Abstract
Mental health disorders, particularly anxiety and insomnia, are increasingly prevalent worldwide, prompting interest in herbal-based complementary therapies. This study surveyed 168 Hungarian healthcare professionals to evaluate their knowledge and recommendations regarding herbal sedatives and analyzed seven commonly suggested OTC products available in Hungary, using thin-layer chromatography (TLC) and UV–Vis spectrophotometry according to the European Pharmacopoeia. The survey revealed that 86.9% of respondents recommend herbal products for nervous system complaints, with Valeriana officinalis and Melissa officinalis being the preferred ingredients. Herbal teas and traditional herbal medicines were the most frequently suggested product categories. Laboratory analysis confirmed the presence of marker compounds in all tested products; however, significant variability in active ingredient concentrations was observed. One homeopathic product contained an unidentified alkaloid-like compound, raising safety concerns. Essential oil yields from tea mixtures also varied markedly, and some products did not meet pharmacopoeial standards for hypericin content. These findings highlight the popularity of phytotherapy among healthcare professionals and the need for stricter quality control of OTC herbal sedatives. Future research should include multi-batch analyses and clinical trials to establish robust evidence for efficacy and safety.
1. Introduction
1.1. Epidemiology of the Civilization-Associated Mental Disorders
Mental health is crucial to the overall well-being, functioning, and resilience of individuals, societies, and countries recovering from emergencies. Depression and anxiety disorders cost the global economy at or about a trillion dollars each year [1]. Common mental disorders are increasing worldwide: between 1990 and 2013, the number of people suffering from depression and/or anxiety increased by nearly 50%, from 416 million to 615 million [2]. Depression became the third main cause of disability and also the major contributor to suicidal deaths, which number at or about 700,000 per year [3,4]. According to the World Health Organization (WHO) Global Health Estimates statistics, in 2017, the prevalence of depressive disorders in Europe was 5.1% and anxiety disorders were 3.9% [5]. An estimated 4% (approx. 301 million people) of the global population experienced anxiety disorder in 2019. Although only about 1 in 4 people in need (27.6%) receive any effective treatment [6,7]. The SARS-CoV-2 pandemic has exacerbated mental health disorders globally, increasing psychological distress, suicide risk, alcohol consumption, and major depressive disorder prevalence by 6% between 2019 and 2021 [8]. The WHO warns that the increasing incidence of mental disorders anticipates the major depressive disorder ranking global first disease burden to 2030 [4].
Mood, anxiety, and sleep disorders are common comorbid psychiatric disorders, with anxiety disorders like generalized anxiety disorder, social phobia, and posttraumatic stress disorder presenting with psychological anxiety and distress [9]. The pathophysiology of anxiety disorders is still being unraveled, but evidence suggests abnormalities in serotonergic, noradrenergic, glutamatergic, and GABAergic transmission [10]. Insomnia, difficulty initiating or maintaining sleep, is the most common sleep complaint and has a 1-year prevalence rate of 30 to 45% in adults. Common causes of insomnia include anxiety, grief, loss, or stress [11]. Specific treatment is usually not required, but hypnotic medication should be indicated for a short duration and some symptoms, including a brief recurrence of insomnia, are expected when the medication is discontinued. Persistent insomnia involves two problems: somatized tension and anxiety, and a conditioned associative response [12]. Patients often have no clear complaint other than insomnia, but may experience anxiety through physiological channels [13]. The condition may be exacerbated during times of stress and remission during vacations.
Sedative-hypnotic drugs are widely prescribed worldwide to treat anxiety and sleep disorders [13,14]. These drugs are based on clinical uses rather than chemical structure. An effective sedative-anxiolytic agent should reduce anxiety and exert a calming effect, with a minimum degree of central nervous system (CNS) depression. Hypnotic effects involve more pronounced depression of the CNS than sedation and can be achieved by increasing the dose. Benzodiazepines, barbiturates, ethanol, buspirone, and “Z-drugs” are widely used sedative-hypnotics [13,15,16]. Benzodiazepines potentiate GABA-ergic inhibition at all levels of the neuraxis, increasing the efficiency of GABA-ergic synaptic inhibition [16]. They can be used for short-term treatment of situational anxiety, excessive or unreasonable anxiety about life circumstances, panic disorders, and agoraphobia. However, they have disadvantages such as the risk of dependence, depression of CNS functions, and amnestic effects [16]. Sedative-hypnotics are used in the treatment of sleep problems, which are common due to inadequate treatment of underlying medical conditions or psychiatric illness. Non-pharmacologic therapies for sleep problems include proper diet and exercise, avoiding stimulants before retiring, ensuring a comfortable sleeping environment, and regular nighttime rest [17].
1.2. Complementary Practices in Psychiatry
Complementary medicine, also known as integrative or holistic medicine, is a growing trend in psychiatry that involves disease-treating or disease-preventing practices that differ from traditional biomedical treatments [18]. It involves the application of traditional herbal, mineral, or animal-related substances, mostly taught throughout pharmaceutical education. Phytotherapy, or herbalism, is a major branch of medicine treating medical conditions, promoting health, and preventing diseases using plant-based substances [19]. However, most herbal formulas are not well established in human clinical research, and some may contain heavy metal contamination [19,20]. The rapid growth of the herbal product industry and the lack of corresponding regulations have led to the WHO and other regulatory bodies being increasingly concerned with the safety and efficacy of herbal medicines. Phytotherapy is the most studied complementary medicine field, but comprehensive evidence-based guidelines are still under continuous development by certain international professional organizations [19]. Patients are often exposed to internet fraud or the illegal market of herb-based products, and the quality and quantity of over-the-counter (OTC) herbal supplements and medications are questionable due to unsatisfactory manufacturing regulations. Healthcare workers should be provided with more information to help patients choose products with authentic licensed trademarks and appropriate production processes [19].
The aim of the current research was to evaluate and assess the knowledge of healthcare professionals (by the use of a survey) about the most often suggested and useful complementary therapeutic methods, particularly herbal practices associated with insomnia and anxiety. Additionally, the authors intended to analyze the chemical content of the most recommended herbal sedative products, sold in pharmacies in Hungary. The authors propose to evaluate the significance of evidence-based medicine and complementary practices in supporting patients’ optimal and most convenient holistic therapy while assembling the data.
2. Materials and Methods
2.1. Survey of Medical Professionals
To assess healthcare professionals’ knowledge and recommendations of herbal medication for common CNS complaints, a detailed questionnaire containing both open and closed-ended questions was distributed in accordance with Declaration of Helsinki (2013 revision) and guidelines. Healthcare professionals as online survey informants were recruited from Hungarian hospitals, state and private clinics, pharmacies. The anonymous professional opinion-based survey involved no sensitive or private data. Participation consent was accepted by filling in the online survey. Data collection began in July 2016 and extended until September 2016. Statistical analysis was conducted by Microsoft® Excel® for Microsoft 365, version 16.0.19029.20136 (32-bit), developed by Microsoft Corporation (Redmond, WA, USA); in which the authors summarized the answers compiled into graphs and charts. The authors enclosed the English translation of the questionnaire in the Appendix A.
Based on the survey results, the seven most recommended OTC medicines available in Hungarian pharmacies were selected for further laboratory analysis. These included two capsules, two filtered teas, one bulk tea, and three tablets, which were purchased from various pharmacies in Pécs, Hungary. The rationale behind the selection of these specific herbs and products was guided by their prevalent recommendation among healthcare professionals and their availability in the Hungarian pharmaceutical market, ensuring that the current analysis is representative of the options accessible to Hungarian consumers. To maintain anonymity and avoid any conflict of interest, the detailed product and company names are not disclosed in the manuscript. Instead, they are labeled as ordinal numbers (Table 1).
Table 1.
Summarized data of the examined herbal products.
2.2. UV-Vis Spectrophotometric Examination of Flavonoid Content in Tea Containing Hypericum perforatum
The UV–Vis spectrophotometric method was performed in accordance with the European Pharmacopoeia (Ph. Eur.) guidelines [21] and supported by the findings of Agapouda et al. [22], offering a reliable and efficient means of assessing the flavonoid content in Hypericum perforatum tea preparations. Approximately 0.504 g (±0.0003 g) of Product 1 was finely ground for homogeneity. One gram of the powdered sample was extracted in 100 mL of methanol by steeping for 30 min at room temperature with occasional shaking. After filtration through filter paper and a 0.45 µm Chromafil membrane, the extract was collected in a 100 mL volumetric flask and sonicated for 30 min to improve dissolution. The resulting solution was used as the test sample and diluted as needed for analysis. Rutin (Sigma–Aldrich, St. Louis, MO, USA) served as the reference standard. Absorbance was measured at 360 nm using a JASCO V-530 double-beam UV–Vis spectrophotometer (ABL&E-JASCO, Vienna, Austria) with 1 cm quartz cuvettes, over a wavelength range of 200–700 nm, with methanol as the blank. A calibration curve was constructed from serial dilutions of rutin, and flavonoid content was expressed as rutin equivalents (mg/g dry weight). Method validation included assessment of linearity, precision, and accuracy, with triplicate measurements and a coefficient of variation below 5%. The percentage of flavonoid content expressed in hyperosides, based on the specific absorption coefficient of hyperoside (), was calculated based on the initial weight of the sample and the dilution factor used:
2.3. UV-Vis Spectrophotometric Examination of Hypericin Content
The hypericin content in Hypericum perforatum herb and extracts was determined using a UV–Vis spectrophotometric method based on the European Pharmacopoeia [21] and validated by Anyżewska et al. [23]. Approximately 0.80 g of powdered Hypericum perforatum herb or standardized extract was weighed and transferred to a 100 mL volumetric flask containing 60 mL of a water–tetrahydrofuran mixture (20:80 v/v). Methanol was added to improve hypericin extraction. The mixture was heated in a water bath at 70 °C under reflux for 30 min with magnetic stirring, then centrifuged at 700× g for 2 min (MLW T 52.1, GDR). The supernatant was decanted into a 250 mL flask. The residue was re-extracted with 60 mL of the same solvent mixture, heated for 30 min, centrifuged, and combined with the first extract. Combined extracts were evaporated under reduced pressure using a Rotavapor R-3 and vacuum pump V-700 (Büchi, Uster, Switzerland). The dried residue was dissolved in methanol, sonicated for 30 min (Elma S60H Elmasonic, Liverpool, UK), and filtered through a 0.45 µm Chromafil membrane. Hypericin (50 mg; Sigma–Aldrich, St. Louis, MO, USA) was prepared as a reference standard under identical conditions and adjusted to 5 mL final volume. Both sample and standard solutions were exposed to a xenon lamp (765 W/m2) for 8 min to standardize chromophore state, then protected from light. UV–Vis measurements were performed at 590 nm (λmax of hypericin) using a JASCO V-530 spectrophotometer (ABL&E-JASCO, Vienna, Austria) with methanol as blank. Absorbance was recorded in triplicate; method validation included linearity, specificity, and precision. Linearity was confirmed by calibration curves from hypericin standards; specificity by absence of interfering peaks; repeatability showed CV < 2%. Hypericin concentration was calculated from the calibration curve and expressed as mg/g dry weight. The results were expressed as a percentage of hypericin content relative to the dried weight of the sample, based on the specific absorbance of hypericin ():
2.4. TLC Examination of Samples Containing Hypericum perforatum
The TLC examination was performed according to Wagner & Bladt [24]. 1.85 g ± 0.05 g of Product 1 and 1.46 g ± 0.02 g of Product 6 tea mixture were placed separately into an Erlenmeyer flask, and then 10 mL of methanol (Molar Chemicals, Halásztelek, Hungary) was added. Then they were extracted in an ultrasound water bath at 45 °C. After 10 min, it was filtered using filter paper. (1) Formic acid: water: ethyl-acetate (6:9:90) and (2): ethyl-acetate: formic acid: acetic acid: water (100:11:11:27) were applied as mobile phases. 10 mL of mobile phase was measured into a twin trough chamber (Donaulab, Budapest, Hungary). The extracts were applied to the thin layer (20 × 20 cm Silica gel 60 F254, Merck 5715, layer thickness 0.25 mm) with capillaries (Marienfeld, Denmark), with the application of 10–10 μL of each solution and reagent. After development of the plates, they were sprayed with Naturstoff-reagent [2-aminoethyl-diphenyl-borinate (Sigma–Aldrich, St. Louis, MO, USA)] + methanol (Molar Chemicals, Halásztelek, Hungary) 10 g/L and macrogol 400 (Sigma–Aldrich, St. Louis, MO, USA) + methanol 50 g/L. The layers were dried at room temperature and heated at 105 °C for 5 min. The plates were examined in CAMAG UV Cabinet 4 (Muttenz, Switzerland) at 365 nm. The retardation factor was calculated on each colored pattern on the layer: Retardation factor (Rf): it is the fraction of the sample in the mobile phase at equilibrium, mathematically defined as the following ratio:
2.5. Essential Oil Distillation from Tea Mixtures
The essential oil distillation was performed based on the European Pharmacopoeia [21]. The setup included a short-neck, ground-glass, round-bottom flask with an internal diameter of 29 mm at the flared end of the joint. The distillation adapter, featuring a custom design, had an internal diameter of 10 mm at its flared end. Heating was provided by a FALC MA-series heating mantle (Scharlab, Budapest, Hungary). 25.02 g of Product 6 and 21.33 g of Product 7 tea mixtures were measured separately, and they were reduced to a powder form using a coffee grinder (Bosch, Gerlingen, Germany). Then, 500.0 mL of distilled water was added to the powdered drugs for water-steam distillation. The distillation time was 3 h.
2.6. TLC Examination of Samples Containing Valeriana officinalis
Five products (Product 6, Product 7 relaxing tea mixtures, Product 3, Product 5 tablets, and Product 4 capsule) were used in this TLC analysis based on the methods of Wagner & Bladt [24]. The samples were powdered, portioned, weighed and processed for further analysis. 5 mL of dichloromethane (Molar Chemicals, Halásztelek, Hungary) was added to each sample, and they were extracted in an ultrasound water-bath without heating (because the higher temperature may destroy the valepotriates). After filtering the extracts, the 10 µL of the solutions were applied to the TLC SiO2 plates (20 × 20 cm Silica gel 60 F254, Merck 5715, layer thickness 0.25 mm) in a saturated chamber with hexane–ethyl acetate–acetic acid (65:35:0.5) as mobile phase. After the development, the layer was photographed under CAMAG UV Cabinet 4 (Muttenz, Switzerland) using 366 nm. Then, an anisaldehyde reagent was applied onto the layer and was placed in an oven (Memmert, Schwabach, Germany) for 3 min at 90 °C.
2.7. TLC Analysis of Atropine Content from Homeopathic Medicine
The analysis was performed based on the major laboratory handbooks [25,26] and validated by contemporary studies by Sreevidya et al. and Al-Sayegh et al. [27,28]. A total of 1.817 g of homeopathic remedy tablets (Product 2) were powdered using a mortar and mixed with 1.0 mL eluent of 25% ammonium hydroxide (NH4OH; Molar Chemicals, Halásztelek, Hungary). The mixture was combined with 30 mL chloroform in a 100 mL Erlenmeyer flask and stirred for 2 min. The flask was placed into an ultrasonic water bath for further extraction. Subsequently, the solution was filtered through 3 g of sodium sulfate to remove impurities, and the filtrate was concentrated under vacuum using a Rotavapor R-3 with a vacuum pump V-700 (Büchi, Uster, Switzerland) until the final volume reached 50 μL. From the concentrated extract, 1.0 g was diluted for analysis. Reference methanolic atropine sulfate solution was prepared at a concentration of 1 mg/mL. For thin-layer chromatography (TLC), silica gel-coated plates (20 × 20 cm; silica gel 60G F254, Merck 5715, layer thickness 0.25 mm) were used. The TLC plate was loaded with 5 μL of the standard solution and 15 μL each of the diluted and concentrated solutions using capillary tubes. The mobile phase consisted of a mixture of 0.2 M sodium acetate, methanol, and chloroform in a 1:6:3 ratio. After the development process, the TLC plate was dried at room temperature, followed by a 5 min drying step at 90 °C. For visualization, the plate was sprayed with Dragendorff’s reagent (Sigma–Aldrich, St. Louis, MO, USA), a widely accepted detection reagent for alkaloids, producing a red-orange spot for alkaloid identification. This method is based on the formation of a yellow bismuth-thiourea complex in a nitric acid medium, following Lambert-Beer’s law within a concentration range of 0.06–50 μg/mL at a λmax of 435 nm. Such methods have proven valuable for routine analysis and standardization of alkaloid-containing herbal drugs [27].
3. Results and Discussion
3.1. Survey of Medical Professionals
The survey was completed by 43 (25.6%) male and 125 (74.4%) female professionals. The biological age of the participants disperses as a Gaussian curve. Specifically, the majority of healthcare professionals originate from the age group between 40 and 59, who reportedly possess the most knowledge and experience. Midwives were the most likely to complete the questionnaire, increasing the female participation ratio to 19.64% (n = 33). Pharmacists came in second (16.07%, n = 27), followed by medical interns and specialists: psychiatrists (14.88%, n = 25), primary care doctors (10.71%, n = 18), and neurologists (7.14%, n = 12). Overall, 40.59% of respondents (n = 87) reported having higher medical education. As shown in Table 2, 14.88% (n = 25) fall into the “Other” category. Within this group, 11.61% (n = 20) are doctors from various specialties, such as dentists, pulmonologists, rheumatologists, and transfusionists, while the remaining 3.27% (n = 5) are non-doctors, including a dietician, a massage therapist, a physiotherapist, a psychologist, and a community psychiatry coordinator.
Table 2.
Summary of sociodemographic factors. Abbreviations: TCM (Traditional Chinese Medicine).
Hungarian patients inquiring about the use of herbal products visit a specialist several times per week (22.60%). About the same ratio of health professionals indicated that they meet patients who intend to use herbal products on a daily basis (24.40%), but one occasion weekly (17.30%) can also be mentioned as a frequent visit. Less frequent visits are monthly (17.90%) or rarely (15.50%). Another important outcome of the survey was that almost 40% of the patients asked targeted questions with respect to herbal products from a medical professional (Figure 1). Only in 2.40% of cases have they never required herbal-based therapy options.
Figure 1.
Type of questions related to herbal-based therapy by the patients/clients toward the medical professional.
As a result, the popularity of herbal-based medicine should not be neglected from the aspect of the patients [29]. In comparison with the international literature, in 2002, 18.9% of the US [30] and approximately 30% of the UK population [31] was reported to use herbs and herbal supplements. In 2012, the National Health Interview Survey reported the same 18% prevalence of herbal medicine application [32]. The US herbal medicine purchasing (average 2.6 supplements) is increased in 2015 [32]. However, 65% of herbal medicine use was documented in patients with chronic medical conditions (such as diabetes, heart diseases, and arthritis, etc.) [32]. In 2007, only 33% of US patients discussed their application with their treating physician [30]. According to Carr & Santanello the majority of pharmacists (90%) reported having herbal medicines available for sale in their pharmacies, with frequent patient inquiries regarding these products [32]. 59.7% of the studied Saudi pharmacist participants occasionally discuss herbal medicine use with their patients, whereas just 4.25% never do [31]. However, fewer (3.2–4.72% [31,32]) pharmacists consistently documented herbal medicine use in patient profiles, suggesting that information exchange between pharmacists and patients about herbal remedies may not always be thorough.
The majority of the participants (86.90%) in this study suggest herbal products against certain medical complaints, based on their knowledge and precise decision. According to the beneficial textual answers, in general, 13.10% of the informants do not suggest them, referring to a general lack of knowledge, or the premise is beyond their medical level of competence. One healthcare professional reported avoiding parallel (complementary) usage. Furthermore, it was also reported that healthcare professionals would not use herbal products in symptomatic therapy, or rather, when considering urgent clinical cases. Comparing the literature, approximately 69% of polled pharmacists in the United States reported never or rarely promoting herbal medicines, while 63% reported occasionally or regularly advising against purchasing them [32]. Healthcare professionals generally exercise caution when considering the use of herbal products in symptomatic therapy or urgent clinical cases [33]. The hesitancy arises from concerns about the safety and efficacy of herbal products in critical scenarios. Herbal supplements, while popular for chronic or preventative use, are not commonly incorporated into acute care due to a lack of robust, evidence-based clinical data and the potential for harmful interactions with standard medications. These interactions may affect drug metabolism or efficacy, which is particularly problematic in urgent medical situations requiring reliable and predictable outcomes [33]. This knowledge is essential, as 92.5% of Turkish patients surveyed in the research of Soltanipour et al. were completely unaware that herbal medicines can cause side effects [34]. Stanojević-Ristić et al. revealed that only 28% of healthcare professionals frequently or always inquire about the use of dietary supplements or herbal products when treating patients, and 25% document this information in medical records [35]. This reflects the level of engagement and awareness among healthcare professionals about integrating such products into patient care. Finally, several healthcare professionals responded in the present survey that these products are rather expensive, and one should be careful with the products not yet thoroughly tested. In 2012, U.S. consumers spent USD 12.8 billion on natural products compared to USD 54.1 billion on prescription medications [36]. However, herbal products are not typically covered by insurance, which can make them seem costlier upfront for individuals. Healthcare professionals often emphasize that affordability depends on the specific herbal or pharmaceutical product and its therapeutic use [36].
To emphasize the scope of this study, the authors wished to assess the common CNS-related diseases. Insomnia (85.20%), stress (73.80%) and anxiety (57.70%) were the most frequent indications of herbal remedy suggestions by the professional informants (Figure 2). Other answers included suggestions for other CNS-related indications, e.g., chronic pain syndrome, generalized anxiety disorder, climax, multiple sclerosis, etc. Unfortunately, the authors could not find a similar survey or data for comparison in the international literature on this issue.
Figure 2.
Herbal-based therapy suggestions against common nervous system-related complaints.
The most often suggested products, including herbal teas (69.20%), are in first place. Following, traditional herbal medicines (63.50%) and medical products not classified as medication (62.30%) appear on the chart (Figure 3). Homeopathic remedies were provided by mostly homeopathic doctors. In the survey of Harnett et al., vitamins and minerals were most frequently recommended by healthcare providers, and herbal supplements were only in second place [37].
Figure 3.
Recommended product categories according to medical professionals’ suggestion.
The following question concerns the preference of the polled healthcare workers’ patients/clients with respect to herbal medication for CNS-related indications. Similarly, herbal teas demonstrated the same popularity (61.10%; Figure 4); however, they ranked secondly and were overtaken (62.30%) by the NCPHP category referred to as medical products not generally classified as medication. OTC herbal supplements ranked third (52.50%). An informant reported that his clients generally do not possess knowledge about the NCPHP categories, and they do not respect herbal products as medicines.
Figure 4.
Product categories according to patients/clients’ interest.
According to the results highlighted in Figure 5, more than 50% of the responses regarding university/college studies or professional courses reported they did not receive the appropriate information about the application of herbs in therapies, and, thus, this topic was absolutely neglected. Overall, it seems likely that education regarding herbal remedies rarely occurred (37.5%). Only 2 responses reported that it was slightly or heavily overemphasized; however, this opinion is relative. Soltanipour et al. draw a similar conclusion in their research [34]. Multiple studies, along with the present survey, support the assertion that there is a substantial gap between medical practitioners’ herbal expertise and their patients’ herbal needs. Specifically, research shows that healthcare personnel frequently lack appropriate knowledge regarding herbal products, despite their popularity. According to Al-Arifi, a survey found that 44% of pharmacists admitted to having insufficient knowledge of herbal products [31]. The majority of surveyed US pharmacists reported having limited or no formal education in herbal medicine, with a large portion indicating they have either “very little” or “no” prior education in this area [32]. Among health-care professionals, pharmacists may be in an ideal position to provide evidence-based information and assist customers in making safe decisions about natural medicines [31]. Kennedy et al. reported that medicinal herbs have importance in medical practice and patient-doctor communication [30]. Physicians need to be familiar with common evidence-based complementary treatments and harmful quackery to provide their patients with professional information. According to their opinion, extra complementary and integrative medicine training is required, but the already crowded medical school curricula have limitations [30]. While most pharmacists (44.88%) felt it was important to be knowledgeable about herbal medicines, a smaller proportion (6.3%) were confident in their ability to provide adequate information to patients, as state Carr & Santanello [32]. A study of physicians in Trinidad revealed this gap, with most healthcare providers acknowledging the increased acceptability of herbal medicines but lacking in-depth knowledge of them. This disparity was linked to reasons such as insufficient training during medical school and a lack of comprehensive resources on herbal treatments [38]. The broad availability of information and increasing popularity of herbal remedies further necessitate continuous education for healthcare professionals to stay updated on developments in this field [31].
Figure 5.
Emphasis on herbal medications and therapies during professional studies.
Additionally, an interesting fact is that the overall survey response is represented by 16.1% pharmacists (Table 2), while only 8.9% reported sufficient educational information about this topic (Figure 5; this percentage includes naturopathists in possession of a phytotherapist license). As a result, pharmacists, whose Hungarian education includes one year Pharmacobotany and one year of Pharmacognosy curricula (research of crude medications and medicines of plant origin, incorporating botany, quality control, and authentication [32]), remain largely uncertain regarding their knowledge of herbal therapies and medications. This phenomenon was also supported by a Jordanian research, that pharmacy practitioners had medium knowledge of herbal products; however, according to the authors’ opinion, more attention should be paid to herb–drug interactions in the pharmacy educational curriculum [39]. Many pharmacists in the United States recommended that patients discuss herbal medicine use with their primary care physicians before starting treatment (72.23% of pharmacists), while 68% also discussed herb–drug interactions and side effects when patients inquired about herbal remedies [32], which can be evaluated positively.
As mentioned above, continuing education for healthcare professionals is extremely important. Therefore, it is also essential to map the sources of new knowledge, especially regarding the topic of the manuscript. Figure 6 presents that the majority of professionals (72%) use the internet to read online professional materials to develop their knowledge. Ranked below the use of the internet are post-graduate professional training courses (58.30%) and the pursuit of beneficial education found in journals, magazines and/or books (53.6%). Two of the participants chose the option in which they had never heard about this topic, and one individual reported (supposedly non-authentic or professional) TV commercials as a reliable and informative source. Two participants responded that they received beneficial information from their patients, and one participant remarked, it was the medical representative who offered actual information about herbal products sold in drug stores. According to the results obtained from Al-Arifi’s study, pharmacists rely on online resources (44.8%) for information on herbal medicines, followed by manufacturer-provided information such as package inserts and booklets or pamphlets (39%), and publications (32.9%) [31]. Only a small proportion of respondents had access to a computer database (13.3%) or other resources (2.2%) [31]. Carr & Santanello observed that over half (55%) of pharmacists lacked access to evidence-based herbal medicine materials in their practice [32]. This highlights a gap in the availability of reliable and updated sources for herbal medicine information in community pharmacy settings.
Figure 6.
Participants’ sources of professional information.
The tendency in this survey shows that 85.90% of medical doctors (n = 85) have never prescribed herbal-based medicine, while 14.10% (n = 12) of prescribed or recommended such use. Without attempting to be comprehensive, the authors annotated these responses, which bear relevance to this study, ointments, essential oil mixtures and extracts containing Lavandula angustifolia. 56.3% of Iranian physicians in the survey of Soltanipour et al. prescribe at least 1 herbal remedy in every 20 patient visits [34].
While restricted to CNS complaints, the authors received textual answers including the following, in which the majority (31.5%; n = 61) recommended Valeriana officinalis containing products with or without a specific trademark (Figure 7). Melissa officinalis products are ranked secondly (23.2%; n = 29) without a specific trademark, and finally, the use of a specific Valeriana containing products (including the anonymized product 3) preferred by 22 and 21 individuals (17.9% and 17.8%, respectively). Further, 16 informants (9.52%) reported the suggestion of not a single but rather a combined herbal OTC product.
Figure 7.
Most suggested herbal products by the healthcare professionals with or without specific trademarks.
In the final section, the authors expressed curiosity in regard to healthcare professionals’ opinions, in which the relevance of complementary therapies can be effectively applied in evidence-based medical practice. Typical textual responses include “Totally”, “As a complementary practice”, “With limitations”, “Well used in mild symptoms” etc. Additionally, a major proportion of the respondents would apply them as a primary initiative therapy, and they would switch to a rigorous evidence-based medication in the case of inefficiency or disease progression.
The final question in the survey assessed the perceived relevance of the following therapeutic methods in the respondents’ clinical practice. The chart (Figure 8) perfectly presents the fact that responses highlight phytotherapy as the most rational therapeutic method preferred in evidence-based medical practice, while homeopathy was chosen as the most ineffective. Herbal medications (excluding homeopathic preparations) have become prevalent extensively all over the world, and people are increasingly accepting them [31]. Natural products are frequently used for self-medication without the assistance of pharmacists or physicians, and this lack of professional supervision could expose the user to a variety of hazards [31]. It is worth mentioning that the survey features a distorted dichotomic curve above homeopathy (Figure 8). The likely explanation for these results is that the 48 homeopathic specialists clearly prefer their own homeopathic practices as the most effective; however, 53 individuals (31.54%) absolutely reject homeopathic remedies. There are historical reasons for Hungary’s dichotomous strong resistance or positive bias towards homeopathy. This curative branch became part of the medical university education in 1848, under the upcoming Batthyány government, but it was banned during the 1848 War of Independence until the Austro-Hungarian Compromise because it was labeled as an anti-Austrian Habsburg dynasty movement. The Homeopathic Medical Association was founded in 1865, and homeopathic outpatient care began with the establishment of an independent homeopathic hospital (Bethesda Hospital, Budapest). Following that, Hungary was regarded as a stronghold of homeopathy. The socialist government banned homeopathy from 1949 to 1990, citing it as bourgeois medicine [40,41]. According to current regulations, homeopathy can only be practiced with a medical degree, so Hungary has stricter rules than other European Union countries, where a medical degree is not required for homeopathic patient care. The prevalence of homeopathic practice widely varies among European countries, between 1% and ≥10% [42]. Cukaci et al. analyzed the attitude of homeopathic advocates as well as the arguments of skeptics of the practice. Despite the fact that various professional colleges have deemed homeopathy to have the same impact as a placebo, it continues to be practiced in several countries [41,42].
Figure 8.
Subjective relevant application of complementary therapies associated with mental diseases and sleep disorders. Rating zero (0) refers to “There is no need to apply this type of therapy opportunity”. Four (4) refers to “It is very important to apply this therapy opportunity”. The five bar patterns correspond to the five rating levels (0, 1, 2, 3, 4).
Another interesting conclusion related to Figure 8 suggests, largely due to globalization and the streaming of information, the world political-economic situation and ascension of the People’s Republic of China, that the prestige and field of interest of TCM all seem to have a growing tendency. Additionally, TCM also plays an increasingly important role in the healthcare of other countries, with the United States, Europe, and Australia all experiencing a high prevalence of TCM use [43]. According to the relative increases, the prevalence of TCM use for any purpose among the overall population experienced an upward trend from 19.03% in 2011 to 23.91% in 2015, with a relative increase of 25.67% [43]. The statistics of Xu et al. in 2021 imply that the demand for TCM would be greater for the following decades, urging changes to pharmacoepidemiologic monitoring and healthcare policy regarding TCM globally [43]. Other traditional naturopathic and medical practices, such as Ayurveda, Traditional Tibetan and Mongolian Medicine, etc., are thus far not as well known, accepted, and widespread when compared with TCM (Figure 8). Well-represented in the top-selling product, herbs from TCM and Ayurveda are entering the mainstream global market [29].
In summary, the results of the survey illustrate slightly varying opinions, largely due to the apparent views in which several doctors do not generally dissociate themselves from the complementary therapeutic opportunities, while others reject them and lean entirely upon Evidence-Based Medicine guidance. Those who do not outwardly reject complementary possibilities prefer to enroll in professional courses and pursue guidelines in this direction, largely due to their opinion and their professional education, in which there is insufficient information regarding complementary therapies, especially herbal therapies. Moreover, patients are increasingly seeking information from medical staff and showing greater interest in herbal therapies, as evidenced by the rising popularity of TCM and phytotherapy. The divergence between medical professionals’ and patients’ needs to be reduced and could be effectively reduced with the implementation of beneficial and contemporary medical education. In the survey among the Hungarian healthcare workers Valeriana and Melissa products are more suggested and sold than the Hypericum products (Figure 7), but it does not represent the European medical suggestions. Raclariu et al. cited that H. perforatum ranks among the top-selling herbs globally, marketed as OTC products across multiple retail channels, with the herbal product market valued at USD83 billion in 2011, and Europe being the largest segment [44]. Guadagna et al. reports V. officinalis, Matricaria recutita and L. angustifolia as the most commonly used plant extracts for insomnia [45]. This divergence highlights regional healthcare practices, where cultural and practical considerations influence the prominence of specific herbal remedies over others despite broader European trends. The authors provide a concise overview (Table 3) of each recommended herb’s main constituents, therapeutic indications, dosage and administration guidelines, as well as contraindications and precautions [19,46,47,48,49].
Table 3.
The most prevalent herbal ingredients available in Hungarian pharmacies for the treatment of nervous system-related diseases. Abbreviations: MAO—monoamino-oxidase; EMA—European Medicines Agency; GABA—γ-amino-butyric acid; NMDA—N-Methyl-D-aspartate. The referenced information is primarily derived from the European Medicines Agency’s updated scientific monographs, supplemented where appropriate with more recent literature sources.
3.2. Flavonoid and Hypericin Content in Tea Containing Hypericum perforatum
The absorption of the test solution was defined at 425 nm, compared to the compensation solution. The mean absorbance (A) value was 0.385. The mean percentage of flavonoid content expressed in hyperosides was 0.95%, which fits well with the values prescribed by the European Pharmacopoeia, since the written minimum limit is 0.8% [44]. Pharmacopoeia of the People’s Republic of China defines a lower limit of hyperosides (0.1%) in the herb [22]. The total hypericin content was also measured, but the authors could not provide the same result. The absorbance of the test solution was measured at 590 nm compared to the compensation liquid (methanol). Absorbances (A = 0.212 ± 0.01) and weight (0.804 ± 0.002 g) of the drugs of the Hypericum perforatum tea samples obtained from the experiments. The results between 0.036% and 0.0396% were not consistent with the Hungarian and European Pharmacopoeia, since the plant product must contain at least 0.08% total hypericin to ensure pharmaceutical quality. However, the analytic research of Gîtea et al. is much more permissive, setting the minimum value at 0.04% [50]. The United States Pharmacopeia National Formulary requires at least 0.04% combined hypericin and pseudohypericin content in both the herb and the powdered drug [22]. Constantin & Karchesy reported hypericin concentrations in H. perforatum samples from Oregon ranging between 0.03% and 0.38% [51], which also corresponds to our data. Hypericin concentrations in buds and flowers range from 0.06% to 0.75% [50]. Harvesting both the blossomed tops and lower parts of the plant, which is not permitted, can result in concentrations below 0.01% [50]. European data from 1987 to 1998 reports hypericin concentrations ranging from 0.021 to 1.8% [51]. The repeated analysis had consistently low results. The authors assume that a certain Product 1 herbal tea charge available in Hungary contains a lower hypericin content, but not total flavonoids, than the European Pharmacopoeia specification, which depends on storage, the geographical conditions of the harvesting area, or the manufacturing conditions. The discrepancy between measured and labeled concentrations is not unique; Constantin & Karchesy found that hypericin levels in eight commercial H. perforatum supplements ranged from 47% to 165% of their labeled values [51]. As demonstrated by Raclariu et al. (2017), neither TLC nor HPLC–MS can unambiguously identify H. perforatum; while these methods reliably confirm target compounds, they lack sensitivity for infrageneric substitution and provide no information on other plant constituents in products [44].
3.3. Essential Oil Distillation
The mean weight of the tea filter drug content was 1.42 g (±0.048 g), with a range of 1.35–1.51 g. There were quite significant differences (p < 0.01) between the weights of each teabag. It must be noted that both the mean value and individual weight values were mostly below the declared weight of a teabag (1.5 g). The authors hypothesized that this is considering herbal teas in Hungary are not classified as medicines, but rather as foods, and thus regulation and quality control are lax in these cases. Finally, 0.2 mL (0.8 mL/100 g) of essential oil was extracted from 25.02 g of Product 6 and 0.01 mL (0.04 mL/100 g) from 21.33 g of Product 7 (Table 4). The measured values confirmed the calculated difference, which might be due to the fact that Product 6 contains more essential oil-containing herbs. These findings are consistent with Kowalski et al., who reported that dietary supplements generally contain less plant material than herbal teas, and that both teas and supplements yield essential oils below raw material levels, with teas showing similar chemical profiles but quantitative variability among components [52]. Blažeković et al. found that essential oil content in M. recutita teas varied widely (0.75–5.34 mL/kg), with only five loose-leaf samples meeting the European Pharmacopoeia minimum (≥4 mL/kg), while most teabag samples fell short of this requirement [53].
Table 4.
Detailed calculated herbal content of Products 6 and 7 relaxing tea mixtures.
3.4. TLC Examination of Samples Containing Hypericum perforatum and Valeriana officinalis
Comparing the weight of each H. perforatum tea bag (Product 1: 1.85 g ± 0.05 g and Product 6: 1.46 g ± 0.02 g) differs from the exact values written on the label 2.0 g and 1.5 g, respectively, in other experiments as well, due to the hypothesized less rigorous regulation of herbal teas (food category). The authors did not find any comparable description in the literature regarding the difference between the actual measured weight of tea bags and the weight stated on the label; therefore, this study is unique in addressing this issue. As the results of the TLC separation of H. perforatum herbal tea drug components, two flavonoids (rutin and hyperoside) as marker compounds were identified (Figure 9). According to the literature, the standard chromatogram of H. perforatum plant should display colorful fluorescent bands: the lower third should have rutin (yellow), chlorogenic acid (blue), and hyperoside (yellow), while the top third should have hypericin (red), pseudohypericin (red), and quercetin (yellow) [22] (Figure 9).
Figure 9.
TLC examination of Hypericum perforatum herbal tea drug samples (1: Product 1, 6: Product 6) under UV light at 366 nm (JASCO V-530 spectrophotometer, ABL&E-JASCO, Vienna, Austria). The standardized extracts of hyperoside and rutin (ST) was demonstrated as references. Applied mobile phases of layers (A): formic acid: water: ethylic acetate (6:9:90) and (B): ethylic acetate: formic acid: acetic acid: water (100:11:11:27).
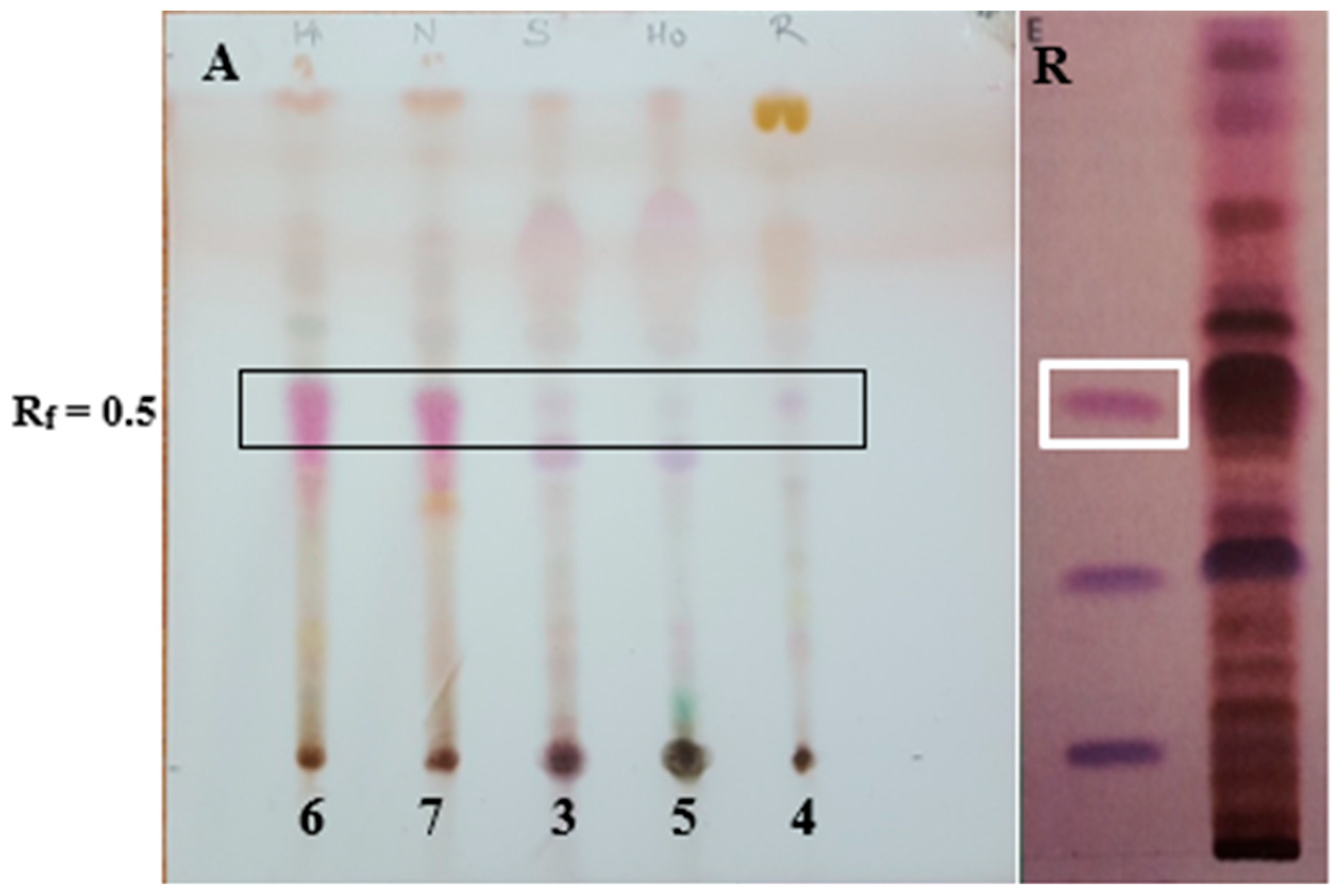
The authors could identify valerenic acid, one of the main active compounds in V. officinalis, in all product samples (Figure 10). According to the intensity of the spots, the approximate quantity of this ingredient was the highest in Product 6 (0.2 g) and Product 7 (0.1 g) tea mixtures; therefore, these products can be recommended due to their qualitative and quantitative features. To achieve the same herbal tea therapeutic effect, the patient should take 3 tablets of Product 3 (0.225 g), min. 2 tablets of Product 5 (0.125 g) and 3 capsules (0.150 g) of Product 4. Even though product packaging recommends 1–2 tablets per day for adults, the results show that it has less therapeutic effect compared to consuming herbal tea with the same weight (1.0 g) as 2–3 tablets. Based on the findings, the authors argue that permissive regulations cause the active ingredient content of dietary supplements to differ significantly from what is expected or indicated on the packaging, which even healthcare workers are frequently unaware of. Sohet et al. demonstrated that the valerenic acid content in commercial preparations (root powder, capsules, tea, tincture) varies widely, with capsules containing between 0.01 and 6.32 mg/g and teas averaging less than 1.0 mg/g [54]. According to Pašić-Kulenović, an analysis of ten different Valeriana products (tinctures, capsules, tablets) marketed in Bosnia revealed considerable variability in valerenic acid levels, underscoring the importance of standardization [55]. Furthermore, Raj et al. reported that a comparison of wild and cultivated V. officinalis populations in Poland showed lower valerenic acid content in wild plants, whereas cultivated varieties exhibited substantial variability, with coefficients of variation ranging from 18% to 55% [56].
Figure 10.
TLC examination of Valerian products under visible light (A). Abbreviations: “6” = Product 6 tea mixture, “7” = Product 7 tea mixture, “3” = Product 3 homeopathic remedy, “5” = Product 5 tablets, “4” = Product 4 capsules. Reagent: Naturstoff-polyethylene glycol (Sigma–Aldrich, St. Louis, MO, USA). Rf = 0.5 of valerenic acid. As a reference chromatogram (R) was obtained by Wagner & Bladt [24].
3.5. TLC Analysis of Atropine Content from Homeopathic Medicine
0.302 ± 0.002 g of each Product 2 homeopathic remedy tablet was processed for TLC. On the chromatogram, atropine standard was detected with an orange color after the development with Dragendorff reagent (Sigma–Aldrich, St. Louis, MO, USA) (Figure 11). In the concentrated sample, the authors could find a band with orange band as well, but it was not consistent with the atropine standard (Figure 11). For further analysis, the samples were sent to the colleagues of the University of Szeged Faculty of Pharmacy for further analysis. The product contained three herbs with alkaloid substances: atropine from Atropa belladonna L. (Solanaceae), aconitine from Aconitum napellus L. (Ranunculaceae); and chelidonine and berberine from Chelidonium majus L. (Papaveraceae). Dragendorff reagent detects nitrogen-containing molecules like alkaloids (e.g., ajamalicine, papaverine, cinchonine, piperine, berberine, etc.) [27], but no substances were detectable from all the above. Probably, other nitrogen-containing solvent pollution caused the reaction in that specific charge, but not in the later bought charges. Unfortunately, all the products were sold in this charge in Hungary, so further chromatographic analysis and identification of this component was not possible. As stated critically by Natalie Grams, the current study demonstrates that homeopathy has been heavily advertised as a gentle medicine free of side effects and in conformity with natural remedies, which is definitely not true [57]. Cukaci et al. indicate that due to the extreme dilutions encountered in homeopathic remedies, it is theoretically impossible for them to contain significant amounts of active agents as described. However, it mentions incidents of manufacturing inconsistencies or contamination in which higher-than-expected levels of active ingredients were discovered [42]. These anomalies point to occasional failures in the dilution process or poor-quality control, which is extremely problematic in the case of the present experiment, since alkaloids can cause severe, even fatal, poisoning even in small doses. In 2017, the FDA reported that certain U.S. homeopathic teething tablets contained belladonna alkaloids (atropine) at levels far exceeding those declared on the label, which could lead to severe adverse effects [58]. This case is also referenced by Habs & Koller. While allopathic medicines consider 0.2 mg of alkaloids safe, a typical daily dose of a homeopathic D4 dilution contains approximately 0.000125 µg—several orders of magnitude lower [58]. However, the aforementioned FDA investigation revealed uncontrolled high levels of belladonna alkaloids in some products. In contrast, Europe applies strict regulation: according to the First Safe Dilution (FSD) concept, dilutions above D7–D9 are regarded as toxicologically negligible (≤0.15 µg/day of active substance) [58]. Nevertheless, detectable amounts were found in the homeopathic product examined in this study, manufactured in France and marketed in Hungary. Schmoll et al. reported a German case study of a 53-year-old male who developed anticholinergic syndrome after ingesting a D4 homeopathic preparation in which approximately 3 mg/mL atropine sulfate was detected—about 600 times higher than the declared concentration of 0.005 mg/mL [59].
Figure 11.
TLC examination of the homeopathic remedy extracts (D—diluted solution, C—concentrated solution) detected in visible light with Dragendorff reagent (Sigma–Aldrich, St. Louis, MO, USA). The deep-orange is the atropine standard (Sigma–Aldrich, St. Louis, MO, USA) (S).
Plants have been used as medicine since ancient times, and herbal teas are considered “nutraceuticals” or “functional food” with flexible legal regulations [19,29,32]. Regulations vary widely according to region and tradition, and many are covered by general legislation for herbal products using different terminology [29]. Herbal medicines are often considered safe by consumers due to their natural composition, but their consistency and safety can be unreliable due to their regulation [32]. Dietary supplements cannot be marketed as therapeutic, medicinal, or pharmacologically valuable, and they can be produced, sold, and marketed without demonstrating safety and efficacy, which is required for pharmaceutical drugs [60]. In many countries, botanical materials for medical use are regulated as drugs with no prescriptions, with permits for these products being premarket authorization based on a preference for their history of traditional use [60]. The safety and efficacy of herbal medicine are often questioned due to contaminants and herb–drug interactions [20,32]. While some herbs have scientific evidence, studies often have poor methodologies and conflicting results [20,32]. Proper dosing and administration are crucial for the safety and efficacy of all drugs, including herbal medicine. This lack of knowledge may lead healthcare professionals to be uncertain about the role of herbal medicine in modern healthcare approaches. Despite controversy, the use of herbal medicine has been increasing, and pharmacists should understand their role in this field [32].
3.6. Limitations
While this study provides novel insights into healthcare professionals’ attitudes toward herbal therapies and offers an analytical evaluation of OTC herbal products in Hungary, certain limitations should be acknowledged. First, the survey sample (n = 168) was restricted to Hungarian healthcare professionals, which may limit the generalizability of findings to other regions with different cultural attitudes and regulatory frameworks. Nevertheless, the sample size is adequate for exploratory research and reflects diverse professional backgrounds. Second, the laboratory analysis focused on seven commonly recommended OTC products. Although this approach ensured representativeness of the most popular items, it does not capture potential variability between different production lots or manufacturers. Future studies could include multiple batches and broader product categories to strengthen conclusions. Third, the analytical methods applied (UV–Vis spectrophotometry and TLC) are well-established for qualitative and semi-quantitative assessments and were appropriate for the study’s scope. However, advanced techniques such as HPLC, LC–MS/MS, or NMR could provide more precise quantification and detect minor constituents [19], which would be valuable for regulatory and pharmacological purposes. Fourth, this research did not aim to evaluate clinical efficacy or safety in real-world settings. While marker compounds were confirmed, therapeutic outcomes and herb–drug interactions were beyond the scope of this study. Future research should incorporate clinical trials and pharmacovigilance studies to establish robust evidence for efficacy and safety. Finally, the survey relied on self-reported data, which may involve recall or social desirability bias. Despite this, the responses offer a realistic snapshot of current professional attitudes and knowledge gaps. Further investigations could employ mixed-method approaches, including interviews or focus groups, to explore underlying reasons for recommendations or hesitancy.
4. Conclusions
Our mixed-methods study shows that phytotherapy is widely acknowledged by Hungarian healthcare professionals for nervous system-related complaints, especially insomnia (85.2%), stress (73.8%) and anxiety (57.7%), and that 86.9% of respondents recommend herbal products in practice. These preferences are reflected in product categories, where herbal teas and traditional herbal medicines are most frequently suggested.
Laboratory analyses of the seven most recommended Hungarian OTC products confirmed target marker compounds by TLC in Hypericum perforatum (rutin, hyperoside) and Valeriana officinalis (valerenic acid). However, we detected substantial quantitative variability: the total hypericin content of a H. perforatum tea fell below Ph. Eur. specifications, aligning with external reports of broad market variability; conversely, flavonoids expressed as hyperoside met pharmacopoeial minimums. Essential oil yields differed markedly between relaxing tea mixtures, consistent with differences in essential oil-containing herb composition. Teabag weights deviated from labeled amounts, indicating lax quality control in food-category herbal teas compared with tighter regulation of traditional herbal medicines. A homeopathic tablet produced an alkaloid-positive band with Dragendorff reagent, not matching the atropine standard, pointing to inconsistencies or contamination risks in certain charges. Given the toxicological relevance of alkaloids, this underscores the need for strict batch-level quality assurance and regulatory vigilance.
Routine batch testing (UV–Vis, TLC; where appropriate HPLC/LC–MS/MS) should be implemented for OTC herbal sedatives to verify marker contents, label compliance (net mass), and consistency across lots. Regulators should address the food vs. medicine categorization gap for herbal teas, harmonizing minimum content and labeling requirements to reduce variability and protect consumers. Clinicians and pharmacists should prefer standardized traditional herbal medicines when predictable dosing is required and proactively counsel patients on contraindications and herb–drug interactions. The documented knowledge gap warrants targeted postgraduate training and accessible evidence-based resources on complementary therapies to align professional practice with patient demand. Future work should expand to multi-batch, multi-manufacturer comparisons with advanced quantitative methods and incorporate clinical trials/pharmacovigilance to link chemical quality to efficacy and safety outcomes.
Author Contributions
T.R. and G.H. conceptualized and designed the study; E.O. was involved in the acquisition of data. The manuscript was initially prepared by T.R. and critically reviewed by all authors. All authors have read and agreed to the published version of the manuscript.
Funding
This research received no external funding.
Institutional Review Board Statement
The study complies with the Declaration of Helsinki (2013 revision). In accordance with the Bioethics Committee of the Medical School, University of Pécs and the Rector’s Order 2/2022 of the University of Pécs, and due to the anonymous nature of the public opinion survey and the absence of sensitive data, no additional regional or national ethics approval was required.
Informed Consent Statement
No personal or sensitive data were collected. Written informed consent was obtained through voluntary completion of the online questionnaire.
Data Availability Statement
Data handling was conducted in compliance with the General Data Protection Regulation (GDPR) of the European Union and the Hungarian Information Act (Act CXII of 2011). The datasets generated and/or analyzed during the current study are available from the corresponding author on reasonable request.
Acknowledgments
The authors express their gratitude to Zsuzsanna Götz, Tímea Bencsik and Nóra Papp (University of Pécs, Faculty of Pharmacy, Department of Pharmacognosy) for the expert advices and laboratory assistance; Dezső Csupor (University of Szeged, Faculty of Pharmacy, Department of Pharmacognosy) and András Sándor Hajnal (University of Pécs, Clinical Centre, Department of Psychiatry and Psychotherapy) for their supportive work in the professional aspect.
Conflicts of Interest
The authors declare no conflicts of interest.
Abbreviations
The following abbreviations are used in this manuscript:
| CE | Capillary Electrophoresis |
| CNS | Central Nervous System |
| EBV | Evidence-Based Medicine |
| EMA | European Medicines Agency |
| GABA | Gamma-Aminobutyric Acid |
| HPLC | High-performance Liquid Chromatography |
| HPTLC | High-performance Thin Layer Chromatography |
| LC-MS | Liquid chromatography–Mass spectrometry |
| MAO-A | Monoamino-oxidase-A |
| NCPHP | National Centre for Public Health and Pharmacy |
| NMR | Nuclear Magnetic Resonance |
| OTC | Over-the-Counter |
| TCM | Traditional Chinese Medicine |
| TLC | Thin Layer Chromatography |
| TLC-SERS | Thin Layer Chromatography-Freeze Surface Enhanced Raman Spectroscopy |
| WHO | World Health Organization |
Appendix A
Survey for Hungarian Medical Professionals—Translated English Version
* Obligatory question
- Sex: *
- ▢
- Male
- ▢
- Female
- Your biological age: *
- ▢
- between 20 and 30
- ▢
- between 31 and 40
- ▢
- between 41 and 50
- ▢
- between 51 and 60
- ▢
- above 60
- Your profession *
- ▢
- Neurosurgeon specialist
- ▢
- Neurologist specialist
- ▢
- Psychiatrist specialist
- ▢
- Family doctor specialist
- ▢
- Medical doctor with other specialization
- ▢
- TCM (Traditional Chinese Medicine) doctor
- ▢
- Pharmacist
- ▢
- Nurse
- ▢
- Midwife
- ▢
- Naturopathist
- ▢
- Other:
- What is your average monthly income in USD? (Please provide the value rounded to the nearest whole number)
- How often do patients inquire with respect to the application of herbal-based products? *
- ▢
- Daily
- ▢
- Weekly several times
- ▢
- Weekly once
- ▢
- Monthly
- ▢
- Rarely
- ▢
- Never
- In reference to herbal medications, do your patients ask you general or targeted questions? *
- ▢
- Absolutely general
- ▢
- Mostly general
- ▢
- Questions have the same ratio.
- ▢
- Mostly targeted
- ▢
- Absolutely targeted
- ▢
- They do not ask me
- In the case of a medical complaint do you suggest herbal products to your patients? *
- ▢
- Yes, I do
- ▢
- No, I do not suggest
- If you do, which nervous system disorders do you suggest a herbal-based product? (You can mark more than one answer!)
- ▢
- Insomnia
- ▢
- Stress
- ▢
- Anxiety
- ▢
- Depression
- ▢
- Psychosomatic symptoms
- ▢
- Mood disorder
- ▢
- Headache and migraine
- ▢
- Chronic fatigue
- ▢
- Memory problems
- ▢
- Other:
- If not, why not?
- 8.
- What types of herbal-based products category do you suggest most often? (You can mark more than one answer!)
- ▢
- Traditional herbal medicine
- ▢
- Medical product not classified as medication
- ▢
- Supplements
- ▢
- Herbal teas
- ▢
- Essential oils
- ▢
- TCM (Traditional Chinese Medicine) products
- ▢
- Other:
- 9.
- What kind of herbal-based products are your patients interested in most often? (You can mark more than one answer!)
- ▢
- Traditional herbal medicine
- ▢
- Medical product not classified as medication
- ▢
- Supplements
- ▢
- Herbal teas
- ▢
- Essential oils
- ▢
- TCM (Traditional Chinese Medicine) products
- ▢
- Other:
- 10.
- During your university studies, how much emphasis was placed on herbal knowledge related to nervous system disorders and contraindications? *
- ▢
- This topic was absolutely neglected.
- ▢
- Rarely but it was mentioned.
- ▢
- I was appropriately informed.
- ▢
- It was slightly overemphasized.
- ▢
- This topic was heavily mentioned.
- 11.
- From which sources and individuals did you receive information regarding herbal products that influence the nervous system? (You can mark more than one answer!) *
- ▢
- Online professional materials
- ▢
- Professional books or magazines
- ▢
- Professional training or courses
- ▢
- Doctor colleague
- ▢
- Pharmacist colleague
- ▢
- Midwife colleague
- ▢
- I have never heard about them
- ▢
- Other:
- Please, answer the following two questions (11. and 12.) only if you have a medical degree:
- 12.
- If you are a doctor, have you ever prescribed herbal-based medicines as magistral formulae?
- ▢
- Yes, I have
- ▢
- No, I have not
- 13.
- If yes, for which indications and which product? (Normal formulae)
- 14.
- Among prescription free herbal-based medicines which one did you suggest in the case of anxiety, insomnia or depression?
- 15.
- In your professional opinion how widely can the herbal-based therapy be applied in medical treatment? *
- 16.
- How relevant do you find the following therapeutic methods in clinical practice? Rate it from 0 to 4. Zero (0) refers to, “There is no need to apply this type of therapy opportunity”. Four (4) refers to, “It is very important to apply this therapy opportunity”. Choose one answer in each line:
| 0 | 1 | 2 | 3 | 4 | |
| Herbalism, phytotherapy | |||||
| Aromatherapy | |||||
| Homeopathy | |||||
| TCM (Traditional Chinese Medicine) | |||||
| Other traditional medical practices |
References
- Chodavadia, P.; Teo, I.; Poremski, D.; Fung, D.S.S.; Finkelstein, E.A. Prevalence and Economic Burden of Depression and Anxiety Symptoms among Singaporean Adults: Results from a 2022 Web Panel. BMC Psychiatry 2023, 23, 104. [Google Scholar] [CrossRef]
- Yuduang, N.; Ong, A.K.S.; Vista, N.B.; Prasetyo, Y.T.; Nadlifatin, R.; Persada, S.F.; Gumasing, M.J.J.; German, J.D.; Robas, K.P.E.; Chuenyindee, T.; et al. Utilizing Structural Equation Modeling–Artificial Neural Network Hybrid Approach in Determining Factors Affecting Perceived Usability of Mobile Mental Health Application in the Philippines. Int. J. Environ. Res. Public Health 2022, 19, 6732. [Google Scholar] [CrossRef]
- Depressive Disorder (Depression). Available online: https://www.who.int/news-room/fact-sheets/detail/depression (accessed on 15 April 2024).
- Cui, L.; Li, S.; Wang, S.; Wu, X.; Liu, Y.; Yu, W.; Wang, Y.; Tang, Y.; Xia, M.; Li, B. Major Depressive Disorder: Hypothesis, Mechanism, Prevention and Treatment. Signal Transduct. Target. Ther. 2024, 9, 30. [Google Scholar] [CrossRef]
- Depression and Other Common Mental Disorders. Available online: https://www.who.int/publications/i/item/depression-global-health-estimates (accessed on 15 April 2024).
- Anxiety Disorders. Available online: https://www.who.int/news-room/fact-sheets/detail/anxiety-disorders (accessed on 15 April 2024).
- Alonso, J.; Liu, Z.; Evans-Lacko, S.; Sadikova, E.; Sampson, N.; Chatterji, S.; Abdulmalik, J.; Aguilar-Gaxiola, S.; Al-Hamzawi, A.; Andrade, L.H.; et al. Treatment Gap for Anxiety Disorders Is Global: Results of the World Mental Health Surveys in 21 Countries. Depress. Anxiety 2018, 35, 195–208. [Google Scholar] [CrossRef]
- Constable, P.A.; Al-Dasooqi, D.; Bruce, R.; Prem-Senthil, M. A Review of Ocular Complications Associated with Medications Used for Anxiety, Depression, and Stress. Clin. Optom. 2022, 14, 13–25. [Google Scholar] [CrossRef]
- Mohammadi, M.R.; Pourdehghan, P.; Mostafavi, S.A.; Hooshyari, Z.; Ahmadi, N.; Khaleghi, A. Generalized Anxiety Disorder: Prevalence, Predictors, and Comorbidity in Children and Adolescents. J. Anxiety Disord. 2020, 73, 102234. [Google Scholar] [CrossRef] [PubMed]
- Tian, H.; Hu, Z.; Xu, J.; Wang, C. The Molecular Pathophysiology of Depression and the New Therapeutics. MedComm 2022, 3, e156. [Google Scholar] [CrossRef] [PubMed]
- Garefelt, J.; Platts, L.G.; Hyde, M.; Magnusson Hanson, L.L.; Westerlund, H.; Åkerstedt, T. Reciprocal Relations between Work Stress and Insomnia Symptoms: A Prospective Study. J. Sleep Res. 2020, 29, e12949. [Google Scholar] [CrossRef]
- Levenson, J.C.; Kay, D.B.; Buysse, D.J. The Pathophysiology of Insomnia. Chest 2015, 147, 1179. [Google Scholar] [CrossRef] [PubMed]
- Krystal, A.D.; Prather, A.A.; Ashbrook, L.H. The Assessment and Management of Insomnia: An Update. World Psychiatry 2019, 18, 337. [Google Scholar] [CrossRef]
- Creado, S.; Plante, D.T. An Update on the Use of Sedative-Hypnotic Medications in Psychiatric Disorders. Curr. Psychiatry Rep. 2016, 18, 78. [Google Scholar] [CrossRef]
- Ma, T.T.; Wang, Z.; Qin, X.; Ju, C.; Lau, W.C.Y.; Man, K.K.C.; Castle, D.; Chang, W.C.; Chan, A.Y.L.; Cheung, E.C.L.; et al. Global Trends in the Consumption of Benzodiazepines and Z-Drugs in 67 Countries and Regions from 2008 to 2018: A Sales Data Analysis. Sleep 2023, 46, zsad124. [Google Scholar] [CrossRef]
- Griffin, C.E.; Kaye, A.M.; Rivera Bueno, F.; Kaye, A.D. Benzodiazepine Pharmacology and Central Nervous System–Mediated Effects. Ochsner J. 2013, 13, 214. [Google Scholar] [PubMed]
- Baranwal, N.; Yu, P.K.; Siegel, N.S. Sleep Physiology, Pathophysiology, and Sleep Hygiene. Prog. Cardiovasc. Dis. 2023, 77, 59–69. [Google Scholar] [CrossRef] [PubMed]
- Cooke, M.; Ritmala-Castrén, M.; Dwan, T.; Mitchell, M. Effectiveness of Complementary and Alternative Medicine Interventions for Sleep Quality in Adult Intensive Care Patients: A Systematic Review. Int. J. Nurs. Stud. 2020, 107, 103582. [Google Scholar] [CrossRef]
- Rák, T.; Csutak, A. Complementary Practices in Pharmacy and Their Relation to Glaucoma—Classification, Definitions, and Limitations. Sci. Pharm. 2024, 92, 16. [Google Scholar] [CrossRef]
- Kovács-Valasek, A.; Rák, T.; Pöstyéni, E.; Csutak, A.; Gábriel, R. Three Major Causes of Metabolic Retinal Degenerations and Three Ways to Avoid Them. Int. J. Mol. Sci. 2023, 24, 8728. [Google Scholar] [CrossRef]
- European Directorate for the Quality of Medicines & HealthCare (EDQM). European Pharmacopoeia, 11th ed.; Council of Europe: Strasbourg, France, 2023; ISBN 978-92-871-9059-4. [Google Scholar]
- Agapouda, A.; Booker, A.; Kiss, T.; Hohmann, J.; Heinrich, M.; Csupor, D. Quality Control of Hypericum perforatum L. Analytical Challenges and Recent Progress. J. Pharm. Pharmacol. 2019, 71, 15–37. [Google Scholar] [CrossRef]
- Anyżewska, M.; Kowalczuk, A.; Łozak, A.; Jabłczyńska, R.; Fijałek, Z. Determination of Total Hypericins in St. John’s Wort and Herbal Medicinal Products. Acta Pol. Pharm. 2010, 67, 586–592. [Google Scholar]
- Wagner, H.; Bladt, S. Plant Drug Analysis. A Thin Layer Chromatography Atlas, 2nd ed.; Springer: Berlin/Heidelberg, Germany, 1996; ISBN 978-3642005732. [Google Scholar]
- Houghton, P.J.; Raman, A. Laboratory Handbook for the Fractionation of Natural Extracts, 1st ed.; Springer: New York, NY, USA, 1998. [Google Scholar]
- Harborne, J.B. Phytochemical Methods: A Guide to Modern Techniques of Plant Analysis, 3rd ed.; Springer: Dordrecht, The Netherlands, 1998; ISBN 9780412572609. [Google Scholar]
- Sreevidya, N.; Mehrotra, S. Spectrophotometric Method for Estimation of Alkaloids Precipitable with Dragendorff’s Reagent in Plant Materials. J. AOAC Int. 2003, 86, 1124–1127. [Google Scholar] [CrossRef]
- Al-Sayegh, H.; Zein, M.; Jaber, A.; Ibrahim, G.; Cheble, E. Quantification of Atropine and Scopolamine in Different Plant Organs of Datura Metel: Development and Validation of High-Performance Liquid Chromatography Method. J. Clin. Lab. Res. 2021, 3, 1–9. [Google Scholar] [CrossRef]
- Williamson, E.M.; Liu, X.; Izzo, A.A. Trends in Use, Pharmacology, and Clinical Applications of Emerging Herbal Nutraceuticals. Br. J. Pharmacol. 2020, 177, 1227–1240. [Google Scholar] [CrossRef]
- Kennedy, J.; Wang, C.C.; Wu, C.H. Patient Disclosure about Herb and Supplement Use among Adults in the US. Evid.-Based Complement. Altern. Med. 2008, 5, 451–456. [Google Scholar] [CrossRef]
- Al-Arifi, M.N. Availability and Needs of Herbal Medicinal Information Resources at Community Pharmacy, Riyadh Region, Saudi Arabia. Saudi Pharm. J. SPJ 2013, 21, 351. [Google Scholar] [CrossRef] [PubMed]
- Carr, A.; Santanello, C. Pharmacists’ Knowledge, Perceptions, and Practices Regarding Herbal Medicine. Inov. Pharm. 2019, 10, 15. [Google Scholar] [CrossRef]
- Dores, A.R.; Peixoto, M.; Castro, M.; Sá, C.; Carvalho, I.P.; Martins, A.; Maia, E.; Praça, I.; Marques, A. Knowledge and Beliefs about Herb/Supplement Consumption and Herb/Supplement–Drug Interactions among the General Population, Including Healthcare Professionals and Pharmacists: A Systematic Review and Guidelines for a Smart Decision System. Nutrients 2023, 15, 2298. [Google Scholar] [CrossRef] [PubMed]
- Soltanipour, S.; Keihanian, F.; Saeidinia, A. Knowledge, Attitude and Practice of Physicians towards Herbal Remedies in Rasht, North of Iran. Medicine 2022, 101, E31762. [Google Scholar] [CrossRef]
- Stanojević-Ristić, Z.; Mrkić, I.; Ćorac, A.; Dejanović, M.; Mitić, R.; Vitković, L.; Rašić, J.; Valjarević, D.; Valjarević, A. Healthcare Professionals’ Knowledge and Behaviors Regarding Drug–Dietary Supplement and Drug–Herbal Product Interactions. Int. J. Environ. Res. Public Health 2022, 19, 4290. [Google Scholar] [CrossRef]
- Nahin, R.L.; Barnes, P.M.; Stussman, B.J. Expenditures on Complementary Health Approaches: United States, 2012. In National Health Statistics Reports; National Center for Health Statistics: Hyattsville, MD, USA, 2016. [Google Scholar]
- Harnett, J.E.; Mcintyre, E.; Steel, A.; Foley, H.; Sibbritt, D.; Adams, J. Use of Complementary Medicine Products: A Nationally Representative Cross-Sectional Survey of 2019 Australian Adults. BMJ Open 2019, 9, e024198. [Google Scholar] [CrossRef]
- Clement, Y.N.; Williams, A.F.; Khan, K.; Bernard, T.; Bhola, S.; Fortuné, M.; Medupe, O.; Nagee, K.; Seaforth, C.E. A Gap between Acceptance and Knowledge of Herbal Remedies by Physicians: The Need for Educational Intervention. BMC Complement. Altern. Med. 2005, 5, 20. [Google Scholar] [CrossRef]
- Abudalo, R.; Abudalo, R.; Alqudah, A.; Abuqamar, A.; Abdelaziz, A.; Alshawabkeh, M.; Taha, L. Pharmacy Practitioners’ Practice, Awareness and Knowledge about Herbal Products and Their Potential Interactions with Cardiovascular Drugs. F1000Research 2022, 11, 912. [Google Scholar] [CrossRef]
- Rák, T.; Csutak, A. The Legacy of Ignác Péczely: From Coloboma to Artificial Intelligence. Orv. Hetil. 2024, 165, 872–880. [Google Scholar] [CrossRef]
- Rák, T.; Hegedűs, A.; Molnár, E.; Csutak, A. Translation and Cultural Adaptation of the I-CAM-Q: The First Hungarian Version for Assessing Complementary and Alternative Medicine Use. BMC Complement. Med. Ther. 2025; ahead of print. [Google Scholar] [CrossRef]
- Cukaci, C.; Freissmuth, M.; Mann, C.; Marti, J.; Sperl, V. Against All Odds—The Persistent Popularity of Homeopathy. Wien. Klin. Wochenschr. 2020, 132, 232. [Google Scholar] [CrossRef]
- Xu, L.; Hu, J.; Liu, L.; Zhan, S.; Wang, S. Trends and Patterns in Traditional Chinese Medicine Use Among Chinese Population in Late Adulthood: An Eight-Year Repeated Panel Survey. Am. J. Chin. Med. 2021, 49, 269–283. [Google Scholar] [CrossRef] [PubMed]
- Raclariu, A.C.; Paltinean, R.; Vlase, L.; Labarre, A.; Manzanilla, V.; Ichim, M.C.; Crisan, G.; Brysting, A.K.; De Boer, H. Comparative Authentication of Hypericum Perforatum Herbal Products Using DNA Metabarcoding, TLC and HPLC-MS. Sci. Rep. 2017, 7, 1291. [Google Scholar] [CrossRef]
- Guadagna, S.; Barattini, D.F.; Rosu, S.; Ferini-Strambi, L. Plant Extracts for Sleep Disturbances: A Systematic Review. Evid.-Based Complement. Altern. Med. 2020, 2020, 3792390. [Google Scholar] [CrossRef]
- Fonseca, L.R.d.; Rodrigues, R.d.A.; Ramos, A.d.S.; Da Cruz, J.D.; Ferreira, J.L.P.; Silva, J.R.d.A.; Amaral, A.C.F. Herbal Medicinal Products from Passiflora for Anxiety: An Unexploited Potential. Sci. World J. 2020, 2020, 6598434. [Google Scholar] [CrossRef]
- López, V.; Nielsen, B.; Solas, M.; Ramírez, M.J.; Jäger, A.K. Exploring Pharmacological Mechanisms of Lavender (Lavandula angustifolia) Essential Oil on Central Nervous System Targets. Front. Pharmacol. 2017, 8, 280. [Google Scholar] [CrossRef] [PubMed]
- Kenda, M.; Kočevar Glavač, N.; Nagy, M.; Sollner Dolenc, M. Medicinal Plants Used for Anxiety, Depression, or Stress Treatment: An Update. Molecules 2022, 27, 6021. [Google Scholar] [CrossRef]
- Patočka, J.; Jakl, J. Biomedically Relevant Chemical Constituents of Valeriana Officinalis. J. Appl. Biomed. 2010, 8, 11–18. [Google Scholar] [CrossRef]
- Gîtea, D.; Sipos, M.; Mircea, T.; Pasca, B. The Analysis of Alcoholic Extracts of Hypericum Species by UV/VIS Spectrophotometry. Analele Univ. din Oradea Fasc. Biol. 2010, 17, 111–115. [Google Scholar]
- Constantine, G.H.; Karchesy, J. Variations in Hypericin Concentrations in Hypericum perforatum L. and Commercial Products. Pharm. Biol. 1998, 36, 365–367. [Google Scholar] [CrossRef]
- Kowalski, R.; Baj, T.; Kowalska, G.; Pankiewicz, U. Estimation of Potential Availability of Essential Oil in Some Brands of Herbal Teas and Herbal Dietary Supplements. PLoS ONE 2015, 10, e0130714. [Google Scholar] [CrossRef]
- Blažeković, B.; Čičin-Mašansker, I.J.; Kindl, M.; Mahovlić, L.; Vladimir-Knežević, S. Chemometrically-Supported Quality Assessment of Chamomile Tea. Acta Pharm. 2025, 75, 331–355. [Google Scholar] [CrossRef]
- Shohet, D.; Wills, R.B.H.; Stuart, D.L. Valepotriates and Valerenic Acids in Commercial Preparations of Valerian Available in Australia. Pharmazie 2001, 56, 860–863. [Google Scholar]
- Pašić-Kulenović, M.; Behlulović, B.; Alagić-Džambić, L. Quantitative Analysis of Valerenic Acid in Herbal Products on Bosnian Market Using HPLC Method. Eur. J. Pharm. Andm. Res. 2018, 5, 100–103. [Google Scholar]
- Raj, K.; Węglarz, Z.; Przybył, J.L.; Kosakowska, O.; Pawełczak, A.; Gontar, Ł.; Puchta-Jasińska, M.; Bączek, K.; Raj, K.; Węglarz, Z.; et al. Chemical Diversity of Wild-Growing and Cultivated Common Valerian (Valeriana officinalis L. s.l.) Originating from Poland. Molecules 2023, 29, 112. [Google Scholar] [CrossRef]
- Grams, N. Homeopathy—Where Is the Science? EMBO Rep. 2019, 20, e47761. [Google Scholar] [CrossRef]
- Habs, M.; Koller, M. Material Risks of Homeopathic Medicinal Products: Regulatory Frameworks, Results of Preclinical Toxicology, and Clinical Meta-Analyses and Their Implications. Complement. Med. Res. 2021, 28, 64–84. [Google Scholar] [CrossRef]
- Schmoll, S.; Romanek, K.; Zorn, G.; Eiglmeier, H.; Eyer, F. Anticholinergic Syndrome after Atropine Overdose in a Supposedly Homeopathic Solution: A Case Report. Clin. Toxicol. 2022, 60, 252–254. [Google Scholar] [CrossRef] [PubMed]
- Kim, N.-C. Need for Pharmacopeial Quality Standards for Botanical Dietary Supplements and Herbal Medicines. Food Suppl. Biomater. Health 2021, 1, e10. [Google Scholar] [CrossRef]
Disclaimer/Publisher’s Note: The statements, opinions and data contained in all publications are solely those of the individual author(s) and contributor(s) and not of MDPI and/or the editor(s). MDPI and/or the editor(s) disclaim responsibility for any injury to people or property resulting from any ideas, methods, instructions or products referred to in the content. |
© 2026 by the authors. Published by MDPI on behalf of the Österreichische Pharmazeutische Gesellschaft. Licensee MDPI, Basel, Switzerland. This article is an open access article distributed under the terms and conditions of the Creative Commons Attribution (CC BY) license.










