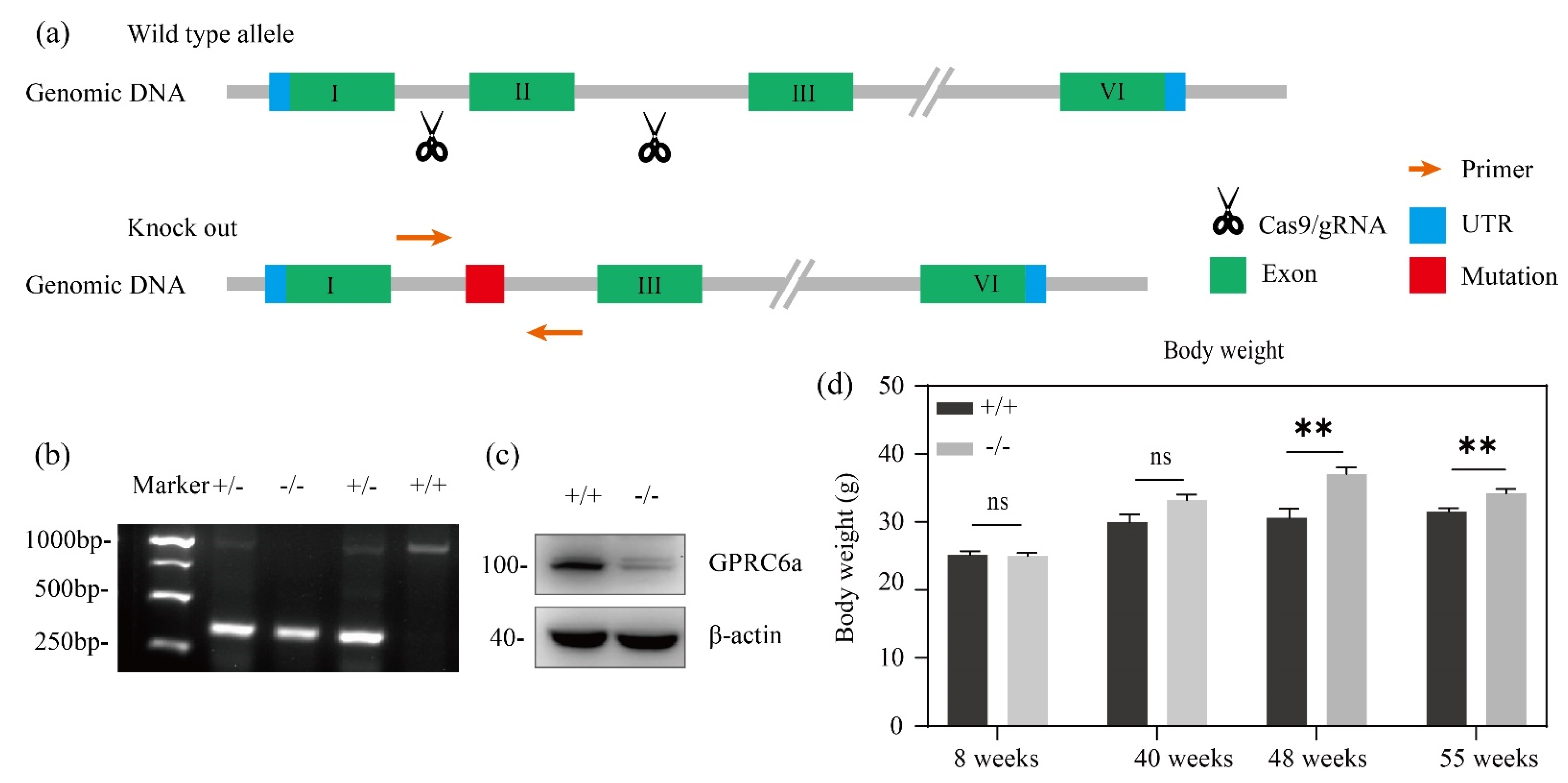
2.1. Genotyping and Body Weight of GPRC6A−/− Mice
2.2. Serum Glucose Alteration in GPRC6A−/− Mice
2.3. Impaired Amino Acid Homeostasis in GPRC6A−/− Mice
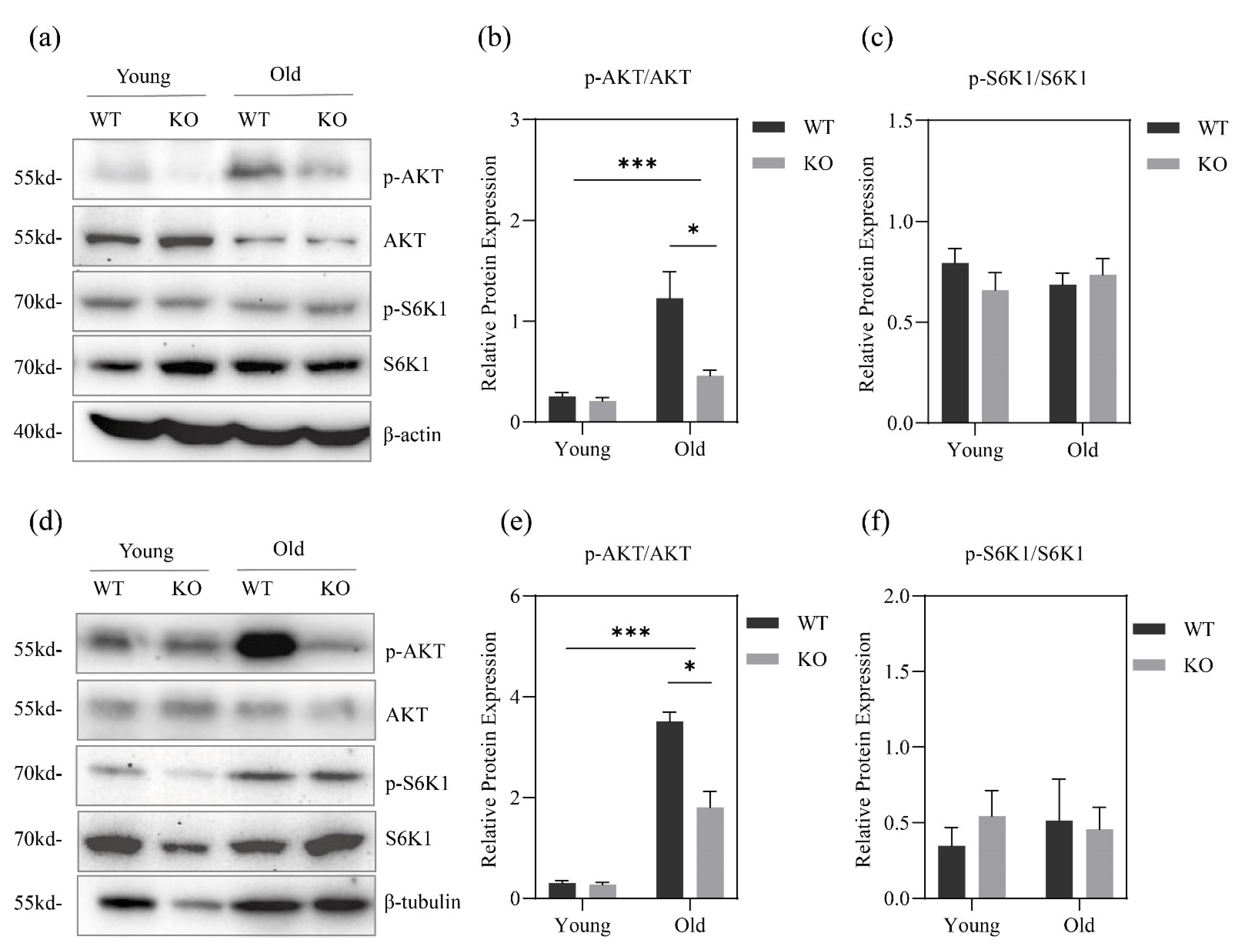
2.4. GPRC6a Is Involved in the Regulation of mTORC1 Activation and Autophagy
3. Discussion
4. Materials and Methods
4.1. Animals and Diets
4.2. Tissue Direct PCR
4.3. Immunoblotting
4.4. Intraperitoneal Glucose Tolerance Test
4.5. Biochemical Assays and Free AAs Quantification
4.6. Statistical Analysis
Author Contributions
Funding
Institutional Review Board Statement
Informed Consent Statement
Data Availability Statement
Conflicts of Interest
References
- Heinemann, L.; Deiss, D.; Siegmund, T.; Schlüter, S.; Naudorf, M.; von Sengbusch, S.; Lange, K.; Freckmann, G. Practical Recommendations for Glucose Measurement, Glucose Monitoring and Glucose Control in Patients with Type 1 or Type 2 Diabetes in Germany. Exp. Clin. Endocrinol. Diabetes 2018, 126, 411–428. [Google Scholar] [CrossRef] [PubMed]
- Roth, E.; Druml, W. Plasma amino acid imbalance: Dangerous in chronic diseases? Curr. Opin. Clin. Nutr. 2011, 14, 67–74. [Google Scholar] [CrossRef] [PubMed]
- Hyde, R.; Peyrollier, K.; Hundal, H.S. Insulin Promotes the Cell Surface Recruitment of the SAT2/ATA2 System A Amino Acid Transporter from an Endosomal Compartment in Skeletal Muscle Cells. J. Biol. Chem. 2018, 16, 13628–13634. [Google Scholar] [CrossRef] [PubMed]
- Tadros, L.B.; Taylor, P.M.; Rennie, M.J. Characteristics of glutamine transport in primary tissue culture of rat skeletal muscle. Am. J. Physiol. 1993, 265, 135–144. [Google Scholar] [CrossRef]
- Sakai, Y.; Kassai, H.; Nakayama, H.; Fukaya, M.; Maeda, T.; Nakao, K.; Hashimoto, K.; Sakagami, H.; Kano, M.; Aiba, A. Hyperactivation of mTORC1 disrupts cellular homeostasis in cerebellar Purkinje cells. Sci. Rep. 2019, 9, 2799. [Google Scholar] [CrossRef]
- Li, X.; He, S.; Ma, B. Autophagy and autophagy-related proteins in cancer. Mol. Cancer Ther. 2020, 19, 12. [Google Scholar] [CrossRef] [PubMed]
- Ezaki, J.; Matsumoto, N.; Takeda-Ezaki, M.; Komatsu, M.; Takahashi, K.; Hiraoka, Y.; Taka, H.; Fujimura, T.; Takehana, K.; Yoshida, M.; et al. Liver autophagy contributes to the maintenance of blood glucose and amino acid levels. Autophagy 2011, 7, 727–736. [Google Scholar] [CrossRef] [PubMed]
- Jin, M.; Klionsky, D.J. The amino acid transporter SLC38A9 regulates MTORC1 and autophagy. Autophagy 2015, 11, 1709–1710. [Google Scholar] [CrossRef] [PubMed]
- Holt, L.E.; Snyderman, S.E. Disturbances of amino acid metabolism. Bull. N. Y. Acad. Med. 1960, 36, 431–450. [Google Scholar]
- Takahara, T.; Amemiya, Y.; Sugiyama, R.; Maki, M.; Shibata, H. Amino acid-dependent control of mTORC1 signaling: A variety of regulatory modes. J. Biomed. Sci. 2020, 27, 87–102. [Google Scholar] [CrossRef]
- Kanno, A.; Asahara, S.-I.; Furubayashi, A.; Masuda, K.; Yoshitomi, R.; Suzuki, E.; Takai, T.; Kimura-Koyanagi, M.; Matsuda, T.; Bartolome, A.; et al. GCN2 regulates pancreatic beta cell mass by sensing intracellular amino acid levels. JCI Insight 2020, 5, e128820. [Google Scholar] [CrossRef] [PubMed]
- Wanders, D.; Stone, K.P.; Forney, L.A.; Cortez, C.C.; Dille, K.N.; Simon, J.; Xu, M.; Hotard, E.C.; Nikonorova, I.A.; Pettit, A.P.; et al. Role of GCN2-Independent Signaling Through a Noncanonical PERK/NRF2 Pathway in the Physiological Responses to Dietary Methionine Restriction. Diabetes 2016, 65, 1499–1510. [Google Scholar] [CrossRef]
- Zhang, P.C.; McGrath, B.C.; Reinert, J.; Olsen, D.S.; Lei, L.; Gill, S.; Wek, S.A.; Vattem, K.M.; Wek, R.C.; Kimball, S.R.; et al. The GCN2 eIF2 alpha Kinase Is Required for Adaptation to Amino Acid Deprivation in Mice. Cell. Mol. Biol. 2002, 22, 6681–6688. [Google Scholar] [CrossRef] [PubMed]
- Zhuang, Y.; Wang, X.X.; He, J.; He, S.; Yin, Y. Recent advances in understanding of amino acid signaling to mTORC1 activation. Front. Biosci. 2019, 24, 971–982. [Google Scholar] [CrossRef]
- Zheng, L.; Zhang, W.; Zhou, Y.; Li, F.; Wei, H.; Peng, J. Recent Advances in Understanding Amino Acid Sensing Mechanisms that Regulate mTORC1. Int. J. Mol. Sci. 2016, 17, 1636. [Google Scholar] [CrossRef]
- Wellendorph, P.; Hansen, K.B.; Balsgaard, A.; Greenwood, J.R.; Egebjerg, J.; Bräuner-Osborne, H. Deorphanization of GPRC6A: A Promiscuous l-alpha-Amino Acid Receptor with Preference for Basic Amino Acids. Mol. Pharmacol. 2005, 67, 589–597. [Google Scholar] [CrossRef]
- Kuang, D.N.; Yao, Y.; Lam, J.; Tsushima, R.G.; Hampson, D.R. Cloning and characterization of a Family C orphan G-protein coupled receptor. J. Neurochem. 2005, 93, 383–391. [Google Scholar] [CrossRef]
- Pi, M.; Chen, L.; Huang, M.-Z.; Zhu, W.; Ringhofer, B.; Luo, J.; Christenson, L.; Li, B.; Zhang, J.; Jackson, P.D.; et al. GPRC6A Null Mice Exhibit Osteopenia, Feminization and Metabolic Syndrome. PLoS ONE 2008, 3, e3858. [Google Scholar] [CrossRef]
- Pi, M.; Wu, Y.; Lenchik, N.I.; Gerling, I.; Quarles, L.D. GPRC6A Mediates the Effects of l-Arginine on Insulin Secretion in Mouse Pancreatic Islets. Endocrinology 2012, 153, 4608–4615. [Google Scholar] [CrossRef]
- De Toni, L.; Guidolin, D.; De Filippis, V.; Peterle, D.; Rocca, M.S.; Di Nisio, A.; Ponce, M.D.R.; Foresta, C. SHBG141–161 Domain-Peptide Stimulates GPRC6A-Mediated Response in Leydig and beta-Langerhans cell lines. Sci. Rep. 2019, 9, 19432. [Google Scholar] [CrossRef]
- Christiansen, B.; Hansen, K.B.; Wellendorph, P.; Bräuner-Osborne, H. Pharmacological characterization of mouse GPRC6A, an L-alpha-amino-acid receptor modulated by divalent cations. Br. J. Pharmacol. 2007, 150, 798–807. [Google Scholar] [CrossRef]
- Rossol, M.; Pierer, M.; Raulien, N.; Quandt, D.; Meusch, U.; Rothe, K.; Schubert, K.; Schöneberg, T.; Schaefer, M.; Krügel, U.; et al. Extracellular Ca2+ is a danger signal activating the NLRP3 inflammasome through G protein-coupled calcium sensing receptors. Nat. Commun. 2012, 3, 1329–1337. [Google Scholar] [CrossRef]
- Pi, M.; Wu, Y.; Quarles, L.D. GPRC6A mediates responses to osteocalcin in beta-cells in vitro and pancreas in vivo. J. Bone Miner. Res. 2011, 26, 1680–1683. [Google Scholar] [CrossRef] [PubMed]
- Wei, J.; Hanna, T.; Suda, N.; Karsenty, G.; Ducy, P. Osteocalcin Promotes β-Cell Proliferation During Development and Adulthood Through Gprc6a. Diabetes 2014, 63, 1021–1031. [Google Scholar] [CrossRef]
- Rueda, P.; Harley, E.; Lü, Y.; Stewart, G.D.; Fabb, S.; Diepenhorst, N.; Cremers, B.; Rouillon, M.-H.; Wehrle, I.; Géant, A.; et al. Murine GPRC6A Mediates Cellular Responses to L-Amino Acids, but Not Osteocalcin Variants. PLoS ONE 2016, 11, e0146846. [Google Scholar] [CrossRef] [PubMed]
- Wellendorph, P.; Johansen, L.D.; Jensen, A.A.; Casanova, E.; Gassmann, M.; Deprez, P.; Clément-Lacroix, P.; Bettler, B.; Bräuner-Osborne, H. No evidence for a bone phenotype in GPRC6A knockout mice under normal physiological conditions. J. Mol. Endocrinol. 2008, 42, 215–223. [Google Scholar] [CrossRef]
- Clemmensen, C.; Smajilovic, S.; Madsen, A.N.; Klein, A.B.; Holst, B.; Bräuner-Osborne, H. Increased susceptibility to diet-induced obesity in GPRC6A receptor knockout mice. J. Endocrinol. 2013, 217, 151–160. [Google Scholar] [CrossRef]
- Smajilovic, S.; Clemmensen, C.; Johansen, L.D.; Wellendorph, P.; Thams, P.G.; Ogo, E.; Bräuner-Osborne, H. The L-a-amino acid receptor GPRC6A is expressed in the islets of Langerhans but is not involved in L-arginine-induced insulin release. Amino Acids 2012, 44, 383–390. [Google Scholar] [CrossRef]
- Clemmensen, C.; Jørgensen, C.V.; Smajilovic, S.; Bräuner-Osborne, H. Robust GLP-1 secretion by basic L-amino acids does not require the GPRC6A receptor. Diabetes Obes. Metab. 2017, 19, 599–603. [Google Scholar] [CrossRef]
- Pi, M.; Xu, F.; Ye, R.; Nishimoto, S.K.; Williams, R.W.; Lu, L.; Quarles, L.D. Role of GPRC6A in Regulating Hepatic Energy Metabolism in Mice. Sci. Rep. 2020, 10, 7216. [Google Scholar] [CrossRef]
- Zhang, P. Glucose Tolerance Test in Mice. Bio-Protocol 2011, 1, e159. [Google Scholar] [CrossRef]
- Kinsey-Jones, J.S.; Alamshah, A.; McGavigan, A.K.; Spreckley, E.; Banks, K.; Cerceda Monteoliva, N.; Norton, M.; Bewick, G.A.; Murphy, K.G. GPRC6a is not required for the effects of a high-protein diet on body weight in mice. Obesity 2015, 23, 1194–1200. [Google Scholar] [CrossRef]
- Jørgensen, C.V.; Gasparini, S.J.; Tu, J.; Zhou, H.; Seibel, M.J.; Bräuner-Osborne, H. Metabolic and skeletal homeostasis are maintained in full locus GPRC6A knockout mice. Sci. Rep. 2019, 9, 5995. [Google Scholar] [CrossRef]
- Joung, K.H.; Kim, H.J.; Ku, B.J. Type B insulin resistance syndrome with diabetic ketoacidosis. Acta Diabetol. 2012, 49, 81–82. [Google Scholar] [CrossRef]
- Kaul, A.; Köster, M.; Neuhaus, H.; Braun, T. Myf-5 Revisited: Loss of Early Myotome Formation Does Not Lead to a Rib Phenotype in Homozygous Myf-5 Mutant Mice. Cell 2000, 102, 17–19. [Google Scholar] [CrossRef]
- Wolfrum, C.; Poy, M.N.; Stoffel, M. Apolipoprotein M is required for pre beta-HDL formation and cholesterol efflux to HDL and protects against atherosclerosis. Nat. Med. 2005, 11, 418–422. [Google Scholar] [CrossRef]
- Hamamoto, S.; Okada, A.; Nomura, S.; Yasui, T.; Hirose, M.; Shimizu, H.; Itoh, Y.; Tozawa, K.; Kohri, K. Effects of Impaired Functional Domains of Osteopontin on Renal Crystal Formation: Analyses of OPN -Transgenic and OPN -Knockout Mice. J. Bone Miner. Res. 2010, 25, 2712–2743. [Google Scholar] [CrossRef]
- Castets, P.; Rüegg, M.A. MTORC1 determines autophagy through ULK1 regulation in skeletal muscle. Autophagy 2013, 9, 1435–1437. [Google Scholar] [CrossRef]
- Bröer, S.; Bröer, A. Amino acid homeostasis and signalling in mammalian cells and organisms. Biochem. J. 2017, 474, 1935–1963. [Google Scholar] [CrossRef]
- Wyant, G.A.; Abu-Remaileh, M.; Wolfson, R.L.; Chen, W.W.; Freinkman, E.; Danai, L.V.; Heiden, M.G.V.; Sabatini, D.M. mTORC1 Activator SLC38A9 Is Required to Efflux Essential Amino Acids from Lysosomes and Use Protein as a Nutrient. Cell 2017, 171, 642–654. [Google Scholar] [CrossRef]
- Onodera, J.; Ohsumi, Y. Autophagy Is Required for Maintenance of Amino Acid Levels and Protein Synthesis under Nitrogen Starvation. J. Biol. Chem. 2005, 280, 31582–31586. [Google Scholar] [CrossRef] [PubMed]
- Wolfe, R.R. Control of Muscle Protein Breakdown: Effects of Activity and Nutritional States. Int. J. Sport Nutr. Exerc. Metab. 2001, 11, S164–S169. [Google Scholar] [CrossRef] [PubMed]
- Bandyopadhyay, U.; Todorova, P.; Pavlova, N.N.; Tada, Y.; Thompson, C.B.; Finley, L.W.; Overholtzer, M. Leucine retention in lysosomes is regulated by starvation. Proc. Natl. Acad. Sci. USA 2022, 119, e2114912119. [Google Scholar] [CrossRef] [PubMed]
- Gonska, T.; Hirsch, J.R.; Schlatter, E. Amino acid transport in the renal proximal tubule. Amino Acids 2000, 19, 395–407. [Google Scholar] [CrossRef] [PubMed]
- Rajendran, A.; Poncet, N.; Oparija-Rogenmozere, L.; Herzog, B.; Verrey, F. Tissue-specific deletion of mouse basolateral uniporter LAT4 (Slc43a2) reveals its crucial role in small intestine and kidney amino acid transport. J. Physiol. 2020, 598, 5109–5132. [Google Scholar] [CrossRef]
- Li, R.; Dai, J.N.; Kang, H. The construction of a panel of serum amino acids for the identification of early chronic kidney disease patients. J. Clin. Lab. Anal. 2018, 32, e22282. [Google Scholar] [CrossRef]
- Drotningsvik, A.; Midttun, O.; Vikøren, L.A.; McCann, A.; Ueland, P.M.; Mellgren, G.; Gudbrandsen, O.A. Urine and plasma concentrations of amino acids and plasma vitamin status differ, and are differently affected by salmon intake, in obese Zucker fa/fa rats with impaired kidney function and in Long-Evans rats with healthy kidneys. Br. J. Nutr. 2019, 122, 262–273. [Google Scholar] [CrossRef]
- Belanger, A.M.; Przybylska, M.; Gefteas, E.; Furgerson, M.; Geller, S.; Kloss, A.; Cheng, S.H.; Zhu, Y.; Yew, N.S. Inhibiting neutral amino acid transport for the treatment of phenylketonuria. JCI Insight 2018, 3, e121762. [Google Scholar] [CrossRef]
- Duan, Y.; Li, F.; Guo, Q.; Wang, W.; Zhang, L.; Wen, C.; Yin, Y. Branched-chain amino acid ratios modulate lipid metabolism in adipose tissues of growing pigs. J. Funct. Foods 2018, 40, 614–624. [Google Scholar] [CrossRef]





| AAs(μM) | WT-Fasted | KO-Fasted | WT-Fed | KO-Fed | SEM | p-Value | ||
|---|---|---|---|---|---|---|---|---|
| Genotype | Condition | Interaction | ||||||
| His | 48.21 | 56.44 ** | 49.2 | 56.65 | 1.35 | 0.003 | 0.805 | 0.873 |
| Arg | 112.2 | 122.77 | 85.59 | 86.86 | 3.87 | 0.26 | <0.001 | 0.374 |
| Asn | 103.39 | 107.39 | 98.47 | 105.04 | 2.37 | 0.286 | 0.461 | 0.793 |
| Gln | 331.63 | 472.17 *** | 392.06 | 414.74 | 11.72 | <0.001 | 0.921 | 0.001 |
| Ser | 79.61 | 82.35 | 81.61 | 79.26 | 1.72 | 0.956 | 0.882 | 0.49 |
| Gly | 253.75 | 236.28 | 255.72 | 230.62 ** | 4.06 | 0.009 | 0.806 | 0.613 |
| Asp | 18.13 | 18.46 | 12.61 | 11.99 | 0.72 | 0.877 | <0.001 | 0.619 |
| Glu | 81.49 | 72.13 | 72.22 | 58.9 ** | 2.08 | 0.0011 | 0.0012 | 0.532 |
| Thr | 132.99 | 133.36 | 139.38 | 148.88 | 3.66 | 0.506 | 0.146 | 0.538 |
| Ala | 277.06 | 270.34 | 278.29 | 277.91 | 7.18 | 0.816 | 0.774 | 0.836 |
| Pro | 74.78 | 77.88 | 77.9 | 73.16 | 1.43 | 0.781 | 0.787 | 0.194 |
| Lys | 221.72 | 252.2 | 238.43 | 222.45 | 5.6 | 0.505 | 0.549 | 0.04 |
| Cys | 3.42 | 4.29 | 11.28 | 6.67 * | 0.69 | 0.041 | <0.001 | 0.004 |
| Tyr | 59.53 | 54.57 | 47.6 | 45.06 | 1.38 | 0.056 | <0.001 | 0.526 |
| Met | 47.74 | 49.57 | 46.69 | 48.22 | 0.91 | 0.383 | 0.532 | 0.938 |
| Val | 190.45 | 224.68 ** | 190.25 | 206.67 | 4.46 | 0.003 | 0.242 | 0.253 |
| Ile | 81.67 | 110.19 ** | 83.41 | 86.38 | 3.02 | 0.001 | 0.019 | 0.008 |
| Leu | 140.64 | 185.69 ** | 143.1 | 153.34 | 5.04 | 0.002 | 0.07 | 0.037 |
| Phe | 70.07 | 76.32 | 71.36 | 75.09 | 1.16 | 0.035 | 0.9896 | 0.578 |
| Trp | 66.48 | 57.08 ** | 84.04 | 73.08 | 2.55 | 0.0104 | <0.001 | 0.833 |
| AAs(μM) | WT-Young | KO-Young | WT-Old | KO-Old | SEM | p-Value | ||
|---|---|---|---|---|---|---|---|---|
| Genotype | Age | Interaction | ||||||
| His | 49.91 | 55.85 | 61.06 | 51.53 * | 1.33 | 0.444 | 0.15 | 0.002 |
| Arg | 150.67 | 146.98 | 131.63 | 118.72 | 4.46 | 0.309 | 0.006 | 0.57 |
| Asn | 35.19 | 35.68 | 46.68 | 41.5 | 1.38 | 0.325 | 0.001 | 0.236 |
| Gln | 416.48 | 377.06 | 415.65 | 395.73 | 8.09 | 0.072 | 0.579 | 0.545 |
| Ser | 89.62 | 89.52 | 104.73 | 92.46 | 2.25 | 0.146 | 0.038 | 0.152 |
| Gly | 227.65 | 234.07 | 227.43 | 222.55 | 4.02 | 0.926 | 0.485 | 0.502 |
| Asp | 21.93 | 22.01 | 17.84 | 14.48 | 0.76 | 0.152 | <0.001 | 0.133 |
| Glu | 105.96 | 106.7 | 72.49 | 70.38 | 3.46 | 0.829 | <0.001 | 0.653 |
| Thr | 130.33 | 123.53 | 139.78 | 131.37 | 3.72 | 0.32 | 0.259 | 0.915 |
| Ala | 360.19 | 345.03 | 352.01 | 284.52 * | 10.45 | 0.036 | 0.07 | 0.175 |
| Pro | 109.99 | 96.82 | 105.86 | 85.78 | 3.76 | 0.026 | 0.295 | 0.631 |
| Lys | 343.47 | 317.29 | 278.44 | 250.14 | 9.22 | 0.058 | <0.001 | 0.939 |
| Cys | 1.19 | 1.44 | 1.02 | 1.09 | 0.09 | 0.432 | 0.21 | 0.661 |
| Tyr | 67.07 | 66.24 | 68.42 | 75.99 | 1.76 | 0.331 | 0.114 | 0.227 |
| Met | 72.01 | 63.64 | 94.78 | 65.38 * | 4.2 | 0.019 | 0.118 | 0.177 |
| Val | 164.18 | 163.27 | 174.03 | 184.09 | 4.93 | 0.647 | 0.132 | 0.584 |
| Ile | 63.97 | 62.32 | 69.33 | 67.93 | 1.78 | 0.679 | 0.143 | 0.973 |
| Leu | 113.6 | 108 | 118.62 | 112.74 | 2.9 | 0.344 | 0.42 | 0.982 |
| Phe | 66.51 | 63.96 | 71.83 | 69.73 | 1.4 | 0.402 | 0.051 | 0.935 |
| Trp | 88.52 | 76.52 | 80.12 | 95.56 | 3.02 | 0.766 | 0.362 | 0.023 |
Publisher’s Note: MDPI stays neutral with regard to jurisdictional claims in published maps and institutional affiliations. |
© 2022 by the authors. Licensee MDPI, Basel, Switzerland. This article is an open access article distributed under the terms and conditions of the Creative Commons Attribution (CC BY) license (https://creativecommons.org/licenses/by/4.0/).
Share and Cite
He, Y.; Su, J.; Gao, H.; Li, J.; Feng, Z.; Yin, Y. GPRC6A Mediates Glucose and Amino Acid Homeostasis in Mice. Metabolites 2022, 12, 740. https://doi.org/10.3390/metabo12080740
He Y, Su J, Gao H, Li J, Feng Z, Yin Y. GPRC6A Mediates Glucose and Amino Acid Homeostasis in Mice. Metabolites. 2022; 12(8):740. https://doi.org/10.3390/metabo12080740
Chicago/Turabian StyleHe, Yumin, Jingyun Su, Hongrui Gao, Jianzhong Li, Zemeng Feng, and Yulong Yin. 2022. "GPRC6A Mediates Glucose and Amino Acid Homeostasis in Mice" Metabolites 12, no. 8: 740. https://doi.org/10.3390/metabo12080740
APA StyleHe, Y., Su, J., Gao, H., Li, J., Feng, Z., & Yin, Y. (2022). GPRC6A Mediates Glucose and Amino Acid Homeostasis in Mice. Metabolites, 12(8), 740. https://doi.org/10.3390/metabo12080740

