Intraosseous Pneumatocysts of the Scapula Mimicking Bone Tumors: A Report of Two Rare Cases Along with Elucidation of Their Etiology
Abstract
1. Introduction
2. Case Report
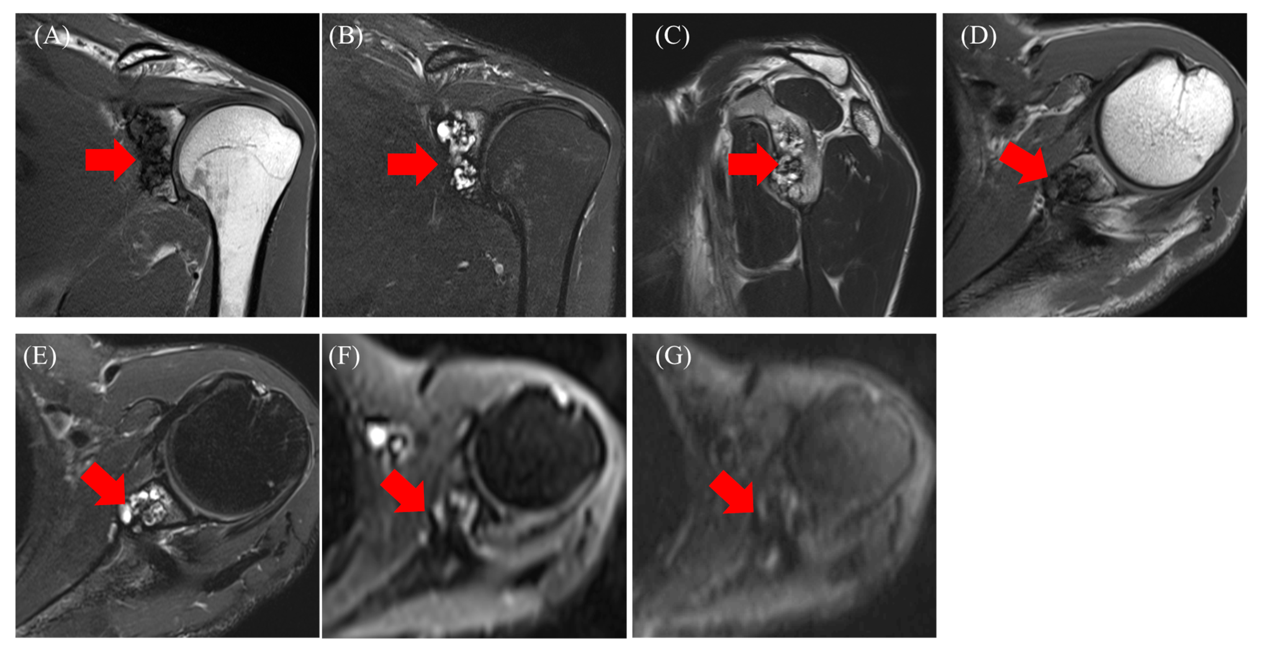
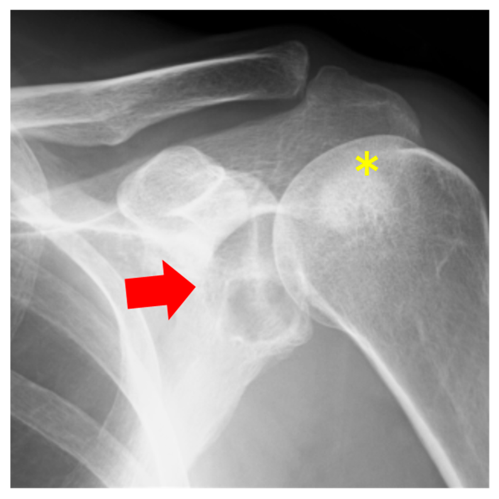
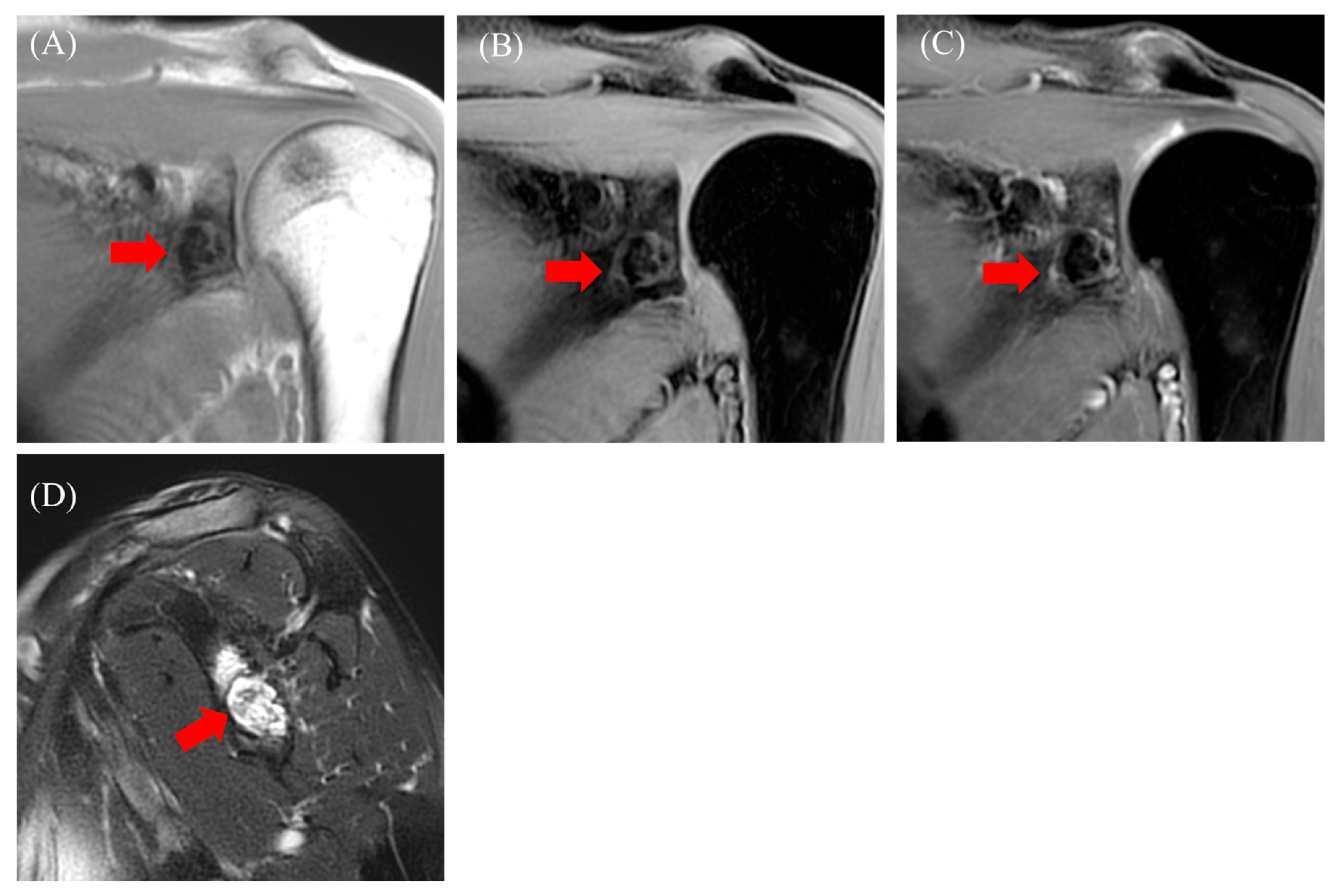
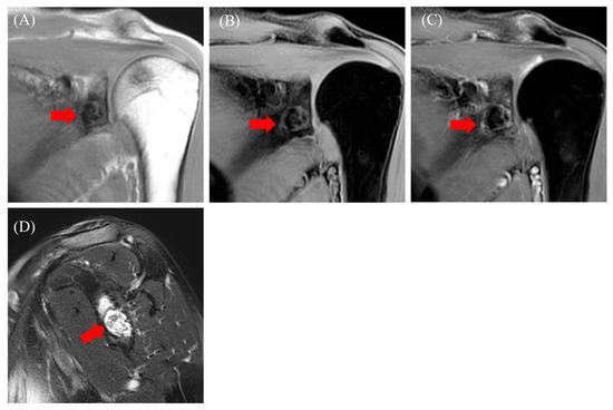
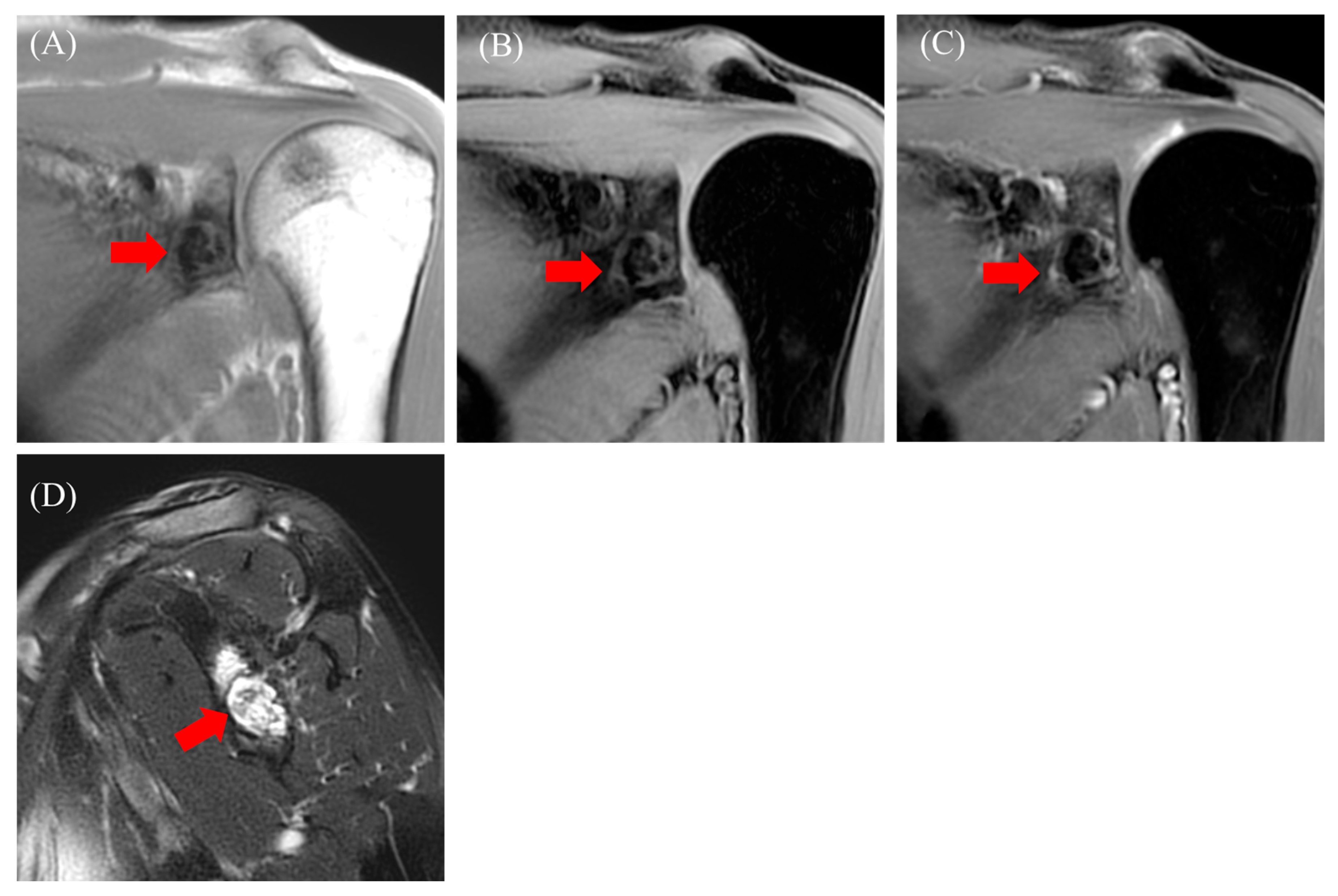
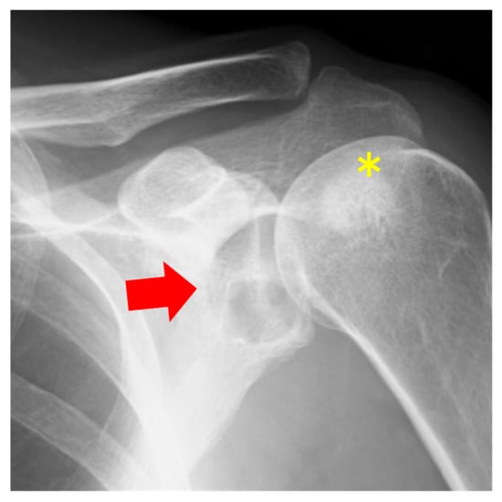
2.1. Case 1
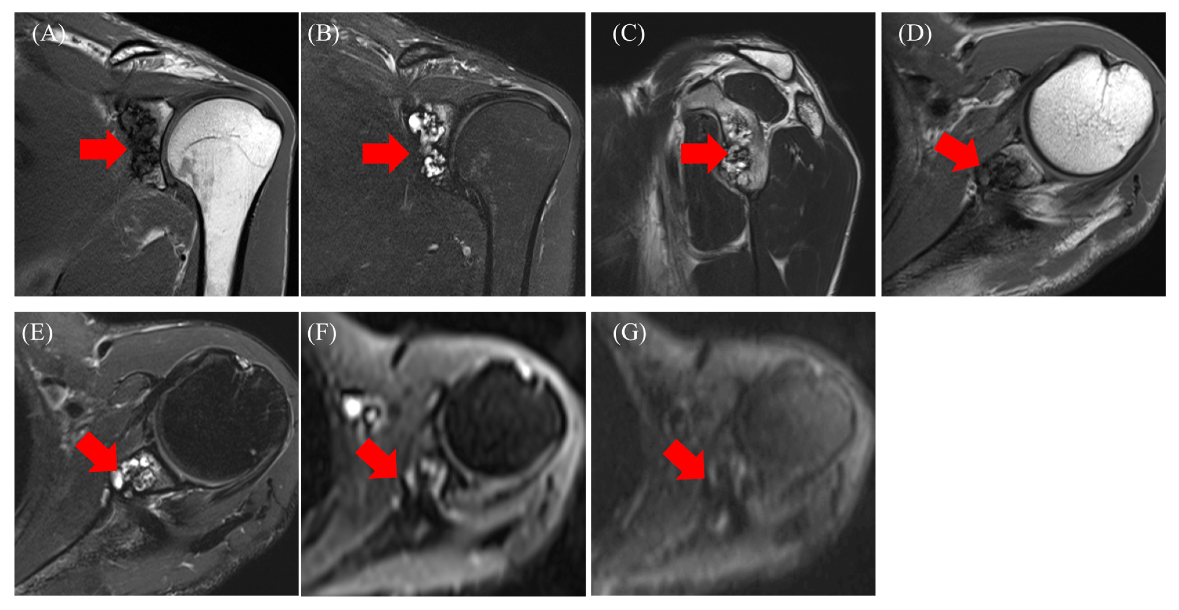
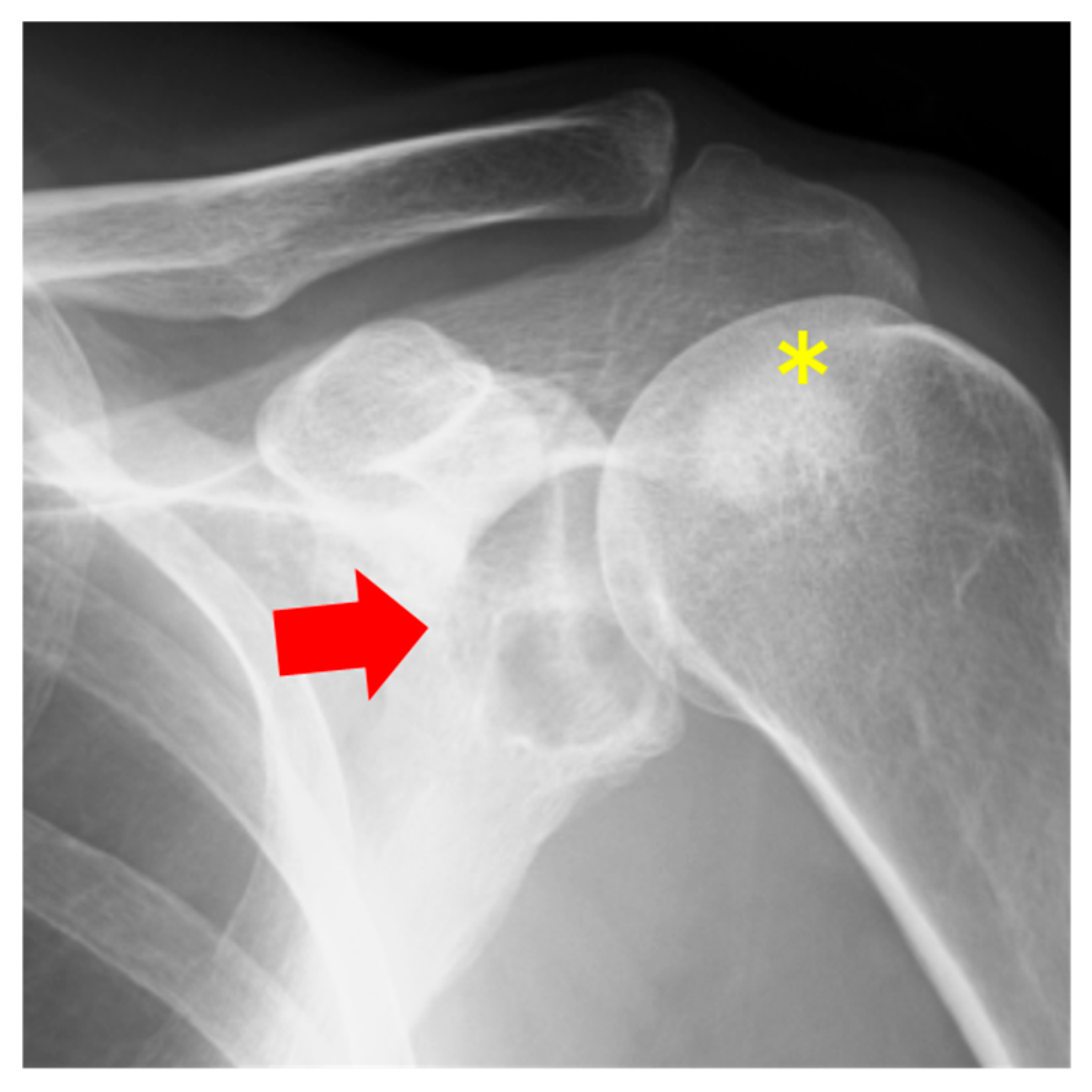
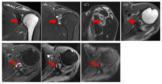
2.2. Case 2
3. Results and Discussion
4. Conclusions
Author Contributions
Funding
Institutional Review Board Statement
Informed Consent Statement
Data Availability Statement
Acknowledgments
Conflicts of Interest
Abbreviations
| MRI | magnetic resonance imaging |
| CT | computed tomography |
| FD | fibrous dysplasia |
| SBC | solitary bone cyst |
References
- Oehler, E.; Valour, F.; Pascart, T. Intraosseous pneumatocysts: A case based review. Clin. Rheumatol. 2013, 32, 129–134. [Google Scholar] [CrossRef] [PubMed]
- Garg, K.; Dash, A.; Aggarwal, A.; Duetzmann, S. Vertebral Pneumatocyst—A Systematic Review. World Neurosurg. 2021, 151, 77–86. [Google Scholar] [CrossRef]
- Southi, J.T.; Estephan, T.; Mitchelle, A.; Loneragan, R. Intraosseous pneumatocyst of the scapula: A case report. Radiol. Case Rep. 2024, 19, 4599–4603. [Google Scholar] [CrossRef] [PubMed]
- Kamba, M.; Ohuchi, Y.; Ogawa, T.; Ohata, R. Intraosseous pneumatocyst of the scapula. Br. J. Radiol. 2000, 73, 658–660. [Google Scholar] [CrossRef]
- Ramirez, H., Jr.; Blatt, E.S.; Cable, H.F.; McComb, B.L.; Zornoza, J.; Hibri, N.S. Intraosseous pneumatocysts of the ilium. Findings on radiographs and CT scans. Radiology 1984, 150, 503–505. [Google Scholar] [CrossRef]
- Matsukubo, Y.; Kashiwagi, N.; Uemura, M.; Tatsumi, S.; Takahashi, H.; Hyodo, T.; Tomiyama, N.; Ashikaga, R.; Ishii, K.; Murakami, T. Intravertebral pneumatocysts of the cervical spine. Neuroradiology 2013, 55, 1341–1344. [Google Scholar] [CrossRef]
- Coulier, B. The spectrum of vacuum phenomenon and gas in spine. Jbr-btr 2004, 87, 9–16. [Google Scholar] [PubMed]
- Yoshida, H.; Shinomiya, K.; Nakai, O.; Kurosa, Y.; Yamaura, I. Lumbar nerve root compression caused by lumbar intraspinal gas. Report of three cases. Spine 1997, 22, 348–351. [Google Scholar] [CrossRef]
- Arslan, G.; Ceken, K.; Cubuk, M.; Ozkaynak, C.; Lüleci, E. Vertebral pneumatocysts. Acta Radiol. 2001, 42, 20–23. [Google Scholar] [CrossRef]
- Laufer, L.; Schulman, H.; Hertzanu, Y. Vertebral pneumatocyst. A case report. Spine 1996, 21, 389–391. [Google Scholar] [CrossRef]
- Steingruber, I.E.; Bach, C.M.; Wimmer, C.; Nogler, M.; Buchberger, W. Multisegmental pneumatocysts of the lumbar spine mimic osteolytic lesions. Eur. Radiol. 2001, 11, 845–848. [Google Scholar] [CrossRef] [PubMed]
- Hertzanu, Y.; Bar-Ziv, J. Case report 606: Gas-filled subchondral cyst of ilium secondary to osteoarthritis of the sacroiliac joint. Skeletal Radiol. 1990, 19, 225–226. [Google Scholar] [CrossRef]
- Hahn, P.F.; Rosenthal, D.I.; Ehrlich, M.G. Case report 286: Gas within a solitary bone cyst of the proximal end of the left humerus. Skeletal Radiol. 1984, 12, 214–217. [Google Scholar] [CrossRef] [PubMed]
- Weinberg, S.; Schneider, H. Case report 211. Skeletal Radiol. 1982, 9, 61–63. [Google Scholar] [CrossRef]
- Siddiqui, N.A.; Almusa, E.; Britton, C.A. Cervical spine pneumatocyst: Case report and review of the literature. J. Musculoskel Res. 2010, 13, 147–151. [Google Scholar] [CrossRef]
- Sharif, B.; Lindsay, D.; Saifuddin, A. Update on the imaging features of the enchondromatosis syndromes. Skeletal Radiol. 2022, 51, 747–762. [Google Scholar] [CrossRef]
- Noordin, S.; Allana, S.; Umer, M.; Jamil, M.; Hilal, K.; Uddin, N. Unicameral bone cysts: Current concepts. Ann. Med. Surg. 2018, 34, 43–49. [Google Scholar] [CrossRef]
- Shah, Z.K.; Peh, W.C.; Koh, W.L.; Shek, T.W. Magnetic resonance imaging appearances of fibrous dysplasia. Br. J. Radiol. 2005, 78, 1104–1115. [Google Scholar] [CrossRef]
- Kaiser, C.L.; Yeung, C.M.; Raskin, K.; Gebhardt, M.C.; Anderson, M.E.; Lozano-Calderón, S.A. Tumors of the scapula: A retrospective analysis identifying predictors of malignancy. Surg. Oncol. 2020, 32, 18–22. [Google Scholar] [CrossRef]
- Khan, I.S.; Spiro, A.S.; Rueger, J.M.; Priemel, M. Advanced Unilateral Fibrous Dysplasia of the Scapula: A Rare Clinical Entity and Surgical Challenge. J. Orthop. Case Rep. 2018, 8, 95–99. [Google Scholar] [CrossRef]
- Woltsche, J.N.; Smolle, M.; Szolar, D.; Bergovec, M.; Leithner, A. Prevalence and characteristics of benign cartilaginous tumours of the shoulder joint. An MRI-based study. Skeletal Radiol. 2024, 53, 59–66. [Google Scholar] [CrossRef] [PubMed]
- Jain, S.K.; Nathan, S.S. An unusual presentation of a simple bone cyst in the scapula. Musculoskelet. Surg. 2012, 96, 227–231. [Google Scholar] [CrossRef] [PubMed]
- Kitagawa, T.; Fujiwara, A.; Tamai, K.; Kobayashi, N.; Saiki, K.; Omata, S.; Saotome, K. Enlarging vertebral body pneumatocysts in the cervical spine. AJNR Am. J. Neuroradiol. 2003, 24, 1707–1710. [Google Scholar] [PubMed]
- Wilkinson, V.H.; Carroll, T.; Hoggard, N. Contrasting natural histories of thoracic spine pneumatocysts: Resolution versus rapid enlargement. Br. J. Radiol. 2011, 84, e79–e82. [Google Scholar] [CrossRef]
- Nakayama, T.; Ehara, S.; Hama, H. Spontaneous progression of vertebral intraosseous pneumatocysts to fluid-filled cysts. Skeletal Radiol. 2001, 30, 523–526. [Google Scholar] [CrossRef]
- Nakagawa, T.; Kawano, H.; Kubota, T. Solitary bone cyst of the cervical spine—Case report. Neurol. Med. Chir. 1994, 34, 558–560. [Google Scholar] [CrossRef]
- Hoover, J.M.; Wenger, D.E.; Eckel, L.J.; Krauss, W.E. Cervical pneumatocyst. J. Neurosurg. Spine 2011, 15, 332–335. [Google Scholar] [CrossRef]
- Dash, A.; Garg, K.; Agrawal, M.; Garg, A.; Sharma, M.C.; Chandra, P.S. Enlarging cervical vertebral pneumatocyst—A case report. Clin. Neurol. Neurosurg. 2021, 201, 106431. [Google Scholar] [CrossRef]






Disclaimer/Publisher’s Note: The statements, opinions and data contained in all publications are solely those of the individual author(s) and contributor(s) and not of MDPI and/or the editor(s). MDPI and/or the editor(s) disclaim responsibility for any injury to people or property resulting from any ideas, methods, instructions or products referred to in the content. |
© 2025 by the authors. Licensee MDPI, Basel, Switzerland. This article is an open access article distributed under the terms and conditions of the Creative Commons Attribution (CC BY) license (https://creativecommons.org/licenses/by/4.0/).
Share and Cite
Ichikawa, J.; Wako, M.; Kawasaki, T.; Ochiai, S.; Hagino, T.; Taniguchi, N.; Mitsui, K.; Onohara, K. Intraosseous Pneumatocysts of the Scapula Mimicking Bone Tumors: A Report of Two Rare Cases Along with Elucidation of Their Etiology. Diseases 2025, 13, 170. https://doi.org/10.3390/diseases13060170
Ichikawa J, Wako M, Kawasaki T, Ochiai S, Hagino T, Taniguchi N, Mitsui K, Onohara K. Intraosseous Pneumatocysts of the Scapula Mimicking Bone Tumors: A Report of Two Rare Cases Along with Elucidation of Their Etiology. Diseases. 2025; 13(6):170. https://doi.org/10.3390/diseases13060170
Chicago/Turabian StyleIchikawa, Jiro, Masanori Wako, Tomonori Kawasaki, Satoshi Ochiai, Tetsuo Hagino, Naofumi Taniguchi, Kouhei Mitsui, and Kojiro Onohara. 2025. "Intraosseous Pneumatocysts of the Scapula Mimicking Bone Tumors: A Report of Two Rare Cases Along with Elucidation of Their Etiology" Diseases 13, no. 6: 170. https://doi.org/10.3390/diseases13060170
APA StyleIchikawa, J., Wako, M., Kawasaki, T., Ochiai, S., Hagino, T., Taniguchi, N., Mitsui, K., & Onohara, K. (2025). Intraosseous Pneumatocysts of the Scapula Mimicking Bone Tumors: A Report of Two Rare Cases Along with Elucidation of Their Etiology. Diseases, 13(6), 170. https://doi.org/10.3390/diseases13060170

