Surgical Treatment of Lithiasis of the Main Pancreatic Duct: A Challenging Case and a Literature Review
Abstract
1. Introduction
2. Case Report
- Abdominal ultrasonography: Liver with homogeneous structure, without intrahepatic bile duct (IHBD) dilatations, distended gallbladder 10.8/3.2 cm, without stones, common bile duct (CBD) of approximately 7 mm. Pancreas with Wirsung duct visibly dilated up to 13 mm with multiple hyperechoic images, and cephalic pancreatic region increased with inhomogeneous structure and multiple calcifications. Multiple infracentimeter transonic formations at the level of the cephalopancreatic region.
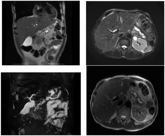
 - Magnetic resonance cholangiopancreatography (Cholangio-MR): Destructuralized, inhomogeneous pancreas with fine inflammatory changes at the cephalopancreatic level; retrograde dilation of the Wirsung canal up to 15 mm above the isthmic segment with inhomogeneous content, and several stones of 1 cm diameter with obstructive pattern. Without dilatation of intrahepatic bile ducts. No hypo/hyperabsorbing areas suggestive of malignancy (Figure 2).
 
3. Case Outcome
3.1. Treatment Plan
3.2. Surgical Intervention
3.3. Operative Steps
3.4. Actual Outcome
3.5. Follow-Up
4. Discussion
Literature Review
- Local complications (complications involving the biliopancreatic complex)
 
- B.
 - Systemic complications
 
- The early identification of risk factors and the establishment of a patient screening system.
 - The standardization of an accurate diagnostic method in pancreaticolithiasis. Ideally, this method should have the highest sensitivity and specificity and the lowest risk.
 - To identify and implement an effective treatment for patients with pancreaticolithiasis.
 - The stratification of patients using an algorithm and the application of a step-up personalized treatment.
 - Encouraging reporting in the registries of each center and country and publication in the literature via articles, which brings with it the dissemination of expert information and adds value to the management of patients with pancreaticolithiasis.
 
5. Conclusions
Author Contributions
Funding
Institutional Review Board Statement
Informed Consent Statement
Data Availability Statement
Conflicts of Interest
References
- Mukherjee, S. Physiology, Pancreas; StatPearls Publishing: Treasure Island, FL, USA, 2024. [Google Scholar]
 - A-Kader, H.H.; Ghishan, F.K. The Pancreas. In Textbook of Clinical Pediatrics; Elzouki, A.Y., Harfi, H.A., Nazer, H.M., Stapleton, F.B., Oh, W., Whitley, R.J., Eds.; Springer: Berlin/Heidelberg, Germany, 2012; pp. 1925–1936. ISBN 978-3-642-02201-2. [Google Scholar]
 - Peery, A.F.; Crockett, S.D.; Murphy, C.C.; Jensen, E.T.; Kim, H.P.; Egberg, M.D.; Lund, J.L.; Moon, A.M.; Pate, V.; Barnes, E.L.; et al. Burden and Cost of Gastrointestinal, Liver, and Pancreatic Diseases in the United States: Update 2021. Gastroenterology 2022, 162, 621–644. [Google Scholar] [CrossRef]
 - Vege, S.S.; Chari, S.T. Chronic Pancreatitis. N. Engl. J. Med. 2022, 386, 869–878. [Google Scholar] [CrossRef] [PubMed]
 - Brock, C. Pathophysiology of Chronic Pancreatitis. World J. Gastroenterol. 2013, 19, 7231. [Google Scholar] [CrossRef] [PubMed]
 - Gnecco, J.; Brown, L.K.; Boregowda, U.; Abidali, H.; Saligram, S.; Rosenkranz, L.; Patel, S.; Haluskza, O.; Sayana, H. Pancreatic Stones and Extracorporeal Shockwave Lithotripsy: A Review of the Literature. Pancreas 2022, 51, 916–922. [Google Scholar] [CrossRef] [PubMed]
 - Zubarik, R.; Ganguly, E. The Rosemont Criteria Can Predict the Pain Response to Pancreatic Enzyme Supplementation in Patients with Suspected Chronic Pancreatitis Undergoing Endoscopic Ultrasound. Gut Liver 2011, 5, 521–526. [Google Scholar] [CrossRef] [PubMed]
 - Inui, K.; Masamune, A.; Igarashi, Y.; Ohara, H.; Tazuma, S.; Sugiyama, M.; Suzuki, Y.; Miyoshi, H.; Yamamoto, S.; Takeyama, Y.; et al. Management of Pancreatolithiasis: A Nationwide Survey in Japan. Pancreas 2018, 47, 708–714. [Google Scholar] [CrossRef]
 - Li, J.-S.; Zhang, Z.-D.; Tang, Y.; Jiang, R. Retrospective Analysis of 88 Patients with Pancreatic Duct Stone. Hepatobiliary Pancreat. Dis. Int. HBPD INT 2007, 6, 208–212. [Google Scholar] [PubMed]
 - Díte, P.; Ružicka, M.; Zboril, V.; Novotný, I. A Prospective, Randomized Trial Comparing Endoscopic and Surgical Therapy for Chronic Pancreatitis. Endoscopy 2003, 35, 553–558. [Google Scholar] [CrossRef]
 - Cahen, D.L.; Gouma, D.J.; Nio, Y.; Rauws, E.A.J.; Boermeester, M.A.; Busch, O.R.; Stoker, J.; Laméris, J.S.; Dijkgraaf, M.G.W.; Huibregtse, K.; et al. Endoscopic versus Surgical Drainage of the Pancreatic Duct in Chronic Pancreatitis. N. Engl. J. Med. 2007, 356, 676–684. [Google Scholar] [CrossRef] [PubMed]
 - Rutter, K.; Ferlitsch, A.; Sautner, T.; Püspök, A.; Götzinger, P.; Gangl, A.; Schindl, M. Hospitalization, Frequency of Interventions, and Quality of Life after Endoscopic, Surgical, or Conservative Treatment in Patients with Chronic Pancreatitis. World J. Surg. 2010, 34, 2642–2647. [Google Scholar] [CrossRef] [PubMed]
 - Cahen, D.L.; Gouma, D.J.; Laramée, P.; Nio, Y.; Rauws, E.A.J.; Boermeester, M.A.; Busch, O.R.; Fockens, P.; Kuipers, E.J.; Pereira, S.P.; et al. Long-Term Outcomes of Endoscopic vs. Surgical Drainage of the Pancreatic Duct in Patients with Chronic Pancreatitis. Gastroenterology 2011, 141, 1690–1695. [Google Scholar] [CrossRef]
 - Van der Hul, R.; Plaisier, P.; Jeekel, J.; Terpstra, O.; den Toom, R.; Bruining, H. Extracorporeal shock-wave lithotripsy of pancreatic duct stones: Immediate and long-term results. Endoscopy 1994, 26, 573–578. [Google Scholar] [CrossRef] [PubMed]
 - Tandan, M.; Talukdar, R.; Reddy, D.N. Management of Pancreatic Calculi: An Update. Gut Liver 2016, 10, 873–880. [Google Scholar] [CrossRef]
 - Saghir, S.M.; Mashiana, H.S.; Mohan, B.P.; Dhindsa, B.S.; Dhaliwal, A.; Chandan, S.; Bhogal, N.; Bhat, I.; Singh, S.; Adler, D.G. Efficacy of Pancreatoscopy for Pancreatic Duct Stones: A Systematic Review and Meta-Analysis. World J. Gastroenterol. 2020, 26, 5207–5219. [Google Scholar] [CrossRef] [PubMed]
 - Dominguez-Munoz, J.E.; Drewes, A.M.; Lindkvist, B.; Ewald, N.; Czakó, L.; Rosendahl, J.; Löhr, J.M.; Löhr, M.; Dominguez-Munoz, J.E.; Besselink, M.; et al. Recommendations from the United European Gastroenterology Evidence-Based Guidelines for the Diagnosis and Therapy of Chronic Pancreatitis. Pancreatology 2018, 18, 847–854. [Google Scholar] [CrossRef] [PubMed]
 - Kondo, H.; Naitoh, I.; Ohara, H.; Nakazawa, T.; Hayashi, K.; Okumura, F.; Miyabe, K.; Shimizu, S.; Nishi, Y.; Yoshida, M.; et al. Efficacy of Pancreatic Stenting Prior to Extracorporeal Shock Wave Lithotripsy for Pancreatic Stones. Dig. Liver Dis. 2014, 46, 639–644. [Google Scholar] [CrossRef]
 - Meniconi, R.L.; Caronna, R.; Borreca, D.; Schiratti, M.; Chirletti, P. Pancreato-Jejunostomy versus Hand-Sewn Closure of the Pancreatic Stump to Prevent Pancreatic Fistula after Distal Pancreatectomy: A Retrospective Analysis. BMC Surg. 2013, 13, 23. [Google Scholar] [CrossRef]
 





| Study Number | Reference | Study Design | Total Number of Patients | Therapeutic Method | 
|---|---|---|---|---|
| 1 | Li JS [10] | Retrospective study | 88 | Surgery | 
| 2 | Díte P [11] | Prospective randomized trial | 72 | Surgery | 
| 3 | Cahen DL [12] | Randomized trial | 39 | Surgical drainage of the pancreatic duct | 
| 4 | Rutter K [13] | Retrospective study | 292 | Surgery | 
| 5 | Cahen [14] | Randomized trial | 39 | Surgery | 
| 6 | Van der Hul RL [15] | Original article | 16 | Extracorporeal shock wave lithotripsy (ESWL) | 
Disclaimer/Publisher’s Note: The statements, opinions and data contained in all publications are solely those of the individual author(s) and contributor(s) and not of MDPI and/or the editor(s). MDPI and/or the editor(s) disclaim responsibility for any injury to people or property resulting from any ideas, methods, instructions or products referred to in the content.  | 
© 2024 by the authors. Licensee MDPI, Basel, Switzerland. This article is an open access article distributed under the terms and conditions of the Creative Commons Attribution (CC BY) license (https://creativecommons.org/licenses/by/4.0/).
Share and Cite
Brebu, D.; Prodan-Bărbulescu, C.; Braicu, V.; Pașca, P.; Borcean, G.; Florea, S.; Bîrlog, C.; Dobrescu, A.; Cornianu, M.; Lazăr, F.; et al. Surgical Treatment of Lithiasis of the Main Pancreatic Duct: A Challenging Case and a Literature Review. Diseases 2024, 12, 86. https://doi.org/10.3390/diseases12050086
Brebu D, Prodan-Bărbulescu C, Braicu V, Pașca P, Borcean G, Florea S, Bîrlog C, Dobrescu A, Cornianu M, Lazăr F, et al. Surgical Treatment of Lithiasis of the Main Pancreatic Duct: A Challenging Case and a Literature Review. Diseases. 2024; 12(5):86. https://doi.org/10.3390/diseases12050086
Chicago/Turabian StyleBrebu, Dan, Cătălin Prodan-Bărbulescu, Vlad Braicu, Paul Pașca, George Borcean, Sabrina Florea, Clarisa Bîrlog, Amadeus Dobrescu, Mărioara Cornianu, Fulger Lazăr, and et al. 2024. "Surgical Treatment of Lithiasis of the Main Pancreatic Duct: A Challenging Case and a Literature Review" Diseases 12, no. 5: 86. https://doi.org/10.3390/diseases12050086
APA StyleBrebu, D., Prodan-Bărbulescu, C., Braicu, V., Pașca, P., Borcean, G., Florea, S., Bîrlog, C., Dobrescu, A., Cornianu, M., Lazăr, F., Totolici, B., Duță, C., & Faur, F. I. (2024). Surgical Treatment of Lithiasis of the Main Pancreatic Duct: A Challenging Case and a Literature Review. Diseases, 12(5), 86. https://doi.org/10.3390/diseases12050086
        
