An Efficient Framework for Accurate Liver Segmentation in Abdominal CT Images with Low Knowledge Requirement
Abstract
1. Introduction
2. Materials and Methods
2.1. Data
2.2. Methods
2.2.1. Preprocessing
2.2.2. Liver CT Image Segmentation
- Liver reconstruction algorithm
- 2.
- An edge refinement method
2.2.3. Morphological Post-Processing
3. Results
3.1. Evaluation Metrics
- (1)
- Volumetric overlap error (VOE)
- (2)
- Relative volume error (RVD)
- (3)
- Average symmetric surface distance (ASD)
- (4)
- Root-mean-square symmetric surface distance (RMSD)
- (5)
- Maximum symmetric surface distance (MSD)
- (6)
- Dice coefficient
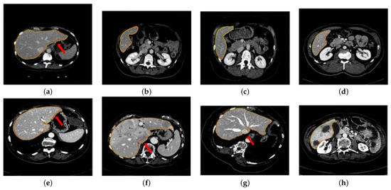
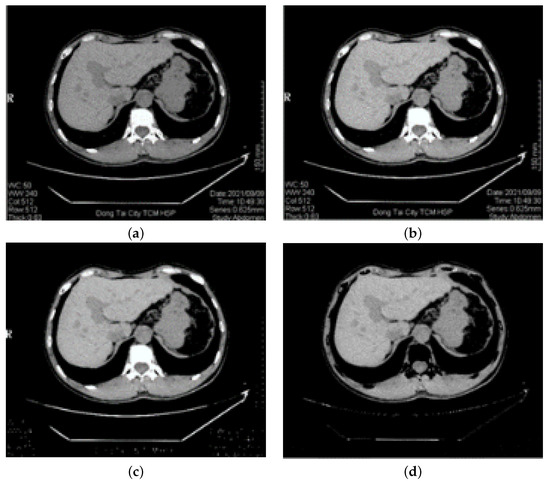
3.2. Experiments and Results
4. Discussion
Comparison Experiments and Results
5. Conclusions
- Our method reduces manual operations and the prior knowledge that doctors need. In liver reconstruction methods, the cluster method based on spatial fuzzy c-means clustering is highly sensitive to the changes of gray and noise, and can alleviate the problem of weak boundary. After clustering, the seed points of region growth can be selected without too much prior knowledge. The seed points inside the liver area of the picture can be selected arbitrarily, which greatly avoids the problem that tumors and other lesions are wrongly selected as the seed points by the traditional methods, and reduces a lot of manual operations as well.
- Our method reduces the influence of external tissues and muscles and avoids undersegmentation or oversegmentation. Compared with directly thresholding the original image before reconstruction, thresholding after clustering can minimize the impact of external tissues and muscles on regional growth results and avoid the common undersegmentation or oversegmentation of reconstruction.
- Our method reduces time complexity and increases leak resistance and noise resistance. After clustering, the reconstruction results are closer to the liver boundary, which reduces the number of iterations of the level set and the time complexity of the algorithm. The result of liver reconstruction in this method is used as the initial segmentation region of edge refinement method, which reduces the risk that the reconstruction result is far away from the liver boundary region, avoids the situation that the segmentation result is not ideal due to the need to use too much balloon force, and makes use of the leak resistance and noise resistance of RD level set to make the result more accurate.
Author Contributions
Funding
Data Availability Statement
Acknowledgments
Conflicts of Interest
Abbreviations
| CT | Computed tomography |
| SSC | Sparse shape composition |
| SFCM | Spatial fuzzy c-means |
| RD level set | Level set method combined with reaction diffusion equation |
| CT | Computed tomography |
| CAD | Computer-aided diagnosis |
| CRO | Chemical reaction optimization |
| VOE | Volumetric overlap error |
| RVD | Relative volume error |
| ASD | Average symmetric surface distance |
| RMSD | Root-mean-square symmetric surface distance |
| MSD | Maximum symmetric surface distance |
References
- Bhan, A.; Mangipudi, P.; Goyal, A. Deep Learning Approach for Automatic Segmentation and Functional Assessment of LV in Cardiac MRI. Electronics 2022, 11, 3594. [Google Scholar]
- Ahamad, A.; Sun, C.C.; Kuo, W.K. Quantized Semantic Segmentation Deep Architecture for Deployment on an Edge Computing Device for Image Segmentation. Electronics 2022, 11, 3561. [Google Scholar] [CrossRef]
- Shi, C.; Xian, M.; Zhou, X.; Wang, H.; Cheng, H.D. Multi-slice low-rank tensor decomposition based multi-atlas segmentation: Application to automatic pathological liver CT segmentation. Med. Image Anal. 2021, 73, 102152. [Google Scholar] [CrossRef] [PubMed]
- Chouhan, S.S.; Kaul, A.; Singh, U.P. Image Segmentation Using Computational Intelligence Techniques: Review. Arch. Comput. Methods Eng. 2018, 2, 1–64. [Google Scholar] [CrossRef]
- Chouhan, S.S.; Kaul, A.; Singh, U.P. Soft computing approaches for image segmentation: A survey. Multimed. Tools Appl. 2018, 77, 28483–28537. [Google Scholar] [CrossRef]
- Goceri, E. Formulas behind deep learning success. In Proceedings of the International Conference on Applied Analysis and Mathematical Modeling (ICAAMM2018), Istanbul, Turkiye, 13–18 September 2018. [Google Scholar]
- Goceri, E.; Gooya, A. On the importance of batch size for deep learning. In Proceedings of the International Conference on Mathematics (ICOMATH2018), An Istanbul Meeting for World Mathematicians, Istanbul, Turkiye, 3–6 July 2018. [Google Scholar]
- Chan, T.F.; Vese, L.A. Active contours without edges. IEEE Trans. Image Process. 2001, 10, 266–277. [Google Scholar] [CrossRef]
- Fang, J.L.; Lu, Y.B.; Wang, Y.Z.; Tang, S.N.; Wu, D.A. A Novel Medical Image Segmentation Algorithm Based on Level Set. Electron. Sci. Technol. 2021, 34, 12–20. [Google Scholar]
- Yang, X.; Yu, H.C.; Choi, Y.; Lee, W.; Wang, B.; Yang, J.; Hwang, H.; Kim, J.H.; Song, J.; Cho, S.H.; et al. A hybrid semi-automatic method for liver segmentation based on level-set methods using multiple seed points. Comput. Methods Progr. Biomed. 2014, 113, 69–79. [Google Scholar] [CrossRef]
- Asanambigai, V.; Sasikala, J. Adaptive chemical reaction based spatial fuzzy clustering for level set segmentation of medical images. Ain Shams Eng. J. 2018, 9, 1251–1262. [Google Scholar]
- Li, B.N.; Chui, C.K.; Chang, S.; Ong, S.H. Integrating spatial fuzzy clustering with level set methods for automated medical image segmentation. Comput. Biol. Med. 2011, 41, 1–10. [Google Scholar]
- Li, X.; Luo, S.; Li, J. Liver segmentation from CT image using fuzzy clustering and level set. J. Signal Inf. Process. 2013, 4, 36. [Google Scholar] [CrossRef]
- Li, D.W.; Wang, J.; Chen, J.B.; Li, H.S. Liver Segmentation by Using an Optimal Framework for CT Images. Chin. J. Comput. 2016, 39, 1477–1489. [Google Scholar]
- Yang, Q.; Qian, Y.Q.; Zhang, F.; Liao, M. Liver segmentation from CT volumes based on spatial fuzzy C-means and graph cuts. Laser Optoelectr. Sens. 2022, 59, 430–439. [Google Scholar]
- Zheng, Z.; Zhang, X.C.; Zheng, S.M.; Shi, Y.D. Liver segmentation in CT images based on region-growing and unified level set method. J. ZheJiang Univ. Eng. Sci. 2018, 52, 2382–2396. [Google Scholar]
- Li, Y.; Zhao, Y.Q.; Zhang, F.; Liao, M.; Yu, L.L.; Chen, B.F. Liver segmentation from abdominal CT volumes based on level set and sparse shape composition. Comput. Methods Progr. Biomed. 2020, 195, 105533. [Google Scholar] [CrossRef]
- Chuang, K.S.; Tzeng, H.L.; Chen, S.; Wu, J.; Chen, T.J. Fuzzy c-means clustering with spatial information for image segmentation. Comput. Med. Imaging Graph. 2006, 30, 9–15. [Google Scholar] [CrossRef]
- Zucker, S.W. Region growing: Childhood and adolescence. Comput. Graph. Image Process. 1976, 5, 282–299. [Google Scholar] [CrossRef]
- Turk, G. Generating textures on arbitrary surfaces using reaction-diffusion. ACM Siggraph. Comput. Graph. 1991, 25, 289–298. [Google Scholar] [CrossRef]
- Zhang, K.; Zhang, L.; Song, H.; Zhang, D. Reinitialization-free level set evolution via reaction diffusion. IEEE Trans. Image Process. 2012, 22, 258–271. [Google Scholar] [CrossRef]
- Heimann, T.; Van Ginneken, B.; Styner, M.A.; Arzhaeva, Y.; Aurich, V.; Bauer, C. Comparison and evaluation of methods for liver segmentation from CT datasets. IEEE Trans. Med. Imaging 2009, 28, 1521–1565. [Google Scholar] [CrossRef]
- Li, G.; Chen, X.; Shi, F.; Zhu, W.; Tian, J.; Xiang, D. Automatic liver segmentation based on shape constraints and deformable graph cut in CT images. IEEE Trans. Image Process. 2015, 24, 5315–5329. [Google Scholar] [CrossRef] [PubMed]
- Lu, X.; Wu, J.; Ren, X.; Zhang, B.; Li, Y. The study and application of the improved region growing algorithm for liver segmentation. Optik 2014, 125, 2142–2147. [Google Scholar] [CrossRef]
- Ahmad, M.; Ai, D.; Xie, G.; Qadri, S.F.; Song, H.; Huang, Y. Deep belief network modeling for automatic liver segmentation. IEEE Access. 2019, 7, 20585–20595. [Google Scholar] [CrossRef]
- Lu, F.; Wu, F.; Hu, P.; Peng, Z.; Kong, D. Automatic 3D liver location and segmentation via convolutional neural network and graph cut. Int. J. Comput. Assist. Radiol. Surg. 2017, 12, 172–182. [Google Scholar] [CrossRef] [PubMed]
- Sakboonyara, B.; Taeprasartsit, P. U-Net and Mean-Shift Histogram for Efficient Liver Segmentation from CT Images. In Proceedings of the 2019 11th International Conference on Knowledge and Smart Technology (KST), Phuket, Thailand, 23–26 January 2019. [Google Scholar]









| Datasets | Pixel Spacing [mm] | Slice Thickness [mm] | Pixel Number |
|---|---|---|---|
| Sliver07 | 0.57, 0.81 | 0.7, 5.0 | 512 × 512 |
| 3Dircadb | 0.56, 0.81 | 1.0, 4.0 | 512 × 512 |
| Local datasets | 0.60, 0.70 | —— | 512 × 512 |
| Database | Methods | VOE [%] | RVD [%] | ASD [mm] | RMSD [mm] | MSD [mm] |
|---|---|---|---|---|---|---|
| 3Dircadb | Ahmad et al. [25] | 13.0 ± 5.0 | −5.7 ± 5.6 | 2.2 ± 1.1 | - | 25.7 ± 8.9 |
| Lu et al. [26] | 9.4 ± 3.3 | 1.0 ± 3.3 | 1.9 ± 1.1 | 4.2 ± 3.2 | 33.1 ± 16.4 | |
| Li et al. [23] | 9.1 ± 1.4 | −0.1 ± 3.6 | 1.6 ± 0.4 | 3.2 ± 1.0 | 28.2 ± 8.3 | |
| Ours | 8.1 ± 3.0 | −0.2 ± 4.5 | 1.5 ± 0.8 | 2.4 ± 0.8 | 20.8 ± 8.4 | |
| Sliver07 | Lu et al. [24] | 7.4 ± 1.9 | 4.6 ± 2.8 | 1.2 ± 0.4 | 2.8 ± 1.3 | 38.5 ± 18.0 |
| Yang et al. [10] | 8.9 ± 2.2 | 2.3 ± 2.0 | 1.4 ± 0.3 | 2.4 ± 1.2 | 24.3 ± 9.6 | |
| Sakboonyara et al. [27] | 5.1 ± 0.9 | 0.2 ± 1.3 | 1.1 ± 0.4 | 3.3 ± 1.6 | 49.4 ± 26.9 | |
| Li et al. [17] | 5.1 ± 1.6 | 0.1 ± 2.9 | 0.9 ± 0.3 | 1.8 ± 0.6 | 19.4 ± 6.7 | |
| Ours | 5.1 ± 1.5 | −0.1 ± 1.6 | 1.0 ± 0.4 | 2.0 ± 0.4 | 18.2 ± 13.4 |
Publisher’s Note: MDPI stays neutral with regard to jurisdictional claims in published maps and institutional affiliations. |
© 2022 by the authors. Licensee MDPI, Basel, Switzerland. This article is an open access article distributed under the terms and conditions of the Creative Commons Attribution (CC BY) license (https://creativecommons.org/licenses/by/4.0/).
Share and Cite
Yu, S.-Q.; Zhou, T.; Wen, Y.-H.; Li, C. An Efficient Framework for Accurate Liver Segmentation in Abdominal CT Images with Low Knowledge Requirement. Electronics 2022, 11, 4182. https://doi.org/10.3390/electronics11244182
Yu S-Q, Zhou T, Wen Y-H, Li C. An Efficient Framework for Accurate Liver Segmentation in Abdominal CT Images with Low Knowledge Requirement. Electronics. 2022; 11(24):4182. https://doi.org/10.3390/electronics11244182
Chicago/Turabian StyleYu, Shao-Qian, Tao Zhou, Yan-Hua Wen, and Chuang Li. 2022. "An Efficient Framework for Accurate Liver Segmentation in Abdominal CT Images with Low Knowledge Requirement" Electronics 11, no. 24: 4182. https://doi.org/10.3390/electronics11244182
APA StyleYu, S.-Q., Zhou, T., Wen, Y.-H., & Li, C. (2022). An Efficient Framework for Accurate Liver Segmentation in Abdominal CT Images with Low Knowledge Requirement. Electronics, 11(24), 4182. https://doi.org/10.3390/electronics11244182

