A Deep Learning Instance Segmentation Approach for Global Glomerulosclerosis Assessment in Donor Kidney Biopsies
Abstract
1. Introduction
- the possibility to train an end-to-end instance segmentation neural network, by exploiting Mask R-CNN, strongly reducing the need of post processing operations and allowing to learn all the required features in a unified process;
- the use of a variant of the standard Non-Maximum Suppression (NMS) algorithm, which we called Non-Maximum-Area Suppression (NMAS) that led to an improvement of the performances in our sliding window approach. Note that NMAS, like NMS, is a general purpose algorithm and can be useful also for other detection tasks;
2. Methods and Materials
2.1. Dataset
2.2. Object Detection with Deep Learning
2.3. Object Detection Definitions and Metrics
2.4. Non-Maximum Suppression
| Algorithm 1: Non-Maximum Suppression (NMS) [33]. |
![]() |
| Algorithm 2: Non-Maximum-Area Suppression (NMAS). |
![]() |
2.5. Workflow
2.5.1. Faster R-CNN
2.5.2. Mask R-CNN
3. Results
3.1. Baseline: Faster R-CNN
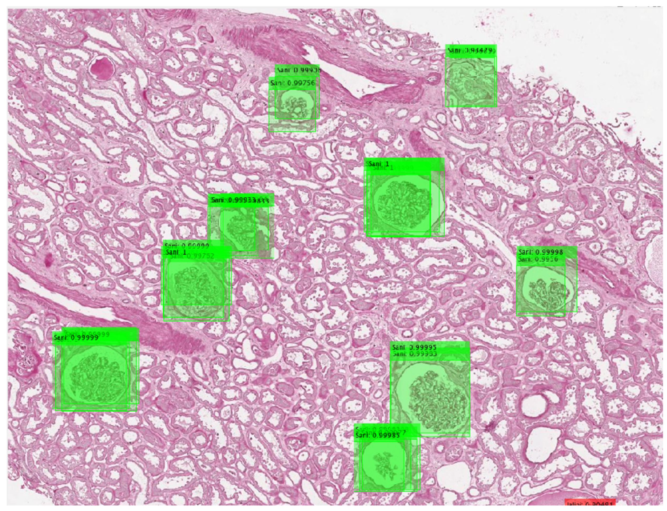
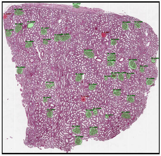
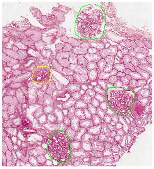
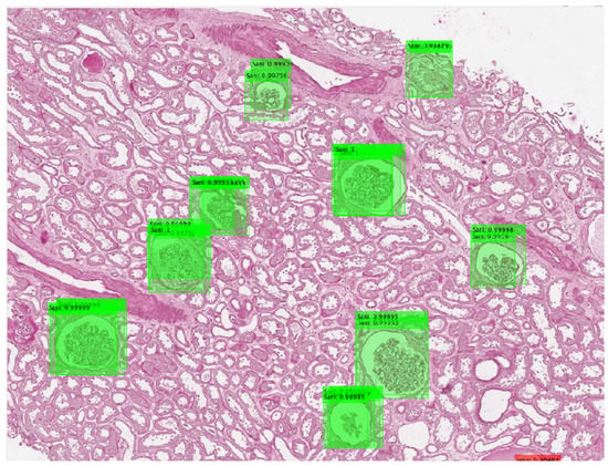
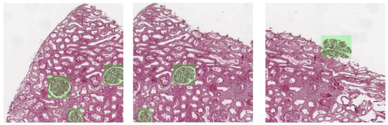
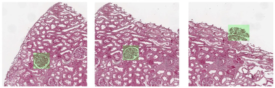
3.2. Mask R-CNN
3.3. Karpinski Score Assessment
4. Discussion
5. Conclusions
Author Contributions
Funding
Conflicts of Interest
Abbreviations
| Abbreviation | Meaning |
| Average Precision | |
| CAD | Computer-Aided Diagnosis |
| CNN | Convolutional Neural Network |
| CR | Congo Red |
| DETO | Department of Emergency and Organ transplantation |
| FCN | Fully convolutional network |
| HE | Hematoxylin and Eosin |
| HOG | Histogram of Oriented Gradients |
| Intersection over Minimum | |
| Intersection over Union | |
| JS | Jones Silver |
| mean average precision | |
| mrcLBP | multi-radial color local binary patterns |
| NMAS | Non-Maximum-Area Suppression |
| NMS | Non-Maximum Suppression |
| PAM | Periodic acid-methenamine silver |
| PAS | Periodic acid–Schiff |
| R-CNN | Region-based Convolutional Neural Network |
| R-HOG | Rectangle-Histogram of Oriented Gradients |
| RoI | Region of Interest |
| RPN | Region Proposal Network |
| S-HOG | Segmental-Histogram of Oriented Gradients |
| SR | Sirius Red |
| SVM | Support vector machine |
| TRI | Gömöri’s Trichrome |
| VOC | Visual object classes |
| WSI | Whole slide image |
Appendix A. Implementation Details
Appendix A.1. Faster R-CNN-Based Detector
| Faster R-CNN | |
|---|---|
| Hyperparameter | Value |
| CNN | resnet50 |
| NegativeOverlapRange | [0 0.3] |
| PositiveOverlapRange | [0.6 1] |
| NumRegionsToSample | 256 |
| BoxPyramidScale | 1.2 |
| NumStrongestRegions | 512 |
| Hyperparameters per stages of Faster R-CNN | |
|---|---|
| Hyperparameter | Value |
| All stages | |
| Optimizer | ADAM |
| MaxEpochs | 10 |
| MiniBatchSize | 1 |
| Stage 1 | |
| InitialLearnRate | 0.0001 |
| Stage 2 | |
| InitialLearnRate | 0.0001 |
| Stage 3 | |
| InitialLearnRate | 0.000001 |
| Stage 4 | |
| InitialLearnRate | 0.000001 |
Appendix A.2. Mask R-CNN Based Detector
| Training Configuration | |
|---|---|
| Hyperparameter | Value |
| BACKBONE | resnet50 |
| RPN_ANCHOR_SCALES | (32, 96, 160, 200, 256) |
| RPN_ANCHOR_RATIOS | [0.5, 1, 2] |
| POST_NMS_ROIS_TRAINING | 800 |
| POST_NMS_ROIS_INFERENCE | 1600 |
| RPN_NMS_THRESHOLD | 0.8 |
| RPN_TRAIN_ANCHORS_PER_IMAGE | 64 |
| MEAN_PIXEL | [218.85, 198.25, 207.18] |
| MINI_MASK_SHAPE | (56, 56) |
| TRAIN_ROIS_PER_IMAGE | 128 |
| IMAGE_RESIZE_MODE | crop |
| IMAGE_MIN_DIM | 1024 |
| IMAGE_MAX_DIM | 1024 |
| LEARNING_RATE | 0.001 |
| LEARNING_MOMENTUM | 0.9 |
| WEIGHT_DECAY | 0.0001 |
| GRADIENT_CLIP_NORM | 5.0 |
| Data Augmentation | |
|---|---|
| Type | Details |
| Flip upside-down | |
| Flip left-right | |
| Rotate | |
| Multiply | |
| Gaussian Blur | |
References
- Bevilacqua, V.; Cariello, L.; Columbo, D.; Daleno, D.; Dellisanti Fabiano, M.; Giannini, M.; Mastronardi, G.; Castellano, M. Retinal Fundus Biometric Analysis for Personal Identifications. In Proceedings of the Advanced Intelligent Computing Theories and Applications. With Aspects of Artificial Intelligence (ICIC 2008), Shanghai, China, 15–18 September 2008. [Google Scholar] [CrossRef]
- Menolascina, F.; Bellomo, D.; Maiwald, T.; Bevilacqua, V.; Ciminelli, C.; Paradiso, A.; Tommasi, S. Developing optimal input design strategies in cancer systems biology with applications to microfluidic device engineering. BMC Bioinform. 2009, 10, S4. [Google Scholar] [CrossRef] [PubMed]
- Bevilacqua, V.; Dimauro, G.; Marino, F.; Brunetti, A.; Cassano, F.; Di Maio, A.; Nasca, E.; Trotta, G.F.; Girardi, F.; Ostuni, A.; et al. A novel approach to evaluate blood parameters using computer vision techniques. In Proceedings of the 2016 IEEE International Symposium on Medical Measurements and Applications (MeMeA), Benevento, Italy, 15–18 May 2016; pp. 1–6. [Google Scholar] [CrossRef]
- Bevilacqua, V.; Mastronardi, G.; Menolascina, F.; Pannarale, P.; Pedone, A. A Novel Multi-Objective Genetic Algorithm Approach to Artificial Neural Network Topology Optimisation: The Breast Cancer Classification Problem. In Proceedings of the 2006 IEEE International Joint Conference on Neural Network Proceedings, Vancouver, BC, Canada, 16–21 July 2006; pp. 1958–1965. [Google Scholar] [CrossRef]
- Bevilacqua, V.; D’Ambruoso, D.; Mandolino, G.; Suma, M. A new tool to support diagnosis of neurological disorders by means of facial expressions. In Proceedings of the 2011 IEEE International Symposium on Medical Measurements and Applications, Bari, Italy, 30–31 May 2011; pp. 544–549. [Google Scholar] [CrossRef]
- Dimauro, G.; Girardi, F.; Gelardi, M.; Bevilacqua, V.; Caivano, D. Rhino-Cyt: A System for Supporting the Rhinologist in the Analysis of Nasal Cytology. In Proceedings of the ICIC 2018: Intelligent Computing Theories and Application, Wuhan, China, 15–18 August 2018. [Google Scholar] [CrossRef]
- Dimauro, G.; Guarini, A.; Caivano, D.; Girardi, F.; Pasciolla, C.; Iacobazzi, A. Detecting clinical signs of anaemia from digital images of the palpebral conjunctiva. IEEE Access 2019, 7, 113488–113498. [Google Scholar] [CrossRef]
- Dimauro, G.; Simone, L. Novel biased normalized cuts approach for the automatic segmentation of the conjunctiva. Electronics 2020, 9, 997. [Google Scholar] [CrossRef]
- Dimauro, G.; Colagrande, P.; Carlucci, R.; Ventura, M.; Bevilacqua, V.; Caivano, D. CRISPRLearner: A deep learning-based system to predict CRISPR/Cas9 sgRNA on-target cleavage efficiency. Electronics 2019, 8, 1478. [Google Scholar] [CrossRef]
- Zhao, Z.Q.; Zheng, P.; Xu, S.-T.; Wu, X. Object detection with deep learning: A review. IEEE Trans. Neural Netw. Learn. Syst. 2019, 30, 3212–3232. [Google Scholar] [CrossRef] [PubMed]
- Garcia-Garcia, A.; Orts-Escolano, S.; Oprea, S.; Villena-Martinez, V.; Garcia-Rodriguez, J. A review on deep learning techniques applied to semantic segmentation. arXiv 2017, arXiv:1704.06857. [Google Scholar]
- Ledbetter, D.; Ho, L.; Lemley, K.V. Prediction of Kidney Function from Biopsy Images Using Convolutional Neural Networks. arXiv 2017, arXiv:1702.01816. [Google Scholar]
- Kawazoe, Y.; Shimamoto, K.; Yamaguchi, R.; Shintani-Domoto, Y.; Uozaki, H.; Fukayama, M.; Ohe, K. Faster R-CNN-based glomerular detection in multistained human whole slide images. J. Imaging 2018, 4, 91. [Google Scholar] [CrossRef]
- Cascarano, G.D.; Debitonto, F.S.; Lemma, R.; Brunetti, A.; Buongiorno, D.; De Feudis, I.; Guerriero, A.; Rossini, M.; Pesce, F.; Gesualdo, L.; et al. An Innovative Neural Network Framework for Glomerulus Classification Based on Morphological and Texture Features Evaluated in Histological Images of Kidney Biopsy. In Proceedings of the ICIC 2019: Intelligent Computing Methodologies, Nanchang, China, 3–6 August 2019. [Google Scholar] [CrossRef]
- Altini, N.; Cascarano, G.D.; Brunetti, A.; Marino, F.; Rocchetti, M.T.; Matino, S.; Venere, U.; Rossini, M.; Pesce, F.; Gesualdo, L.; et al. Semantic Segmentation Framework for Glomeruli Detection and Classification in Kidney Histological Sections. Electronics 2020, 9, 503. [Google Scholar] [CrossRef]
- Gallego, J.; Pedraza, A.; Lopez, S.; Steiner, G.; Gonzalez, L.; Laurinavicius, A.; Bueno, G. Glomerulus classification and detection based on convolutional neural networks. J. Imaging 2018, 4, 20. [Google Scholar] [CrossRef]
- Marsh, J.N.; Matlock, M.K.; Kudose, S.; Liu, T.C.; Stappenbeck, T.S.; Gaut, J.P.; Swamidass, S.J. Deep learning global glomerulosclerosis in transplant kidney frozen sections. IEEE Trans. Med. Imaging 2018, 37, 2718–2728. [Google Scholar] [CrossRef] [PubMed]
- Gadermayr, M.; Dombrowski, A.K.; Klinkhammer, B.M.; Boor, P.; Merhof, D. CNN Cascades for Segmenting Whole Slide Images of the Kidney. arXiv 2017, arXiv:1708.00251. [Google Scholar]
- Kato, T.; Relator, R.; Ngouv, H.; Hirohashi, Y.; Kakimoto, T.; Okada, K. New Descriptor for Glomerulus Detection in Kidney Microscopy Image. arXiv 2015, arXiv:1506.05920. [Google Scholar]
- Simon, O.; Yacoub, R.; Jain, S.; Tomaszewski, J.E.; Sarder, P. Multi-radial LBP Features as a Tool for Rapid Glomerular Detection and Assessment in Whole Slide Histopathology Images. Sci. Rep. 2018, 8, 2032. [Google Scholar] [CrossRef] [PubMed]
- Temerinac-Ott, M.; Forestier, G.; Schmitz, J.; Hermsen, M.; Bräsen, J.; Feuerhake, F.; Wemmert, C. Detection of glomeruli in renal pathology by mutual comparison of multiple staining modalities. In Proceedings of the 10th International Symposium on Image and Signal Processing and Analysis, Ljubljana, Slovenia, 18–20 September 2017; pp. 19–24. [Google Scholar]
- Bueno, G.; Fernandez-Carrobles, M.M.; Gonzalez-Lopez, L.; Deniz, O. Glomerulosclerosis identification in whole slide images using semantic segmentation. Comput. Methods Prog. Biomed. 2020, 184, 105273. [Google Scholar] [CrossRef] [PubMed]
- Jha, A.; Yang, H.; Deng, R.; Kapp, M.E.; Fogo, A.B.; Huo, Y. Instance Segmentation for Whole Slide Imaging: End-to-End or Detect-Then-Segment. arXiv 2020, arXiv:2007.03593. [Google Scholar]
- Karpinski, J.; Lajoie, G.; Cattran, D.; Fenton, S.; Zaltzman, J.; Cardella, C.; Cole, E. Outcome of kidney transplantation from high-risk donors is determined by both structure and function. Transplantation 1999, 67, 1162–1167. [Google Scholar] [CrossRef] [PubMed]
- Remuzzi, G.; Grinyò, J.; Ruggenenti, P.; Beatini, M.; Cole, E.H.; Milford, E.L.; Brenner, B.M. Early experience with dual kidney transplantation in adults using expanded donor criteria. J. Am. Soc. Nephrol. 1999, 10, 2591–2598. [Google Scholar] [PubMed]
- He, K.; Gkioxari, G.; Dollár, P.; Girshick, R. Mask R-CNN. In Proceedings of the IEEE International Conference on Computer Vision, Venice, Italy, 22–29 October 2017; pp. 2961–2969. [Google Scholar]
- LeCun, Y.; Bengio, Y.; Hinton, G. Deep learning. Nature 2015, 521, 436–444. [Google Scholar] [CrossRef] [PubMed]
- Krizhevsky, A.; Sutskever, I.; Hinton, G.E. 2012 AlexNet. In Proceedings of the 26th Annual Conference on Neural Information Processing Systems 2012, Lake Tahoe, NV, USA, 3–6 December 2012. [Google Scholar] [CrossRef]
- Girshick, R.; Donahue, J.; Darrell, T.; Malik, J. Rich feature hierarchies for accurate object detection and semantic segmentation. In Proceedings of the IEEE Conference on Computer Vision and Pattern Recognition, Columbus, OH, USA, 23–28 June 2014; pp. 580–587. [Google Scholar]
- Girshick, R. Fast r-cnn. In Proceedings of the IEEE International Conference on Computer Vision, Santiago, Chile, 7–13 December 2015; pp. 1440–1448. [Google Scholar]
- Ren, S.; He, K.; Girshick, R.; Sun, J. Faster R-CNN: Towards real-time object detection with region proposal networks. arXiv 2016, arXiv:1506.01497v3. [Google Scholar] [CrossRef] [PubMed]
- Hoiem, D.; Chodpathumwan, Y.; Dai, Q. Diagnosing error in object detectors. In European Conference on Computer Vision; Springer: Berlin, Germany, 2012; pp. 340–353. [Google Scholar]
- Bodla, N.; Singh, B.; Chellappa, R.; Davis, L.S. Soft-NMS–improving object detection with one line of code. In Proceedings of the IEEE International Conference on Computer Vision, Venice, Italy, 22–29 October 2017; pp. 5561–5569. [Google Scholar]
- Abdulla, W. Mask R-CNN for Object Detection and Instance Segmentation on Keras and TensorFlow. 2017. Available online: https://github.com/matterport/Mask_RCNN (accessed on 15 September 2020).
- He, K.; Zhang, X.; Ren, S.; Sun, J. Deep residual learning for image recognition. In Proceedings of the IEEE Computer Society Conference on Computer Vision and Pattern Recognition, Las Vegas, NV, USA, 27–30 June 2016; pp. 770–778. [Google Scholar] [CrossRef]
- Dalal, N.; Triggs, B. Histograms of oriented gradients for human detection. In Proceedings of the 2005 IEEE Computer Society Conference on Computer Vision and Pattern Recognition (CVPR’05), San Diego, CA, USA, 20–25 June 2005; Volume 1, pp. 886–893. [Google Scholar]
- Jung, A.B.; Wada, K.; Crall, J.; Tanaka, S.; Graving, J.; Reinders, C.; Yadav, S.; Banerjee, J.; Vecsei, G.; Kraft, A.; et al. Imgaug. 2020. Available online: https://github.com/aleju/imgaug (accessed on 1 February 2020).











| Prediction | ||||
|---|---|---|---|---|
| NS | S | B | ||
| Ground Truth | NS | 463 | 0 | 29 |
| S | 7 | 61 | 19 | |
| B | 62 | 35 | – | |
| Class | Recall | Precision | F-Score |
|---|---|---|---|
| Non-sclerotic | 0.941 | 0.870 | 0.904 |
| Sclerotic | 0.701 | 0.635 | 0.667 |
| Prediction | ||||
|---|---|---|---|---|
| NS | S | B | ||
| Ground Truth | NS | 470 | 0 | 22 |
| S | 8 | 61 | 18 | |
| B | 46 | 9 | – | |
| Class | Recall | Precision | F-Score |
|---|---|---|---|
| Non-sclerotic | 0.955 | 0.897 | 0.925 |
| Sclerotic | 0.701 | 0.871 | 0.777 |
| Donor | Kidney | Section | Mask R-CNN | Faster R-CNN | Ground Truth | |||||||||
|---|---|---|---|---|---|---|---|---|---|---|---|---|---|---|
| NS | S | Ratio | Score | NS | S | Ratio | Score | NS | S | Ratio | Score | |||
| 1 | Left | 1 | 30 | 3 | 0.09 | 1 | 31 | 3 | 0.09 | 1 | 30 | 3 | 0.09 | 1 |
| 2 | 30 | 2 | 0.06 | 1 | 32 | 2 | 0.06 | 1 | 30 | 2 | 0.06 | 1 | ||
| 3 | 31 | 4 | 0.11 | 1 | 29 | 5 | 0.15 | 1 | 28 | 4 | 0.13 | 1 | ||
| 4 | 29 | 5 | 0.15 | 1 | 31 | 5 | 0.14 | 1 | 25 | 4 | 0.14 | 1 | ||
| 5 | 32 | 0 | 0.00 | 0 | 30 | 1 | 0.03 | 1 | 31 | 1 | 0.03 | 1 | ||
| 6 | 31 | 1 | 0.03 | 1 | 35 | 3 | 0.08 | 1 | 31 | 1 | 0.03 | 1 | ||
| 2 | Right | 1 | 11 | 5 | 0.31 | 2 | 9 | 8 | 0.47 | 2 | 10 | 5 | 0.33 | 2 |
| 3 | Right | 1 | 41 | 1 | 0.02 | 1 | 40 | 8 | 0.17 | 1 | 38 | 2 | 0.05 | 1 |
| Left | 1 | 39 | 3 | 0.07 | 1 | 38 | 3 | 0.07 | 1 | 41 | 4 | 0.09 | 1 | |
| 4 | Right | 1 | 19 | 4 | 0.17 | 1 | 23 | 7 | 0.23 | 2 | 17 | 5 | 0.23 | 2 |
| 2 | 26 | 3 | 0.10 | 1 | 29 | 4 | 0.12 | 1 | 25 | 3 | 0.11 | 1 | ||
| 3 | 30 | 2 | 0.06 | 1 | 29 | 5 | 0.15 | 1 | 25 | 3 | 0.11 | 1 | ||
| 4 | 29 | 5 | 0.15 | 1 | 28 | 9 | 0.24 | 2 | 25 | 5 | 0.17 | 1 | ||
| 5 | Right | 1 | 22 | 4 | 0.15 | 1 | 23 | 3 | 0.12 | 1 | 22 | 4 | 0.15 | 1 |
| 2 | 30 | 5 | 0.14 | 1 | 27 | 3 | 0.10 | 1 | 28 | 5 | 0.15 | 1 | ||
| 6 | Right | 1 | 14 | 4 | 0.22 | 2 | 14 | 3 | 0.18 | 1 | 13 | 6 | 0.32 | 2 |
| 2 | 14 | 4 | 0.22 | 2 | 13 | 3 | 0.19 | 1 | 13 | 6 | 0.32 | 2 | ||
| 3 | 13 | 4 | 0.24 | 2 | 13 | 3 | 0.19 | 1 | 14 | 5 | 0.26 | 2 | ||
| 4 | 14 | 2 | 0.13 | 1 | 12 | 1 | 0.08 | 1 | 12 | 2 | 0.14 | 1 | ||
| 5 | 17 | 5 | 0.23 | 2 | 16 | 4 | 0.20 | 2 | 14 | 6 | 0.30 | 2 | ||
| 6 | 19 | 4 | 0.17 | 1 | 20 | 4 | 0.17 | 1 | 17 | 10 | 0.37 | 2 | ||
| Author | Sp | Stain | WSIs | Method | Class | Performances | ||
|---|---|---|---|---|---|---|---|---|
| Recall | Precision | F-Measure | ||||||
| Kato et al. [19] | R | D | 20 | R-HOG + SVM | A | 0.911 | 0.777 | 0.838 |
| S-HOG + SVM | A | 0.897 | 0.874 | 0.866 | ||||
| Temerinac-Ott et al. [21] | H | M2 | 80 | R-HOG + SVM | A | N/A | N/A | 0.405–0.551 |
| CNN | A | N/A | N/A | 0.522–0.716 | ||||
| Gallego et al. [16] | H | PAS | 108 | CNN | A | 1.000 | 0.881 | 0.937 |
| Simon et al. [20] | M | HE | 15 | mrcLBP + SVM | A | 0.800 | 0.900 | 0.850 |
| R | M1 | 25 | A | 0.560–0.730 | 0.750–0.914 | 0.680–0.801 | ||
| H | PAS | 25 | A | 0.761 | 0.917 | 0.832 | ||
| Kawazoe et al. [13] | H | PAS | 200 | Faster R-CNN | A | 0.919 | 0.931 | 0.925 |
| PAM | 200 | A | 0.918 | 0.939 | 0.928 | |||
| MT | 200 | A | 0.878 | 0.915 | 0.896 | |||
| Azan | 200 | A | 0.849 | 0.904 | 0.876 | |||
| Marsh et al. [17] | H | HE | 48 | FCN + BLOB | NS | 0.885 | 0.813 | 0.848 |
| S | 0.698 | 0.607 | 0.649 | |||||
| Altini et al. [15] | H | PAS | 26 | SegNet | A | 0.855 | 0.832 | 0.843 |
| NS | 0.886 | 0.834 | 0.859 | |||||
| S | 0.667 | 0.806 | 0.730 | |||||
| DeepLab v3+ | A | 0.858 | 0.952 | 0.903 | ||||
| NS | 0.913 | 0.935 | 0.924 | |||||
| S | 0.471 | 0.976 | 0.636 | |||||
| Proposed | H | PAS | 26 | Faster R-CNN | A | 0.917 | 0.846 | 0.880 |
| NS | 0.941 | 0.870 | 0.904 | |||||
| S | 0.701 | 0.635 | 0.667 | |||||
| Mask R-CNN | A | 0.931 | 0.907 | 0.919 | ||||
| NS | 0.955 | 0.897 | 0.925 | |||||
| S | 0.701 | 0.871 | 0.777 | |||||
Publisher’s Note: MDPI stays neutral with regard to jurisdictional claims in published maps and institutional affiliations. |
© 2020 by the authors. Licensee MDPI, Basel, Switzerland. This article is an open access article distributed under the terms and conditions of the Creative Commons Attribution (CC BY) license (http://creativecommons.org/licenses/by/4.0/).
Share and Cite
Altini, N.; Cascarano, G.D.; Brunetti, A.; De Feudis, I.; Buongiorno, D.; Rossini, M.; Pesce, F.; Gesualdo, L.; Bevilacqua, V. A Deep Learning Instance Segmentation Approach for Global Glomerulosclerosis Assessment in Donor Kidney Biopsies. Electronics 2020, 9, 1768. https://doi.org/10.3390/electronics9111768
Altini N, Cascarano GD, Brunetti A, De Feudis I, Buongiorno D, Rossini M, Pesce F, Gesualdo L, Bevilacqua V. A Deep Learning Instance Segmentation Approach for Global Glomerulosclerosis Assessment in Donor Kidney Biopsies. Electronics. 2020; 9(11):1768. https://doi.org/10.3390/electronics9111768
Chicago/Turabian StyleAltini, Nicola, Giacomo Donato Cascarano, Antonio Brunetti, Irio De Feudis, Domenico Buongiorno, Michele Rossini, Francesco Pesce, Loreto Gesualdo, and Vitoantonio Bevilacqua. 2020. "A Deep Learning Instance Segmentation Approach for Global Glomerulosclerosis Assessment in Donor Kidney Biopsies" Electronics 9, no. 11: 1768. https://doi.org/10.3390/electronics9111768
APA StyleAltini, N., Cascarano, G. D., Brunetti, A., De Feudis, I., Buongiorno, D., Rossini, M., Pesce, F., Gesualdo, L., & Bevilacqua, V. (2020). A Deep Learning Instance Segmentation Approach for Global Glomerulosclerosis Assessment in Donor Kidney Biopsies. Electronics, 9(11), 1768. https://doi.org/10.3390/electronics9111768



