Next Article in Journal
DGA Domain Detection Based on Transformer and Rapid Selective Kernel Network
Next Article in Special Issue
Real-Time Gesture-Based Hand Landmark Detection for Optimized Mobile Photo Capture and Synchronization
Previous Article in Journal
TransSMPL: Efficient Human Pose Estimation with Pruned and Quantized Transformer Networks
Previous Article in Special Issue
Using LSTM with Trajectory Point Correlation and Temporal Pattern Attention for Ship Trajectory Prediction
 
 
Font Type:
Arial Georgia Verdana
Font Size:
Aa Aa Aa
Line Spacing:
Column Width:
Background:
Article

KidneyNet: A Novel CNN-Based Technique for the Automated Diagnosis of Chronic Kidney Diseases from CT Scans

by
Saleh Naif Almuayqil
1,
Sameh Abd El-Ghany
1,*,
A. A. Abd El-Aziz
1 and
Mohammed Elmogy
2
1
Information Systems Department, College of Computer and Information Sciences, Jouf University, Sakaka 72388, Saudi Arabia
2
Information Technology Department, Faculty of Computers and Information, Mansoura University, Mansoura 35516, Egypt
*
Author to whom correspondence should be addressed.
Electronics 2024, 13(24), 4981; https://doi.org/10.3390/electronics13244981
Submission received: 22 November 2024 / Revised: 15 December 2024 / Accepted: 16 December 2024 / Published: 18 December 2024
(This article belongs to the Special Issue AI-Driven Digital Image Processing: Latest Advances and Prospects)

Abstract

This study presents KidneyNet, an innovative computer-aided diagnosis (CAD) system designed to identify chronic kidney diseases (CKDs), such as kidney stones, cysts, and tumors, in CT scans. KidneyNet utilizes a convolutional neural network (CNN) structure consisting of eight convolutional layers, three pooling layers, a flattening layer, and two fully connected layers. Small filters enhance computational efficiency by reducing the number of parameters and minimizing the risk of overfitting compared to larger filters. The model captures more complex and abstract features as data move through the layers. The initial layers identify basic patterns, while the deeper layers focus on more intricate representations. KidneyNet aims to enhance the efficiency and accuracy of kidney disease diagnosis. Additionally, the model incorporates the gradient-weighted class activation mapping (Grad-CAM) algorithm, which helps to pinpoint affected areas in the scans. This feature improves interpretability, allowing clinicians to identify which regions the model deemed significant for detecting abnormalities such as tumors, cysts, or stones. Through extensive testing on a CT kidney dataset, KidneyNet demonstrated impressive performance metrics, with 99.88% accuracy, 99.92% specificity, 99.76% sensitivity, 99.58% precision, and an F1 score of 99.67%, outperforming existing models. This approach alleviates the diagnostic burden on radiologists and promotes early detection, potentially saving lives. This study highlights the critical role of advanced imaging analysis in addressing kidney conditions and emphasizes KidneyNet’s capability to deliver precise and cost-effective diagnoses.

1. Introduction

The kidneys, situated on both sides of the spine under the rib cage, are vital organs responsible for regulating the body’s internal equilibrium and promoting general well-being. Each kidney, approximately the size of a fist, carries out multiple vital tasks. A kidney structure overview is as follows:
  • Outer Region (Renal Cortex): The area outside the kidney.
  • Inner Region (Renal Medulla): Consists of renal pyramids and columns.
  • Functional Units (Nephrons): Essential units in the kidney. There are roughly 1 million in each kidney. Nephrons are responsible for filtering blood and creating urine.
  • Central Area (Renal Pelvis): The middle part where urine gathers before passing to the ureter.
The kidneys filter around 120–150 quarts of blood daily, eliminating waste and unnecessary substances. Filtering occurs in small structures called glomeruli within the kidneys [1]. Waste like urea, creatinine, and uric acid is taken out of the blood by the kidneys and leaves the body as urine. The kidneys maintain fluid balance by adjusting urine production. They also regulate electrolytes, such as sodium, potassium, and calcium. pH balance is maintained by removing hydrogen ions and reabsorbing bicarbonate from the urine. The kidneys use the renin–angiotensin–aldosterone system (RAAS) to manage blood pressure. The kidneys manage the blood volume by controlling the amount of sodium and water kept or expelled. The kidneys clear toxins and medications from the blood, aiding in detoxification. They are crucial for maintaining homeostasis, ensuring that the body’s internal environment stays stable despite external changes. They help break down substances and convert vitamin D into an active form essential for calcium absorption and bone health. The kidneys also produce erythropoietin, producing enough red blood cells to prevent anemia. Their role in blood pressure regulation helps prevent hypertension and cardiovascular diseases [1,2].
CKD is a significant global health issue becoming more common and has substantial financial implications for healthcare systems [3]. It is called a “chronic” disease because the kidney disease begins gradually and lasts for a long time, which affects the functioning of the urinary system [3]. This condition results in the early death of many patients due to a gradual decline in kidney function. Around one-tenth of adults suffer from CKD, ranking it as one of the leading causes of death globally. In 2016, CKD led to the passing of 753 million individuals globally [4]. Among them, 336 million were males, and 417 million were females [4]. In its initial stages, CKD usually does not cause any noticeable symptoms. However, if not identified and managed promptly, it can lead to permanent kidney damage and other health complications, such as fatigue and weakness, swelling in legs, ankles, feet, and face, shortness of breath, nausea and vomiting, loss of appetite, persistent itching, changes in urine output (frequency and color), muscle cramps and twitches, and difficulty sleeping. Individuals with CKD are more likely to have conditions such as diabetes, hypertension, and cardiovascular problems, which can contribute to the progression of the disease [5].
CKD patients experience various complications, particularly in advanced stages, that impact the nervous and immune systems. In less affluent nations, individuals may progress to these advanced stages, necessitating either dialysis or a kidney transplant. Healthcare professionals assess kidney function using the glomerular filtration rate (GFR), which is influenced by factors like age, blood tests, gender, and other patient-specific aspects. Based on the GFR value, physicians categorize CKD into five distinct stages. This is illustrated in Table 1, which outlines the different stages of CKD based on GFR levels. The progression of kidney disease can be identified early and managed effectively through timely diagnosis and intervention.
Detecting and addressing CKD in its early stages is crucial for preventing its advancement to kidney failure. Timely diagnosis is critical to delaying the advancement of kidney harm and extending the lifespan of patients, even when kidney function is inadequate, and to providing effective treatment. Failure to detect the disease early can result in kidney failure, necessitating ongoing dialysis or a kidney transplant to maintain a healthy life [3,6].
CKD can appear in various forms, such as stones, cysts, and cancer. Kidney stones, also known as renal calculi, are solid structures of minerals and salts that form within the kidneys. These deposits vary in size and can affect different parts of the urinary system, ranging from the kidneys to the bladder. An increased concentration of minerals in the urine allows crystallization and fusion, giving rise to these stones. Changes in urine composition, resulting in altered levels of water, salts, minerals, and other substances, can lead to the development of kidney stones. The symptoms of kidney stones may not be evident until they move within the kidney or enter the ureter. At that point, symptoms such as intense pain in the side and back, pain below the ribs, and pain that spreads to the lower abdomen and groin may occur [7].
Kidney cysts are fluid-filled sacs that develop inside or on the kidneys. They can vary from simple, benign sacs requiring minimal intervention to complex or numerous PKD cysts requiring ongoing management and monitoring. Simple kidney cysts are generally benign and may not show any symptoms, while complex cysts could potentially point to a more severe issue, such as cancer. Simple kidney cysts are frequently encountered, deemed harmless, and commonly recorded as a side note in imaging examinations. They generally do not present any symptoms or lead to complications. Complex kidney cysts have irregular shapes, may contain solid material, and pose a higher risk of being cancerous. They necessitate closer monitoring and, potentially, additional evaluation. The symptoms of complex kidney cysts include pain or tenderness in the back or sides, blood in the urine, frequent urinary tract infections (UTIs), high blood pressure, an enlarged abdomen due to large kidneys, and kidney stones [8].
Kidney cancer is a type of cancer that starts in the kidneys. The most common type of kidney cancer in adults is renal cell carcinoma (RCC), accounting for around 90% of diagnosed cases [9]. Other types include transitional cell carcinoma, Wilms’ tumor (usually found in children), and renal sarcoma. Kidney cancer ranks as the 14th most common cancer worldwide, with RCC making up almost 3% of all cancer cases, according to the 2022 update from the European Association of Urology [9,10]. The occurrence of RCC varies between males and females, comprising 5% of all male cancers and 3% of all female cancers [11]. RCC is the most prevalent form of kidney cancer, representing about 2–3% of all cancer cases [12]. The main subtypes of RCC are ccRCC, pRCC, and chRCC, which account for more than 90% of RCC cases [13]. Among these subtypes, ccRCC is considered the most deadly, while pRCC and chRCC have higher survival rates. In the early stages of RCC, symptoms may not be noticeable. However, as cancer progresses, symptoms may include blood in the urine (hematuria), persistent pain in the side that does not go away, a lump or mass in the abdomen or side, unexplained weight loss, intermittent fever, fatigue, loss of appetite, and anemia [14,15].
Five diagnostic procedures are employed to identify CKD [3]:
  • Blood tests measure creatinine levels and estimate GFR. However, GFR estimates may not be accurate for individuals with varying body sizes, muscle mass, or ages.
  • Urine analysis checks for protein (proteinuria) and blood. Nevertheless, temporary factors like fever, exercise, or infection can lead to false positives for protein or blood presence, while incorrect urine collection practices can impact test outcomes.
  • Ultrasound scans show kidney size, structure, and possible obstructions or cysts. However, their ability to detect early or minor structural changes is limited, and results can vary based on technician expertise.
  • Magnetic resonance imaging (MRI) and computed tomography (CT) scans offer detailed kidney images, albeit at a higher cost and with lower accessibility than ultrasounds. Moreover, the contrast agents used in some CT scans can be harmful to the kidneys, potentially worsening kidney function in patients with CKD.
  • Renal biopsy involves examining a small piece of kidney tissue for specific diseases.
With the growing number of individuals facing CKD issues, the shortage of specialized doctors, and the high expenses associated with diagnosis and treatment, particularly in less developed nations, there is an apparent demand for utilizing computer-aided diagnosis (CAD) models to assist physicians and radiologists in making informed diagnostic choices [3]. Artificial intelligence (AI) methods have played a crucial role in the healthcare industry, especially in the analysis of medical images. By utilizing deep learning (DL) strategies, AI has enhanced the ability to predict and detect CKDs in their early stages. DL technology is considered cutting-edge due to its autonomous feature recognition capabilities, distinguishing it from traditional methods that require human intervention. This advancement has facilitated the development of predictive models for early CKD diagnosis utilizing established pattern analysis methods. DL algorithms have demonstrated superior performance to conventional machine learning (ML) models, achieving exceptional accuracy levels that often match or surpass human capabilities. Consequently, DL is widely acknowledged as the preferred approach for handling medical image data, especially in radiology, where valuable insights are extracted from images [16].
This research proposes KidneyNet, a novel and enhanced CNN model for identifying CKD. This model consists of eight convolutional layers with different numbers of filters (128, 256, and 512), each sized at 3 × 3. Additionally, it contains three max-pooling layers with a size of 3 × 3, a flattening layer, two FC layers with 1024 neurons in each, and a final output layer with 4 neurons, corresponding to the different CKD categories. Utilizing smaller 3 × 3 filters in a neural network helps recognize detailed patterns and complex structures within the data. When these filters are combined across eight layers, they progressively extract more abstract features. Using 3 × 3 filters also enhances computational efficiency by reducing the number of parameters, decreasing the risk of overfitting compared to larger filter sizes.
With eight convolutional layers, the network forms a deep architecture capable of identifying features that range from basic edges to advanced semantic concepts. This structure improves the model’s ability to recognize complex patterns in the data. As the network deepens, it accommodates more filters in the deeper layers (increasing from 128 to 256 to 512), allowing the model to capture more intricate and abstract features as the data move through the layers. While the initial layers focus on fundamental patterns, the deeper layers concentrate on more complex representations.
The researchers in previous studies concentrated on metrics such as accuracy, precision, recall, and F1 score. However, they did not evaluate their results using statistical confidence intervals. In contrast, we have effectively utilized statistical techniques to analyze and compare results from various DL methods by examining confidence intervals, which underscores the distinct advantage of our approach. Authors of earlier research did not employ the Grad-CAM algorithm. In contrast, we incorporated this algorithm to pinpoint specific areas affected by ground-glass opacities (GGOs) associated with chronic kidney diseases (CKDs). Additionally, the authors of previous studies did not carry out an ablation study. In contrast, we conducted such a study to comprehend the effects of individual components or features within our proposed model by systematically removing or altering them and observing the impact on performance.
Consequently, the proposed model improves clinicians’ capacity to detect CKDs at an early stage, which ultimately helps to decrease both the time and costs involved in the diagnosis. To validate this novel approach, an experiment was carried out using a CT kidney dataset, which covers four distinct categories: stone, cyst, tumor, and normal. The initial preprocessing of the CT kidney dataset involved resizing and normalization techniques. Subsequently, the dataset was split into an 85% training set (10,579 CT scans) and a 15% testing set (1867 CT scans). The effectiveness of this refined classifier was compared against four other DL techniques: EfficientNet-B1, EfficientNet-B2, Xception, and VGG19. Below is a summary of the contributions of our research:
  • We introduce a novel CNN algorithm called KidneyNet to identify CKDs precisely. Our CNN model comprises eight convolutional layers with varying numbers of filters (128, 256, and 512), each with a 3 × 3 size. Additionally, it features three max-pooling layers sized at 3 × 3, a flattening layer, two fully connected (FC) layers with 1024 neurons each, and a final output layer with 4 neurons representing different CKD categories.
  • The Grad-CAM algorithm detects vascular thickening and analyzes the peripheral and diffuse distributions of opacities in MRI images. This method helps doctors understand the underlying factors that contribute to CKDs.
  • Our cutting-edge methodology yields favorable results, enhancing the diagnostic procedure by precisely pinpointing patient ailments. This advancement lessens the burden on radiologists by furnishing them with an automated resource for evaluating kidney function, reducing the likelihood of misdiagnosis.
  • The new CNN model was meticulously designed to ensure proper balance and mitigate issues related to overfitting.
  • Compared to four DL models, our CNN model exhibited exceptional performance in handling precise multiclassification tasks. The KidneyNet model delivers remarkable results, with an average accuracy of 99.88%, a specificity of 99.92%, a sensitivity of 99.76%, a precision of 99.58%, and an outstanding F1 score of 99.67%.
This paper is organized into the following sections. Section 2 introduces a review of CKD detection systems in the literature. The preprocessing procedures for the CT kidney dataset and the methodology of the new CNN model are detailed in Section 3. The experimental findings of the KidneyNet model are exhibited in Section 4. Lastly, Section 5 outlines the conclusions drawn from our KidneyNet model.

2. Literature Review

CKD diagnosis is a popular research subject in analyzing medical images. Numerous studies have explored this issue from various angles. For instance, Senan et al. [3] examined a dataset from 400 patients, each described by 24 characteristics. The researchers employed mean and mode statistical techniques to fill in missing numerical and nominal values. To pinpoint the most essential features within the dataset, they utilized recursive feature elimination (RFE). Four different classification methods were then applied: support vector machine (SVM), k-nearest neighbors (KNN), decision tree (DT), and random forest (RF). The results of the classification methods were positive overall.
Chen et al. [8] developed an ensemble model that combines segmentation and registration techniques to visualize the inner workings of the kidney and accurately detect hidden kidney stones. This model integrated three datasets—non-contrast CT scans, corticomedullary CT scans, and CT excretory scans—with annotations to improve the detailed kidney anatomy’s three-dimensional (3D) reconstruction. Initially, the researchers used segmentation models to identify and label specific categories within the annotated datasets. Subsequently, a registration algorithm was applied to align and merge the segmented results, leading to a comprehensive 3D representation of the kidney’s anatomical structure. During the segmentation phase, three advanced segmentation algorithms were employed and evaluated, with the most accurate segments selected for the subsequent registration step. The registration process effectively aligned the kidneys across all phases and combined the segmented labels to create a detailed 3D visualization of the complete kidney structure. Notable segmentation achievements included those obtained with the Swin UNETR model, achieving the highest Dice similarity coefficient (DSC) of 95.21% for kidney segmentation. The ResU-Net model excelled in stone segmentation with a DSC of 87.69%. The ResU-Net and 3D U-Net models performed similarly with comparable DSCs for artery, cortex, and medulla segmentation. Likewise, the ResU-Net and 3D U-Net models showed similar performance regarding DSCs for the collecting system and parenchyma segmentation.
Koelzer et al. [12] utilized a DL framework based on images to differentiate between three primary subtypes of renal cell carcinoma: clear cell, papillary, and chromophobe. The images used were obtained through CT. A dataset for benchmarking, comprising 169 confirmed cases of renal cancer, was established. Each case involved image acquisition at three different phases: phase 1 (before contrast agent injection), phase 2 (1 min post-injection), and phase 3 (5 min post-injection). Following image capture, radiologists outlined rectangular regions of interest (RoIs) on images from each phase. After concatenation, these RoIs were cropped and assigned a combined weight before being input into a DL neural network. The neural network was trained to categorize the subtypes of renal cell carcinoma, with the drawn RoIs serving as inputs and biopsy results as labels. The network demonstrated an accuracy of approximately 85%, sensitivity ranging from 64% to 98%, specificity between 83% and 93%, and an area under the curve (AUC) of 90%. The proposed framework, which leverages a DL approach alongside RoIs provided by radiologists, yielded promising outcomes in classifying renal cell subtypes. This methodology has the potential to aid future research in this field and assist radiologists in distinguishing lesion subtypes in real clinical settings.
Alzu’bi et al. [16] created models to identify kidney tumors (KTs) in CT scans. They introduced 2D-CNN models tailored explicitly for detecting and categorizing KTs. These models included a variety of architectures, such as a 2D CNN with 6 layers (CNN-6), ResNet50 with 50 layers, and VGG16 with 16 layers, all focused on KT detection. Additionally, they utilized a 2D CNN with four layers (CNN-4) for KT classification. Moreover, they curated a new dataset from King Abdullah University Hospital (KAUH), comprising 8400 images from 120 adult patients who underwent CT scans due to suspected kidney masses. This dataset was divided into 80% for training and 20% for testing. The accuracy rates for the detection models CNN-6 and ResNet50 were notably high at 97% and 96%, respectively, while the VGG16 model achieved an accuracy of 60%. On the other hand, the classification model CNN-4 showed an accuracy of 92%.
Hossain et al. [17] concentrated on improving the clarity of CT scan images in the CT kidney dataset by applying cropping, resizing, and CALHE techniques. They split the dataset into 80% for training and 20% for testing. The researchers then used their new adaptive local binary pattern (ALBP) method to extract features and compared it to the standard local binary pattern (LBP) method. The features generated by their method were fed into different classifiers, including RF, DT, naive Bayes (NB), KNN, and SVM. The authors investigated an ensemble model using soft voting to enhance their model, resulting in a more reliable model for their objective. Combining the extracted features and employing an ensemble of five classifiers (RF, DT, NB, KNN, and SVM) with the soft voting technique achieved an outstanding accuracy rate exceeding 99%.
Bingol et al. [18] analyzed CT scans of kidneys displaying stones, tumors, and cysts using a novel combination model. This new model, consisting of 29 layers, was evaluated against established models from previous research. The classification process involved extracting essential information from the sixth and seventh layers of the model and refining it through the Relief method. A comprehensive neural network classifier was utilized for the final classification. The effectiveness of the proposed model was demonstrated on a dataset of CT kidney images, with 20% of the dataset allocated for testing and 80% for training. Impressively, the model achieved a high accuracy rate of 99.37%, outperforming the top accuracy of 87.75% achieved by other models tested previously.
In Klontzas et al.’s study [19], 264 verified KTs from medical facilities in the United States and Sweden were analyzed. The dataset containing images was enlarged and randomly divided into 70% for training and 30% for testing the algorithms. Initially, three CNNs—InceptionV3, Inception-ResNetV2, and VGG-16—were trained through transfer learning. Subsequently, they were fine-tuned with the data to differentiate between malignant and benign tumors. The collective decision of these three networks was noted for comparison. The performance of each network was assessed using receiver operating characteristic (ROC) curves and the area under the ROC curve (AUC-ROC). Inception-ResNetV2 exhibited the highest AUC value of 91.8%, with a 95% confidence interval (CI) ranging from 87.3% to 96.3%. On the other hand, VGG-16 achieved an AUC of 0.813, with a 95% CI between 75.2% and 87.4%. InceptionV3 and the ensemble model showed comparable performance, attaining an AUC of 89.4%, within 95% CIs of 84.4% to 94.3%. Analysis using saliency maps suggested that Inception-ResNetV2 made decisions primarily based on tumor characteristics, whereas most other models considered factors related to the interface between the tumor and the surrounding renal tissue.
Yildirim et al. [20] introduced a novel approach to identifying kidney stones using coronal CT images and advanced DL technology. This technology has made significant advancements in the realm of AI. The automated system analyzed 1799 images from various cross-sectional CT scans of individuals and achieved an impressive accuracy rate of 96.82% in detecting kidney stones. Notably, the proposed model demonstrated the ability to accurately identify even small kidney stones. Additionally, when tested on a larger dataset of 433 subjects, the advanced DL model delivered excellent results, showing its readiness for practical clinical application. This research emphasized the potential of leveraging modern DL techniques to address complex challenges in the field of urology.
Qadir and Abd [21] proposed a method that combined the DenseNet-201 model, a pre-trained model for feature extraction, with RF, an ML technique, to diagnose CKDs (including tumors, normal tissue, cysts, and stones). This hybrid method was tested on the Kaggle dataset containing CT scans of kidneys. The dataset was divided into 80% for training and 20% for testing. The new combined approach achieved an accuracy of 99.44%.
Skalski et al. [22] introduced a method for segmenting CT images of kidney cancer. Their segmentation approach incorporated aspects of a level-set method and constraints on elliptical shapes. After segmentation, the authors detailed a method for classifying kidney cancer using rusboost and DT techniques, both falling under the field of ML. The accuracy of the segmentation and classification processes was evaluated using a dataset of CT kidney images, achieving a classification accuracy of 92.1%.
Bhandari et al. [23] introduced a basic CNN model that utilized explainable artificial intelligence (XAI) principles to classify kidney conditions such as tumors, stones, and cysts. They split the CT kidney cancer dataset into 90% for training and 10% for testing. This CNN model achieved a remarkable accuracy of 99.52%. The results from the XAI frameworks suggested that this model could be a valuable tool for IoMT devices. The current limitations of the related work are summarized in Table 2.
We propose a novel CNN model called KidneyNet to overcome the previous limitations. It consists of eight convolutional layers with different numbers of filters (128, 256, and 512), each sized at 3 × 3. Additionally, it contains three max-pooling layers with a size of 3 × 3, a flattening layer, fully connected (FC) layers with 1024 neurons in each, and a final output layer with 4 neurons, corresponding to the different CKD categories.
Using smaller 3 × 3 filters in a deep convolutional network enhances hierarchical feature learning by capturing intricate patterns and progressively abstract features through stacked layers. With eight convolutional layers, the network effectively identifies features ranging from basic edges to complex semantic concepts, leveraging depth to improve pattern recognition. Using 3 × 3 filters is computationally efficient, reducing parameter count and mitigating overfitting risks. As the network deepens, the increasing number of filters (from 128 to 256 to 512) enables the model to extract progressively more complex representations. At the same time, max-pooling layers reduce dimensionality and retain essential features, enhancing resilience to variations. Finally, two fully connected layers with 1024 neurons amplify the model’s learning capacity, synthesizing high-level features for precise classification, making it well suited for tasks like CKD differentiation.
The Grad-CAM technique was used to visualize the parts of MRIs that most influence the model’s decisions. This localization process helps doctors understand the key factors related to CKDs. Consequently, the proposed model improves clinicians’ ability to detect CKDs early, which can reduce both the time and costs involved in diagnosis. Additionally, by pinpointing the regions the model focuses on, Grad-CAM can help identify biases or errors in model training, such as overfitting irrelevant features or misclassifying objects. This feedback is valuable for refining the model.

3. Materials and Methods

3.1. CT Kidney Dataset

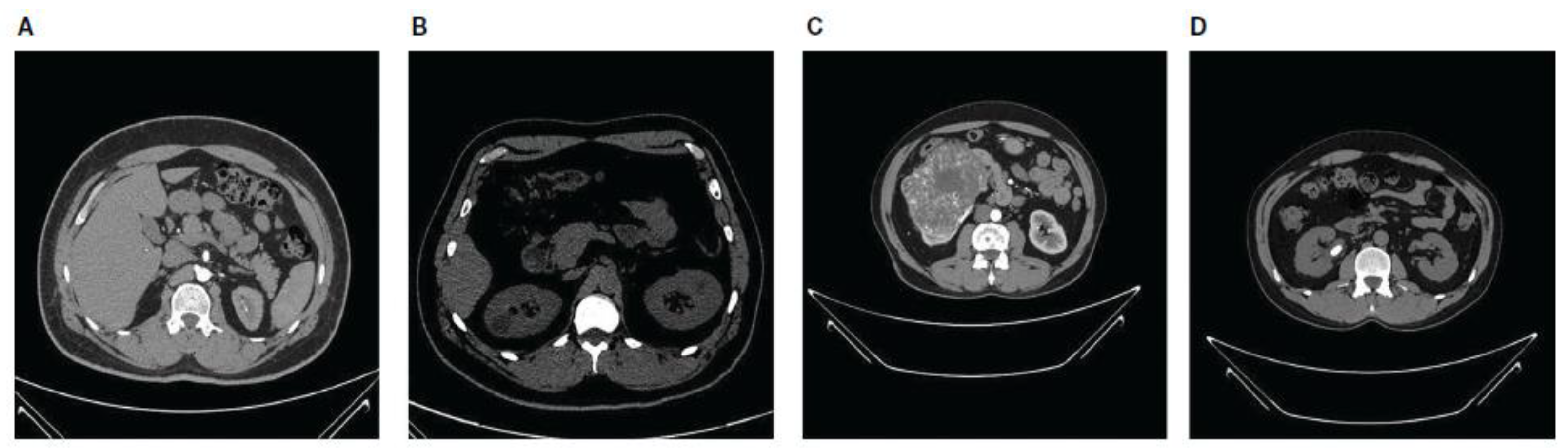
Nazmul Islam and Humaion Kabir [24] compiled the CT kidney dataset using the picture archiving and communication system (PACS) from several hospitals in Dhaka, Bangladesh. Some hospitals in Dhaka serve a wide variety of urban communities. Given that Dhaka is a highly populated and culturally diverse city, the dataset probably includes people from different socioeconomic statuses, enhancing its ability to represent urban patients in Bangladesh. This dataset includes images of patients with normal kidneys, tumors, stones, or cysts. The dataset includes coronal and axial cuts from both non-contrast and contrast urogram and abdomen CT scans, totaling 12,446 images—normal: 5077 CT images; cyst: 3709 CT images; stone: 1377 CT images; and tumor: 2283 CT images. Each CT image was sized 512 × 512 pixels. The dataset can be found on Kaggle, and its class distribution is shown in Table 3. The CT images were originally in DICOM format but were converted to JPEG using the Sante Dicom tool. The CT images were annotated using the Philips IntelliSpace Portal application and were double-checked by a medical professional and technician to ensure accuracy. Figure 1 depicts a sample of CT images from this CT kidney dataset.
In our experiment, we considered ethical matters. While the dataset description does not explicitly mention ethical approvals or consent, it is generally understood that open-source datasets comply with ethical guidelines. Consent for the use of de-identified data is typically obtained from patients during the data collection phase. For datasets collected and shared on platforms like Kaggle, the responsibility for ensuring compliance with privacy regulations usually falls on the data provider.

3.2. Methodology

We introduced an improved CNN model designed for detecting CKDs. This model consists of eight convolutional layers with different numbers of filters (128, 256, and 512), each set at a size of 3 × 3. Moreover, the model incorporates three max-pooling layers at 3 × 3, a flattening layer, two FC layers with 1024 neurons each, and a final output layer containing 4 neurons corresponding to distinct CKD categories. The main objective of this CNN model is to simplify the early detection of CKDs for healthcare professionals, aiming to reduce the time and cost associated with traditional diagnostic approaches. To validate this innovative method, an experiment was carried out using the CT kidney dataset, which includes four categories: stone, cyst, tumor, and normal. The initial preprocessing of the CT kidney dataset involved resizing and normalization techniques. Subsequently, the dataset was split into an 85% training set (10,579 CT scans) and a 15% testing set (1867 CT scans). The performance of this advanced classifier was compared against four other DL techniques: EfficientNet-B1, EfficientNet-B2, Xception, and VGG19. Figure 2 shows the proposed KidneyNet model architecture. Algorithm 1 outlines the steps for fine-tuning the proposed KidneyNet and the other four DL models. The process of the proposed KidneyNet model is as follows:
Phase 1 (CT kidney Dataset Preprocessing): The CT scans from the CT kidney dataset [24] were initially processed. A key step in this process is the preprocessing phase, which is vital for ensuring the accuracy of the results. The CT images were resized and normalized in the preprocessing phase to standardize their appearance and dimensions.
Phase 2 (CT kidney Dataset Splitting): The CT kidney dataset was divided into two sets for training and testing purposes. The training set comprised 85% of the dataset, totaling 10,579 instances, while the testing set contained 15%, amounting to 1867 instances.
Phase 3 (Pre-training the Five DL Models): In phase 3, we conducted the supervised pre-training phase, during which the proposed KidneyNet, EfficientNet-B1, EfficientNet-B2, Xception, and VGG19 models were trained using the ImageNet dataset.
Phase 4 (Fine-tuning the Five DL Models): In the 4th phase, the transfer learning process moved to the next step, known as fine-tuning. This step focused on adjusting the hyperparameters of the five DL models to enhance performance using the training data from the CT kidney dataset.
Phase 5 (Multiclassification): In the classification phase, we tested the five models on the testing data from the CT kidney dataset.
Phase 6 (Model Evaluation): In the final phase, we evaluated the five models using different criteria to check their flexibility and ensure their effectiveness with new data.
Algorithm 1: The Fine-tuning Algorithm for the Five DL Models
1Input      CT   kidney   dataset   C T _ D
2Output  Five fine-tuned DL models for CKDs
3BEGIN
4   STEP 1: Preprocessing of CT Scans
5    FOR EACH   CT   scan   IN   the   C T _ D   DO
6    Resize a CT image to 224 × 224.
7   Normalize CT image pixel values from [0, 255] to [0, 1].
8    END FOR
9    STEP 2: CT Splitting
10     SPLIT   C T _ D  INTO
11      Training set   85 %  
12      Training set   15 %  
13    STEP 3: [CNN, EfficientNet-B1, EfficientNet-B2, Xception, and VGG19] Pre-Training
14   FOR EACH DL IN [KidneyNet, EfficientNet-B1, EfficientNet-B2, Xception, and VGG19] DO
15    Load and pre-train DL on the ImageNet dataset
16    END FOR
17    STEP 4: [CNN, EfficientNet-B1, EfficientNet-B2, Xception, and VGG19] Fine-Tuning
18   FOR EACH pre-trained DL IN [KidneyNet, EfficientNet-B1, EfficientNet-B2, Xception, and VGG19] DO
19    Optimize a pre-trained DL model by tuning their hyperparameters for improved performance.
20    END FOR
21    STEP 5: Multiclassification
22   FOR EACH fine-tuned DL IN [KidneyNet, EfficientNet-B1, EfficientNet-B2, Xception, and VGG19] DO
23    Test a fine-tuned DL on the testing data from the CT kidney dataset.
24    END FOR
25    STEP 5: Models Evaluation
26   FOR EACH fine-tuned DL IN [KidneyNet, EfficientNet-B1, EfficientNet-B2, Xception, and VGG19] DO
27    Calculate the measured criteria on the testing data from the CT kidney dataset.
28    END FOR
29END

3.2.1. Data Preprocessing

Processing CT scans involves upgrading the image quality before inputting them into DL models. This initial processing is essential for enhancing the efficiency of CAD models. The primary stages in preprocessing CT scans include the following [25]:
  • Resizing: Modifying image dimensions to a consistent size for uniformity across the dataset. This is crucial for models that depend on images of identical sizes.
  • Normalization: Adjusting pixel values to a standardized range, such as [0, 1] or [−1, 1], to ensure stability during training and facilitate convergence.
  • Standardization: Scaling pixel values to achieve a mean of zero and a variance of one, rendering features more comparable and potentially boosting algorithm performance.
  • Noise Reduction: Utilizing filters or denoising techniques to eliminate image noise. This procedure enhances image clarity and assists in extracting relevant features from models.
In our approach, we began by working with CT scan data to improve the performance of the five DL models. A key step in this process was standardizing and altering the size of the CT images. Resizing and normalizing the CT images were crucial steps in data preparation. More specifically, images from the CT kidney dataset were adjusted to dimensions of 224 × 224. Moreover, the CT scans were transformed from 0 to 255 for consistency to a normalized scale from 0 to 1.

3.2.2. KidneyNet

A CNN is a popular DL model utilized to interpret visual information. It excels at tasks such as categorizing images, identifying objects, and segmenting images. Within CNNs, there are specific layers known as convolutional layers. These layers conduct a convolution operation on the input data, forwarding the outcome to the subsequent layer. This layered organization enables CNNs to comprehend spatial patterns of features, enhancing their proficiency in processing image-based information. The key components of a CNN are as follows:
  • Convolutional Layers: These layers apply filters to the input data to identify specific features at different spatial positions within the input.
  • Activation Functions: These are non-linear functions used post-convolution to introduce complexity into the neural network, often employing Rectified Linear Unit (ReLU) as a common choice.
  • Pooling Layers: These layers perform downsampling across spatial dimensions like width and height, reducing parameters and computational load in the network. Max pooling and average pooling are commonly used types.
  • Fully Connected (Dense) Layers: Following multiple convolutional and pooling layers, the neural network’s higher-level decision-making occurs within these dense layers.
  • Softmax Layer: Found at the end of a classification CNN, this layer converts the network’s raw outputs into probabilities for each class.
The architecture of KidneyNet is depicted in Figure 3 and described as follows:
  • Input Layer: Receives input image data sized at 224 × 244 pixels.
  • Eight Convolutional Layers: Apply eight convolution filters, each followed by a ReLU activation function. This design improves the model’s ability to identify intricate patterns within the data.
  • Three Max-Pooling Layers: Reduce the size of the feature maps obtained from the previous eight convolutional layers.
  • Two FC Layers: Contain 1024 neurons, significantly boosting the network’s learning capacity. These layers allow the network to analyze complex relationships and interactions among the high-level features identified by the convolutional layers. By combining features from all preceding layers, the FC layers generate task-specific representations crucial for accurate classification.
  • Output Layer: Utilizes a softmax activation function to produce four class probabilities.
The advantages associated with each aspect of the model design are as follows:
Hierarchical Feature Learning: Using smaller 3 × 3 filters in a network enables the identification of detailed patterns and intricate structures within the data. When these filters are stacked across eight layers, they extract increasingly abstract features.
Depth Enhancement: With eight convolutional layers, the network establishes a deep structure for identifying features ranging from basic edges to advanced semantic concepts. This architecture enhances the model’s capability to recognize complex patterns in the data.
Efficient Parameter Usage: Employing 3 × 3 filters leads to computational efficiency, reducing the number of parameters and decreasing the risk of overfitting compared to larger filter sizes.
Progressive Complexity: As the depth of the network increases, by accommodating more filters in deeper layers (128 to 256 to 512), the model can capture more intricate and abstract features as the data progress through the layers. While initial layers capture fundamental patterns, deeper layers focus on more complex representations.
Enhanced Adaptability: The structured approach allows the model to adjust to a wide spectrum of feature complexities, thereby enhancing its ability to differentiate between various categories related to CKD.
Reduction in Dimensionality: Through max-pooling layers, the spatial dimensions of the feature maps are reduced, aiding in lowering the computational burden and memory usage.
Feature Optimization: By identifying the maximum value within a 3 × 3 window, max-pooling layers retain crucial features while eliminating irrelevant data. This process strengthens the model’s resilience to variations.
DL Capacity: Including two FC layers with 1024 neurons significantly enhances the learning capacity. This structure enables the network to model intricate relationships and interactions among high-level features identified by the convolutional layers. By amalgamating features from all preceding layers, these FC layers create task-specific representations essential for precise classification.
The mathematical model of the CNN’s architecture is as follows [26]:
  • Convolutional Layers: Each convolutional layer performs a 2D convolution operation followed by an activation function (usually ReLU):
    Z i , j , k l = m = 0 F 1 n = 0 F 1 c = 0 C 1     W m . n , c , k l     .     X i + m , j + n , c l 1 + b k l
    where Z i , j , k l is the output at the position i , j for the k-th filter in the l -th layer,   W m . n , c , k l is the weight of the k -th filter at layer l with size F   x   F x   C , X i + m , j + n , c l 1 is the input from the previous layer at the position i + m , j + n for the c -th channel, b k l is the bias term for the k -th filter, F   is the filter size, and C   is the number of channels in the inputs. After convolution, a ReLU activation function is applied:
    A i , j , k l = max 0 ,   Z i , j , k l
    where A i , j , k l is the output value (or “activation”) at position i , j in channel k of layer l after applying the ReLU function, and Z i , j , k l is the input to the ReLU function at position i , j in channel k of layer l. This value Z is typically the result of a linear operation (such as a convolution or matrix multiplication) and a bias.
  • Max-Pooling Layers: Downsampling the layers reduces the spatial dimensions.
    P i , j , k l = max A 2 i , 2 j , k l 1 ,   A 2 i , 2 j + 1 , k l 1 , A 2 i + 1 , 2 j , k l 1 ,   A 2 i + 1 , 2 j + 1 , k l 1
    where max pooling is typically performed over a 2 × 2 window, A 2 i , 2 j , k l 1 is the top left of the 2 × 2 region, A 2 i , 2 j + 1 , k l 1 is the top right of the 2 × 2 region, A 2 i + 1 , 2 j , k l 1 is the bottom left of the 2 × 2 region, A 2 i + 1 , 2 j + 1 , k l 1 ) is the bottom left of the 2 × 2 region, and P i , j , k l is the maximum value from this set in the output feature map at position i , j   for channel k.
  • FC Layers: Each FC layer is a dense layer, where every neuron is connected to every neuron in the previous layer.
    Z k l = j = 0 N 1 W j , k l   .   X j l 1 + b k l
    where Z k l   is the output of the k -th neuron in the   l -th layer, W j , k l is the weight connecting the j -th neuron in the ( l -1)-th layer to the k-th neuron in the l -th layer, .   X j l 1   is the input from ( l -1), and b k l   is the bias term for the k -th neuron. The output of the FC layer is passed through a ReLU activation function:
    A k l = max 0 ,   Z k l
  • Softmax Layer: The final layer is a softmax layer that converts the outputs into a probability for each class:
    y i = e Z i j = 1 C e Z i
    where y i is the predicted probability for class i, Z i   is the output score for class i before applying softmax, and C is the total number of classes.

3.2.3. VGG 19

VGG19 is a CNN design created by the Visual Geometry Group (VGG) at the University of Oxford [27]. It is part of the VGGNet series and is known for its straightforward structure and depth. Expanding on the foundation of VGG16, VGG19 enriches the network by incorporating three extra convolutional layers, boosting its capacity to capture detailed image patterns. As depicted in Figure 4, this model consists of a total of 19 layers with adjustable weights, including 16 convolutional layers, 3 FC layers, and 5 max-pooling layers. The convolutional layers in VGG19 are structured as follows:
  • Two layers with 64 filters each, succeeded by max pooling.
  • Two layers with 128 filters each, followed by max pooling.
  • Four layers with 256 filters each, followed by max pooling.
  • Four layers with 512 filters each, followed by max pooling.
  • Four layers with 512 filters each, followed by max pooling.
Additionally, VGG19 incorporates two FC layers with 4096 units each and a final FC layer comprising 1000 units for classification, corresponding to the 1000 classes in ImageNet. The depth of VGG19 enables it to grasp a wide range of features at different abstraction levels, making it highly skilled in tasks like image recognition. Small 3 × 3 filters and a coherent architecture make the design and implementation straightforward. Furthermore, having been pre-trained on substantial datasets such as ImageNet, VGG19 is extensively applied in transfer learning across various computer vision tasks. This approach reduces the need for extensive labeled data and computational resources. VGG19 has many parameters, around 143 million, necessitating substantial computational resources, notable memory utilization, and high processing power. The profound complexity and detailed structure of VGG19 result in prolonged training times compared to simpler network models [27].
The VGG19 model for a multiclassification task is a sequence of operations involving convolutional layers, activation functions, pooling layers, and FC layers, each parameterized by weights learned during training. The mathematical model of VGG19 is as follows:
  • Input Layer: Input image dimensions: 224 × 224 × 3 (height, width, channels).
Sixteen Convolutional Layers and ReLU Activations: Each convolutional layer in VGG19 applies a filter to the input, which can be mathematically represented as
C o n v   x ,   W ,   b = W x + b
where ∗ denotes the convolution operation, x is the input image or feature map, W is the filter (weight matrix), and b is the bias term. After convolution, a ReLU activation function is applied:
R e L U z = max 0 ,   z
2.
Max-Pooling Layers: Max-pooling layers reduce the feature maps’ spatial dimensions (height and width) while keeping the depth unchanged. This is carried out by taking the maximum value over a sliding window. Mathematically, for a window size k x k :
M a x P o o l x i j = max {   x m , n   |   m , n   w i n d o w   a r o u n d   i , j }
3.
FC Layers: The FC layers perform the final classification. They are linear layers followed by ReLU activations, except for the last layer, which uses a softmax activation:
F C x = W . x + b
where W and b are the weights and biases of the FC layers.
4.
Softmax Layer: The softmax layer converts the logits from the final FC layer into probabilities for each class i:
S o f t m a x z e Z i j = 1 C e Z i
where Z i   is the output score for class i before applying softmax, and C is the total number of classes.

3.2.4. EfficientNet-B1 and EfficientNet-B2

EfficientNet comprises a series of CNNs known for their top-notch performance across various image classification tests, all while utilizing computational resources more effectively. The different versions of EfficientNet, ranging from EfficientNet-B0 to EfficientNet-B7, increase in complexity, with more parameters and greater computational demands as the scale moves. The structure of EfficientNet is built upon an innovative scaling technique that proportionally adjusts the model’s depth, width, and resolution using a compound coefficient. This unique method ensures a well-rounded model by maintaining a harmonious balance among these aspects, ultimately enhancing performance and efficiency. EfficientNet models use the following [28,29,30]:
  • Mobile Inverted Bottleneck Convolution (MBConv) Blocks: Mobile inverted bottleneck convolution blocks are inspired by MobileNetV2. These blocks include depthwise separable convolutions and squeeze-and-excitation (SE) optimization.
  • Compound Scaling: EfficientNet uses a compound coefficient to scale up the network width (number of channels), depth (number of layers), and input resolution in a balanced manner.
EfficientNet-B0 is considered the standard model and serves as the starting point. EfficientNet-B1 to EfficientNet-B7 represent modified versions of this starting point and were achieved by adjusting various aspects of the model through a method known as compound scaling. The scaling dimensions, including width, depth, and resolution, are enhanced by a compound multiplier ϕ, which leads to each model having distinct characteristics. When given an initial network’s α, β, and γ, the updated dimensions are determined by the following formulas: depth: d = α^ϕ; width: w = β^Ø; and resolution: r = γ^Ø. The specific values of α, β, and γ are established through experimentation to ensure a balanced network structure. Consequently, the setup for EfficientNet-B1 includes a width multiplier of 1.0, a depth multiplier of 1.1, and a resolution of 240 × 240, while the specifications for EfficientNet-B2 involve a width multiplier of 1.1, a depth multiplier of 1.2, and a resolution of 260 × 260.
EfficientNet-B1 achieves remarkable outcomes by carefully modifying the network’s depth, width, and resolution. This balance is achieved through a compound scaling technique, which proportionally adjusts all elements using a specific compound factor. This model builds upon EfficientNet-B0 with depth, width, and input size enhancements. Its structure comprises the stem, different MBConv blocks, and the head [28,29,30]. Figure 5 depicts the architecture of EfficientNet-B1.
The mathematical modeling of EfficientNet-B1 is as follows:
  • Input Layer: The input resolution is 240 × 240 × 3 (height, width, channels).
  • Stem Layer: A convolutional layer (Conv2D) with 32 filters of size 3 × 3, stride 2, and padding.
    C o n v x = W x + b  
    where W is the weight matrix, and b is the bias.
  • Batch Normalization (BN): Standardizes the input to the next layer.
    B N x = γ x μ δ 2 + ε   + β
  • ReLU6 Activation: Applies the ReLU activation function capped at 6.
    R e L U 6   x = m i n max x , 0 , 6
  • MBConv Blocks: EfficientNet-B1 uses MBConv blocks. An MBConv block consists of the following components:
  • Expansion Phase:
    x = R e L U 6 B N C o n v 1 x 1 x
  • Depthwise Convolution:
    x = R e L U 6 B N D W C o n v x
  • SE:
    z = G l o b a l A v g P o o l x
    s = σ F C 2 R e L U F C 1 z
    x = x s
  • Projection Phase:
    y = B N C o n v 1 x 1 x
  • Skip Connection (if input and output shapes are the same):
    y = y + x
    where C o n v 1 x 1 is the pointwise convolution, D W C o n v is the depthwise convolution, and σ is the sigmoid activation function. The MBConv block can be parameterized by the number of filters in the expansion phase, the kernel size of the depthwise convolution, and the number of output filters.
EfficientNet-B2 builds upon the foundation of EfficientNet-B0 by incorporating scaling techniques. It features a series of MBConv layers that leverage depthwise separable convolutions to reduce the parameters and computational resources required while maintaining high performance levels. In contrast to EfficientNet-B0, EfficientNet-B2 includes more layers to improve its ability to identify complex features. Alongside increasing its depth, EfficientNet-B2 also widens and adjusts its input resolution. This balanced scaling approach helps enhance the model’s performance without significantly increasing computational costs. EfficientNet-B2 achieves a harmonious balance between accuracy and efficiency, often outperforming other models with similar computational requirements [28,29,30].
For EfficientNet-B2, the scaling coefficients are α = 1.2 ,   β = 1.1 ,   and   γ = 1.15
  • Input Layer: The input resolution is 260 × 260 × 3 (height, width, channels).
  • Stem Layer: A convolutional layer (Conv2D) with 32 filters of size 3 × 3, stride 2, and padding.
    X s t e m = R e L U 6 C o n v 2 D X , 32 , 3 × 3 , s t r i d e = 2
  • MBConv Blocks: EfficientNet-B2 uses MBConv blocks. An MBConv block consists of the following components:
  • Expansion phase:
      X e x p a n d e d = R e L U 6 C o n v 2 D X , k C , 1 × 1
    where the input tensor X   of shape ( H , W , C ) is expanded to H , W , k C , and k  is the expansion factor (typically 6).
  • Depthwise convolution :   Depthwise convolution is applied to X e x p a n d e d :
    X d e p t h w i s e = R e L U 6 D e p t h w i s e C o n v 2 D X e x p a n d e d , 3 × 3 , s t r i d e
  • SE:
    X s q u e e z e d = G l o b a l A v g P o o l X d e p t h w i s e
    g m o i d F C X s q u e e z e d
    X s c a l e d = X d e p t h w i s e X e x c i t e d
  • Projection Phase: The tensor X s c a l e d is projected back to the original number of channels:
    X p r o j e c t e d = C o n v 2 D X s c a l e d , C , 1 × 1

3.2.5. Xception

Xception is a unique CNN architecture created by François Chollet, the creator of the Keras DL framework. In 2017, this innovative design was introduced in a research paper called “Xception: Deep Learning with Depthwise Separable Convolutions” [31]. The name “Xception” is derived from “Extreme inception.” The core idea behind Xception involves utilizing depthwise separable convolutions instead of traditional convolutional layers typically seen in structures like Inception. This approach aims to reduce the number of parameters and computational complexity while maintaining or improving the model’s performance. In depthwise separable convolutions, there are two main stages involved:
  • Depthwise Convolution: A unique convolutional filter is applied to each input channel individually during this stage. This process conducts spatial convolution separately for each channel within the input tensor.
  • Pointwise Convolution: Following the depthwise convolution, a 1 × 1 convolution, referred to as the pointwise convolution, is utilized to merge the output channels. This step helps in combining the results of the previous convolutions effectively.
Restructuring the Xception architecture, as depicted in Figure 6, separates spatial and channel-wise convolutions, leading to significant parameter reduction compared to conventional convolutional layers. This parameter decrease can enhance training speed and minimize memory usage, ultimately easing the process of training more complex neural networks. Xception has demonstrated impressive performance in various computer vision tasks, including image categorization, object identification, and semantic segmentation. Due to its efficiency and effectiveness, it is often employed as a feature extractor or key element in complex models [31].
The mathematical representation of a single block in Xception, focusing on the depthwise separable convolution:
Let us consider the input feature map X with dimensions H × W × C , where H is the height of the feature map, W is the width of the feature map, and C   is the number of input channels. The depthwise separable convolution block consists of the following operations:
  • Depthwise Convolution:
  • Let F d be the depthwise convolution filter with dimensions D×D×C, where D is the spatial dimension of the filter.
  • The output of the depthwise convolution is obtained by applying the filter F d   independently to each input channel:
    Y d = D e p t h w i s e C o n v X , F d
  • Y d  has dimensions H × W × C , where each channel results from the convolution operation applied to the corresponding input channel.
2.
Pointwise Convolution:
  • Let F p be the pointwise convolution filter with dimensions 1 × 1 × C × K , where K is the number of output channels.
  • The pointwise convolution is applied to the output of the depthwise convolution to combine features across channels:
    Y p = P o i n t h w i s e C o n v Y d , F p
  • Y p has dimensions H × W × K .
3.
Batch Normalization and Activation: Batch normalization and an activation function (e.g., ReLU) are applied element-wise to the output of the pointwise convolution:
Y = A c t i v a t i o n B a t c h N o r m Y p

3.2.6. Visual Explanations from KidneyNet via Gradient-Based Localization

Grad-CAM, which stands for gradient-weighted class activation mapping, is a technique used to visualize which parts of an image a CNN deems important for classifying that image. This method utilizes the gradients of a specific output concerning the last convolutional layer to create a heatmap overlay on the original image. The heatmap highlights the areas that most influence the network’s decision-making process. The steps of the Grad-CAM functions are as follows [32]:
  • Forward Pass: The input image is fed through the CNN to obtain the activations and predictions. The network processes the image to generate feature maps at various layers, and the final convolutional layer captures spatial information about high-level features.
  • Identifying the Target Class: Grad-CAM targets a specific class prediction by selecting the output node related to that class.
  • Gradient Calculation: To understand the importance of each feature map for the target class, Grad-CAM computes the gradients of the target class score (output) with respect to the feature maps in the last convolutional layer. This identifies how changes in feature map values affect the class score.
  • Weighting the Feature Maps: Grad-CAM then averages the gradients across each channel to obtain weights. These weights represent the importance of each feature map to the target class, where higher values indicate greater relevance.
  • Heatmap Generation: The weighted feature maps are combined and passed through a ReLU activation to focus only on positive influences. This results in a coarse heatmap highlighting areas most important for the model’s decision.
  • Overlaying on the Input Image: The heatmap is upsampled to match the input image size and overlaid on the original image, providing a visualization that shows which parts of the image contributed most to the model’s prediction.
The Grad-CAM technique has proven to be highly effective in the field of medical imaging, especially with MRI scans. It aids in identifying critical regions related to various medical conditions. For example, when detecting CKD, Grad-CAM can highlight the areas most indicative of CKD within an MRI. This enhances the interpretability of the model and offers valuable support to clinicians as they validate the model’s predictions.
By concentrating on specific areas within kidney MRI scans, Grad-CAM helps visualize potentially diseased tissues. This capability enables healthcare professionals to gain insights into the areas receiving the model’s attention, confirming its consistency with established pathological features of CKD [32]. Figure 7 depicts the outputs of the Grad-CAM technique on the CT kidney dataset.

4. Results and Discussion

4.1. Performance Metrics

The effectiveness of the five DL models, KidneyNet, VGG19, EfficientNet-B1, EfficientNet-B2, and Xception, is evaluated using Equations (32)–(38).
Accuracy = T P + T N T P + F P + T N + F N  
Precision = T P T P + F P
Sensivity = T P T P + F N
Specifity = T N T N + F P  
F 1 score = 2 × P r e c i s i o n × R e c a l l P r e c i s i o n + R e c a l l  
False   Negative   Rate   FNR = F N T P + F N
Negative   Predictive   Value   NPV = T N T N + F N  
True positives (TP) are instances correctly identified by a model as belonging to the positive class. TP represent situations where the model accurately predicts positive instances within the dataset. False positives (FP) occur when a model wrongly classifies instances as belonging to the positive category despite actually belonging to the negative category. FP happen when the model inaccurately identifies negative instances as positive ones. True negatives (TN) describe instances where a model correctly identifies instances as part of the negative class. In simple terms, TN are when the model accurately recognizes negative instances in the dataset. False negatives (FN) happen when the model wrongly identifies instances as part of the negative class even though they belong to the positive class. Simply put, false negatives are cases where the model mistakenly classifies positive instances as negative.
Accuracy is a metric that shows the number of correct predictions compared to the total instances in a dataset. It is frequently employed to evaluate the effectiveness of a classification model. Accuracy provides a general overview of how well the model works across all categories. However, it might not be the most suitable measure when there is an unequal distribution of classes in the dataset.
Precision is an important measure used to evaluate the accuracy of positive predictions made by a classification model. It calculates the proportion of correct positive predictions to all instances identified as positive by the model. Precision provides valuable insights into the model’s ability to produce accurate positive predictions, particularly when the impact of incorrect positive forecasts is substantial. Precision represents a value that falls within the range of 0 to 1. A precision of 1 indicates that all the positive predictions made by the model are correct, with no false positives. Conversely, a precision of 0 suggests that the model’s positive predictions are entirely inaccurate, with no true positives.
Sensitivity, also known as the true positive rate (TPR) or recall, is a metric used to evaluate the performance of a classification model. Sensitivity measures the accuracy with which the model identifies actual positive cases (TP) as positive. It indicates the model’s ability to correctly recognize positive cases from all the true positive instances. When sensitivity is 1, the model accurately identifies all positive instances without errors. If sensitivity is 0, the model fails to correctly identify positive instances, making no accurate identifications.
The F1 score is a commonly used measure to evaluate the effectiveness of classification models. This metric balances precision and recall, considering both FP and FN. Computed as the harmonic mean of precision and recall, the F1 score ranges from 0 to 1, with a higher value indicating better model performance. The F1 score has a maximum value of 1 (indicating perfect precision and recall) and a minimum value of 0. It discourages classifiers with unequal precision and recall scores, providing a fairer assessment of a model’s performance.
The FNR is a metric used to evaluate the performance of a classification model, particularly in scenarios where accurately identifying negative instances (when a specific condition or event is absent) is crucial. It represents the proportion of positive instances that the model incorrectly identifies as negative. The FNR is a measurement that assists us in determining the model’s ability to correctly identify positive cases. A lower FNR indicates that the model is better at detecting positive instances. On the other hand, a higher FNR suggests that the model is missing a significant number of positive instances.
The NPV is a metric used to evaluate the performance of a classification model, particularly in cases where accurately identifying negative outcomes (when a specific condition or event is absent) is crucial. The NPV represents the percentage of accurate negative predictions among all cases identified as negative by the model. The NPV provides insight into how well a model can correctly identify negative cases. This is particularly important in scenarios where accurately excluding negative cases is vital, such as in medical screenings or quality assurance processes. A higher NPV suggests that the model accurately identifies cases that do not belong to the positive category. On the other hand, a lower NPV indicates that the model incorrectly identifies a significant number of negative cases as positive.
A ROC curve is a visual tool to evaluate a classifier’s performance. This graph shows how the TPR compares to the false positive rate (FPR) at different thresholds. The FPR is the percentage of negative instances wrongly identified as positive ( F P F P + T N ), while the TPR is the percentage of positive instances correctly identified. If a classifier is no better than random chance, its ROC curve will match a diagonal line from the bottom left to the top right of the chart. In this scenario, the AUC value will be 0.5, indicating performance at the chance level. The closer the ROC curve gets to the top-left corner, the better the classifier’s performance, showcasing a higher TPR and a lower FPR. The AUC is a numerical measure of how well a classifier works. A score of 1 suggests a flawless classifier, while 0.5 means the classifier performs no better than random guessing.

4.2. Computational Requirements

In our research, we performed a single assessment on the Kaggle platform utilizing the following specifications: CPU: Intel(R) Xeon(R) CPU @ 2.20 GHz; GPU: NVIDIA Tesla P100 with 16 GB of memory; RAM: 32 GB of memory; and operating system: Ubuntu 2024 x86_64 GNU/Linux. The number of parameters utilized in our experiment and the processing time, along with their respective values, can be found in Table 4. In our study, we utilized specific hyperparameters with corresponding values. We chose the values of all hyperparameters by trial and error until we obtained the best performance. During the training phase of the KidneyNet architectures, we employed stochastic gradient descent (SGD) to optimize the hyperparameters, such as the number of epochs, the choice of optimizer, and the batch size. The initial learning rate (LR) was set to 0.001 for the first phase. The validation set was essential at the start for selecting classifiers and evaluating the model’s performance throughout and after training.

4.3. KidneyNet Evaluation

In our experiment, the CT kidney dataset was split into a training set, which included 85% of the data, amounting to 10,579 samples, and a testing set comprising 15%, totaling 1867 instances. Transfer learning was employed to pre-train the five DL models. Initially, we conducted supervised pre-training by training these models on the ImageNet dataset. Subsequently, fine-tuning was carried out on the training sets of the CT kidney dataset. Finally, the performance of the five DL models was assessed at the end of the experiment using the metrics in Equations (32)–(38).
We analyzed the CT kidney dataset through a multiclass classification study utilizing five DL models: KidneyNet, EfficientNet-B1, EfficientNet-B2, Xception, and VGG19. The dataset comprises four classes: cyst, normal, stone, and tumor. The performance of all models is detailed in Table 5, Table 6, Table 7, Table 8 and Table 9, which present the average evaluation metrics across the CT kidney dataset test set. The average accuracy rates for the models were as follows: 99.88% for KidneyNet, 98.07% for EfficientNet-B1, 98.61% for EfficientNet-B2, 98.10% for Xception, and 98.77% for VGG19. As a result, KidneyNet demonstrated the highest level of accuracy.
EfficientNet-B1 had 98.83%, 3.36%, 98.62%, 93.93%, 96.64%, and 94.93% for specificity, FNR, NPV, precision, recall, and F1-score averages, respectively. EfficientNet-B2 obtained 99.13%, 2.59%, 98.97%, 95.77%, 97.41%, and 96.54% for specificity, FNR, NPV, precision, recall, and F1-score averages, respectively. Xception achieved 98.65%, 4.50%, 98.69%, 95.62%, 95.50%, and 95.54% for specificity, FNR, NPV, precision, recall, and F1-score averages, respectively. VGG19 achieved 99.20%, 2.54%, 99.14%, 96.33%, 97.46%, and 96.84% for specificity, FNR, NPV, precision, recall, and F1-score averages, respectively.
Therefore, KidneyNet achieved outstanding results, with top scores in accuracy, specificity, NPV, precision, recall, and F1 score, all exceeding 99%. It also demonstrated the lowest FNR at just 0.24%. These excellent performance metrics across various evaluation criteria establish KidneyNet as a robust candidate for multiclassification tasks.
The CT kidney dataset was categorized into cyst, normal, stone, and tumor. Five DL models were evaluated for their performance: KidneyNet, EfficientNet-B1, EfficientNet-B2, Xception, and VGG19. Accuracy, specificity, FNR, NPV, precision, recall, and F1 score were used as metrics for the assessment within each category. In the cyst category, KidneyNet outperformed the other models, with 99.80%, 99.89%, 0.43%, 99.82%, 99.75%, 99.57%, and 99.66% for accuracy, specificity, FNR, NPV, precision, recall, and F1 score, respectively.
The proposed KidneyNet model displayed outstanding performance metrics in the normal class. It attained the highest accuracy, specificity, FNR, NPV, precision, and F1 score at 99.94%, 100%, 0.16%, 99.89%, 100%, 99.84%, and 99.92%, respectively.
The new KidneyNet model demonstrated exceptional performance metrics in the stone class. It achieved a remarkable accuracy, specificity, FNR, NPV, precision, and F1 score of 99.83%, 99.83%, 0.19%, 99.98%, 98.68%, 99.81%, and 99.24%, respectively.
In the tumor class, the proposed KidneyNet model displayed exceptional performance metrics. It exhibited a superb accuracy, specificity, FNR, NPV, precision, and F1 score of 99.95%, 99.97%, 0.18%, 99.96%, 99.88%, 99.82%, and 99.85%, respectively.
In Figure 8, the graph illustrates the validation and training losses for five DL models: KidneyNet, EfficientNet-B1, EfficientNet-B2, Xception, and VGG19. From epochs 0 to 5, training and validation losses are high for the KidneyNet model. However, they decrease significantly in the first few epochs, indicating rapid learning as the model adjusts its parameters quickly. By approximately epoch 5, both losses have reached very low values. After the sharp initial drop from epochs 5 to 20, training and validation losses remain consistently low with slight fluctuations.
The losses seem almost constant, showing that the model has captured most data patterns by this stage. There are small fluctuations in the validation loss, but these are minor and do not suggest any significant instability or overfitting. From epochs 20 to 35, the training and validation losses maintain their low and steady levels, indicating the consistent performance of the model. The closeness of the training and validation losses shows that the model generalizes well to the validation data. The KidneyNet model is highly effective, as evidenced by the rapid decline in and stabilization of training and validation losses. The consistent and minimal losses suggest that the model has successfully captured the patterns within the data and can generalize well when presented with new, unseen data. Further training beyond 35 epochs seems redundant as the losses have plateaued, indicating that the model has achieved optimal performance.
Initially, during the first epochs for EfficientNet-B1, EfficientNet-B2, Xception, and VGG19 models, both the training and validation losses start at high levels. This indicates that the models are initially learning from a point of low predictive accuracy. As training continues, the training losses drop sharply in the early stages, indicating fast learning and adjustment of the model’s weights. Similarly, the validation losses also decrease quickly, although they show more variability than the training losses. This variability highlights the models’ capacity to generalize when dealing with new data.
Between the 10th and 30th epochs, the training losses consistently decrease, but the rate of decrease slows down, showing that the models are becoming more refined in adjusting their parameters. On the other hand, the validation losses show more variation than the training losses, indicating fluctuations in performance on the validation set. However, the overall trend is downward, suggesting improvement. As both losses converge, this suggests positive progress where the model is not overfitting the training data. From epochs 30 to 60, the training and validation losses stabilize, with minor fluctuations around a low loss level. The training losses remain consistently low, showing that the models have successfully understood the training data. Likewise, the validation losses remain minimal and closely reflect the training losses, showcasing strong generalization. The four models show effective training and strong generalization skills, as shown by consistently low and converging losses across the training and validation sets. Further training epochs are unlikely to lead to significant improvements, indicating that the model has effectively captured the core data patterns.
Figure 9 shows the training and validation accuracy results for the five DL models: the new CNN, EfficientNet-B1, EfficientNet-B2, Xception, and VGG19. In the initial phase (epochs 0–5), the training accuracy is low for the KidneyNet model. However, it improves quickly in the first few epochs, indicating that the model is better at correctly identifying the training data. Similarly, the validation accuracy begins low and rises rapidly with some fluctuations, unlike the training accuracy. In the middle phase (epochs 5–20), the training accuracy continues to improve and is nearly 100%, showing that the model is gaining expertise in classifying the training data accurately. During this period, the validation accuracy varies more than the training accuracy, showing fluctuations in the model’s performance on new data. However, it generally shows improvement and approaches 100%, indicating successful learning by the model. In the last phase (epochs 20–35), the training accuracy reaches a very high level, almost reaching 100%, demonstrating near-perfect accuracy on the training data. In this phase, the validation accuracy stabilizes and stays close to the training accuracy, indicating that the model is adjusting well to the validation data with minimal risk of overfitting.
EfficientNet-B1, EfficientNet-B2, and Xception also reached a high accuracy of around 99% in training and validation. VGG19 also showcased impressive results, reaching approximately 100% accuracy after the 40th epoch, although it experienced a slight decrease after the 50th epoch.
Figure 10 depicts the ROC curves for CKD classification by KidneyNet, EfficientNet-B1, EfficientNet-B2, Xception, and VGG19. For KidneyNet, the ROC curves for the cyst, stone, and tumor classes show flawless classification performance, achieving an AUC value of 100%. For the normal class, the ROC curve indicates exceptional performance with an AUC value of 99%, highlighting a very high level of classification accuracy. The micro-average ROC curve represents the overall performance of the KidneyNet model across all classes, with an AUC of 100%. This indicates that the model achieves flawless discrimination when its performance is assessed across all classes.
EfficientNet-B1 has demonstrated outstanding classification performance across different classes. It achieved an impressive 98% AUC value for the normal, stone, and tumor classes, showing flawless classification. Additionally, the cyst class displayed exceptional performance with a 96% AUC value, indicating a very high level of accuracy in classification. The micro-average ROC curve represents the overall performance across all classes and boasts an AUC of 97%. This suggests that the model excels in distinguishing between classes with utmost accuracy when its performance is examined holistically. EfficientNet-B2 has shown remarkable classification performance across various categories. It attained an impressive 98% AUC value for the cyst, normal, and stone categories, demonstrating flawless classification.
Moreover, it exhibited outstanding performance in the tumor category, achieving a 99% AUC value, highlighting a very high level of classification accuracy. The micro-average ROC curve represents the model’s performance across all classes and boasts an AUC of 98%. This signifies that the model exhibits flawless discrimination when its overall performance is assessed across all classes.
Xception has demonstrated exceptional accuracy in categorizing different types of medical conditions. It achieved an outstanding AUC value of 98% for the cyst and normal categories, showcasing flawless classification abilities. Additionally, Xception showed remarkable performance in classifying stone and tumor categories, with AUC values of 97% and 96%, respectively, indicating a very high level of accuracy in classification. The micro-average ROC curve reflects the model’s overall performance across all categories, with an impressive AUC of 97%. This indicates that the model accurately distinguishes between different classes when its performance is evaluated comprehensively. VGG19 has proven to be highly accurate when classifying various medical conditions. It achieved an impressive 98% AUC value for the cyst and tumor groups, demonstrating flawless categorization skills. VGG19, on the other hand, displayed exceptional performance in identifying stone and normal conditions, boasting a high 99% AUC value, which signifies remarkable accuracy in classification. The micro-average ROC curve illustrates the overall effectiveness of the models across all classes, with a noteworthy AUC of 98%. This showcases the model’s ability to effectively differentiate between different categories when its performance is evaluated comprehensively.
Figure 11 shows the confusion matrices of KidneyNet, EfficientNet-B1, EfficientNet-B2, Xception, and VGG19 when tested on the CT kidney dataset for the four classes: cyst, normal, stone, and tumor. The test set of the CT kidney has 1867 CT scans: 556 for the class cyst, 762 for the class normal, 207 for the class stone, and 342 for the class tumor. The KidneyNet model correctly identified 554 cases of cysts as cysts (TP), achieving a 99.7% accuracy rate. There were two cases where cyst samples were incorrectly identified as stones and labeled as FN. This confusion arose due to overlapping features in imaging; both conditions can appear as dense, rounded areas in scans. The model may find it challenging to differentiate between these conditions in borderline scenarios.
Additionally, five normal instances were wrongly classified as cysts (FP). This misclassification may result from the model being overly sensitive to slight anomalies in normal kidneys, which can lead to false positives. In evaluating the EfficientNet-B1 model, 514 cyst samples were correctly identified as cysts (TP), resulting in a 92.4% accuracy rate. One cyst sample was misclassified as normal, and 41 cyst samples were mistakenly classified as stones, representing FN. Additionally, 1 normal sample and 1 stone sample were erroneously categorized as cysts (FP). When analyzing the performance of the EfficientNet-B2 model, 96.4% of the 514 cyst samples were accurately identified as cysts (TP). However, 17 cyst samples were incorrectly classified as stones, and 3 cyst samples were mistakenly labeled as tumors, leading to FN instances. Seven normal and five stone samples were also inaccurately classified as cysts (FP). When evaluating the Xception model, 97.12% of the 540 samples identified as cysts were correctly classified as cysts (TP). However, 16 samples initially detected as cysts were wrongly categorized as 7 stones, 4 normal samples, and 5 tumors, resulting in FN. Furthermore, 7 normal samples, 4 stone samples, and 12 tumor samples were incorrectly classified as cysts (FP).
Regarding the VGG19 model, 95.8% of the 533 samples identified as cysts (TP) were accurately classified. Nonetheless, 19 samples initially identified as cysts were misclassified as stones, 2 as normal samples, and 2 as tumors, resulting in FN instances. Additionally, two normal and two stone samples were mistakenly classified as cysts (FP) during evaluation.
The KidneyNet model accurately identified 754 normal samples, achieving a high accuracy rate of 98.95%. It misclassified eight normal instances as five cysts and three tumors. Additionally, one instance of a stone was incorrectly classified as normal, suggesting that some features of the stone may closely resemble typical kidney characteristics. Improved training focused on recognizing subtle patterns in stones could help resolve this issue. EfficientNet-B1 correctly identified 743 normal samples as normal, resulting in a 97.50% accuracy rate. However, it misclassified 1 normal sample as a cyst, 15 as stones, and 3 as tumors. Moreover, nine tumor samples were inaccurately labeled as normal. Out of 740 normal samples, EfficientNet-B2 accurately identified 97.11% as normal. Yet, 22 normal samples were misclassified as 7 cysts, 5 stones, and 10 tumors. Additionally, three tumor samples were mistakenly categorized as normal. Among 743 samples identified as normal, the Xception model correctly classified 97.50% as normal. Notably, 19 samples initially detected as normal were wrongly labeled as 7 cysts, 9 stones, and 3 tumors. Furthermore, 7 stone samples and 12 tumors were incorrectly classified as normal. The VGG19 model achieved a high accuracy of 98.9% in classifying 754 normal samples. However, eight samples initially identified as normal were mistakenly classified as two cysts and six tumors. Additionally, one stone sample and eight tumors were erroneously classified as normal.
The KidneyNet model correctly recognized 206 stone samples with an impressive accuracy of 99.51%. It misidentified one stone instance as normal (FN) and two cyst instances as stones (FP). The EfficientNet-B1 model accurately identified 206 stone samples, achieving a 99.51% accuracy rate. However, it misclassified one stone sample as a cyst. Furthermore, it inaccurately labeled 1 tumor, 15 normal samples, and 41 cyst samples as stones. Out of 202 stone samples, EfficientNet-B2 accurately identified 97.58% as stones but incorrectly identified 5 stone samples as cysts. Additionally, 2 tumor samples, 5 normal samples, and 17 cyst samples were mistakenly categorized as stones. Among the 196 samples identified as stones, the Xception model correctly classified 94.68% as stones. Notably, 11 samples initially detected as stones were wrongly labeled as 4 cysts and 7 normal samples. Moreover, one tumor sample, nine normal samples, and seven cysts were incorrectly classified as stones. The VGG19 model achieved a high accuracy of 98.55% in classifying 204 stone samples. However, three samples initially identified as stones were mistakenly classified as two cysts and six normal samples. Additionally, 4 tumor samples and 19 cysts were erroneously classified as stones.
The CNN model correctly identified 342 tumor samples with 100% accuracy but misclassified 3 normal instances as tumors. The EfficientNet-B1 model accurately identified 332 tumor samples, achieving a 97.07% accuracy rate. However, it misclassified one tumor sample as a stone and nine as normal. EfficientNet-B2 correctly identified 98.53% of tumor samples but misclassified three tumors as normal samples and two tumors as stones. It also inaccurately labeled 10 normal samples and 3 cyst samples as tumors. Among the 317 tumor samples identified, the Xception model classified 92.69% correctly. However, 25 samples initially identified as tumors were labeled as 12 cysts, 12 normal samples, and 1 stone. Also, three normal and five cyst samples were incorrectly categorized as tumors. The VGG19 model achieved a high accuracy of 96.49% in classifying 330 tumor samples. Yet, 12 samples initially identified as tumors were classified as 4 stones and 8 normal samples. Moreover, six normal samples and two cysts were wrongly classified as tumors.

4.4. Ablation Study

During the training phase of the KidneyNet architectures, we employed an SGD optimizer to optimize the hyperparameters, such as the number of epochs, the choice of optimizer, and the batch size. We tested various optimizers, including root-mean-squared propagation (RMSprop) and adaptive moment estimation (Adam). The initial LR was set differently for each phase: 0.001 for the first phase and 0.00001 for the second phase. The validation set was essential at the start for selecting classifiers and evaluating the model’s performance throughout and after training. Table 10 and Figure 12 show the validation accuracy achieved by the KidneyNet architecture.
To evaluate the generalizability of the KidneyNet model, we performed two additional experiments. The second experiment involved a five-fold cross-validation approach. The results of the five iterations (or folds) of KidneyNet are summarized in Table 11. In each iteration, one of the five folds served as the testing set, while the remaining four were utilized as the training set. The model was trained on this training set and evaluated on the testing set. This entire process was repeated five times, ensuring each fold was designated as the testing set exactly once. After completing the five iterations, we computed the average performance metrics across all five folds to obtain a comprehensive estimate of the model’s performance.
The third experiment involved a ten-fold cross-validation approach. The results of the ten iterations (or folds) of KidneyNet are summarized in Table 12. In each iteration, one of the ten folds served as the testing set, while the remaining nine were utilized as the training set. The model was trained on this training set and evaluated on the testing set. This entire process was repeated ten times, ensuring each fold was designated as the testing set exactly once. After completing the ten iterations, we computed the average performance metrics across all five folds to obtain a comprehensive estimate of the model’s performance.
According to Table 11, the confidence interval for KidneyNet based on accuracy is [99.83, 99.92]. In Table 12, the confidence interval for KidneyNet based on accuracy is [99.70, 99.99].

4.5. Clinical Variations

Patients may present with various clinical variations related to kidney conditions, including tumors, cysts, or stones, as shown in Figure 13. Kidney tumors appear as irregularly shaped masses within the renal parenchyma (the functional tissue of the kidneys) and can displace or invade nearby structures. Kidney cysts are fluid-filled sacs that develop within or on the kidneys and are usually benign. Kidney stones are hard deposits of minerals and salts within the kidneys. Hence, the KidneyNet model aims to assist healthcare professionals in early CKD detection, thereby streamlining the diagnosis time and reducing associated costs. This advancement not only alleviates the workload on radiologists but also provides them with an automated tool to assess kidney function accurately, ultimately minimizing the risk of misdiagnosis.

4.6. Comparing the Outcomes with the Current State-of-the-Art Methods

Achieving an accuracy rate of 99.88% in classifying CKD using our CNN model showcases its outstanding results. This indicates that the model excelled in its designated task. As a result, our fine-tuned CNN model outperformed other recent techniques listed in Table 13. The training of KidneyNet requires a graphical processing unit (GPU). This allows hospitals to run KidneyNet on ordinary standard desktop computers, which can assist healthcare professionals in the early detection of CKDs. As a result, hospitals can streamline the diagnosis process and reduce associated costs. This advancement not only alleviates the workload on radiologists but also provides them with an automated tool to assess kidney function accurately, ultimately minimizing the risk of misdiagnosis.
According to Table 13, KidneyNet achieved the highest reported accuracy of 99.88%. Bhandari et al. [23] reported an impressive accuracy of 99.52%, while Qadir and Abd [21] achieved 99.44%.
In contrast, Skalski et al. [22] recorded a lower accuracy of 92.1%. DL methods, particularly those based on CNNs, consistently outperformed traditional ML methods regarding accuracy. Custom architectures, such as KidneyNet, and hybrid models that combine DL with traditional classifiers, like DenseNet-201 paired with RF, demonstrated superior results. This highlights the importance of model customization and the benefits of hybrid approaches. While preprocessing techniques like CALHE and ALBP enhanced the performance of traditional ML models, they still fell short of achieving the accuracy levels seen with deep learning techniques.
A limitation of this research is the geographic scope of the dataset used. Although the CT kidney dataset includes information from multiple hospitals in Dhaka, reflecting a diverse urban demographic, it is still restricted to a single geographic region. Nonetheless, it is the only dataset employed for the detection of CKDs. Future research should focus on examining datasets from more internationally diverse populations to assess the reliability and relevance of the developed methods in wider contexts. By incorporating global datasets, the overall applicability of the results will be enhanced, and it will shed light on possible variations specific to different regions.

5. Conclusions

This research introduced a novel CNN model called KidneyNet to detect CKDs. The model consists of eight convolutional layers with different numbers of filters (128, 256, and 512), each having a size of 3 × 3. Additionally, it incorporates three 3 × 3 max-pooling layers, a flattening layer, two FC layers with 1024 neurons each, and a final output layer with 4 neurons representing various CKD categories. The primary goal of this CNN model is to simplify the early detection of CKDs by healthcare professionals, aiming to reduce the time and cost associated with diagnosis. This advancement helps lessen the burden on radiologists and provides a tool for accurately assessing kidney function, thereby minimizing the risk of misdiagnosis. To validate this innovative approach, an experiment was conducted using the CT kidney dataset, which includes four categories: stone, cyst, tumor, and normal. The dataset underwent preprocessing steps such as resizing and normalization. It was then split into an 85% training set (10,579 CT scans) and a 15% testing set (1867 CT scans). The performance of this improved classifier was compared to four other DL techniques: EfficientNet-B1, EfficientNet-B2, Xception, and VGG19. The results indicate that this new model outperforms other classifiers, achieving an average accuracy of 99.88%, a specificity of 99.92%, a sensitivity of 99.76%, a precision of 99.58%, and an outstanding F1 score of 99.67%. Currently, the computational speed of our KidneyNet and the dataset’s geographic region represent limitations. We will concentrate on implementing the Reinforced Transformer Network (RTN) in our future efforts. This innovative approach merges the advantages of reinforcement learning with transformer models to evaluate image quality effectively. This method is especially beneficial for enhancing the diagnostic quality of Health Indicators (HIs), which play a vital role in detecting CKDs. Additionally, we will assess KidneyNet on more diverse datasets that represent international populations.

Author Contributions

Conceptualization, S.A.E.-G. and S.N.A.; methodology, S.A.E.-G.; software, A.A.A.E.-A. and M.E.; validation, S.A.E.-G., A.A.A.E.-A. and S.N.A.; formal analysis, S.N.A.; investigation, A.A.A.E.-A.; resources, M.E.; data curation, S.N.A.; writing—original draft preparation, A.A.A.E.-A.; writing—review and editing, S.A.E.-G.; visualization, M.E.; supervision, S.N.A.; project administration, S.N.A. and S.A.E.-G.; funding acquisition, S.N.A. All authors have read and agreed to the published version of the manuscript.

Funding

This work was funded by the Deanship of Graduate Studies and Scientific Research at Jouf University under grant no. DGSSR-2023-02-02474.

Institutional Review Board Statement

Ethical review and approval were waived for this study due to the use of a publicly available dataset. This dataset can be found at https://www.kaggle.com/datasets/nazmul0087/ct-kidney-dataset-normal-cyst-tumor-and-stone/data, last accessed on 1 September 2024.

Informed Consent Statement

Not applicable.

Data Availability Statement

The data utilized in this article are open-source and were obtained from the Kaggle platform, which can be found at the following link: https://www.kaggle.com/datasets/nazmul0087/ct-kidney-dataset-normal-cyst-tumor-and-stone/data (accessed on 1 January 2021). This resource is openly available for researchers and scientists to use for their experimental work.

Acknowledgments

The authors extend their appreciation to the Deanship of Graduate Studies and Scientific Research at Jouf University for funding this work through research grant no. DGSSR-2023-02-02474.

Conflicts of Interest

The authors declare no conflicts of interest.

References

  1. Gharaibeh, M.; Alzu’bi, D.; Abdullah, M.; Hmeidi, I.; Al Nasar, M.R.; Abualigah, L.; Gandomi, A.H. Radiology imaging scans for early diagnosis of kidney tumors: A review of data analytics-based machine learning and deep learning approaches. Big Data Cogn. Comput. 2022, 6, 29. [Google Scholar] [CrossRef]
  2. Shehab, M.; Abualigah, L.; Shambour, Q.; Abu-Hashem, M.A.; Shambour, M.K.Y.; Alsalibi, A.I.; Gandomi, A.H. Machine learning in medical applications: A review of state-of-the-art methods. Comput. Biol. Med. 2022, 145, 105458. [Google Scholar] [CrossRef] [PubMed]
  3. Senan, E.M.; Al-Adhaileh, M.H.; Alsaade, F.W.; Aldhyani, T.H.H.; Alqarni, A.A.; Alsharif, N.; Uddin, M.I.; Alahmadi, A.H.; Jadhav, M.E.; Alzahrani, M.Y. Diagnosis of chronic kidney disease using effective classification algorithms and recursive feature elimination techniques. J. Health Eng. 2021, 2021, 1004767. [Google Scholar] [CrossRef]
  4. Bikbov, B.; Perico, N.; Remuzzi, G. and GBD Genitourinary Diseases Expert Group. Disparities in chronic kidney disease prevalence among males and females in 195 countries: Analysis of the global burden of disease 2016 study. Nephron 2018, 139, 313–318. [Google Scholar] [CrossRef]
  5. Chen, Z.; Zhang, X.; Zhang, Z. Clinical risk assessment of patients with chronic kidney disease by using clinical data and multivariate models. Int. Urol. Nephrol. 2016, 48, 2069–2075. [Google Scholar] [CrossRef] [PubMed]
  6. Levin, A.; Bakris, G.L.; Molitch, M.; Smulders, M.; Tian, J.; Williams, L.A.; Andress, D.L. Prevalence of abnormal serum vitamin D, PTH, calcium, and phosphorus in patients with chronic kidney disease: Results of the study to evaluate early kidney disease. Kidney Int. 2007, 71, 31–38. [Google Scholar] [CrossRef] [PubMed]
  7. Mittal, H. Kidney CT Image Analysis Using CNN. Comput. Sci. Inf. Technol. (CS IT) 2023, 13, 2231–5403. [Google Scholar]
  8. Chen, Z.; Xiao, C.; Liu, Y.; Hassan, H.; Li, D.; Liu, J.; Li, H.; Xie, W.; Zhong, W.; Huang, B. Comprehensive 3D analysis of the renal system and stones: Segmenting and registering non-contrast and contrast computed tomography images. Inf. Syst. Front. 2024, 10485. [Google Scholar] [CrossRef]
  9. Ljungberg, B.; Bensalah, K.; Canfield, S.; Dabestani, S.; Hofmann, F.; Hora, M.; Kuczyk, M.A.; Lam, T.; Marconi, L.; Merseburger, A.S.; et al. EAU guidelines on renal cell carcinoma: 2014 update. Eur. Urol. 2015, 67, 913–924. [Google Scholar] [CrossRef] [PubMed]
  10. Ljungberg, B.; Albiges, L.; Abu-Ghanem, Y.; Bedke, J.; Capitanio, U.; Dabestani, S.; Fernández-Pello, S.; Giles, R.H.; Hofmann, F.; Hora, M.; et al. European association of urology guidelines on renal cell carcinoma: The 2022 update. Eur. Urol. 2022, 82, 399–410. [Google Scholar] [CrossRef] [PubMed]
  11. Capitanio, U.; Bensalah, K.; Bex, A.; Boorjian, S.A.; Bray, F.; Coleman, J.; Gore, J.L.; Sun, M.; Wood, C.; Russo, P. Epidemiology of Renal Cell Carcinoma. Eur. Urol. 2019, 75, 74–84. [Google Scholar] [CrossRef]
  12. Koelzer, V.H.; Rothschild, S.I.; Zihler, D.; Wicki, A.; Willi, B.; Willi, N.; Voegeli, M.; Cathomas, G.; Zippelius, A.; Mertz, K.D. Systemic inflammation in a melanoma patient treated with immune checkpoint inhibitors—An autopsy study. J. Immunother. Cancer 2016, 4, 13. [Google Scholar] [CrossRef]
  13. Sasaguri, K.; Takahashi, N. CT and MR imaging for solid renal mass characterization. Eur. J. Radiol. 2018, 99, 40–54. [Google Scholar] [CrossRef] [PubMed]
  14. Cheville, J.C.; Lohse, C.M.; Zincke, H.; Weaver, A.L.; Blute, M.L. Comparisons of outcome and prognostic features among histologic subtypes of renal cell carcinoma. Am. J. Surg. Pathol. 2003, 27, 612–624. [Google Scholar] [CrossRef] [PubMed]
  15. Han, S.; Hwang, S.I.; Lee, H.J. The classification of renal cancer in 3-phase ct images using a deep learning method. J. Digit. Imaging 2019, 32, 638–643. [Google Scholar] [CrossRef]
  16. Alzu’bi, D.; Abdullah, M.; Hmeidi, I.; AlAzab, R.; Gharaibeh, M.; El-Heis, M.; Almotairi, K.H.; Forestiero, A.; Hussein, A.M.; Abualigah, L. Kidney tumor detection and classification based on deep learning approaches: A new dataset in CT scans. J. Health Eng. 2022, 2022, 1–22. [Google Scholar] [CrossRef] [PubMed]
  17. Hossain, T.; Sayed, F.; Islam, S. Adaptive local binary pattern: A novel feature descriptor for enhanced analysis of kidney abnormalities in ct scan images using ensemble based machine learning approach. arXiv 2024, arXiv:2404.14560. [Google Scholar]
  18. Bingol, H.; Yildirim, M.; Yildirim, K.; Alatas, B. Automatic classification of kidney CT images with relief based novel hybrid deep model. PeerJ Comput. Sci. 2023, 9, e1717. [Google Scholar] [CrossRef] [PubMed]
  19. Klontzas, M.E.; Kalarakis, G.; Koltsakis, E.; Papathomas, T.; Karantanas, A.H.; Tzortzakakis, A. Convolutional neural networks for the differentiation between benign and malignant renal tumors with a multicenter international computed tomography dataset. Insights Into Imaging 2024, 15, 26. [Google Scholar] [CrossRef] [PubMed]
  20. Yildirim, K.; Bozdag, P.G.; Talo, M.; Yildirim, O.; Karabatak, M.; Acharya, U. Deep learning model for automated kidney stone detection using coronal CT images. Comput. Biol. Med. 2021, 135, 104569. [Google Scholar] [CrossRef]
  21. Qadir, A.M.; Abd, D.F. Kidney diseases classification using hybrid transfer-learning densenet201-based and random forest classifier. Kurd. J. Appl. Res. 2023, 7, 131–144. [Google Scholar] [CrossRef]
  22. Skalski, A.; Jakubowski, J.; Drewniak, T. Kidney tumor segmentation and detection on Computed Tomography data. In Proceedings of the 2016 IEEE International Conference on Imaging Systems and Techniques (IST), Chania, Greece, 4–6 October 2016; pp. 238–242. [Google Scholar]
  23. Bhandari, M.; Yogarajah, P.; Kavitha, M.S.; Condell, J. Exploring the Capabilities of a Lightweight CNN Model in Accurately Identifying Renal Abnormalities: Cysts, Stones, and Tumors, Using LIME and SHAP. Appl. Sci. 2023, 13, 3125. [Google Scholar] [CrossRef]
  24. Islam, M.N.; Mehedi, M.H.K. CT Kidney Dataset: Normal-Cyst-Tumor and Stone. Available online: https://www.kaggle.com/datasets/nazmul0087/ct-kidney-dataset-normal-cyst-tumor-and-stone/data (accessed on 1 January 2021).
  25. Fan, C.; Chen, M.; Wang, X.; Wang, J.; Huang, B. A review on data preprocessing techniques toward efficient and reliable knowledge discovery from building operational data. Front. Energy Res. 2021, 9, 652801. [Google Scholar] [CrossRef]
  26. Kuo, C.-C.J. Understanding convolutional neural networks with a mathematical model. J. Vis. Commun. Image Represent. 2016, 41, 406–413. [Google Scholar] [CrossRef]
  27. Simonyan, K.; Zisserman, A. Very deep convolutional networks for large-scale image recognition. arXiv 2014, arXiv:1409.1556. [Google Scholar]
  28. Alhichri, H.; Alswayed, A.S.; Bazi, Y.; Ammour, N.; Alajlan, N.A. Classification of remote sensing images using Efficient Net-B3 CNN model with attention. IEEE Access 2021, 9, 14078–14094. [Google Scholar] [CrossRef]
  29. Ahmed, T.; Sabab, N.H.N. Classification and understanding of cloud structures via satellite images with Efficientunet. SN Comput. Sci. 2021, 3, 99. [Google Scholar] [CrossRef]
  30. He, K.; Zhang, X.; Ren, S.; Sun, J. Deep Residual Learning for Image Recognition. arXiv 2015, arXiv:1512.03385. [Google Scholar]
  31. Chollet, F. Xception: Deep learning with depthwise separable convolutions. In Proceedings of the 30th IEEE Conference on Computer Vision and Pattern Recognition (CVPR), Honolulu, HI, USA, 21–26 July 2017; pp. 1800–1807. [Google Scholar]
  32. Selvaraju, R.R.; Cogswell, M.; Das, A.; Vedantam, R.; Parikh, D.; Batra, D. Grad-CAM: Visual Explanations from Deep Networks via Gradient-Based Localization. In Proceedings of the 2017 IEEE International Conference on Computer Vision (ICCV), Venice, Italy, 22–29 October 2017; pp. 618–626. [Google Scholar] [CrossRef]
Figure 1. Some examples of CT scans from the CT kidney dataset: (A) normal CT scan, (B) cyst CT scan, (C) CT scan, and (D) stone CT scan.
Figure 1. Some examples of CT scans from the CT kidney dataset: (A) normal CT scan, (B) cyst CT scan, (C) CT scan, and (D) stone CT scan.
Electronics 13 04981 g001
Figure 2. The proposed KidneyNet model architecture.
Figure 2. The proposed KidneyNet model architecture.
Electronics 13 04981 g002
Figure 3. The KidneyNet architecture.
Figure 3. The KidneyNet architecture.
Electronics 13 04981 g003
Figure 4. VGG19’s architecture.
Figure 4. VGG19’s architecture.
Electronics 13 04981 g004
Figure 5. The architecture of EfficientNet-B1.
Figure 5. The architecture of EfficientNet-B1.
Electronics 13 04981 g005
Figure 6. Xception’s architecture.
Figure 6. Xception’s architecture.
Electronics 13 04981 g006
Figure 7. Grad-CAM localization for MRI scans of CT kidney dataset.
Figure 7. Grad-CAM localization for MRI scans of CT kidney dataset.
Electronics 13 04981 g007
Figure 8. Loss vs. epoch number of the five DL models for CKD classification.
Figure 8. Loss vs. epoch number of the five DL models for CKD classification.
Electronics 13 04981 g008
Figure 9. The accuracy of the five DL models for CKD classification.
Figure 9. The accuracy of the five DL models for CKD classification.
Electronics 13 04981 g009
Figure 10. The ROC curves of the five DL models for CKD classification.
Figure 10. The ROC curves of the five DL models for CKD classification.
Electronics 13 04981 g010
Figure 11. The confusion matrices of the five DL models for CKD classification.
Figure 11. The confusion matrices of the five DL models for CKD classification.
Electronics 13 04981 g011aElectronics 13 04981 g011b
Figure 12. The accuracies of KidneyNet with different optimizers and LR values.
Figure 12. The accuracies of KidneyNet with different optimizers and LR values.
Electronics 13 04981 g012
Figure 13. Clinical variations related to kidney conditions, including cysts, stones, and tumors.
Figure 13. Clinical variations related to kidney conditions, including cysts, stones, and tumors.
Electronics 13 04981 g013
Table 1. The stages of CKD are based on GFR levels [3].
Table 1. The stages of CKD are based on GFR levels [3].
Stage DescriptionFGR
1Kidney function is normal≥90
2Kidney damage is mild60–89
3Kidney damage is moderate30–59
4Kidney damage is severe15–29
5Established kidney failure≤15
Table 2. A summary of related work’s limitations.
Table 2. A summary of related work’s limitations.
LimitationProposed Model
The authors of previous research did not carry out an ablation study.We undertook this study to analyze the effects of specific components or features within our proposed model. We methodically eliminated or altered these components and monitored how these changes affected performance.
The researchers mentioned in the previous section focused on metrics like accuracy, precision, recall, and F1 score. Nevertheless, they neglected to evaluate the results through the lens of statistical confidence intervals.We have successfully employed statistical methods to evaluate and contrast the outcomes of various DL techniques by investigating confidence intervals. This highlights the distinct benefits of our approach.
The researchers referenced earlier did not implement the Grad-CAM algorithm.We applied this algorithm to identify regions affected by ground-glass opacities (GGO) linked to CKDs.
The 3D segmentation and registration of non-contrast and contrast CT images require significant computational resources. This complexity can limit the technique’s practicality in real-time clinical settings, especially in facilities with limited computational infrastructure.We performed a single assessment on the Kaggle platform utilizing the following specifications: CPU: Intel(R) Xeon(R) CPU @ 2.20 GHz; GPU: NVIDIA Tesla P100 with 16 GB of memory; RAM: 32 GB of memory; and operating system: Ubuntu 2024 x86_64 GNU/Linux. The training time was 9 min and 42 s, and the testing time was 29 s.
The accuracy of the segmentation and registration process heavily relies on the quality of the CT images. Poor image quality, artifacts, or noise can significantly affect the technique’s performance, leading to potential inaccuracies in diagnosis.We applied this algorithm to identify regions affected by ground-glass opacities (GGO) linked to CKDs.
Table 3. The distribution of the CT kidney dataset’s CT images.
Table 3. The distribution of the CT kidney dataset’s CT images.
Class Image Count
Cyst3709
Normal5077
Stone1377
Tumor2283
Table 4. The processing time and number of parameters used in our experiment.
Table 4. The processing time and number of parameters used in our experiment.
ClassifierTraining TimeTesting TimeTotal ParamsTrainable ParamsNon-Trainable Params
KidneyNet9 min, 4 s29 s15,611,52415,605,1246400
EfficientNet-B111.0 min, 40.22 s29 s6,909,3236,844,70864,615
EfficientNet-B211.0 min, 46.32 s27 s8,135,9338,065,54270,391
Xception12.0 min, 49.40 s17 s21,395,24421,336,62058,624
VGG199.0 min, 34 s14 s20,158,78820,157,7641024
Table 5. The results of KidneyNet evaluated on the test set of the CT kidney dataset.
Table 5. The results of KidneyNet evaluated on the test set of the CT kidney dataset.
KidneyNetClassAccuracy (%)Specificity (%)FNR (%)NPV (%)Precision (%)Recall (%)F1 Score (%)
Cyst99.8099.890.4399.8299.7599.5799.66
Normal99.941000.1699.8910099.8499.92
Stone99.8399.830.1999.9898.6899.8199.24
Tumor99.9599.970.1899.9699.8899.8299.85
Average99.8899.920.2499.9199.5899.7699.67
Table 6. The results of EfficientNet-B1 evaluated on the test set of the CT kidney dataset.
Table 6. The results of EfficientNet-B1 evaluated on the test set of the CT kidney dataset.
EfficientNet-B1ClassAccuracy (%)Specificity (%)FNR (%)NPV (%)Precision (%)Recall (%)F1 Score (%)
Cyst97.6499.857.5596.8999.6192.4595.90
Normal98.4599.102.4998.2998.6797.5198.09
Stone96.8996.570.4899.9478.3399.5287.66
Tumor99.3099.802.9299.3599.1097.0898.08
Average98.0798.833.3698.6293.9396.6494.93
Table 7. The results of EfficientNet-B2 evaluated on the test set of the CT kidney dataset.
Table 7. The results of EfficientNet-B2 evaluated on the test set of the CT kidney dataset.
EfficientNet-B2ClassAccuracy (%)Specificity (%)FNR (%)NPV (%)Precision (%)Recall (%)F1 Score (%)
Cyst98.2999.083.6098.4897.8196.4097.10
Normal98.6699.732.8998.0499.6097.1198.34
Stone98.4598.552.4299.7089.3897.5893.30
Tumor99.0499.151.4699.6796.2998.5497.40
Average98.6199.132.5998.9795.7797.4196.54
Table 8. The results of Xception evaluated on the test set of the CT kidney dataset.
Table 8. The results of Xception evaluated on the test set of the CT kidney dataset.
XceptionClassAccuracy (%)Specificity (%)FNR (%)NPV (%)Precision (%)Recall (%)F1 Score (%)
Cyst97.9198.252.8898.7795.9197.1296.51
Normal97.7597.922.4998.2797.0097.5197.25
Stone98.5098.985.3199.3392.0294.6993.33
Tumor98.2399.487.3198.3897.5492.6995.05
Average98.1098.654.5098.6995.6295.5095.54
Table 9. The results of VGG19 evaluated on the test set of the CT kidney dataset.
Table 9. The results of VGG19 evaluated on the test set of the CT kidney dataset.
VGG19ClassAccuracy (%)Specificity (%)FNR (%)NPV (%)Precision (%)Recall (%)F1 Score (%)
Cyst98.5599.694.1498.2799.2695.8697.53
Normal98.9899.001.0599.2798.5698.9598.76
Stone98.6198.611.4599.8289.8798.5594.01
Tumor98.9399.483.5199.2297.6396.4997.06
Average98.7799.202.5499.1496.3397.4696.84
Table 10. The accuracies of KidneyNet with different optimizers and LR values.
Table 10. The accuracies of KidneyNet with different optimizers and LR values.
KidneyNetLR ValueOptimizer
SGDAdamRMSprop
LR1 = 0.00199.8899.6398.96
LR2 = 0.0000197.2198.1598.77
Table 11. The average results of five folds for KidneyNet.
Table 11. The average results of five folds for KidneyNet.
KidneyNetFoldsAccuracy (%)Specificity (%)FNR (%)NPV (%)Precision (%)Recall (%)F1 Score (%)
199.9599.970.0799.9599.8199.9399.87
299.7999.880.3599.8499.0799.6599.35
399.8999.930.2699.9399.7599.7499.74
499.8899.930.2399.9199.5499.7799.65
599.8899.930.2399.9199.5499.7799.65
Average99.8899.920.2499.9199.5899.7699.67
Standard Deviation0.051745677
Confidence Interval[99.83, 99.92]
Table 12. The average results of ten folds for KidneyNet.
Table 12. The average results of ten folds for KidneyNet.
KidneyNetFoldsAccuracy (%)Specificity (%)FNR (%)NPV (%)Precision (%)Recall (%)F1 Score (%)
11001000100100100100
299.9799.980.0499.9899.8899.9699.92
399.9799.980.0499.9899.8899.9699.92
499.8999.940.1799.9299.6099.8399.71
599.8999.920.2999.9399.8299.7199.76
61001000100100100100
799.9599.960.2499.9799.9199.7699.83
899.8999.930.2299.9299.7999.7899.79
999.7199.800.8799.8199.2399.1399.18
1099.1799.481.5199.3897.3198.4997.86
Average99.8499.900.3499.8999.5499.6699.60
Standard Deviation0.239476
Confidence Interval[99.70, 99.99]
Table 13. The comparison of the KidneyNet model with the results of recent models.
Table 13. The comparison of the KidneyNet model with the results of recent models.
ReferenceMethodologyAccuracy/F1 ScoreDatasets
Chen et al. [8]Artery, Cortex, Medulla, ResU-Net, and 3D U-NetF1 score: 95.21%CT kidney dataset
Hossain et al. [17]Cropping, Resizing, CALHE, ALBP, RF, DT, NB, KNN, and SVM99%CT kidney dataset
Bingol et al. [18]CNN99.37%CT kidney dataset
Qadir and Abd [21]Densenet-201 model and RF99.44%CT kidney dataset
Skalski et al. [22]rusboost and DT techniques92.1%CT kidney dataset
Bhandari et al. [23]CNN99.52%CT kidney dataset
The KidneyNet modelCNN99.88%CT kidney dataset
Disclaimer/Publisher’s Note: The statements, opinions and data contained in all publications are solely those of the individual author(s) and contributor(s) and not of MDPI and/or the editor(s). MDPI and/or the editor(s) disclaim responsibility for any injury to people or property resulting from any ideas, methods, instructions or products referred to in the content.

Share and Cite

MDPI and ACS Style

Almuayqil, S.N.; Abd El-Ghany, S.; Abd El-Aziz, A.A.; Elmogy, M. KidneyNet: A Novel CNN-Based Technique for the Automated Diagnosis of Chronic Kidney Diseases from CT Scans. Electronics 2024, 13, 4981. https://doi.org/10.3390/electronics13244981

AMA Style

Almuayqil SN, Abd El-Ghany S, Abd El-Aziz AA, Elmogy M. KidneyNet: A Novel CNN-Based Technique for the Automated Diagnosis of Chronic Kidney Diseases from CT Scans. Electronics. 2024; 13(24):4981. https://doi.org/10.3390/electronics13244981

Chicago/Turabian Style

Almuayqil, Saleh Naif, Sameh Abd El-Ghany, A. A. Abd El-Aziz, and Mohammed Elmogy. 2024. "KidneyNet: A Novel CNN-Based Technique for the Automated Diagnosis of Chronic Kidney Diseases from CT Scans" Electronics 13, no. 24: 4981. https://doi.org/10.3390/electronics13244981

APA Style

Almuayqil, S. N., Abd El-Ghany, S., Abd El-Aziz, A. A., & Elmogy, M. (2024). KidneyNet: A Novel CNN-Based Technique for the Automated Diagnosis of Chronic Kidney Diseases from CT Scans. Electronics, 13(24), 4981. https://doi.org/10.3390/electronics13244981

Note that from the first issue of 2016, this journal uses article numbers instead of page numbers. See further details here.

Article Metrics

Back to TopTop