Renal Cell Carcinoma Presenting as Syncope due to Saddle Pulmonary Tumor Embolism
Abstract
1. Introduction
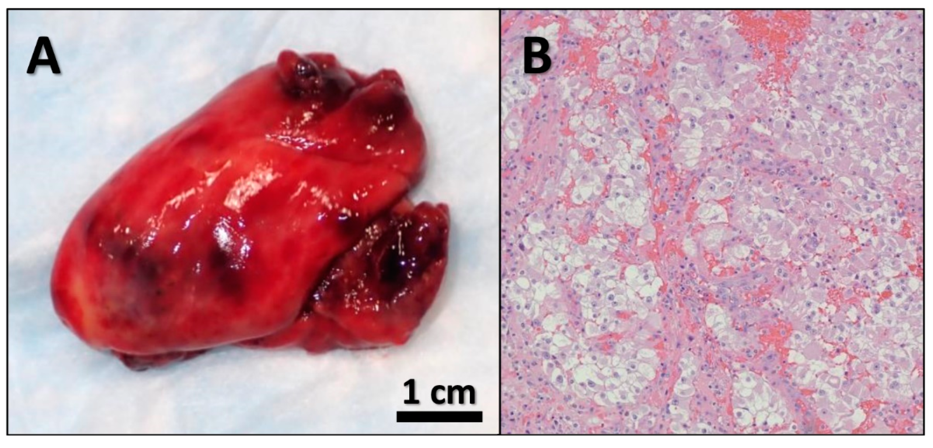
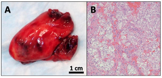
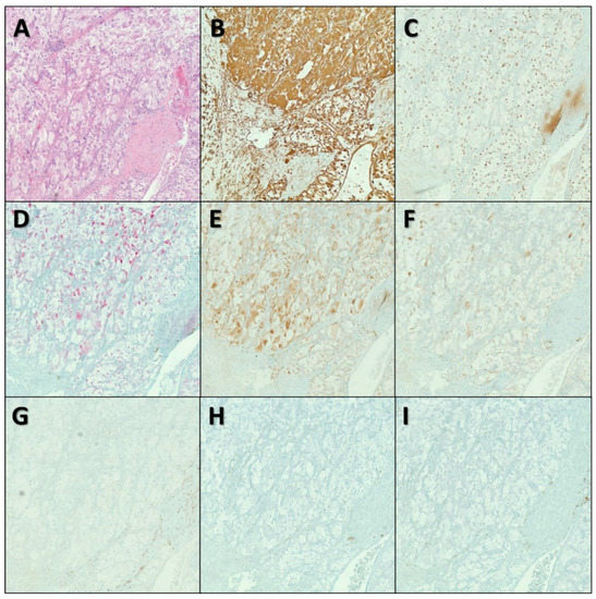
2. Case Presentation
3. Discussion
4. Conclusions
Author Contributions
Funding
Institutional Review Board Statement
Informed Consent Statement
Data Availability Statement
Acknowledgments
Conflicts of Interest
References
- Prandoni, P.; Lensing, A.W.; Prins, M.H.; Ciammaichella, M.; Perlati, M.; Mumoli, N.; Bucherini, E.; Visonà, A.; Bova, C.; Imberti, D.; et al. Prevalence of Pulmonary Embolism among Patients Hospitalized for Syncope. N. Engl. J. Med. 2016, 375, 1524–1531. [Google Scholar] [CrossRef] [PubMed]
- Yu, A.; Ding, W.; Lin, W.; Cai, J.; Huang, W. Application of pulmonary rehabilitation in patients with pulmonary embolism (Review). Exp. Ther. Med. 2022, 23, 96. [Google Scholar] [CrossRef] [PubMed]
- Virchow, R. Thrombose und Embolie: Gefäßentzündung und Septische Infection, 1st ed.; Basilisken-Pr: Marburg an der Lahn, Germany, 1991. [Google Scholar]
- Rali, P.; Gandhi, V.; Malik, K. Pulmonary Embolism. Crit. Care Nurs. Q. 2016, 39, 131–138. [Google Scholar] [CrossRef] [PubMed]
- Eichinger, S. Cancer associated thrombosis: Risk factors and outcomes. Thromb. Res. 2016, 140 (Suppl. 1), S12–S17. [Google Scholar] [CrossRef]
- Chew, H.K.; Wun, T.; Harvey, D.; Zhou, H.; White, R.H. Incidence of venous thromboembolism and its effect on survival among patients with common cancers. Arch. Intern. Med. 2006, 166, 458–464. [Google Scholar] [CrossRef]
- Campello, E.; Ilich, A.; Simioni, P.; Key, N.S. The relationship between pancreatic cancer and hypercoagulability: A comprehensive review on epidemiological and biological issues. Br. J. Cancer 2019, 121, 359–371. [Google Scholar] [CrossRef]
- Falanga, A.; Marchetti, M.; Russo, L. The mechanisms of cancer-associated thrombosis. Thromb. Res. 2015, 135 (Suppl. 1), S8–S11. [Google Scholar] [CrossRef]
- Ruf, W. Tissue factor and cancer. Thromb. Res. 2012, 130 (Suppl. 1), S84–S87. [Google Scholar] [CrossRef]
- Ogawa, Y.; Abe, K.; Hata, K.; Yamamoto, T.; Sakai, S. A case of pulmonary tumor embolism diagnosed with respiratory distress immediately after FDG-PET/CT scan. Radiol. Case Rep. 2021, 16, 718–722. [Google Scholar] [CrossRef]
- Choueiri, T.K.; Powles, T.; Burotto, M.; Escudier, B.; Bourlon, M.T.; Zurawski, B.; Oyervides Juárez, V.M.; Hsieh, J.J.; Basso, U.; Shah, A.Y.; et al. Nivolumab plus Cabozantinib versus Sunitinib for Advanced Renal-Cell Carcinoma. N. Engl. J. Med. 2021, 384, 829–841. [Google Scholar] [CrossRef]
- Trousseau, A. Plegmasia alba dolens. Lect. Clin. Med. Deliv. Hotel-Dieu Paris. 1865, 5, 281–332. [Google Scholar]
- Sørensen, H.T.; Mellemkjaer, L.; Olsen, J.H.; Baron, J.A. Prognosis of cancers associated with venous thromboembolism. N. Engl. J. Med. 2000, 343, 1846–1850. [Google Scholar] [CrossRef]
- Sung, H.; Ferlay, J.; Siegel, R.L.; Laversanne, M.; Soerjomataram, I.; Jemal, A.; Bray, F. Global Cancer Statistics 2020: GLOBOCAN Estimates of Incidence and Mortality Worldwide for 36 Cancers in 185 Countries. CA Cancer J. Clin. 2021, 71, 209–249. [Google Scholar] [CrossRef]
- Leibovich, B.C.; Lohse, C.M.; Crispen, P.L.; Boorjian, S.A.; Thompson, R.H.; Blute, M.L.; Cheville, J.C. Histological subtype is an independent predictor of outcome for patients with renal cell carcinoma. J. Urol. 2010, 183, 1309–1315. [Google Scholar] [CrossRef] [PubMed]
- Cohen, H.T.; McGovern, F.J. Renal-cell carcinoma. N. Engl. J. Med. 2005, 353, 2477–2490. [Google Scholar] [CrossRef]
- Agrawal, A.; Sahni, S.; Iftikhar, A.; Talwar, A. Pulmonary manifestations of renal cell carcinoma. Respir. Med. 2015, 109, 1505–1508. [Google Scholar] [CrossRef] [PubMed]
- Li, B.; Zeng, H.; Ding, M.; Yang, P.; He, Y. Multiple pulmonary emboli as a result of renal cell carcinoma: A case report. Oncol. Lett. 2017, 13, 267–270. [Google Scholar] [CrossRef][Green Version]
- Ball, M.W.; Gorin, M.A.; Harris, K.T.; Curtiss, K.M.; Netto, G.J.; Pavlovich, C.P.; Pierorazio, P.M.; Allaf, M.E. Extent of renal vein invasion influences prognosis in patients with renal cell carcinoma. BJU Int. 2016, 118, 112–117. [Google Scholar] [CrossRef]
- Roberts, K.E.; Hamele-Bena, D.; Saqi, A.; Stein, C.A.; Cole, R.P. Pulmonary tumor embolism: A review of the literature. Am. J. Med. 2003, 115, 228–232. [Google Scholar] [CrossRef]
- Wotkowicz, C.; Wszolek, M.F.; Libertino, J.A. Resection of renal tumors invading the vena cava. Urol. Clin. N. Am. 2008, 35, 657–671; viii. [Google Scholar] [CrossRef]
- Martínez-Salamanca, J.I.; Huang, W.C.; Millán, I.; Bertini, R.; Bianco, F.J.; Carballido, J.A.; Ciancio, G.; Hernández, C.; Herranz, F.; Haferkamp, A.; et al. Prognostic impact of the 2009 UICC/AJCC TNM staging system for renal cell carcinoma with venous extension. Eur. Urol. 2011, 59, 120–127. [Google Scholar] [CrossRef] [PubMed]
- Cornejo, K.M.; Rice-Stitt, T.; Wu, C.-L. Updates in staging and reporting of genitourinary malignancies. Arch. Pathol. Lab. Med. 2020, 144, 305–319. [Google Scholar] [CrossRef] [PubMed]
- Bonsib, S.M. Renal veins and venous extension in clear cell renal cell carcinoma. Mod. Pathol. 2007, 20, 44–53. [Google Scholar] [CrossRef] [PubMed]
- Daughtry, J.D.; Stewart, B.H.; Golding, L.A.; Groves, L.K. Pulmonary embolus presenting as the initial manifestation of renal cell carcinoma. Ann. Thorac. Surg. 1977, 24, 178–181. [Google Scholar] [CrossRef] [PubMed]
- Bissada, N.K.; Yakout, H.H.; Babanouri, A.; Elsalamony, T.; Fahmy, W.; Gunham, M.; Hull, G.W.; Chaudhary, U.B. Long-term experience with management of renal cell carcinoma involving the inferior vena cava. Urology 2003, 61, 89–92. [Google Scholar] [CrossRef]




| Blood Test | Patient Value | Reference Range |
|---|---|---|
| White blood cell (WBC) count | 23.9 × 103/μL | 4.8–10.8 × 103/μL |
| Segmented neutrophils | 88.6% | 42–75% |
| Absolute neutrophil count | 21.20 × 103/μL | 1.8–7.2 × 103/μL |
| Red blood cell (RBC) count | 3.71 × 106/μL | 3.93–5.22 × 106/μL |
| Hemoglobin | 9.2 g/dL | 12.0–16.0 g/dL |
| Hematocrit | 31.7% | 37.0–47.0% |
| MCV | 85.4 fL | 79.0–92.2 fL |
| MCH | 24.8 pg | 25.6–32.2 pg |
| MCHC | 29 g/dL | 32.0–36.0 g/dL |
| Platelet count | 387 × 103/uL | 150–450 × 103/uL |
| Serum creatinine level | 1.16 mg/dL | 0.55–1.02 mg/dL |
| Blood urea nitrogen (BUN) level | 12.0 mg/dL | 7–18 mg/dL |
| Alkaline phosphatase level | 401 U/L | 46–116 U/L |
| Lactate level | 6.6 mmol/L | 0.4–2.0 mmol/L |
| Fibrinogen | 781 mg/dL | 200–400 mg/dL |
| Prothrombin time (PT) | 17.9 s | 12.4–15.2 s |
| INR | 1.5 | 0.1–1.1 |
| AP thromboplastin time (PTT) | 56.5 s | 24.7–39.8 s |
| pH | 7.48 | 7.35–7.45 |
| PCO2 | 29 mmHg | 35.0–45.0 mmHg |
| PO2 | 190 mmHg | 75.0–100.0 mmHg |
| HCO3 | 21.6 mmol/L | 22.0–26.0 mmol/L |
| Detected Alteration(s)/Biomarker(s) | Method | Analyte | Result |
|---|---|---|---|
| PBRM1 | Seq. | DNA-Tumor | Pathogenic Variant Exon 9–p.1287fs |
| PD-L1 (SP142) | IHC | Protein | Positive (90%) |
| TSC1 | Seq. | DNA-Tumor | Pathogenic Variant Exon 9–p.1262fs |
| MSI | Seq. | DNA-Tumor | Stable |
| Mismatch Repair Status | IHC | Protein | Proficient |
| TMB | Seq. | DNA-Tumor | Low |
| BAP1 | Seq. | DNA-Tumor | Variant of uncertain significance Exon 9–p.N229H |
Publisher’s Note: MDPI stays neutral with regard to jurisdictional claims in published maps and institutional affiliations. |
© 2022 by the authors. Licensee MDPI, Basel, Switzerland. This article is an open access article distributed under the terms and conditions of the Creative Commons Attribution (CC BY) license (https://creativecommons.org/licenses/by/4.0/).
Share and Cite
Elajami, M.K.; Mansour, E.; Bahmad, H.F.; Chaaya, G.; DeBeer, S.; Poppiti, R.; Omarzai, Y. Renal Cell Carcinoma Presenting as Syncope due to Saddle Pulmonary Tumor Embolism. Diseases 2022, 10, 119. https://doi.org/10.3390/diseases10040119
Elajami MK, Mansour E, Bahmad HF, Chaaya G, DeBeer S, Poppiti R, Omarzai Y. Renal Cell Carcinoma Presenting as Syncope due to Saddle Pulmonary Tumor Embolism. Diseases. 2022; 10(4):119. https://doi.org/10.3390/diseases10040119
Chicago/Turabian StyleElajami, Mohamad K., Ephraim Mansour, Hisham F. Bahmad, Gerard Chaaya, Steven DeBeer, Robert Poppiti, and Yumna Omarzai. 2022. "Renal Cell Carcinoma Presenting as Syncope due to Saddle Pulmonary Tumor Embolism" Diseases 10, no. 4: 119. https://doi.org/10.3390/diseases10040119
APA StyleElajami, M. K., Mansour, E., Bahmad, H. F., Chaaya, G., DeBeer, S., Poppiti, R., & Omarzai, Y. (2022). Renal Cell Carcinoma Presenting as Syncope due to Saddle Pulmonary Tumor Embolism. Diseases, 10(4), 119. https://doi.org/10.3390/diseases10040119

